表皮生长因子受体在肝细胞癌及胆管细胞癌中的表达
作者:顾广玉 朱明华 王文亮 詹洲
单位:顾广玉 朱明华 詹洲(第二军医大学长海医院病理科,上海 200433);王文亮(第四军医大学病理学教研室,西安 710038)
关键词:癌;肝细胞;胆管癌;受体;表皮生长因子;原位杂交
临床与实验病理学杂志990503摘要 目的:比较表皮生长因子受体(EGFR)在肝细胞癌及胆管细胞癌中表达的差异。方法:采用免疫组化及原位杂交方法检测92例肝细胞癌及50例胆管细胞癌组织中EGFR蛋白及mRNA的表达。结果:92例肝细胞癌标本中,42例EGFR蛋白或mRNA阳性,占45.7%。50例胆管细胞癌中,36例EGFR蛋白或mRNA阳性,占72.0%。结论:与肝细胞癌相比,胆管细胞癌的发生、发展与EGFR表达增高的关系更加密切。
分类号 R735.7; R735.8 文献标识码 A
, 百拇医药
文章编号 1001-7399(1999)05-0385-02
Expression of epidermal growth factor receptor(EGFR) in hepatocellular carcinoma and cholangiocarcinoma
Gu Guangyu, Zhu Minghua,(Dept of Pathol, Changhai Hospital of Second Military Medical University, Shanghai 200433)
Wang Wenliang et al
(Dept of Pathol, Fourth Military Medical University, Xian 710038)
, 百拇医药
ABSTRACT Purpose To explore the difference in the expression of epidermal growth factor receptor (EGFR) between hepatocellular carcinoma and cholangiocarcinoma. Methods Immunohistochemical technique and in situ hybridization technique were used to detect EGFR protein and EGFR mRNA. Results Forty-two cases(45.7%) were positive for EGFR protein or EGFR mRNA in 92 cases of hepatocellular carcinoma, 36 cases(72.0%) were positive for EGFR protein or EGFR mRNA in 50 cases of cholangiocarcinoma. Conclusion The high expression of EGFR may play more important role in pathogenesis of cholangiocarcinoma than in pathogenesis of hepatocellular carcinoma.
, 百拇医药
KEY WORDS carcinoma,hepatocellular; cholangiocarcinoma; receptors,epidermal growth factor; in situ hybridization
现已发现,人类许多肿瘤中都有表皮生长因子受体(EGFR)的高水平表达,上皮组织来源的肿瘤更是如此。有研究报道EGFR在人肝细胞癌中表达水平增高,而有关EGFR在胆管细胞癌中表达的研究报道较少。为此,我们采用免疫组化与原位杂交方法检测了肝细胞癌及胆管细胞癌中EGFR蛋白及mRNA的表达,并比较了两者的差异。
1 材料和方法
1.1 标本 92例肝细胞癌标本及50例胆管细胞癌标本均为外科手术切除标本,10%中性福尔马林固定,石蜡包埋,5 μm厚连续切片。全部标本均经病理诊断证实。
1.2 抗体与探针 兔抗EGFR多克隆抗体购自美国Santa Cruz生物技术公司产品,EGFR cDNA片段采用随机引物法标记Dig-11-dUTP制备成探针。
, 百拇医药
1.3 免疫组化及原位杂交检测 免疫组化按ABC试剂盒说明进行,原位杂交按宝灵曼公司地高辛标记与检测手册进行。实验设立空白对照、替代对照、阴性对照及阳性对照。
1.4 统计学分析 采用χ2检验。
2 结果
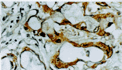
2.1 免疫组化检测 92例肝细胞癌标本,其中68例有癌旁肝组织,42例癌组织中EGFR蛋白阳性,阳性信号为棕黄色颗粒,主要定位于胞浆及胞膜(图1),占45.7%,28例癌旁肝组织中EGFR蛋白阳性,占41.9%。癌与癌旁比较,阳性率差异无显著性。
图1 EGFR 蛋白阳性信号位于肝细胞癌癌细胞浆。ABC×400
50例胆管细胞癌标本,其中29例具有癌旁肝组织。36例癌组织中EGFR蛋白阳性,阳性信号为棕黄色颗粒,主要定位于胞浆及胞膜(图2),占72.0%,12例癌旁肝组织EGFR蛋白阳性,占41.4%。癌与癌旁比较,阳性率差异具有显著性(P<0.05)。
