通心络胶囊对实验性心肌缺血再灌注损伤保护作用的实验研究
作者:赵明中 高承梅 张宇洋
单位:赵明中(首都医科大学宣武医院,北京 100053);高承梅(首都医科大学宣武医院,北京 100053) ;张宇洋(首都医科大学宣武医院,北京 100053)
关键词:心肌缺血再灌注损伤;通心络胶囊;大鼠
中国中医基础医学杂志000113 摘要:目的:观察通心络胶囊对大鼠心肌缺血再灌注损伤的干预影响。方法:以穿线结扎左冠脉制备心肌缺血再灌注模型,48只大鼠随机分成假手术组、心肌缺血再灌注组及通心络胶囊干预组,检测各组心肌梗死范围、血浆肌酸激酶(CK)活性及心肌组织病理学变化。结果:心肌缺血再灌注后心肌梗死范围明显,血浆CK活性增高,心肌细胞坏死增多。通心络胶囊干预后心肌梗死范围缩小,血浆CK活性下降,心肌坏死程度较轻。结论:通心络胶囊可缩小大鼠缺血再灌注后心肌梗死范围,降低血浆CK水平,对缺血再灌注心肌有保护作用。
, 百拇医药
中图分类号:R285.5 文献标识码:B
文章编号:1006-3250(2000)01-0070-02
Experimental study in protective action of Tong xin luo
Capsule on myocardial ischemia/reperfusion injury.
ZHAO Ming-zhong GAO Chen-mei ZHANG Yu-yang
(Department of Cardiology,Xuan Wu Hospital,Cpital university of Medical sciences,Beijing,100053)
, 百拇医药
Abstract:Objectives:To study the effect of Tong xin luo capsule(TXLC)on myocardial ischemia reperfusion(MIR)injury.Methods:MIR model was made by occuluding the left coronary artery with a snare.48 rats were divided randomly into sham-operated group,MIR group and TXLC group.myocardial infarct size,Serum CK level and the changes of myocardial histopathology were determined in each group.Results:Myocardial infarct size enlarged and serum CK level elevated and the number of myocyte necrotic cell in creased in MIR group.but they were all decreased repectively in TXLC group.Conclusion:TXLC may decrease the infarct size and lower CK level,which has protective effect on ischemic/reperfused myocardium.
, http://www.100md.com
Key words:myocardial ischemia/reperfusion injury Tong xin luo capsule Rats
通过络胶囊是由人参、水蛭、全蝎、土鳖虫、赤芍等中药根据中医络病理论研制而成的复方制剂,具有益气活血、通络止痛的作用。临床研究其对缺血性心脏病、心绞痛具有良好的疗效[1]。为探讨其作用机制,本研究观察通心络胶囊对大鼠实验性心肌缺血再灌注损伤的干预影响。
材料与方法
1 实验动物及药物
健康雄性Wistar大鼠,体重310g±40g(由卫生部中国药品与生物制品检定所提供),通心络胶囊干粉(1.43 g生药/g干粉)由河北省石家庄新技术开发区医药研究所提供。
2 实验方法
, http://www.100md.com
2.1 大鼠心肌缺血再灌注模型
参照文献[2],以穿线结扎及结扎后松扎左冠状动脉主干制备心肌缺血与再灌注模型;仅穿线而未结扎者为假手术模型。
2.2 实验分组
大鼠随机分成:(1)假手术组,每天以生理盐水4 ml/kg,连续灌胃5d后行假手术7 h;(2)心肌缺血再灌注组,以上述方法灌胃5d后行心肌缺血1 h,再灌注6h;(3)通心络胶囊干预组,通心络胶囊剂量1.0g/kg,溶于生理盐水中,以4 ml/kg连续灌胃5d后行心肌缺血1 h,再灌注6 h。
2.3 心肌梗死范围的测定(每组大鼠8只)
