恶性间叶瘤
作者:杜明 李秀荣 刘广田 齐桂娟
单位:杜明 李秀荣 刘广田 齐桂娟(黑龙江省人民医院病理科,哈尔滨 150036)
关键词:恶性间叶肿瘤;软骨肉瘤;恶纤组;纤维肉瘤
临床与实验病理学杂志990328分类号 R738.6 文献标识码 A
文章编号 1001-7399(1999)03-0262-01
1 临床资料
患者女,56岁。发现左胸背痛、咳嗽20余天,左下肢无力1周。胸部CT:示双肺上叶多个球形病灶,左壁层胸膜见数个结节影,左肺下叶见一3 cm×3 cm致密影,T8、T9旁骶棘肌影增大。胸椎MRI:示T4、T9、T10椎旁及椎体转移性病变。生化检查:碱性磷酸酶增高128 IU。L-1(参考值10~112 IU。L-1),1998年9月25日在B超引导下施左侧胸膜及左胸壁肿物活检。病理诊断:胸膜活检未见异常,胸壁活检见软骨样细胞,细胞有异型。胸背部脊柱左侧第8、9、10肋处肿胀、波动征(-)、压痛(+),T8、T9棘突处压痛(+)。神经系统:剑突与脐连线中点以下皮肤感觉减弱,左下肢肌力3级,右下肢肌力4级。1998年10月5日行左胸背部肿物切除术。术后病情恶化,患者死亡。
, 百拇医药
2 病理检查
2.1 肉眼检查 不规则形肿物1枚,约7 cm×7 cm×3 cm,表面附有少许肌肉及筋膜,切面呈实性、灰白色及灰红色,质稍软、脆,较细腻、无包膜。
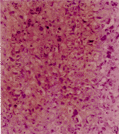
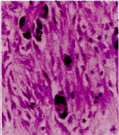
2.2 镜下观察 部分肿瘤组织呈分叶状由肿瘤性软骨细胞及软骨基质构成,软骨细胞在小叶边缘处较密集,中央稀疏,软骨细胞核大、异型性明显,核分裂象多见,呈软骨肉瘤改变(图1)。部分肿瘤可见肥胖的梭形细胞,呈编织状及车辐状排列,其中见大量多核瘤巨细胞,巨细胞胞浆呈强嗜酸性,其中可见少量淋巴细胞、嗜酸性粒细胞散在,瘤巨细胞异型性明显,可见核分裂象,呈恶性纤维组织细胞瘤改变(图2)。还有部分组织为单纯肥胖梭形细胞,编织状排列,核异型明显,呈纤维肉瘤样改变(图3)。
图1 恶性间叶瘤的软骨肉瘤部分。HE×400
, 百拇医药
图2 恶性间叶瘤的恶性纤维组织细胞瘤部分。HE×400
图3 恶性间叶瘤的纤维肉瘤部分。HE×400
2.3 免疫组织化学染色 S-P法,试剂为福州迈新公司产品。软骨肉瘤样组织中NSE(+),ESA(-),vimentin(+),S-100(+),p53(+)(阳性细胞数>25%);恶纤组样组织中NSE(+)、ESA(-)、vimentin(+)、S-100(+)、p53(-)(阳性细胞数未见);纤维肉瘤样组织中NSE(+),ESA(-),vimen
tin(+),S-100(+),p53(-)(阳性细胞数未见)。
3 讨论
恶性间叶瘤罕见,可发生于四肢、躯干、腹膜后、胃肠道、胸膜、肺等处,见于任何年龄,男女发病率无明显差异。关于本病的组织发生有两种看法:一种认为是属于间胚叶组织的发育形成障碍或停留于不成熟的阶段。另一种认为是不同种类肉瘤的混合瘤,是间胚叶细胞通过化生及再生后向多种间胚叶组织转变的表现。肿瘤具有多种肉瘤成分,这可能是间胚叶组织受到某种损害刺激后引起恶变的结果。肿瘤生长较快、界限不清、无包膜,切面结构及色泽多样、常有坏死、出血及囊性变。肿瘤除纤维肉瘤成分外,尚有其他多种肉瘤成分,常为脂肪肉瘤、横纹肌肉瘤、神经纤维肉瘤等。较少见软骨肉瘤及骨肉瘤成分。而本例的软骨肉瘤和恶纤组是两种极少见的成分。刘彤华主编在《诊断病理学》中强调指出,只有除外纤维肉瘤,其它两种以上成分都较突出,至少要占20%以上者方可考虑为恶性间叶瘤。本例软骨肉瘤成分约占50%、纤维肉瘤成分约占30%、恶纤组成分约占20%。免疫组化支持HE染色、光镜诊断。软骨肉瘤组织p53染色高度表达,提示恶性度高,而其它两种成分p53低度表达,血碱性磷酸酶偏高,胸椎有浸润破坏、肺部广泛性转移,病人病情进展快、手术不易切净、截瘫症状渐进性加重。本例胸壁恶性间叶瘤高度恶性,病情凶险。本例穿刺活检已见到部分软骨样细胞,细胞有异型,但因该瘤罕见,组织较少,未能先期诊断。这再一次提醒我们在外科病理诊断中,注意对多种间叶成分恶性肿瘤进行正确诊断。
