CT导引腹腔神经丛阻滞治疗上腹部顽固性癌性疼痛的研究
作者:崔恒武 田建明 王培军 陈爱华 左长京 萧毅 王敏杰 范月兰
单位:上海,第二军医大学附属长海医院放射科 200433
关键词:放射学,介入性;疼痛,顽固性;醇,乙;体层摄影术,X线计算机
中华放射学杂志991212摘要:目的 评价腹腔神经丛阻滞的止痛疗效,分析影响止痛效果的因素。方法 42例由胰腺癌、肝癌、胃癌、结肠癌、胆管癌引起的顽固性上腹痛或伴有牵涉性背痛的患者经CT导引两侧腹腔神经丛酒精阻滞,止痛效果被分为0~Ⅲ级,并通过工作站三维重建观察对比剂扩散情况。结果 经3个月随访观察,在2周、1个月、2个月、3个月,止痛总有效率分别为92.86%、88.10%、85.00%、80.56%。有显著止痛效果的病人,可观察到对比剂扩散较完全,能从两侧包绕腹主动脉。本组无一例有严重并发症。结论 CT导引下腹腔神经丛阻滞治疗上腹顽固性癌性疼痛是一种安全、有效的方法,应推广应用。
, 百拇医药
The study of controlling intractable upper abdominal pain caused by cancer through neurolytic celiac plexus block guided by CT
CUI Hengwu, TIAN Jianming, WANG Peijun, et al.
Department of Radiology, the First Affiliated Hospital of Second Military Medical College, Shanghai, 200433
Abstract Objective To evaluate the therapeutic effect of neurolytic celiac plexus block (NCPB) and to analyze the factors related to the degree of pain relief. Methods Forty-two patients who had intractable upper abdominal pain or accompanying referred back pain from cancer of pancreas, liver, stomach, colon and bile duct received bilateral alcohol neurolytic celiac plexus blocks under CT guidance. The results of pain relief were classified into 0-Ⅲgrade. The spread of neurolytic solutiom (with contrast material) was observed through 3D reconstruction. Results During the 3 months follow-up, the total effective rates of pain relief in 2 weeks,1 month, 2 months and 3 months were 92.86%、88.10%、85.00% and 80.56% respectively. Satisfactory pain relief results were obtained when the neurolytic solution encircled the aorta adequately from two sides .There were no severe complications in any case. Conclusion NCPB guided by CT proves to be an effective and safe means of controlling intractable upper abdominal cancer pain and should be popularized.
, 百拇医药
Key words Radiology, interventional Pain, intractable Alcohol, ethyl Tomography, X-ray computed
