CR在早期诊断股骨头坏死中的作用
作者:韩英 吴文广 郭谱珍 徐冰 周海
单位:首都医科大学附属北京天坛医院放射科,北京 100050
关键词:股骨头;坏死;CR;X线平片
中国医学影像技术000628[摘 要] 目的 为探讨CR检查在股骨头缺血性坏死早期诊断中的作用。方法 我们对11例13髋股骨头缺血性坏死病人进行了CR检查,并与常规X线平片对照。结果 结果发现两髋Ficat法分期Ⅰ期、一髋Ficat法分期Ⅱa期,以上三髋常规X线平片均不能显示出股骨头异常。其它10髋Ficat法分期Ⅱb-Ⅳ期,CR与常规X线平片相比检出率无差异。结论 CR检查对股骨头缺血性坏死的早期诊断优于常规X线平片,上述结论在推广前有待大样本量的临床研究证实。
[中图分类号] R445.4 R681.8 [文献标识码] A
, 百拇医药
[文章编号] 1003-3289(2000)06-0477-02
The Early Diagnostic Value of the Computed Radiography in
Avascular Necrosis of the Femoral Head
HAN Ying, WU Wen-guang, GUO Po-zhen,et al
(Department Radiology,Tian Tan Hospital,The Capital Medical University, Beijing 100050,China)
[Abstract] Objective To investigate the early diagnostic value of the computed radiography(CR) in avascular necrosis of the femoral head (ANFH). Methods CR was performed in eleven cases of thirteen hips with ANFH.As a comparision, the conventional X-ray films were taken. Results It appeared that abnormalities were illustrated on CR in three out of thirteen hips. In these two hip of Ficat Ⅰ and one hip of FicatⅡa,the conventional X-ray films were normal.No significant difference was found in the other ten hips of Ficat Ⅱb-Ⅳ. Conclusion These results suggest that CR might be a useful tool in the early diagnosis of ANFH.This conclusion deserves a further investigation with a larger sample of patients.
, 百拇医药
[Key words] Femoral head; Necrosis; Computed radiography; X-ray film
不论是创伤性还是非创伤性股骨头缺血性坏死(avascular necrosis of the femoral head; ANFH),一旦发生股骨头顶区塌陷,已属临床晚期,预后较差。由于临床症状例如髋痛和髋关节活动受限不具特异性,临床诊断在很大程度上依赖放射影像学检查。如能早期发现,即在头顶区塌陷之前作出诊断,采取适当治疗措施,是改善髋关节预后的关键。
计算机X线摄影(computed radiography;CR)系统是针对传统的增感屏/胶片组合系统曝光剂量较大,不是数字化信息,故不能进行计算机处理、储存和传输,成像后信息不能处理等缺点,新近发展起来的数字成像装置,实现了平片的数字化。与传统的屏/胶系统比较,CR系统在骨骼肌肉系统的应用中具有以下优越性:①线性检测响应;②提高检测效率;③数字化成像及成像后处理能力。由于CR系统的这些特性,使它在骨骼肌肉系统的显像优于传统的屏/胶技术[1]。我们对11例股骨头缺血性坏死的病人进行了CR检查,并与同期常规的屏/胶平片进行对比,观察其在股骨头缺血性坏死早期诊断中的价值。
, http://www.100md.com
1 资料与方法
1.1 临床资料 本组病人11例13髋,其中男6例,女5例,年龄15~65岁。双侧股骨头缺血性坏死2例,其余9例为单侧股骨头缺血性坏死,伴髋关节半脱位4例。顺序选自1998年10月至1999年7月间,因髋关节疼痛(8例)和髋关节活动受限(5例)的症状来我科进行影像检查的病人。入选条件:临床上有髋痛和髋关节活动受限症状;股骨头骨质疏松,头下囊变、硬化,股骨头塌陷,关节间变窄等X线表现。
