鼻腔局部应用激素对鼻息肉中嗜酸粒细胞浸润和活化的影响
作者:张罗 韩德民 张勇 周兵
单位:
关键词:鼻息肉;嗜酸细胞;糖皮质激素;免疫组织化学
中华耳鼻咽喉科杂志000215 【摘要】 目的 探讨鼻腔局部应用激素布地奈德(budisonide)对鼻息肉组织中嗜酸粒细胞浸润和活化状态的影响。方法 采用免疫组化ABC法和chromotrope 2R染色,分别标记鼻息肉组织中的活化嗜酸粒细胞和全部嗜酸粒细胞。观察比较经布地奈德喷鼻治疗6~8周和未经治疗的鼻息肉组织(各16例)中,嗜酸粒细胞浸润和活化状况。结果 ①鼻息肉组织中浸润的嗜酸粒细胞多处于活化状态;②激素治疗组与未治组相比,前者鼻息肉组织中嗜酸粒细胞的活化比例显著减少(P<0.01),而嗜酸粒细胞总数和活化嗜酸粒细胞的浸润程度虽呈下降趋势,组间比较差异未见显著性(P>0.05)。结论 嗜酸粒细胞的浸润和活化程度在鼻息肉的发病机制中可能起重要作用。6~8周布地奈德喷鼻治疗使局部嗜酸粒细胞性炎性反应的严重程度减轻,其对嗜酸粒细胞活化水平的抑制作用,较其对嗜酸粒细胞数量的影响更为显著。
, http://www.100md.com
Effects of intranasal budesonide on the infiltration and activation of eosinophils in nasal polyps
ZHANG Luo, HAN Demin, ZHANG Yong, et al.
(Affiliated Beijing Tongren Hospital of Capital University of Medical Sciences, Beijing 100730, China)
Corresponding author:ZHANG Luo (Email: zhlx@public.bta.net.cn)
【Abstract】 Objective To assess the effects of topical nasal steroid application on the infiltration and activation of eosinophils in nasal polyps. Methods Nasal polyps from intranasal budesonide treated patients (n=16) and untreated patients (n=16) were investigated. The samples were stained with histochemical and ABC immunohistochemical methods. Results The majorty of eosinophils in nasal polyps were activated eosinophils. Compared with untreated polyps, the proportion of activated eosinophils (EG2+/eosinophil ratio) was significantly less in steroid-treated polyps. Although the numbers of total eosinophils and actived eosinophils were lower in steroid-treated polyps, both of the differences were not statistically significant. Conclusions It emphasized that the actived eosinophils play a key role in the pathogenesis of nasal polyps. The effects of intranasal steroid treatment on the number of eosinophils (total and activated) was more profound then on the proportion of activated eosinophils.
, 百拇医药
【Key words】 Nasal polyps; Eosinophils; Corticosteroids, Immunohistochemistry
