肝实性占位超声回声特性的病理基础
作者:张晶 董宝玮 梁萍 于小玲 苏莉 于德江 纪小龙
单位:100853 北京,解放军总医院病理科
关键词:超声检查,介入性;活组织检查,针吸;肝肿瘤;病理学
中华超声影像学杂志000204
【摘要】 目的 了解决定肝实性占位病变超声回声特性的病理组织学基础。方法 120例患者的37个高回声结节、91个低回声结节在超声引导下接受穿刺组织活检,并进行病理组织学分析。结果 128个结节中包含了各种良、恶性病变。高回声的共同组织学特点为:含有非液化性坏死区、脂肪空泡、透明细胞、血窦或窦周隙扩张,上述结构的最小径>0.03 mm且大片融合形成直径>0.40 mm的集落簇。低回声病灶细胞排列致密无上述结构。结论 病灶内所含有的脂肪空泡、窦周隙的直径是构成回声特性的组织病理基础。
, http://www.100md.com
The histopathological basis of the characteristics of ultrasonic echo of liver solid mass
ZHANG Jing,DONG Baowei,LIANG Ping,et al
(Ultrasound Department, Military General Hospital of PLA,Beijing 100853,China)
【Abstract】 Objective To evaluate the histopathological basis which determines the sonograms echo characteristic of liver solid masses. Methods One hundred and twenty-eight liver solid masses in 120 patients were examined by ultrasonography .The lesion sonograms were classified as hyperechoic or hypoechoic on the basic of the difference in echogenicity between the mass and the surrounding liver parenchyma,and then, the specimens of lesiones were taken by US-guided liver biopsy and the histopathological structure were analyzed.Results Ninty-seven malignant lesions and 31 benign lesions were included in the 128 masses,which included HCC, metastases,hemangioma,and hyperplasia.The hyperechoic lesions exhibited following histopathological characteristics : extensive nonliquetive necrosis ,fatty bubble ,transparent cells, sinusoidal dilation or blood sinusoidal and the diameter of these structure was larger than 0.03 mm and mass into the cluster of which the diameter was larger than 0.40 mm. The hypoechoic lesions had tight cells structure.Conclusion The diameter of fatty bubble, sinusoid and blood sinus was the histopathological basis of the sonograms characteristic of liver solid masses.
, 百拇医药
【Key words】 Ultrasonography,interventional;Biopsy,needle;Liver neoplasms;Pathology
