不同蚀刻处理时间对CERINATE瓷与树脂剪切粘结强度的影响
作者:曲晓莉 陈吉华 伊元夫
单位:西安第四军医大学口腔医学院 710032
关键词:牙粘合;剪切强度;牙酸蚀;牙瓷料;复合树脂类
实用口腔医学杂志990315 〔摘要〕 目的:评价不同蚀刻处理时间对Cerinate 瓷与树脂剪切粘结强度的影响。方法:瓷试件用陶瓷酸蚀剂分别处理0~210 s,然后与树脂粘结测试剪切粘结强度。结果:蚀刻处理可明显提高瓷与树脂的粘结强度。未经酸蚀处理的瓷试件几乎不与树脂发生粘结。不同处理时间瓷与树脂粘结强度有区别,尤以蚀刻150 s获得的强度最高。结论:酸蚀处理可使瓷—树脂得高的粘结强度,酸蚀时间对粘结强度有影响。
Shear bond test for acid etching Cerinate porcelain bonded
, http://www.100md.com
to composite resinwith different disposing time.
Qu Xiaoli, Chen Jihua, Yi Yuanfu. Stomatological College, Fourth Military Medical University, Xi'an 710032
〔Abstract〕Objective: To evaluate the effect of different disposing time on the shear bond strength between porcelain and composite resin.Methods:The porcelain specimens etched for 0 to 210 s and then bonded with composite resin. After storage in 37 ℃ water for 24 h the shear bond strength was measured.Results:Unetched porcelain did not bond to composite resin. Different etching time resulted in diferent bond strength. The 150 s etch gave the highest bond strength. Conclusions:Etching of porcelain surface can enforce the bond strength of composite resin to porcelain. The time of etching is important for the bonding.
, http://www.100md.com
Key words Dental bonding;Shear strength; Dental acid etching; Dental porcelain; Composite resins
随着人们对美观要求的不断提高,全瓷修复体如贴面、嵌体,以其生物相容性好、美观、抗磨性好、无微漏、热膨胀系数与釉质相当等优点越来越广泛地被应用,给齿科美容修复增添了一种新的方法。他们之所以能够成功的被应用于临床上,与目前在瓷与树脂粘结方面所取得的成功是分不开的,瓷与树脂产生的牢固结合力是获得成功的必由之路。各国学者通过大量的实验研究证实,合理的瓷表面蚀刻处理是获得高的瓷—树脂粘结强度的主要方法[1,2]。本研究的目的是评价陶瓷酸蚀剂不同蚀刻处理时间对Cerinate 瓷与树脂剪切粘结强度的影响,探索适宜的蚀刻处理时间。
1 材料与方法
1.1 材料 Cerinate 体瓷(Dent-Mat, USA);陶瓷酸蚀剂(第四军医大学齿科器材厂);EM光固化粘结剂(第四军医大学齿科器材厂);Charisma光固化复合树脂(古莎-北京生物材料公司);MTS万用测试机(MTS Co. USA); 扫描电镜(JSM-840,JEOL Ltd. Japan); X射线能量分数谱仪(EDAX9100, Philips Co. Holland)。
, http://www.100md.com
1.2 试验方法
1.2.1 烤瓷试件的制备 将Cerinate 体瓷与蒸馏水调拌后充填到直径为12 mm、高为2.8 mm的金属模具中,振动并用吸水面巾纸吸去水份,振实后推出试件置于 Cerinate 专用包埋料所制的平板上,放入真空烤瓷炉内(Multimat 99,Dentsply),按指定程序烧烤。依照此法烧烤25 个试件。将试件分别用200~600#的水砂纸打磨光滑,用无水酒精超声清洗5 min,气枪吹干。然后将试件分成5组,每组5 个试件,用陶瓷酸蚀剂分别酸蚀30、90、150、210 s,每60 s为一时间间隔,0 s为对照组。酸蚀试件用自来水冲洗60 s后放入超声波振动器超声清洗5 min,用无油压压缩空气干燥后立即粘结。另制备0、30、90、150、210 s的瓷酸蚀试件各1 个,将瓷片按序号用含银粉的粉固剂粘于金属板上,共计4 个金属盘,并用图示记录各序号在盘上的位置,试件表面做金离子溅射处理,SEM 观察的同时作EDAX分析。
