放线共生放线杆菌表面相关物质对人牙龈成纤维细胞超微结构的影响
作者:张亚庆 肖明振 赵守亮
单位:张亚庆 肖明振 赵守亮 第四军医大学口腔牙体病科 710032
关键词:龈;伴放线菌放线杆菌;成纤维细胞;超微结构
实用口腔医学杂志990108 〔摘要〕 目的:观察放线共生放线杆菌对人牙龈成纤维细胞超微结构的影响。方法:100mg/L细菌表面相关物质和人牙龈成纤维细胞在CO2孵箱内培养72h后,采用透射电镜观察细菌表面相关物质对成纤维细胞超微结构的影响。结果:主要使细胞粗面内质网扩张,线粒体水肿,溶酶体增多,但未见膜性结构有明显破坏现象。结论:此物质可影响细胞的超微结构,但不致细胞死亡。
The effects of surface-associated material of acctinobacillus actinomycetemcomitans on the ultrastructure of human gingival fibroblasts
, 百拇医药
Zhang Yaqing, Xiao Mingzhen, Zhao Shouliang.
Stomatological College, Fourth Military Medical University, Xi'an 710032
〔Abstract〕Objective: To investigate the effects of surface-associated material(SAM) of Actinobacillus actinomycetemcomitans (A.a) on the ultrastructure of human gingival fibroblasts(HGFs). Method:HGFs were exposed to 100 mg/L of SAM in a conventional culture for 72 hours, then the ultrastructure of the cells were observed under transmission electron microscope(TEM). Result:Dilated rough endoplasmic reticulum, distended mitochondria and increased lysosome were observed, while no obvious damage of membrane structure was found. Conclusion: SAM at the concentration of 100 mg/L may cause ultrastructure changes of HGFs rather than cell death.
, 百拇医药
Key words Gingiva; Actinobacillus actinomycetemcomitans; Fibroblasts; Ultrastructure
放线共生放线杆菌表面相关物质对成纤维细胞、细胞核面积有明显影响,并可抑制成纤维细胞的分裂、增殖和DNA合成[1,2]。由于超微结构在一定程度上能反映细胞的功能,因此,本组观察放线共生放线杆菌表面相关物质对人牙龈成纤维细胞超微结构的影响,为深入探讨牙周病的致病机理提供形态学依据。
1 材料和方法
1.1材料
放线共生放线杆菌,100ml玻璃培养瓶(Gibco USA),CO2孵箱(Forma Scientific USA),透射电镜,RPMI1640培养液(Gibcio USA),胰蛋白酶(Difco进口分装),胎牛血清(浙江华清湖犊牛利用研究所),YJ—875型超净工作台(苏州净化设备厂),离心机(LD4—2北京医用离心机厂)
, 百拇医药
1.2方法
1.2.1细胞培养:低温保存的菌种Y4复苏,传代并鉴定,待进入对数生长期,移入300mlGAM液体培养基内在37℃含CO2、H2、N2的体积分数分别为10%、10%、80%条件下培养72h,培养结束后在4℃下低温超速离心机离心分离出细菌(8000g×30min),弃去沉淀,上清液备用。
1.2.2细菌表面相关物质的提取、纯化:采用盐析和高效液相色谱法,简单步骤为:将上述上清液在超滤浓缩系统中浓缩10倍,加入600g/L硫酸铵于冰箱中过夜,再收集沉淀(20000g×20min4℃),沉淀物在0℃对双蒸水透析,然后经高效液相色谱TSK-G300SW下纯化。
1.2.3取第6代人牙龈成纤维细胞,2.5g/L胰酶消化后,以RPMI1640培养液制成细胞悬液,密度为6×107个/L,等量传代于4个100ml玻璃培养瓶中,体积分数为5%CO2孵箱内过夜使细胞贴壁。然后弃培养液,加入体积分数为10%胎牛血清及100mg/L细菌表面相关物质的RPMI1640培养液,CO2孵箱内培养72h。空白对照组除不含细菌表面相关物质外,其余均与实验组相同。