, 百拇医药
图2 EGFR 蛋白阳性信号位于胆管细胞癌癌细胞浆。ABC×400
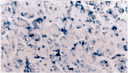
2.2 原位杂交检测 EGFR mRNA原位杂交阳性信号为蓝紫色颗粒,主要位于胞浆(图3,4)。肝细胞癌及癌旁肝组织中EGFR mRNA阳性检出率分别为42.8%(39/92)和38.2%(26/68)。胆管细胞癌及癌旁肝组织中EGFR mRNA的阳性检出率分别为66.0%(33/50)和37.9%(11/29)。统计结果表明,同免疫组化结果间的差异无显著性。
图3 EGFR mRNA阳性信号位于肝细胞癌癌细胞浆。原位杂交×200
图4 EGFR mRNA阳性信号位于胆管细胞癌癌细胞浆。原位杂交×200
, 百拇医药
3 讨论
现已发现,EGFR受体激酶在细胞分裂,增殖及分化中起重要作用,一旦它们本身及诱发的细胞分裂、增殖、分化信号的传导出现异常,就可能导致肿瘤的发生。有研究报道EGFR在人肝细胞癌中表达水平增高,并认为EGFR在人肝细胞癌发展过程中的作用与肝细胞再生时的作用一样〔1〕。另外还有人发现有EGFR表达阳性的人肝细胞癌组织中DNA聚合酶α阳性细胞数较EGFR阴性者多,且复发率较EGFR阴性者高〔2〕。但Ivashchenko等〔3〕却发现二乙基亚硝胺诱发的鼠肝癌组织中EGFR减少,并提出可能是一些内环境因子在鼠肝脏肿瘤发生时引起EGFR的减少和亲和力的降低。Yang等〔4〕还发现正常鼠肝组织纯化的有功能的EGFR水平很高,但瘤组织中则缺乏有功能的EGFR。本研究结果表明,EGFR在肝细胞癌组织及其相应的癌旁肝组织中均有较高水平的表达,但两者阳性率的差异无显著性(P>0.05)。提示肝细胞癌及癌旁肝组织可能均为增殖活跃状态。
, 百拇医药
同肝细胞癌相比,胆管细胞癌中EGFR阳性检出率较高,两者比较差异具有显著性(P<0.05),胆管细胞癌组织EGFR阳性检出率亦明显高于其相应癌旁肝组织,差异具有显著性(P<0.05)。上述结果表明,EGFR表达增高与胆管细胞癌的发生、发展关系密切,EGFR在胆管细胞癌发生中的作用较在肝细胞癌发生中的作用更为突出。另有研究报道,用不同的HBVx基因表达载体转染HepG2细胞,EGFR表达水平明显增高,提示EGFR基因的调节区可能是HBVx基因表达产物反式激活作用的靶序列〔5〕。我们以往的研究证实胆管细胞癌的发生与HBV感染有关〔6〕。但对本实验结果统计分析,未发现EGFR表达与HBVx基因表达间有相关性。进一步研究EGFR在胆管细胞癌发生发展中的作用及其与HBV感染的关系,将进一步阐明胆管细胞癌发生的分子机制。
作者简介:顾广玉,男,32岁,硕士,主治医师。研究方向:分子肿瘤学
参考文献
, http://www.100md.com
1,Fukusato T, Mori S, Kawamoto T et al. Immunohistochemical and ultrastructural localization of epidermal growth factor receptor in human liver and hepatocellular carcinoma tissues. Acta Pathol Jpn, 1990;40(1):22~29
2,Tanaka H. Immunohistochemical studies on epidermal growth factor receptor in hepatocellular carcinoma. Nippoo Shokakibyo Gakkai Zasshi, 1991;88(2):138~144
3,Ivashchenko IUD, Garmanchuk LV, Kononenko LI et al. Changes in the epidermal growth factor receptors in the liver cells of rats in N-nitrosodiethylamine-induced hepatic carcinogenesis. Eksp Onkol, 1990;12(5):15~18
, 百拇医药
4,Yang EB, Mack P, Cheng LY. Studies of epidermal growth factor (EGF) receptor in plasm membrane from rat liver and hepatoma tissues. Biochem Mol Biol Int, 1994;33(2):221~228
5,Menzo S, Clementi M, Alfani E et al. Trans-activation of epidermal growth factor receptor gene by the hepatitis B virus X-gene product. Virology, 1993;196(2):878~882
6,王文亮,顾广玉 胡,敏.人原发性肝内胆管细胞癌及其癌旁肝组织内乙型肝炎病毒基因的表达及意义.中华肿瘤杂志,1996;18(2):127
