不同类型热休克蛋白在食管癌中的表达及其意义
作者:吴名耀 吴贤英 沈健
单位:吴名耀 吴贤英 沈健(汕头大学医学院病理学教研室,汕头 515031)
关键词:食管肿瘤;热休克蛋白质类;免疫组织化学
临床与实验病理学杂志990302摘要 目的:研究食管癌组织中不同类型热休克蛋白(HSPs)的表达,并探讨其与食管癌的发生、发展及生物学行为的关系。方法:应用免疫组织化学SABC法,观察51例食管癌组织和10例切缘食管粘膜中HSP25、HSP60、HSP70蛋白的表达,并比较其阳性率。结果:癌旁食管粘膜和癌组织中HSP25、HSP60和HSP70蛋白的阳性率分别为50.0%、92.3%、61.5%和11.8%、94.1%、60.8%;仅HSP70的阳性表达率与食管癌的分化程度有关(P<0.05),各型HSPs的表达与食管癌的淋巴结转移无关(P>0.05)。结论:提示某些类型的热休克蛋白可在癌旁食管粘膜和癌组织过量表达,其中HSP70还与食管癌的分化有关。
, http://www.100md.com
分类号 R735.1 文献标识码 A
文章编号 1001-7399(1999)03-0193-03
Expression and significance of heat shock proteins in different types of esophageal carcinoma
Wu Mingyao, Wu Xianying, Shen Jian
(Dept of Pathol, Shantou University Medical College, Shantou 515031)
ABSTRACT Purpose To study the expression of heat shock proteins (HSPs) in different types of esophageal carcinoma and its relationship between the development and biological behaviour of the tumor. Methods Fifty one cases of esophageal carcinoma and 10 cases of distant mucosa (no cancer) were observed for HSP25, HSP60 and HSP70 protein antibody by immunohistochemical SABC method. The positive-staining rates were compared statistically. Results The positive staning rates of HSP25, HSP60 and HSP70 in dysplasia esophageal mucosa were 50%,92.3% and 61.5%, and in cancer tissue were 11.8%,94.1% and 60.8%. Only HSP70 protein was related to differentiation (P<0.05) and expressions of each type HSPs were no related to lymph nodes matastasis of the tumor respectively (P>0.05). Conclusion These results suggest that some types HSPs could overexpressed in paracancer esophageal mucosa and cancer tissue, and HSP70 is related to differentiation of esophageal carcinoma.
, http://www.100md.com
KEY WORDS esophageal neoplasms; heat-shock proteins; immunohistochemistry
热休克蛋白(heat shock proteins, HSPs)是在生理应激或病理状态等环境因素的刺激下于细胞内诱导合成的,按其分子量分为不同类型,显示特定的表达位置和生理功能。为了解HSPs在食管癌的表达以及不同类型HSPs的表达情况,我们应用免疫组化SABC法,以HSP27、HSP60、HSP70分别标记切缘食管粘膜和食管癌组织,观察其各自在不同食管组织的表达情况,并探讨其与食管癌临床和病理方面的联系。
