高强度聚焦超声定位损伤小型香猪肝脏组织的影像学检查
作者:邹建中 王芷龙 刘 川 阮祥燕 白 晋 伍 烽 杜永洪 孔繁斌 王文见 陈 迅 童 艺 齐家俊 胡 凯 陈文直 彭兴礼 王智彪
单位:400016 重庆市重庆医科大学医学超声工程研究所
关键词:高强度聚焦超声;肝脏组织;超声影像特征
中国超声医学杂志990601 摘 要 目的:观察超声在监测高强度聚焦超声(HIFU)损伤肝组织的动态影像学特征,旨在探讨彩超检测HIFU疗效的可行性。方法:采用重庆医科大学医学超声工程研究所自行研制的HIFU治疗样机(1.6MHz,13153W/cm2),对28只小型香猪肝脏组织致超声损伤。于损伤前1天、损伤后即刻、1天、3天、7天、14天、21天、28天分别行彩超观察及解剖活检。结果:HIFU损伤即刻损伤区回声明显增强,3~7天,损伤区回声仍增强,边界更清晰。7~14天,回声强弱不均,28天损伤区与正常组织区无明显差异,这些改变与病理检查相一致。结论:超声在监测HIFU疗效方面有重要的应用价值。
, 百拇医药
The Ultrasonic Imaging Evolutions of the Liver Lesion Induced
by High Intensity Focused Ultrasound Ablation in Experiment Mini Swine
Zou Jianzhong,Wang Zhilong,Liu Chuan,et al
Institute of Ultrasonic Engineering in Medicine of Chongqing Medical University Chongqing 400016
ABSTRACT Objective:Ablation of the liver lesion by HIFU monitoring with color Doppler imaging.Methods:Local liver lesions in 28 mini swines were ablated by HIFU with 1.6 MHz and 13153W/cm.Color Doppler imaging and biopsy observation were pursued on the day before and after ablation immediatly and the 1st,3rd,7th,14th,21th and 28th day.Results:The involved area became enhanced immediately.3-7 days distinct border appeared,7-14 days uneven echogenicity presented.No echo difference was observed between the lesion area and the normal liver tissue on the 28th day.These evolutions conformed to the pathology.Conclusion:Color Doppler imaging played a significant role in observation of the ablation liver lesion processes induced by HIFU in experiment mini swine.
, 百拇医药
KEY WORDS High intensity focused ultrasound Liver tissue Ultrasonic imaging characteristics
聚焦超声外科于1942年首先被神经外科用于选择性损伤颅内病灶〔1〕。那个时代,因为缺乏精确的监测和定位损伤的工具,这一技术没能在外科领域开展起来。现代影像技术的发展和提高,为其恢复临床应用提供了广阔的应用前景。本实验采用彩超监测和实体解剖组织学检查相结合的方法,观察香猪肝脏组织损伤前后的动态变化特征,旨在探讨彩超技术检测HIFU疗效的可行性。
资料与方法
1、实验动物 贵州小型香猪(由重庆医科大学实验动物中心提供)28只,4~6月龄,体重18~25kg,混合饲料喂养。
2、HIFU治疗样机及治疗方法
, http://www.100md.com
机器:GL-1型HIFU治疗系统(重庆医科大学超声医学工程研究所自行研制):该系统集超声诊断设备和超声治疗设备为一体,治疗系统输出波形及方式为连续正弦波(失真度≤5%),频率1.6MHz,焦距83mm。声强为13153W/cm2,物理学焦域:1.1mm×1.1mm×3.3mm。总声功率的检测采用全吸收辐射压力法,根据下列公式进行测定