(图片见插页第56页)
收稿日期:1998-12-11
修回日期:1999-04-23, http://www.100md.com
单位:顾广玉 朱明华 詹洲(第二军医大学长海医院病理科,上海 200433);王文亮(第四军医大学病理学教研室,西安 710038)
关键词:癌;肝细胞;胆管癌;受体;表皮生长因子;原位杂交
临床与实验病理学杂志990503摘要 目的:比较表皮生长因子受体(EGFR)在肝细胞癌及胆管细胞癌中表达的差异。方法:采用免疫组化及原位杂交方法检测92例肝细胞癌及50例胆管细胞癌组织中EGFR蛋白及mRNA的表达。结果:92例肝细胞癌标本中,42例EGFR蛋白或mRNA阳性,占45.7%。50例胆管细胞癌中,36例EGFR蛋白或mRNA阳性,占72.0%。结论:与肝细胞癌相比,胆管细胞癌的发生、发展与EGFR表达增高的关系更加密切。
分类号 R735.7; R735.8 文献标识码 A
, 百拇医药
文章编号 1001-7399(1999)05-0385-02
Expression of epidermal growth factor receptor(EGFR) in hepatocellular carcinoma and cholangiocarcinoma
Gu Guangyu, Zhu Minghua,(Dept of Pathol, Changhai Hospital of Second Military Medical University, Shanghai 200433)
Wang Wenliang et al
(Dept of Pathol, Fourth Military Medical University, Xian 710038)
, 百拇医药
ABSTRACT Purpose To explore the difference in the expression of epidermal growth factor receptor (EGFR) between hepatocellular carcinoma and cholangiocarcinoma. Methods Immunohistochemical technique and in situ hybridization technique were used to detect EGFR protein and EGFR mRNA. Results Forty-two cases(45.7%) were positive for EGFR protein or EGFR mRNA in 92 cases of hepatocellular carcinoma, 36 cases(72.0%) were positive for EGFR protein or EGFR mRNA in 50 cases of cholangiocarcinoma. Conclusion The high expression of EGFR may play more important role in pathogenesis of cholangiocarcinoma than in pathogenesis of hepatocellular carcinoma.
, 百拇医药
KEY WORDS carcinoma,hepatocellular; cholangiocarcinoma; receptors,epidermal growth factor; in situ hybridization
现已发现,人类许多肿瘤中都有表皮生长因子受体(EGFR)的高水平表达,上皮组织来源的肿瘤更是如此。有研究报道EGFR在人肝细胞癌中表达水平增高,而有关EGFR在胆管细胞癌中表达的研究报道较少。为此,我们采用免疫组化与原位杂交方法检测了肝细胞癌及胆管细胞癌中EGFR蛋白及mRNA的表达,并比较了两者的差异。
1 材料和方法
1.1 标本 92例肝细胞癌标本及50例胆管细胞癌标本均为外科手术切除标本,10%中性福尔马林固定,石蜡包埋,5 μm厚连续切片。全部标本均经病理诊断证实。
1.2 抗体与探针 兔抗EGFR多克隆抗体购自美国Santa Cruz生物技术公司产品,EGFR cDNA片段采用随机引物法标记Dig-11-dUTP制备成探针。
, 百拇医药
1.3 免疫组化及原位杂交检测 免疫组化按ABC试剂盒说明进行,原位杂交按宝灵曼公司地高辛标记与检测手册进行。实验设立空白对照、替代对照、阴性对照及阳性对照。
1.4 统计学分析 采用χ2检验。
2 结果
2.1 免疫组化检测 92例肝细胞癌标本,其中68例有癌旁肝组织,42例癌组织中EGFR蛋白阳性,阳性信号为棕黄色颗粒,主要定位于胞浆及胞膜(图1),占45.7%,28例癌旁肝组织中EGFR蛋白阳性,占41.9%。癌与癌旁比较,阳性率差异无显著性。
图1 EGFR 蛋白阳性信号位于肝细胞癌癌细胞浆。ABC×400
50例胆管细胞癌标本,其中29例具有癌旁肝组织。36例癌组织中EGFR蛋白阳性,阳性信号为棕黄色颗粒,主要定位于胞浆及胞膜(图2),占72.0%,12例癌旁肝组织EGFR蛋白阳性,占41.4%。癌与癌旁比较,阳性率差异具有显著性(P<0.05)。