, http://www.100md.com 1.2.2 粘结试件的制备 从上各组处理完成的试件用带有5 mm直径大小圆孔的透明胶带覆盖表面,从而限定粘结面积半径为2.5 mm,孔内涂EM光固化粘结剂,轻轻吹薄待其结固,将高为2 mm、内径为5 mm的铜环置于胶带的圆孔上,再向铜环内充填复合树脂至铜环同高,用光固化灯(Heliomat, Austria)照射40 s,放置30 min后放入37 ℃恒温水浴箱中保存24 h后测试。
使用拉力机测试时,将瓷试件放入模具内,将模具固定于固定台上,使加载头与铜环、瓷试件均匀接触,加载速度0.5 mm/min,用破坏时最大载荷除以粘结面积计算粘结抗剪强度(MPa)。用Student-Newman-Keuls-q 作两两比较,P<0.01定为显著性差异。
2 结 果
各组剪切粘结强度均值及统计学处理结果见表1、表2。
表1 各组平均剪切粘结强度 (
+s,MPa) 酸蚀时间(s)
, 百拇医药
Cerinate
对照组
0.88±0.18
30
15.11±1.66
90
14.16±2.45
150
22.40±3.31
210
15.39±3.02
表2 各组粘结强度均数两两比较统计学处理结果
, 百拇医药
对照组
30 s
90 s
150 s
210 s
对照组
0/1
**
**
**
**
30 s
14.512
, 百拇医药
0/1
**
90 s
13.543
0.969
0/1
**
150 s
21.947
7.435
8.403
0/1
**
, 百拇医药
210 s
14.798
0.286
1.254
7.149
0/1
上三角为显著性标志,(**)表示有统计学差异(P<0.01)。下三角为q值。
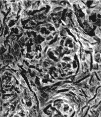
从表1及表2可以看出蚀刻处理对瓷—树脂的粘结强度有显著影响,其中以酸蚀150 s获得的剪切粘结强度值最高。扫描电镜观察蚀刻形貌见图1~4。蚀刻处理组粘结断面在树脂与陶瓷界面,树脂断端表面仍有少量陶瓷附着,表现为混合型破坏。
, 百拇医药
图1 蚀刻30 s SEM ×1 500
图2 蚀刻90 s SEM ×1 500
图3 蚀刻150 s SEM ×1 500
图4 蚀刻210 s SEM ×1 500
3 讨 论
陶瓷是一种脆性物质,有学者认为粘结可显著提高其抗折裂能力[3]。尽管打磨和喷砂被用作瓷粘结时的表面机械处理,许多研究证实蚀刻是增加瓷与树脂结合强度的最主要方法[1,4,5]。酸之所以可以提高瓷与树脂的粘结力,是因为它可以引起瓷表面产生多微孔结构从而提高瓷与树脂的机械结合[6,7,8]。酸蚀可使处理面变清洁,可使瓷表面微孔尺寸增加从而扩大粘结面积,并且可使瓷表面微裂隙底部变圆滑降低应力集中。此外蚀刻处理还可以减少微漏,增强边缘完整性。Cerinate 是一种高强度长石系陶瓷(high-strength feldspathic ceramics),它可用来制作嵌体、冠、贴面等全瓷修复体。长石系陶瓷是由玻璃基质及基质中包含着未溶解的白榴石晶体、长石、氧化铝、石英等组成,不同产品其各组分的含量不同。Cerinate 瓷是以白榴石晶体为主的瓷粉(K2OAl2O3SiO4)。一般认为低浓度酸首先腐蚀白榴石晶体,其次是硅石、长石、玻璃基质,最后是三氧化二铝。酸蚀增强瓷与树脂的粘结力是与酸蚀引起瓷表面粗化有直接的关系。虽然氢氟酸是强腐蚀性酸,对口腔皮肤、粘膜易造成损失,但目前它仍然是最常用的、最有效的酸蚀剂。Calamia 认为不同陶瓷必需用不同的酸和作用时间。Yen[8]实验发现对于长石质瓷蚀刻1 min和2.5 min比30 s和5 min强度高。Chen[9]等观察对于长石系陶瓷用不同浓度的氢氟酸处理不同时间,结论表明都以2.5 min的处理组粘结强度最高。
, 百拇医药
本研究的结果也证实蚀刻是增加粘结强度的有效方法之一。蚀刻150 s产生的粘结强度值最高并与其它处理组有统计学差异。结合电镜结果,与其粘结强度之间有一定的吻合性。打磨后的试件在扫描电镜下可见微裂隙,有少量气孔存在。经过蚀刻处理后,陶瓷表面呈蜂窝状的多微孔结构。蚀刻30 s时表层结构变化不大,仅见少量的蚀坑,大部分蚀刻像为刀状,90 s时蚀坑数量较30 s增多,尤其在150 s时蚀孔直径变大,蚀孔密度变大,并且在一个蚀孔内又发生新的蚀刻反应,从而使粘结面积增大,而延长时间至210 s蚀孔直径虽然与150 s相似,但蚀孔底部变平坦,表示蚀刻过度。