W—总声功率,F—作用于靶上的力(N),C—超声在介质水的传播速度(m/s),f-焦距,D—压电晶片的银层外径,d—压电晶片的银层内径。
声场分布如图1、图2所示。
(f=1.6MHz)-6dB带宽1.132mm
图1 实际环状凹面聚焦换能器焦域Y侧向声强分布图
(f=1.6MHz)-6dB带宽1.4mm
, http://www.100md.com
图2 实际环状凹面聚焦换能器焦域X侧向声强分布图
循环脱气水标准:含气量小于3ppm。
治疗方法:小型香猪(n=28),禁食12h,腹腔注射3%戊巴比妥钠1ml/kg体重麻醉。腹部备皮、脱脂、脱气,固定于治疗台上,治疗前诊断性超声定位靶区,调整焦点位置。循环脱气水做为声耦合剂。照射采用断层式连续点扫描,开/关功率源时间区:3s/2s。
3、彩超及病理检查 HIFU治疗前1天,治疗中及治疗后1天、3天、7天、14天、21天、28天行彩超(Siemz Q-2000型;Siemens)检查,同期解剖,取病检进行光、电镜检查。
结 果
1、香猪肝脏组织影像学特征 28只香猪肝脏组织在HIFU治疗前1天行彩超观察,均表现为:肝脏组织内部回声均匀,血供丰富。
, http://www.100md.com
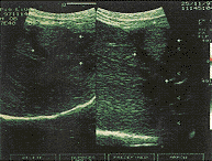
2、HIFU治疗后彩超检测与病理改变 HIFU照射后即刻靶区回声明显增加(图3),解剖大体观:靶区中央可见灰白色凝固性坏死,其周围见暗红色充血区,再外围为苍白色反应带,光镜下可见细胞不可逆性变性坏死。HIFU后1天彩超靶区血供消失、回声增强、边界不太清晰;病检:肝内微血管内皮严重破坏,血管壁塌陷,肝板破坏,肝细胞核固缩。3~7天,靶区回声仍增强,边界清晰,内无血供(图4);病检:靶区呈灰白色改变、质硬、与周围组织界线清晰。光镜下:靶区肝细胞大片坏死,与周围组织分界清楚,在分界处出现炎性细胞、坏死区微小血管破裂。第14天,彩超回声强弱不均,损伤体积缩小;病检:靶区开始收缩、坏死区周围有大量纤维母细胞和新生毛细血管增生。第21天,彩超:体积明显缩小,内部回声以低回声为主;病理:凝固性坏死组织逐渐液化吸收,剖面可见多个或单个小囊腔,壁薄而光滑,内为豆渣样坏死肝组织或清亮液体,镜下见:致密的纤维组织包囊坏死区,并见有大量淋巴细胞浸润。第28天,彩超下损伤区与正常区交界处无显著差异(图5);病检:大体损伤区明显缩小,损伤区基本为新生组织所代替,质地基本与正常肝组织相同,镜下:靶区中心,细胞坏死、自溶,结构完全被破坏,其周边区见假小叶生成,再外围为新生的肝小叶肝细胞形态与排列趋于正常。彩超测定体积与解剖所测损伤区体积基本一致。
治疗区出现强回声光团
, 百拇医药
图3 在体猪肝HIFU损伤即刻声像图
损伤区回声增强,边界清晰
图4 在体猪肝HIFU损伤后72h声像图
靶区中心仍有小片状低回声区为坏死组织液化,其周边区与正常肝组织已无明显区别
图5 在体猪肝HIFU损伤后28d声像图
讨 论
HIFU杀伤组织的机理目前尚不完全清楚。一般认为HIFU可致细胞不可逆变性,而导致这种变性的机理主要是高温热效应(温度达70℃以上,使蛋白质凝固)。空化作用也具重要地位,HIFU空化作用可使靶组织内产生增强回声气泡,在治疗即刻致超声声像图上出现强回声点状结构。
, 百拇医药
Vallancien〔3〕在对猪的体外HIFU治疗中(1MHz,0.125~0.25S)观察到肝内有这样的强回声点状结构,结果发现这种强回声点状表现与超声杀伤病理改变不相关,认为只是空化作用的结果。本实验在HIFU照射同时进行了超声检测,结果发现HIFU治疗中及治疗后靶区肝脏组织表现为增强回声区,主要与高温热效应靶区凝固性坏死有关。在治疗中可能与空化效应有一定关系。Yang〔4〕等在正常兔肝上探讨了超声和CT对HIFU杀伤病灶的检测可能。发现彩超能即刻检出肝内HIFU病灶,表现为境界清楚的低回声区。本实验发现,HIFU损伤病灶,随病理转归不同阶段,其B超声像图特征亦完全不同。在损伤后即刻到7天,主要以强回声为主,血供消失。因此阶段主要表现为蛋白质的凝固坏死,组织密度增高所致。14天,可见回声强弱不等。此阶段,凝固坏死逐渐液化。第21天,超声以低回声为主,病理见有大量液化区形成。28天表现不明显,因病理靶区基本恢复正常,彩超结果与病理检查完全相符。
HIFU治疗后影像学随访监测问题国内外资料极少,Yang〔4〕等发现CT增强扫描可用于HIFU治疗
, http://www.100md.com
后随访,提供超声杀伤区的三维图像。MRI在HIFU治疗过程中监测及治疗后随访中可能具有很重要的价值〔5〕。
作者认为:彩超以其实用、经济、方便、可靠等特点将成为HIFU疗效检测的有用工具。且彩超判别HIFU疗效的标准可归纳为两点:①HIFU治疗前后靶区组织内回声明显不同(均匀回声变为强回声或低回声或强弱不等);②治疗后靶区内原有Doppler血流消失。在HIFU治疗中,彩超可做为一种常规监测手段,必要时可配合CT或MRI。
