猪卵透明带抗独特型抗体对鼠免疫抗生育作用的研究
作者:孙晓溪 李大金 李超荆 朱影 孟毅
单位:200011 上海医科大学妇产科研究所生殖免疫研究室
关键词:卵;透明带;抗体,抗独特型;生殖
中华医学杂志981123 【摘要】 目的 评价猪卵透明带抗独特型抗体的免疫对生育功能的作用。方法 利用一株鼠抗猪卵透明带单克隆抗体(17D3mAb),通过异种动物免疫及亲和层析纯化制备猪卵透明带抗独特型抗体(Ab2)。结果 用Ab2免疫小鼠,妊娠率有下降趋势,平均胚胎数明显低于对照组(正常兔IgG免疫的小鼠)(P<0.05)。卵巢组织形态学显示,Ab2只影响晚期生长 卵泡。结论 虽然Ab2组对卵巢的损伤程度较热溶解透明带组明显减轻,但抗生育效果不完全,可能与Ab2中内影像结构仅占Ab2分子的成份较低有关 。因此,未来通过基因工程筛选Ab2内影像表位并连续表达,可能是克服这一障碍的有效手段。
, 百拇医药
Antifertile effect of immunization with anti-idiotypic antibodies to porcine zona pellucida Sun Xiaoxi, Li Dajin, Li Chaojing, et al. Laboratory of reproductive Immunology, Institute of Obstetrics and Gynecology, Shanghai Medical University, Shanghai 200011
【Abstract】 Objective To evaluate the antifertile effect of anti-idiotypic antibodies to PZP. Methods The New Zealand rabbits were immunized by 17D3 monoclonal antibody against PZP to produce anti-idiotypic antibodies (Ab2) which were then purified by immuno-affinity chromatography. Results The mice immunized with Ab2 showed decrease of pregnancy rate and a statistically significant reduction in the number of embryos as compared to controls (P<0.05). Histological examination of ovaries showed that Ab2 interferes only with late follicular development. Conclusions Ab2 to 17D3mAb could alleviate ovarian damage and suppress partial fertility. Clearly, further research is required to screen epitope of inner image of Ab2 and to express it by gene engineering.
, 百拇医药
【Key words】 Ovum Zona pellucida Antibodies, anti-idiotypic Fertility
(Natl Med J China, 1998, 78:856-858)
卵透明带是位于哺乳动物卵母细胞或着床前胚胎表面的一层酸性糖蛋白,其抗体具有干扰生育作用[1,2]。自1974年Jerne提出免疫网络学说以来,有关抗独特型抗体(anti-idiotypic antibody, Ab2)的研究日趋活跃,Ab2可能成为一种新型疫苗来源。具有抗独特型抗体(Ab2 β)的内影像在结构上模拟抗原决定簇,并发挥其抗原的生物学功能[3]。本研究利用我室制备的一株鼠抗猪卵透明带单克隆抗体(17D3mAb),通过免疫动物及生化提纯制备出猪卵透明带Ab2,并将之免疫小鼠以验证其抗生育作用。