1.2 常规X线平片 摄双髋正位与侧位X线平片,图像分析方法见文献[2]。根据Ficat法分期[3]:
0期:临床前期,无临床症状,称静默髋(silent hip),X线检查无异常改变,又称为放射影像学前期。本组0髋属此期。
Ⅰ期:临床早期,此期中50%患者可有髋痛,髋关节活动内旋与外展略受限,X线片正常,仍为放射影像学前期,高质量X线片可见头内稍有散在稀疏区。本组0髋属此期。
, http://www.100md.com
Ⅱ期:又分Ⅱa期,症状明显,X线片显示广泛骨质疏松,散在骨硬化或囊变,但头外形轮廓正常,无塌陷。本组3髋属此期。Ⅱb期,X线片见骨小梁改变,局部硬化或形成向上弧形硬化带,软骨下可见骨稀疏区,头顶塌陷在2mm之内,关节间隙正常。本组2髋属此期。
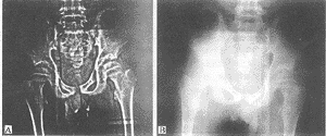
图1 使用CR边缘增强及对比度反转
A. 示左侧股骨头骨骺密度不均匀,关节间隙相对增宽 B. X线片未见异常
图2 A.改变CR对比度示右侧股骨头骨质疏松; B.X线片未见异常
Ⅲ期:塌陷期。临床症状加重。X线片除头内硬化区囊变外,头顶塌陷大于2mm,并且出现新月征,关节间隙正常。本组2髋属此期。
, http://www.100md.com
Ⅳ期:骨关节炎期。髋痛明显,髋关节活动范围明显缩小。X线片显示头顶塌陷,关节间隙变窄。本组3髋属此期。
1.3 CR检查 所有患者均使用日本岛津R-201000mAX线机,使用富士Sp-VA型IP板进行髋正位与侧位摄片。照相条件:成人正位60~66kV,0.25mA,100s,侧位68~74kV,0.32mA,100s;青少年正位58~62kV,0.2mA,100s。经影像处理器Ac-3进行图像处理,由FM-DP2636干式打印机打印。
2 结果和讨论
常规X线平片是诊断股骨头坏死的首选检查,由于它不能显示出Ficat 0~Ⅰ期股骨头坏死,多年来许多学者为解决早期诊断问题进行了大量的研究和探讨[4-6]。骨扫描虽可检出股骨头部吸收增加或减少,但不能鉴别股骨头坏死与其它疾病,例如炎症,感染或肿瘤。骨内压测定或静脉造影系侵入性检查,一般不能作为髋痛的初始检查方法。MRI对早期诊断股骨头缺血性坏死敏感性高达100%。由于价格昂贵,在我国广泛普及受到了限制,本组Ⅰ期2髋经CR检出(表1)。1髋使用CR显像边缘增强及对比度反转,清楚显示出股骨头骨骺密度不均匀,关节间隙相对增宽(图1)。另1髋通过改变CR的对比度,清楚地显示了股骨头骨质疏松(图2)。Ⅱa期1髋通过改变CR的对比度,清楚显示股骨头骨质稀疏及头下小囊变。以上3例在常规X线平片上均未诊断出。其它10髋Ficat法分期Ⅱb~Ⅳ期,CR与常规X线平片相比检出率无差异。以上结果表明CR检查对股骨头缺血性坏死的早期诊断优于常规X线平片。由于本组样本量较小,这项研究未能对CR 早期诊断股骨头坏死的敏感性和特异性进行评价,上述结论在临床应用推广之前,有必要进行较大样本量的临床研究证实。
, 百拇医药
表1 常规X线平片和CR检出率比较 Ficat分期
0期
Ⅰ期
Ⅱa期
Ⅱb期
Ⅲ期
Ⅳ期
X线平片
0
0
3
2
2
, 百拇医药
3
CR
0
2
4
2
2
3
CR的费用与常规X线平片比较,略高于常规平片,但与MRI的价格相比,CR作为常规检查是可以普及的。从这个角度出发,CR是值得进一步研究推广应用的一项X线检查新技术,尤其是在骨骼肌肉系统中的应用。
作者简介:韩英(1966—),女,山东人,90年毕业于天津医科大学医学影像学系,现任北京天坛医院放射科主治医师,主要从事医学影像诊断工作。
, http://www.100md.com
[参考文献]
[1] 祁吉,高野正雄.计算机(X线)摄影[M].北京:人民卫生出版社,1997.78-85.
[2] 上海第一医学院《X线诊断学》编写组.X线诊断学(骨骼部分)[M].上海:上海科学技术出版社,1986.492-493.
[3] Ficat RP.Idiopathic bone necrosis of the femoral head:early diagnosis and treatment[J].J Bone Joint Surg,1985,63:3-9.
[4] Grimm ES,et al.Suggestion for diagnosing avascular necrosis of the hip in 1990s[J].J Osteopath Assoc,1992,92(6):766-770.
[5] 胥少汀.成人股骨头坏死的早期MRI与X线片图像分析诊断[J].中华骨科杂志,1999,19(4):207-209.
[6] Mikkelsen DB,et al.Atraumatic avascular necrosis of the femoral head in adult:diagnosis and treatment[J].Ugeskr-Lageger,1997,159(23):3572-3579.
