聚乳酸-三亚甲基碳酸酯可吸收性导管治疗周围神经缺损的实验研究
作者:陈继革 罗永湘 白祥军 陈玲
单位:陈继革、罗永湘、白祥军:同济医科大学附属同济医院外科,武汉 430030;陈玲:武汉市第十医院药剂科,武汉 430034
关键词:聚乳酸-三亚甲基碳酸酯导管;周围神经;神经缺损
同济医科大学学报990518 摘要 介绍聚乳酸-三亚甲基碳酸酯[P(LA-TMC)]可吸收性导管用于治疗神经缺损的实验研究。以P(LA-TMC)导管桥接鼠坐骨神经7 mm缺损,术后定期分别取导管及周围组织和鼠心、肝、肾标本送检。结果表明:P(LA-TMC)导管在体内(长度、内径和外径等)随时间逐渐降解吸收,在体内可导致局部炎症反应,但对局部组织及全身重要器官(心、肝、肾)无严重损害,初步证明了P(LA-TMC)可吸收性导管应用于临床周围神经缺损治疗的可能性。
中图法分类号 R322.85, R742.8
, http://www.100md.com
Experimental Study of the Treatment of Peripheral Nerve
Defect with P(LA-TMC) Resorbable Tube
Chen Jige, Luo Yongxiang, Bai Xiangjun et al
Department of Surgery, Tongji Hospital, Tongji Medical University, Wuhan 430030
Abstract The experimental study on the treatment of peripheral nerve defect with P(LA-TMC) resorbable tube was conducted. Wistar rats were divided into three groups. The sciatic nerves of the rats were severed to form a defect of 7 mm which was bridged by P(LA-TMC) tubes. The rats were sacrificed at intervals respectively. The tubes and the hearts, livers and kidneys of the rats were taken out for microscopic examination. The result showed P(LA-TMC) tubes were degraded with time on in the bodies; Tubes could lead to local inflammatory reaction, but was not harmful to heart, liver and kidneys. The experiment primarily proved the possibility of P(LA-TMC) resorbable tubes in the clinical treatment of peripheral nerve defect.
, http://www.100md.com
Key words P(LA-TMC) tube; peripheral nerve; nerve defect
迄今自体神经移植仍然是治疗周围神经缺损的经典手术[1],为了补救自体神经供区不足及减少对患部增加的额外创伤,各种移植体(包括生物与非生物材料)已从实验过渡到临床,但仍缺乏成熟经验。本研究选择聚乳酸-三亚甲基碳酸酯[P(LA-TMC)]为材料,制备可吸收性导管,旨在寻找一种能桥接神经的可吸收移植物,以替代自体神经移植。
1 材料与方法
1.1 材料
1.1.1实验对象:Wistar大白鼠45只,体重200~250 g,雌雄不拘,由同济医科大学实验动物学部提供。
1.1.2 戊巴比妥钠:配成3 g/L的溶液备用,1 ml/mg体重腹腔注射。该麻醉药品为成都化学制剂厂生产。
, http://www.100md.com
1.1.3 P(LA-TMC)导管:规格为外径3 mm,内径2 mm,术前截成每段7 mm备用。该导管由武汉大学化学高分子研究室提供。
1.1.4 医用无损伤缝合针线:上海医用缝合针厂生产,规格为7/0。
1.2 手术过程
大白鼠股部剪毛,常规麻醉,消毒铺巾,取单侧股后外侧纵切口,沿股二头肌与半腱肌、半膜肌间隙分离、显露坐骨神经。于坐骨神经分出腓总神经上1 cm处横断坐骨神经,在远近断端各切断2.5 mm,取7 mm长的导管在手术显微镜下神经外膜与导管壁用7/0无损伤缝线缝合一针,将神经两断端分别套入导管内1 mm,使两端相距5 mm,缝合完并检查神经无扭曲后,用1号丝线依分层缝合皮下及皮肤。
