荚膜组织胞浆菌病一例
http://www.100md.com
中华皮肤科杂志 2000年第5期第33卷
作者:鲁长明 席丽艳 林宝珠 谢穗生
单位:510120广州,中山医科大学孙逸仙纪念医院皮肤科
关键词:
中华皮肤科杂志000537
患者男,41岁。8个月前,无明显诱因于左腋窝起脓疱,后破溃,继而出现溃疡,右下后牙龈部出现相似损害,并累及左腹股沟及小腿,右肘起肿物,间有发热、关节痛,在口腔医院经病理检查诊断为组织胞浆菌病。后转我院诊治,常规作真菌培养。皮肤及粘膜检查:右下第3磨牙的牙龈出现约1cm×1cm浅溃疡;右肘伸侧鸡蛋大皮下肿物,暗红色,边界清楚,质软,轻压痛,上举困难;左侧腋窝、腹股沟,左膝及小腿4处指头大小溃疡,界清,溃疡面潮红,见分泌物(图1);双腋窝及左腹股沟淋巴结肿大,无压痛。痰和血真菌培养阴性,全胸下位X线片未见异常。
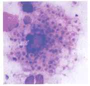
实验室检查:真菌镜检:取小腿、腹股沟及口腔等部位溃疡分泌物涂片瑞氏染色,油镜下多数大单核细胞内可见1~5μm大小、一端较尖、一端较圆、部分芽生、有荚膜的卵圆形孢子(图2)。PAS染色阳性,形态同上,并见细胞外有许多聚集成群有荚膜的孢子。真菌培养:3次取皮疹分泌物接种于含有庆大霉素或氯霉素的葡萄糖蛋白胨琼脂培养基(SDA)上,室温培养,菌落生长较慢,1周后方开始生长,初为无色,棉花样气中菌丝,后逐渐变成白色到淡灰白色菌落,背面淡棕黄色。显微镜检查:3周时镜下可见菌丝细长分支分隔,在菌丝两侧有直径2.5~3μm的小而光滑、圆形或梨形的小分生孢子及直径7.5~15μm的大而圆形的厚壁孢子。4周后镜下见有许多圆形厚壁有棘突的齿轮状大分生孢子(图3)。双相性试验:将菌丝相菌落转种到脑心浸汁葡萄糖琼脂培养基上,37℃恒温培养,菌落生长慢,3周后方开始生长为表面光滑、湿润、暗白色酵母样菌落。镜下可见卵圆形、芽生或无芽生孢子。尿素酶试验阳性。
, 百拇医药
图1患者左小腿多发结节溃疡损害
图2病灶直接涂片细胞内荚膜样孢子
(瑞氏染色×1000)
图3SDA培养菌落镜检示小分生孢子和厚壁带刺的齿轮状孢子(乳酸酚棉蓝染色×400)
组织病理:取腹股沟病灶组织活检,见真皮内组织细胞增生,在组织细胞内、外有成簇的圆形或卵圆形孢子,直径4~5μm,周围有透明晕。根据上述直接镜检和培养镜下形态特征及尿素酶试验结果确定为荚膜组织胞浆菌荚膜变种。
讨论荚膜组织胞浆菌病国内较少见,自1958年广州李瑛等[1]报道首例以来,张长法等[2]与王正文等[3]也先后各报道1例,病原菌以荚膜组织胞浆菌荚膜变种居多。组织胞浆菌是一种高度传染性的双相型真菌,分有两型,荚膜组织胞浆菌荚膜变种和杜波组织胞浆菌。
, 百拇医药
组织胞浆菌应与马内菲青霉菌、瘤孢(Sepedonium污染菌)菌和皮炎芽生菌相鉴别,本菌为卵圆形带荚膜单细胞的孢子,而马内菲青霉菌为椭圆形至腊肠形或有隔似日字形的孢子。早期培养物镜下小而圆形至梨形细胞壁光滑的孢子应与皮炎芽生菌的孢子相鉴别,但本菌最终会产生圆形厚壁有棘突的齿轮状大分生孢子。本菌与瘤孢菌虽然培养镜下均有球形至梨形厚壁带刺的齿轮状大分生孢子,但本菌生长较慢,初白后变成淡灰白色,37℃生长良好;而瘤孢菌生长较快,初白后变成金黄色,37℃不生长或很少生长。本菌依据涂片可找到细胞内带荚膜孢子,培养镜下圆形厚壁带棘突的齿轮状大分生孢子,室温和37℃皆生长良好尚有尿素酶阳性,组织病理学检查细胞内外有带透明晕的孢子综合而确定。
参考文献
[1]李瑛,陈秉谦.组织胞浆菌病一例.中华医学杂志,1958,3:301-302.
[2]张长法,郭宁如,冯晓英,等.见于我国的杜波型组织胞浆菌病.中华皮肤科杂志,1991,24:413-414.