, http://www.100md.com
材料与方法
一、猪卵透明带Ab2的制备及鉴定
用提纯的17D3mAb(IgG2b)免疫8只新西兰大白兔,末次免疫后1周取血,分离血清,饱和硫酸铵法粗提IgG,粗提IgG经正常小鼠IgG交联的Sepharose 4B亲和层析柱吸收后;收集穿流液,再经17D3mAb交联的Sepharose 4B亲和层析柱纯化,收集解离部分蛋白,SDS-PAGE竞争抑制试验[4]。
二、猪卵透明带Ab2免疫抗生育作用的研究
5周龄雌性Bal b/c小鼠,免疫前通过阴道细胞涂片筛选正常性周期小鼠,随机分成5组,每组6只,分别用正常兔IgG10 μg(对照组)、猪卵透明带Ab2(抗原剂量10 μg和50 μg)、粗制的热溶解猪卵透明带(PZP)10 μg及17D3mAb靶抗原(17D3mAb-ZP)10 μg免疫小鼠,共免疫3次,每次间隔1周,第3次免疫24小时后,与雄性小鼠合笼,次日观察阴道栓形成情况,有阴道栓形成者记为交配第1天,至交配后第10天眼底放血处死小鼠,分别收集血清、卵巢并观察小鼠胚胎数。
, 百拇医药
三、免疫小鼠血清抗体效价的测定
采用ELISA法。包被抗原 为17D3mAb靶抗原100 μg/ml,靶抗原的提取按文献[5]方法进行。
四、卵巢组织形态学观察
收集的卵巢经10%中性甲醛固定,石蜡包埋,切片,HE染色。
五、统计学处理
均数行t检验,计数资料行χ2检验。
结果
一、猪卵透明带Ab2对小鼠妊娠数及胚胎数的影响
表1 不同抗原免疫对小鼠妊娠数及胚胎数的影响 免疫原
, 百拇医药
鼠数
妊娠数
胚胎数(
±s)
正常兔IgG
6
6
9.8±1.3
Ab2(10 μg)
6
4△
3.7±3.5
, http://www.100md.com Ab2(50 μg)
6
3△
3.5±4.4*
17D3mAb-ZP
6
0*
0**
PZP
6
0*
0**
, http://www.100md.com
注:与正常兔IgG比较:△ P>0.05,* P<0.05,**P<0.01
由表1可见,Ab2免疫组妊娠数虽有下降趋势,但差异无显著意义,而17D3mAb-ZP和PZP免疫组其妊娠数明显低于对照组(P<0.05);Ab2免疫组、17D3mAb-ZP免疫组及PZP免疫组,胚胎平均数明显低于对照组(P<0.05,P<0.01)。
二、免疫小鼠血清抗体效价的测定
不同抗原免疫鼠,所形成抗体效价,以17D3mAb-ZP免疫组最高(抗血清最大稀释度1:1 600),PZP免疫组次之(1∶800),Ab2免疫组效价为1∶200~1∶400。结合表1结果显示,抗生育效果与抗体效价相关。
三、免疫小鼠卵巢组织形态学观察
, http://www.100md.com
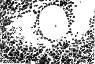
以正常兔IgG作为免疫原的小鼠卵巢组织中存在各个阶段发育卵泡,多数无形态学改变。Ab2免疫组早期生长卵泡形态正常,晚期生长卵泡出现核固缩及凋亡小体,颗粒细胞出现“脱屑”现象,细胞核固缩(图1,2)。17D3mAb-ZP免疫组,形态上同Ab2组,但颗粒细胞损伤程度较Ab2组重,并出现闭锁卵泡(图3);PZP免疫组各阶段发育卵泡数量明显减少,大量颗粒细胞损伤,出现核固缩,核碎片及凋亡小体,卵巢间质黄素化(图4)。
图1 Ab2免疫小鼠卵巢的比较组织形态学示颗粒细胞“脱屑”现象 HE×400(图2~3同)
图2 Ab2免疫小鼠的卵巢组织形态学示卵母细胞核固缩,出现凋亡小体
, http://www.100md.com
图3 17D3mAb靶抗原免疫小鼠的卵巢组织形态学
图4 PZP免疫小鼠卵巢组织形态学
四、免疫小鼠卵巢卵泡及黄体情况
