Gd-DTPA增强MRI对脑囊虫病诊断价值
作者:杨柯 朱文珍 王承缘
单位:杨柯(431700 湖北省天门市第一人民医院CT室);朱文珍 王承缘(430030 武汉,同济医科大学附属同济医院放射科)
关键词:脑囊虫病;磁共振成像(MRI);Gd-DTPA增强
放射学实践990212 【摘要】 目的:评价Gd-DTPA增强磁共振成像对脑囊虫病的诊断价值。方法:经血清免疫学检查或手术病理证实的44例脑囊虫病患者行磁共振成像检查,成像序列为:Sag SE T1WI、Axl SE T1WI、T2WI及T1WI+C(Sag,Axl或Cor)。总结各序列图像对脑囊虫病病例、病灶、病灶数目、发病部位、灶周水肿及头节的显示率。结果:T1WI、T2WI及T1WI+C对病变的显示率分别:74%、91%、100%;头节的显示率分别为34%、7%、38%;灶周水肿的显示率分别为21%、43%及24%,且T1WI+C较T2WI检出病灶数目高出50%。囊肿的形态、囊壁的厚薄较T1WI显示更清晰。结论:Gd-DTPA增强MRI对脑囊虫病的检出,定性诊断及分期帮助很大,对头节的显示与T1WI相似,显示灶周水肿较T2WI差。Gd-DTPA增强在脑囊虫病的诊断中应列为常规序列。
, 百拇医药
The value of Gd-DTPA-enhanced MRI in the diagnosis of cerebral cysticercosis
Yang Ke,Zhu Wenzhen,Wang Chengyuan.
(Department of Radiology,The Hubei Tianmen First Hospital,Hubei 431700)
【Abstract】 Purpose:To evaluate the value of gadolinium-enhanced MRI in the diagnosis of cerebral cysticercosis.Methods:44 cases of cysticercosis proved by serum immunoassay or pathology were studied.Scanning methods include Sag SE T1WI,Axl SE T1WI、T2WI and T1WI+C. Sum up the rate of lesion detecting.Results:The rate of demonstration of lesions in T1WI、T2WI and T1WI+C were 74%,91% and 100%;the scolex detection rate was 34%,7% and 38%; and that of perifocal edema were 24%,43% and 24% respectively.The lesions detected by T1WI+C were 50% more than that found by T2WI,but the shape and thickness of wall of cysticercosis were more clear in T2WI.Conclusion:Gadolinium-enhanced MRI plays an important role in the diagnosis of the cerebral cysticercosis.
, 百拇医药
【Key words】 Cerebral cysticercosis MRI Contrast enhancement
磁共振成像(MRI)及其各序列对脑囊虫病的诊断报道不多,本文总结自1994年9月~1998年6月在我院行MRI平扫检查,同时行Gd-DTPA增强,并有完整的临床资料的44例脑囊虫病的MRI表现,病灶的检出,讨论Gd-DTPA增强MRI在诊断脑囊虫病中的价值。
