鼻咽癌细胞株裸鼠移植瘤中癌细胞增生凋亡及其相关基因的表达
作者:李 智 宗永生
单位:中山医科大学病理教研室; 广州, 510089
关键词:鼻咽肿瘤;病理学;肿瘤移植;增生;细胞凋亡
中山医科大学学报990103
摘 要 目的:研究鼻咽癌细胞株CNE-1、CNE-2裸鼠移植瘤中癌细胞增生、凋亡及其与肿瘤生长速度的关系,探讨移植瘤中肿瘤细胞凋亡的机理。方法:将鼻咽癌细胞株CNE-1、CNE-2分别接种于裸鼠皮下,并连续在体内传9代。对每一代肿瘤组织进行HE染色,TUNEL法(原位细胞死亡末端标记法)检测原位细胞凋亡及免疫组化法检测PCNA、bcl-2、bax和p53的表达。结果:CNE-2移植瘤生长速度快于CNE-1移植瘤; CNE-2移植瘤内肿瘤细胞分裂指数和细胞增生指数明显高于CNE-1移植瘤,而细胞凋亡却相对较少;移植瘤组织中的凋亡主要表现为“皱缩性坏死”和“凋亡小体”的形成;所有移植瘤组织中都有p53蛋白积聚和bax过表达,但却未见bcl-2的表达。结论:CNE-1和CNE-2细胞株移植于裸鼠皮下后,生长速度的差异是由于肿瘤细胞增生-凋亡比例不同所致;裸鼠移植瘤组织中瘤细胞的死亡主要表现为凋亡,凋亡的途径可能是不依赖于野生型p53,而由bax所介导的。
, http://www.100md.com
中图号 R 739.6
Proliferation and Apoptosis and Their Related Genes Expression in Nude
Mice Transplants of Nasopharyngeal Carcinoma
Li Zhi Zong Yongsheng
(Department of Pathology, Sun Yat-sen University of Medical Sciences, Guangzhou, 510089)
Abstract Objective: To observe the neoplastic cell proliferation and apoptosis in nude mice transplants of nasopharyngeal carcinoma cell lines, CNE-1 and CNE-2, and correlate their relation to the rate of tumour growth as well as to investigate the possible pathway of cell apoptosis developed in these transplants. Methods:CNE-1 and CNE-2 cell lines were inoculated into nude mice for 9 passages. H&E, TUNEL, and immunohistochemistry were performed for detection of cell proliferation and apoptosis as well as bcl-2, bax, and p53 expression, respectively. Results:The mitotic figure and PCNA indices of CNE-2 transplants were significantly higher than those of CNE-1 transplants; and the CNE-2 transplants grew more rapidly than CNE-1 transplants did. The great majority of cell death found in transplant tissues was apoptosis,showing abundant “shrinkage necrosis” and apoptotic bodies. Most of the neoplastic cells in the transplants of 9 nude mice passages expressed marked bax but no bcl-2 proteins and had p53 protein accumulation. Conclusions: The different growth rate of CNE-1 and CNE-2 NPC cell lines in nude mice transplants accords with the different ratio of cell proliferation and apoptosis. Most of the neoplastic cells in the nude mice transplants undergo cell death mainly by the way of apoptosis. The apoptosis developed in these transplants possibly takes the p53-independent and bax-mediated pathway.
, 百拇医药
Subject headings nasopharyngeal neoplasms/pathology; neoplasm transplantation; proliferation; apoptosis