近10多年来,随着医疗技术的进步及介入放射学的深入发展,国外已越来越多地运用CT导引行腹腔神经丛阻滞(neurolytic celiac plexus block, NCPB)治疗上腹部中晚期肿瘤的顽固性疼痛[1-5],而国内应用较少[6]。我院近2年对42例上腹部或伴有背部顽固性癌性疼痛的病人进行了CT导引下的NCPB治疗,取得了较好的止痛效果。现对有关方法、结果及影响疗效的因素等方面进行探讨。
材料与方法
1. 一般资料:本组42例均经临床、手术病理或CT、MR等多方面检查确诊为中晚期癌症患者,男22例,女20例,年龄35~80岁,平均53.5岁,其中胰腺癌15例,肝癌14例,胆管癌4例,胃癌6例,结肠癌3例,28例伴有不同程度的后腹膜淋巴结肿大。出现疼痛的时间为确诊后0.5~3个月,平均1.3个月,均为临床采用强止痛药效果不佳而行双侧NCPB治疗,其中3例做了2次阻滞治疗。
, http://www.100md.com
2. 技术方法:使用PQ 5000V全身CT机,病人俯卧位,先在T12~L1之间横断扫描,层厚、层距均为5 mm,选出最佳层面,光标拟定出双侧进针点及进针深度、角度,并标记进针点。进针点一般在12后肋下缘旁开正中线3.5~7.0 cm,针尖最后应位于膈肌脚前腹主动脉旁(图1)。选用20~21 G 15 cm长穿刺针,皮肤消毒、局麻后按拟定路线穿刺。CT扫描确定位置正确后,一侧针芯内注入10 ml0.5%布比卡因+0.5 ml 1∶1 000肾上腺素+3 ml 优维显[Ultravist 1 ml含碘普罗胺 (Iopromide) 0.623 g,碘300 mg]对比剂的混合液,再次CT扫描证实针尖位置正确并观察到对比剂在腹主动脉周围扩散良好,观察5~10分钟后,若患者疼痛缓解,无异常不适,然后每侧针芯内缓慢注入20 ml 75% 酒精+3~5 ml对比剂的混合液,拔针前注入0.5~1.0 ml 生理盐水或局麻药。两侧穿刺方法相似。阻滞完成后,在T9~L3之间再次螺旋CT扫描,层厚为4 mm、螺距为1.0,并将数据输入工作站,以便术后重建对比剂扩散范围,可形象直观地观察药物弥散情况。回病房后病人保持俯卧1小时,然后仰卧平躺12小时。术后监测血压、脉搏,并补液1 000 ml,作必要的对症处理。有3例第1次阻滞2周后又出现疼痛,第2次阻滞采用膈脚后阻滞,方法基本同上,只是针尖最后位于膈脚后方。
, 百拇医药
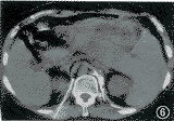
图1 针尖位于膈肌脚前、腹腔动脉干水平
结果
1. 疗效观察:疗效评价分为0~Ⅲ级。0级,无效;Ⅰ级,疼痛较前改善,但仍需一定量的止痛药;Ⅱ级,疼痛明显缓解,偶用或少用止痛药;Ⅲ级,疼痛消失,无需止痛药。随访3个月,止痛结果详见表1。其中第2个月出现2人死亡,第3个月4人死亡。在6例死亡患者中,有3例直到临终前无明显疼痛。另外,疼痛得到改善的病人往往睡眠、食欲、及情绪相应改善。42例中,有40例(95.24%)在术中经针芯注入布比卡因几分钟后,疼痛即刻就能得到缓解。
表1 42例患者腹腔神经丛阻滞后止痛效果分析 随访
时间
各分级例数
显效率
, 百拇医药
(%)①
总有效率
(%)②
Ⅲ级
Ⅱ级
Ⅰ级
0级
2周
20
14
5
3
80.95
, http://www.100md.com
92.86
1个月
18
14
5
5
76.19
88.10
2个月
15
11
8
6
, http://www.100md.com 65.00
85.00
3个月
12
10
7
7
61.11
80.56
注:①显效率=(Ⅱ+Ⅲ)/(总病例数-死亡数)×100%;②总有效率=(Ⅰ+Ⅱ+Ⅲ)/(总病例数-死亡数)×100%
2. 对比剂弥散情况观察:有显著疗效的病人(Ⅱ、Ⅲ级),其对比剂(与酒精的混合物)扩散范围均较广泛,上可达T10~T11水平,下可达L2~L3水平,且两侧对比剂能相互汇合,较好地包绕腹主动脉(图2~4)。而效果欠佳的病人(0、Ⅰ级),两侧对比剂不能较好地相互汇合包绕腹主动脉(图5),其原因往往是腹主动脉前方腹腔神经丛区被较大的肿块或淋巴结占据,药物不易渗入,有3例病人第1次阻滞2周后再次出现疼痛,第2次阻滞采用双侧膈脚后阻滞法,取得了较满意的疗效,这时对比剂在膈脚及腹主动脉后方弥散较好(图6)。
, http://www.100md.com
图2 对比剂从两侧包绕腹主动脉,弥散范围较广。肝脏内有碘油沉积,为肝癌插管化疗术后改变

图3,4 同图2患者,工作站三维重建后的图像,可形象、直观地观察到对比剂在腹主动脉周围弥散良好。斑片状高密度影为肝内碘油沉积(↑)
图5 胰腺癌,腹膜后淋巴结肿大,两侧对比剂不能很好地汇合,弥散范围局限