鼻息肉的病理学特征之一是组织中以嗜酸粒细胞为主的炎性细胞浸润增多。嗜酸粒细胞活化脱颗粒后,释放嗜酸粒细胞阳离子蛋白(eosinophil cationic protein)和主要碱性蛋白(major basic protein)等,可能导致鼻粘膜上皮损伤和脱落。了解鼻息肉组织中嗜酸粒细胞的活化状况,有助于评价其在鼻息肉发病机制中的作用。七十年代中期以来,先后有二丙酸倍氯米松(beclomethasone dipropionate)、布地奈德(budesonide)和丙酸氟替卡松(fluticasone propionate)等糖皮质激素的鼻用剂型应用于临床治疗鼻息肉,可不同程度地改善主观症状和客观检测指标而发挥一定疗效[1],但药物作用机制尚未完全阐明。本研究通过观察布地奈德喷鼻治疗对鼻息肉组织中嗜酸粒细胞的浸润和活化状态的影响,进一步了解嗜酸粒细胞在鼻息肉发病机制中的作用,并拓宽对激素喷鼻治疗鼻息肉的药理作用机制的认识。
, http://www.100md.com
材料和方法
一、临床资料
选取1998年10月~1999年2月拟接受鼻内窥镜手术的鼻息肉患者32例,详细询问病史,并于研究开始前6周停用所有相关药物。患者常规接受包括14种常见吸入性变应原的特异性皮肤试验。皮肤试验结果至少单项阳性且合并阵发性喷嚏、大量清水样涕和鼻痒等症状者,诊为变应性患者。研究开始前及结束后各进行一次鼻内窥镜检查并评分(0分:未见鼻息肉;1分:鼻息肉下缘位于下鼻甲上缘以上;2分:鼻息肉下缘超过下鼻甲下缘;3分:鼻息肉充满鼻腔)。
32例随机分为两组:激素治疗组(16例,男9例,女7例,平均年龄41.6岁),应用布地奈德喷鼻治疗( 200 μg/次,2次/d),疗程6~8周。未治疗组(16例,男10例,女6例,平均年龄43.7岁),不接受任何治疗。另选因鼻堵接受鼻中隔矫正术的患者10例,术中切除部分中鼻甲组织,做为对照组。
, 百拇医药
二、组织病理学染色
治疗和观察结束后,经鼻内窥镜手术切除鼻息肉,常规石蜡包埋、切片(4 μm)。采用HE染色和chromotrope 2R染色,光学显微镜下重点观察、计数组织中的嗜酸粒细胞浸润状况。
三、免疫组织化学染色
采用ABC法,标本切片常规脱蜡至水,3% H2O2甲醇室温8~15 min;0.1%胰蛋白酶消化37℃孵浴30 min;加鼠抗人嗜酸粒细胞阳离子蛋白单克隆抗体EG2(瑞典法玛西亚普强公司),工作液浓度为1∶100,4℃过夜;滴加生物素化二抗(1∶10),37℃孵浴1 h;滴加AB复合物,37℃孵浴1 h;0.05% 3,3-二氨基苯联胺显色5~10 min;苏木素复染;常规脱水透明,中性树胶封片。
四、结果判定
, http://www.100md.com
chromtrope 2R 和EG2阳性细胞均为胞浆着色,前者为粉红色,后者为棕褐色。显微镜一侧目镜安装细胞计数网格,观察粘膜下固有层中的阳性细胞浸润状况。在20倍物镜下选择阳性细胞较多的5个视野,计数网格(0.25 mm2)中的阳性细胞数量,然后取均值进行统计学处理[1]。
五、统计处理
采用SPSS 8.0 for Windows 统计软件包中的单因素方差分析、Wilcoxon符号等级检验和卡方检验等进行相关指标的显著性检验。
结果
一、临床资料分析
1.鼻息肉鼻内窥镜下评分:激素治疗组和未治疗组的两次评分比较差异均无显著性(P>0.05)。表明鼻息肉的大小无明显改变。
, http://www.100md.com
2.症状改善情况:激素治疗组中经治疗有12例诉症状有不同程度的改善(75%),主要为鼻腔通气状况改善。未治疗组中有3例诉症状改善(18.8%),二者差异有非常显著性(P<0.01)。
二、嗜酸粒细胞浸润和活化状况
嗜酸粒细胞主要分布于鼻息肉粘膜下固有层。chromotrope 2R染色可特异性地将嗜酸粒细胞的胞浆染成粉红色,可准确辨别嗜酸粒细胞(图1,2),显示组织中嗜酸粒细胞的浸润状况。对照组10例中鼻甲组织中有8例存在嗜酸粒细胞浸润,其中有4例可见散在EG2阳性嗜酸粒细胞。未治组中变应性患者和非变应性患者在EG2阳性细胞密度、chromotrope 2R阳性细胞密度和嗜酸粒细胞活化比例(EG2阳性细胞个数/chromotrope 2R阳性细胞个数)比较差异均未见显著性(P>0.05)。激素治疗组EG2阳性细胞和chromotrope 2R阳性细胞的密度均较未治组减少(图3,4),但差异未达显著性水平(P>0.05)。而激素治疗组嗜酸粒细胞活化比例则明显低于未治组,差异有非常显著性(P<0.01,表1)。
, 百拇医药
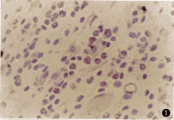
图1 未治组鼻息肉中较多嗜酸细胞浸润。chromotrope2R染色×200
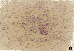
