嵌入性食管裂孔疝——影像学心后复合影的鉴别诊断
作者:朱事芳 丁娟 杜良民 申兰泰
单位:朱事芳 丁娟(济南军区总医院放射科,山东济南250031);杜良民(山东省陵县中医院,山东陵县253500);申兰泰(山东省冠县人 民医院,山东冠县252500)
关键词:疝;食管破裂
中国临床医学影像杂志000627
[中图分类号]R571[文献标识码]A[文章编号]1008-1062(200 0)06-0437-02
Imapacted hiatus hernia:a differentiation of iconography postcardial compound images
ZHU Shi-fang,DING Juan,DU Liang-min,SHEN Lan-tai
, 百拇医药
(Department of Radiology,General Hospital of Jinan PLA,Jinan 250031,China)
嵌入性食管裂孔疝最常见于老年人及创伤患者,常在胸 片、CT片上表现为心影后的复合影,即球形阴影或含气液囊腔 ,易与肺内病变相混淆,作者收集了8年间(1985~1989年,1995~ 1999年)31例嵌入性食管裂孔疝进行分析鉴别。
1 材料与方法
1.1 一般情况
本文31例,男17例,女14例,年龄33~72岁,平均52.5岁, 患者作常规胸部X线检查时偶见左膈上心后复合影:即类圆形 软组织影或含气液囊腔,CT平扫,左肺下叶心后示有类圆形软 组织影或含气液囊腔,因而进行气钡双重造影确诊。
1.2 检查方法
, 百拇医药
以立位胸透或标准胸部正位片检查胸部,采用常规的气 钡双对比,取立位或仰卧位观察与摄片。
2 结果
2.1 胸片
14例正位表现为左膈上心影后有边缘光整球形软组织影, 含气液囊腔11例,囊状透光影6例。侧位片,上述阴影位于心 脏的后下方,紧贴膈面,其后部可与胸椎前三分之一重叠,含 气液囊腔的上壁常表现为较均匀的细条影,X线表现胸透与胸 片相一致,气液囊腔的大小随气体进入胃腔的多少而变化。
2.2 CT平扫
左下肺心后缘可见圆形及卵圆形含气液腔,胃腔内无气 体时呈软组织块影,边缘光滑,周围无卫星灶,无胸膜反应, CT诊断左下肺占位、肺脓肿、肺大泡、肺隔离症、支气管含气 液囊肿及肺包虫囊肿。
, 百拇医药
2.3 食管钡餐检查
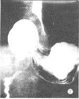
31例表现为食管裂孔处增宽3~4.5cm,部分胃底疝入胸腔 ,贲门可上移或仍在膈下,膈上胃疝囊持续存在,直径约5~1 0cm,整个胃的形态呈“8”字形,有的呈半轴位扭转,食管下 端左前方常显示光滑弧形的外来压迹,食管胃角增大,钡剂可 同时进入疝囊及膈下之胃,膈上粗大的胃粘膜相集中或交叉 进入膈下之胃。
3 讨论
食管裂孔疝通常是指胃的一部分通过膈食管裂孔疝入胸 腔,有时腹腔内的一些脏器亦可随同进入后纵隔,如结肠网膜 、小肠、脾以及肝。病理变化,绝大多数食管裂孔疝是后天 性的,少部分是创伤性的膈破裂所致,嵌入性食管裂孔疝多见 于老年人肥胖或脊柱后凸患者,青壮年嵌入性食管裂孔疝多 见于创伤性。
嵌入性食管裂孔疝的症状多较轻微,不具特异性,缺乏 任何相关主诉,由于一般情况良好,故临床常误诊或漏诊,本 组中有5例是创伤后作正位胸片检查发现心后影内分隔的大小 不等囊气腔,急诊手术证实左上腹部分胃、结肠、网膜、小肠 疝入膈上,压迫肺组织。
, 百拇医药