本项目受“九五”国家重点科技攻关项目基金(基金号:96-905-02-01)资助
参考文献
[1]Ter-Haar GR.Ultrasound focal beam surgery.Ultrasound Med Biol 1995,21(9):1089~1100
, 百拇医药
[2]王智彪,伍烽,王芷龙,等.高强度聚焦超声对香猪肝组织定位损伤的研究.中国超声医学杂志,1997,13(2):1~3
[3]Vallancien G,Charter-kastler E,Chopin D,et al.Focused extracorporeal pyrotherapy:Experimental results.Eur Urol,1991,20:211~215
[4]Yang R,Sanghvi NT,Rescorla FJ,et al.Liver cancer ablation with extracorporeal high-intensity focused ultrasound.Eur Urol,1993,23(Suppl 1):17
[5]Rowland IJ.Rivens I,Chen L,et al.MRI study of hepatic tumours following high intensity focused ultrasound surgery.Br J Radiol,1997,70:144~153
(1998-12-01收稿), 百拇医药
单位:400016 重庆市重庆医科大学医学超声工程研究所
关键词:高强度聚焦超声;肝脏组织;超声影像特征
中国超声医学杂志990601 摘 要 目的:观察超声在监测高强度聚焦超声(HIFU)损伤肝组织的动态影像学特征,旨在探讨彩超检测HIFU疗效的可行性。方法:采用重庆医科大学医学超声工程研究所自行研制的HIFU治疗样机(1.6MHz,13153W/cm2),对28只小型香猪肝脏组织致超声损伤。于损伤前1天、损伤后即刻、1天、3天、7天、14天、21天、28天分别行彩超观察及解剖活检。结果:HIFU损伤即刻损伤区回声明显增强,3~7天,损伤区回声仍增强,边界更清晰。7~14天,回声强弱不均,28天损伤区与正常组织区无明显差异,这些改变与病理检查相一致。结论:超声在监测HIFU疗效方面有重要的应用价值。
, 百拇医药
The Ultrasonic Imaging Evolutions of the Liver Lesion Induced
by High Intensity Focused Ultrasound Ablation in Experiment Mini Swine
Zou Jianzhong,Wang Zhilong,Liu Chuan,et al
Institute of Ultrasonic Engineering in Medicine of Chongqing Medical University Chongqing 400016
ABSTRACT Objective:Ablation of the liver lesion by HIFU monitoring with color Doppler imaging.Methods:Local liver lesions in 28 mini swines were ablated by HIFU with 1.6 MHz and 13153W/cm.Color Doppler imaging and biopsy observation were pursued on the day before and after ablation immediatly and the 1st,3rd,7th,14th,21th and 28th day.Results:The involved area became enhanced immediately.3-7 days distinct border appeared,7-14 days uneven echogenicity presented.No echo difference was observed between the lesion area and the normal liver tissue on the 28th day.These evolutions conformed to the pathology.Conclusion:Color Doppler imaging played a significant role in observation of the ablation liver lesion processes induced by HIFU in experiment mini swine.