图6 针尖位于膈肌脚后,膈肌脚前方有较多肿大的淋巴结
, http://www.100md.com 3. 术后并发症:9例发生轻度直立性低血压,经适当补液,一般2~3天后恢复正常;8例腹部或背部轻、中度烧灼痛伴恶心、呕吐,1~2天后逐渐消失;5例轻度腹泻,1~2天后自行缓解。
讨论
一、疗效评价
临床上对中晚期肿瘤顽固性疼痛没有太好的治疗方法,常应用度冷丁等强止痛药物,长时间使用麻醉药易成瘾,往往剂量越用越大,效果越来越差,而对于许多晚期患者,止痛往往上升为主要矛盾。腹腔神经丛阻滞是治疗中晚期肿瘤顽固性上腹痛或牵涉性背痛的有效方法,据大宗文献报道[2-9],肿瘤引起的上腹痛及背痛,NCPB治疗的总有效率75.00%~94.00%,直到死亡仍有44.40%~70.00%有效,且有效期与病人生存期一致。本组术后2周总有效率92.86%,显效率80.95%,到第3个月总有效率仍有80.56%,显效率61.11%,6例死亡患者,有3例直到临终仍有效。另外,NCPB术后,随着疼痛缓解,病人睡眠、食欲及情绪同时改善,能减轻麻醉药带来的一系列副作用,如恶心、食欲差、便秘、感觉中枢迟钝及个人性格改变等。这可能与阻滞后交感神经作用相对减弱,副交感神经作用相对增强,肠蠕动加快有一定关系。因此,NCPB能使患者晚期生活质量明显提高,间接地延缓病情恶化。
, 百拇医药
二、影响疗效的因素
1.与技术有关:腹腔神经丛是人体最大的植物神经丛,位于T12~L1水平,在腹主动脉前或前侧方,围绕腹腔动脉根部及肠系膜上动脉根部,它是传入、传出交感神经纤维及副交感神经纤维的网状结构。穿刺进针位置准确与否是决定阻滞疗效的关键,以往通常是在透视下或根据体表骨性标志进行穿刺[7-10],当遇到病人有6个腰椎、12肋缺如、脊柱畸形、肿块推移周围结构、甚至太胖等情况时,定位往往不够精确,影响疗效,且常会发生气胸、肝肾等脏器损伤等并发症。CT导引定位精确,并可观察药物弥散情况,至今未见有出现严重并发症的报道。本组42例无一例出现严重并发症。
2.与药物弥散情况有关:如果药物弥散好,阻滞彻底,则疗效佳,反之疗效差。本组病例均经工作站三维重建,形象、直观、立体地观察药物弥散情况。有显著疗效的病人,其药物弥散较广泛,且两侧药物能相互汇合包绕腹主动脉。疗效差的病人,对比剂扩散差,往往由于腹腔神经丛区被较大的肿块占有,药物不能较完全地弥散进去,致不能使神经纤维变性、脱鞘。我们有3例第2次阻滞采用膈脚后阻滞法,阻滞内脏大、小神经,达到较好的治疗效果。因此我们认为,一般情况下应采用膈脚前阻滞,直接阻滞腹腔神经丛,如发现神经丛区被较大肿块占据,药物不易渗透进去,这时应采用膈脚后阻滞,阻滞内脏大、小神经,因内脏大、小神经穿过膈脚通向腹腔神经丛。通常双侧阻滞优于单侧阻滞,因单侧阻滞药物不易完全扩散到对侧,阻滞不够彻底。我们均采用双侧阻滞,取得较满意的疗效。酒精浓度的选择各家不同,一般为50%~100%[1-10]。我们选用75%酒精,双侧共40 ml(内加6~10 ml对比剂),认为其可达到较广泛地扩散的目的,可使神经丛得到较彻底的阻滞。如用纯酒精,用量相对少,扩散范围有限,而用50%酒精,其使神经变性、脱鞘的能力相对稍差。
, 百拇医药
3.与病情恶化程度有关:越到晚期NCPB的止痛效果渐降低。本组2周时总有效率92.86%,显效率80.95%,到第3个月分别下降至80.56%及61.11%。其主要原因是由于随着病情逐步恶化,癌灶广泛转移扩散,除侵犯腹腔神经丛之外还侵犯其它传导通道,如躯体传入、传出神经等。因此提倡早阻滞,在病人未出现麻醉药成瘾前进行阻滞[3,5,7]。还有,越到晚期由于病情加重,不少病人情绪越来越差,疼痛也越来越厉害。而有些病人能正确对待疾病,性情较开朗,疼痛往往较轻,止痛效果相对好。因为疼痛是多方面因素产生的一种现象,包括精神、感情、躯体等多种成分,因此晚期病人的心理治疗也十分重要,不可忽视。
三、并发症的防治
本组并发症少,一般轻且短暂。仅9例发生轻度直立性低血压,经补液治疗2~3日后逐渐恢复正常,而8例轻、中度腹痛及5例轻度腹泻均1~2日逐渐缓解,无需特殊处理。酒精阻滞前先注入较长效的麻醉药(布比卡因)能较理想地防止酒精引起的刺激性疼痛。拔针前针芯内注入少量生理盐水或局麻药可预防针道刺激疼痛。总之,腹腔神经丛阻滞对上腹癌性疼痛治疗效果明显,能提高病人晚期的生活质量,越早阻滞越好。CT导引定位精确,并发症少、轻且短暂,值得推广、应用。
, 百拇医药
本研究属国家“九五”科技攻关课题分课题之一(批准号:96-907-03-01)