肿瘤细胞增生、死亡数量之间的比例可以反映肿瘤的生长速度[1]。我们以往的实验研究发现CNE-1,CNE-2裸鼠移植瘤的生长速度有差异,这种差异是否反映在瘤细胞增生、死亡之间的比例?另外,细胞凋亡失控是肿瘤发生发展过程中的一个重要因素,它在鼻咽癌移植瘤中起到何种作用,其形态学特征又如何,迄今尚未见有报道。特别是在该移植瘤组织中瘤细胞经何种途径凋亡,以及凋亡相关基因bcl-2、bax和p53的表达与凋亡的关系如何,更值得探讨。
1 材料和方法
1.1 材 料
BALB/C裸小鼠(由中山医科大学动物中心提供),5~8周龄,雌雄不拘,在无特殊致病菌环境中饲养。鼻咽癌细胞株CNE-1、CNE-2经含φ=10%小牛血清的RPMI 1640培养液培养后,将新鲜消化的1×106/L浓度细胞悬液0.5 mL分别接种于裸鼠颈背部皮下。肿瘤长大后,处死裸鼠,将肿瘤组织置生理盐水中清洗并测量其体积,部分组织进行病理学检查,部分组织重新移植于裸鼠皮下并连续在体内传至9代。该9代裸鼠荷瘤生长时间为11~23 d。Saos-2和SW480是由香港大学微生物系提供的细胞株。前者p53基因缺失,后者的p53基因第8、第9外显子有点突变,分别作为p53蛋白阴性和阳性对照。
, http://www.100md.com
1.2 观察指标及标准
在光镜下观察并计算各代移植瘤组织HE染色切片中细胞分裂指数(mitotic figure index,MFI)及细胞死亡区面积(area of cell death,ACD)。以5个高倍视野(10×40)下细胞分裂数的均数作为细胞分裂指数。细胞死亡(包括“皱缩性坏死”和凝固性坏死)区面积是以其在组织切片中所占的百分比作为指标。用原位细胞凋亡试剂盒(Boehringer Mannheim Kit No.1684809)检测凋亡细胞及凋亡小体。用LSAB免疫组化试剂盒(DAKO K0681),检测肿瘤细胞的PCNA(proliferating cell nuclear antigen, clone PC10, DAKO M0879)、bcl-2(clone 124,DAKO M0887)、bax (Bax 1-19,Santa cruz Biotechnology, Inc. cat#sc-930)和p53 (clone Do-7,DAKO M7001)的表达,抗体工作浓度分别为:PCNA 1∶100,bcl-2 1∶60, bax 1∶100,p 53 1∶100。PCNA未经预处理,bcl-2、bax和p53则在加一抗前经柠檬酸缓冲液(pH6.0)微波预处理。DAB显色,甲基绿复染。PCNA和p53阳性信号位于核内,而bcl-2和bax则在胞浆和胞膜。在非细胞死亡区内5个高倍视野下PCNA阳性细胞的平均百分数,作为肿瘤细胞PCNA指数(PCNA indes, PI)。超过10%的肿瘤细胞呈p53阳性时定为p53蛋白积聚。胞浆及胞膜出现bcl-2阳性信号为bcl-2蛋白过表达,胞膜出现bax阳性信号为bax蛋白过表达。
, 百拇医药
2 结 果
2.1 9代移植瘤组织细胞增生与死亡程度
CNE-2细胞悬液接种于裸鼠皮下6 d后即出现微隆起于皮肤表面的肿瘤突起,而CNE-1细胞株需9 d才有肿瘤小结节隆起。各代裸鼠移植瘤CNE-1的荷瘤时间为13~23 d,平均(18±4) d,肿瘤体积(0.3~1.0) cm3,平均(0.5±0.3) cm3;CNE-2的荷瘤时间为11~17 d,平均(14±2) d,肿瘤体积(0.3~2.0) cm3,平均(0.7±0.5) cm3。两种移植瘤组织中肿瘤细胞增生程度采用细胞分裂相指数(MFI)和细胞增殖指数(PI)表示;肿瘤细胞死亡程度主要以细胞死亡区(ACD)在整个组织切面中所占的面积百分比来表示。9代移植瘤平均增生和死亡程度的比较见表1。
表1 9代移植瘤组织细胞增生与死亡程度
, 百拇医药
Table 1 Degree of proliferation and cell death in 9 passages of CNE-1 and CNE-2 transplants
CNE-1
CNE-2
P
MFI
1.2±0.9
3.6±2.3
<0.011)
PI(%)
59.9±28.2
, http://www.100md.com
85.1±22.5
<0.052)
ACD(%)
36.9±19.3
20.9±16.6
<0.052)
1) Student t test 2) Signed rank test
2.2 移植瘤组织中的瘤细胞凋亡
CNE-1移植瘤分化较好,在HE染色下细胞分界较清楚,有时可见细胞间桥和个别角化细胞(插页1图1),而CNE-2移植瘤则分化较差,细胞分界不清楚,无细胞间桥和个别角化细胞(插页1图2)。CNE-1及CNE-2各代裸鼠移植瘤组织在HE染色下均可见到多灶性肿瘤细胞死亡。细胞死亡灶中有“皱缩性坏死”(“shrinkage necrosis”)和凝固性坏死两种形态,而常以“皱缩性坏死”为主(插页1图3)。“皱缩性坏死”的细胞相互分离,体积缩小,胞浆高度嗜酸性,内含1~2个固缩而深染的核,少数细胞甚至不含核(插页1图3)。在TUNEL染色下,这些“皱缩性坏死”的细胞呈强阳性的末端标记信号。凝固性坏死细胞轮廓尚存,胞浆染色较浅,核已消失(插页1图3)。在所谓非细胞死亡灶的HE染色下仍可见到少数位于细胞间和被瘤细胞吞噬的凋亡小体(插页1图2)。凋亡小体表现为不含或含染色质的微小嗜酸性小体,被吞噬在细胞内的凋亡小体旁常有一个空晕。在TUNEL染色下除了这些凋亡小体呈阳性信号外,许多HE染色下被忽视的凋亡小体都可被检测到(插页1图4)。每个高倍视野(10×40)至少有100个凋亡小体信号。
, http://www.100md.com
2.3 移植瘤组织中p53、bax和bcl-2的表达
