True FISP序列在胰胆管疾病的应用
作者:王伟中 杨正汉 刘剑羽 谢敬霞
单位:王伟中(北京医科大学第三临床医学院放射科 100083); 杨正汉(北京医科大学第三临床医学院放射科 100083); 刘剑羽(北京医科大学第三临床医学院放射科 100083); 谢敬霞(北京医科大学第三临床医学院放射科 100083)
关键词:磁共振成像;胰胆管造影;评价研究
临床放射学杂志000210 摘 要:目的 评价True FISP序列在胰胆管疾病中的应用价值与限度。材料与方法 对98例怀疑胰胆管疾病的患者和12例正常志愿者做True FISP与HASTE-MRCP扫描。结果 True FISP像、MRCP断层像和MRCP MIP像显示胰胆管扩张的准确性均达到了100%;对病变定位的准确率分别为94.4%、83.3%和86.1%;对胆管结石定性的准确率(特异性)分别为73.3%(88.1%)、93.3%(92.9%)和66.7%(81.0%);对肿瘤的定性准确率(特异性)分别为85.7%(90.0%)、61.9%(83.3%)和57.1%(76.7%)。结合所有的序列对结石诊断的准确率(特异性)为96.7%(95.2%),对肿瘤定性诊断的准确率(特异性)为90.5%(93.3%)。结论 True FISP序列对胰胆管疾病的管壁和管周病变的显示良好。HASTE-MRCP有利于胰胆管的整体显示,结合两者可对胰胆管疾病作出更准确的评价并有利于治疗方式的选择。
, 百拇医药
Clinical Application of True FISP Sequences in Pancreaticobiliary Diseases
WANG Weizhong, YANG Zhenghan, LIU Jianyu
(Department of Radiology, No.3 Clinical Hospital of Beijing Medical University, Beijing 100083, P.R.China)
ABSTRACT:Objective To assess the clinical application and limitation of True FISP sequences in the diagnosis of biliary and pancreatic tract diseases.Materials and Methods Breath-hold True FISP and HASTE-MRCP were performed in 98 patients with suspected pancreaticobiliary disease and 12 normal volunteers. Imaging findings on True FISP and HASTE-MRCP were correlated with direct cholangiographic, surgical and/or pathologic findings (72 patients). All images were interpreted by two radiologists on a blinded basis.Results Images of diagnostic quality were obtained in all 110 cases with True FISP (100%). All sequences showed 100% sensitivities in recognizing the dilated tracts. In 72 proved patients, the sensitivity (and specificity) for lesion location by True FISP, MRCP and MRCP MIP was 94.4%, 83.3% and 86.1%, respectively; for calculi recognition (n=30) was 73.3% (88.1%), 93.3% (92.9%) and 66.7% (81.0%), respectively; for tumor diagnosis (n=42) was 85.7% (90.0%), 61.9% (83.3%) and 57.1% (76.7%), respectively. When combined with all imaging sequences, the sensitivity (and specificity) for tumor and calculi definition was 90.5% (93.3%) and 96.7% (95.2%), respectively.Conclusion With its good delineating ability, HASTE-MRCP can accurately evaluate pancreaticobiliary diseases. The True FISP sequence is good at revealing the pancreaticobiliary tract wall lesions as well as the tumor invasion. More accurate diagnosis will be obtained if these two imaging techniques are applied together.