我们用陶瓷酸蚀剂处理瓷试件后用扫描电镜及能谱分析发现,它在蚀坑内优先腐蚀硅,其次是K+,最后为Al2O3晶体。SEM 片中显示选择性蚀刻很明显,有些颗粒腐蚀很严重,而有些区域却未被腐蚀。
4 结 论
, http://www.100md.com
本试验测试了不同蚀刻处理时间对Cerinate瓷-树脂粘结强度的影响,通过测试得出如下结论。
4.1 未经蚀刻处理瓷与树脂的粘结强度仅为0.88 MPa。
4.2 蚀刻处理可以明显提高瓷与树脂粘结抗剪强度,尤以蚀刻150 s获得最高的粘结强度。
4.3 不同蚀刻处理陶瓷的形态学变化各不相同,与粘结强度有一定的吻合性。
本研究部分内容受国家教委留学回国人员启动基金资助
参考文献
1 Newburg K, Pameijer CH. Composite resins bonded to porcelain with silane solution. J Am Dent,1987,96:288
, 百拇医药
2 Sorenser JA, Engelmar MJ, Torres TJ, et al. Shear bond strength of composite resin to porcelain. Int J Prosthodont, 1991,4:17
3 Thurmord JW, Bark WW, Wilwerding TW. Effect of porcelain surface treatments on bond strengths of composite resin bonded to porclain. J Prosthet dent, 1994,72:355
4 Stangel I, Nathansor D, Hsu CS. Shear strength of the composite bond to etched porcelain. J Dent Res, 1989,66:1460
, http://www.100md.com
5 Appeldoom RE, Wilwerding TM, Barkmeier WW. Composite to porcelain bond strength using newer generation porcelain repair systems. J Prosthet Dent,1993,70:6
6 Aida M, Hayakawa T, Mizukawa K. Adhesion of composite to porcelain with various surface conditions. J prosthet Dent, 1995,73:464
7 Matsumura H, kawahara M, Tanaka T, et al. A new procelain repair system with a silane coupler,ferric chloride, and adhesive opaque resin. J Dent Res,1989,68(5):813
, http://www.100md.com
8 Yen TY, Blackmar RB, Baez RJ. Effect of acid etching on the flexural strength of a feldspathic porcelain and a castable glass ceramic. J Prosthet Dent,1993,70(3):224
9 Chen JH, Matsumura H, Astuta M. Effect of different etching periods on the bond strength of a composite resin to machinable porcelain. J Dent, 1998,26:53
(收稿:1998-12-25 修回:1999-03-11), 百拇医药
单位:西安第四军医大学口腔医学院 710032
关键词:牙粘合;剪切强度;牙酸蚀;牙瓷料;复合树脂类
实用口腔医学杂志990315 〔摘要〕 目的:评价不同蚀刻处理时间对Cerinate 瓷与树脂剪切粘结强度的影响。方法:瓷试件用陶瓷酸蚀剂分别处理0~210 s,然后与树脂粘结测试剪切粘结强度。结果:蚀刻处理可明显提高瓷与树脂的粘结强度。未经酸蚀处理的瓷试件几乎不与树脂发生粘结。不同处理时间瓷与树脂粘结强度有区别,尤以蚀刻150 s获得的强度最高。结论:酸蚀处理可使瓷—树脂得高的粘结强度,酸蚀时间对粘结强度有影响。
Shear bond test for acid etching Cerinate porcelain bonded
, http://www.100md.com
to composite resinwith different disposing time.