1.3 动物分组及定期取材
术后全部动物随机等分为甲、乙、丙3组,每组15只,分笼喂养。甲组于术后30 d、乙组于术后60 d、丙组于术后90 d分别在麻醉下取单侧股部导管及周围组织标本,并取鼠心、肝、肾标本送病检。各组动物均以术前导管作自身对照。
, 百拇医药
1.4 观察项目
1.4.1大体标本观察:① 观察术后30、60、90 d时,各组P(LA-TMC)导管的形态学改变,包括形状、质地、颜色及管腔内容物等。②观察3组导管周围组织的形态学改变。③各组鼠心、肝、肾的大体标本观察。
1.4.2 P(LA-TMC)导管的数据分析:导管在术前及术后30、60、90 d的长度、最大内径和最大外径测量和统计学分析。
1.4.3 光镜观察:① 术后30、60和90 d,将切取的各组P(LA-TMC)导管周围组织经100 g/L福尔马林溶液固定,HE染色后,观察组织学改变,包括周围组织受损情况、炎症反应及组织修复等。②各组鼠心、肝、肾于术后30、60、90 d经固定、HE染色处理后,观察组织学改变,以反映导管对它们的损害性。
2 结果
, http://www.100md.com
2.1 大体标本观察
术前P(LA-TMC)导管外形呈圆管状,乳白色略带淡黄,质地柔韧,管腔无内容物。
甲组:导管呈椭圆形如米粒状,乳白色,质地较术前变硬,管腔内有细小的神经组织通过。导管外形呈较薄的一层结缔组织被膜,周围组织充血状,少量疤痕形成,无化脓及溃烂。
乙组:导管较前体积缩小,呈椭圆形,两端变钝,乳白色,质地较前变韧,管腔内少量神经组织通过。管外有一层较厚的结缔组织被膜覆盖,周围组织充血反应减轻,疤痕组织增多,与导管紧紧相连,局部无化脓及溃烂现象。
丙组:导管体积明显减小,近似圆形,奶白色,质地较柔韧,与术前质地接近,管腔内神经组织稍增粗。导管外形成一层厚且致密的结缔组织,管壁完全被周围疤痕组织包裹。
甲、乙、丙三组鼠心、肝、肾外形正常,表面颜色正常,但术后30 d时,各脏器切面稍肿胀充血,无结节形成,术后60、90 d时肿胀明显减轻如正常状。
, http://www.100md.com
2.2 P(LA-TMC)导管的数据分析
如附表所示,甲、乙、丙三组导管的长度、最大内径和最大外径值与术前对照值的差异在统计学上均有显著性意义。
附表 甲、乙、丙组术前、术后导管数据比较(
±s, n=15)
项目
甲 组
乙 组
丙组
术后30 d
术前对照
术后30 d
, http://www.100md.com
术前对照
术后30 d
术前对照
长 度
5.80±0.22*
6.90±0.21
5.10±0.15*
7.00±0.18
4.50±0.08*
7.00±0.15
最大内径
, 百拇医药
1.80±0.04*
2.10±0.05
1.50±0.12*
2.00±0.11
1.00±0.04*
2.10±0.05
最大外径
2.80±0.36*
3.20±0.01
2.20±0.41*
, http://www.100md.com
2.90±0.23
1.90±0.17*
3.00± 0.18
与术前对照组比较 *P<0.01
2.3 光镜观察
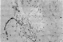
术后30 d,甲组导管周围组织局部炎症反应明显,大量肉芽组织形成。血管明显扩张,充血反应明显,管腔内大量红细胞集聚。局部组织破坏较明显,已有纤维组织增生,浸润的白细胞以中性粒细胞为主,少量巨噬细胞及淋巴细胞,可见有导管的降解颗粒被吞噬现象。(见图1,2)

, 百拇医药
图1 甲组(术后30 d),局部组织破坏较明显,大量白细胞浸润(HE×300)
图2 甲组(术后30 d),图片正中为P(LA-TMC)导管降解颗粒被巨噬细胞吞噬现象(HE×600)
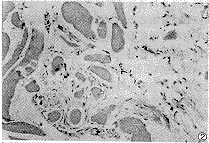
术后60 d和90 d,乙组和丙组导管周围组织炎症反应呈典型慢性期改变,以纤维组织增生和组织修复为主。局部组织见大量成纤维细胞增生,并已形成瘢痕组织来充填修复破坏区的组织细胞,集聚的白细胞以单核巨噬细胞为主,有大量的导管降解颗粒被吞噬现象。(见图3~6)



, http://www.100md.com
图3 乙组(术后60 d),大量肉芽组织增生,炎性细胞浸润,中央为一巨噬细胞浸润(HE×300)
图4 乙组(术后60 d),增生的肌纤维组织中,见一巨噬细胞吞噬降解异物现象(HE×600)
图5 丙组(术后90 d),呈慢性炎症期改变,肉芽组织增生并已瘢痕化(HE×300)