1 材料和方法
1.1 材料 收集1993~1994年我室收检的食管癌手术标本存档蜡块51例,切缘食管粘膜10例。标本均经10%福尔马林液固定,石蜡包埋,连续切片,厚5 μm,常规HE染色。
, http://www.100md.com
1.2 方法 采用免疫组织化学SABC法,切片经常规脱蜡、水化后,用3%过氧化氢去除内源性酶,微波炉抗原修复。第一抗体单克隆抗热休克蛋白25 (HSP25, Clone IAP-9)、单克隆抗热休克蛋白60(HSP60 Clone LK1)和单克隆抗热休克蛋白70(HSP70 Clone BRM-22)均为Sigma公司产品,与SABC试剂盒一同购于武汉博士德公司。用已知阳性的切片作阳性对照,正常小鼠血清和PBS代替一抗作阴性对照;DAB显色,苏木素复染,光镜观察。
1.3 结果判断 根据阳性细胞占切片内全部肿瘤细胞的比例将其分为:(1)没有发现阳性细胞为(-);(2)阳性细胞<25%为(+);(3)阳性细胞占25%~75%为(
);(4)阳性细胞>75%为(
)。统计学处理采用四格表χ2检验。
, 百拇医药
2 结果
2.1 病理组织形态 10例切缘食管粘膜上皮细胞层次在正常范围内,细胞无增生现象;上皮下仅见少量淋巴细胞浸润。51例癌组织切片,其中26例可见癌旁粘膜,癌旁粘膜上皮均呈轻~重度非典型增生。将51例食管癌按照WHO食管癌组织学分类标准分为:高分化鳞癌13例,中分化鳞癌19例,低分化鳞癌15例,未分化癌4例。除18例癌组织浸润至肌层外,余均浸润到外膜层。其中25例伴有区域淋巴结转移。
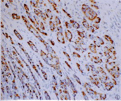
2.2 不同类型热休克蛋白表达的定位及阳性率 食管组织经免疫染色后,阳性颗粒呈浅棕色到深褐色。HSP25和HSP60阳性表达产物位于细胞浆,分别呈弥漫细颗粒和弥漫粗颗粒状;HSP70阳性部位位于细胞核,呈灶性或弥漫性阳性(图1,2)。癌旁增生的食管粘膜阳性部位HSP25、HSP60和HSP70分别位于食管粘膜上皮的不全角化层、全层细胞和棘细胞层内,阳性率分别为50.0%、92.3%和61.5%;切缘食管粘膜3种HSPs仅极少数细胞呈低水平表达。不同类型HSPs在51例食管癌的表达及阳性程度详见表1。
, 百拇医药
图1 食管鳞状细胞癌,癌细胞浆HSP-60蛋白阳性.SABC法,苏木素复染×100
图2 食管鳞状细胞癌,癌细胞浆HSP-70蛋白阳性.SABC法,苏木素复染×200
表1 不同类型HSPs在51例食管癌中的表达情况 抗体种类
总阳性
n(%)
阳性表达n(%)
+

, 百拇医药
HSP25
6(11.8)
3(50.0)
2(33.3)
1(16.7)
HSP60
48(94.1)
6(12.5)
20(41.7)
22(45.8)
HSP70
31(60.8)
, 百拇医药
10(32.3)
14(45.2)
7(22.6)
2.3 不同类型HSPs的表达与食管癌分化程度及组织学类型的关系 3种HSPs在不同分化的食管癌表达情况不同,高分化鳞癌阳性细胞一般多位于癌巢周围的基底细胞样癌细胞和棘细胞,中间角化珠阴性;而低分化鳞癌阳性细胞分布较弥散。癌旁粘膜HSPs阳性一般与癌同时发生,3种HSPs在不同分化食管癌的表达情况详见表2。
表2 不同类型HSPs在不同分化和类型食管癌中的表达 组 别
n
HSP25
HSP60
, 百拇医药
HSP70
+(%)
+(%)
+(%)
高分化鳞癌
13
3(23.1)
13(100.0)
12(92.3)
中分化鳞癌
19
0(0.0)
17(89.5)
, 百拇医药
11(57.9)
低分化鳞癌
15
2(13.3)*
15(100.0)*
6(40.0)**
未分化癌
4
1(25.0)
3(75.0)
2(50.0)
与高、中分化鳞癌联合比较:*P>0.05,**P<0.05
, 百拇医药
2.4 不同类型HSPs之间的阳性表达及与食管癌淋巴结转移的关系 本组食管癌组织经3种HSP蛋白抗体检测显示,除1例癌组织3种HSPs均阴性外,其余癌组织均可有HSPs的阳性表达,其中HSP60和HSP70共同表达的有31例,HSP60阳性、HSP70阴性的有17例,而HSP60阴性、HSP70阳性的仅2例。按不同转移状态将食管癌分为两组,各组食管癌与3种HSPs表达的关系见表3。
表3 不同类型HSPs表达与食管癌淋巴结转移的关系 淋巴结转移
n
阳性例数
HSP25
HSP60
HSP70
转移
, 百拇医药
25
3
22
15
未转移
26
3*
26*
16*
*P>0.053 讨论