对CNE-1和CNE-2各9代移植瘤组织进行免疫组化检测,发现所有肿瘤组织内均有p53蛋白的积聚(插页1图5),bax在绝大多数肿瘤细胞中过表达(插页1图6),但全部肿瘤组织未见bcl-2的表达。
3 讨 论
从表1可见,代表肿瘤细胞增生程度的细胞分裂相指数和细胞增殖指数,CNE-2者高于CNE-1,两者间有显著性差异,P值分别小于0.01和0.05,表明CNE-2移植瘤瘤细胞的增生程度较高;而代表肿瘤细胞死亡程度的细胞死亡区面积百分比,CNE-2低于CNE-1,两者间也有显著性差异,P值小于0.05,表明CNE-2移植瘤细胞的死亡程度较低。众所周知,组织中细胞增生、分化和死亡程度的比率决定了该组织的生长速度[1]。据此推理,增生程度较高、死亡程度较低的CNE-2移植瘤应比增生程度较低、死亡程度较高的CNE-1移植瘤生长速度较快。我们的实验结果恰恰证明了这一点,具体表现在:①CNE-2接种裸鼠后6 d即出现瘤结节,而CNE-1却要在9 d后才出现;②在取出的9代两种移植瘤平均体积CNE-1(0.5±0.3) cm3,CNE-2(0.7±0.5) cm3无明显差异(P>0.05)的前提下,CNE-2 9代移植瘤平均荷瘤生长时间只需(14±2) d,而CNE-1却需(18±4) d,两者之间有显著性差异(P<0.05)。我们考虑这两种移植瘤在生长速度上的差异可能是由于两种细胞株的分化程度不同所致。目前尚未见有这种瘤细胞增生—死亡比率在鼻咽癌生长速度方面的临床或实验性报道。
, http://www.100md.com
我们发现将CNE-1、CNE-2接种裸鼠传代的过程中,肿瘤组织是逐步长大的,镜下可见瘤细胞增生和死亡并存。这说明肿瘤组织的生长是在瘤细胞增生超过死亡的状态下实现的。这种瘤细胞死亡是采取何种形式的死亡,坏死还是凋亡?我们所见到的细胞死亡区大多是“皱缩性坏死”的细胞,而现今已经证实所谓“皱缩性坏死”就是凋亡[2];除了“皱缩性坏死”外,还见到众多典型的凋亡小体,所以本实验9代移植瘤组织中见到的细胞死亡主要是凋亡。至于所见到的少量凝固性坏死细胞可以是真性的也可以是继发于凋亡的,即所谓“继发性坏死”。这种瘤细胞凋亡不是细胞免疫所介导的,因为瘤细胞是在免疫缺陷的裸鼠体内生长的。我们考虑可能还是由于CNE-1、CNE-2癌细胞中发生的基因改变时导致的增生——凋亡调节失控所造成的细胞凋亡。
这种细胞凋亡是如何发生的?已知野生型p53蛋白可以通过激活bax基因的启动子,上调bax的表达,形成bax/bax同二聚体,导致细胞凋亡[3],这就是目前研究较多的p53依赖性细胞凋亡。CNE-1和CNE-2都是具有p53基因第8外显子280密码子杂合子点实变的细胞株[4]。这两种细?胞株中野生型和突变型p53蛋白同时并存,但以突变型p53蛋白起主导作用[5]。因此,我们在这两种细胞株的细胞涂片和移植瘤组织切片中均可见突变型p53蛋白的积聚。因为突变型p53蛋白丧失了激活bax基因启动子的功能[6],所以CNE-1、CNE-2移植瘤组织中的细胞凋亡是p53非依赖性的。O'Neill等曾经报告肺小细胞癌中的瘤细胞呈p53非依赖性凋亡[7],我们的研究表明,鼻咽癌移植组织瘤中瘤细胞的凋亡也是p53非依赖性的,此项结果尚未见文献报道。
, http://www.100md.com
虽然CNE-1和CNE-2的移植瘤组织中的突变型p53蛋白不能上调bax的表达[6],但在所有CNE-1和CNE-2移植瘤组织中却又可见到bax的过表达。虽然有文献表明[8,9]p53失活,bax过表达不一定导致细胞的凋亡,但我们考虑本实验鼻咽癌移植瘤组织中的细胞凋亡还是由于bax过表达,形成bax/bax同二聚体,引起细胞内线粒体通透性改变,最终导致的细胞凋亡[10]。所以这是一种非p53依赖,但仍由bax介导的细胞凋亡。Strobel T等(1996)[11]和Janson W等(1997)[12]曾分别报道化疗药物及丁酸盐可以引起非p53依赖性,bax增加的瘤细胞凋亡。至于CNE-1和CNE-2移植瘤中的瘤细胞凋亡是何种因素造成bax的过表达,确值得进一步研究。
本研究所探索的癌细胞凋亡机制只局限在鼻咽癌裸鼠移植瘤组织中,而人体鼻咽癌与裸鼠移植瘤是不同的。CNE-1和CNE-2移植瘤均有p53突变且未见bcl-2表达,而人体鼻咽癌却少有p53突变[4],bcl-2表达率较高(本实验室检测83例鼻咽癌组织,75例呈bcl-2阳性)。因此进一步研究人体鼻咽癌癌细胞凋亡的机制就显得很有必要。
, http://www.100md.com
图1 CNE-裸鼠移植瘤HE染色(×100)
Fig.1 H&E stained slide of CNE-1 nude mice transplant
Showing relatively differetiated neoplastic cells with destinct cell border(×100)
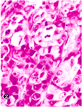
图2 CNE-2裸鼠移植瘤HE染色(×100)
Fig.2 H&E stained slide of CNE-2 nude mice transplant
Showing apoptotic bodies and mitotic neoplastic cells(×100)
, 百拇医药
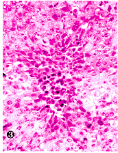
图3 CNE-2裸鼠移植瘤“皱缩性坏死”灶(×50)
Fig.3 Afocus of“shrinkage necrosis”in H&E stained slide of CEN-2 nude mice transplant