参考文献
1 Singler RC.An improved technique for allcohol neurolysis of the celiac plexus.Anesthesiology, 1982, 56:137-141.
2 Lieberman RP, Waldman SD. Celiac plexus neurolysis with the modified transaortic approach.Radiology, 1990, 175:274-276.
3 Ischia S, Ischia A , Polati E , et al. Three posterior percutaneous celiac plexus block techniques a prospective, randomized study in 61 patients with pancreatic cancer pain. Anesthesiology, 1992, 76:539-543.
, 百拇医药
4 Ina H, Kitoh T, Kobayashi M, et al.New technique for the neurolytic celiac plexus block:the transintervertebral disc approach.Anesthesiology, 1996, 85:212-217.
5 Akhan O, Altinok D, Ozmen MN, et al.Correlation between the grade of tumoral invasion and pain relief in patients with celiac ganglia block.AJR, 1997, 168:1565-1567.
6 林上奇,鲁西,吴宝珊.CT导向腹腔神经丛乙醇阻滞治疗上腹部癌痛.中华放射学杂志,1996,30:272-274.
7 Hegedus V.Relief of pancreatic pain by radiography-guided block.AJR, 1979, 133:1101-1103.
, 百拇医药
8 Brown DL, Bulley CK, Quiel EL.Neurolytic celiac plexus block for pancreatic cancer pain.Anesth Analg, 1987, 66:869-873.
9 李智岗,王兴远,耿进朝等.腹腔神经丛阻滞治疗晚期上腹部癌痛.中华放射学杂志,1994,28:335-336.
10 Moore DC, Bush WH, Burnett LL.Celiac plexus block: a roentgenographic, anatomic study of technique and spread of solution in patients and corpses. Anesth Analg, 1981, 60:369-379.
收稿:1999-01-20
修回:1999-07-26, http://www.100md.com
单位:上海,第二军医大学附属长海医院放射科 200433
关键词:放射学,介入性;疼痛,顽固性;醇,乙;体层摄影术,X线计算机
中华放射学杂志991212摘要:目的 评价腹腔神经丛阻滞的止痛疗效,分析影响止痛效果的因素。方法 42例由胰腺癌、肝癌、胃癌、结肠癌、胆管癌引起的顽固性上腹痛或伴有牵涉性背痛的患者经CT导引两侧腹腔神经丛酒精阻滞,止痛效果被分为0~Ⅲ级,并通过工作站三维重建观察对比剂扩散情况。结果 经3个月随访观察,在2周、1个月、2个月、3个月,止痛总有效率分别为92.86%、88.10%、85.00%、80.56%。有显著止痛效果的病人,可观察到对比剂扩散较完全,能从两侧包绕腹主动脉。本组无一例有严重并发症。结论 CT导引下腹腔神经丛阻滞治疗上腹顽固性癌性疼痛是一种安全、有效的方法,应推广应用。
, 百拇医药
The study of controlling intractable upper abdominal pain caused by cancer through neurolytic celiac plexus block guided by CT
CUI Hengwu, TIAN Jianming, WANG Peijun, et al.
Department of Radiology, the First Affiliated Hospital of Second Military Medical College, Shanghai, 200433
Abstract Objective To evaluate the therapeutic effect of neurolytic celiac plexus block (NCPB) and to analyze the factors related to the degree of pain relief. Methods Forty-two patients who had intractable upper abdominal pain or accompanying referred back pain from cancer of pancreas, liver, stomach, colon and bile duct received bilateral alcohol neurolytic celiac plexus blocks under CT guidance. The results of pain relief were classified into 0-Ⅲgrade. The spread of neurolytic solutiom (with contrast material) was observed through 3D reconstruction. Results During the 3 months follow-up, the total effective rates of pain relief in 2 weeks,1 month, 2 months and 3 months were 92.86%、88.10%、85.00% and 80.56% respectively. Satisfactory pain relief results were obtained when the neurolytic solution encircled the aorta adequately from two sides .There were no severe complications in any case. Conclusion NCPB guided by CT proves to be an effective and safe means of controlling intractable upper abdominal cancer pain and should be popularized.