Qu Xiaoli, Chen Jihua, Yi Yuanfu. Stomatological College, Fourth Military Medical University, Xi'an 710032
〔Abstract〕Objective: To evaluate the effect of different disposing time on the shear bond strength between porcelain and composite resin.Methods:The porcelain specimens etched for 0 to 210 s and then bonded with composite resin. After storage in 37 ℃ water for 24 h the shear bond strength was measured.Results:Unetched porcelain did not bond to composite resin. Different etching time resulted in diferent bond strength. The 150 s etch gave the highest bond strength. Conclusions:Etching of porcelain surface can enforce the bond strength of composite resin to porcelain. The time of etching is important for the bonding.
, http://www.100md.com
Key words Dental bonding;Shear strength; Dental acid etching; Dental porcelain; Composite resins
随着人们对美观要求的不断提高,全瓷修复体如贴面、嵌体,以其生物相容性好、美观、抗磨性好、无微漏、热膨胀系数与釉质相当等优点越来越广泛地被应用,给齿科美容修复增添了一种新的方法。他们之所以能够成功的被应用于临床上,与目前在瓷与树脂粘结方面所取得的成功是分不开的,瓷与树脂产生的牢固结合力是获得成功的必由之路。各国学者通过大量的实验研究证实,合理的瓷表面蚀刻处理是获得高的瓷—树脂粘结强度的主要方法[1,2]。本研究的目的是评价陶瓷酸蚀剂不同蚀刻处理时间对Cerinate 瓷与树脂剪切粘结强度的影响,探索适宜的蚀刻处理时间。
1 材料与方法
1.1 材料 Cerinate 体瓷(Dent-Mat, USA);陶瓷酸蚀剂(第四军医大学齿科器材厂);EM光固化粘结剂(第四军医大学齿科器材厂);Charisma光固化复合树脂(古莎-北京生物材料公司);MTS万用测试机(MTS Co. USA); 扫描电镜(JSM-840,JEOL Ltd. Japan); X射线能量分数谱仪(EDAX9100, Philips Co. Holland)。
, http://www.100md.com
1.2 试验方法
1.2.1 烤瓷试件的制备 将Cerinate 体瓷与蒸馏水调拌后充填到直径为12 mm、高为2.8 mm的金属模具中,振动并用吸水面巾纸吸去水份,振实后推出试件置于 Cerinate 专用包埋料所制的平板上,放入真空烤瓷炉内(Multimat 99,Dentsply),按指定程序烧烤。依照此法烧烤25 个试件。将试件分别用200~600#的水砂纸打磨光滑,用无水酒精超声清洗5 min,气枪吹干。然后将试件分成5组,每组5 个试件,用陶瓷酸蚀剂分别酸蚀30、90、150、210 s,每60 s为一时间间隔,0 s为对照组。酸蚀试件用自来水冲洗60 s后放入超声波振动器超声清洗5 min,用无油压压缩空气干燥后立即粘结。另制备0、30、90、150、210 s的瓷酸蚀试件各1 个,将瓷片按序号用含银粉的粉固剂粘于金属板上,共计4 个金属盘,并用图示记录各序号在盘上的位置,试件表面做金离子溅射处理,SEM 观察的同时作EDAX分析。