[3]王正文,黄云莉.播散型组织胞浆菌一例.中华皮肤科杂志,1995,28:415-416.
(收稿日期:1999-11-20), 百拇医药
单位:510120广州,中山医科大学孙逸仙纪念医院皮肤科
关键词:
中华皮肤科杂志000537
患者男,41岁。8个月前,无明显诱因于左腋窝起脓疱,后破溃,继而出现溃疡,右下后牙龈部出现相似损害,并累及左腹股沟及小腿,右肘起肿物,间有发热、关节痛,在口腔医院经病理检查诊断为组织胞浆菌病。后转我院诊治,常规作真菌培养。皮肤及粘膜检查:右下第3磨牙的牙龈出现约1cm×1cm浅溃疡;右肘伸侧鸡蛋大皮下肿物,暗红色,边界清楚,质软,轻压痛,上举困难;左侧腋窝、腹股沟,左膝及小腿4处指头大小溃疡,界清,溃疡面潮红,见分泌物(图1);双腋窝及左腹股沟淋巴结肿大,无压痛。痰和血真菌培养阴性,全胸下位X线片未见异常。
实验室检查:真菌镜检:取小腿、腹股沟及口腔等部位溃疡分泌物涂片瑞氏染色,油镜下多数大单核细胞内可见1~5μm大小、一端较尖、一端较圆、部分芽生、有荚膜的卵圆形孢子(图2)。PAS染色阳性,形态同上,并见细胞外有许多聚集成群有荚膜的孢子。真菌培养:3次取皮疹分泌物接种于含有庆大霉素或氯霉素的葡萄糖蛋白胨琼脂培养基(SDA)上,室温培养,菌落生长较慢,1周后方开始生长,初为无色,棉花样气中菌丝,后逐渐变成白色到淡灰白色菌落,背面淡棕黄色。显微镜检查:3周时镜下可见菌丝细长分支分隔,在菌丝两侧有直径2.5~3μm的小而光滑、圆形或梨形的小分生孢子及直径7.5~15μm的大而圆形的厚壁孢子。4周后镜下见有许多圆形厚壁有棘突的齿轮状大分生孢子(图3)。双相性试验:将菌丝相菌落转种到脑心浸汁葡萄糖琼脂培养基上,37℃恒温培养,菌落生长慢,3周后方开始生长为表面光滑、湿润、暗白色酵母样菌落。镜下可见卵圆形、芽生或无芽生孢子。尿素酶试验阳性。
, 百拇医药
图1患者左小腿多发结节溃疡损害
图2病灶直接涂片细胞内荚膜样孢子
(瑞氏染色×1000)
图3SDA培养菌落镜检示小分生孢子和厚壁带刺的齿轮状孢子(乳酸酚棉蓝染色×400)
组织病理:取腹股沟病灶组织活检,见真皮内组织细胞增生,在组织细胞内、外有成簇的圆形或卵圆形孢子,直径4~5μm,周围有透明晕。根据上述直接镜检和培养镜下形态特征及尿素酶试验结果确定为荚膜组织胞浆菌荚膜变种。
讨论荚膜组织胞浆菌病国内较少见,自1958年广州李瑛等[1]报道首例以来,张长法等[2]与王正文等[3]也先后各报道1例,病原菌以荚膜组织胞浆菌荚膜变种居多。组织胞浆菌是一种高度传染性的双相型真菌,分有两型,荚膜组织胞浆菌荚膜变种和杜波组织胞浆菌。
, 百拇医药
组织胞浆菌应与马内菲青霉菌、瘤孢(Sepedonium污染菌)菌和皮炎芽生菌相鉴别,本菌为卵圆形带荚膜单细胞的孢子,而马内菲青霉菌为椭圆形至腊肠形或有隔似日字形的孢子。早期培养物镜下小而圆形至梨形细胞壁光滑的孢子应与皮炎芽生菌的孢子相鉴别,但本菌最终会产生圆形厚壁有棘突的齿轮状大分生孢子。本菌与瘤孢菌虽然培养镜下均有球形至梨形厚壁带刺的齿轮状大分生孢子,但本菌生长较慢,初白后变成淡灰白色,37℃生长良好;而瘤孢菌生长较快,初白后变成金黄色,37℃不生长或很少生长。本菌依据涂片可找到细胞内带荚膜孢子,培养镜下圆形厚壁带棘突的齿轮状大分生孢子,室温和37℃皆生长良好尚有尿素酶阳性,组织病理学检查细胞内外有带透明晕的孢子综合而确定。
参考文献
[1]李瑛,陈秉谦.组织胞浆菌病一例.中华医学杂志,1958,3:301-302.
[2]张长法,郭宁如,冯晓英,等.见于我国的杜波型组织胞浆菌病.中华皮肤科杂志,1991,24:413-414.
[3]王正文,黄云莉.播散型组织胞浆菌一例.中华皮肤科杂志,1995,28:415-416.
(收稿日期:1999-11-20), 百拇医药