由表2可见,各实验组与对照组相比,PZP免疫组卵泡数量明显减少(P<0.05);黄体数量Ab2(50 μg)免疫组、17D3mAb-ZP组及PZP免疫组差异有显著意义(P<0.05)。表2 免疫小鼠的卵泡及黄体发育情况(个/视野,
±s) 免疫原
鼠数
卵泡数
, 百拇医药
黄体数
正常兔IgG
6
24.0± 5.3
6.6±4.7
Ab2(10 μg)
6
23.2± 7.7
2.7±1.4
Ab2(50 μg)
6
22.7±14.9
, 百拇医药
2.1±2.1*
17D3mAb-ZP
6
21.5± 3.5
0*
PZP
6
13.3± 2.2*
0*
注:* 与正常兔IgG比较 △ P<0.05讨论
目前卵透明免疫避孕研究的焦点是筛选在精卵识别过程中起重要作用的特异性抗原决定簇。抗独特型疫苗的研究可为卵透明带免疫避孕研究提供一种新的手段。因独特型是免疫球蛋白分子(Ab1)可变区与特异性抗原决定簇结合的表位。用其诱导产生抗独特型抗体(Ab2 β)独特型由于在空间结构上与相应抗原表位相同,因而可模拟抗原诱导机体产生抗原特异性免疫应答。本研究中应用鼠抗猪卵透明带单克隆抗体17D3mAb作为免疫原免疫异种动物并通过亲和层析制备Ab2。实验证明,按照此法所得Ab2较纯,ELISA竞争抑制试验显示随着17D3mAb靶抗原浓度的逐渐升高,Ab2与17D3mAb的结合百分率逐渐降低,表明制备的Ab2能特异地与17D3mAb抗原结合部位结合[4]。用卵透明带Ab2免疫小鼠观察抗生育效果显示,妊娠数虽有下降,但差异无显著意义,这主要由于用17D3mAb免疫新西兰大白兔,经生化提纯所得的Ab2与17D3mAb-ZP组和PZP组相比,Ab2中的Ab2 β表位(即内影像)实际含量比ZP的抗原表位低得多。因此所形成的抗体效价较低,抗生育效果不理想。而17D3mAb靶抗原组及PZP组因抗原表位(即抗原决定簇)含量丰富,所形成的抗体效价相对较高,抗生育作用显著。因此,未来通过基因工程筛选Ab2内影像cDNA,并连续重复表达,可能是克服这一障碍的有效手段。
, 百拇医药
但我们同时也发现由于17D3mAb靶抗原组及PZP组除含有所模拟的抗原决定簇外,还含有其它卵巢抗原决定簇,免疫后小鼠卵巢中颗粒细胞损伤以PZP最重,17D3mAb靶抗原组次之,Ab2组最轻。在不同抗原免疫对小鼠胚胎数的影响结果中显示:Ab2(50 μg)组、17D3mAb靶抗原组及PZP免疫组其平均胚胎数明显低于对照组。免疫后小鼠卵巢组织病理学结果及切片中卵泡及黄体计数表明卵透明带Ab2所模拟的抗原,仅在晚期卵母细胞表达,所形成的抗体(Ab3)可引起晚期卵母细胞凋亡,导致不排卵,黄体形成减少。同时,卵透明带Ab2免疫组仍可导致颗粒细胞轻度损伤,虽然这种损伤较PZP免疫组及17D3mAb靶抗原组为轻,但仍可能不同程度地影响体内激素水平,也是导致不排卵的原因。
本课题为国家自然科学基金资助项目(39370621)
参考文献
, 百拇医药
1 Wassarman PM. Zona pellucida glycoproteins. Ann Rev Biochem, 1988, 57:415-442.
2 Skinner SM, Prasad SV, Ndolo TM, et al. Zona pellucida antigens: targets for contraceptive vaccines. Am J Reprod Immunol, 1996, 35:163-174.
3 Jern e NK. Toward a network theory of the immune system. Annu Immunol, 1974, 125c, 373-375.
4 孙晓溪,李大金,朱影,等.猪卵透明带单克隆抗体抗独特型抗体制备及其分析.中国免疫学杂志,1997,13(增刊):39-41.
5 孙晓溪,李大金,李超荆.猪卵透明带单克隆抗体靶抗原生化特性的研究.生殖与避孕,1995,15:380-382.