, 百拇医药
Key words:MRI Cholangiopancreatography Evaluation study▲
在胰胆管疾病诊断方面磁共振扫描胰胆管造影(MRCP)起到重要的作用,结合断层扫描有望得到更准确的结果。本文通过对12例正常志愿者和98例可疑胰胆管疾病病例进行真稳态进动快速(True FISP)扫描并与其他序列进行对比,旨在探讨其对胰胆管疾病的应用价值和限度。
1 材料与方法
1.1 一般资料
正常志愿者12例,男7例,女5例,平均年龄26岁。胰胆管疾病患者98例,其中男60例,女38例,年龄22~78岁,平均58岁。胰胆管疾病组有72例经PTC及ERCP、活检或手术病理证实。包括胆系结石30例,胰头胰体癌8例,乳头癌4例,胆管癌26例,壶腹癌3例,乳头错构瘤1例。于术前2周内行MRI检查。其余26例未经病理证实,其中临床诊断5例为胰腺炎(急性1例,慢性4例),胰腺囊性病变3例,先天性总胆管扩张2例,疑肝Caroli's病1例,有上腹痛等症状影像学无明显异常者5例,考虑胆系结石或肿瘤患者未经证实10例。
, http://www.100md.com
1.2 MR技术
使用腹部相控线圈(body phased-array coil),采用快速扫描序列,所有扫描均在一次屏气内完成。完成全部检查所需序列的时间约15分钟。所用机型为Siemens 1.5T Magnetom Vision。主要扫描参数:(1) T2(T2*)加权:真稳态进动快速成像(True FISP),激励角度70°;重复/回波时间 4.8ms/2.3ms,FOV 270~300cm×270cm,矩阵240×256,层厚5~8mm,扫描时间16~24s。 (2) T1加权:快速小角度激励成像(FLASH),激励角度80°,重复/回波时间 117~130ms/4.1ms,FOV 270~300cm×270cm,矩阵240×256,层厚5~8mm,部分序列加脂肪抑制,扫描时间16~21s。 (3) 半傅立叶采集单次激励快速自旋回波磁共振胆道造影(HASTE-MRCP):主要采用薄层成像,采集重聚角度150°,有效回波时间95ms,回波间隔11.9ms,FOV 270cm×270cm,矩阵240×256,层厚3~4mm,共13~15层原始断层图像,用于重建胰胆管的序列加脂肪抑制,扫描时间为18~24s。
, 百拇医药
1.3 分析与评价
根据图像质量与伪影等情况分别对不同扫描序列的图像进行分析,共分优、良、可、差4级。以前三者之和统计图像的可诊断率。
采用盲法,在未进行PTC及ERCP阅片,不知道病理结果的情况下由2名资深的专业医师分别对True FISP像、MRCP断层像、MRCP MIP像以及结合以上各种成像序列包括T1加权FLASH序列图像进行评价,完成后与PTC及ERCP、活检或手术病理结果对比并进行统计分析。
2 结果
2.1 图像质量与伪影
True FISP断层图像信噪比高,组织器官分界呈钩边状。在气体和其他组织分界处易形成条纹状伪影。在110例中出现条纹状伪影有76例,占69.1%。图像分级:优53例,占48.2%;良54例,占49.1%;可3例,占2.7%。可诊断率为100%。
, 百拇医药
2.2 胰胆管、病变显示与定位诊断
正常志愿者组True FISP像总胆管显示率为75.0%,对胰管的显示率为58.3%(7/12)。
分析72例经PTC、ERCP、活检或手术病理证实的病例,其中胆管扩张包括胆总管扩张(直径大于7mm)和局限性扩张共52例(72.2%),True FISP像、MRCP断层像和MRCP MIP像均能显示扩张的胰胆管,显示率为100%。在病变定位方面,True FISP像、MRCP断层像和MRCP MIP像对定位的准确率分别为94.4%、83.3%、86.1%,相差不显著(P=0.2091,卡方检验)。
2.2.1 结石的显示: 单发结石4例,多发结石26例,结石大小为0.3~2.6cm,合并胆管扩张20例。扩张的胆管形态较均匀,多呈“枯树枝”状,梗阻端形态多呈“杯口”状和“截断”状。与胆汁的信号比较,在True FISP像、MRCP断层像和MRCP MIP像中结石显示为低信号,部分结石在MRCP MIP像显示不满意(图1~3)。其中有5例(5/30,16.7%)较大的结石中心部位有高信号。在T1加权FLASH序列中20例(20/30,66.7%)为低信号,与胆汁不易分辨;5例(5/30,16.7%)为中等信号,可分辨;5例(5/30,16.7%)为高信号,与胆汁分辨清楚(图4)。结石患者中,1例合并肝脓肿,表现为T1加权呈多发低信号灶,T2加权呈不均匀高信号。1例合并急性胰腺炎,5例合并急性胆囊炎,表现为胰腺或胆囊肿大,边缘模糊,周围有水肿渗出等异常改变。
, http://www.100md.com
2.2.2 肿瘤的显示: MRCP断层像能部分显示肿瘤形态。True FISP像可较清楚地显示肿瘤的外形轮廓、大小及侵犯范围。而在MRCP MIP像上则难于显示(图5、6)。结合以上几种成像方法,发现30例肿瘤所致的扩张胆管形态多呈“软藤”状,其近端有以下几种形式:截断性梗阻最常见,有17例(17/30,56.7%),其断端呈“截断”状或“杯口”状(图5、6);锥形或圆锥形狭窄梗阻6例(6/30,20.0%)(图7);不规则状狭窄4例(4/30,13.3%);鼠尾状狭窄梗阻3例(3/30,10.0%)(图8)。True FISP像可显示2例门脉受侵、1例十二指肠受侵征象。其他序列显示不满意。1例肝内转移灶True FISP序列显示不满意,而T1加权图像等显示良好(图9、10)。