, 百拇医药
培养结束以后,细胞以2.5g/L胰酶消化,分别收集于各自的离心管内,短时低速离心(800~1000r/min5min),弃上清,体积分数为3%戊二醛固定细胞团2h,丙酮系列脱水,真空干燥,以Epon812环氧树脂包埋,超薄切片,染色后透射电镜下观察。
2 结 果
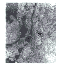
对照组 人牙龈成纤维细胞呈长梭形,核椭圆,染色质均匀分布于核内。在靠近核的周围有发达的粗面内质网,高尔基氏体多位于核的两端,线粒体呈长条状,双层膜结构完整,排列规则,溶酶体呈圆形,大小均匀,膜完整,仅见少量脂肪滴,胞浆内含有大量微丝(图1)。
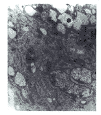
细菌表面相关物质作用组 100mg/L对人牙龈成纤维细胞超微结构有改变,粗面内质网数量减少并扩张,膜结构基本完整;胞浆内线粒体明显水肿,但膜结构同样完整;溶酶体增多,少量空泡出现;整个细胞、细胞核明显增大,但未见膜性结构破裂和核溶解现象(图2~4)。
, 百拇医药
图1 对照组牙龈成纤维细胞 ★粗面内质网 ■线粒体×1.5K
图2 100mg/L组细胞粗面内质网扩张×1.5K
图3 100mg/L组细胞线粒体水肿×1.5K
图4 100mg/L组细胞溶酶体增多,空泡出现(●)×1.5K
3 讨 论
超微结构在一定程度上反映着细胞的功能,因此,超微结构的改变势必对细胞的生长、代谢,甚至生命力产生影响。有关放线共生放线杆菌表面相关物质对成纤维细胞的作用研究多有报道。Shenker[1]报告:放线共生放线杆菌超声提取物对成纤维细胞RNA合成有一定的抑制作用。Helgeland[2],赵守亮[3],Wilson[4]报告:放线共生放线杆菌表面可溶性提取物及厌氧菌荚膜对成纤维细胞DNA有明显抑制作用;Kamin[5]研究表明:放线共生放线杆菌表面相关物质对成纤维细胞的胶原合成有明显的抑制作用。
, 百拇医药
本组的超微结构观察细菌表面相关物质对人牙龈成纤维细胞代谢可能产生的影响,结果显示:100mg/L浓度时,细菌表面相关物质对人牙龈成纤维细胞超微结构的影响主要表现在:粗面内质网数量减少并扩张,线粒体水肿,溶酶体增多,少量空泡出现,但所有膜性结构均未出现破裂,也未见细胞死亡、溶解的现象。从超微结构方面证实了一定浓度下放线共生放线杆菌表面相关物质不会导致成纤维细胞的死亡。
粗面内质网是由膜结构组成的网状管道系统,在分泌蛋白旺盛的细胞中,粗面内质网特别发达。粗面内质网的主要功能是合成和分泌蛋白质,以合成分泌蛋白为主,包括各种肽类激素、消化酶类和免疫球蛋白,同时还合成少量细胞自身所需要的结构蛋白质。一个细胞中的粗面内质网往往可以合成多种不同的蛋白质[6]。本组虽然粗面内质网明显扩张,但内质网膜性结构仍保持完整,说明粗面内质网仍具有蛋白质合成分泌功能,在维持细胞生命活动中仍起重要作用,只不过是仅抑制了一部分分泌蛋白质的功能[8]。蛋白质分泌的降低,对细胞的分裂、增殖等会产生不良作用。
, 百拇医药
线粒体是由内、外两层膜构成的细胞器,在其内膜上分布有棘状结构,棘头部的ATP合成酶和柄部的能量传递体,以一定的方式、位置和顺序排列于线粒体内膜上,所以细胞ATP的合成有赖于线粒体膜结构的完整与正常。由于线粒体是细胞生命活动中主要的能量基地,80%的ATP在线粒体内产生,并且线粒体内含有大量氧化和能量代谢转换的酶系,因此在细胞的能量代谢上有重要作用[7]。本组结果显示:100mg/L的细菌表面相关物质可使人牙龈成纤维细胞的线粒体水肿,但膜结构完整,说明线粒体仍具有产生能量的功能[8],仍能维持细胞生命活动中所需的部分能量。而线粒体的水肿势必影响到细胞本身的能量供给,同样也影响到细胞的分裂、增殖及蛋白质合成[8]。
本组结果表明:细菌表面相关物质对人牙龈成纤维细胞超微结构影响表现在粗面内质网减少、扩张,线粒体水肿,溶酶体增多。同样也证实了其与内毒素作用机理不同[9]。本组所致人牙龈成纤维细胞的病理改变,是功能性退变,还是致细胞过早老化,有待进一步研究。
, 百拇医药
参考文献
1 Shenker BJ, Kushener ME. Tsai C-C. Inhibition of fibroblast proliferation by actinobacillus actinomycetemcomitans. Infect Immun, 1982,38:986