图6 丙组(术后90 d),局部组织有大量P(LA-TMC)导管降解颗粒沉着、被吞噬现象(HE×300)
各组鼠的心、肝、肾脏细胞形态基本正常,无明显肿胀变性和坏死。除有散在的血管扩张反应外,无明显组织破坏、炎性细胞浸润现象。
3 讨论
3.1 P(LA-TMC)导管的原理
, 百拇医药
本实验所采用的导管材料是聚乳酸-三亚甲基碳酸盐的共聚物[P(LA-TMC)],与目前正广为研究的另一种可降解生物材料几丁质(Chitin)[2]——一种天然的多糖类纤维素不同,P(LA-TMC)导管是一种ABA型嵌段共聚物,A段为乳酸,属于硬段;B段为三亚甲基碳酸盐,是一软段。两者按照一定的比例混合,发生共聚反应,即可得到我们所需的导管材料。
聚乳酸(PLA)是最早发现并得以深入研究的可降解吸收性共聚物之一,也是近年来所测试的20余种可降解材料中硬度最强的一种共聚物。因此,它已广泛应用于临床实践中,如手术缝线,可吸收性骨内固定装置,药物控制释放体系等[3]。聚乳酸的生物相容性较好,它在体内的降解机理为扩散型,即水分首先扩散到聚乳酸材料中,然后再整体水解降解,降解时间比较快。但是,聚乳酸也存在着缺点,限制了它在周围神经缺损治疗中的应用,即聚乳酸硬度大这一特性,因为用导管桥接缺损的周围神经断端,坚硬且脆性大的材料显然是不适宜的,需选用更为柔软、更具弹性的材料来制作导管。为了改变聚乳酸的这种特性,可以加入某些化合物,通过共聚反应来得到所需要的共聚物。聚三亚甲基碳酸盐(P-TMC)正可以胜任这种要求。聚三亚甲基碳酸盐具有分子量较小、无定形性、柔软等特点[4],是近年来新发现的一种较理想的可降解共聚物。由聚乳酸和聚三亚甲基碳酸盐单体所形成的嵌段共聚物除保留了聚乳酸某些良好的特性以外,如生物相容性较好,降解机理也为扩散型,降解速度较快,而且,通过调整两单体的含量,可以调节嵌段共聚物的硬度和弹性。当加入少量聚三亚甲基碳酸盐于聚乳酸链中时,共聚物会变得中等强度和较坚韧;若前者含量进一步增大时,则会变得柔软而有弹性,这时,就可以用所得到的嵌段共聚物——聚乳酸-三亚甲基碳酸酯作为可吸收性导管材料。但是,这种共聚物也存在一个缺点,它的降解产物乳酸呈酸性,可以导致可观察到的局部组织炎症反应;并且,局部微循环呈酸性可能会影响神经生长因子(NGF)的活性,从而影响神经再生,目前尚未有报道找到有力的预防措施[5]。
, http://www.100md.com
3.2 P(LA-TMC)导管的局部炎症反应和对全身的影响
聚乳酸-三亚甲基碳酸酯导管虽然可以降解吸收,但能否应用于临床,顾汉卿等认为,需作“短期肌肉植入试验”[6]。所谓“植入试验”是指将材料由外科手术植入到合适动物的植入部位或组织,观察7~90 d,最后用光镜等评价对活体组织的局部毒性作用。本试验用“植入试验”的方法测试导管对局部组织的以及全身重要器官的影响。
P(LA-TMC)导管置入体内,作为异物可直接导致机体的创伤性炎症反应,但大量的酸性降解产物,如乳酸,是引起炎症反应的更重要的原因[3]。在组织修复过程中,有巨噬细胞和多种介质的参与, 如成纤维细胞生长因子,上皮生长因子等等。创伤性炎症有利于组织的修复,如中性粒细胞能对抗入 侵的细菌,单核-巨噬细胞系统能吞噬清除颗粒等都具有积极的作用;但如果炎症反应过于强烈或广泛,则不利于愈合,会使局部病变蔓延开来, 大量的毒素释放会导致强烈的全身反应,若随循环系统侵入到其他脏器可引起全身重要脏器的功能障碍甚至衰竭。从本实验的大鼠局部组织学切片上看,炎症反应总的来说比较局限,未向周围扩散开来,而且P(LA-TMC)导管周围的组织已处于明显的修复状态,有大量的肉芽组织及瘢痕组织形成,大量巨噬细胞聚集于局部吞噬异物,说明P(LA-TMC)导管造成的炎症反应属局部反应,其自身修复过程正常。
, 百拇医药
P(LA-TMC)导管置入体内后,全身重要脏器如心、肝、肾等也会产生不同程度的影响,如果它们的形态和功能受到损害,会给机体带来不可估量的损失,这是可降解吸收性导管应用于临床前必需考虑和解决的。本实验的结果显示,P(LA-TMC)导管对以上这些脏器无明显损害,只是有不同程度的血管扩张充血反应,可以理解为炎症反应的结果,而不会造成功能损害。
3.3 临床展望
目前,临床常用的桥接材料是硅胶管,它不能在体内降解吸收,必须行二次手术取管,增加了患者的负担和痛苦。如果在本实验的基础上,进一步测试神经通过的成功率并改进P(LA-TMC)导管的性能,就有望将之应用于临床,以取代硅胶管,这是对周围神经缺损桥接技术的一次大的革新。另外,目前已有应用聚乳酸薄膜预防肌腱粘连的报道[7],若将本实验所用的材料P(LA-TMC)制成薄膜进一步应用于周围神经损伤的治疗中以预防神经粘连,无疑对防治周围神经粘连是一有益的尝试。