, 百拇医药
Key words Radiology, interventional Pain, intractable Alcohol, ethyl Tomography, X-ray computed
近10多年来,随着医疗技术的进步及介入放射学的深入发展,国外已越来越多地运用CT导引行腹腔神经丛阻滞(neurolytic celiac plexus block, NCPB)治疗上腹部中晚期肿瘤的顽固性疼痛[1-5],而国内应用较少[6]。我院近2年对42例上腹部或伴有背部顽固性癌性疼痛的病人进行了CT导引下的NCPB治疗,取得了较好的止痛效果。现对有关方法、结果及影响疗效的因素等方面进行探讨。
材料与方法
1. 一般资料:本组42例均经临床、手术病理或CT、MR等多方面检查确诊为中晚期癌症患者,男22例,女20例,年龄35~80岁,平均53.5岁,其中胰腺癌15例,肝癌14例,胆管癌4例,胃癌6例,结肠癌3例,28例伴有不同程度的后腹膜淋巴结肿大。出现疼痛的时间为确诊后0.5~3个月,平均1.3个月,均为临床采用强止痛药效果不佳而行双侧NCPB治疗,其中3例做了2次阻滞治疗。
, http://www.100md.com
2. 技术方法:使用PQ 5000V全身CT机,病人俯卧位,先在T12~L1之间横断扫描,层厚、层距均为5 mm,选出最佳层面,光标拟定出双侧进针点及进针深度、角度,并标记进针点。进针点一般在12后肋下缘旁开正中线3.5~7.0 cm,针尖最后应位于膈肌脚前腹主动脉旁(图1)。选用20~21 G 15 cm长穿刺针,皮肤消毒、局麻后按拟定路线穿刺。CT扫描确定位置正确后,一侧针芯内注入10 ml0.5%布比卡因+0.5 ml 1∶1 000肾上腺素+3 ml 优维显[Ultravist 1 ml含碘普罗胺 (Iopromide) 0.623 g,碘300 mg]对比剂的混合液,再次CT扫描证实针尖位置正确并观察到对比剂在腹主动脉周围扩散良好,观察5~10分钟后,若患者疼痛缓解,无异常不适,然后每侧针芯内缓慢注入20 ml 75% 酒精+3~5 ml对比剂的混合液,拔针前注入0.5~1.0 ml 生理盐水或局麻药。两侧穿刺方法相似。阻滞完成后,在T9~L3之间再次螺旋CT扫描,层厚为4 mm、螺距为1.0,并将数据输入工作站,以便术后重建对比剂扩散范围,可形象直观地观察药物弥散情况。回病房后病人保持俯卧1小时,然后仰卧平躺12小时。术后监测血压、脉搏,并补液1 000 ml,作必要的对症处理。有3例第1次阻滞2周后又出现疼痛,第2次阻滞采用膈脚后阻滞,方法基本同上,只是针尖最后位于膈脚后方。
, 百拇医药
图1 针尖位于膈肌脚前、腹腔动脉干水平
结果
1. 疗效观察:疗效评价分为0~Ⅲ级。0级,无效;Ⅰ级,疼痛较前改善,但仍需一定量的止痛药;Ⅱ级,疼痛明显缓解,偶用或少用止痛药;Ⅲ级,疼痛消失,无需止痛药。随访3个月,止痛结果详见表1。其中第2个月出现2人死亡,第3个月4人死亡。在6例死亡患者中,有3例直到临终前无明显疼痛。另外,疼痛得到改善的病人往往睡眠、食欲、及情绪相应改善。42例中,有40例(95.24%)在术中经针芯注入布比卡因几分钟后,疼痛即刻就能得到缓解。
表1 42例患者腹腔神经丛阻滞后止痛效果分析 随访
时间
各分级例数
显效率
, 百拇医药
(%)①
总有效率
(%)②
Ⅲ级
Ⅱ级
Ⅰ级
0级
2周
20
14
5
3
80.95
, http://www.100md.com
92.86
1个月
18
14
5
5
76.19
88.10
2个月
15
11
8
6
, http://www.100md.com 65.00
85.00
3个月
12
10
7
7
61.11
80.56
注:①显效率=(Ⅱ+Ⅲ)/(总病例数-死亡数)×100%;②总有效率=(Ⅰ+Ⅱ+Ⅲ)/(总病例数-死亡数)×100%
2. 对比剂弥散情况观察:有显著疗效的病人(Ⅱ、Ⅲ级),其对比剂(与酒精的混合物)扩散范围均较广泛,上可达T10~T11水平,下可达L2~L3水平,且两侧对比剂能相互汇合,较好地包绕腹主动脉(图2~4)。而效果欠佳的病人(0、Ⅰ级),两侧对比剂不能较好地相互汇合包绕腹主动脉(图5),其原因往往是腹主动脉前方腹腔神经丛区被较大的肿块或淋巴结占据,药物不易渗入,有3例病人第1次阻滞2周后再次出现疼痛,第2次阻滞采用双侧膈脚后阻滞法,取得了较满意的疗效,这时对比剂在膈脚及腹主动脉后方弥散较好(图6)。
