长期应用大黄对大鼠结肠肌电及Cajal间质细胞的影响
作者:童卫东 张胜本 张连阳 黄显凯 蔡文琴
单位:童卫东(第三军医大学附属大坪医院野战外科研究所普通外科,重庆 400042);张胜本(第三军医大学附属大坪医院野战外科研究所普通外科,重庆 400042);张连阳(第三军医大学附属大坪医院野战外科研究所普通外科,重庆 400042);黄显凯(第三军医大学附属大坪医院野战外科研究所普通外科,重庆 400042);蔡文琴(基础医学部组织学与胚胎学教研室,重庆 400038)
关键词:泻剂;结肠;肌电; Cajal间质细胞
第三军医大学学报000415 提 要: 目的 研究长期服用刺激性泻剂对大 鼠结肠肌电的影响,探讨Cajal间质细胞(ICC)在“泻剂结肠”肌电变化中的作用。方法 32只大鼠随机分为2组,实验组饲以含大黄饲料,3月后测定结肠慢波频率 及振幅;用碘化锌-锇酸法(ZIO)观察肌间丛ICC变化,透射电镜观察肌间丛神经和ICC的超 微结构变化。结果 长期服用大黄后,大鼠结肠慢波频率明显减慢(P< 0.05),肌间丛ICC分布不均匀,突起连接杂乱;电镜下见肌间丛神经轴突空 化,ICC样细 胞变性。结论 长期服用大黄可导致结肠慢波频率减慢,其可能机制为 肌间丛神经及ICC变性所引起。
, 百拇医药
中图法分类号: R333.2 文献标识码:A
文章编号:1000-5404(2000)04-0351-03
Effects of long-term application of Rhubarb on electromyography and interstitia l cells of Cajal of colon in rats
TONG Wei-dong, ZHANG Sheng-ben, ZHANG Lian-yang, HUANG Xian-kai, CAI Wen-qin
(Department of General Surgery, Daping Hospital, Third Military Med ical University, Chongqing 400042,China)
, 百拇医药
Abstract: Objective To investigate the effects of long-te rm application of cathartics on electromyography of rat colon and to explore the role of interstitial cells of Cajal (ICC) in it. Methods Colo nic slow waves of the rat was examined after the animals were fed for 3 months. ICC in myenteric plexus was observed by ZIO method. Meanwhile, the ultrastructur al changes of the nerves and ICC were also observed. Results The frequency of slow waves of cathartic colon was reduced significantly (P< 0. 05). The distribution of ICC in myenteric plexus was asymmetric and the proces ses connected with each other. Vacuolar degeneration of axon and ICC-like cells was revealed by electron microscopy in myenteric plexus of cathartic colon. [ WTFZ〗Conclusion Long-term application of Rhubarb can lead to reduced frequency of colonic slow waves. The possible mechanism is the degeneration o f ICC and myenteric nerve plexus.
, 百拇医药
Key words: cathartic; colon; electromyography; interstitial cell of Cajal▲