图2 治疗组鼻息肉中嗜酸粒细胞未见显著减少。chromotrope2R×100
图3 未治组鼻肉中较多EG2+细胞浸润。ABC免疫组化染色×200
图4 治疗组鼻息肉中EG2+细胞减少。ABC免疫组化染色×132
表1 布地奈德喷鼻对鼻息肉中嗜酸粒细胞的
浸润和活化状态的影响 组别(标本数)
, 百拇医药
阳性细胞(个,
±s)
嗜酸粒细胞
活化比较(%)
EG2
chromtrope 2R
未治疗组(16)
28.8±11.1
46.2±19.2
64.1±9.9
变应性(5)
34.4±13.3
, 百拇医药
53.2±18.6
64.7±11.2
非变应性(11)
26.3±9.6
43.0±19.4
63.9±9.8
激素治疗组(16)
22.0±9.4
44.0±13.8
49.3±9.2
注:嗜酸粒细胞活化比例在激素治疗组和未治组间差异有非常显著性(P<0.01)讨论
, 百拇医药
一、嗜酸粒细胞活化的意义和判定
嗜酸粒细胞在活化状态下,胞浆颗粒中所含的碱性蛋白由于自身体积、空间构象及抗原性的改变,使其可溶性发生改变而脱颗粒,分泌颗粒产物而导致一系列局部病理学改变。同时,活化的嗜酸粒细胞释放主要碱性蛋白,可活化肥大细胞释放血小板活化因子、组胺、前列腺素和白三烯等炎性反应介质。血小板活化因子做为嗜酸粒细胞的强效趋化剂,可提高血管通透性,从而进一步促进嗜酸粒细胞在组织中聚集,上述炎性反应的自我延续过程对鼻息肉的形成可能起重要作用。因此,在鼻息肉的发病机制中,嗜酸粒细胞的活化状态可能较其绝对数量的意义更重要。
嗜酸粒细胞的活化状况与其在组织中的浸润程度并不一致。以往缺乏简便可靠的嗜酸粒细胞活化判定指标。1984年,Tai等[2]分别以嗜酸粒细胞的提取物和分泌产物致敏小鼠获得两种嗜酸粒细胞单克隆抗体:EG1和EG2,可区分不同状态的嗜酸粒细胞阳离子蛋白。EG1对储存型(静止)和分泌型(活化)嗜酸粒细胞阳离子蛋白呈阳性染色,EG2只对分泌型(活化)嗜酸粒细胞阳离子蛋白呈阳性染色,后者成为目前应用最广泛的嗜酸粒细胞阳离子蛋白活化标志性抗体。另外,我们采用对嗜酸粒细胞特异的染料chromotrope 2R做为总嗜酸性粒细胞的辨别标志,EG2与chromotrope 2R阳性细胞的比值即为嗜酸粒细胞的活化比例。
, 百拇医药
二、嗜酸粒细胞浸润及其活化状态
本研究中10例中鼻甲粘膜中,8例存在不同程度的嗜酸粒细胞浸润,其中4例可见少量活化的嗜酸粒细胞,这与Djukanovic等[3]在正常支气管粘膜中的发现是一致的。而Stoop等[4]发现正常中、下鼻甲粘膜中虽有轻度或中度嗜酸粒细胞浸润,但未见活化嗜酸粒细胞,认为只有活化嗜酸粒细胞方能导致炎性反应。由于鼻腔在上呼吸道防御体系中所处的特殊地位,且中鼻甲鼻粘膜组织来源于鼻中隔偏曲患者,很难避免合并轻微的炎性反应,从而导致组织中有少量活化嗜酸粒细胞存在。
未经治疗的鼻息肉组织中有不同程度的嗜酸粒细胞浸润,其中EG2阳性细胞占主要成分, 平均在60%以上,个别病例甚至高达82%,表明鼻息肉组织中存在活跃的炎性反应。变应性患者鼻息肉组织中的总嗜酸粒细胞和活化嗜酸粒细胞的浸润程度,以及嗜酸粒细胞的活化比例均高于非变应性患者,但上述三项指标都未表现出显著性差异,表明组织中嗜酸粒细胞的浸润和活化程度与变态反应的关系并不明确。目前对这一问题的认识尚存争议,越来越多的研究表明,鼻息肉组织中嗜酸粒细胞浸润可能并不意味着发生了变态反应[5,6]。变应性鼻息肉患者在接触变应原后,鼻分泌物中嗜酸粒细胞的数量和嗜酸粒细胞阳离子蛋白的浓度均无显著改变,表明鼻息肉中的慢性嗜酸性炎性反应并不依赖变应原刺激[7]。Park等[8]的研究也表明,是否合并变态反应状况对鼻息肉中EG2阳性细胞的浸润程度的影响不显著,而合并阿司匹林敏感性哮喘的鼻息肉组织中EG2阳性细胞虽有增多的趋势,但与普通鼻息肉患者相比,差异亦无显著性。
, 百拇医药
三、激素喷鼻治疗的影响
布地奈德喷鼻治疗6~8周后的鼻息肉组织中,嗜酸粒细胞总数和活化嗜酸粒细胞的数目较未治疗组均呈下降趋势,但差异未达到显著性程度。而嗜酸粒细胞的活化比例却明显下降,表明激素喷鼻治疗对活化嗜酸粒细胞的抑制作用较其对嗜酸粒细胞总数的影响更为显著,这与在局部应用激素治疗鼻息肉和哮喘的研究中的发现是一致的[1,4,9]。喷鼻激素使组织中活化嗜酸粒细胞的数目减少,表明炎性反应的严重程度减轻。