资料与方法
本文资料包括1994年9月~1998年6月在同济医院行MRI平扫+增强检查,并经临床证实或手术病理证实的44例脑囊虫病病例。其中2例经手术病理证实,其余病例经临床及实验室检查证实;本组病例男23例、女21例,年龄7~49岁,平均年龄28岁。
磁共振成像机使用1.5T超导设备(Signa advantage,GE,Milwaukee),平扫行SE 序列矢状位及轴位T1WI,轴位FSE序列T2WI,增强后行SE序列轴位T1WI TR640ms TE 16ms,层厚5mm,层间距2.5mm;激励次数2NEX,矩阵256×192,造影剂为GD-DTPA,剂量为0.1mmol/kg体重,部分病例采用增强后快速多层梯度回波序列(T1*)。
, http://www.100md.com
对T1WI、T2WI及T1WI+C及其各序列进行判读,分析各序列对脑囊虫病病灶、病灶数目、头节、灶周水肿及囊壁的显示;信号高低以正常脑实质信号为标准,当病灶与正常脑组织在信号上有差异时判断为显示。显示率即指发现信号异常的病例数在总病例数中所占的比例。
结 果
1. 病灶的显示
本组病例在T1WI上显示29例为圆形、类圆形囊性病变,大小多为2~8mm,最大直径达25mm,呈低信号,部分病例可见囊壁及头节,另见5例为片状稍低信号,其余10例为等信号,不能从信号强度上与正常脑实质区别。T2WI上有32例可见结节样长T2信号,8例表现为大片状高信号,未见明显囊性病灶显示,其余4例表现为阴性。T1WI+C上44例病变均见显示,其表现则多种多样:单发少见,本组病例仅见4例单发,占9%;其中3例病灶位于大脑皮层(见图1),1例位于四脑室,其余为多发,其中30例可见环形囊壁强化;3例于多发病灶中可见囊壁强化与不强化并存;8例可见囊壁及头节均强化。部分病灶的强化环可见壁皱折,囊壁厚薄不均,有的呈薄环状,有的呈中厚壁环,显示头节的病例多为薄壁,少见有水肿。

, http://www.100md.com
图1 (a)T2WI上示脑实质内未见明显异常高、低信号;(b) T1WI+C上示左顶叶内见环形强化影。
T1WI、T2WI及T1WI+C诸序列均显示脑囊虫病灶可分布于脑实质、脑室、脑沟裂池内;本组病例中,两例于延髓、桥脑内可见病灶;其中T1WI+C能更好地显示脑室内病变,尤其是囊壁和囊肿大小的显示,有其独到之处,直径大于15mm的病灶多见于脑室内,本组病例4例可在脑室内见病灶,其中1例为单发,表现为薄壁无强化,未见头节(图2)。

图2 (a)T1WI上表现为四脑室内囊状低信号,可见环形薄壁;(b)T1WI+C上表现病灶后下部见一小片状强化影、壁无强化。中脑导水管及四脑室扩大。
, 百拇医药
2. 病灶数目的显示
在T1WI+C与T2WI均显示病灶的病例中;T1WI+C较T2WI显示病灶数目多出50%。
3. 头节的显示
T1WI显示病灶的29例中有15例可见清晰的头节显示,而38例T2WI显示病变的病例中,仅2例可见头节显示;T1WI+C则可清楚地显示T1WI所示病例中的头节,部分病例可见头节强化。
4. 灶周水肿的显示
以T2WI显示为佳,显示率为40%,T1WI及T1WI+C显示率相近,分别为21%和24%。
, http://www.100md.com
讨 论
磁共振成像(MRI)的密度分辩率较高,对于发现颅内病变有较高的敏感性,本组病例在T2WI上91%以上的病例得以显示,与文献结果[1,2]相符。即T2WI对于确定病变的存在敏感性高,因为在该序列图像中,病灶与正常脑组织比较几乎均表现为高信号,存在灶周水肿的病例水肿显示亦较明显,但对囊壁及头节的显示较差。
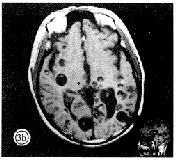
