后纵隔血管肉瘤一例
作者:周山 于四堂 左自军 刘秀民
单位:周山(462300 河南省郾城县人民医院放射科);于四堂(462300 河南省郾城县人民医院放射科);左自军(462300 河南省郾城县人民医院放射科);刘秀民(462300 河南省郾城县人民医院放射科)
关键词:
临床放射学杂志000629 患者 女,36岁。右胸部疼痛2年加重2周,伴胸闷、咳痰,痰中带血丝1周入院。体检:胸廓对称,右侧语颤减弱,叩诊浊音,右中上肺呼吸音弱。实验室检查无异常。
B超检查: 右胸腔巨大不均质实性占位病变。
X线检查: 正位胸片示右中上内侧向胸腔内生长的不规则肿块影占据右胸腔的大部,肿块境界欠清晰,密度不均匀,纵隔内气管略向左移位。
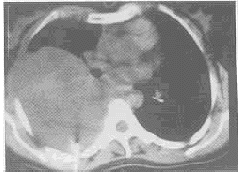
CT检查: 右后纵隔巨大软组织密度肿块,向右胸腔凸入,大小约15.0cm×13.5cm,密度欠均匀,其内可见少量点状钙化影,肿块广基底与后侧胸壁相连,邻近骨质未见明显异常改变,气管、支气管通畅,右主支气管、中上叶支气管向前方移位,纵隔内未见肿大淋巴结,右胸腔少量积液(附图)。俯卧位CT引导下胸穿活检细胞学检查显示细胞有明显异型性。提示:后纵隔恶性肿瘤。
手术所见: 肿瘤位于右上后纵隔,与肺、胸膜、背部肋骨有浸润、粘连,大小20cm×15cm×14cm,形态不规则,无包膜,肉眼观呈鱼肉状,内有出血、坏死区,右胸腔积液100ml。病理诊断: 后纵隔血管肉瘤。
讨论 血管肉瘤是纵隔内少见的一种恶性肿瘤,主要位于前纵隔,也可位于后纵隔。患者常有咳嗽和胸痛等症状,肿块可弥漫浸润到邻近的组织,手术切除困难,术后易复发,预后较差,本例虽经手术切除及放射治疗,但仍于3个月后肿瘤复发及广泛转移而死亡。该病在影像学上无特征性表现,本例肿瘤巨大,凸入右肺野,大部分瘤体位于右胸腔内,易造成肺内病变的假象,导致X线误诊。该病还需要与后纵隔纤维肉瘤、生殖细胞肿瘤、神经源性肿瘤、血管瘤及血管外皮瘤等相鉴别,最终诊断有赖于手术病理检查。
(收稿: 1999-03-09), http://www.100md.com
单位:周山(462300 河南省郾城县人民医院放射科);于四堂(462300 河南省郾城县人民医院放射科);左自军(462300 河南省郾城县人民医院放射科);刘秀民(462300 河南省郾城县人民医院放射科)
关键词:
临床放射学杂志000629 患者 女,36岁。右胸部疼痛2年加重2周,伴胸闷、咳痰,痰中带血丝1周入院。体检:胸廓对称,右侧语颤减弱,叩诊浊音,右中上肺呼吸音弱。实验室检查无异常。
B超检查: 右胸腔巨大不均质实性占位病变。
X线检查: 正位胸片示右中上内侧向胸腔内生长的不规则肿块影占据右胸腔的大部,肿块境界欠清晰,密度不均匀,纵隔内气管略向左移位。
CT检查: 右后纵隔巨大软组织密度肿块,向右胸腔凸入,大小约15.0cm×13.5cm,密度欠均匀,其内可见少量点状钙化影,肿块广基底与后侧胸壁相连,邻近骨质未见明显异常改变,气管、支气管通畅,右主支气管、中上叶支气管向前方移位,纵隔内未见肿大淋巴结,右胸腔少量积液(附图)。俯卧位CT引导下胸穿活检细胞学检查显示细胞有明显异型性。提示:后纵隔恶性肿瘤。
手术所见: 肿瘤位于右上后纵隔,与肺、胸膜、背部肋骨有浸润、粘连,大小20cm×15cm×14cm,形态不规则,无包膜,肉眼观呈鱼肉状,内有出血、坏死区,右胸腔积液100ml。病理诊断: 后纵隔血管肉瘤。
讨论 血管肉瘤是纵隔内少见的一种恶性肿瘤,主要位于前纵隔,也可位于后纵隔。患者常有咳嗽和胸痛等症状,肿块可弥漫浸润到邻近的组织,手术切除困难,术后易复发,预后较差,本例虽经手术切除及放射治疗,但仍于3个月后肿瘤复发及广泛转移而死亡。该病在影像学上无特征性表现,本例肿瘤巨大,凸入右肺野,大部分瘤体位于右胸腔内,易造成肺内病变的假象,导致X线误诊。该病还需要与后纵隔纤维肉瘤、生殖细胞肿瘤、神经源性肿瘤、血管瘤及血管外皮瘤等相鉴别,最终诊断有赖于手术病理检查。
(收稿: 1999-03-09), http://www.100md.com