喷鼻激素对嗜酸粒细胞总数的影响存在不同的观察结果。治疗后嗜酸粒细胞的浸润程度可有明显减轻[4,9],还可能有增多的趋势[1],表明喷鼻激素对嗜酸粒细胞总数的作用尚不确定。影响喷鼻激素疗效的可能因素有:①药理作用的影响:不同药物作用强度的差异对疗效有影响。Hamilos等[9]用氟替卡松喷鼻治疗鼻息肉4周,组织中主要碱性蛋白和EG2阳性细胞均显著减少。氟替卡松与糖皮质激素受体的亲和力是布地奈德的3倍,可能更易发挥药效。②治疗方式的影响:疗程、剂量和全身应用激素可能影响疗效。③病变本身的影响:嗜酸粒细胞的灭活和消失的机制不同,前者更易受喷鼻激素的影响[1];鼻息肉过大造成严重通气障碍,使药物分布不均或无法进入。对过小的息肉同样存在治疗困难,因为激素进入鼻腔后,主要分布于鼻中隔前部的无纤毛区,对超出中鼻道的鼻息肉,在治疗初期可能作用显著,但随着息肉缩入中鼻道,药物难以到达;部分鼻息肉可能对糖皮质激素治疗不敏感或病情进展较快。
, http://www.100md.com
布地奈德喷鼻治疗鼻息肉,免疫组织化学研究显示其良好的抑制嗜酸粒细胞活化的作用。加深对鼻息肉组织中嗜酸粒细胞浸润和活化机制及其调控因素的认识,将有助于阐明鼻息肉的发病机制,最终为提高疗效提供有益的帮助。
参考文献
1,Kanai N, Denburg J, Jordana M, et al. Nasal polyp inflammation:effect of topical nasal steroid. Am J Respir Crit Care Med,1994,150:1094-1100.
2,Tai PC, Spry CJF,Peterson C, et al.Monoclonal antibodies distinguish between storage and secreted forms of eosinophil cationic protein.Nature,1984,309:182-184.
, 百拇医药
3,Djukanovic R, Wilson JW, Britten KM, et al. Quantitation of mast cells and eosinophils in the bronchial mucosa of symptomatic atopic asthmatics and healthy control subjects using immunohistochemistry. Am Rev Respir Dis,1990,142:863-871.
4,Stoop AE, van der Heijden HA, Biewenga J, et al. Eosinophils in nasal polyps and nasal mucosa: an immunohistochemical study. J Allergy Clin Immunol,1993,91:616-622.
5,Davidsson A, Heellquist HB. The so-called‘allergic’nasal polyp. ORL Otol Rhinol Laryngol,1993,55,30-35.
, http://www.100md.com
6,Drake -Lee AB, Lowe D, Swanston A, et al. Clinical profile and recurrence of nasal polyps. J Laryngol Otol,1984, 98:783-793.
7,Keith PK, Conway M, Evans S, et al. Nasal polyps: effects of seasonal allergen exposure. J Allergy Clin Immunol,1994,93:567-574.
8,Park HS, Nahm DH, Park K, et al. Immunohistochemical characterization of cellular infiltrate in nasal polyp from aspirin-sensitive asthmatic patients. Ann Allergy Asthma Immunol,1998,81:219-224.
9,Hamilos DL, Thawley SE, Kramper MA, et al. Effect of intranasal fluticasone on cellular infiltration,endothelial adhesion molecule expression,and proinflammatory cytokine mRNA in nasal polyps. J Allergy Clin Immunol, 1999, 103:79-87.