实验结束前再次结扎左冠脉,于左室内注入适量1%伊文氏蓝,取出心脏标本以PBS漂洗,去除心房及右室组织,将心脏横断面切成2 mm切片,置于1%TTC染液中染色20 min(37℃)。剪下心肌缺血危险区(伊文氏蓝未染区)及梗死区(TTC未染区),以称重法分别计算其重量,心肌梗死范围大小以梗死区重量分别占缺血危险区及左室总重量的百分比表示。
, http://www.100md.com
2.4 肌酸激酶(CK)活性的测定
于上述各组实验结束前抽取大鼠外周静脉血(肝素抗凝)0.5 ml,离心后取上清液,用南京普医CK-NAC片状试剂及Backman生化分析仪测定CK活性。
2.5 心肌组织病理学检查(每组大鼠8只)
心肌标本经常规石蜡包埋,切片HE染色分析。
3 统计学处理
所有数据以均数±标准差(x±s)表示,两组间比较用t检验。
结果
1 心肌梗死范围变化
假手术组心肌组织未见心肌梗死现象,心肌缺血再灌注组心肌梗死范围明显,通心络胶囊干预组心肌梗死范围缩小(附表)。
, 百拇医药
附表 各组心肌梗死范围及肌酸激酶活性变化(x±s) 组 别
梗死区重量/左室重量(%)
梗死区重量/缺血危险区重量(%)
血浆肌酸激酶(u)
假手术组
0
0
427±18.5*
心肌缺血再灌注组
37.6±6.4
56.6±7.9
, 百拇医药
1693±68.9
通心络胶囊干预组
28.4±5.1*
47.8±7.2*
1067±42.3*△
注:与心肌缺血再灌注组比较:*P<0.01;与假手术组比较:△P<0.01。 2 肌酸激酶活性变化
假手术组血浆肌酸激酶活性较低,心肌缺血再灌注后血浆CK活性明显升高。通心络胶囊干预后,其CK活性显著下降(附表)。
3 心肌组织病理学分析
, http://www.100md.com
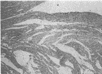
HE染色见假手术组心肌组织无明显变性、坏死等改变;缺血再灌注组有部分心肌细胞浊肿、心肌纤维横纹不清或消失,缺血中心区心肌细胞坏死、核溶解,坏死周边区有炎性细胞浸润(图1);通心络胶囊干预组也有心肌细胞变性与坏死改变,但程度较轻,心肌坏死范围较小,坏死周边区炎性细胞浸润明显减少(图2)。
图1 心肌缺血1 h,再灌注6 h的心肌组织,HE染色×400
图2 通心络胶囊干预组心肌组织,HE染色×400
讨论
心肌缺血一定时间后可引起心肌细胞损伤,早期再灌注虽可挽救部分濒临死亡的细胞,但再灌注本身也可加重心肌损害,其中以心肌细胞死亡为心肌缺血再灌注后较为严重的损伤形式[3]。研究认为,心肌缺血再灌注所致的细胞钙超载与氧自由基产生的增多与心肌损伤的关系较为密切[4、5]。
, 百拇医药
本研究显示,大鼠心肌缺血1 h再灌注6 h后,TTC染色心肌梗死范围明显,光镜下心肌组织有明显的心肌细胞变性、坏死变化,且坏死区周围有炎性细胞浸润,表明缺血再灌注过程导致了大鼠心肌组织的病理损伤,血浆肌酸激酶活性显著上升,更进一步佐证了缺血再灌注后有部分心肌细胞坏死。以通心络胶囊干预心肌缺血再灌注后,上述变化均明显减轻,提示通心络胶囊对心肌缺血再灌注损伤,尤其是心肌细胞坏死具有一定的保护作用,这与文献报道的通心络胶囊对实验性犬急性心肌缺血有明显的改善效应,且缩小心肌梗死范围的结论一致[6]。通心络胶囊中以益气药(如人参)及多种虫类通络药并用,其具有补益心气、活血通络的功效,可能有助于促进心脏的侧枝循环,增加缺血区供血,改善微循环障碍。已有文献证实,通心络胶囊可扩张冠脉血管,增加冠脉血流量,并提高左心室作功[7]。可见通心络胶囊减轻大鼠实验性心肌缺血再灌注损伤可能与其抗心肌缺血,改善冠脉循环状态有一定关系。
本研究表明,通心络胶囊可缩小大鼠心肌缺血再灌注后心肌梗死范围,降低血浆CK水平,对缺血再灌注心肌有显著的保护作用。
, 百拇医药
参考文献
[1]徐贵成,高容林,吴以岭,等.通心络胶囊治疗冠心病心绞痛的临床研究.中国中西医结合杂志,1997,17(7):414-416.
[2]赵明中,陈运贞.大鼠心肌缺血再灌注时血浆一氧化氮水平的动态变化及其意义.重庆医科大学学报,1998,23(3):245-247.
[3]Kloner RA,Przyklenk K.Cardiovasc Res,1993,27:162-166.
[4]Wrzotkowal T,et al.Ultra stuctural studies on the vitamin D induced heart lesions in the rat.J.Mol Cell Cardiol,1980,12(10):1117.
, 百拇医药 [5]Tanaka M,et al.J Mol Cell Cardiol,1993,25:367-378.
[6]刘建勋,尚晓泓,王 刚,等.通心络胶囊对实验性心肌缺血、心律失常及实验性高脂血症的影响.中国中西医结合杂志,1997,17(7):425-428.
[7]尚晓泓,王 刚,刘建勋,等.通心络胶囊对犬心脏血流动力学及心肌耗氧量的影响.中国中西医结合杂志,1997,17(8):487-489.