2.2.3 其他病变的显示: 胰腺炎病例在MRCP像显示有不规则胰管扩大3例(3/5),1例合并胆管扩张,T1加权FLASH脂肪抑制像和True FISP序列对胰腺形态改变显示较好,后者对急性胰腺炎的渗出改变敏感。CT发现胰腺钙化在所有MRI序列均未显示。胰腺囊性病变3例,其中1例显示囊肿与胰管相通。MRCP对先天性总胆管扩张形态显示很好,1例疑肝Caroli's病显示胆管稍扩张,全肝均有点状高信号灶,与多囊肝难于鉴别。
, http://www.100md.com
2.3 定性诊断
2.3.1 胆系结石的定性诊断: 在经证实的30例胆系结石患者中,True FISP像、MRCP断层像和MRCP MIP像对定性的准确率分别为73.3%、93.3%和66.7%,特异性则分别为88.1%、92.9%和81.0%。其中MRCP断层像与MRCP MIP像、True FISP像之间的定性准确率有显著性差异(P值分别为0.0239和0.0398,卡方检验)。结合所有的序列对结石诊断的准确率为96.7%,特异性则为95.2%,与True FISP像、MRCP断层像和MRCP MIP像定性准确率之间的P值分别为0.0128、0.5000和0.0028(卡方检验)。
2.3.2 肿瘤的定性诊断: 在证实的42例肿瘤患者中,True FISP像、MRCP断层像和MRCP MIP像对定性的准确率分别为85.7%、61.9%和57.1%,特异性则分别为90.0%、83.3%和76.7%。其中True FISP像与MRCP断层像、MRCP MIP像的定性准确率之间有显著性差异(P值分别为0.0255和0.0079,卡方检验)。结合所有的序列对肿瘤定性诊断的准确率为90.5%,特异性则为93.3%,与MRCP断层像和MRCP MIP像之间有显著性差异(P值分别为0.0048和0.0012,卡方检验),而与True FISP像组间则无明显差异(P值为0.3689,卡方检验)。

, http://www.100md.com
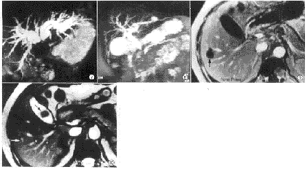
图1~3 男性,65岁。胆总管多发结石。True FISP冠状面(图1)和MRCP断面图(图2)清楚显示结石。MRCT MIP像未能显示结石 图4 男性,47岁。胆囊结石。FLASH T1WI上结石呈高信号 图5、6 男性,71岁。壶腹癌(箭头)。True FISP冠状面(图5)清楚显示胆总管扩张和软组织肿块。MRCP未能显示肿块 图7 女性,61岁。肝门胆管癌。左右肝管断端呈圆锥形 图8 女性,56岁。胰头癌。胆总管下端呈不规则鼠尾状狭窄,胆管胰管扩张 图9、10 男性,52岁。胰腺癌肝转移。FLASH T1WI动态增强门静脉期(图9)右肝转移灶清楚显示(箭头)。True FISP未能显示转移灶全貌(白箭头),胆囊区低信号影(黑箭头)为肠道气体造成的磁化率敏感伪影
3 讨论
3.1 True FISP序列的成像基础
二维FISP序列是在资料采集后,施加磁量相同但极性相反的脉冲,使资料采集时使用的相位编码梯度引起的相位分散重聚[1]。这种程序使每个成像梯度的净效果在每个周期都是恒定的,纵、横向磁化矢量均达到稳定状态并形成稳定状态的信号。这个序列的结构使每个周期开始前横向磁化矢量均不为零。采用这种梯度结构,只要TR远远小于T2,横向磁化矢量将达到稳定状态。与二维FISP成像相似,True FISP序列除了在相位编码方面外,在层面选择和频率方向均施加反相脉冲,使三个方向的相位离散重聚。此序列的T2权重很大,对含液组织显示为很高的信号。
, http://www.100md.com
True FISP序列对磁共振的硬件和软件要求都很高。在较新的系统才配备此序列。在应用时,磁场均匀度的校正非常重要,每次扫描均要选择自动匀场,否则容易产生明显的条纹状伪影[2]。由于对磁场的均匀性敏感,在组织界面质子密度相差较大的区域特别是在气体和其他组织分界处容易形成伪影。如在胆囊窝的肠道气体伪影的部分容积效应类似结石易造成误诊(图10)。因化学位移效应较明显使脏器边缘分界清楚呈钩边状。在本组110例中出现条纹状伪影有76例,占69.1%。但大部分伪影较轻不影响诊断。
3.2 True FISP序列在胰胆管疾病中的应用价值
梯度回波(GRE)序列由于不能纠正磁场不均匀造成的失相位,所得到的是T2*加权图像,且对运动较敏感,还易形成磁敏感性伪影等原因较少用于腹部扫描[1,3]。但近年来由于磁共振硬件和软件的发展,许多快速的梯度回波序列应用于临床[4,5]。True FISP序列在腹部的应用尚未见报道。此序列扫描速度快,单次屏气(20秒左右)即可完成15层左右的扫描,得到具有很高的信噪比的图像。胆汁为长T2组织呈高信号,因此可直接观察胆道本身形态,同时对胆道壁及周围结构显示良好。血管亦呈高信号,但一般血管信号略低于胆管信号,以冠状位为明显,可能与梯度回波在层面方向的流入增强效应有关。以上特点使它在胰胆管疾病的诊断中具有一定的优势。肝门部、总胆管走行区周围组织T2值相对较低,与高信号的胆管和门静脉形成明显的对比,有利显示肿瘤性病变。据本组病例统计,胆管肿瘤多呈中等或略低均匀信号,因此局部肿块、水肿等在此序列中可得到很好的显示。本组True FISP像显示2例门脉受侵,1例十二指肠受侵征象,其他序列显示不满意。对1例结石合并肝脓肿、1例合并急性胰腺炎、5例合并急性胆囊炎的影像学表现亦得到较好的显示。通过统计分析还显示本序列对肿瘤的定性准确率和特异性分别为85.7%和90.0%,高于其他序列。由于此序列的T2权重很大,对较短T2值的组织和病变的对比分辨率较差,因此当病变T2值较短或与实质性脏器的T2值接近时,可能会被遗漏。本组肝转移病例部分病灶在True FISP序列中显示不满意,而FLASH T1加权图像显示良好。相信此序列经过优化,选择较薄的层厚(目前我们的序列最小层厚为5mm)会有所改善。