, http://www.100md.com 1.2.2 粘结试件的制备 从上各组处理完成的试件用带有5 mm直径大小圆孔的透明胶带覆盖表面,从而限定粘结面积半径为2.5 mm,孔内涂EM光固化粘结剂,轻轻吹薄待其结固,将高为2 mm、内径为5 mm的铜环置于胶带的圆孔上,再向铜环内充填复合树脂至铜环同高,用光固化灯(Heliomat, Austria)照射40 s,放置30 min后放入37 ℃恒温水浴箱中保存24 h后测试。
使用拉力机测试时,将瓷试件放入模具内,将模具固定于固定台上,使加载头与铜环、瓷试件均匀接触,加载速度0.5 mm/min,用破坏时最大载荷除以粘结面积计算粘结抗剪强度(MPa)。用Student-Newman-Keuls-q 作两两比较,P<0.01定为显著性差异。
2 结 果
各组剪切粘结强度均值及统计学处理结果见表1、表2。
表1 各组平均剪切粘结强度 (
, 百拇医药
Cerinate
对照组
0.88±0.18
30
15.11±1.66
90
14.16±2.45
150
22.40±3.31
210
15.39±3.02
表2 各组粘结强度均数两两比较统计学处理结果
, 百拇医药
对照组
30 s
90 s
150 s
210 s
对照组
0/1
**
**
**
**
30 s
14.512
, 百拇医药
0/1
**
90 s
13.543
0.969
0/1
**
150 s
21.947
7.435
8.403
0/1
**
, 百拇医药
210 s
14.798
0.286
1.254
7.149
0/1
上三角为显著性标志,(**)表示有统计学差异(P<0.01)。下三角为q值。
从表1及表2可以看出蚀刻处理对瓷—树脂的粘结强度有显著影响,其中以酸蚀150 s获得的剪切粘结强度值最高。扫描电镜观察蚀刻形貌见图1~4。蚀刻处理组粘结断面在树脂与陶瓷界面,树脂断端表面仍有少量陶瓷附着,表现为混合型破坏。
, 百拇医药
图1 蚀刻30 s SEM ×1 500
图2 蚀刻90 s SEM ×1 500
图3 蚀刻150 s SEM ×1 500
图4 蚀刻210 s SEM ×1 500
3 讨 论
陶瓷是一种脆性物质,有学者认为粘结可显著提高其抗折裂能力[3]。尽管打磨和喷砂被用作瓷粘结时的表面机械处理,许多研究证实蚀刻是增加瓷与树脂结合强度的最主要方法[1,4,5]。酸之所以可以提高瓷与树脂的粘结力,是因为它可以引起瓷表面产生多微孔结构从而提高瓷与树脂的机械结合[6,7,8]。酸蚀可使处理面变清洁,可使瓷表面微孔尺寸增加从而扩大粘结面积,并且可使瓷表面微裂隙底部变圆滑降低应力集中。此外蚀刻处理还可以减少微漏,增强边缘完整性。Cerinate 是一种高强度长石系陶瓷(high-strength feldspathic ceramics),它可用来制作嵌体、冠、贴面等全瓷修复体。长石系陶瓷是由玻璃基质及基质中包含着未溶解的白榴石晶体、长石、氧化铝、石英等组成,不同产品其各组分的含量不同。Cerinate 瓷是以白榴石晶体为主的瓷粉(K2OAl2O3SiO4)。一般认为低浓度酸首先腐蚀白榴石晶体,其次是硅石、长石、玻璃基质,最后是三氧化二铝。酸蚀增强瓷与树脂的粘结力是与酸蚀引起瓷表面粗化有直接的关系。虽然氢氟酸是强腐蚀性酸,对口腔皮肤、粘膜易造成损失,但目前它仍然是最常用的、最有效的酸蚀剂。Calamia 认为不同陶瓷必需用不同的酸和作用时间。Yen[8]实验发现对于长石质瓷蚀刻1 min和2.5 min比30 s和5 min强度高。Chen[9]等观察对于长石系陶瓷用不同浓度的氢氟酸处理不同时间,结论表明都以2.5 min的处理组粘结强度最高。
, 百拇医药
本研究的结果也证实蚀刻是增加粘结强度的有效方法之一。蚀刻150 s产生的粘结强度值最高并与其它处理组有统计学差异。结合电镜结果,与其粘结强度之间有一定的吻合性。打磨后的试件在扫描电镜下可见微裂隙,有少量气孔存在。经过蚀刻处理后,陶瓷表面呈蜂窝状的多微孔结构。蚀刻30 s时表层结构变化不大,仅见少量的蚀坑,大部分蚀刻像为刀状,90 s时蚀坑数量较30 s增多,尤其在150 s时蚀孔直径变大,蚀孔密度变大,并且在一个蚀孔内又发生新的蚀刻反应,从而使粘结面积增大,而延长时间至210 s蚀孔直径虽然与150 s相似,但蚀孔底部变平坦,表示蚀刻过度。