目前,经腹壁灰阶超声已成为无创性检查和诊断肝占位性病变的常规影像学手段之一。但临床上常遇到同一性质的肝脏占位性病变在灰阶超声上显示为不同性质的回声特性,而不同性质的病变却显示为同一性质的回声特性,给超声医生较准确地定性诊断和解释这种现象造成了困难。鉴于此,我们对比研究了120例128个不同超声回声特性的肝脏实性占位性病变与其相应的病理组织结构间的关系,以期揭示造成不同病变回声特性的病理组织学基础。
资 料 与 方 法
自1998年3月至1999年7月,我院接受超声检查并行超声引导下肝脏穿刺组织活检的肝实性占位病变中选出具有典型高回声或低回声病灶者120例,共128个结节。其中男94例,女26例,年龄15~83岁,平均50.8岁。8例同时具有高回声结节和低回声结节,共计高回声组织37条,低回声组织91条。所用超声仪为ACUSON 128型,探头频率 2.5~4.0 MHz。活检用18G组织切割活检针,具体取材方法见文献[1]。活检前对患者肝脏行常规经腹壁灰阶超声检查,对发现的病灶测量大小,记录边界、形态、回声特性并拍片存档。于 1~2 d内行超声引导下病灶穿刺组织活检,活检时拍片记录取材部位及取材处的回声特性。病变的灰阶超声回声特性依据与周围肝组织的回声差异分为:①低回声,病灶回声低于周围肝组织;②高回声,病灶回声高于周围肝组织。穿出的标本用10%福尔马林固定,HE染色,病理组织学检查、分析,并详实记录标本形态、颜色、质地。用华海病理图像分析仪测量血窦、脂肪空泡或窦周隙的大小。
, http://www.100md.com
结 果
128个结节回声强度与病变分布情况见表1。取出的标本肉眼所见:高回声者灰白色或灰红、灰白相间,较干燥,易碎;低回声者灰白、灰红或淡红色,湿润有弹性,标本连续性好。光镜下高回声病灶组织具有以下现象之一:①有大片非液化性坏死区;②有明显脂肪变,出现大片脂肪空泡;③结节由透明细胞构成;④有大的血窦或窦周隙扩张。上述现象中坏死灶、脂肪空泡或透明细胞最小直径>0.03 mm,且大片融合,形成直径>0.40 mm的集落簇。周围肝组织排列致密,无上述现象(图1~4)。低回声:①细胞排列致密;②合并脂肪变时脂肪空泡直径<0.03 mm且散在分布,不构成大片脂肪变性区;③含有较多排列致密的纤维结缔组织;④炎性坏死时,坏死细胞排列致密并有大量炎细胞浸润,无直径>0.03 mm的腔隙出现(图5,6)。128个结节回声强度与病理组织结构特征见表2。2.0 cm以下病灶低回声占 83.3%,5.0 cm以上病灶高回声占 42.9%(表3)。表1 128个肝结节回声强度的病灶分布情况 回声强度
, 百拇医药
肝细胞肝癌
肝转移癌
血管内皮肉瘤
海绵状血管瘤
不典型增生
炎性结节
肝硬化结节
良性坏死结节
霍奇金病
肝变性
合计
低回声
54
, http://www.100md.com
17
1
2
6
7
6
0
1
0
94
高回声
24
1
0
, http://www.100md.com
4
0
0
3
1
0
1
34
合 计
78
18
1
6
6
, 百拇医药
7
9
1
1
1
128
表2 128个肝结节回声强度与病理组织学特征的关系 回声强度
凝固性坏死
血窦或细胞间隙
透明细胞或脂肪空泡
结缔组织
低回声
无
, 百拇医药
<0.03 mm
<0.03 mm
多
高回声
有
>0.03 mm
>0.03 mm
少
表3 不同直径结节中回声强度比较 回声强度
≤2.0 cm
2.0~5.0 cm
≥5.0 cm
, 百拇医药
低回声
83.3%(30/36)
70.4%(50/71)
42.9%(9/21)
高回声
16.7%(6/36)
29.6%(21/71)
57.1%(12/21)
讨 论
以往,对肝脏不同性质病变的回声特性及病理组织学所见已分别有所报道[2,3]。但对造成不同性质病变同一回声特性的组织学因素尚未引起关注。现有的少数讨论肝癌不同回声特性组织学基础的研究也多是在动物实验或手术切除的离体标本上进行的[4,5],与人体生理条件下的状态有所不同。尽管动物实验证实肝癌回声随着肿瘤直径的变大发生由低回声至高回声或混合回声的变化,这同人体肝癌发生的情况类似,但肿瘤及周围组织的脂肪变、纤维分隔等状态在动物体不易复制出来[6],因而难以确定这些成分对回声特性的影响。手术切除的离体标本经固定后再用超声仪确定其回声并取标本做病理分析,方法复杂且标本的状态有所变化。本研究采用18G组织切割活检针,在超声引导下取患者在体标本,能基本保持病理组织所见与超声定位的一致性,误差仅为 2 mm[7],且基本保持了标本的生理状态,方法简便、安全易重复,易于在同一病灶不同回声部位取材,在出凝血时间正常者,并发症发生率仅为1.8%,取材满意率可达 99.0%[1] 。