The neoplastic cells of“shrinkage necrosis”had eosinophilic cytoplasm and pyknotic nucleus(×50)
图4 裸鼠移植瘤中的凋亡小体(×50)
Fig.4 Apoptotic bodies seen in nude mice transplant
, 百拇医药
Showing a lot of apoptotic bodies on the slide stained with TUNEL(×50)
图5 裸鼠移植瘤p53蛋白积聚
Fig.5 Nude mice transplant with p53 protein accumulation
Majority of neoplastic cell nuclei showing p53 protein accumulation(DO7 IHC,×50)
图6 裸鼠移植瘤中瘤细胞bax过表达
, http://www.100md.com
Fig.6 Nude mice transplant with bax overexpression
The neoplastic cells showing cytoplasmic bas overexpression(bax IHC,×50)
国家自然科学基金(39730200-Ⅱ)资助课题
参考文献
1 Blandino G, Strano S. BCL-2:the pendulum of the cell fate. J Exp Clin Cancer Res, 1997,16(1):3
2 Kerr J F R. Shrinkage necrosis: A distinct mode of cellular death. J Pathol, 1971,105(1):13
, 百拇医药
3 O1tvai Z N, Milliman C L, Korsmeyer S J. Bcl-2 heterodi-merizes in vivo with a conserved homolog, Bax, that accelerates programmed cell death. Cell,1993,74(4):609
4 Spruck C H, Tsai Y C, Huang D P,et al. Absence of p53 gene mutations in primary nasopharyngeal carcinomas. Cancer Res, 1992,52(17):4787
5 Sun Y, Dong Z, Nakamura K, et al. Dosage-dependent dominance over wild-type p53 of a mutant p53 isolated from nasopharyngeal carcinoma. FASEB J,1993,7(10):944
, http://www.100md.com
6 Miyashita T, Reed J C. Tumour Suppressor p53 is a direct transcriptional activator of human bax gene. Cell, 1995,80(2):293
7 O'Neill A J, Staunton M J. Gaffney E F. Apoptosis occurs independently of bcl-2 and p53 over-expression in non-small cell lung carcinoma. Histopathology, 1996,29(1):45
8 Han Z, Chatterjee D, He D M, et al. Evidence for a G2 checkpoint in p53-independent apoptosis induction by X-irradiation. Mol Cell Biol, 1995,15(11):5849
, http://www.100md.com
9 Ishida M, Gomyo Y, Ohfuji S, et al. Evidence that expression of a mutated p53 gene attenuates apoptotic cell death in human gastric intestinal-type carcinomas in vivo. Jpn J Cancer Res, 1997,88(5):468
10 Pastorino J G, Chen S T, Tafani M, et al. The overexpression of Bax produces cell death upon induction of the mitochondrial permeability transition. J Biol Chem, 1998,273(13):7770
11 Strobel T, Swanson L, Korsmeyer S, et al. Bax enhances paclitaxelinduced apoptosis through a p53-independent pathway. Proc Natl Acad Sci USA, 1996,93(24):14094
12 Janson W, Brandner G, Siegel J. Butyrate modulates DNA-damag-induced p53 response by induction of p53-independent differentiation and apoptosis. Oncogene, 1997,15(12):1395