收稿日期:1999-06-21
修回日期:1999-08-12, http://www.100md.com
单位:赵明中(首都医科大学宣武医院,北京 100053);高承梅(首都医科大学宣武医院,北京 100053) ;张宇洋(首都医科大学宣武医院,北京 100053)
关键词:心肌缺血再灌注损伤;通心络胶囊;大鼠
中国中医基础医学杂志000113 摘要:目的:观察通心络胶囊对大鼠心肌缺血再灌注损伤的干预影响。方法:以穿线结扎左冠脉制备心肌缺血再灌注模型,48只大鼠随机分成假手术组、心肌缺血再灌注组及通心络胶囊干预组,检测各组心肌梗死范围、血浆肌酸激酶(CK)活性及心肌组织病理学变化。结果:心肌缺血再灌注后心肌梗死范围明显,血浆CK活性增高,心肌细胞坏死增多。通心络胶囊干预后心肌梗死范围缩小,血浆CK活性下降,心肌坏死程度较轻。结论:通心络胶囊可缩小大鼠缺血再灌注后心肌梗死范围,降低血浆CK水平,对缺血再灌注心肌有保护作用。
, 百拇医药
中图分类号:R285.5 文献标识码:B
文章编号:1006-3250(2000)01-0070-02
Experimental study in protective action of Tong xin luo
Capsule on myocardial ischemia/reperfusion injury.
ZHAO Ming-zhong GAO Chen-mei ZHANG Yu-yang
(Department of Cardiology,Xuan Wu Hospital,Cpital university of Medical sciences,Beijing,100053)
, 百拇医药
Abstract:Objectives:To study the effect of Tong xin luo capsule(TXLC)on myocardial ischemia reperfusion(MIR)injury.Methods:MIR model was made by occuluding the left coronary artery with a snare.48 rats were divided randomly into sham-operated group,MIR group and TXLC group.myocardial infarct size,Serum CK level and the changes of myocardial histopathology were determined in each group.Results:Myocardial infarct size enlarged and serum CK level elevated and the number of myocyte necrotic cell in creased in MIR group.but they were all decreased repectively in TXLC group.Conclusion:TXLC may decrease the infarct size and lower CK level,which has protective effect on ischemic/reperfused myocardium.
, http://www.100md.com
Key words:myocardial ischemia/reperfusion injury Tong xin luo capsule Rats
通过络胶囊是由人参、水蛭、全蝎、土鳖虫、赤芍等中药根据中医络病理论研制而成的复方制剂,具有益气活血、通络止痛的作用。临床研究其对缺血性心脏病、心绞痛具有良好的疗效[1]。为探讨其作用机制,本研究观察通心络胶囊对大鼠实验性心肌缺血再灌注损伤的干预影响。
材料与方法
1 实验动物及药物
健康雄性Wistar大鼠,体重310g±40g(由卫生部中国药品与生物制品检定所提供),通心络胶囊干粉(1.43 g生药/g干粉)由河北省石家庄新技术开发区医药研究所提供。
2 实验方法
, http://www.100md.com
2.1 大鼠心肌缺血再灌注模型
参照文献[2],以穿线结扎及结扎后松扎左冠状动脉主干制备心肌缺血与再灌注模型;仅穿线而未结扎者为假手术模型。
2.2 实验分组
大鼠随机分成:(1)假手术组,每天以生理盐水4 ml/kg,连续灌胃5d后行假手术7 h;(2)心肌缺血再灌注组,以上述方法灌胃5d后行心肌缺血1 h,再灌注6h;(3)通心络胶囊干预组,通心络胶囊剂量1.0g/kg,溶于生理盐水中,以4 ml/kg连续灌胃5d后行心肌缺血1 h,再灌注6 h。
2.3 心肌梗死范围的测定(每组大鼠8只)