董宝玮等[2]和Sachik等[4]分别在20例和50例肝癌病例证实高回声多为凝固性坏死、窦周隙扩张或脂肪变,低回声为纤维组织增生,无坏死,本研究在97个肝癌结节上进一步证实了上述现象,并观察到不是出现窦周隙扩张或脂肪变即表现为高回声,低回声病灶内也可出现上述现象。决定病灶回声强弱的是凝固性坏死、窦状隙扩张或脂肪变的程度。本研究还观察到不仅肝癌因组织结构的不同可表现为不同的回声特性,在肝脏的其他实性病变,不同性质、不同组织来源的病灶只要具备相似的病理组织结构也可表现为同一性质的回声特性。本研究中低回声和高回声病灶分别包括了肝癌等恶性病变和肝硬化结节等良性病变。低回声结节共同的组织学特点为:细胞较高回声病灶细胞小,排列紧密,细胞成分较单一,含有较多结缔组织,无明显坏死或虽有坏死但细胞结构仍存在。高回声的组织学特点为:细胞较大,呈空泡状(如透明细胞癌和脂肪细胞),细胞间杂有大片凝固性坏死灶,直径往往大于 0.40 mm,有的血窦可达 0.50 mm。这些组织学特点构成了超声不同回声的基础。超声所测及的靶目标的回声取决于入射波遇到靶目标时产生反射或散射的强度,而这种强度依赖于超声波所遇界面两侧介质的声特性阻抗差,声特性阻抗差越大,反射系数越大,反之亦然。由于声特性阻抗Z=ρ*C,而声速在人体不同器官内的传播速度大致相同,因而决定声特性阻抗差的因素主要为介质的密度。声波入射到两个不同介质的分界面上产生反射和散射除受介质密度不同影响外,尚与界面宽度大小有关。当界面宽度小于波长(λ)时,回声呈散射模式,大于λ时呈反射模式。散射模式向4πr2立体空间发送回声,其强度仅为反射回声强度的1/103~1/104左右。因而,反射在回声的构成上占更大的比重[8,9]。理论上频率为 2.5~4.0 MHz的超声波波长为 0.60~0.38 mm时,即能构成反射源。本研究中高回声病灶的组织特点正符合具有较大的声特性阻抗差和反射源直径大于λ的条件。尽管单个的血窦、脂肪空泡或窦周隙达不到 0.60~0.38 mm直径,但Peter等[5]曾在体外实验证实,由脂蛋白乳剂构成的脂肪微泡直径达到 0.10 mm时即产生回声,且血窦、坏死的细胞集落、脂肪空泡或透明细胞簇和起来构成了直径>0.38 mm的反射介面,此介面与癌细胞或肝细胞构成了较大的声特性阻抗差,从而形成足够强的反射,产生高回声。低回声较均匀的细胞成分和细胞致密的排列方式,所构成的反射源较小且少,加之纤维组织和肝细胞的声特性阻抗差较小,因而形成的反射较小,产生低回声。我们的研究表明:在肝实性占位性病变,不论何种性质的病灶,只要在一个病灶内组织成分相对单纯,细胞排列致密,细胞无明显脂肪变或大的窦周隙扩张,即可显示为低回声。而成分复杂且有明显脂肪变或细胞排列疏松造成细胞间隙明显扩张或含大血窦的病灶可显示为高回声。即决定回声强弱的根本因素是病灶内间杂的大于 0.03 mm的不同结构簇合成的直径(或反射界面宽度)大于 0.40 mm。因而不能单纯凭借病灶的回声强度做出定性诊断,还要结合病灶的形态、边界、临床表现综合考虑,最终的定性诊断有赖于经超声引导下组织学活检。但由于不同性质的病变存在生物学特性差异,其回声特性仍有一定规律。本组病例不典型增生全部为低回声,恶性肿瘤中69.2%为低回声,炎性结节也全部表现为低回声,其回声强度较肝癌要低且均匀,多呈分叶状。有关肝癌不同组织学类型及分化程度同回声特性的关系有待于进一步研究。
, 百拇医药
图1 肝右叶圆形高回声
图2 图1患者的病理组织学所见(HE染色,20×):病灶由直径>0.03 mm的透明细胞组成直径>0.40 mm的集落簇,细胞异行性明显,并见较多核分裂像,病理诊断:肝透明细胞癌
图3 肝右叶圆形高回声
图4 图3患者的病理组织学所见(HE染色,20×):在纤维结缔组织间见有较多的直径>0.40 mm的血窦,病理诊断:肝血管瘤
, 百拇医药
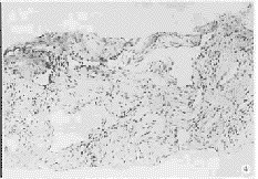
图5 肝右叶低回声病灶,偏右侧条状强回声为超声引导下穿刺活检时穿刺针位置
图6 图5患者的病理组织学所见(HE染色,20×):细胞成团状,排列致密,异行性明显,一侧有大量排列致密的纤维结缔组织,病理诊断:低分化肝细胞肝癌
参 考 文 献
1,董宝玮,梁萍,于小玲,等.超声引导粗针与细针穿刺活检比较.中华超声影像学杂志,2000,9:71-73.
