成人型肺母细胞瘤1例
作者:赵茜
单位:广州市肿瘤医院病理科 510095
关键词:
诊断病理学杂志000151
分类号:734.2 文献标识码:B
文章编号:1007-8096(2000)01-0069-01 患者女性,27岁。因咳嗽、气促2月余,伴右胸痛2周入院。胸片示:右肺占位性病变伴右胸腔积液。行右胸探查术,术中见胸腔血性积液3000ml,右肺中叶见6cm×5cm大小肿物,右胸膜布满大小不等的结节,行右全肺及胸膜切除术。
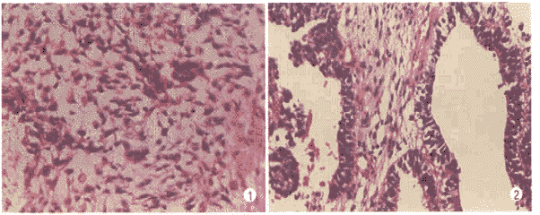
病理检查巨检:切除的右肺及胸膜组织,大小为28cm×10cm×6cm,右肺切面见一灰红色肿物6cm×5cm。肿物切面灰白灰红相间,质软,有出血及坏死,胸膜组织内可见大小不等的灰白色结节,黄豆或蚕豆大。镜检:肿瘤由恶性间叶成分和上皮成分构成,其结构相当于胚胎2~3个月的肺,在富于细胞的原始间叶组织背景中,有分化好的恶性上皮细胞构成的腺体存在。大多数恶性间叶细胞呈梭形,核大深染,胞浆稀少,无分化特征(图1);上皮由复杂的分支状腺管构成,腺上皮呈立方或柱状,排列为单层或复层,部分呈乳头状;少数上皮细胞核下的胞浆透亮,如同胚胎肺的上皮细胞有糖原聚积(图2)。免疫组化采用SP法。腺上皮细胞CK阳性,间叶细胞vimentin阳性。
图1 大我数间叶细胞呈梭形,核大深染,胞浆稀少,无分化特征 HE×200
图2 腺上皮呈核状、立方状,排列为复杂的分枝状腺管,少数上皮细胞核下胞浆透亮 HE×200
病理诊断:(右)肺成人型肺母细胞瘤,累及胸膜。
讨论肺母细胞瘤亦称胚胎性癌肉瘤,是一种罕见的恶性肿瘤。国内文献报告极少。该瘤的高发年龄为40~50岁,30%为儿童。肿瘤常为周围型,可压迫大支气管,单发大小不等,少数亦可为多发病灶,并可累及胸膜及纵隔,肿瘤质地较软,常有坏死。本文1例为周围型,病情与文献相符。
此例为双相型,其恶性程度极高,一般以手术加放、化疗效果较佳。临床主要与肺癌肉瘤、肾母细胞瘤鉴别。 收稿日期:1999-03-20
修稿日期:1999-07-05, 百拇医药
单位:广州市肿瘤医院病理科 510095
关键词:
诊断病理学杂志000151
分类号:734.2 文献标识码:B
文章编号:1007-8096(2000)01-0069-01 患者女性,27岁。因咳嗽、气促2月余,伴右胸痛2周入院。胸片示:右肺占位性病变伴右胸腔积液。行右胸探查术,术中见胸腔血性积液3000ml,右肺中叶见6cm×5cm大小肿物,右胸膜布满大小不等的结节,行右全肺及胸膜切除术。
病理检查巨检:切除的右肺及胸膜组织,大小为28cm×10cm×6cm,右肺切面见一灰红色肿物6cm×5cm。肿物切面灰白灰红相间,质软,有出血及坏死,胸膜组织内可见大小不等的灰白色结节,黄豆或蚕豆大。镜检:肿瘤由恶性间叶成分和上皮成分构成,其结构相当于胚胎2~3个月的肺,在富于细胞的原始间叶组织背景中,有分化好的恶性上皮细胞构成的腺体存在。大多数恶性间叶细胞呈梭形,核大深染,胞浆稀少,无分化特征(图1);上皮由复杂的分支状腺管构成,腺上皮呈立方或柱状,排列为单层或复层,部分呈乳头状;少数上皮细胞核下的胞浆透亮,如同胚胎肺的上皮细胞有糖原聚积(图2)。免疫组化采用SP法。腺上皮细胞CK阳性,间叶细胞vimentin阳性。
图1 大我数间叶细胞呈梭形,核大深染,胞浆稀少,无分化特征 HE×200
图2 腺上皮呈核状、立方状,排列为复杂的分枝状腺管,少数上皮细胞核下胞浆透亮 HE×200
病理诊断:(右)肺成人型肺母细胞瘤,累及胸膜。
讨论肺母细胞瘤亦称胚胎性癌肉瘤,是一种罕见的恶性肿瘤。国内文献报告极少。该瘤的高发年龄为40~50岁,30%为儿童。肿瘤常为周围型,可压迫大支气管,单发大小不等,少数亦可为多发病灶,并可累及胸膜及纵隔,肿瘤质地较软,常有坏死。本文1例为周围型,病情与文献相符。
此例为双相型,其恶性程度极高,一般以手术加放、化疗效果较佳。临床主要与肺癌肉瘤、肾母细胞瘤鉴别。 收稿日期:1999-03-20
修稿日期:1999-07-05, 百拇医药