热应激可诱导细胞产生一组高度保守的蛋白质,即热休克蛋白(HSPs)。分子病理学研究发现,HSPs由真核细胞产生,按分子量大小分类,一些HSPs的序列、结构、染色体定位已被确定。HSPs参与多种蛋白的折叠、装配及转运等,具“分子伴娘(molecular chaperone)”的作用〔1〕。近来的研究则表明:HSPs在细胞周期调节、DNA损伤的控制、基因产物的代谢和癌变方面起着重要的作用〔2〕。
, 百拇医药
关于不同分子量HSPs与肿瘤的关系,文献上已有一些报道,主要集中在HSP25和HSP70上,HSP60仅有一些与慢性关节炎和酒精性肝病关系的报道。研究表明:HSP25在肿瘤组织很少表达且无预后意义〔3,4〕,而HSP70在许多肿瘤组织都有过表达,是癌细胞增生的标记,在细胞周期起重要作用〔5,6〕。本组食管组织检测发现:食管癌组织HSP25表达少而弱,而HSP60和HSP70在癌旁食管粘膜和癌组织表达则明显增强,阳性率高达92.3%、61.5%和94.1%、60.8%,说明食管上皮在癌变过程及癌变后细胞内HSPs生成增加,其中以HSP60为甚。
近来有不少作者报道HSPs在不同类型癌的表达和作用,其中以乳腺癌最多〔2,7〕;有的作者认为,用免疫组化的方法检测HSPs的表达有助于评价乳腺癌的分级、淋巴结转移和预后〔2,8〕。我们的研究表明:仅HSP70在不同分化程度的食管鳞癌中的表达有所不同,以高分化癌表达率较高(P<0.05);但癌组织淋巴结转移与否则与3种不同类型的HSPs的表达无关(P>0.05)。
, 百拇医药
本组51例食管癌经3种HSPs检测,发现HSP60和HSP70常在一起表达,而HSP25的表达则未见规律性改变。虽然各种HSPs可以在同一食管癌组织上表达,但它们相互之间的关系是协同或抵消,尚有待进一步研究。
作者简介:吴名耀,男,50岁,副教授,硕士生导师
参考文献
1,Yahara I. Structure and function of heat shock proteins. Metab Dis, 1992;29:669~679
2,Yano M, Naito Z, Tanaka S et al. Expression and roles of heat shock proteins in human breast cancer. Jpn J Cancer Res, 1996;87:908~915
, http://www.100md.com
3,Storm FK, Mahvi DM, Gilchrist KW. HSP-27 is not expressed and has no prognostic significance in rectal adenocarcinoma. REG Cancer Treat, 1993;6:146~148
4,Trautinger F, Mugge KD, Dekrout B et al. Expression of the 27-kDa heat shock protein in human epidermis and in epidermal neoplasms: an immunohistological study. Br J Dermatol,1995;133:194~202
5,Ralhan R, Kaur J. Differential expression of M(r) 70 000 heat shock protein in normal, premalignant, and malignant human uterine cervix. Clin Cancer Res,1995;1:1217~1222
, 百拇医药
6,Sugerman PB, Savage NW, Xu LJ et al. Heat shock protein expression in oral epithelial dysplasia and squamous cell carcinoma. Eur J Cancer Part B Oral Oncol,1995;31:63~67
7,内藤善哉,乔 炎,浅野伍朗. 热休克蛋白在人乳腺癌中的作用. 中华病理学杂志,1998;27:35~39
8,Ciocca DR, Clark GM, Tandon AK et al. Heat shock protein HSP70 in patients with axillary lymph node-nagative breast cancer:prognostic implications. J Natl Cancer Inst, 1993;85:570~574