长期服用刺激性泻剂可导致结肠粘膜、平滑肌和壁内神经病变,形成所谓“泻剂结肠” [1]。而慢传输型便秘(Slow transit constipation,STC)患者一般均有长期服用各 类泻剂的病史,STC结肠的神经病理及动力异常是否与长期服用泻剂有关,缺乏令人信服的 依据。本文模仿STC患者服用泻剂的特点(服用剂量越来越大,而下泻作用越来越差),给大 鼠服用泻剂并逐渐增加剂量以保持有下泻作用,检测其结肠肌电变化、肌间丛Cajal间质细胞(Interstitial cells of Cajal,ICC)的分布及超微结构变化,旨在探讨长 期服用刺激性泻剂对结肠动力的影响机制,为STC的发病机制研究及防治提供理论依据。
1 材料与方法
, 百拇医药
1.1 实验动物
Wistar大鼠32只,体重160~330 g。随机分为2组:正常对照组、大黄组,每组16只 。对照组饲以普通干饲料。大黄组饲以含大黄粉的干饲料,起始剂量为200 mg-1.kg -1.d-1,递增至1 000 mg.kg-1.d-1时约半数动物出现稀便, 维持此剂量直到稀便消失,再按200 mg.kg-1.d-1递增,如此保持半数以上 动物有下泻作用饲养3月,大黄的最终用量为2 600 mg.kg-1.d-1。饲养过程 中大黄组死亡1只,死因不明。
1.2 在体结肠肌电测定
3%戊巴比妥钠腹腔麻醉,在结肠近段安置1对银丝电极,经切口引出连接胃肠电放大器 。30 min后开始记录。以5 min为一个时间段,分别计算每个时间段的频率和振幅及 变异系数。
, http://www.100md.com
1.3 碘化锌-锇酸(Zinc iodide-osmic acid,ZIO)染色
将2%锇酸与3%碘化锌按1∶3混合。将大鼠颈椎脱臼处死,剖腹取结肠近侧及远 侧各一段长约2 cm,生理盐水冲去内容物,置入作用液中24~36 h,蒸馏水冲洗1 h,制作 肌间丛铺片。
1.4 超微结构观察
取材同前,3%戊二醛固定24 h。梯度丙酮脱水,环氧树脂618包埋,半薄切片定位,超 薄切片经铀-铅双染色,透射电镜观察肌间丛神经和ICC变化。
2 结果
2.1 结肠肌电测定
与对照组相比,大黄组慢波频率明显减慢;快波的干扰较大,未作分析,见表1。
, 百拇医药
表1 结肠慢波频率、振幅及其变异系数
Tab 1 Frequency,amplitude, and their variation
quotients of slow wave of colon Groups
Frequency
(/5 min)
Variation qu otient
of frequency(%)
Amplitude
(mV/5 min)
Variation quotient
, 百拇医药
of amplitude(%)
Control
35.06±8.94
25.50
11.83±5.34
45.12
Rhubarb
27.07±7.87*
29.07
13.41±6.16
45.94
*:P< 0.05 vs control2.2 ZIO染色
, 百拇医药
2.2.1 ICC的确认 铺片上见神经纤维呈网状,其间分布着形态各异、着色深浅不一的细 胞。按照以下特征确认ICC[2]:①核大,呈圆形或卵圆形,核周胞浆 少;②核周胞浆向不同方向发出2~5条长突起,可有二级分支;③细胞位于神经节纤维的三 级分支(Tertiary)所形成的网眼中,胞体或其发出的突起与神经纤维关系密切但不相连,见 图1。
图1 对照组大鼠肌间丛ICC(.)形态 (ZIO×1 000)
Fig 1 Configuration of ICC in myenteric plexus (.) of colon in
control group (ZIO×1 000)
, http://www.100md.com
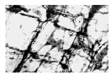
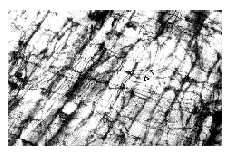
2.2.2 肌间丛ICC变化 对照组ICC突起相互连接形成网络,ICC分布比较均匀,见图2; 而大黄组ICC分布极不均匀,有的视野ICC密集,突起连接杂乱,有的视野ICC稀少,突起不 能相互连接形成网络,见图3。
图2 对照组ICC(→)分布及其突起互相连接形 成的网络(△) (ZIO×400)
Fig 2 Distribution of ICC(→) in control group and the network(△) of connected processes of ICC each other (ZIO×400)
图3 大黄组ICC(→)分布及其突起互相连接形成的网络(△) (ZIO×400)
, http://www.100md.com
Fig 3 Distribution of ICC (→) in Rhubarb group and the network (△) of connected processes of ICC (ZIO×400)
2.3 结肠肌间丛超微结构观察