本组有4例分别误诊为肺脓肿、左下肺占位、肺大泡。另 外,22例因其他疾病而行常规胸部X线检查及CT胸部平扫,发现 心影后含气液囊腔,其中2例是类圆形阴影与心尖相重叠时才 被诊断。
嵌入性食管裂孔疝于立位胸片可因疝囊内含液气多少, 表现为心影后紧贴膈面的类圆形软组织影,含气液囊腔或单纯 含气的囊状透光区,尤以含气液囊常见,不含气的软组织块 影少见,同时左心膈角模糊、消失。因疝囊是胃底的一部分, 故其外缘光滑整齐,内壁可以光滑或因粘膜皱襞于切线位投 影而示为凹凸不平,囊壁厚薄均匀,厚度可因疝囊扩张程度的 不同而有所增减,由于胃疝囊可随胸、腹腔压力及内容物的 改变而改变,仰卧位透视,其大小形态有变化,立位透视时胃 疝囊常形成膈上明显的含气液平面的囊状阴影,造成与肺内 病变相似之影像,结合临床需与同影异病相鉴别。
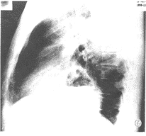
图1 左心尖外缘示有软组织块影与左心缘相连。

, http://www.100md.com
图2,3 左心尖外缘示有含气液囊腔。
图4 CT扫描显示左心后缘肺大泡征。

图5,6 气钡双重造影胃扭转疝入膈上。
图7整个胃的形态呈“8”字形,胃呈全轴扭转,食管下段左前方常显示弧形压迹,胃角增大,胃粘膜交叉进入膈下。
食管钡餐检查是本病简单易行的确诊手段,其特点是膈 上有持续存在的胃疝囊,减少影像误诊的关键在于提高对本病 的认识,首先跟踪临床,询问病史,有无食管裂孔疝的病史 及外伤史,当胸透或胸片发现矮胖型老年人或创伤病人左膈上 心后有类圆形软组织影或疝囊时,在考虑肺内疾病同时,一 定想到本病,仔细分析肿块影或囊腔的影像学特征,推测本病 的可能性,最后靠食管气钡双重造影确诊即可。
朱事芳:济南军区总医院放射科主治医师
(2000-04-18收稿), http://www.100md.com
单位:朱事芳 丁娟(济南军区总医院放射科,山东济南250031);杜良民(山东省陵县中医院,山东陵县253500);申兰泰(山东省冠县人 民医院,山东冠县252500)
关键词:疝;食管破裂
中国临床医学影像杂志000627
[中图分类号]R571[文献标识码]A[文章编号]1008-1062(200 0)06-0437-02
Imapacted hiatus hernia:a differentiation of iconography postcardial compound images
ZHU Shi-fang,DING Juan,DU Liang-min,SHEN Lan-tai
, 百拇医药
(Department of Radiology,General Hospital of Jinan PLA,Jinan 250031,China)
嵌入性食管裂孔疝最常见于老年人及创伤患者,常在胸 片、CT片上表现为心影后的复合影,即球形阴影或含气液囊腔 ,易与肺内病变相混淆,作者收集了8年间(1985~1989年,1995~ 1999年)31例嵌入性食管裂孔疝进行分析鉴别。
1 材料与方法
1.1 一般情况
本文31例,男17例,女14例,年龄33~72岁,平均52.5岁, 患者作常规胸部X线检查时偶见左膈上心后复合影:即类圆形 软组织影或含气液囊腔,CT平扫,左肺下叶心后示有类圆形软 组织影或含气液囊腔,因而进行气钡双重造影确诊。
1.2 检查方法
, 百拇医药
以立位胸透或标准胸部正位片检查胸部,采用常规的气 钡双对比,取立位或仰卧位观察与摄片。
2 结果
2.1 胸片