收稿日期:1998-09-07
修稿日期:1999-02-10, 百拇医药
单位:吴名耀 吴贤英 沈健(汕头大学医学院病理学教研室,汕头 515031)
关键词:食管肿瘤;热休克蛋白质类;免疫组织化学
临床与实验病理学杂志990302摘要 目的:研究食管癌组织中不同类型热休克蛋白(HSPs)的表达,并探讨其与食管癌的发生、发展及生物学行为的关系。方法:应用免疫组织化学SABC法,观察51例食管癌组织和10例切缘食管粘膜中HSP25、HSP60、HSP70蛋白的表达,并比较其阳性率。结果:癌旁食管粘膜和癌组织中HSP25、HSP60和HSP70蛋白的阳性率分别为50.0%、92.3%、61.5%和11.8%、94.1%、60.8%;仅HSP70的阳性表达率与食管癌的分化程度有关(P<0.05),各型HSPs的表达与食管癌的淋巴结转移无关(P>0.05)。结论:提示某些类型的热休克蛋白可在癌旁食管粘膜和癌组织过量表达,其中HSP70还与食管癌的分化有关。
, http://www.100md.com
分类号 R735.1 文献标识码 A
文章编号 1001-7399(1999)03-0193-03
Expression and significance of heat shock proteins in different types of esophageal carcinoma
Wu Mingyao, Wu Xianying, Shen Jian
(Dept of Pathol, Shantou University Medical College, Shantou 515031)
ABSTRACT Purpose To study the expression of heat shock proteins (HSPs) in different types of esophageal carcinoma and its relationship between the development and biological behaviour of the tumor. Methods Fifty one cases of esophageal carcinoma and 10 cases of distant mucosa (no cancer) were observed for HSP25, HSP60 and HSP70 protein antibody by immunohistochemical SABC method. The positive-staining rates were compared statistically. Results The positive staning rates of HSP25, HSP60 and HSP70 in dysplasia esophageal mucosa were 50%,92.3% and 61.5%, and in cancer tissue were 11.8%,94.1% and 60.8%. Only HSP70 protein was related to differentiation (P<0.05) and expressions of each type HSPs were no related to lymph nodes matastasis of the tumor respectively (P>0.05). Conclusion These results suggest that some types HSPs could overexpressed in paracancer esophageal mucosa and cancer tissue, and HSP70 is related to differentiation of esophageal carcinoma.
, http://www.100md.com
KEY WORDS esophageal neoplasms; heat-shock proteins; immunohistochemistry
热休克蛋白(heat shock proteins, HSPs)是在生理应激或病理状态等环境因素的刺激下于细胞内诱导合成的,按其分子量分为不同类型,显示特定的表达位置和生理功能。为了解HSPs在食管癌的表达以及不同类型HSPs的表达情况,我们应用免疫组化SABC法,以HSP27、HSP60、HSP70分别标记切缘食管粘膜和食管癌组织,观察其各自在不同食管组织的表达情况,并探讨其与食管癌临床和病理方面的联系。