, 百拇医药
KEY WORDS High intensity focused ultrasound Liver tissue Ultrasonic imaging characteristics
聚焦超声外科于1942年首先被神经外科用于选择性损伤颅内病灶〔1〕。那个时代,因为缺乏精确的监测和定位损伤的工具,这一技术没能在外科领域开展起来。现代影像技术的发展和提高,为其恢复临床应用提供了广阔的应用前景。本实验采用彩超监测和实体解剖组织学检查相结合的方法,观察香猪肝脏组织损伤前后的动态变化特征,旨在探讨彩超技术检测HIFU疗效的可行性。
资料与方法
1、实验动物 贵州小型香猪(由重庆医科大学实验动物中心提供)28只,4~6月龄,体重18~25kg,混合饲料喂养。
2、HIFU治疗样机及治疗方法
, http://www.100md.com
机器:GL-1型HIFU治疗系统(重庆医科大学超声医学工程研究所自行研制):该系统集超声诊断设备和超声治疗设备为一体,治疗系统输出波形及方式为连续正弦波(失真度≤5%),频率1.6MHz,焦距83mm。声强为13153W/cm2,物理学焦域:1.1mm×1.1mm×3.3mm。总声功率的检测采用全吸收辐射压力法,根据下列公式进行测定
W—总声功率,F—作用于靶上的力(N),C—超声在介质水的传播速度(m/s),f-焦距,D—压电晶片的银层外径,d—压电晶片的银层内径。
声场分布如图1、图2所示。
图1 实际环状凹面聚焦换能器焦域Y侧向声强分布图
, http://www.100md.com
图2 实际环状凹面聚焦换能器焦域X侧向声强分布图
循环脱气水标准:含气量小于3ppm。
治疗方法:小型香猪(n=28),禁食12h,腹腔注射3%戊巴比妥钠1ml/kg体重麻醉。腹部备皮、脱脂、脱气,固定于治疗台上,治疗前诊断性超声定位靶区,调整焦点位置。循环脱气水做为声耦合剂。照射采用断层式连续点扫描,开/关功率源时间区:3s/2s。
3、彩超及病理检查 HIFU治疗前1天,治疗中及治疗后1天、3天、7天、14天、21天、28天行彩超(Siemz Q-2000型;Siemens)检查,同期解剖,取病检进行光、电镜检查。
结 果
1、香猪肝脏组织影像学特征 28只香猪肝脏组织在HIFU治疗前1天行彩超观察,均表现为:肝脏组织内部回声均匀,血供丰富。
, http://www.100md.com
2、HIFU治疗后彩超检测与病理改变 HIFU照射后即刻靶区回声明显增加(图3),解剖大体观:靶区中央可见灰白色凝固性坏死,其周围见暗红色充血区,再外围为苍白色反应带,光镜下可见细胞不可逆性变性坏死。HIFU后1天彩超靶区血供消失、回声增强、边界不太清晰;病检:肝内微血管内皮严重破坏,血管壁塌陷,肝板破坏,肝细胞核固缩。3~7天,靶区回声仍增强,边界清晰,内无血供(图4);病检:靶区呈灰白色改变、质硬、与周围组织界线清晰。光镜下:靶区肝细胞大片坏死,与周围组织分界清楚,在分界处出现炎性细胞、坏死区微小血管破裂。第14天,彩超回声强弱不均,损伤体积缩小;病检:靶区开始收缩、坏死区周围有大量纤维母细胞和新生毛细血管增生。第21天,彩超:体积明显缩小,内部回声以低回声为主;病理:凝固性坏死组织逐渐液化吸收,剖面可见多个或单个小囊腔,壁薄而光滑,内为豆渣样坏死肝组织或清亮液体,镜下见:致密的纤维组织包囊坏死区,并见有大量淋巴细胞浸润。第28天,彩超下损伤区与正常区交界处无显著差异(图5);病检:大体损伤区明显缩小,损伤区基本为新生组织所代替,质地基本与正常肝组织相同,镜下:靶区中心,细胞坏死、自溶,结构完全被破坏,其周边区见假小叶生成,再外围为新生的肝小叶肝细胞形态与排列趋于正常。彩超测定体积与解剖所测损伤区体积基本一致。
, 百拇医药