, http://www.100md.com
图2 对比剂从两侧包绕腹主动脉,弥散范围较广。肝脏内有碘油沉积,为肝癌插管化疗术后改变
图3,4 同图2患者,工作站三维重建后的图像,可形象、直观地观察到对比剂在腹主动脉周围弥散良好。斑片状高密度影为肝内碘油沉积(↑)
图5 胰腺癌,腹膜后淋巴结肿大,两侧对比剂不能很好地汇合,弥散范围局限
图6 针尖位于膈肌脚后,膈肌脚前方有较多肿大的淋巴结
, http://www.100md.com 3. 术后并发症:9例发生轻度直立性低血压,经适当补液,一般2~3天后恢复正常;8例腹部或背部轻、中度烧灼痛伴恶心、呕吐,1~2天后逐渐消失;5例轻度腹泻,1~2天后自行缓解。
讨论
一、疗效评价
临床上对中晚期肿瘤顽固性疼痛没有太好的治疗方法,常应用度冷丁等强止痛药物,长时间使用麻醉药易成瘾,往往剂量越用越大,效果越来越差,而对于许多晚期患者,止痛往往上升为主要矛盾。腹腔神经丛阻滞是治疗中晚期肿瘤顽固性上腹痛或牵涉性背痛的有效方法,据大宗文献报道[2-9],肿瘤引起的上腹痛及背痛,NCPB治疗的总有效率75.00%~94.00%,直到死亡仍有44.40%~70.00%有效,且有效期与病人生存期一致。本组术后2周总有效率92.86%,显效率80.95%,到第3个月总有效率仍有80.56%,显效率61.11%,6例死亡患者,有3例直到临终仍有效。另外,NCPB术后,随着疼痛缓解,病人睡眠、食欲及情绪同时改善,能减轻麻醉药带来的一系列副作用,如恶心、食欲差、便秘、感觉中枢迟钝及个人性格改变等。这可能与阻滞后交感神经作用相对减弱,副交感神经作用相对增强,肠蠕动加快有一定关系。因此,NCPB能使患者晚期生活质量明显提高,间接地延缓病情恶化。
, 百拇医药
二、影响疗效的因素
1.与技术有关:腹腔神经丛是人体最大的植物神经丛,位于T12~L1水平,在腹主动脉前或前侧方,围绕腹腔动脉根部及肠系膜上动脉根部,它是传入、传出交感神经纤维及副交感神经纤维的网状结构。穿刺进针位置准确与否是决定阻滞疗效的关键,以往通常是在透视下或根据体表骨性标志进行穿刺[7-10],当遇到病人有6个腰椎、12肋缺如、脊柱畸形、肿块推移周围结构、甚至太胖等情况时,定位往往不够精确,影响疗效,且常会发生气胸、肝肾等脏器损伤等并发症。CT导引定位精确,并可观察药物弥散情况,至今未见有出现严重并发症的报道。本组42例无一例出现严重并发症。
2.与药物弥散情况有关:如果药物弥散好,阻滞彻底,则疗效佳,反之疗效差。本组病例均经工作站三维重建,形象、直观、立体地观察药物弥散情况。有显著疗效的病人,其药物弥散较广泛,且两侧药物能相互汇合包绕腹主动脉。疗效差的病人,对比剂扩散差,往往由于腹腔神经丛区被较大的肿块占有,药物不能较完全地弥散进去,致不能使神经纤维变性、脱鞘。我们有3例第2次阻滞采用膈脚后阻滞法,阻滞内脏大、小神经,达到较好的治疗效果。因此我们认为,一般情况下应采用膈脚前阻滞,直接阻滞腹腔神经丛,如发现神经丛区被较大肿块占据,药物不易渗透进去,这时应采用膈脚后阻滞,阻滞内脏大、小神经,因内脏大、小神经穿过膈脚通向腹腔神经丛。通常双侧阻滞优于单侧阻滞,因单侧阻滞药物不易完全扩散到对侧,阻滞不够彻底。我们均采用双侧阻滞,取得较满意的疗效。酒精浓度的选择各家不同,一般为50%~100%[1-10]。我们选用75%酒精,双侧共40 ml(内加6~10 ml对比剂),认为其可达到较广泛地扩散的目的,可使神经丛得到较彻底的阻滞。如用纯酒精,用量相对少,扩散范围有限,而用50%酒精,其使神经变性、脱鞘的能力相对稍差。
, 百拇医药