T1WI+C对病变的显示率更高,达100%,可清楚地显示头节,囊壁的厚薄,头节的存在与囊壁厚薄的关系:显示头节的病例囊壁多为薄壁,少见有水肿,与文献[3]相符:T1WI+C对于发现病变,病变数目,尤其对于发现脑室内病变有其独到之处,直径15~25mm的病多位于脑室内,文献[4]相符。但对灶周水肿的显示较T2WI不明显(图3)。



, http://www.100md.com
图3 (a、b)T1WI上表现脑实质内及脑室内、桥脑内见各个大小不等囊状低信号,部分病灶内可见点状高信号;(c) T2WI上表现前述病变为高信号,少数病灶内见点状低信号;(d) T1WI+C 上部分病变见环形强化、厚薄不均的壁及头节,部分头节轻度强化。
综合T1WI、T2WI及T1WI+C图像中病灶的信号特点:T1WI病变的显示、头节及囊壁的显示,T2WI对病变的显示,灶周水肿的显示,T1WI+C对病变的显示,囊壁的厚薄,强化程度,囊肿的大小,头节的有无及强化,及其与囊尾蚴的生存状态的关系,可对脑囊虫病作出明确诊断及定性诊断,同时可为临床进行分期;对于单发病例,位于脑实质内者,需与脑结核瘤、脑转移瘤等相鉴别,发现头节的鉴别不难,未见头节显示的,结合临床及实验室检查,也不难作出诊断;位于脑室内病例,需与脑室内囊肿相鉴别,增强扫描显得更为重要。
, http://www.100md.com
综上所述,Gd-DTPA增强扫描在确定脑囊虫病的存在与否及分期的显示上,明显优于平扫,但是对囊尾蚴死亡之后,形成灶周水肿的显示较T2WI差;而在显示囊壁方面,又明显优于平扫T1WI及T2WI;对于头节的显示较T1WI相似,优于T2WI;对于T2WI发现病变,而未见明显囊肿对T1WI+C更有必要。总之,Gd-DTPA增强MRI对于脑囊虫病的发现、分期、定性及鉴别诊断价值较高,在检查时应与T1WI、T2WI一样列为常规序列。
参考文献
1 高元桂,蔡幼铨.磁共振成像诊断.北京:人民军医出版社,1992.189-192.
2 沈天真,陈星荣.中枢神经系统计算机体层摄影(CT)及磁共振成像(MRI).上海:上海医科大学出版社,1991.269-270.
3 赵庆秋,陈英敏.脑实质型囊虫病的影像学特征与囊尾蚴生存状态之间的关系.中化放射学杂志,1997,9∶629-631.
4 王连庆.磁共振脑脊液电影对四脑室囊虫病诊断意义的研究.中华放射学杂志,1997,5∶318-321.
(1998-09-17 收稿), 百拇医药
单位:杨柯(431700 湖北省天门市第一人民医院CT室);朱文珍 王承缘(430030 武汉,同济医科大学附属同济医院放射科)
关键词:脑囊虫病;磁共振成像(MRI);Gd-DTPA增强
放射学实践990212 【摘要】 目的:评价Gd-DTPA增强磁共振成像对脑囊虫病的诊断价值。方法:经血清免疫学检查或手术病理证实的44例脑囊虫病患者行磁共振成像检查,成像序列为:Sag SE T1WI、Axl SE T1WI、T2WI及T1WI+C(Sag,Axl或Cor)。总结各序列图像对脑囊虫病病例、病灶、病灶数目、发病部位、灶周水肿及头节的显示率。结果:T1WI、T2WI及T1WI+C对病变的显示率分别:74%、91%、100%;头节的显示率分别为34%、7%、38%;灶周水肿的显示率分别为21%、43%及24%,且T1WI+C较T2WI检出病灶数目高出50%。囊肿的形态、囊壁的厚薄较T1WI显示更清晰。结论:Gd-DTPA增强MRI对脑囊虫病的检出,定性诊断及分期帮助很大,对头节的显示与T1WI相似,显示灶周水肿较T2WI差。Gd-DTPA增强在脑囊虫病的诊断中应列为常规序列。
, 百拇医药
The value of Gd-DTPA-enhanced MRI in the diagnosis of cerebral cysticercosis
Yang Ke,Zhu Wenzhen,Wang Chengyuan.