图3 在体猪肝HIFU损伤即刻声像图
图4 在体猪肝HIFU损伤后72h声像图
靶区中心仍有小片状低回声区为坏死组织液化,其周边区与正常肝组织已无明显区别
图5 在体猪肝HIFU损伤后28d声像图
讨 论
HIFU杀伤组织的机理目前尚不完全清楚。一般认为HIFU可致细胞不可逆变性,而导致这种变性的机理主要是高温热效应(温度达70℃以上,使蛋白质凝固)。空化作用也具重要地位,HIFU空化作用可使靶组织内产生增强回声气泡,在治疗即刻致超声声像图上出现强回声点状结构。
, 百拇医药
Vallancien〔3〕在对猪的体外HIFU治疗中(1MHz,0.125~0.25S)观察到肝内有这样的强回声点状结构,结果发现这种强回声点状表现与超声杀伤病理改变不相关,认为只是空化作用的结果。本实验在HIFU照射同时进行了超声检测,结果发现HIFU治疗中及治疗后靶区肝脏组织表现为增强回声区,主要与高温热效应靶区凝固性坏死有关。在治疗中可能与空化效应有一定关系。Yang〔4〕等在正常兔肝上探讨了超声和CT对HIFU杀伤病灶的检测可能。发现彩超能即刻检出肝内HIFU病灶,表现为境界清楚的低回声区。本实验发现,HIFU损伤病灶,随病理转归不同阶段,其B超声像图特征亦完全不同。在损伤后即刻到7天,主要以强回声为主,血供消失。因此阶段主要表现为蛋白质的凝固坏死,组织密度增高所致。14天,可见回声强弱不等。此阶段,凝固坏死逐渐液化。第21天,超声以低回声为主,病理见有大量液化区形成。28天表现不明显,因病理靶区基本恢复正常,彩超结果与病理检查完全相符。
HIFU治疗后影像学随访监测问题国内外资料极少,Yang〔4〕等发现CT增强扫描可用于HIFU治疗
, http://www.100md.com
后随访,提供超声杀伤区的三维图像。MRI在HIFU治疗过程中监测及治疗后随访中可能具有很重要的价值〔5〕。
作者认为:彩超以其实用、经济、方便、可靠等特点将成为HIFU疗效检测的有用工具。且彩超判别HIFU疗效的标准可归纳为两点:①HIFU治疗前后靶区组织内回声明显不同(均匀回声变为强回声或低回声或强弱不等);②治疗后靶区内原有Doppler血流消失。在HIFU治疗中,彩超可做为一种常规监测手段,必要时可配合CT或MRI。
本项目受“九五”国家重点科技攻关项目基金(基金号:96-905-02-01)资助
参考文献
[1]Ter-Haar GR.Ultrasound focal beam surgery.Ultrasound Med Biol 1995,21(9):1089~1100
, 百拇医药
[2]王智彪,伍烽,王芷龙,等.高强度聚焦超声对香猪肝组织定位损伤的研究.中国超声医学杂志,1997,13(2):1~3
[3]Vallancien G,Charter-kastler E,Chopin D,et al.Focused extracorporeal pyrotherapy:Experimental results.Eur Urol,1991,20:211~215
[4]Yang R,Sanghvi NT,Rescorla FJ,et al.Liver cancer ablation with extracorporeal high-intensity focused ultrasound.Eur Urol,1993,23(Suppl 1):17
[5]Rowland IJ.Rivens I,Chen L,et al.MRI study of hepatic tumours following high intensity focused ultrasound surgery.Br J Radiol,1997,70:144~153
(1998-12-01收稿), 百拇医药