2.3.1 对照组 紧邻神经束常可见到一类间充质细胞,胞质及突起内含丰富的线粒体、 内质网和发育良好的高尔基氏器,有膜内陷空泡,核糖体丰富,其胞质突起围绕神经束形成 不完整的“鞘”样结构,一般称之为ICC样细胞(ICC-like cells,ICC-LC)。
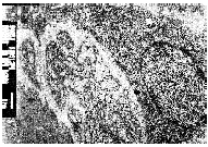
2.3.2 大黄组 结肠肌间丛神经束内轴突和树突扩张,电子密度不均匀,部分明显扩张 形成空泡。神经膨体内突触小泡含量明显减少。ICC-LC线粒体肿胀,内质网轻度扩张,有 自噬性空泡形成,见图4。
, 百拇医药
图4 大黄组肌间丛神经束断面及其邻近的ICC -LC
变性改变 (TEM×6 000)
Fig 4 Degenerative change of ICC-LC of myenteric plexus and
adjacent region in Rhubarb group (TEM×6 000)
3 讨论
早在60年代,一些研究者就观察到长期服用泻剂的患者可出现肌间丛嗜银性神经元数 目减少、平滑肌层变薄、结肠粘膜黑变等变化,经一定的时间后,结肠终将失去蠕动功能而 需手术切除。后来的动物试验也进一步证明长期饲以刺激性泻剂可导致小鼠结肠壁内相应的 病理变化,于是提出了“泻剂结肠”的观点[3]。但“泻剂结肠”的病理改 变及其与便秘的关系尚有争议。
, 百拇医药
有人测定了饲以番泻叶6个月的大鼠结肠在体肌电,未发现异常[4]。我们模仿 STC患者服用泻剂的特点,逐渐增加泻剂用量以保持半数动物有下泻作用,结果发现结肠慢 波频率减慢,提示长期大剂量应用大黄影响结肠慢波的产生或传导。造成结果差异的原因可 能与文献中的泻剂用量较小(10~40 mg.kg-1.d-1),恒定剂量饲养,不符合 STC患者泻剂用量越 用越大的过程有关。对照组与大黄组慢波变异系数无明显差别,说明“泻剂结肠”的结肠慢 波节律没有紊乱。
近来的研究表明ICC是不同于神经细胞和一般间质细胞的一类独立的细胞,对胃肠动力 有重要的调控作用。一方面ICC是胃肠道慢波的起搏者,另一方面ICC可能参与了NANC神经信 息传递过程。ICC广泛分布于肠神经系统,其中粘膜下丛及肌间丛ICC可能与慢波的产生有关 [5]。我们发现“泻剂结肠”肌间丛ICC分布不均匀,突起连接杂乱。既然ICC是肠道 慢波的起搏者,其突起形成的网络可能与慢波的传播有关,因此我们推测大鼠“泻剂结肠” 结肠肌间丛ICC分布和网络的杂乱性是慢波频率减慢的病理基础。
, 百拇医药
ICC超微结构特征包括:①胞质和突起内含丰富的线粒体、内质网和发育良好的高尔基 氏器;②有膜内陷空泡;③有较多中间丝,无粗肌丝;④非常接近三级神经束;⑤ICC相互 之间、与平滑肌细胞间可见缝隙连接。文献中常常把基本具备ICC超微结构特征,紧邻神经 束但未见到典型的缝隙连接的细胞统称为ICC-LC[6]。大黄组肌间丛ICC-LC线粒 体肿胀,内质网多轻度扩张和自噬性空泡形成等改变,提示ICC-LC变性是“泻剂结肠”结 肠ENS紊乱的一部分。如果ICC-LC至少代表了部分的ICC,那么ICC的变性对肠道慢波产生、 NANC神经信息传递都可能产生影响,进一步提示ICC变化可能是“泻剂结肠”结肠慢波频率 减慢的直接或间接原因。
基金项目:重庆市中青年科技专家基金资助项目
作者简介:童卫东(1969-),男,宁夏省石嘴山市人,硕士, 讲师,主要从事消化道动力学与大肠肛门疾病方面的研究,发表论文10篇。电话:(023)687 57248
, 百拇医药
参考文献:
[1] Smith B. Effect of irritant purgatives on the myenteric ple xus in man and mouse[J]. Gut,1968,9(3):139-143.
[2] 童卫东,蔡文琴,张胜本.Cajal间质细胞研究进展[J].解剖科学进展,199 7,3(1):214-218.
[3] Smith B. Pathologic changes in the colon produced by anthraquinone purgatives[J]. Dis Colon Rectum,1973,16(5):455-458.
[4] Fioramonti J, Dupuy C, Bueno L. In vivo motility of rat c olon c hronically pretreated with sennosides[J]. Pharmacology,1993,47(suppl 1):155-16 1.
[5] 童卫东,张胜本,张连阳,等.大鼠结肠肌间神经丛Cajal间质细胞形态[J] .解剖学杂志,1999,22(4):316-318.