(Department of Radiology,The Hubei Tianmen First Hospital,Hubei 431700)
【Abstract】 Purpose:To evaluate the value of gadolinium-enhanced MRI in the diagnosis of cerebral cysticercosis.Methods:44 cases of cysticercosis proved by serum immunoassay or pathology were studied.Scanning methods include Sag SE T1WI,Axl SE T1WI、T2WI and T1WI+C. Sum up the rate of lesion detecting.Results:The rate of demonstration of lesions in T1WI、T2WI and T1WI+C were 74%,91% and 100%;the scolex detection rate was 34%,7% and 38%; and that of perifocal edema were 24%,43% and 24% respectively.The lesions detected by T1WI+C were 50% more than that found by T2WI,but the shape and thickness of wall of cysticercosis were more clear in T2WI.Conclusion:Gadolinium-enhanced MRI plays an important role in the diagnosis of the cerebral cysticercosis.
, 百拇医药
【Key words】 Cerebral cysticercosis MRI Contrast enhancement
磁共振成像(MRI)及其各序列对脑囊虫病的诊断报道不多,本文总结自1994年9月~1998年6月在我院行MRI平扫检查,同时行Gd-DTPA增强,并有完整的临床资料的44例脑囊虫病的MRI表现,病灶的检出,讨论Gd-DTPA增强MRI在诊断脑囊虫病中的价值。
资料与方法
本文资料包括1994年9月~1998年6月在同济医院行MRI平扫+增强检查,并经临床证实或手术病理证实的44例脑囊虫病病例。其中2例经手术病理证实,其余病例经临床及实验室检查证实;本组病例男23例、女21例,年龄7~49岁,平均年龄28岁。
磁共振成像机使用1.5T超导设备(Signa advantage,GE,Milwaukee),平扫行SE 序列矢状位及轴位T1WI,轴位FSE序列T2WI,增强后行SE序列轴位T1WI TR640ms TE 16ms,层厚5mm,层间距2.5mm;激励次数2NEX,矩阵256×192,造影剂为GD-DTPA,剂量为0.1mmol/kg体重,部分病例采用增强后快速多层梯度回波序列(T1*)。
, http://www.100md.com
对T1WI、T2WI及T1WI+C及其各序列进行判读,分析各序列对脑囊虫病病灶、病灶数目、头节、灶周水肿及囊壁的显示;信号高低以正常脑实质信号为标准,当病灶与正常脑组织在信号上有差异时判断为显示。显示率即指发现信号异常的病例数在总病例数中所占的比例。
结 果
1. 病灶的显示
本组病例在T1WI上显示29例为圆形、类圆形囊性病变,大小多为2~8mm,最大直径达25mm,呈低信号,部分病例可见囊壁及头节,另见5例为片状稍低信号,其余10例为等信号,不能从信号强度上与正常脑实质区别。T2WI上有32例可见结节样长T2信号,8例表现为大片状高信号,未见明显囊性病灶显示,其余4例表现为阴性。T1WI+C上44例病变均见显示,其表现则多种多样:单发少见,本组病例仅见4例单发,占9%;其中3例病灶位于大脑皮层(见图1),1例位于四脑室,其余为多发,其中30例可见环形囊壁强化;3例于多发病灶中可见囊壁强化与不强化并存;8例可见囊壁及头节均强化。部分病灶的强化环可见壁皱折,囊壁厚薄不均,有的呈薄环状,有的呈中厚壁环,显示头节的病例多为薄壁,少见有水肿。