(收稿:1997-12-05 修回:1998-07-20), 百拇医药
单位:200011 上海医科大学妇产科研究所生殖免疫研究室
关键词:卵;透明带;抗体,抗独特型;生殖
中华医学杂志981123 【摘要】 目的 评价猪卵透明带抗独特型抗体的免疫对生育功能的作用。方法 利用一株鼠抗猪卵透明带单克隆抗体(17D3mAb),通过异种动物免疫及亲和层析纯化制备猪卵透明带抗独特型抗体(Ab2)。结果 用Ab2免疫小鼠,妊娠率有下降趋势,平均胚胎数明显低于对照组(正常兔IgG免疫的小鼠)(P<0.05)。卵巢组织形态学显示,Ab2只影响晚期生长 卵泡。结论 虽然Ab2组对卵巢的损伤程度较热溶解透明带组明显减轻,但抗生育效果不完全,可能与Ab2中内影像结构仅占Ab2分子的成份较低有关 。因此,未来通过基因工程筛选Ab2内影像表位并连续表达,可能是克服这一障碍的有效手段。
, 百拇医药
Antifertile effect of immunization with anti-idiotypic antibodies to porcine zona pellucida Sun Xiaoxi, Li Dajin, Li Chaojing, et al. Laboratory of reproductive Immunology, Institute of Obstetrics and Gynecology, Shanghai Medical University, Shanghai 200011
【Abstract】 Objective To evaluate the antifertile effect of anti-idiotypic antibodies to PZP. Methods The New Zealand rabbits were immunized by 17D3 monoclonal antibody against PZP to produce anti-idiotypic antibodies (Ab2) which were then purified by immuno-affinity chromatography. Results The mice immunized with Ab2 showed decrease of pregnancy rate and a statistically significant reduction in the number of embryos as compared to controls (P<0.05). Histological examination of ovaries showed that Ab2 interferes only with late follicular development. Conclusions Ab2 to 17D3mAb could alleviate ovarian damage and suppress partial fertility. Clearly, further research is required to screen epitope of inner image of Ab2 and to express it by gene engineering.
, 百拇医药
【Key words】 Ovum Zona pellucida Antibodies, anti-idiotypic Fertility
(Natl Med J China, 1998, 78:856-858)
卵透明带是位于哺乳动物卵母细胞或着床前胚胎表面的一层酸性糖蛋白,其抗体具有干扰生育作用[1,2]。自1974年Jerne提出免疫网络学说以来,有关抗独特型抗体(anti-idiotypic antibody, Ab2)的研究日趋活跃,Ab2可能成为一种新型疫苗来源。具有抗独特型抗体(Ab2 β)的内影像在结构上模拟抗原决定簇,并发挥其抗原的生物学功能[3]。本研究利用我室制备的一株鼠抗猪卵透明带单克隆抗体(17D3mAb),通过免疫动物及生化提纯制备出猪卵透明带Ab2,并将之免疫小鼠以验证其抗生育作用。