2,董宝玮,梁萍,苏莉,等.超声引导细针活检对肝脏小占位病变的诊断价值.中国医学影像杂志,1994,2(1):11-15.
3,罗渝昆,董宝玮,唐杰,等.肝脏血管平滑肌脂肪瘤的超声诊断.中华超声影像学杂志,1998,7:207-209.
, 百拇医药
4,Sachiko Tanaka ,Tsugio Kitamura, Shingi Imaoka ,et al .Hepatocellular carcinoma sonographic and histologic correlation .AJR,1983,140:701-707.
5,Peter LD,Roy AF, Jon G. In vitro demonstration of an echogenic emulsion :relationship of lipid particle size to echo detection .J Clin Ultrasound ,1981,9:263-266.
6,Rong Yang,Kenyonk Kopecky, Frederick J, et al .Changes of hepatoma echo patterns with tumor growth : a study of the microanatomic basis in a rat model .Investigative Radiolog,1993,28:507-512.
7,董宝玮,主编.临床介入性超声学.北京:中国科学技术出版社,1990.118.
8,周永昌,郭万学,主编.超声医学.第3版.北京:科学技术文献出版社,1999.29-38.
9,钱蕴秋,主编.临床超声诊断学.北京:解放军出版社,1991.1-24.
收稿日期:1999-08-12, http://www.100md.com
单位:100853 北京,解放军总医院病理科
关键词:超声检查,介入性;活组织检查,针吸;肝肿瘤;病理学
中华超声影像学杂志000204
【摘要】 目的 了解决定肝实性占位病变超声回声特性的病理组织学基础。方法 120例患者的37个高回声结节、91个低回声结节在超声引导下接受穿刺组织活检,并进行病理组织学分析。结果 128个结节中包含了各种良、恶性病变。高回声的共同组织学特点为:含有非液化性坏死区、脂肪空泡、透明细胞、血窦或窦周隙扩张,上述结构的最小径>0.03 mm且大片融合形成直径>0.40 mm的集落簇。低回声病灶细胞排列致密无上述结构。结论 病灶内所含有的脂肪空泡、窦周隙的直径是构成回声特性的组织病理基础。
, http://www.100md.com
The histopathological basis of the characteristics of ultrasonic echo of liver solid mass
ZHANG Jing,DONG Baowei,LIANG Ping,et al
(Ultrasound Department, Military General Hospital of PLA,Beijing 100853,China)
【Abstract】 Objective To evaluate the histopathological basis which determines the sonograms echo characteristic of liver solid masses. Methods One hundred and twenty-eight liver solid masses in 120 patients were examined by ultrasonography .The lesion sonograms were classified as hyperechoic or hypoechoic on the basic of the difference in echogenicity between the mass and the surrounding liver parenchyma,and then, the specimens of lesiones were taken by US-guided liver biopsy and the histopathological structure were analyzed.Results Ninty-seven malignant lesions and 31 benign lesions were included in the 128 masses,which included HCC, metastases,hemangioma,and hyperplasia.The hyperechoic lesions exhibited following histopathological characteristics : extensive nonliquetive necrosis ,fatty bubble ,transparent cells, sinusoidal dilation or blood sinusoidal and the diameter of these structure was larger than 0.03 mm and mass into the cluster of which the diameter was larger than 0.40 mm. The hypoechoic lesions had tight cells structure.Conclusion The diameter of fatty bubble, sinusoid and blood sinus was the histopathological basis of the sonograms characteristic of liver solid masses.