, http://www.100md.com
图1 (a)T2WI上示脑实质内未见明显异常高、低信号;(b) T1WI+C上示左顶叶内见环形强化影。
T1WI、T2WI及T1WI+C诸序列均显示脑囊虫病灶可分布于脑实质、脑室、脑沟裂池内;本组病例中,两例于延髓、桥脑内可见病灶;其中T1WI+C能更好地显示脑室内病变,尤其是囊壁和囊肿大小的显示,有其独到之处,直径大于15mm的病灶多见于脑室内,本组病例4例可在脑室内见病灶,其中1例为单发,表现为薄壁无强化,未见头节(图2)。
图2 (a)T1WI上表现为四脑室内囊状低信号,可见环形薄壁;(b)T1WI+C上表现病灶后下部见一小片状强化影、壁无强化。中脑导水管及四脑室扩大。
, 百拇医药
2. 病灶数目的显示
在T1WI+C与T2WI均显示病灶的病例中;T1WI+C较T2WI显示病灶数目多出50%。
3. 头节的显示
T1WI显示病灶的29例中有15例可见清晰的头节显示,而38例T2WI显示病变的病例中,仅2例可见头节显示;T1WI+C则可清楚地显示T1WI所示病例中的头节,部分病例可见头节强化。
4. 灶周水肿的显示
以T2WI显示为佳,显示率为40%,T1WI及T1WI+C显示率相近,分别为21%和24%。
, http://www.100md.com
讨 论
磁共振成像(MRI)的密度分辩率较高,对于发现颅内病变有较高的敏感性,本组病例在T2WI上91%以上的病例得以显示,与文献结果[1,2]相符。即T2WI对于确定病变的存在敏感性高,因为在该序列图像中,病灶与正常脑组织比较几乎均表现为高信号,存在灶周水肿的病例水肿显示亦较明显,但对囊壁及头节的显示较差。
T1WI+C对病变的显示率更高,达100%,可清楚地显示头节,囊壁的厚薄,头节的存在与囊壁厚薄的关系:显示头节的病例囊壁多为薄壁,少见有水肿,与文献[3]相符:T1WI+C对于发现病变,病变数目,尤其对于发现脑室内病变有其独到之处,直径15~25mm的病多位于脑室内,文献[4]相符。但对灶周水肿的显示较T2WI不明显(图3)。
, http://www.100md.com
图3 (a、b)T1WI上表现脑实质内及脑室内、桥脑内见各个大小不等囊状低信号,部分病灶内可见点状高信号;(c) T2WI上表现前述病变为高信号,少数病灶内见点状低信号;(d) T1WI+C 上部分病变见环形强化、厚薄不均的壁及头节,部分头节轻度强化。
综合T1WI、T2WI及T1WI+C图像中病灶的信号特点:T1WI病变的显示、头节及囊壁的显示,T2WI对病变的显示,灶周水肿的显示,T1WI+C对病变的显示,囊壁的厚薄,强化程度,囊肿的大小,头节的有无及强化,及其与囊尾蚴的生存状态的关系,可对脑囊虫病作出明确诊断及定性诊断,同时可为临床进行分期;对于单发病例,位于脑实质内者,需与脑结核瘤、脑转移瘤等相鉴别,发现头节的鉴别不难,未见头节显示的,结合临床及实验室检查,也不难作出诊断;位于脑室内病例,需与脑室内囊肿相鉴别,增强扫描显得更为重要。
, http://www.100md.com
综上所述,Gd-DTPA增强扫描在确定脑囊虫病的存在与否及分期的显示上,明显优于平扫,但是对囊尾蚴死亡之后,形成灶周水肿的显示较T2WI差;而在显示囊壁方面,又明显优于平扫T1WI及T2WI;对于头节的显示较T1WI相似,优于T2WI;对于T2WI发现病变,而未见明显囊肿对T1WI+C更有必要。总之,Gd-DTPA增强MRI对于脑囊虫病的发现、分期、定性及鉴别诊断价值较高,在检查时应与T1WI、T2WI一样列为常规序列。
参考文献
1 高元桂,蔡幼铨.磁共振成像诊断.北京:人民军医出版社,1992.189-192.
2 沈天真,陈星荣.中枢神经系统计算机体层摄影(CT)及磁共振成像(MRI).上海:上海医科大学出版社,1991.269-270.
3 赵庆秋,陈英敏.脑实质型囊虫病的影像学特征与囊尾蚴生存状态之间的关系.中化放射学杂志,1997,9∶629-631.
4 王连庆.磁共振脑脊液电影对四脑室囊虫病诊断意义的研究.中华放射学杂志,1997,5∶318-321.
(1998-09-17 收稿), 百拇医药