14例正位表现为左膈上心影后有边缘光整球形软组织影, 含气液囊腔11例,囊状透光影6例。侧位片,上述阴影位于心 脏的后下方,紧贴膈面,其后部可与胸椎前三分之一重叠,含 气液囊腔的上壁常表现为较均匀的细条影,X线表现胸透与胸 片相一致,气液囊腔的大小随气体进入胃腔的多少而变化。
2.2 CT平扫
左下肺心后缘可见圆形及卵圆形含气液腔,胃腔内无气 体时呈软组织块影,边缘光滑,周围无卫星灶,无胸膜反应, CT诊断左下肺占位、肺脓肿、肺大泡、肺隔离症、支气管含气 液囊肿及肺包虫囊肿。
, 百拇医药
2.3 食管钡餐检查
31例表现为食管裂孔处增宽3~4.5cm,部分胃底疝入胸腔 ,贲门可上移或仍在膈下,膈上胃疝囊持续存在,直径约5~1 0cm,整个胃的形态呈“8”字形,有的呈半轴位扭转,食管下 端左前方常显示光滑弧形的外来压迹,食管胃角增大,钡剂可 同时进入疝囊及膈下之胃,膈上粗大的胃粘膜相集中或交叉 进入膈下之胃。
3 讨论
食管裂孔疝通常是指胃的一部分通过膈食管裂孔疝入胸 腔,有时腹腔内的一些脏器亦可随同进入后纵隔,如结肠网膜 、小肠、脾以及肝。病理变化,绝大多数食管裂孔疝是后天 性的,少部分是创伤性的膈破裂所致,嵌入性食管裂孔疝多见 于老年人肥胖或脊柱后凸患者,青壮年嵌入性食管裂孔疝多 见于创伤性。
嵌入性食管裂孔疝的症状多较轻微,不具特异性,缺乏 任何相关主诉,由于一般情况良好,故临床常误诊或漏诊,本 组中有5例是创伤后作正位胸片检查发现心后影内分隔的大小 不等囊气腔,急诊手术证实左上腹部分胃、结肠、网膜、小肠 疝入膈上,压迫肺组织。
, 百拇医药
本组有4例分别误诊为肺脓肿、左下肺占位、肺大泡。另 外,22例因其他疾病而行常规胸部X线检查及CT胸部平扫,发现 心影后含气液囊腔,其中2例是类圆形阴影与心尖相重叠时才 被诊断。
嵌入性食管裂孔疝于立位胸片可因疝囊内含液气多少, 表现为心影后紧贴膈面的类圆形软组织影,含气液囊腔或单纯 含气的囊状透光区,尤以含气液囊常见,不含气的软组织块 影少见,同时左心膈角模糊、消失。因疝囊是胃底的一部分, 故其外缘光滑整齐,内壁可以光滑或因粘膜皱襞于切线位投 影而示为凹凸不平,囊壁厚薄均匀,厚度可因疝囊扩张程度的 不同而有所增减,由于胃疝囊可随胸、腹腔压力及内容物的 改变而改变,仰卧位透视,其大小形态有变化,立位透视时胃 疝囊常形成膈上明显的含气液平面的囊状阴影,造成与肺内 病变相似之影像,结合临床需与同影异病相鉴别。
图1 左心尖外缘示有软组织块影与左心缘相连。
, http://www.100md.com
图2,3 左心尖外缘示有含气液囊腔。
图4 CT扫描显示左心后缘肺大泡征。
图5,6 气钡双重造影胃扭转疝入膈上。
图7整个胃的形态呈“8”字形,胃呈全轴扭转,食管下段左前方常显示弧形压迹,胃角增大,胃粘膜交叉进入膈下。
食管钡餐检查是本病简单易行的确诊手段,其特点是膈 上有持续存在的胃疝囊,减少影像误诊的关键在于提高对本病 的认识,首先跟踪临床,询问病史,有无食管裂孔疝的病史 及外伤史,当胸透或胸片发现矮胖型老年人或创伤病人左膈上 心后有类圆形软组织影或疝囊时,在考虑肺内疾病同时,一 定想到本病,仔细分析肿块影或囊腔的影像学特征,推测本病 的可能性,最后靠食管气钡双重造影确诊即可。
朱事芳:济南军区总医院放射科主治医师
(2000-04-18收稿), http://www.100md.com
参见:首页 > 医疗版 > 疾病专题 > 消化内科 > 食管疾病 > 食管裂孔疝