, 百拇医药
【Key words】 Ultrasonography,interventional;Biopsy,needle;Liver neoplasms;Pathology
目前,经腹壁灰阶超声已成为无创性检查和诊断肝占位性病变的常规影像学手段之一。但临床上常遇到同一性质的肝脏占位性病变在灰阶超声上显示为不同性质的回声特性,而不同性质的病变却显示为同一性质的回声特性,给超声医生较准确地定性诊断和解释这种现象造成了困难。鉴于此,我们对比研究了120例128个不同超声回声特性的肝脏实性占位性病变与其相应的病理组织结构间的关系,以期揭示造成不同病变回声特性的病理组织学基础。
资 料 与 方 法
自1998年3月至1999年7月,我院接受超声检查并行超声引导下肝脏穿刺组织活检的肝实性占位病变中选出具有典型高回声或低回声病灶者120例,共128个结节。其中男94例,女26例,年龄15~83岁,平均50.8岁。8例同时具有高回声结节和低回声结节,共计高回声组织37条,低回声组织91条。所用超声仪为ACUSON 128型,探头频率 2.5~4.0 MHz。活检用18G组织切割活检针,具体取材方法见文献[1]。活检前对患者肝脏行常规经腹壁灰阶超声检查,对发现的病灶测量大小,记录边界、形态、回声特性并拍片存档。于 1~2 d内行超声引导下病灶穿刺组织活检,活检时拍片记录取材部位及取材处的回声特性。病变的灰阶超声回声特性依据与周围肝组织的回声差异分为:①低回声,病灶回声低于周围肝组织;②高回声,病灶回声高于周围肝组织。穿出的标本用10%福尔马林固定,HE染色,病理组织学检查、分析,并详实记录标本形态、颜色、质地。用华海病理图像分析仪测量血窦、脂肪空泡或窦周隙的大小。
, http://www.100md.com
结 果
128个结节回声强度与病变分布情况见表1。取出的标本肉眼所见:高回声者灰白色或灰红、灰白相间,较干燥,易碎;低回声者灰白、灰红或淡红色,湿润有弹性,标本连续性好。光镜下高回声病灶组织具有以下现象之一:①有大片非液化性坏死区;②有明显脂肪变,出现大片脂肪空泡;③结节由透明细胞构成;④有大的血窦或窦周隙扩张。上述现象中坏死灶、脂肪空泡或透明细胞最小直径>0.03 mm,且大片融合,形成直径>0.40 mm的集落簇。周围肝组织排列致密,无上述现象(图1~4)。低回声:①细胞排列致密;②合并脂肪变时脂肪空泡直径<0.03 mm且散在分布,不构成大片脂肪变性区;③含有较多排列致密的纤维结缔组织;④炎性坏死时,坏死细胞排列致密并有大量炎细胞浸润,无直径>0.03 mm的腔隙出现(图5,6)。128个结节回声强度与病理组织结构特征见表2。2.0 cm以下病灶低回声占 83.3%,5.0 cm以上病灶高回声占 42.9%(表3)。表1 128个肝结节回声强度的病灶分布情况 回声强度
, 百拇医药
肝细胞肝癌
肝转移癌
血管内皮肉瘤
海绵状血管瘤
不典型增生
炎性结节
肝硬化结节
良性坏死结节
霍奇金病
肝变性
合计
低回声
54
, http://www.100md.com
17
1
2
6
7
6
0
1
0
94
高回声
24
1
0
, http://www.100md.com
4
0
0
3
1
0
1
34
合 计
78
18
1
6
6
, 百拇医药
7
9
1
1
1
128
表2 128个肝结节回声强度与病理组织学特征的关系 回声强度
凝固性坏死
血窦或细胞间隙
透明细胞或脂肪空泡
结缔组织
低回声
无
, 百拇医药
<0.03 mm
<0.03 mm
多
高回声
有
>0.03 mm
>0.03 mm
少
表3 不同直径结节中回声强度比较 回声强度
≤2.0 cm
2.0~5.0 cm