, 百拇医药
3.3 结合MRCP和其他序列对胰胆管疾病诊断的意义
对胰胆管疾病特别是对肿瘤病变的评价,除了观察胆道本身形态外,显示胆道壁及周围结构改变亦非常重要。MRCP作为一种无创性的胰胆管显影技术,可较好地显示胆管结构以及腔内病变,在胰胆管疾病的诊断方面起到重要的作用,但其观察胆道壁及其周围组织的能力较差[6~10]。而True FISP序列则在显示胰胆管管壁和病变本身有其优点。据本组病例的结果显示,不结合断层图像MRCP对肿瘤的定性准确率稍低。而True FISP则较高。结合MRCP和所有的成像序列,对结石诊断的准确率达到96.7%,特异性则为95.2%,对肿瘤定性诊断的准确率为90.5%,特异性则为93.3%,高于任何一种序列。说明了结合多种序列对诊断胰胆管疾病的重要性。
本组并非所有病例均行ERCP和PTC检查,在经证实的病例中可能ERCP或手术难度较小以及病情较轻的病例偏多,病种亦较少,这就可能引入了选择性偏差,同时有可能造成潜在性的假阴性减少。尽管如此,由于本组病例数相对较大,并使用了单盲法分析,得到的结果应该是较为准确可信的。■
, 百拇医药
作者简介:王伟中,北京医科大学第三临床医学院高级访问学者,原广州军区广州总医院放射科
参考文献:
[1]Price RR. The AAPM/RSNA physics tutorial for residents: Contrast mechanisms in gradient-echo imaging and an introduction to fast imaging. Radiographics, 1995, 15:165
[2]Nitz W. Imaging sequences in magnetic resonance tomography and their clinical application. Electromedica, 1997, 65:8
[3]McGehee M, Kier R, Cohn SM,et al. Comparison of MRI with postcontrast CT for the evaluation of acute abdominal trauma. JCAT, 1993, 17:401
, 百拇医药
[4]Scharf J, Hoffmann V, Lehnert T,et al. Pseudolesions at T1-weighted gradient-echo imaging after administration of superparamagnetic iron oxide: Comparison with portal perfusion abnormalities at CT during arterial portography. Radiology, 1998, 207:67
[5]Kato M, Yokoyama R, Nakamura H. MR imaging versus angiographically assisted helical CT. AJR, 1997, 169:1507
[6]Wallner BK, Schumacher KA, Weidenmaier W,et al. Dilated biliary tract: Evaluation with MR cholangiography with a T2-weighted contrast-enhanced fast sequence. Radiology, 1991, 181:805
, 百拇医药
[7]Guibaud L, Bret PM, Reinhold C,et al. Diagnosis of choledocholithiasis: Value of MR cholangiography. AJR, 1994, 163:847
[8]孙泽民,王守安,王海平,等.磁共振胆胰管成像诊断低位胆系梗阻性疾病的评价.中华放射学杂志, 1998, 32:323
[9]Gregory TS, John B, Frank HM,et al. Comparison of endoscopic retrograde cholangiopancreatography with MR cholangiopancreatography in patients with pancreatitis. Radiology, 1999, 210:605
[10]Ann SF, Mary AT, Gerald WC,et al. Half-Fourier RARE MR cholangio-pancreatography: Experience in 300 subjects. Radiology, 1998, 207:21
收稿日期:1999-06-04, 百拇医药