(收稿日期:1999-10-29), 百拇医药
单位:
关键词:鼻息肉;嗜酸细胞;糖皮质激素;免疫组织化学
中华耳鼻咽喉科杂志000215 【摘要】 目的 探讨鼻腔局部应用激素布地奈德(budisonide)对鼻息肉组织中嗜酸粒细胞浸润和活化状态的影响。方法 采用免疫组化ABC法和chromotrope 2R染色,分别标记鼻息肉组织中的活化嗜酸粒细胞和全部嗜酸粒细胞。观察比较经布地奈德喷鼻治疗6~8周和未经治疗的鼻息肉组织(各16例)中,嗜酸粒细胞浸润和活化状况。结果 ①鼻息肉组织中浸润的嗜酸粒细胞多处于活化状态;②激素治疗组与未治组相比,前者鼻息肉组织中嗜酸粒细胞的活化比例显著减少(P<0.01),而嗜酸粒细胞总数和活化嗜酸粒细胞的浸润程度虽呈下降趋势,组间比较差异未见显著性(P>0.05)。结论 嗜酸粒细胞的浸润和活化程度在鼻息肉的发病机制中可能起重要作用。6~8周布地奈德喷鼻治疗使局部嗜酸粒细胞性炎性反应的严重程度减轻,其对嗜酸粒细胞活化水平的抑制作用,较其对嗜酸粒细胞数量的影响更为显著。
, http://www.100md.com
Effects of intranasal budesonide on the infiltration and activation of eosinophils in nasal polyps
ZHANG Luo, HAN Demin, ZHANG Yong, et al.
(Affiliated Beijing Tongren Hospital of Capital University of Medical Sciences, Beijing 100730, China)
Corresponding author:ZHANG Luo (Email: zhlx@public.bta.net.cn)
【Abstract】 Objective To assess the effects of topical nasal steroid application on the infiltration and activation of eosinophils in nasal polyps. Methods Nasal polyps from intranasal budesonide treated patients (n=16) and untreated patients (n=16) were investigated. The samples were stained with histochemical and ABC immunohistochemical methods. Results The majorty of eosinophils in nasal polyps were activated eosinophils. Compared with untreated polyps, the proportion of activated eosinophils (EG2+/eosinophil ratio) was significantly less in steroid-treated polyps. Although the numbers of total eosinophils and actived eosinophils were lower in steroid-treated polyps, both of the differences were not statistically significant. Conclusions It emphasized that the actived eosinophils play a key role in the pathogenesis of nasal polyps. The effects of intranasal steroid treatment on the number of eosinophils (total and activated) was more profound then on the proportion of activated eosinophils.
, 百拇医药
【Key words】 Nasal polyps; Eosinophils; Corticosteroids, Immunohistochemistry