(1998 - 07 - 06收稿 1998 - 11 - 27修回), 百拇医药
单位:中山医科大学病理教研室; 广州, 510089
关键词:鼻咽肿瘤;病理学;肿瘤移植;增生;细胞凋亡
中山医科大学学报990103
摘 要 目的:研究鼻咽癌细胞株CNE-1、CNE-2裸鼠移植瘤中癌细胞增生、凋亡及其与肿瘤生长速度的关系,探讨移植瘤中肿瘤细胞凋亡的机理。方法:将鼻咽癌细胞株CNE-1、CNE-2分别接种于裸鼠皮下,并连续在体内传9代。对每一代肿瘤组织进行HE染色,TUNEL法(原位细胞死亡末端标记法)检测原位细胞凋亡及免疫组化法检测PCNA、bcl-2、bax和p53的表达。结果:CNE-2移植瘤生长速度快于CNE-1移植瘤; CNE-2移植瘤内肿瘤细胞分裂指数和细胞增生指数明显高于CNE-1移植瘤,而细胞凋亡却相对较少;移植瘤组织中的凋亡主要表现为“皱缩性坏死”和“凋亡小体”的形成;所有移植瘤组织中都有p53蛋白积聚和bax过表达,但却未见bcl-2的表达。结论:CNE-1和CNE-2细胞株移植于裸鼠皮下后,生长速度的差异是由于肿瘤细胞增生-凋亡比例不同所致;裸鼠移植瘤组织中瘤细胞的死亡主要表现为凋亡,凋亡的途径可能是不依赖于野生型p53,而由bax所介导的。
, http://www.100md.com
中图号 R 739.6
Proliferation and Apoptosis and Their Related Genes Expression in Nude
Mice Transplants of Nasopharyngeal Carcinoma
Li Zhi Zong Yongsheng
(Department of Pathology, Sun Yat-sen University of Medical Sciences, Guangzhou, 510089)
Abstract Objective: To observe the neoplastic cell proliferation and apoptosis in nude mice transplants of nasopharyngeal carcinoma cell lines, CNE-1 and CNE-2, and correlate their relation to the rate of tumour growth as well as to investigate the possible pathway of cell apoptosis developed in these transplants. Methods:CNE-1 and CNE-2 cell lines were inoculated into nude mice for 9 passages. H&E, TUNEL, and immunohistochemistry were performed for detection of cell proliferation and apoptosis as well as bcl-2, bax, and p53 expression, respectively. Results:The mitotic figure and PCNA indices of CNE-2 transplants were significantly higher than those of CNE-1 transplants; and the CNE-2 transplants grew more rapidly than CNE-1 transplants did. The great majority of cell death found in transplant tissues was apoptosis,showing abundant “shrinkage necrosis” and apoptotic bodies. Most of the neoplastic cells in the transplants of 9 nude mice passages expressed marked bax but no bcl-2 proteins and had p53 protein accumulation. Conclusions: The different growth rate of CNE-1 and CNE-2 NPC cell lines in nude mice transplants accords with the different ratio of cell proliferation and apoptosis. Most of the neoplastic cells in the nude mice transplants undergo cell death mainly by the way of apoptosis. The apoptosis developed in these transplants possibly takes the p53-independent and bax-mediated pathway.
, 百拇医药
Subject headings nasopharyngeal neoplasms/pathology; neoplasm transplantation; proliferation; apoptosis