[6] Zhou D S, Komuro T. Ultrastructure of the zinc iodide-osmic acid s tained cells in guinea pig small intestine[J]. J Anat,1995,187(4):481-485.
收稿日期:1999-01-23;修回日期:1999-12-09, http://www.100md.com
单位:童卫东(第三军医大学附属大坪医院野战外科研究所普通外科,重庆 400042);张胜本(第三军医大学附属大坪医院野战外科研究所普通外科,重庆 400042);张连阳(第三军医大学附属大坪医院野战外科研究所普通外科,重庆 400042);黄显凯(第三军医大学附属大坪医院野战外科研究所普通外科,重庆 400042);蔡文琴(基础医学部组织学与胚胎学教研室,重庆 400038)
关键词:泻剂;结肠;肌电; Cajal间质细胞
第三军医大学学报000415 提 要: 目的 研究长期服用刺激性泻剂对大 鼠结肠肌电的影响,探讨Cajal间质细胞(ICC)在“泻剂结肠”肌电变化中的作用。方法 32只大鼠随机分为2组,实验组饲以含大黄饲料,3月后测定结肠慢波频率 及振幅;用碘化锌-锇酸法(ZIO)观察肌间丛ICC变化,透射电镜观察肌间丛神经和ICC的超 微结构变化。结果 长期服用大黄后,大鼠结肠慢波频率明显减慢(P< 0.05),肌间丛ICC分布不均匀,突起连接杂乱;电镜下见肌间丛神经轴突空 化,ICC样细 胞变性。结论 长期服用大黄可导致结肠慢波频率减慢,其可能机制为 肌间丛神经及ICC变性所引起。
, 百拇医药
中图法分类号: R333.2 文献标识码:A
文章编号:1000-5404(2000)04-0351-03
Effects of long-term application of Rhubarb on electromyography and interstitia l cells of Cajal of colon in rats
TONG Wei-dong, ZHANG Sheng-ben, ZHANG Lian-yang, HUANG Xian-kai, CAI Wen-qin
(Department of General Surgery, Daping Hospital, Third Military Med ical University, Chongqing 400042,China)
, 百拇医药
Abstract: Objective To investigate the effects of long-te rm application of cathartics on electromyography of rat colon and to explore the role of interstitial cells of Cajal (ICC) in it. Methods Colo nic slow waves of the rat was examined after the animals were fed for 3 months. ICC in myenteric plexus was observed by ZIO method. Meanwhile, the ultrastructur al changes of the nerves and ICC were also observed. Results The frequency of slow waves of cathartic colon was reduced significantly (P< 0. 05). The distribution of ICC in myenteric plexus was asymmetric and the proces ses connected with each other. Vacuolar degeneration of axon and ICC-like cells was revealed by electron microscopy in myenteric plexus of cathartic colon. [ WTFZ〗Conclusion Long-term application of Rhubarb can lead to reduced frequency of colonic slow waves. The possible mechanism is the degeneration o f ICC and myenteric nerve plexus.
, 百拇医药
Key words: cathartic; colon; electromyography; interstitial cell of Cajal▲