鼻息肉的病理学特征之一是组织中以嗜酸粒细胞为主的炎性细胞浸润增多。嗜酸粒细胞活化脱颗粒后,释放嗜酸粒细胞阳离子蛋白(eosinophil cationic protein)和主要碱性蛋白(major basic protein)等,可能导致鼻粘膜上皮损伤和脱落。了解鼻息肉组织中嗜酸粒细胞的活化状况,有助于评价其在鼻息肉发病机制中的作用。七十年代中期以来,先后有二丙酸倍氯米松(beclomethasone dipropionate)、布地奈德(budesonide)和丙酸氟替卡松(fluticasone propionate)等糖皮质激素的鼻用剂型应用于临床治疗鼻息肉,可不同程度地改善主观症状和客观检测指标而发挥一定疗效[1],但药物作用机制尚未完全阐明。本研究通过观察布地奈德喷鼻治疗对鼻息肉组织中嗜酸粒细胞的浸润和活化状态的影响,进一步了解嗜酸粒细胞在鼻息肉发病机制中的作用,并拓宽对激素喷鼻治疗鼻息肉的药理作用机制的认识。
, http://www.100md.com
材料和方法
一、临床资料
选取1998年10月~1999年2月拟接受鼻内窥镜手术的鼻息肉患者32例,详细询问病史,并于研究开始前6周停用所有相关药物。患者常规接受包括14种常见吸入性变应原的特异性皮肤试验。皮肤试验结果至少单项阳性且合并阵发性喷嚏、大量清水样涕和鼻痒等症状者,诊为变应性患者。研究开始前及结束后各进行一次鼻内窥镜检查并评分(0分:未见鼻息肉;1分:鼻息肉下缘位于下鼻甲上缘以上;2分:鼻息肉下缘超过下鼻甲下缘;3分:鼻息肉充满鼻腔)。
32例随机分为两组:激素治疗组(16例,男9例,女7例,平均年龄41.6岁),应用布地奈德喷鼻治疗( 200 μg/次,2次/d),疗程6~8周。未治疗组(16例,男10例,女6例,平均年龄43.7岁),不接受任何治疗。另选因鼻堵接受鼻中隔矫正术的患者10例,术中切除部分中鼻甲组织,做为对照组。
, 百拇医药
二、组织病理学染色
治疗和观察结束后,经鼻内窥镜手术切除鼻息肉,常规石蜡包埋、切片(4 μm)。采用HE染色和chromotrope 2R染色,光学显微镜下重点观察、计数组织中的嗜酸粒细胞浸润状况。
三、免疫组织化学染色
采用ABC法,标本切片常规脱蜡至水,3% H2O2甲醇室温8~15 min;0.1%胰蛋白酶消化37℃孵浴30 min;加鼠抗人嗜酸粒细胞阳离子蛋白单克隆抗体EG2(瑞典法玛西亚普强公司),工作液浓度为1∶100,4℃过夜;滴加生物素化二抗(1∶10),37℃孵浴1 h;滴加AB复合物,37℃孵浴1 h;0.05% 3,3-二氨基苯联胺显色5~10 min;苏木素复染;常规脱水透明,中性树胶封片。
四、结果判定
, http://www.100md.com
chromtrope 2R 和EG2阳性细胞均为胞浆着色,前者为粉红色,后者为棕褐色。显微镜一侧目镜安装细胞计数网格,观察粘膜下固有层中的阳性细胞浸润状况。在20倍物镜下选择阳性细胞较多的5个视野,计数网格(0.25 mm2)中的阳性细胞数量,然后取均值进行统计学处理[1]。
五、统计处理
采用SPSS 8.0 for Windows 统计软件包中的单因素方差分析、Wilcoxon符号等级检验和卡方检验等进行相关指标的显著性检验。
结果
一、临床资料分析
1.鼻息肉鼻内窥镜下评分:激素治疗组和未治疗组的两次评分比较差异均无显著性(P>0.05)。表明鼻息肉的大小无明显改变。
, http://www.100md.com
2.症状改善情况:激素治疗组中经治疗有12例诉症状有不同程度的改善(75%),主要为鼻腔通气状况改善。未治疗组中有3例诉症状改善(18.8%),二者差异有非常显著性(P<0.01)。
二、嗜酸粒细胞浸润和活化状况
嗜酸粒细胞主要分布于鼻息肉粘膜下固有层。chromotrope 2R染色可特异性地将嗜酸粒细胞的胞浆染成粉红色,可准确辨别嗜酸粒细胞(图1,2),显示组织中嗜酸粒细胞的浸润状况。对照组10例中鼻甲组织中有8例存在嗜酸粒细胞浸润,其中有4例可见散在EG2阳性嗜酸粒细胞。未治组中变应性患者和非变应性患者在EG2阳性细胞密度、chromotrope 2R阳性细胞密度和嗜酸粒细胞活化比例(EG2阳性细胞个数/chromotrope 2R阳性细胞个数)比较差异均未见显著性(P>0.05)。激素治疗组EG2阳性细胞和chromotrope 2R阳性细胞的密度均较未治组减少(图3,4),但差异未达显著性水平(P>0.05)。而激素治疗组嗜酸粒细胞活化比例则明显低于未治组,差异有非常显著性(P<0.01,表1)。
, 百拇医药
图1 未治组鼻息肉中较多嗜酸细胞浸润。chromotrope2R染色×200
图2 治疗组鼻息肉中嗜酸粒细胞未见显著减少。chromotrope2R×100