(收稿日期:2000-01-03), http://www.100md.com
单位:首都医科大学附属北京天坛医院放射科,北京 100050
关键词:股骨头;坏死;CR;X线平片
中国医学影像技术000628[摘 要] 目的 为探讨CR检查在股骨头缺血性坏死早期诊断中的作用。方法 我们对11例13髋股骨头缺血性坏死病人进行了CR检查,并与常规X线平片对照。结果 结果发现两髋Ficat法分期Ⅰ期、一髋Ficat法分期Ⅱa期,以上三髋常规X线平片均不能显示出股骨头异常。其它10髋Ficat法分期Ⅱb-Ⅳ期,CR与常规X线平片相比检出率无差异。结论 CR检查对股骨头缺血性坏死的早期诊断优于常规X线平片,上述结论在推广前有待大样本量的临床研究证实。
[中图分类号] R445.4 R681.8 [文献标识码] A
, 百拇医药
[文章编号] 1003-3289(2000)06-0477-02
The Early Diagnostic Value of the Computed Radiography in
Avascular Necrosis of the Femoral Head
HAN Ying, WU Wen-guang, GUO Po-zhen,et al
(Department Radiology,Tian Tan Hospital,The Capital Medical University, Beijing 100050,China)
[Abstract] Objective To investigate the early diagnostic value of the computed radiography(CR) in avascular necrosis of the femoral head (ANFH). Methods CR was performed in eleven cases of thirteen hips with ANFH.As a comparision, the conventional X-ray films were taken. Results It appeared that abnormalities were illustrated on CR in three out of thirteen hips. In these two hip of Ficat Ⅰ and one hip of FicatⅡa,the conventional X-ray films were normal.No significant difference was found in the other ten hips of Ficat Ⅱb-Ⅳ. Conclusion These results suggest that CR might be a useful tool in the early diagnosis of ANFH.This conclusion deserves a further investigation with a larger sample of patients.
, 百拇医药
[Key words] Femoral head; Necrosis; Computed radiography; X-ray film
不论是创伤性还是非创伤性股骨头缺血性坏死(avascular necrosis of the femoral head; ANFH),一旦发生股骨头顶区塌陷,已属临床晚期,预后较差。由于临床症状例如髋痛和髋关节活动受限不具特异性,临床诊断在很大程度上依赖放射影像学检查。如能早期发现,即在头顶区塌陷之前作出诊断,采取适当治疗措施,是改善髋关节预后的关键。
计算机X线摄影(computed radiography;CR)系统是针对传统的增感屏/胶片组合系统曝光剂量较大,不是数字化信息,故不能进行计算机处理、储存和传输,成像后信息不能处理等缺点,新近发展起来的数字成像装置,实现了平片的数字化。与传统的屏/胶系统比较,CR系统在骨骼肌肉系统的应用中具有以下优越性:①线性检测响应;②提高检测效率;③数字化成像及成像后处理能力。由于CR系统的这些特性,使它在骨骼肌肉系统的显像优于传统的屏/胶技术[1]。我们对11例股骨头缺血性坏死的病人进行了CR检查,并与同期常规的屏/胶平片进行对比,观察其在股骨头缺血性坏死早期诊断中的价值。
, http://www.100md.com
1 资料与方法
1.1 临床资料 本组病人11例13髋,其中男6例,女5例,年龄15~65岁。双侧股骨头缺血性坏死2例,其余9例为单侧股骨头缺血性坏死,伴髋关节半脱位4例。顺序选自1998年10月至1999年7月间,因髋关节疼痛(8例)和髋关节活动受限(5例)的症状来我科进行影像检查的病人。入选条件:临床上有髋痛和髋关节活动受限症状;股骨头骨质疏松,头下囊变、硬化,股骨头塌陷,关节间变窄等X线表现。