单位:王伟中(北京医科大学第三临床医学院放射科 100083); 杨正汉(北京医科大学第三临床医学院放射科 100083); 刘剑羽(北京医科大学第三临床医学院放射科 100083); 谢敬霞(北京医科大学第三临床医学院放射科 100083)
关键词:磁共振成像;胰胆管造影;评价研究
临床放射学杂志000210 摘 要:目的 评价True FISP序列在胰胆管疾病中的应用价值与限度。材料与方法 对98例怀疑胰胆管疾病的患者和12例正常志愿者做True FISP与HASTE-MRCP扫描。结果 True FISP像、MRCP断层像和MRCP MIP像显示胰胆管扩张的准确性均达到了100%;对病变定位的准确率分别为94.4%、83.3%和86.1%;对胆管结石定性的准确率(特异性)分别为73.3%(88.1%)、93.3%(92.9%)和66.7%(81.0%);对肿瘤的定性准确率(特异性)分别为85.7%(90.0%)、61.9%(83.3%)和57.1%(76.7%)。结合所有的序列对结石诊断的准确率(特异性)为96.7%(95.2%),对肿瘤定性诊断的准确率(特异性)为90.5%(93.3%)。结论 True FISP序列对胰胆管疾病的管壁和管周病变的显示良好。HASTE-MRCP有利于胰胆管的整体显示,结合两者可对胰胆管疾病作出更准确的评价并有利于治疗方式的选择。
, 百拇医药
Clinical Application of True FISP Sequences in Pancreaticobiliary Diseases
WANG Weizhong, YANG Zhenghan, LIU Jianyu
(Department of Radiology, No.3 Clinical Hospital of Beijing Medical University, Beijing 100083, P.R.China)
ABSTRACT:Objective To assess the clinical application and limitation of True FISP sequences in the diagnosis of biliary and pancreatic tract diseases.Materials and Methods Breath-hold True FISP and HASTE-MRCP were performed in 98 patients with suspected pancreaticobiliary disease and 12 normal volunteers. Imaging findings on True FISP and HASTE-MRCP were correlated with direct cholangiographic, surgical and/or pathologic findings (72 patients). All images were interpreted by two radiologists on a blinded basis.Results Images of diagnostic quality were obtained in all 110 cases with True FISP (100%). All sequences showed 100% sensitivities in recognizing the dilated tracts. In 72 proved patients, the sensitivity (and specificity) for lesion location by True FISP, MRCP and MRCP MIP was 94.4%, 83.3% and 86.1%, respectively; for calculi recognition (n=30) was 73.3% (88.1%), 93.3% (92.9%) and 66.7% (81.0%), respectively; for tumor diagnosis (n=42) was 85.7% (90.0%), 61.9% (83.3%) and 57.1% (76.7%), respectively. When combined with all imaging sequences, the sensitivity (and specificity) for tumor and calculi definition was 90.5% (93.3%) and 96.7% (95.2%), respectively.Conclusion With its good delineating ability, HASTE-MRCP can accurately evaluate pancreaticobiliary diseases. The True FISP sequence is good at revealing the pancreaticobiliary tract wall lesions as well as the tumor invasion. More accurate diagnosis will be obtained if these two imaging techniques are applied together.