图3 未治组鼻肉中较多EG2+细胞浸润。ABC免疫组化染色×200
图4 治疗组鼻息肉中EG2+细胞减少。ABC免疫组化染色×132
表1 布地奈德喷鼻对鼻息肉中嗜酸粒细胞的
浸润和活化状态的影响 组别(标本数)
, 百拇医药
阳性细胞(个,
嗜酸粒细胞
活化比较(%)
EG2
chromtrope 2R
未治疗组(16)
28.8±11.1
46.2±19.2
64.1±9.9
变应性(5)
34.4±13.3
, 百拇医药
53.2±18.6
64.7±11.2
非变应性(11)
26.3±9.6
43.0±19.4
63.9±9.8
激素治疗组(16)
22.0±9.4
44.0±13.8
49.3±9.2
注:嗜酸粒细胞活化比例在激素治疗组和未治组间差异有非常显著性(P<0.01)讨论
, 百拇医药
一、嗜酸粒细胞活化的意义和判定
嗜酸粒细胞在活化状态下,胞浆颗粒中所含的碱性蛋白由于自身体积、空间构象及抗原性的改变,使其可溶性发生改变而脱颗粒,分泌颗粒产物而导致一系列局部病理学改变。同时,活化的嗜酸粒细胞释放主要碱性蛋白,可活化肥大细胞释放血小板活化因子、组胺、前列腺素和白三烯等炎性反应介质。血小板活化因子做为嗜酸粒细胞的强效趋化剂,可提高血管通透性,从而进一步促进嗜酸粒细胞在组织中聚集,上述炎性反应的自我延续过程对鼻息肉的形成可能起重要作用。因此,在鼻息肉的发病机制中,嗜酸粒细胞的活化状态可能较其绝对数量的意义更重要。
嗜酸粒细胞的活化状况与其在组织中的浸润程度并不一致。以往缺乏简便可靠的嗜酸粒细胞活化判定指标。1984年,Tai等[2]分别以嗜酸粒细胞的提取物和分泌产物致敏小鼠获得两种嗜酸粒细胞单克隆抗体:EG1和EG2,可区分不同状态的嗜酸粒细胞阳离子蛋白。EG1对储存型(静止)和分泌型(活化)嗜酸粒细胞阳离子蛋白呈阳性染色,EG2只对分泌型(活化)嗜酸粒细胞阳离子蛋白呈阳性染色,后者成为目前应用最广泛的嗜酸粒细胞阳离子蛋白活化标志性抗体。另外,我们采用对嗜酸粒细胞特异的染料chromotrope 2R做为总嗜酸性粒细胞的辨别标志,EG2与chromotrope 2R阳性细胞的比值即为嗜酸粒细胞的活化比例。
, 百拇医药
二、嗜酸粒细胞浸润及其活化状态
本研究中10例中鼻甲粘膜中,8例存在不同程度的嗜酸粒细胞浸润,其中4例可见少量活化的嗜酸粒细胞,这与Djukanovic等[3]在正常支气管粘膜中的发现是一致的。而Stoop等[4]发现正常中、下鼻甲粘膜中虽有轻度或中度嗜酸粒细胞浸润,但未见活化嗜酸粒细胞,认为只有活化嗜酸粒细胞方能导致炎性反应。由于鼻腔在上呼吸道防御体系中所处的特殊地位,且中鼻甲鼻粘膜组织来源于鼻中隔偏曲患者,很难避免合并轻微的炎性反应,从而导致组织中有少量活化嗜酸粒细胞存在。
未经治疗的鼻息肉组织中有不同程度的嗜酸粒细胞浸润,其中EG2阳性细胞占主要成分, 平均在60%以上,个别病例甚至高达82%,表明鼻息肉组织中存在活跃的炎性反应。变应性患者鼻息肉组织中的总嗜酸粒细胞和活化嗜酸粒细胞的浸润程度,以及嗜酸粒细胞的活化比例均高于非变应性患者,但上述三项指标都未表现出显著性差异,表明组织中嗜酸粒细胞的浸润和活化程度与变态反应的关系并不明确。目前对这一问题的认识尚存争议,越来越多的研究表明,鼻息肉组织中嗜酸粒细胞浸润可能并不意味着发生了变态反应[5,6]。变应性鼻息肉患者在接触变应原后,鼻分泌物中嗜酸粒细胞的数量和嗜酸粒细胞阳离子蛋白的浓度均无显著改变,表明鼻息肉中的慢性嗜酸性炎性反应并不依赖变应原刺激[7]。Park等[8]的研究也表明,是否合并变态反应状况对鼻息肉中EG2阳性细胞的浸润程度的影响不显著,而合并阿司匹林敏感性哮喘的鼻息肉组织中EG2阳性细胞虽有增多的趋势,但与普通鼻息肉患者相比,差异亦无显著性。
, 百拇医药
三、激素喷鼻治疗的影响
布地奈德喷鼻治疗6~8周后的鼻息肉组织中,嗜酸粒细胞总数和活化嗜酸粒细胞的数目较未治疗组均呈下降趋势,但差异未达到显著性程度。而嗜酸粒细胞的活化比例却明显下降,表明激素喷鼻治疗对活化嗜酸粒细胞的抑制作用较其对嗜酸粒细胞总数的影响更为显著,这与在局部应用激素治疗鼻息肉和哮喘的研究中的发现是一致的[1,4,9]。喷鼻激素使组织中活化嗜酸粒细胞的数目减少,表明炎性反应的严重程度减轻。