长期服用刺激性泻剂可导致结肠粘膜、平滑肌和壁内神经病变,形成所谓“泻剂结肠” [1]。而慢传输型便秘(Slow transit constipation,STC)患者一般均有长期服用各 类泻剂的病史,STC结肠的神经病理及动力异常是否与长期服用泻剂有关,缺乏令人信服的 依据。本文模仿STC患者服用泻剂的特点(服用剂量越来越大,而下泻作用越来越差),给大 鼠服用泻剂并逐渐增加剂量以保持有下泻作用,检测其结肠肌电变化、肌间丛Cajal间质细胞(Interstitial cells of Cajal,ICC)的分布及超微结构变化,旨在探讨长 期服用刺激性泻剂对结肠动力的影响机制,为STC的发病机制研究及防治提供理论依据。
1 材料与方法
, 百拇医药
1.1 实验动物
Wistar大鼠32只,体重160~330 g。随机分为2组:正常对照组、大黄组,每组16只 。对照组饲以普通干饲料。大黄组饲以含大黄粉的干饲料,起始剂量为200 mg-1.kg -1.d-1,递增至1 000 mg.kg-1.d-1时约半数动物出现稀便, 维持此剂量直到稀便消失,再按200 mg.kg-1.d-1递增,如此保持半数以上 动物有下泻作用饲养3月,大黄的最终用量为2 600 mg.kg-1.d-1。饲养过程 中大黄组死亡1只,死因不明。
1.2 在体结肠肌电测定
3%戊巴比妥钠腹腔麻醉,在结肠近段安置1对银丝电极,经切口引出连接胃肠电放大器 。30 min后开始记录。以5 min为一个时间段,分别计算每个时间段的频率和振幅及 变异系数。
, http://www.100md.com
1.3 碘化锌-锇酸(Zinc iodide-osmic acid,ZIO)染色
将2%锇酸与3%碘化锌按1∶3混合。将大鼠颈椎脱臼处死,剖腹取结肠近侧及远 侧各一段长约2 cm,生理盐水冲去内容物,置入作用液中24~36 h,蒸馏水冲洗1 h,制作 肌间丛铺片。
1.4 超微结构观察
取材同前,3%戊二醛固定24 h。梯度丙酮脱水,环氧树脂618包埋,半薄切片定位,超 薄切片经铀-铅双染色,透射电镜观察肌间丛神经和ICC变化。
2 结果
2.1 结肠肌电测定
与对照组相比,大黄组慢波频率明显减慢;快波的干扰较大,未作分析,见表1。
, 百拇医药
表1 结肠慢波频率、振幅及其变异系数
Tab 1 Frequency,amplitude, and their variation
quotients of slow wave of colon Groups
Frequency
(/5 min)
Variation qu otient
of frequency(%)
Amplitude
(mV/5 min)
Variation quotient
, 百拇医药
of amplitude(%)
Control
35.06±8.94
25.50
11.83±5.34
45.12
Rhubarb
27.07±7.87*
29.07
13.41±6.16
45.94
*:P< 0.05 vs control2.2 ZIO染色
, 百拇医药
2.2.1 ICC的确认 铺片上见神经纤维呈网状,其间分布着形态各异、着色深浅不一的细 胞。按照以下特征确认ICC[2]:①核大,呈圆形或卵圆形,核周胞浆 少;②核周胞浆向不同方向发出2~5条长突起,可有二级分支;③细胞位于神经节纤维的三 级分支(Tertiary)所形成的网眼中,胞体或其发出的突起与神经纤维关系密切但不相连,见 图1。
图1 对照组大鼠肌间丛ICC(.)形态 (ZIO×1 000)
Fig 1 Configuration of ICC in myenteric plexus (.) of colon in
control group (ZIO×1 000)
, http://www.100md.com
2.2.2 肌间丛ICC变化 对照组ICC突起相互连接形成网络,ICC分布比较均匀,见图2; 而大黄组ICC分布极不均匀,有的视野ICC密集,突起连接杂乱,有的视野ICC稀少,突起不 能相互连接形成网络,见图3。
图2 对照组ICC(→)分布及其突起互相连接形 成的网络(△) (ZIO×400)
Fig 2 Distribution of ICC(→) in control group and the network(△) of connected processes of ICC each other (ZIO×400)
图3 大黄组ICC(→)分布及其突起互相连接形成的网络(△) (ZIO×400)
, http://www.100md.com
Fig 3 Distribution of ICC (→) in Rhubarb group and the network (△) of connected processes of ICC (ZIO×400)
2.3 结肠肌间丛超微结构观察
2.3.1 对照组 紧邻神经束常可见到一类间充质细胞,胞质及突起内含丰富的线粒体、 内质网和发育良好的高尔基氏器,有膜内陷空泡,核糖体丰富,其胞质突起围绕神经束形成 不完整的“鞘”样结构,一般称之为ICC样细胞(ICC-like cells,ICC-LC)。