, 百拇医药
Key words:MRI Cholangiopancreatography Evaluation study▲
在胰胆管疾病诊断方面磁共振扫描胰胆管造影(MRCP)起到重要的作用,结合断层扫描有望得到更准确的结果。本文通过对12例正常志愿者和98例可疑胰胆管疾病病例进行真稳态进动快速(True FISP)扫描并与其他序列进行对比,旨在探讨其对胰胆管疾病的应用价值和限度。
1 材料与方法
1.1 一般资料
正常志愿者12例,男7例,女5例,平均年龄26岁。胰胆管疾病患者98例,其中男60例,女38例,年龄22~78岁,平均58岁。胰胆管疾病组有72例经PTC及ERCP、活检或手术病理证实。包括胆系结石30例,胰头胰体癌8例,乳头癌4例,胆管癌26例,壶腹癌3例,乳头错构瘤1例。于术前2周内行MRI检查。其余26例未经病理证实,其中临床诊断5例为胰腺炎(急性1例,慢性4例),胰腺囊性病变3例,先天性总胆管扩张2例,疑肝Caroli's病1例,有上腹痛等症状影像学无明显异常者5例,考虑胆系结石或肿瘤患者未经证实10例。
, http://www.100md.com
1.2 MR技术
使用腹部相控线圈(body phased-array coil),采用快速扫描序列,所有扫描均在一次屏气内完成。完成全部检查所需序列的时间约15分钟。所用机型为Siemens 1.5T Magnetom Vision。主要扫描参数:(1) T2(T2*)加权:真稳态进动快速成像(True FISP),激励角度70°;重复/回波时间 4.8ms/2.3ms,FOV 270~300cm×270cm,矩阵240×256,层厚5~8mm,扫描时间16~24s。 (2) T1加权:快速小角度激励成像(FLASH),激励角度80°,重复/回波时间 117~130ms/4.1ms,FOV 270~300cm×270cm,矩阵240×256,层厚5~8mm,部分序列加脂肪抑制,扫描时间16~21s。 (3) 半傅立叶采集单次激励快速自旋回波磁共振胆道造影(HASTE-MRCP):主要采用薄层成像,采集重聚角度150°,有效回波时间95ms,回波间隔11.9ms,FOV 270cm×270cm,矩阵240×256,层厚3~4mm,共13~15层原始断层图像,用于重建胰胆管的序列加脂肪抑制,扫描时间为18~24s。
, 百拇医药
1.3 分析与评价
根据图像质量与伪影等情况分别对不同扫描序列的图像进行分析,共分优、良、可、差4级。以前三者之和统计图像的可诊断率。
采用盲法,在未进行PTC及ERCP阅片,不知道病理结果的情况下由2名资深的专业医师分别对True FISP像、MRCP断层像、MRCP MIP像以及结合以上各种成像序列包括T1加权FLASH序列图像进行评价,完成后与PTC及ERCP、活检或手术病理结果对比并进行统计分析。
2 结果
2.1 图像质量与伪影
True FISP断层图像信噪比高,组织器官分界呈钩边状。在气体和其他组织分界处易形成条纹状伪影。在110例中出现条纹状伪影有76例,占69.1%。图像分级:优53例,占48.2%;良54例,占49.1%;可3例,占2.7%。可诊断率为100%。
, 百拇医药
2.2 胰胆管、病变显示与定位诊断
正常志愿者组True FISP像总胆管显示率为75.0%,对胰管的显示率为58.3%(7/12)。
分析72例经PTC、ERCP、活检或手术病理证实的病例,其中胆管扩张包括胆总管扩张(直径大于7mm)和局限性扩张共52例(72.2%),True FISP像、MRCP断层像和MRCP MIP像均能显示扩张的胰胆管,显示率为100%。在病变定位方面,True FISP像、MRCP断层像和MRCP MIP像对定位的准确率分别为94.4%、83.3%、86.1%,相差不显著(P=0.2091,卡方检验)。
2.2.1 结石的显示: 单发结石4例,多发结石26例,结石大小为0.3~2.6cm,合并胆管扩张20例。扩张的胆管形态较均匀,多呈“枯树枝”状,梗阻端形态多呈“杯口”状和“截断”状。与胆汁的信号比较,在True FISP像、MRCP断层像和MRCP MIP像中结石显示为低信号,部分结石在MRCP MIP像显示不满意(图1~3)。其中有5例(5/30,16.7%)较大的结石中心部位有高信号。在T1加权FLASH序列中20例(20/30,66.7%)为低信号,与胆汁不易分辨;5例(5/30,16.7%)为中等信号,可分辨;5例(5/30,16.7%)为高信号,与胆汁分辨清楚(图4)。结石患者中,1例合并肝脓肿,表现为T1加权呈多发低信号灶,T2加权呈不均匀高信号。1例合并急性胰腺炎,5例合并急性胆囊炎,表现为胰腺或胆囊肿大,边缘模糊,周围有水肿渗出等异常改变。
, http://www.100md.com
2.2.2 肿瘤的显示: MRCP断层像能部分显示肿瘤形态。True FISP像可较清楚地显示肿瘤的外形轮廓、大小及侵犯范围。而在MRCP MIP像上则难于显示(图5、6)。结合以上几种成像方法,发现30例肿瘤所致的扩张胆管形态多呈“软藤”状,其近端有以下几种形式:截断性梗阻最常见,有17例(17/30,56.7%),其断端呈“截断”状或“杯口”状(图5、6);锥形或圆锥形狭窄梗阻6例(6/30,20.0%)(图7);不规则状狭窄4例(4/30,13.3%);鼠尾状狭窄梗阻3例(3/30,10.0%)(图8)。True FISP像可显示2例门脉受侵、1例十二指肠受侵征象。其他序列显示不满意。1例肝内转移灶True FISP序列显示不满意,而T1加权图像等显示良好(图9、10)。