, 百拇医药
作者简介:陈继革,男,1970年生,住院医师。
参考文献
1 朱家恺,刘均墀. 周围神经外科的回顾和展望. 中华显微外科杂志, 1990, 13(1):35
2 Nishimura K, Gegolewski S. Chitin in nature and technology. Ancoma: Academic Press Inc, 1985.477~482
3 Pulapura S. Trends in the development of bioresorbable polymers for medical applications. J Biomed Mater, 1993,6:217
4 Boehringer K G, Brownwell A G. Analysis and characterization of resorbable DL-lactide -trimethylene carbonate copolyesters. J Master Sci, 1993, 4: 381
5 Bostman D E, Vuori E. Absorbable implants for the fixation of fracture. J Bone Joint Surg, 1991,73:148
6 顾汉卿,徐国凤.生物医学材料学. 天津:天津科技翻译出版公司, 1993.126~128
7 费起礼. 聚乳酸薄膜预防肌腱粘连的研究. 中国修复重建外科杂志, 1992,6(2):65
收稿日期:1998-12-23, 百拇医药
单位:陈继革、罗永湘、白祥军:同济医科大学附属同济医院外科,武汉 430030;陈玲:武汉市第十医院药剂科,武汉 430034
关键词:聚乳酸-三亚甲基碳酸酯导管;周围神经;神经缺损
同济医科大学学报990518 摘要 介绍聚乳酸-三亚甲基碳酸酯[P(LA-TMC)]可吸收性导管用于治疗神经缺损的实验研究。以P(LA-TMC)导管桥接鼠坐骨神经7 mm缺损,术后定期分别取导管及周围组织和鼠心、肝、肾标本送检。结果表明:P(LA-TMC)导管在体内(长度、内径和外径等)随时间逐渐降解吸收,在体内可导致局部炎症反应,但对局部组织及全身重要器官(心、肝、肾)无严重损害,初步证明了P(LA-TMC)可吸收性导管应用于临床周围神经缺损治疗的可能性。
中图法分类号 R322.85, R742.8
, http://www.100md.com
Experimental Study of the Treatment of Peripheral Nerve
Defect with P(LA-TMC) Resorbable Tube
Chen Jige, Luo Yongxiang, Bai Xiangjun et al
Department of Surgery, Tongji Hospital, Tongji Medical University, Wuhan 430030
Abstract The experimental study on the treatment of peripheral nerve defect with P(LA-TMC) resorbable tube was conducted. Wistar rats were divided into three groups. The sciatic nerves of the rats were severed to form a defect of 7 mm which was bridged by P(LA-TMC) tubes. The rats were sacrificed at intervals respectively. The tubes and the hearts, livers and kidneys of the rats were taken out for microscopic examination. The result showed P(LA-TMC) tubes were degraded with time on in the bodies; Tubes could lead to local inflammatory reaction, but was not harmful to heart, liver and kidneys. The experiment primarily proved the possibility of P(LA-TMC) resorbable tubes in the clinical treatment of peripheral nerve defect.