肿瘤细胞增生、死亡数量之间的比例可以反映肿瘤的生长速度[1]。我们以往的实验研究发现CNE-1,CNE-2裸鼠移植瘤的生长速度有差异,这种差异是否反映在瘤细胞增生、死亡之间的比例?另外,细胞凋亡失控是肿瘤发生发展过程中的一个重要因素,它在鼻咽癌移植瘤中起到何种作用,其形态学特征又如何,迄今尚未见有报道。特别是在该移植瘤组织中瘤细胞经何种途径凋亡,以及凋亡相关基因bcl-2、bax和p53的表达与凋亡的关系如何,更值得探讨。
1 材料和方法
1.1 材 料
BALB/C裸小鼠(由中山医科大学动物中心提供),5~8周龄,雌雄不拘,在无特殊致病菌环境中饲养。鼻咽癌细胞株CNE-1、CNE-2经含φ=10%小牛血清的RPMI 1640培养液培养后,将新鲜消化的1×106/L浓度细胞悬液0.5 mL分别接种于裸鼠颈背部皮下。肿瘤长大后,处死裸鼠,将肿瘤组织置生理盐水中清洗并测量其体积,部分组织进行病理学检查,部分组织重新移植于裸鼠皮下并连续在体内传至9代。该9代裸鼠荷瘤生长时间为11~23 d。Saos-2和SW480是由香港大学微生物系提供的细胞株。前者p53基因缺失,后者的p53基因第8、第9外显子有点突变,分别作为p53蛋白阴性和阳性对照。
, http://www.100md.com
1.2 观察指标及标准
在光镜下观察并计算各代移植瘤组织HE染色切片中细胞分裂指数(mitotic figure index,MFI)及细胞死亡区面积(area of cell death,ACD)。以5个高倍视野(10×40)下细胞分裂数的均数作为细胞分裂指数。细胞死亡(包括“皱缩性坏死”和凝固性坏死)区面积是以其在组织切片中所占的百分比作为指标。用原位细胞凋亡试剂盒(Boehringer Mannheim Kit No.1684809)检测凋亡细胞及凋亡小体。用LSAB免疫组化试剂盒(DAKO K0681),检测肿瘤细胞的PCNA(proliferating cell nuclear antigen, clone PC10, DAKO M0879)、bcl-2(clone 124,DAKO M0887)、bax (Bax 1-19,Santa cruz Biotechnology, Inc. cat#sc-930)和p53 (clone Do-7,DAKO M7001)的表达,抗体工作浓度分别为:PCNA 1∶100,bcl-2 1∶60, bax 1∶100,p 53 1∶100。PCNA未经预处理,bcl-2、bax和p53则在加一抗前经柠檬酸缓冲液(pH6.0)微波预处理。DAB显色,甲基绿复染。PCNA和p53阳性信号位于核内,而bcl-2和bax则在胞浆和胞膜。在非细胞死亡区内5个高倍视野下PCNA阳性细胞的平均百分数,作为肿瘤细胞PCNA指数(PCNA indes, PI)。超过10%的肿瘤细胞呈p53阳性时定为p53蛋白积聚。胞浆及胞膜出现bcl-2阳性信号为bcl-2蛋白过表达,胞膜出现bax阳性信号为bax蛋白过表达。
, 百拇医药
2 结 果
2.1 9代移植瘤组织细胞增生与死亡程度
CNE-2细胞悬液接种于裸鼠皮下6 d后即出现微隆起于皮肤表面的肿瘤突起,而CNE-1细胞株需9 d才有肿瘤小结节隆起。各代裸鼠移植瘤CNE-1的荷瘤时间为13~23 d,平均(18±4) d,肿瘤体积(0.3~1.0) cm3,平均(0.5±0.3) cm3;CNE-2的荷瘤时间为11~17 d,平均(14±2) d,肿瘤体积(0.3~2.0) cm3,平均(0.7±0.5) cm3。两种移植瘤组织中肿瘤细胞增生程度采用细胞分裂相指数(MFI)和细胞增殖指数(PI)表示;肿瘤细胞死亡程度主要以细胞死亡区(ACD)在整个组织切面中所占的面积百分比来表示。9代移植瘤平均增生和死亡程度的比较见表1。
表1 9代移植瘤组织细胞增生与死亡程度
, 百拇医药
Table 1 Degree of proliferation and cell death in 9 passages of CNE-1 and CNE-2 transplants
CNE-1
CNE-2
P
MFI
1.2±0.9
3.6±2.3
<0.011)
PI(%)
59.9±28.2
, http://www.100md.com
85.1±22.5
<0.052)
ACD(%)
36.9±19.3
20.9±16.6
<0.052)
1) Student t test 2) Signed rank test
2.2 移植瘤组织中的瘤细胞凋亡
CNE-1移植瘤分化较好,在HE染色下细胞分界较清楚,有时可见细胞间桥和个别角化细胞(插页1图1),而CNE-2移植瘤则分化较差,细胞分界不清楚,无细胞间桥和个别角化细胞(插页1图2)。CNE-1及CNE-2各代裸鼠移植瘤组织在HE染色下均可见到多灶性肿瘤细胞死亡。细胞死亡灶中有“皱缩性坏死”(“shrinkage necrosis”)和凝固性坏死两种形态,而常以“皱缩性坏死”为主(插页1图3)。“皱缩性坏死”的细胞相互分离,体积缩小,胞浆高度嗜酸性,内含1~2个固缩而深染的核,少数细胞甚至不含核(插页1图3)。在TUNEL染色下,这些“皱缩性坏死”的细胞呈强阳性的末端标记信号。凝固性坏死细胞轮廓尚存,胞浆染色较浅,核已消失(插页1图3)。在所谓非细胞死亡灶的HE染色下仍可见到少数位于细胞间和被瘤细胞吞噬的凋亡小体(插页1图2)。凋亡小体表现为不含或含染色质的微小嗜酸性小体,被吞噬在细胞内的凋亡小体旁常有一个空晕。在TUNEL染色下除了这些凋亡小体呈阳性信号外,许多HE染色下被忽视的凋亡小体都可被检测到(插页1图4)。每个高倍视野(10×40)至少有100个凋亡小体信号。
, http://www.100md.com
2.3 移植瘤组织中p53、bax和bcl-2的表达