2.2.3 其他病变的显示: 胰腺炎病例在MRCP像显示有不规则胰管扩大3例(3/5),1例合并胆管扩张,T1加权FLASH脂肪抑制像和True FISP序列对胰腺形态改变显示较好,后者对急性胰腺炎的渗出改变敏感。CT发现胰腺钙化在所有MRI序列均未显示。胰腺囊性病变3例,其中1例显示囊肿与胰管相通。MRCP对先天性总胆管扩张形态显示很好,1例疑肝Caroli's病显示胆管稍扩张,全肝均有点状高信号灶,与多囊肝难于鉴别。
, http://www.100md.com
2.3 定性诊断
2.3.1 胆系结石的定性诊断: 在经证实的30例胆系结石患者中,True FISP像、MRCP断层像和MRCP MIP像对定性的准确率分别为73.3%、93.3%和66.7%,特异性则分别为88.1%、92.9%和81.0%。其中MRCP断层像与MRCP MIP像、True FISP像之间的定性准确率有显著性差异(P值分别为0.0239和0.0398,卡方检验)。结合所有的序列对结石诊断的准确率为96.7%,特异性则为95.2%,与True FISP像、MRCP断层像和MRCP MIP像定性准确率之间的P值分别为0.0128、0.5000和0.0028(卡方检验)。
2.3.2 肿瘤的定性诊断: 在证实的42例肿瘤患者中,True FISP像、MRCP断层像和MRCP MIP像对定性的准确率分别为85.7%、61.9%和57.1%,特异性则分别为90.0%、83.3%和76.7%。其中True FISP像与MRCP断层像、MRCP MIP像的定性准确率之间有显著性差异(P值分别为0.0255和0.0079,卡方检验)。结合所有的序列对肿瘤定性诊断的准确率为90.5%,特异性则为93.3%,与MRCP断层像和MRCP MIP像之间有显著性差异(P值分别为0.0048和0.0012,卡方检验),而与True FISP像组间则无明显差异(P值为0.3689,卡方检验)。
, http://www.100md.com
图1~3 男性,65岁。胆总管多发结石。True FISP冠状面(图1)和MRCP断面图(图2)清楚显示结石。MRCT MIP像未能显示结石 图4 男性,47岁。胆囊结石。FLASH T1WI上结石呈高信号 图5、6 男性,71岁。壶腹癌(箭头)。True FISP冠状面(图5)清楚显示胆总管扩张和软组织肿块。MRCP未能显示肿块 图7 女性,61岁。肝门胆管癌。左右肝管断端呈圆锥形 图8 女性,56岁。胰头癌。胆总管下端呈不规则鼠尾状狭窄,胆管胰管扩张 图9、10 男性,52岁。胰腺癌肝转移。FLASH T1WI动态增强门静脉期(图9)右肝转移灶清楚显示(箭头)。True FISP未能显示转移灶全貌(白箭头),胆囊区低信号影(黑箭头)为肠道气体造成的磁化率敏感伪影
3 讨论
3.1 True FISP序列的成像基础
二维FISP序列是在资料采集后,施加磁量相同但极性相反的脉冲,使资料采集时使用的相位编码梯度引起的相位分散重聚[1]。这种程序使每个成像梯度的净效果在每个周期都是恒定的,纵、横向磁化矢量均达到稳定状态并形成稳定状态的信号。这个序列的结构使每个周期开始前横向磁化矢量均不为零。采用这种梯度结构,只要TR远远小于T2,横向磁化矢量将达到稳定状态。与二维FISP成像相似,True FISP序列除了在相位编码方面外,在层面选择和频率方向均施加反相脉冲,使三个方向的相位离散重聚。此序列的T2权重很大,对含液组织显示为很高的信号。
, http://www.100md.com
True FISP序列对磁共振的硬件和软件要求都很高。在较新的系统才配备此序列。在应用时,磁场均匀度的校正非常重要,每次扫描均要选择自动匀场,否则容易产生明显的条纹状伪影[2]。由于对磁场的均匀性敏感,在组织界面质子密度相差较大的区域特别是在气体和其他组织分界处容易形成伪影。如在胆囊窝的肠道气体伪影的部分容积效应类似结石易造成误诊(图10)。因化学位移效应较明显使脏器边缘分界清楚呈钩边状。在本组110例中出现条纹状伪影有76例,占69.1%。但大部分伪影较轻不影响诊断。
3.2 True FISP序列在胰胆管疾病中的应用价值
梯度回波(GRE)序列由于不能纠正磁场不均匀造成的失相位,所得到的是T2*加权图像,且对运动较敏感,还易形成磁敏感性伪影等原因较少用于腹部扫描[1,3]。但近年来由于磁共振硬件和软件的发展,许多快速的梯度回波序列应用于临床[4,5]。True FISP序列在腹部的应用尚未见报道。此序列扫描速度快,单次屏气(20秒左右)即可完成15层左右的扫描,得到具有很高的信噪比的图像。胆汁为长T2组织呈高信号,因此可直接观察胆道本身形态,同时对胆道壁及周围结构显示良好。血管亦呈高信号,但一般血管信号略低于胆管信号,以冠状位为明显,可能与梯度回波在层面方向的流入增强效应有关。以上特点使它在胰胆管疾病的诊断中具有一定的优势。肝门部、总胆管走行区周围组织T2值相对较低,与高信号的胆管和门静脉形成明显的对比,有利显示肿瘤性病变。据本组病例统计,胆管肿瘤多呈中等或略低均匀信号,因此局部肿块、水肿等在此序列中可得到很好的显示。本组True FISP像显示2例门脉受侵,1例十二指肠受侵征象,其他序列显示不满意。对1例结石合并肝脓肿、1例合并急性胰腺炎、5例合并急性胆囊炎的影像学表现亦得到较好的显示。通过统计分析还显示本序列对肿瘤的定性准确率和特异性分别为85.7%和90.0%,高于其他序列。由于此序列的T2权重很大,对较短T2值的组织和病变的对比分辨率较差,因此当病变T2值较短或与实质性脏器的T2值接近时,可能会被遗漏。本组肝转移病例部分病灶在True FISP序列中显示不满意,而FLASH T1加权图像显示良好。相信此序列经过优化,选择较薄的层厚(目前我们的序列最小层厚为5mm)会有所改善。