, http://www.100md.com
Key words P(LA-TMC) tube; peripheral nerve; nerve defect
迄今自体神经移植仍然是治疗周围神经缺损的经典手术[1],为了补救自体神经供区不足及减少对患部增加的额外创伤,各种移植体(包括生物与非生物材料)已从实验过渡到临床,但仍缺乏成熟经验。本研究选择聚乳酸-三亚甲基碳酸酯[P(LA-TMC)]为材料,制备可吸收性导管,旨在寻找一种能桥接神经的可吸收移植物,以替代自体神经移植。
1 材料与方法
1.1 材料
1.1.1实验对象:Wistar大白鼠45只,体重200~250 g,雌雄不拘,由同济医科大学实验动物学部提供。
1.1.2 戊巴比妥钠:配成3 g/L的溶液备用,1 ml/mg体重腹腔注射。该麻醉药品为成都化学制剂厂生产。
, http://www.100md.com
1.1.3 P(LA-TMC)导管:规格为外径3 mm,内径2 mm,术前截成每段7 mm备用。该导管由武汉大学化学高分子研究室提供。
1.1.4 医用无损伤缝合针线:上海医用缝合针厂生产,规格为7/0。
1.2 手术过程
大白鼠股部剪毛,常规麻醉,消毒铺巾,取单侧股后外侧纵切口,沿股二头肌与半腱肌、半膜肌间隙分离、显露坐骨神经。于坐骨神经分出腓总神经上1 cm处横断坐骨神经,在远近断端各切断2.5 mm,取7 mm长的导管在手术显微镜下神经外膜与导管壁用7/0无损伤缝线缝合一针,将神经两断端分别套入导管内1 mm,使两端相距5 mm,缝合完并检查神经无扭曲后,用1号丝线依分层缝合皮下及皮肤。
1.3 动物分组及定期取材
术后全部动物随机等分为甲、乙、丙3组,每组15只,分笼喂养。甲组于术后30 d、乙组于术后60 d、丙组于术后90 d分别在麻醉下取单侧股部导管及周围组织标本,并取鼠心、肝、肾标本送病检。各组动物均以术前导管作自身对照。
, 百拇医药
1.4 观察项目
1.4.1大体标本观察:① 观察术后30、60、90 d时,各组P(LA-TMC)导管的形态学改变,包括形状、质地、颜色及管腔内容物等。②观察3组导管周围组织的形态学改变。③各组鼠心、肝、肾的大体标本观察。
1.4.2 P(LA-TMC)导管的数据分析:导管在术前及术后30、60、90 d的长度、最大内径和最大外径测量和统计学分析。
1.4.3 光镜观察:① 术后30、60和90 d,将切取的各组P(LA-TMC)导管周围组织经100 g/L福尔马林溶液固定,HE染色后,观察组织学改变,包括周围组织受损情况、炎症反应及组织修复等。②各组鼠心、肝、肾于术后30、60、90 d经固定、HE染色处理后,观察组织学改变,以反映导管对它们的损害性。
2 结果
, http://www.100md.com
2.1 大体标本观察
术前P(LA-TMC)导管外形呈圆管状,乳白色略带淡黄,质地柔韧,管腔无内容物。
甲组:导管呈椭圆形如米粒状,乳白色,质地较术前变硬,管腔内有细小的神经组织通过。导管外形呈较薄的一层结缔组织被膜,周围组织充血状,少量疤痕形成,无化脓及溃烂。
乙组:导管较前体积缩小,呈椭圆形,两端变钝,乳白色,质地较前变韧,管腔内少量神经组织通过。管外有一层较厚的结缔组织被膜覆盖,周围组织充血反应减轻,疤痕组织增多,与导管紧紧相连,局部无化脓及溃烂现象。
丙组:导管体积明显减小,近似圆形,奶白色,质地较柔韧,与术前质地接近,管腔内神经组织稍增粗。导管外形成一层厚且致密的结缔组织,管壁完全被周围疤痕组织包裹。
甲、乙、丙三组鼠心、肝、肾外形正常,表面颜色正常,但术后30 d时,各脏器切面稍肿胀充血,无结节形成,术后60、90 d时肿胀明显减轻如正常状。
, http://www.100md.com
2.2 P(LA-TMC)导管的数据分析
如附表所示,甲、乙、丙三组导管的长度、最大内径和最大外径值与术前对照值的差异在统计学上均有显著性意义。
附表 甲、乙、丙组术前、术后导管数据比较(
项目
甲 组
乙 组
丙组
术后30 d
术前对照
术后30 d
, http://www.100md.com