实验结束前再次结扎左冠脉,于左室内注入适量1%伊文氏蓝,取出心脏标本以PBS漂洗,去除心房及右室组织,将心脏横断面切成2 mm切片,置于1%TTC染液中染色20 min(37℃)。剪下心肌缺血危险区(伊文氏蓝未染区)及梗死区(TTC未染区),以称重法分别计算其重量,心肌梗死范围大小以梗死区重量分别占缺血危险区及左室总重量的百分比表示。
, http://www.100md.com
2.4 肌酸激酶(CK)活性的测定
于上述各组实验结束前抽取大鼠外周静脉血(肝素抗凝)0.5 ml,离心后取上清液,用南京普医CK-NAC片状试剂及Backman生化分析仪测定CK活性。
2.5 心肌组织病理学检查(每组大鼠8只)
心肌标本经常规石蜡包埋,切片HE染色分析。
3 统计学处理
所有数据以均数±标准差(x±s)表示,两组间比较用t检验。
结果
1 心肌梗死范围变化
假手术组心肌组织未见心肌梗死现象,心肌缺血再灌注组心肌梗死范围明显,通心络胶囊干预组心肌梗死范围缩小(附表)。
, 百拇医药
附表 各组心肌梗死范围及肌酸激酶活性变化(x±s) 组 别
梗死区重量/左室重量(%)
梗死区重量/缺血危险区重量(%)
血浆肌酸激酶(u)
假手术组
0
0
427±18.5*
心肌缺血再灌注组
37.6±6.4
56.6±7.9
, 百拇医药
1693±68.9
通心络胶囊干预组
28.4±5.1*
47.8±7.2*
1067±42.3*△
注:与心肌缺血再灌注组比较:*P<0.01;与假手术组比较:△P<0.01。 2 肌酸激酶活性变化
假手术组血浆肌酸激酶活性较低,心肌缺血再灌注后血浆CK活性明显升高。通心络胶囊干预后,其CK活性显著下降(附表)。
3 心肌组织病理学分析
, http://www.100md.com
HE染色见假手术组心肌组织无明显变性、坏死等改变;缺血再灌注组有部分心肌细胞浊肿、心肌纤维横纹不清或消失,缺血中心区心肌细胞坏死、核溶解,坏死周边区有炎性细胞浸润(图1);通心络胶囊干预组也有心肌细胞变性与坏死改变,但程度较轻,心肌坏死范围较小,坏死周边区炎性细胞浸润明显减少(图2)。
图1 心肌缺血1 h,再灌注6 h的心肌组织,HE染色×400
图2 通心络胶囊干预组心肌组织,HE染色×400
讨论
心肌缺血一定时间后可引起心肌细胞损伤,早期再灌注虽可挽救部分濒临死亡的细胞,但再灌注本身也可加重心肌损害,其中以心肌细胞死亡为心肌缺血再灌注后较为严重的损伤形式[3]。研究认为,心肌缺血再灌注所致的细胞钙超载与氧自由基产生的增多与心肌损伤的关系较为密切[4、5]。
, 百拇医药
本研究显示,大鼠心肌缺血1 h再灌注6 h后,TTC染色心肌梗死范围明显,光镜下心肌组织有明显的心肌细胞变性、坏死变化,且坏死区周围有炎性细胞浸润,表明缺血再灌注过程导致了大鼠心肌组织的病理损伤,血浆肌酸激酶活性显著上升,更进一步佐证了缺血再灌注后有部分心肌细胞坏死。以通心络胶囊干预心肌缺血再灌注后,上述变化均明显减轻,提示通心络胶囊对心肌缺血再灌注损伤,尤其是心肌细胞坏死具有一定的保护作用,这与文献报道的通心络胶囊对实验性犬急性心肌缺血有明显的改善效应,且缩小心肌梗死范围的结论一致[6]。通心络胶囊中以益气药(如人参)及多种虫类通络药并用,其具有补益心气、活血通络的功效,可能有助于促进心脏的侧枝循环,增加缺血区供血,改善微循环障碍。已有文献证实,通心络胶囊可扩张冠脉血管,增加冠脉血流量,并提高左心室作功[7]。可见通心络胶囊减轻大鼠实验性心肌缺血再灌注损伤可能与其抗心肌缺血,改善冠脉循环状态有一定关系。
本研究表明,通心络胶囊可缩小大鼠心肌缺血再灌注后心肌梗死范围,降低血浆CK水平,对缺血再灌注心肌有显著的保护作用。
, 百拇医药
参考文献
[1]徐贵成,高容林,吴以岭,等.通心络胶囊治疗冠心病心绞痛的临床研究.中国中西医结合杂志,1997,17(7):414-416.
[2]赵明中,陈运贞.大鼠心肌缺血再灌注时血浆一氧化氮水平的动态变化及其意义.重庆医科大学学报,1998,23(3):245-247.
[3]Kloner RA,Przyklenk K.Cardiovasc Res,1993,27:162-166.
[4]Wrzotkowal T,et al.Ultra stuctural studies on the vitamin D induced heart lesions in the rat.J.Mol Cell Cardiol,1980,12(10):1117.
, 百拇医药 [5]Tanaka M,et al.J Mol Cell Cardiol,1993,25:367-378.
[6]刘建勋,尚晓泓,王 刚,等.通心络胶囊对实验性心肌缺血、心律失常及实验性高脂血症的影响.中国中西医结合杂志,1997,17(7):425-428.
[7]尚晓泓,王 刚,刘建勋,等.通心络胶囊对犬心脏血流动力学及心肌耗氧量的影响.中国中西医结合杂志,1997,17(8):487-489.
收稿日期:1999-06-21
修回日期:1999-08-12, http://www.100md.com