2 Helgeland K, Norby M. Cell-specific growth inhibitory effect on human gingival fibroblast of a toxin isolated from the culture medium of actinobacillus actinomycetemcomitans. J Periodont Res, 1993,28:161
3 赵守亮,史俊南,肖明振. 三种根管内厌氧菌细菌表面相关物质对人牙龈成纤维细胞的生长抑制作用. 口腔医学纵横,1994,4:204
, 百拇医药
4 Wilson M, Meghji S, Harvey W. Effect of capsular material from haemophilus actinomycetemcomitans on bone collagen synthesis in vitro. Microbios, 1988,54:181
5 Kamin S, Harvey W, Wilson M, et al. Inhibition of fibroblast proliferation and collagen synthesis by capsular material from actinobacillus actinomycetemcomitans. J Med Microbiol, 1986,22:245
6 杭振镳,蔡文琴主编. 电子显微镜术在临床医学的应用. 重庆:重庆出版社,1988.111
7 上海第一医学院主编. 医用生物化学. 北京:人民卫生出版社,1979.916
8 赵守亮,史俊南,肖明振. 细菌荚膜对人牙周膜成纤维细胞超微结构的影响. 牙体牙髓牙周病学杂志,1995,2:87
9 张郁,荫俊,史俊南,等. 内毒素对人牙周膜成纤维细胞超微结构的影响. 牙体牙髓牙周病学杂志,1992,2:213
(收稿:1998-03-10 修回:1998-06-02), http://www.100md.com
单位:张亚庆 肖明振 赵守亮 第四军医大学口腔牙体病科 710032
关键词:龈;伴放线菌放线杆菌;成纤维细胞;超微结构
实用口腔医学杂志990108 〔摘要〕 目的:观察放线共生放线杆菌对人牙龈成纤维细胞超微结构的影响。方法:100mg/L细菌表面相关物质和人牙龈成纤维细胞在CO2孵箱内培养72h后,采用透射电镜观察细菌表面相关物质对成纤维细胞超微结构的影响。结果:主要使细胞粗面内质网扩张,线粒体水肿,溶酶体增多,但未见膜性结构有明显破坏现象。结论:此物质可影响细胞的超微结构,但不致细胞死亡。
The effects of surface-associated material of acctinobacillus actinomycetemcomitans on the ultrastructure of human gingival fibroblasts
, 百拇医药
Zhang Yaqing, Xiao Mingzhen, Zhao Shouliang.
Stomatological College, Fourth Military Medical University, Xi'an 710032
〔Abstract〕Objective: To investigate the effects of surface-associated material(SAM) of Actinobacillus actinomycetemcomitans (A.a) on the ultrastructure of human gingival fibroblasts(HGFs). Method:HGFs were exposed to 100 mg/L of SAM in a conventional culture for 72 hours, then the ultrastructure of the cells were observed under transmission electron microscope(TEM). Result:Dilated rough endoplasmic reticulum, distended mitochondria and increased lysosome were observed, while no obvious damage of membrane structure was found. Conclusion: SAM at the concentration of 100 mg/L may cause ultrastructure changes of HGFs rather than cell death.