我们用陶瓷酸蚀剂处理瓷试件后用扫描电镜及能谱分析发现,它在蚀坑内优先腐蚀硅,其次是K+,最后为Al2O3晶体。SEM 片中显示选择性蚀刻很明显,有些颗粒腐蚀很严重,而有些区域却未被腐蚀。
4 结 论
, http://www.100md.com
本试验测试了不同蚀刻处理时间对Cerinate瓷-树脂粘结强度的影响,通过测试得出如下结论。
4.1 未经蚀刻处理瓷与树脂的粘结强度仅为0.88 MPa。
4.2 蚀刻处理可以明显提高瓷与树脂粘结抗剪强度,尤以蚀刻150 s获得最高的粘结强度。
4.3 不同蚀刻处理陶瓷的形态学变化各不相同,与粘结强度有一定的吻合性。
本研究部分内容受国家教委留学回国人员启动基金资助
参考文献
1 Newburg K, Pameijer CH. Composite resins bonded to porcelain with silane solution. J Am Dent,1987,96:288
, 百拇医药
2 Sorenser JA, Engelmar MJ, Torres TJ, et al. Shear bond strength of composite resin to porcelain. Int J Prosthodont, 1991,4:17
3 Thurmord JW, Bark WW, Wilwerding TW. Effect of porcelain surface treatments on bond strengths of composite resin bonded to porclain. J Prosthet dent, 1994,72:355
4 Stangel I, Nathansor D, Hsu CS. Shear strength of the composite bond to etched porcelain. J Dent Res, 1989,66:1460
, http://www.100md.com
5 Appeldoom RE, Wilwerding TM, Barkmeier WW. Composite to porcelain bond strength using newer generation porcelain repair systems. J Prosthet Dent,1993,70:6
6 Aida M, Hayakawa T, Mizukawa K. Adhesion of composite to porcelain with various surface conditions. J prosthet Dent, 1995,73:464
7 Matsumura H, kawahara M, Tanaka T, et al. A new procelain repair system with a silane coupler,ferric chloride, and adhesive opaque resin. J Dent Res,1989,68(5):813
, http://www.100md.com
8 Yen TY, Blackmar RB, Baez RJ. Effect of acid etching on the flexural strength of a feldspathic porcelain and a castable glass ceramic. J Prosthet Dent,1993,70(3):224
9 Chen JH, Matsumura H, Astuta M. Effect of different etching periods on the bond strength of a composite resin to machinable porcelain. J Dent, 1998,26:53
(收稿:1998-12-25 修回:1999-03-11), 百拇医药