1 材料和方法
1.1 材料 收集1993~1994年我室收检的食管癌手术标本存档蜡块51例,切缘食管粘膜10例。标本均经10%福尔马林液固定,石蜡包埋,连续切片,厚5 μm,常规HE染色。
, http://www.100md.com
1.2 方法 采用免疫组织化学SABC法,切片经常规脱蜡、水化后,用3%过氧化氢去除内源性酶,微波炉抗原修复。第一抗体单克隆抗热休克蛋白25 (HSP25, Clone IAP-9)、单克隆抗热休克蛋白60(HSP60 Clone LK1)和单克隆抗热休克蛋白70(HSP70 Clone BRM-22)均为Sigma公司产品,与SABC试剂盒一同购于武汉博士德公司。用已知阳性的切片作阳性对照,正常小鼠血清和PBS代替一抗作阴性对照;DAB显色,苏木素复染,光镜观察。
1.3 结果判断 根据阳性细胞占切片内全部肿瘤细胞的比例将其分为:(1)没有发现阳性细胞为(-);(2)阳性细胞<25%为(+);(3)阳性细胞占25%~75%为(
, 百拇医药
2 结果
2.1 病理组织形态 10例切缘食管粘膜上皮细胞层次在正常范围内,细胞无增生现象;上皮下仅见少量淋巴细胞浸润。51例癌组织切片,其中26例可见癌旁粘膜,癌旁粘膜上皮均呈轻~重度非典型增生。将51例食管癌按照WHO食管癌组织学分类标准分为:高分化鳞癌13例,中分化鳞癌19例,低分化鳞癌15例,未分化癌4例。除18例癌组织浸润至肌层外,余均浸润到外膜层。其中25例伴有区域淋巴结转移。
2.2 不同类型热休克蛋白表达的定位及阳性率 食管组织经免疫染色后,阳性颗粒呈浅棕色到深褐色。HSP25和HSP60阳性表达产物位于细胞浆,分别呈弥漫细颗粒和弥漫粗颗粒状;HSP70阳性部位位于细胞核,呈灶性或弥漫性阳性(图1,2)。癌旁增生的食管粘膜阳性部位HSP25、HSP60和HSP70分别位于食管粘膜上皮的不全角化层、全层细胞和棘细胞层内,阳性率分别为50.0%、92.3%和61.5%;切缘食管粘膜3种HSPs仅极少数细胞呈低水平表达。不同类型HSPs在51例食管癌的表达及阳性程度详见表1。
, 百拇医药
图1 食管鳞状细胞癌,癌细胞浆HSP-60蛋白阳性.SABC法,苏木素复染×100
图2 食管鳞状细胞癌,癌细胞浆HSP-70蛋白阳性.SABC法,苏木素复染×200
表1 不同类型HSPs在51例食管癌中的表达情况 抗体种类
总阳性
n(%)
阳性表达n(%)
+
, 百拇医药
HSP25
6(11.8)
3(50.0)
2(33.3)
1(16.7)
HSP60
48(94.1)
6(12.5)
20(41.7)
22(45.8)
HSP70
31(60.8)
, 百拇医药
10(32.3)
14(45.2)
7(22.6)
2.3 不同类型HSPs的表达与食管癌分化程度及组织学类型的关系 3种HSPs在不同分化的食管癌表达情况不同,高分化鳞癌阳性细胞一般多位于癌巢周围的基底细胞样癌细胞和棘细胞,中间角化珠阴性;而低分化鳞癌阳性细胞分布较弥散。癌旁粘膜HSPs阳性一般与癌同时发生,3种HSPs在不同分化食管癌的表达情况详见表2。
表2 不同类型HSPs在不同分化和类型食管癌中的表达 组 别
n
HSP25
HSP60
, 百拇医药
HSP70
+(%)
+(%)
+(%)
高分化鳞癌
13
3(23.1)
13(100.0)
12(92.3)
中分化鳞癌
19
0(0.0)
17(89.5)
, 百拇医药
11(57.9)
低分化鳞癌
15
2(13.3)*
15(100.0)*
6(40.0)**
未分化癌
4
1(25.0)
3(75.0)
2(50.0)
与高、中分化鳞癌联合比较:*P>0.05,**P<0.05
, 百拇医药
2.4 不同类型HSPs之间的阳性表达及与食管癌淋巴结转移的关系 本组食管癌组织经3种HSP蛋白抗体检测显示,除1例癌组织3种HSPs均阴性外,其余癌组织均可有HSPs的阳性表达,其中HSP60和HSP70共同表达的有31例,HSP60阳性、HSP70阴性的有17例,而HSP60阴性、HSP70阳性的仅2例。按不同转移状态将食管癌分为两组,各组食管癌与3种HSPs表达的关系见表3。
表3 不同类型HSPs表达与食管癌淋巴结转移的关系 淋巴结转移
n
阳性例数
HSP25
HSP60
HSP70
转移
, 百拇医药
25
3
22
15
未转移
26
3*
26*
16*
*P>0.053 讨论