术前对照
术后30 d
术前对照
长 度
5.80±0.22*
6.90±0.21
5.10±0.15*
7.00±0.18
4.50±0.08*
7.00±0.15
最大内径
, 百拇医药
1.80±0.04*
2.10±0.05
1.50±0.12*
2.00±0.11
1.00±0.04*
2.10±0.05
最大外径
2.80±0.36*
3.20±0.01
2.20±0.41*
, http://www.100md.com
2.90±0.23
1.90±0.17*
3.00± 0.18
与术前对照组比较 *P<0.01
2.3 光镜观察
术后30 d,甲组导管周围组织局部炎症反应明显,大量肉芽组织形成。血管明显扩张,充血反应明显,管腔内大量红细胞集聚。局部组织破坏较明显,已有纤维组织增生,浸润的白细胞以中性粒细胞为主,少量巨噬细胞及淋巴细胞,可见有导管的降解颗粒被吞噬现象。(见图1,2)
, 百拇医药
图1 甲组(术后30 d),局部组织破坏较明显,大量白细胞浸润(HE×300)
图2 甲组(术后30 d),图片正中为P(LA-TMC)导管降解颗粒被巨噬细胞吞噬现象(HE×600)
术后60 d和90 d,乙组和丙组导管周围组织炎症反应呈典型慢性期改变,以纤维组织增生和组织修复为主。局部组织见大量成纤维细胞增生,并已形成瘢痕组织来充填修复破坏区的组织细胞,集聚的白细胞以单核巨噬细胞为主,有大量的导管降解颗粒被吞噬现象。(见图3~6)
, http://www.100md.com
图3 乙组(术后60 d),大量肉芽组织增生,炎性细胞浸润,中央为一巨噬细胞浸润(HE×300)
图4 乙组(术后60 d),增生的肌纤维组织中,见一巨噬细胞吞噬降解异物现象(HE×600)
图5 丙组(术后90 d),呈慢性炎症期改变,肉芽组织增生并已瘢痕化(HE×300)
图6 丙组(术后90 d),局部组织有大量P(LA-TMC)导管降解颗粒沉着、被吞噬现象(HE×300)
各组鼠的心、肝、肾脏细胞形态基本正常,无明显肿胀变性和坏死。除有散在的血管扩张反应外,无明显组织破坏、炎性细胞浸润现象。
3 讨论
3.1 P(LA-TMC)导管的原理
, 百拇医药
本实验所采用的导管材料是聚乳酸-三亚甲基碳酸盐的共聚物[P(LA-TMC)],与目前正广为研究的另一种可降解生物材料几丁质(Chitin)[2]——一种天然的多糖类纤维素不同,P(LA-TMC)导管是一种ABA型嵌段共聚物,A段为乳酸,属于硬段;B段为三亚甲基碳酸盐,是一软段。两者按照一定的比例混合,发生共聚反应,即可得到我们所需的导管材料。
聚乳酸(PLA)是最早发现并得以深入研究的可降解吸收性共聚物之一,也是近年来所测试的20余种可降解材料中硬度最强的一种共聚物。因此,它已广泛应用于临床实践中,如手术缝线,可吸收性骨内固定装置,药物控制释放体系等[3]。聚乳酸的生物相容性较好,它在体内的降解机理为扩散型,即水分首先扩散到聚乳酸材料中,然后再整体水解降解,降解时间比较快。但是,聚乳酸也存在着缺点,限制了它在周围神经缺损治疗中的应用,即聚乳酸硬度大这一特性,因为用导管桥接缺损的周围神经断端,坚硬且脆性大的材料显然是不适宜的,需选用更为柔软、更具弹性的材料来制作导管。为了改变聚乳酸的这种特性,可以加入某些化合物,通过共聚反应来得到所需要的共聚物。聚三亚甲基碳酸盐(P-TMC)正可以胜任这种要求。聚三亚甲基碳酸盐具有分子量较小、无定形性、柔软等特点[4],是近年来新发现的一种较理想的可降解共聚物。由聚乳酸和聚三亚甲基碳酸盐单体所形成的嵌段共聚物除保留了聚乳酸某些良好的特性以外,如生物相容性较好,降解机理也为扩散型,降解速度较快,而且,通过调整两单体的含量,可以调节嵌段共聚物的硬度和弹性。当加入少量聚三亚甲基碳酸盐于聚乳酸链中时,共聚物会变得中等强度和较坚韧;若前者含量进一步增大时,则会变得柔软而有弹性,这时,就可以用所得到的嵌段共聚物——聚乳酸-三亚甲基碳酸酯作为可吸收性导管材料。但是,这种共聚物也存在一个缺点,它的降解产物乳酸呈酸性,可以导致可观察到的局部组织炎症反应;并且,局部微循环呈酸性可能会影响神经生长因子(NGF)的活性,从而影响神经再生,目前尚未有报道找到有力的预防措施[5]。