, 百拇医药
3.3 结合MRCP和其他序列对胰胆管疾病诊断的意义
对胰胆管疾病特别是对肿瘤病变的评价,除了观察胆道本身形态外,显示胆道壁及周围结构改变亦非常重要。MRCP作为一种无创性的胰胆管显影技术,可较好地显示胆管结构以及腔内病变,在胰胆管疾病的诊断方面起到重要的作用,但其观察胆道壁及其周围组织的能力较差[6~10]。而True FISP序列则在显示胰胆管管壁和病变本身有其优点。据本组病例的结果显示,不结合断层图像MRCP对肿瘤的定性准确率稍低。而True FISP则较高。结合MRCP和所有的成像序列,对结石诊断的准确率达到96.7%,特异性则为95.2%,对肿瘤定性诊断的准确率为90.5%,特异性则为93.3%,高于任何一种序列。说明了结合多种序列对诊断胰胆管疾病的重要性。
本组并非所有病例均行ERCP和PTC检查,在经证实的病例中可能ERCP或手术难度较小以及病情较轻的病例偏多,病种亦较少,这就可能引入了选择性偏差,同时有可能造成潜在性的假阴性减少。尽管如此,由于本组病例数相对较大,并使用了单盲法分析,得到的结果应该是较为准确可信的。■
, 百拇医药
作者简介:王伟中,北京医科大学第三临床医学院高级访问学者,原广州军区广州总医院放射科
参考文献:
[1]Price RR. The AAPM/RSNA physics tutorial for residents: Contrast mechanisms in gradient-echo imaging and an introduction to fast imaging. Radiographics, 1995, 15:165
[2]Nitz W. Imaging sequences in magnetic resonance tomography and their clinical application. Electromedica, 1997, 65:8
[3]McGehee M, Kier R, Cohn SM,et al. Comparison of MRI with postcontrast CT for the evaluation of acute abdominal trauma. JCAT, 1993, 17:401
, 百拇医药
[4]Scharf J, Hoffmann V, Lehnert T,et al. Pseudolesions at T1-weighted gradient-echo imaging after administration of superparamagnetic iron oxide: Comparison with portal perfusion abnormalities at CT during arterial portography. Radiology, 1998, 207:67
[5]Kato M, Yokoyama R, Nakamura H. MR imaging versus angiographically assisted helical CT. AJR, 1997, 169:1507
[6]Wallner BK, Schumacher KA, Weidenmaier W,et al. Dilated biliary tract: Evaluation with MR cholangiography with a T2-weighted contrast-enhanced fast sequence. Radiology, 1991, 181:805
, 百拇医药
[7]Guibaud L, Bret PM, Reinhold C,et al. Diagnosis of choledocholithiasis: Value of MR cholangiography. AJR, 1994, 163:847
[8]孙泽民,王守安,王海平,等.磁共振胆胰管成像诊断低位胆系梗阻性疾病的评价.中华放射学杂志, 1998, 32:323
[9]Gregory TS, John B, Frank HM,et al. Comparison of endoscopic retrograde cholangiopancreatography with MR cholangiopancreatography in patients with pancreatitis. Radiology, 1999, 210:605
[10]Ann SF, Mary AT, Gerald WC,et al. Half-Fourier RARE MR cholangio-pancreatography: Experience in 300 subjects. Radiology, 1998, 207:21
收稿日期:1999-06-04, 百拇医药