, http://www.100md.com
材料与方法
一、猪卵透明带Ab2的制备及鉴定
用提纯的17D3mAb(IgG2b)免疫8只新西兰大白兔,末次免疫后1周取血,分离血清,饱和硫酸铵法粗提IgG,粗提IgG经正常小鼠IgG交联的Sepharose 4B亲和层析柱吸收后;收集穿流液,再经17D3mAb交联的Sepharose 4B亲和层析柱纯化,收集解离部分蛋白,SDS-PAGE竞争抑制试验[4]。
二、猪卵透明带Ab2免疫抗生育作用的研究
5周龄雌性Bal b/c小鼠,免疫前通过阴道细胞涂片筛选正常性周期小鼠,随机分成5组,每组6只,分别用正常兔IgG10 μg(对照组)、猪卵透明带Ab2(抗原剂量10 μg和50 μg)、粗制的热溶解猪卵透明带(PZP)10 μg及17D3mAb靶抗原(17D3mAb-ZP)10 μg免疫小鼠,共免疫3次,每次间隔1周,第3次免疫24小时后,与雄性小鼠合笼,次日观察阴道栓形成情况,有阴道栓形成者记为交配第1天,至交配后第10天眼底放血处死小鼠,分别收集血清、卵巢并观察小鼠胚胎数。
, 百拇医药
三、免疫小鼠血清抗体效价的测定
采用ELISA法。包被抗原 为17D3mAb靶抗原100 μg/ml,靶抗原的提取按文献[5]方法进行。
四、卵巢组织形态学观察
收集的卵巢经10%中性甲醛固定,石蜡包埋,切片,HE染色。
五、统计学处理
均数行t检验,计数资料行χ2检验。
结果
一、猪卵透明带Ab2对小鼠妊娠数及胚胎数的影响
表1 不同抗原免疫对小鼠妊娠数及胚胎数的影响 免疫原
, 百拇医药
鼠数
妊娠数
胚胎数(
正常兔IgG
6
6
9.8±1.3
Ab2(10 μg)
6
4△
3.7±3.5
, http://www.100md.com Ab2(50 μg)
6
3△
3.5±4.4*
17D3mAb-ZP
6
0*
0**
PZP
6
0*
0**
, http://www.100md.com
注:与正常兔IgG比较:△ P>0.05,* P<0.05,**P<0.01
由表1可见,Ab2免疫组妊娠数虽有下降趋势,但差异无显著意义,而17D3mAb-ZP和PZP免疫组其妊娠数明显低于对照组(P<0.05);Ab2免疫组、17D3mAb-ZP免疫组及PZP免疫组,胚胎平均数明显低于对照组(P<0.05,P<0.01)。
二、免疫小鼠血清抗体效价的测定
不同抗原免疫鼠,所形成抗体效价,以17D3mAb-ZP免疫组最高(抗血清最大稀释度1:1 600),PZP免疫组次之(1∶800),Ab2免疫组效价为1∶200~1∶400。结合表1结果显示,抗生育效果与抗体效价相关。
三、免疫小鼠卵巢组织形态学观察
, http://www.100md.com
以正常兔IgG作为免疫原的小鼠卵巢组织中存在各个阶段发育卵泡,多数无形态学改变。Ab2免疫组早期生长卵泡形态正常,晚期生长卵泡出现核固缩及凋亡小体,颗粒细胞出现“脱屑”现象,细胞核固缩(图1,2)。17D3mAb-ZP免疫组,形态上同Ab2组,但颗粒细胞损伤程度较Ab2组重,并出现闭锁卵泡(图3);PZP免疫组各阶段发育卵泡数量明显减少,大量颗粒细胞损伤,出现核固缩,核碎片及凋亡小体,卵巢间质黄素化(图4)。
图1 Ab2免疫小鼠卵巢的比较组织形态学示颗粒细胞“脱屑”现象 HE×400(图2~3同)
图2 Ab2免疫小鼠的卵巢组织形态学示卵母细胞核固缩,出现凋亡小体
, http://www.100md.com
图3 17D3mAb靶抗原免疫小鼠的卵巢组织形态学
图4 PZP免疫小鼠卵巢组织形态学
四、免疫小鼠卵巢卵泡及黄体情况