喷鼻激素对嗜酸粒细胞总数的影响存在不同的观察结果。治疗后嗜酸粒细胞的浸润程度可有明显减轻[4,9],还可能有增多的趋势[1],表明喷鼻激素对嗜酸粒细胞总数的作用尚不确定。影响喷鼻激素疗效的可能因素有:①药理作用的影响:不同药物作用强度的差异对疗效有影响。Hamilos等[9]用氟替卡松喷鼻治疗鼻息肉4周,组织中主要碱性蛋白和EG2阳性细胞均显著减少。氟替卡松与糖皮质激素受体的亲和力是布地奈德的3倍,可能更易发挥药效。②治疗方式的影响:疗程、剂量和全身应用激素可能影响疗效。③病变本身的影响:嗜酸粒细胞的灭活和消失的机制不同,前者更易受喷鼻激素的影响[1];鼻息肉过大造成严重通气障碍,使药物分布不均或无法进入。对过小的息肉同样存在治疗困难,因为激素进入鼻腔后,主要分布于鼻中隔前部的无纤毛区,对超出中鼻道的鼻息肉,在治疗初期可能作用显著,但随着息肉缩入中鼻道,药物难以到达;部分鼻息肉可能对糖皮质激素治疗不敏感或病情进展较快。
, http://www.100md.com
布地奈德喷鼻治疗鼻息肉,免疫组织化学研究显示其良好的抑制嗜酸粒细胞活化的作用。加深对鼻息肉组织中嗜酸粒细胞浸润和活化机制及其调控因素的认识,将有助于阐明鼻息肉的发病机制,最终为提高疗效提供有益的帮助。
参考文献
1,Kanai N, Denburg J, Jordana M, et al. Nasal polyp inflammation:effect of topical nasal steroid. Am J Respir Crit Care Med,1994,150:1094-1100.
2,Tai PC, Spry CJF,Peterson C, et al.Monoclonal antibodies distinguish between storage and secreted forms of eosinophil cationic protein.Nature,1984,309:182-184.
, 百拇医药
3,Djukanovic R, Wilson JW, Britten KM, et al. Quantitation of mast cells and eosinophils in the bronchial mucosa of symptomatic atopic asthmatics and healthy control subjects using immunohistochemistry. Am Rev Respir Dis,1990,142:863-871.
4,Stoop AE, van der Heijden HA, Biewenga J, et al. Eosinophils in nasal polyps and nasal mucosa: an immunohistochemical study. J Allergy Clin Immunol,1993,91:616-622.
5,Davidsson A, Heellquist HB. The so-called‘allergic’nasal polyp. ORL Otol Rhinol Laryngol,1993,55,30-35.
, http://www.100md.com
6,Drake -Lee AB, Lowe D, Swanston A, et al. Clinical profile and recurrence of nasal polyps. J Laryngol Otol,1984, 98:783-793.
7,Keith PK, Conway M, Evans S, et al. Nasal polyps: effects of seasonal allergen exposure. J Allergy Clin Immunol,1994,93:567-574.
8,Park HS, Nahm DH, Park K, et al. Immunohistochemical characterization of cellular infiltrate in nasal polyp from aspirin-sensitive asthmatic patients. Ann Allergy Asthma Immunol,1998,81:219-224.
9,Hamilos DL, Thawley SE, Kramper MA, et al. Effect of intranasal fluticasone on cellular infiltration,endothelial adhesion molecule expression,and proinflammatory cytokine mRNA in nasal polyps. J Allergy Clin Immunol, 1999, 103:79-87.
(收稿日期:1999-10-29), 百拇医药