收稿日期:1998-11-02, http://www.100md.com
单位:杜明 李秀荣 刘广田 齐桂娟(黑龙江省人民医院病理科,哈尔滨 150036)
关键词:恶性间叶肿瘤;软骨肉瘤;恶纤组;纤维肉瘤
临床与实验病理学杂志990328分类号 R738.6 文献标识码 A
文章编号 1001-7399(1999)03-0262-01
1 临床资料
患者女,56岁。发现左胸背痛、咳嗽20余天,左下肢无力1周。胸部CT:示双肺上叶多个球形病灶,左壁层胸膜见数个结节影,左肺下叶见一3 cm×3 cm致密影,T8、T9旁骶棘肌影增大。胸椎MRI:示T4、T9、T10椎旁及椎体转移性病变。生化检查:碱性磷酸酶增高128 IU。L-1(参考值10~112 IU。L-1),1998年9月25日在B超引导下施左侧胸膜及左胸壁肿物活检。病理诊断:胸膜活检未见异常,胸壁活检见软骨样细胞,细胞有异型。胸背部脊柱左侧第8、9、10肋处肿胀、波动征(-)、压痛(+),T8、T9棘突处压痛(+)。神经系统:剑突与脐连线中点以下皮肤感觉减弱,左下肢肌力3级,右下肢肌力4级。1998年10月5日行左胸背部肿物切除术。术后病情恶化,患者死亡。
, 百拇医药
2 病理检查
2.1 肉眼检查 不规则形肿物1枚,约7 cm×7 cm×3 cm,表面附有少许肌肉及筋膜,切面呈实性、灰白色及灰红色,质稍软、脆,较细腻、无包膜。
2.2 镜下观察 部分肿瘤组织呈分叶状由肿瘤性软骨细胞及软骨基质构成,软骨细胞在小叶边缘处较密集,中央稀疏,软骨细胞核大、异型性明显,核分裂象多见,呈软骨肉瘤改变(图1)。部分肿瘤可见肥胖的梭形细胞,呈编织状及车辐状排列,其中见大量多核瘤巨细胞,巨细胞胞浆呈强嗜酸性,其中可见少量淋巴细胞、嗜酸性粒细胞散在,瘤巨细胞异型性明显,可见核分裂象,呈恶性纤维组织细胞瘤改变(图2)。还有部分组织为单纯肥胖梭形细胞,编织状排列,核异型明显,呈纤维肉瘤样改变(图3)。
图1 恶性间叶瘤的软骨肉瘤部分。HE×400
, 百拇医药
图2 恶性间叶瘤的恶性纤维组织细胞瘤部分。HE×400
图3 恶性间叶瘤的纤维肉瘤部分。HE×400
2.3 免疫组织化学染色 S-P法,试剂为福州迈新公司产品。软骨肉瘤样组织中NSE(+),ESA(-),vimentin(+),S-100(+),p53(+)(阳性细胞数>25%);恶纤组样组织中NSE(+)、ESA(-)、vimentin(+)、S-100(+)、p53(-)(阳性细胞数未见);纤维肉瘤样组织中NSE(+),ESA(-),vimen
tin(+),S-100(+),p53(-)(阳性细胞数未见)。
3 讨论
恶性间叶瘤罕见,可发生于四肢、躯干、腹膜后、胃肠道、胸膜、肺等处,见于任何年龄,男女发病率无明显差异。关于本病的组织发生有两种看法:一种认为是属于间胚叶组织的发育形成障碍或停留于不成熟的阶段。另一种认为是不同种类肉瘤的混合瘤,是间胚叶细胞通过化生及再生后向多种间胚叶组织转变的表现。肿瘤具有多种肉瘤成分,这可能是间胚叶组织受到某种损害刺激后引起恶变的结果。肿瘤生长较快、界限不清、无包膜,切面结构及色泽多样、常有坏死、出血及囊性变。肿瘤除纤维肉瘤成分外,尚有其他多种肉瘤成分,常为脂肪肉瘤、横纹肌肉瘤、神经纤维肉瘤等。较少见软骨肉瘤及骨肉瘤成分。而本例的软骨肉瘤和恶纤组是两种极少见的成分。刘彤华主编在《诊断病理学》中强调指出,只有除外纤维肉瘤,其它两种以上成分都较突出,至少要占20%以上者方可考虑为恶性间叶瘤。本例软骨肉瘤成分约占50%、纤维肉瘤成分约占30%、恶纤组成分约占20%。免疫组化支持HE染色、光镜诊断。软骨肉瘤组织p53染色高度表达,提示恶性度高,而其它两种成分p53低度表达,血碱性磷酸酶偏高,胸椎有浸润破坏、肺部广泛性转移,病人病情进展快、手术不易切净、截瘫症状渐进性加重。本例胸壁恶性间叶瘤高度恶性,病情凶险。本例穿刺活检已见到部分软骨样细胞,细胞有异型,但因该瘤罕见,组织较少,未能先期诊断。这再一次提醒我们在外科病理诊断中,注意对多种间叶成分恶性肿瘤进行正确诊断。
收稿日期:1998-11-02, http://www.100md.com