对CNE-1和CNE-2各9代移植瘤组织进行免疫组化检测,发现所有肿瘤组织内均有p53蛋白的积聚(插页1图5),bax在绝大多数肿瘤细胞中过表达(插页1图6),但全部肿瘤组织未见bcl-2的表达。
3 讨 论
从表1可见,代表肿瘤细胞增生程度的细胞分裂相指数和细胞增殖指数,CNE-2者高于CNE-1,两者间有显著性差异,P值分别小于0.01和0.05,表明CNE-2移植瘤瘤细胞的增生程度较高;而代表肿瘤细胞死亡程度的细胞死亡区面积百分比,CNE-2低于CNE-1,两者间也有显著性差异,P值小于0.05,表明CNE-2移植瘤细胞的死亡程度较低。众所周知,组织中细胞增生、分化和死亡程度的比率决定了该组织的生长速度[1]。据此推理,增生程度较高、死亡程度较低的CNE-2移植瘤应比增生程度较低、死亡程度较高的CNE-1移植瘤生长速度较快。我们的实验结果恰恰证明了这一点,具体表现在:①CNE-2接种裸鼠后6 d即出现瘤结节,而CNE-1却要在9 d后才出现;②在取出的9代两种移植瘤平均体积CNE-1(0.5±0.3) cm3,CNE-2(0.7±0.5) cm3无明显差异(P>0.05)的前提下,CNE-2 9代移植瘤平均荷瘤生长时间只需(14±2) d,而CNE-1却需(18±4) d,两者之间有显著性差异(P<0.05)。我们考虑这两种移植瘤在生长速度上的差异可能是由于两种细胞株的分化程度不同所致。目前尚未见有这种瘤细胞增生—死亡比率在鼻咽癌生长速度方面的临床或实验性报道。
, http://www.100md.com
我们发现将CNE-1、CNE-2接种裸鼠传代的过程中,肿瘤组织是逐步长大的,镜下可见瘤细胞增生和死亡并存。这说明肿瘤组织的生长是在瘤细胞增生超过死亡的状态下实现的。这种瘤细胞死亡是采取何种形式的死亡,坏死还是凋亡?我们所见到的细胞死亡区大多是“皱缩性坏死”的细胞,而现今已经证实所谓“皱缩性坏死”就是凋亡[2];除了“皱缩性坏死”外,还见到众多典型的凋亡小体,所以本实验9代移植瘤组织中见到的细胞死亡主要是凋亡。至于所见到的少量凝固性坏死细胞可以是真性的也可以是继发于凋亡的,即所谓“继发性坏死”。这种瘤细胞凋亡不是细胞免疫所介导的,因为瘤细胞是在免疫缺陷的裸鼠体内生长的。我们考虑可能还是由于CNE-1、CNE-2癌细胞中发生的基因改变时导致的增生——凋亡调节失控所造成的细胞凋亡。
这种细胞凋亡是如何发生的?已知野生型p53蛋白可以通过激活bax基因的启动子,上调bax的表达,形成bax/bax同二聚体,导致细胞凋亡[3],这就是目前研究较多的p53依赖性细胞凋亡。CNE-1和CNE-2都是具有p53基因第8外显子280密码子杂合子点实变的细胞株[4]。这两种细?胞株中野生型和突变型p53蛋白同时并存,但以突变型p53蛋白起主导作用[5]。因此,我们在这两种细胞株的细胞涂片和移植瘤组织切片中均可见突变型p53蛋白的积聚。因为突变型p53蛋白丧失了激活bax基因启动子的功能[6],所以CNE-1、CNE-2移植瘤组织中的细胞凋亡是p53非依赖性的。O'Neill等曾经报告肺小细胞癌中的瘤细胞呈p53非依赖性凋亡[7],我们的研究表明,鼻咽癌移植组织瘤中瘤细胞的凋亡也是p53非依赖性的,此项结果尚未见文献报道。
, http://www.100md.com
虽然CNE-1和CNE-2的移植瘤组织中的突变型p53蛋白不能上调bax的表达[6],但在所有CNE-1和CNE-2移植瘤组织中却又可见到bax的过表达。虽然有文献表明[8,9]p53失活,bax过表达不一定导致细胞的凋亡,但我们考虑本实验鼻咽癌移植瘤组织中的细胞凋亡还是由于bax过表达,形成bax/bax同二聚体,引起细胞内线粒体通透性改变,最终导致的细胞凋亡[10]。所以这是一种非p53依赖,但仍由bax介导的细胞凋亡。Strobel T等(1996)[11]和Janson W等(1997)[12]曾分别报道化疗药物及丁酸盐可以引起非p53依赖性,bax增加的瘤细胞凋亡。至于CNE-1和CNE-2移植瘤中的瘤细胞凋亡是何种因素造成bax的过表达,确值得进一步研究。
本研究所探索的癌细胞凋亡机制只局限在鼻咽癌裸鼠移植瘤组织中,而人体鼻咽癌与裸鼠移植瘤是不同的。CNE-1和CNE-2移植瘤均有p53突变且未见bcl-2表达,而人体鼻咽癌却少有p53突变[4],bcl-2表达率较高(本实验室检测83例鼻咽癌组织,75例呈bcl-2阳性)。因此进一步研究人体鼻咽癌癌细胞凋亡的机制就显得很有必要。
, http://www.100md.com
图1 CNE-裸鼠移植瘤HE染色(×100)
Fig.1 H&E stained slide of CNE-1 nude mice transplant
Showing relatively differetiated neoplastic cells with destinct cell border(×100)
图2 CNE-2裸鼠移植瘤HE染色(×100)
Fig.2 H&E stained slide of CNE-2 nude mice transplant
Showing apoptotic bodies and mitotic neoplastic cells(×100)
, 百拇医药
图3 CNE-2裸鼠移植瘤“皱缩性坏死”灶(×50)
Fig.3 Afocus of“shrinkage necrosis”in H&E stained slide of CEN-2 nude mice transplant
The neoplastic cells of“shrinkage necrosis”had eosinophilic cytoplasm and pyknotic nucleus(×50)