热应激可诱导细胞产生一组高度保守的蛋白质,即热休克蛋白(HSPs)。分子病理学研究发现,HSPs由真核细胞产生,按分子量大小分类,一些HSPs的序列、结构、染色体定位已被确定。HSPs参与多种蛋白的折叠、装配及转运等,具“分子伴娘(molecular chaperone)”的作用〔1〕。近来的研究则表明:HSPs在细胞周期调节、DNA损伤的控制、基因产物的代谢和癌变方面起着重要的作用〔2〕。
, 百拇医药
关于不同分子量HSPs与肿瘤的关系,文献上已有一些报道,主要集中在HSP25和HSP70上,HSP60仅有一些与慢性关节炎和酒精性肝病关系的报道。研究表明:HSP25在肿瘤组织很少表达且无预后意义〔3,4〕,而HSP70在许多肿瘤组织都有过表达,是癌细胞增生的标记,在细胞周期起重要作用〔5,6〕。本组食管组织检测发现:食管癌组织HSP25表达少而弱,而HSP60和HSP70在癌旁食管粘膜和癌组织表达则明显增强,阳性率高达92.3%、61.5%和94.1%、60.8%,说明食管上皮在癌变过程及癌变后细胞内HSPs生成增加,其中以HSP60为甚。
近来有不少作者报道HSPs在不同类型癌的表达和作用,其中以乳腺癌最多〔2,7〕;有的作者认为,用免疫组化的方法检测HSPs的表达有助于评价乳腺癌的分级、淋巴结转移和预后〔2,8〕。我们的研究表明:仅HSP70在不同分化程度的食管鳞癌中的表达有所不同,以高分化癌表达率较高(P<0.05);但癌组织淋巴结转移与否则与3种不同类型的HSPs的表达无关(P>0.05)。
, 百拇医药
本组51例食管癌经3种HSPs检测,发现HSP60和HSP70常在一起表达,而HSP25的表达则未见规律性改变。虽然各种HSPs可以在同一食管癌组织上表达,但它们相互之间的关系是协同或抵消,尚有待进一步研究。
作者简介:吴名耀,男,50岁,副教授,硕士生导师
参考文献
1,Yahara I. Structure and function of heat shock proteins. Metab Dis, 1992;29:669~679
2,Yano M, Naito Z, Tanaka S et al. Expression and roles of heat shock proteins in human breast cancer. Jpn J Cancer Res, 1996;87:908~915
, http://www.100md.com
3,Storm FK, Mahvi DM, Gilchrist KW. HSP-27 is not expressed and has no prognostic significance in rectal adenocarcinoma. REG Cancer Treat, 1993;6:146~148
4,Trautinger F, Mugge KD, Dekrout B et al. Expression of the 27-kDa heat shock protein in human epidermis and in epidermal neoplasms: an immunohistological study. Br J Dermatol,1995;133:194~202
5,Ralhan R, Kaur J. Differential expression of M(r) 70 000 heat shock protein in normal, premalignant, and malignant human uterine cervix. Clin Cancer Res,1995;1:1217~1222
, 百拇医药
6,Sugerman PB, Savage NW, Xu LJ et al. Heat shock protein expression in oral epithelial dysplasia and squamous cell carcinoma. Eur J Cancer Part B Oral Oncol,1995;31:63~67
7,内藤善哉,乔 炎,浅野伍朗. 热休克蛋白在人乳腺癌中的作用. 中华病理学杂志,1998;27:35~39
8,Ciocca DR, Clark GM, Tandon AK et al. Heat shock protein HSP70 in patients with axillary lymph node-nagative breast cancer:prognostic implications. J Natl Cancer Inst, 1993;85:570~574
收稿日期:1998-09-07
修稿日期:1999-02-10, 百拇医药