3.与病情恶化程度有关:越到晚期NCPB的止痛效果渐降低。本组2周时总有效率92.86%,显效率80.95%,到第3个月分别下降至80.56%及61.11%。其主要原因是由于随着病情逐步恶化,癌灶广泛转移扩散,除侵犯腹腔神经丛之外还侵犯其它传导通道,如躯体传入、传出神经等。因此提倡早阻滞,在病人未出现麻醉药成瘾前进行阻滞[3,5,7]。还有,越到晚期由于病情加重,不少病人情绪越来越差,疼痛也越来越厉害。而有些病人能正确对待疾病,性情较开朗,疼痛往往较轻,止痛效果相对好。因为疼痛是多方面因素产生的一种现象,包括精神、感情、躯体等多种成分,因此晚期病人的心理治疗也十分重要,不可忽视。
三、并发症的防治
本组并发症少,一般轻且短暂。仅9例发生轻度直立性低血压,经补液治疗2~3日后逐渐恢复正常,而8例轻、中度腹痛及5例轻度腹泻均1~2日逐渐缓解,无需特殊处理。酒精阻滞前先注入较长效的麻醉药(布比卡因)能较理想地防止酒精引起的刺激性疼痛。拔针前针芯内注入少量生理盐水或局麻药可预防针道刺激疼痛。总之,腹腔神经丛阻滞对上腹癌性疼痛治疗效果明显,能提高病人晚期的生活质量,越早阻滞越好。CT导引定位精确,并发症少、轻且短暂,值得推广、应用。
, 百拇医药
本研究属国家“九五”科技攻关课题分课题之一(批准号:96-907-03-01)
参考文献
1 Singler RC.An improved technique for allcohol neurolysis of the celiac plexus.Anesthesiology, 1982, 56:137-141.
2 Lieberman RP, Waldman SD. Celiac plexus neurolysis with the modified transaortic approach.Radiology, 1990, 175:274-276.
3 Ischia S, Ischia A , Polati E , et al. Three posterior percutaneous celiac plexus block techniques a prospective, randomized study in 61 patients with pancreatic cancer pain. Anesthesiology, 1992, 76:539-543.
, 百拇医药
4 Ina H, Kitoh T, Kobayashi M, et al.New technique for the neurolytic celiac plexus block:the transintervertebral disc approach.Anesthesiology, 1996, 85:212-217.
5 Akhan O, Altinok D, Ozmen MN, et al.Correlation between the grade of tumoral invasion and pain relief in patients with celiac ganglia block.AJR, 1997, 168:1565-1567.
6 林上奇,鲁西,吴宝珊.CT导向腹腔神经丛乙醇阻滞治疗上腹部癌痛.中华放射学杂志,1996,30:272-274.
7 Hegedus V.Relief of pancreatic pain by radiography-guided block.AJR, 1979, 133:1101-1103.
, 百拇医药
8 Brown DL, Bulley CK, Quiel EL.Neurolytic celiac plexus block for pancreatic cancer pain.Anesth Analg, 1987, 66:869-873.
9 李智岗,王兴远,耿进朝等.腹腔神经丛阻滞治疗晚期上腹部癌痛.中华放射学杂志,1994,28:335-336.
10 Moore DC, Bush WH, Burnett LL.Celiac plexus block: a roentgenographic, anatomic study of technique and spread of solution in patients and corpses. Anesth Analg, 1981, 60:369-379.
收稿:1999-01-20
修回:1999-07-26, http://www.100md.com