2.3.2 大黄组 结肠肌间丛神经束内轴突和树突扩张,电子密度不均匀,部分明显扩张 形成空泡。神经膨体内突触小泡含量明显减少。ICC-LC线粒体肿胀,内质网轻度扩张,有 自噬性空泡形成,见图4。
, 百拇医药
图4 大黄组肌间丛神经束断面及其邻近的ICC -LC
变性改变 (TEM×6 000)
Fig 4 Degenerative change of ICC-LC of myenteric plexus and
adjacent region in Rhubarb group (TEM×6 000)
3 讨论
早在60年代,一些研究者就观察到长期服用泻剂的患者可出现肌间丛嗜银性神经元数 目减少、平滑肌层变薄、结肠粘膜黑变等变化,经一定的时间后,结肠终将失去蠕动功能而 需手术切除。后来的动物试验也进一步证明长期饲以刺激性泻剂可导致小鼠结肠壁内相应的 病理变化,于是提出了“泻剂结肠”的观点[3]。但“泻剂结肠”的病理改 变及其与便秘的关系尚有争议。
, 百拇医药
有人测定了饲以番泻叶6个月的大鼠结肠在体肌电,未发现异常[4]。我们模仿 STC患者服用泻剂的特点,逐渐增加泻剂用量以保持半数动物有下泻作用,结果发现结肠慢 波频率减慢,提示长期大剂量应用大黄影响结肠慢波的产生或传导。造成结果差异的原因可 能与文献中的泻剂用量较小(10~40 mg.kg-1.d-1),恒定剂量饲养,不符合 STC患者泻剂用量越 用越大的过程有关。对照组与大黄组慢波变异系数无明显差别,说明“泻剂结肠”的结肠慢 波节律没有紊乱。
近来的研究表明ICC是不同于神经细胞和一般间质细胞的一类独立的细胞,对胃肠动力 有重要的调控作用。一方面ICC是胃肠道慢波的起搏者,另一方面ICC可能参与了NANC神经信 息传递过程。ICC广泛分布于肠神经系统,其中粘膜下丛及肌间丛ICC可能与慢波的产生有关 [5]。我们发现“泻剂结肠”肌间丛ICC分布不均匀,突起连接杂乱。既然ICC是肠道 慢波的起搏者,其突起形成的网络可能与慢波的传播有关,因此我们推测大鼠“泻剂结肠” 结肠肌间丛ICC分布和网络的杂乱性是慢波频率减慢的病理基础。
, 百拇医药
ICC超微结构特征包括:①胞质和突起内含丰富的线粒体、内质网和发育良好的高尔基 氏器;②有膜内陷空泡;③有较多中间丝,无粗肌丝;④非常接近三级神经束;⑤ICC相互 之间、与平滑肌细胞间可见缝隙连接。文献中常常把基本具备ICC超微结构特征,紧邻神经 束但未见到典型的缝隙连接的细胞统称为ICC-LC[6]。大黄组肌间丛ICC-LC线粒 体肿胀,内质网多轻度扩张和自噬性空泡形成等改变,提示ICC-LC变性是“泻剂结肠”结 肠ENS紊乱的一部分。如果ICC-LC至少代表了部分的ICC,那么ICC的变性对肠道慢波产生、 NANC神经信息传递都可能产生影响,进一步提示ICC变化可能是“泻剂结肠”结肠慢波频率 减慢的直接或间接原因。
基金项目:重庆市中青年科技专家基金资助项目
作者简介:童卫东(1969-),男,宁夏省石嘴山市人,硕士, 讲师,主要从事消化道动力学与大肠肛门疾病方面的研究,发表论文10篇。电话:(023)687 57248
, 百拇医药
参考文献:
[1] Smith B. Effect of irritant purgatives on the myenteric ple xus in man and mouse[J]. Gut,1968,9(3):139-143.
[2] 童卫东,蔡文琴,张胜本.Cajal间质细胞研究进展[J].解剖科学进展,199 7,3(1):214-218.
[3] Smith B. Pathologic changes in the colon produced by anthraquinone purgatives[J]. Dis Colon Rectum,1973,16(5):455-458.
[4] Fioramonti J, Dupuy C, Bueno L. In vivo motility of rat c olon c hronically pretreated with sennosides[J]. Pharmacology,1993,47(suppl 1):155-16 1.
[5] 童卫东,张胜本,张连阳,等.大鼠结肠肌间神经丛Cajal间质细胞形态[J] .解剖学杂志,1999,22(4):316-318.
[6] Zhou D S, Komuro T. Ultrastructure of the zinc iodide-osmic acid s tained cells in guinea pig small intestine[J]. J Anat,1995,187(4):481-485.
收稿日期:1999-01-23;修回日期:1999-12-09, http://www.100md.com