, 百拇医药
图2 EGFR 蛋白阳性信号位于胆管细胞癌癌细胞浆。ABC×400
2.2 原位杂交检测 EGFR mRNA原位杂交阳性信号为蓝紫色颗粒,主要位于胞浆(图3,4)。肝细胞癌及癌旁肝组织中EGFR mRNA阳性检出率分别为42.8%(39/92)和38.2%(26/68)。胆管细胞癌及癌旁肝组织中EGFR mRNA的阳性检出率分别为66.0%(33/50)和37.9%(11/29)。统计结果表明,同免疫组化结果间的差异无显著性。
图3 EGFR mRNA阳性信号位于肝细胞癌癌细胞浆。原位杂交×200
图4 EGFR mRNA阳性信号位于胆管细胞癌癌细胞浆。原位杂交×200
, 百拇医药
3 讨论
现已发现,EGFR受体激酶在细胞分裂,增殖及分化中起重要作用,一旦它们本身及诱发的细胞分裂、增殖、分化信号的传导出现异常,就可能导致肿瘤的发生。有研究报道EGFR在人肝细胞癌中表达水平增高,并认为EGFR在人肝细胞癌发展过程中的作用与肝细胞再生时的作用一样〔1〕。另外还有人发现有EGFR表达阳性的人肝细胞癌组织中DNA聚合酶α阳性细胞数较EGFR阴性者多,且复发率较EGFR阴性者高〔2〕。但Ivashchenko等〔3〕却发现二乙基亚硝胺诱发的鼠肝癌组织中EGFR减少,并提出可能是一些内环境因子在鼠肝脏肿瘤发生时引起EGFR的减少和亲和力的降低。Yang等〔4〕还发现正常鼠肝组织纯化的有功能的EGFR水平很高,但瘤组织中则缺乏有功能的EGFR。本研究结果表明,EGFR在肝细胞癌组织及其相应的癌旁肝组织中均有较高水平的表达,但两者阳性率的差异无显著性(P>0.05)。提示肝细胞癌及癌旁肝组织可能均为增殖活跃状态。
, 百拇医药
同肝细胞癌相比,胆管细胞癌中EGFR阳性检出率较高,两者比较差异具有显著性(P<0.05),胆管细胞癌组织EGFR阳性检出率亦明显高于其相应癌旁肝组织,差异具有显著性(P<0.05)。上述结果表明,EGFR表达增高与胆管细胞癌的发生、发展关系密切,EGFR在胆管细胞癌发生中的作用较在肝细胞癌发生中的作用更为突出。另有研究报道,用不同的HBVx基因表达载体转染HepG2细胞,EGFR表达水平明显增高,提示EGFR基因的调节区可能是HBVx基因表达产物反式激活作用的靶序列〔5〕。我们以往的研究证实胆管细胞癌的发生与HBV感染有关〔6〕。但对本实验结果统计分析,未发现EGFR表达与HBVx基因表达间有相关性。进一步研究EGFR在胆管细胞癌发生发展中的作用及其与HBV感染的关系,将进一步阐明胆管细胞癌发生的分子机制。
作者简介:顾广玉,男,32岁,硕士,主治医师。研究方向:分子肿瘤学
参考文献
, http://www.100md.com
1,Fukusato T, Mori S, Kawamoto T et al. Immunohistochemical and ultrastructural localization of epidermal growth factor receptor in human liver and hepatocellular carcinoma tissues. Acta Pathol Jpn, 1990;40(1):22~29
2,Tanaka H. Immunohistochemical studies on epidermal growth factor receptor in hepatocellular carcinoma. Nippoo Shokakibyo Gakkai Zasshi, 1991;88(2):138~144
3,Ivashchenko IUD, Garmanchuk LV, Kononenko LI et al. Changes in the epidermal growth factor receptors in the liver cells of rats in N-nitrosodiethylamine-induced hepatic carcinogenesis. Eksp Onkol, 1990;12(5):15~18
, 百拇医药
4,Yang EB, Mack P, Cheng LY. Studies of epidermal growth factor (EGF) receptor in plasm membrane from rat liver and hepatoma tissues. Biochem Mol Biol Int, 1994;33(2):221~228
5,Menzo S, Clementi M, Alfani E et al. Trans-activation of epidermal growth factor receptor gene by the hepatitis B virus X-gene product. Virology, 1993;196(2):878~882
6,王文亮,顾广玉 胡,敏.人原发性肝内胆管细胞癌及其癌旁肝组织内乙型肝炎病毒基因的表达及意义.中华肿瘤杂志,1996;18(2):127
(图片见插页第56页)
收稿日期:1998-12-11
修回日期:1999-04-23, http://www.100md.com