1.2 常规X线平片 摄双髋正位与侧位X线平片,图像分析方法见文献[2]。根据Ficat法分期[3]:
0期:临床前期,无临床症状,称静默髋(silent hip),X线检查无异常改变,又称为放射影像学前期。本组0髋属此期。
Ⅰ期:临床早期,此期中50%患者可有髋痛,髋关节活动内旋与外展略受限,X线片正常,仍为放射影像学前期,高质量X线片可见头内稍有散在稀疏区。本组0髋属此期。
, http://www.100md.com
Ⅱ期:又分Ⅱa期,症状明显,X线片显示广泛骨质疏松,散在骨硬化或囊变,但头外形轮廓正常,无塌陷。本组3髋属此期。Ⅱb期,X线片见骨小梁改变,局部硬化或形成向上弧形硬化带,软骨下可见骨稀疏区,头顶塌陷在2mm之内,关节间隙正常。本组2髋属此期。
图1 使用CR边缘增强及对比度反转
A. 示左侧股骨头骨骺密度不均匀,关节间隙相对增宽 B. X线片未见异常
图2 A.改变CR对比度示右侧股骨头骨质疏松; B.X线片未见异常
Ⅲ期:塌陷期。临床症状加重。X线片除头内硬化区囊变外,头顶塌陷大于2mm,并且出现新月征,关节间隙正常。本组2髋属此期。
, http://www.100md.com
Ⅳ期:骨关节炎期。髋痛明显,髋关节活动范围明显缩小。X线片显示头顶塌陷,关节间隙变窄。本组3髋属此期。
1.3 CR检查 所有患者均使用日本岛津R-201000mAX线机,使用富士Sp-VA型IP板进行髋正位与侧位摄片。照相条件:成人正位60~66kV,0.25mA,100s,侧位68~74kV,0.32mA,100s;青少年正位58~62kV,0.2mA,100s。经影像处理器Ac-3进行图像处理,由FM-DP2636干式打印机打印。
2 结果和讨论
常规X线平片是诊断股骨头坏死的首选检查,由于它不能显示出Ficat 0~Ⅰ期股骨头坏死,多年来许多学者为解决早期诊断问题进行了大量的研究和探讨[4-6]。骨扫描虽可检出股骨头部吸收增加或减少,但不能鉴别股骨头坏死与其它疾病,例如炎症,感染或肿瘤。骨内压测定或静脉造影系侵入性检查,一般不能作为髋痛的初始检查方法。MRI对早期诊断股骨头缺血性坏死敏感性高达100%。由于价格昂贵,在我国广泛普及受到了限制,本组Ⅰ期2髋经CR检出(表1)。1髋使用CR显像边缘增强及对比度反转,清楚显示出股骨头骨骺密度不均匀,关节间隙相对增宽(图1)。另1髋通过改变CR的对比度,清楚地显示了股骨头骨质疏松(图2)。Ⅱa期1髋通过改变CR的对比度,清楚显示股骨头骨质稀疏及头下小囊变。以上3例在常规X线平片上均未诊断出。其它10髋Ficat法分期Ⅱb~Ⅳ期,CR与常规X线平片相比检出率无差异。以上结果表明CR检查对股骨头缺血性坏死的早期诊断优于常规X线平片。由于本组样本量较小,这项研究未能对CR 早期诊断股骨头坏死的敏感性和特异性进行评价,上述结论在临床应用推广之前,有必要进行较大样本量的临床研究证实。
, 百拇医药
表1 常规X线平片和CR检出率比较 Ficat分期
0期
Ⅰ期
Ⅱa期
Ⅱb期
Ⅲ期
Ⅳ期
X线平片
0
0
3
2
2
, 百拇医药
3
CR
0
2
4
2
2
3
CR的费用与常规X线平片比较,略高于常规平片,但与MRI的价格相比,CR作为常规检查是可以普及的。从这个角度出发,CR是值得进一步研究推广应用的一项X线检查新技术,尤其是在骨骼肌肉系统中的应用。
作者简介:韩英(1966—),女,山东人,90年毕业于天津医科大学医学影像学系,现任北京天坛医院放射科主治医师,主要从事医学影像诊断工作。
, http://www.100md.com
[参考文献]
[1] 祁吉,高野正雄.计算机(X线)摄影[M].北京:人民卫生出版社,1997.78-85.
[2] 上海第一医学院《X线诊断学》编写组.X线诊断学(骨骼部分)[M].上海:上海科学技术出版社,1986.492-493.
[3] Ficat RP.Idiopathic bone necrosis of the femoral head:early diagnosis and treatment[J].J Bone Joint Surg,1985,63:3-9.
[4] Grimm ES,et al.Suggestion for diagnosing avascular necrosis of the hip in 1990s[J].J Osteopath Assoc,1992,92(6):766-770.
[5] 胥少汀.成人股骨头坏死的早期MRI与X线片图像分析诊断[J].中华骨科杂志,1999,19(4):207-209.
[6] Mikkelsen DB,et al.Atraumatic avascular necrosis of the femoral head in adult:diagnosis and treatment[J].Ugeskr-Lageger,1997,159(23):3572-3579.
(收稿日期:2000-01-03), http://www.100md.com