图4 裸鼠移植瘤中的凋亡小体(×50)
Fig.4 Apoptotic bodies seen in nude mice transplant
, 百拇医药
Showing a lot of apoptotic bodies on the slide stained with TUNEL(×50)
图5 裸鼠移植瘤p53蛋白积聚
Fig.5 Nude mice transplant with p53 protein accumulation
Majority of neoplastic cell nuclei showing p53 protein accumulation(DO7 IHC,×50)
图6 裸鼠移植瘤中瘤细胞bax过表达
, http://www.100md.com
Fig.6 Nude mice transplant with bax overexpression
The neoplastic cells showing cytoplasmic bas overexpression(bax IHC,×50)
国家自然科学基金(39730200-Ⅱ)资助课题
参考文献
1 Blandino G, Strano S. BCL-2:the pendulum of the cell fate. J Exp Clin Cancer Res, 1997,16(1):3
2 Kerr J F R. Shrinkage necrosis: A distinct mode of cellular death. J Pathol, 1971,105(1):13
, 百拇医药
3 O1tvai Z N, Milliman C L, Korsmeyer S J. Bcl-2 heterodi-merizes in vivo with a conserved homolog, Bax, that accelerates programmed cell death. Cell,1993,74(4):609
4 Spruck C H, Tsai Y C, Huang D P,et al. Absence of p53 gene mutations in primary nasopharyngeal carcinomas. Cancer Res, 1992,52(17):4787
5 Sun Y, Dong Z, Nakamura K, et al. Dosage-dependent dominance over wild-type p53 of a mutant p53 isolated from nasopharyngeal carcinoma. FASEB J,1993,7(10):944
, http://www.100md.com
6 Miyashita T, Reed J C. Tumour Suppressor p53 is a direct transcriptional activator of human bax gene. Cell, 1995,80(2):293
7 O'Neill A J, Staunton M J. Gaffney E F. Apoptosis occurs independently of bcl-2 and p53 over-expression in non-small cell lung carcinoma. Histopathology, 1996,29(1):45
8 Han Z, Chatterjee D, He D M, et al. Evidence for a G2 checkpoint in p53-independent apoptosis induction by X-irradiation. Mol Cell Biol, 1995,15(11):5849
, http://www.100md.com
9 Ishida M, Gomyo Y, Ohfuji S, et al. Evidence that expression of a mutated p53 gene attenuates apoptotic cell death in human gastric intestinal-type carcinomas in vivo. Jpn J Cancer Res, 1997,88(5):468
10 Pastorino J G, Chen S T, Tafani M, et al. The overexpression of Bax produces cell death upon induction of the mitochondrial permeability transition. J Biol Chem, 1998,273(13):7770
11 Strobel T, Swanson L, Korsmeyer S, et al. Bax enhances paclitaxelinduced apoptosis through a p53-independent pathway. Proc Natl Acad Sci USA, 1996,93(24):14094
12 Janson W, Brandner G, Siegel J. Butyrate modulates DNA-damag-induced p53 response by induction of p53-independent differentiation and apoptosis. Oncogene, 1997,15(12):1395
(1998 - 07 - 06收稿 1998 - 11 - 27修回), 百拇医药