, 百拇医药
Key words Gingiva; Actinobacillus actinomycetemcomitans; Fibroblasts; Ultrastructure
放线共生放线杆菌表面相关物质对成纤维细胞、细胞核面积有明显影响,并可抑制成纤维细胞的分裂、增殖和DNA合成[1,2]。由于超微结构在一定程度上能反映细胞的功能,因此,本组观察放线共生放线杆菌表面相关物质对人牙龈成纤维细胞超微结构的影响,为深入探讨牙周病的致病机理提供形态学依据。
1 材料和方法
1.1材料
放线共生放线杆菌,100ml玻璃培养瓶(Gibco USA),CO2孵箱(Forma Scientific USA),透射电镜,RPMI1640培养液(Gibcio USA),胰蛋白酶(Difco进口分装),胎牛血清(浙江华清湖犊牛利用研究所),YJ—875型超净工作台(苏州净化设备厂),离心机(LD4—2北京医用离心机厂)
, 百拇医药
1.2方法
1.2.1细胞培养:低温保存的菌种Y4复苏,传代并鉴定,待进入对数生长期,移入300mlGAM液体培养基内在37℃含CO2、H2、N2的体积分数分别为10%、10%、80%条件下培养72h,培养结束后在4℃下低温超速离心机离心分离出细菌(8000g×30min),弃去沉淀,上清液备用。
1.2.2细菌表面相关物质的提取、纯化:采用盐析和高效液相色谱法,简单步骤为:将上述上清液在超滤浓缩系统中浓缩10倍,加入600g/L硫酸铵于冰箱中过夜,再收集沉淀(20000g×20min4℃),沉淀物在0℃对双蒸水透析,然后经高效液相色谱TSK-G300SW下纯化。
1.2.3取第6代人牙龈成纤维细胞,2.5g/L胰酶消化后,以RPMI1640培养液制成细胞悬液,密度为6×107个/L,等量传代于4个100ml玻璃培养瓶中,体积分数为5%CO2孵箱内过夜使细胞贴壁。然后弃培养液,加入体积分数为10%胎牛血清及100mg/L细菌表面相关物质的RPMI1640培养液,CO2孵箱内培养72h。空白对照组除不含细菌表面相关物质外,其余均与实验组相同。
, 百拇医药
培养结束以后,细胞以2.5g/L胰酶消化,分别收集于各自的离心管内,短时低速离心(800~1000r/min5min),弃上清,体积分数为3%戊二醛固定细胞团2h,丙酮系列脱水,真空干燥,以Epon812环氧树脂包埋,超薄切片,染色后透射电镜下观察。
2 结 果
对照组 人牙龈成纤维细胞呈长梭形,核椭圆,染色质均匀分布于核内。在靠近核的周围有发达的粗面内质网,高尔基氏体多位于核的两端,线粒体呈长条状,双层膜结构完整,排列规则,溶酶体呈圆形,大小均匀,膜完整,仅见少量脂肪滴,胞浆内含有大量微丝(图1)。
细菌表面相关物质作用组 100mg/L对人牙龈成纤维细胞超微结构有改变,粗面内质网数量减少并扩张,膜结构基本完整;胞浆内线粒体明显水肿,但膜结构同样完整;溶酶体增多,少量空泡出现;整个细胞、细胞核明显增大,但未见膜性结构破裂和核溶解现象(图2~4)。
, 百拇医药
图1 对照组牙龈成纤维细胞 ★粗面内质网 ■线粒体×1.5K
图2 100mg/L组细胞粗面内质网扩张×1.5K
图3 100mg/L组细胞线粒体水肿×1.5K
图4 100mg/L组细胞溶酶体增多,空泡出现(●)×1.5K
3 讨 论
超微结构在一定程度上反映着细胞的功能,因此,超微结构的改变势必对细胞的生长、代谢,甚至生命力产生影响。有关放线共生放线杆菌表面相关物质对成纤维细胞的作用研究多有报道。Shenker[1]报告:放线共生放线杆菌超声提取物对成纤维细胞RNA合成有一定的抑制作用。Helgeland[2],赵守亮[3],Wilson[4]报告:放线共生放线杆菌表面可溶性提取物及厌氧菌荚膜对成纤维细胞DNA有明显抑制作用;Kamin[5]研究表明:放线共生放线杆菌表面相关物质对成纤维细胞的胶原合成有明显的抑制作用。
, 百拇医药
本组的超微结构观察细菌表面相关物质对人牙龈成纤维细胞代谢可能产生的影响,结果显示:100mg/L浓度时,细菌表面相关物质对人牙龈成纤维细胞超微结构的影响主要表现在:粗面内质网数量减少并扩张,线粒体水肿,溶酶体增多,少量空泡出现,但所有膜性结构均未出现破裂,也未见细胞死亡、溶解的现象。从超微结构方面证实了一定浓度下放线共生放线杆菌表面相关物质不会导致成纤维细胞的死亡。