由表2可见,各实验组与对照组相比,PZP免疫组卵泡数量明显减少(P<0.05);黄体数量Ab2(50 μg)免疫组、17D3mAb-ZP组及PZP免疫组差异有显著意义(P<0.05)。表2 免疫小鼠的卵泡及黄体发育情况(个/视野,
鼠数
卵泡数
, 百拇医药
黄体数
正常兔IgG
6
24.0± 5.3
6.6±4.7
Ab2(10 μg)
6
23.2± 7.7
2.7±1.4
Ab2(50 μg)
6
22.7±14.9
, 百拇医药
2.1±2.1*
17D3mAb-ZP
6
21.5± 3.5
0*
PZP
6
13.3± 2.2*
0*
注:* 与正常兔IgG比较 △ P<0.05讨论
目前卵透明免疫避孕研究的焦点是筛选在精卵识别过程中起重要作用的特异性抗原决定簇。抗独特型疫苗的研究可为卵透明带免疫避孕研究提供一种新的手段。因独特型是免疫球蛋白分子(Ab1)可变区与特异性抗原决定簇结合的表位。用其诱导产生抗独特型抗体(Ab2 β)独特型由于在空间结构上与相应抗原表位相同,因而可模拟抗原诱导机体产生抗原特异性免疫应答。本研究中应用鼠抗猪卵透明带单克隆抗体17D3mAb作为免疫原免疫异种动物并通过亲和层析制备Ab2。实验证明,按照此法所得Ab2较纯,ELISA竞争抑制试验显示随着17D3mAb靶抗原浓度的逐渐升高,Ab2与17D3mAb的结合百分率逐渐降低,表明制备的Ab2能特异地与17D3mAb抗原结合部位结合[4]。用卵透明带Ab2免疫小鼠观察抗生育效果显示,妊娠数虽有下降,但差异无显著意义,这主要由于用17D3mAb免疫新西兰大白兔,经生化提纯所得的Ab2与17D3mAb-ZP组和PZP组相比,Ab2中的Ab2 β表位(即内影像)实际含量比ZP的抗原表位低得多。因此所形成的抗体效价较低,抗生育效果不理想。而17D3mAb靶抗原组及PZP组因抗原表位(即抗原决定簇)含量丰富,所形成的抗体效价相对较高,抗生育作用显著。因此,未来通过基因工程筛选Ab2内影像cDNA,并连续重复表达,可能是克服这一障碍的有效手段。
, 百拇医药
但我们同时也发现由于17D3mAb靶抗原组及PZP组除含有所模拟的抗原决定簇外,还含有其它卵巢抗原决定簇,免疫后小鼠卵巢中颗粒细胞损伤以PZP最重,17D3mAb靶抗原组次之,Ab2组最轻。在不同抗原免疫对小鼠胚胎数的影响结果中显示:Ab2(50 μg)组、17D3mAb靶抗原组及PZP免疫组其平均胚胎数明显低于对照组。免疫后小鼠卵巢组织病理学结果及切片中卵泡及黄体计数表明卵透明带Ab2所模拟的抗原,仅在晚期卵母细胞表达,所形成的抗体(Ab3)可引起晚期卵母细胞凋亡,导致不排卵,黄体形成减少。同时,卵透明带Ab2免疫组仍可导致颗粒细胞轻度损伤,虽然这种损伤较PZP免疫组及17D3mAb靶抗原组为轻,但仍可能不同程度地影响体内激素水平,也是导致不排卵的原因。
本课题为国家自然科学基金资助项目(39370621)
参考文献
, 百拇医药
1 Wassarman PM. Zona pellucida glycoproteins. Ann Rev Biochem, 1988, 57:415-442.
2 Skinner SM, Prasad SV, Ndolo TM, et al. Zona pellucida antigens: targets for contraceptive vaccines. Am J Reprod Immunol, 1996, 35:163-174.
3 Jern e NK. Toward a network theory of the immune system. Annu Immunol, 1974, 125c, 373-375.
4 孙晓溪,李大金,朱影,等.猪卵透明带单克隆抗体抗独特型抗体制备及其分析.中国免疫学杂志,1997,13(增刊):39-41.
5 孙晓溪,李大金,李超荆.猪卵透明带单克隆抗体靶抗原生化特性的研究.生殖与避孕,1995,15:380-382.
(收稿:1997-12-05 修回:1998-07-20), 百拇医药