, http://www.100md.com
3.2 P(LA-TMC)导管的局部炎症反应和对全身的影响
聚乳酸-三亚甲基碳酸酯导管虽然可以降解吸收,但能否应用于临床,顾汉卿等认为,需作“短期肌肉植入试验”[6]。所谓“植入试验”是指将材料由外科手术植入到合适动物的植入部位或组织,观察7~90 d,最后用光镜等评价对活体组织的局部毒性作用。本试验用“植入试验”的方法测试导管对局部组织的以及全身重要器官的影响。
P(LA-TMC)导管置入体内,作为异物可直接导致机体的创伤性炎症反应,但大量的酸性降解产物,如乳酸,是引起炎症反应的更重要的原因[3]。在组织修复过程中,有巨噬细胞和多种介质的参与, 如成纤维细胞生长因子,上皮生长因子等等。创伤性炎症有利于组织的修复,如中性粒细胞能对抗入 侵的细菌,单核-巨噬细胞系统能吞噬清除颗粒等都具有积极的作用;但如果炎症反应过于强烈或广泛,则不利于愈合,会使局部病变蔓延开来, 大量的毒素释放会导致强烈的全身反应,若随循环系统侵入到其他脏器可引起全身重要脏器的功能障碍甚至衰竭。从本实验的大鼠局部组织学切片上看,炎症反应总的来说比较局限,未向周围扩散开来,而且P(LA-TMC)导管周围的组织已处于明显的修复状态,有大量的肉芽组织及瘢痕组织形成,大量巨噬细胞聚集于局部吞噬异物,说明P(LA-TMC)导管造成的炎症反应属局部反应,其自身修复过程正常。
, 百拇医药
P(LA-TMC)导管置入体内后,全身重要脏器如心、肝、肾等也会产生不同程度的影响,如果它们的形态和功能受到损害,会给机体带来不可估量的损失,这是可降解吸收性导管应用于临床前必需考虑和解决的。本实验的结果显示,P(LA-TMC)导管对以上这些脏器无明显损害,只是有不同程度的血管扩张充血反应,可以理解为炎症反应的结果,而不会造成功能损害。
3.3 临床展望
目前,临床常用的桥接材料是硅胶管,它不能在体内降解吸收,必须行二次手术取管,增加了患者的负担和痛苦。如果在本实验的基础上,进一步测试神经通过的成功率并改进P(LA-TMC)导管的性能,就有望将之应用于临床,以取代硅胶管,这是对周围神经缺损桥接技术的一次大的革新。另外,目前已有应用聚乳酸薄膜预防肌腱粘连的报道[7],若将本实验所用的材料P(LA-TMC)制成薄膜进一步应用于周围神经损伤的治疗中以预防神经粘连,无疑对防治周围神经粘连是一有益的尝试。
, 百拇医药
作者简介:陈继革,男,1970年生,住院医师。
参考文献
1 朱家恺,刘均墀. 周围神经外科的回顾和展望. 中华显微外科杂志, 1990, 13(1):35
2 Nishimura K, Gegolewski S. Chitin in nature and technology. Ancoma: Academic Press Inc, 1985.477~482
3 Pulapura S. Trends in the development of bioresorbable polymers for medical applications. J Biomed Mater, 1993,6:217
4 Boehringer K G, Brownwell A G. Analysis and characterization of resorbable DL-lactide -trimethylene carbonate copolyesters. J Master Sci, 1993, 4: 381
5 Bostman D E, Vuori E. Absorbable implants for the fixation of fracture. J Bone Joint Surg, 1991,73:148
6 顾汉卿,徐国凤.生物医学材料学. 天津:天津科技翻译出版公司, 1993.126~128
7 费起礼. 聚乳酸薄膜预防肌腱粘连的研究. 中国修复重建外科杂志, 1992,6(2):65
收稿日期:1998-12-23, 百拇医药