≥5.0 cm
, 百拇医药
低回声
83.3%(30/36)
70.4%(50/71)
42.9%(9/21)
高回声
16.7%(6/36)
29.6%(21/71)
57.1%(12/21)
讨 论
以往,对肝脏不同性质病变的回声特性及病理组织学所见已分别有所报道[2,3]。但对造成不同性质病变同一回声特性的组织学因素尚未引起关注。现有的少数讨论肝癌不同回声特性组织学基础的研究也多是在动物实验或手术切除的离体标本上进行的[4,5],与人体生理条件下的状态有所不同。尽管动物实验证实肝癌回声随着肿瘤直径的变大发生由低回声至高回声或混合回声的变化,这同人体肝癌发生的情况类似,但肿瘤及周围组织的脂肪变、纤维分隔等状态在动物体不易复制出来[6],因而难以确定这些成分对回声特性的影响。手术切除的离体标本经固定后再用超声仪确定其回声并取标本做病理分析,方法复杂且标本的状态有所变化。本研究采用18G组织切割活检针,在超声引导下取患者在体标本,能基本保持病理组织所见与超声定位的一致性,误差仅为 2 mm[7],且基本保持了标本的生理状态,方法简便、安全易重复,易于在同一病灶不同回声部位取材,在出凝血时间正常者,并发症发生率仅为1.8%,取材满意率可达 99.0%[1] 。董宝玮等[2]和Sachik等[4]分别在20例和50例肝癌病例证实高回声多为凝固性坏死、窦周隙扩张或脂肪变,低回声为纤维组织增生,无坏死,本研究在97个肝癌结节上进一步证实了上述现象,并观察到不是出现窦周隙扩张或脂肪变即表现为高回声,低回声病灶内也可出现上述现象。决定病灶回声强弱的是凝固性坏死、窦状隙扩张或脂肪变的程度。本研究还观察到不仅肝癌因组织结构的不同可表现为不同的回声特性,在肝脏的其他实性病变,不同性质、不同组织来源的病灶只要具备相似的病理组织结构也可表现为同一性质的回声特性。本研究中低回声和高回声病灶分别包括了肝癌等恶性病变和肝硬化结节等良性病变。低回声结节共同的组织学特点为:细胞较高回声病灶细胞小,排列紧密,细胞成分较单一,含有较多结缔组织,无明显坏死或虽有坏死但细胞结构仍存在。高回声的组织学特点为:细胞较大,呈空泡状(如透明细胞癌和脂肪细胞),细胞间杂有大片凝固性坏死灶,直径往往大于 0.40 mm,有的血窦可达 0.50 mm。这些组织学特点构成了超声不同回声的基础。超声所测及的靶目标的回声取决于入射波遇到靶目标时产生反射或散射的强度,而这种强度依赖于超声波所遇界面两侧介质的声特性阻抗差,声特性阻抗差越大,反射系数越大,反之亦然。由于声特性阻抗Z=ρ*C,而声速在人体不同器官内的传播速度大致相同,因而决定声特性阻抗差的因素主要为介质的密度。声波入射到两个不同介质的分界面上产生反射和散射除受介质密度不同影响外,尚与界面宽度大小有关。当界面宽度小于波长(λ)时,回声呈散射模式,大于λ时呈反射模式。散射模式向4πr2立体空间发送回声,其强度仅为反射回声强度的1/103~1/104左右。因而,反射在回声的构成上占更大的比重[8,9]。理论上频率为 2.5~4.0 MHz的超声波波长为 0.60~0.38 mm时,即能构成反射源。本研究中高回声病灶的组织特点正符合具有较大的声特性阻抗差和反射源直径大于λ的条件。尽管单个的血窦、脂肪空泡或窦周隙达不到 0.60~0.38 mm直径,但Peter等[5]曾在体外实验证实,由脂蛋白乳剂构成的脂肪微泡直径达到 0.10 mm时即产生回声,且血窦、坏死的细胞集落、脂肪空泡或透明细胞簇和起来构成了直径>0.38 mm的反射介面,此介面与癌细胞或肝细胞构成了较大的声特性阻抗差,从而形成足够强的反射,产生高回声。低回声较均匀的细胞成分和细胞致密的排列方式,所构成的反射源较小且少,加之纤维组织和肝细胞的声特性阻抗差较小,因而形成的反射较小,产生低回声。