粗面内质网是由膜结构组成的网状管道系统,在分泌蛋白旺盛的细胞中,粗面内质网特别发达。粗面内质网的主要功能是合成和分泌蛋白质,以合成分泌蛋白为主,包括各种肽类激素、消化酶类和免疫球蛋白,同时还合成少量细胞自身所需要的结构蛋白质。一个细胞中的粗面内质网往往可以合成多种不同的蛋白质[6]。本组虽然粗面内质网明显扩张,但内质网膜性结构仍保持完整,说明粗面内质网仍具有蛋白质合成分泌功能,在维持细胞生命活动中仍起重要作用,只不过是仅抑制了一部分分泌蛋白质的功能[8]。蛋白质分泌的降低,对细胞的分裂、增殖等会产生不良作用。
, 百拇医药
线粒体是由内、外两层膜构成的细胞器,在其内膜上分布有棘状结构,棘头部的ATP合成酶和柄部的能量传递体,以一定的方式、位置和顺序排列于线粒体内膜上,所以细胞ATP的合成有赖于线粒体膜结构的完整与正常。由于线粒体是细胞生命活动中主要的能量基地,80%的ATP在线粒体内产生,并且线粒体内含有大量氧化和能量代谢转换的酶系,因此在细胞的能量代谢上有重要作用[7]。本组结果显示:100mg/L的细菌表面相关物质可使人牙龈成纤维细胞的线粒体水肿,但膜结构完整,说明线粒体仍具有产生能量的功能[8],仍能维持细胞生命活动中所需的部分能量。而线粒体的水肿势必影响到细胞本身的能量供给,同样也影响到细胞的分裂、增殖及蛋白质合成[8]。
本组结果表明:细菌表面相关物质对人牙龈成纤维细胞超微结构影响表现在粗面内质网减少、扩张,线粒体水肿,溶酶体增多。同样也证实了其与内毒素作用机理不同[9]。本组所致人牙龈成纤维细胞的病理改变,是功能性退变,还是致细胞过早老化,有待进一步研究。
, 百拇医药
参考文献
1 Shenker BJ, Kushener ME. Tsai C-C. Inhibition of fibroblast proliferation by actinobacillus actinomycetemcomitans. Infect Immun, 1982,38:986
2 Helgeland K, Norby M. Cell-specific growth inhibitory effect on human gingival fibroblast of a toxin isolated from the culture medium of actinobacillus actinomycetemcomitans. J Periodont Res, 1993,28:161
3 赵守亮,史俊南,肖明振. 三种根管内厌氧菌细菌表面相关物质对人牙龈成纤维细胞的生长抑制作用. 口腔医学纵横,1994,4:204
, 百拇医药
4 Wilson M, Meghji S, Harvey W. Effect of capsular material from haemophilus actinomycetemcomitans on bone collagen synthesis in vitro. Microbios, 1988,54:181
5 Kamin S, Harvey W, Wilson M, et al. Inhibition of fibroblast proliferation and collagen synthesis by capsular material from actinobacillus actinomycetemcomitans. J Med Microbiol, 1986,22:245
6 杭振镳,蔡文琴主编. 电子显微镜术在临床医学的应用. 重庆:重庆出版社,1988.111
7 上海第一医学院主编. 医用生物化学. 北京:人民卫生出版社,1979.916
8 赵守亮,史俊南,肖明振. 细菌荚膜对人牙周膜成纤维细胞超微结构的影响. 牙体牙髓牙周病学杂志,1995,2:87
9 张郁,荫俊,史俊南,等. 内毒素对人牙周膜成纤维细胞超微结构的影响. 牙体牙髓牙周病学杂志,1992,2:213
(收稿:1998-03-10 修回:1998-06-02), http://www.100md.com