我们的研究表明:在肝实性占位性病变,不论何种性质的病灶,只要在一个病灶内组织成分相对单纯,细胞排列致密,细胞无明显脂肪变或大的窦周隙扩张,即可显示为低回声。而成分复杂且有明显脂肪变或细胞排列疏松造成细胞间隙明显扩张或含大血窦的病灶可显示为高回声。即决定回声强弱的根本因素是病灶内间杂的大于 0.03 mm的不同结构簇合成的直径(或反射界面宽度)大于 0.40 mm。因而不能单纯凭借病灶的回声强度做出定性诊断,还要结合病灶的形态、边界、临床表现综合考虑,最终的定性诊断有赖于经超声引导下组织学活检。但由于不同性质的病变存在生物学特性差异,其回声特性仍有一定规律。本组病例不典型增生全部为低回声,恶性肿瘤中69.2%为低回声,炎性结节也全部表现为低回声,其回声强度较肝癌要低且均匀,多呈分叶状。有关肝癌不同组织学类型及分化程度同回声特性的关系有待于进一步研究。
, 百拇医药
图1 肝右叶圆形高回声
图2 图1患者的病理组织学所见(HE染色,20×):病灶由直径>0.03 mm的透明细胞组成直径>0.40 mm的集落簇,细胞异行性明显,并见较多核分裂像,病理诊断:肝透明细胞癌
图3 肝右叶圆形高回声
图4 图3患者的病理组织学所见(HE染色,20×):在纤维结缔组织间见有较多的直径>0.40 mm的血窦,病理诊断:肝血管瘤
, 百拇医药
图5 肝右叶低回声病灶,偏右侧条状强回声为超声引导下穿刺活检时穿刺针位置
图6 图5患者的病理组织学所见(HE染色,20×):细胞成团状,排列致密,异行性明显,一侧有大量排列致密的纤维结缔组织,病理诊断:低分化肝细胞肝癌
参 考 文 献
1,董宝玮,梁萍,于小玲,等.超声引导粗针与细针穿刺活检比较.中华超声影像学杂志,2000,9:71-73.
2,董宝玮,梁萍,苏莉,等.超声引导细针活检对肝脏小占位病变的诊断价值.中国医学影像杂志,1994,2(1):11-15.
3,罗渝昆,董宝玮,唐杰,等.肝脏血管平滑肌脂肪瘤的超声诊断.中华超声影像学杂志,1998,7:207-209.
, 百拇医药
4,Sachiko Tanaka ,Tsugio Kitamura, Shingi Imaoka ,et al .Hepatocellular carcinoma sonographic and histologic correlation .AJR,1983,140:701-707.
5,Peter LD,Roy AF, Jon G. In vitro demonstration of an echogenic emulsion :relationship of lipid particle size to echo detection .J Clin Ultrasound ,1981,9:263-266.
6,Rong Yang,Kenyonk Kopecky, Frederick J, et al .Changes of hepatoma echo patterns with tumor growth : a study of the microanatomic basis in a rat model .Investigative Radiolog,1993,28:507-512.
7,董宝玮,主编.临床介入性超声学.北京:中国科学技术出版社,1990.118.
8,周永昌,郭万学,主编.超声医学.第3版.北京:科学技术文献出版社,1999.29-38.
9,钱蕴秋,主编.临床超声诊断学.北京:解放军出版社,1991.1-24.
收稿日期:1999-08-12, http://www.100md.com