氨基糖甙类抗生素致聋家系线粒体DNA 1555G点突变分析
作者:袁慧军 姜泗长 杨伟炎 郭维维 曹菊阳 杨卫平 戴朴
单位:100853 北京 解放军总医院耳鼻咽喉科
关键词:听力障碍;DNA;线粒体;基因;遗传学;生物化学;抗生素类;氨基糖苷
中华耳鼻咽喉科杂志980201 【摘要】 目的 考察1555G点突变与氨基糖甙类抗生素致聋的对应关系,建立相应的基因诊断方法提供依据。方法 收集了3个有明确氨基糖甙类抗生素应用史的母系遗传耳聋家系13人(包括聋人和听力正常者)的外周静脉血标本,聚合酶链反应扩增线粒体DNA,Alw26 I限制性内切酶分析、DNA斑点杂交和DNA序列分析检测1555G点突变。结果 家系1和3的7份样品均为1555G点突变阳性,家系2的6份样品为 1555G点突变阴性。结论 发现1个1555G点突变阴性的氨基糖甙类抗生素致聋家系,说明线粒体DNA 1555G点突变不是氨基糖甙类抗生素遗传易感性唯一的分子基础。
, http://www.100md.com
Screening for the 1555G mutation in mitochondrial DNA in pedigrees
with aminoglycoside antibiotic induced deafness
Yuan Huijun , Jiang Sichang , Yang Weiyan , et al. PLA General Hospital , Beijing 100853
【Abstract】 Objective To identify the relationship between the 1555G mutation in mitochondrial DNA and aminoglycoside antibiotic induced deafness and provide theoretical evidence for establishing diagnostic method. Methods Blood samples were obtained from three pedigrees with aminoglycoside antibiotic induced deafness. DNA was extracted from the isolated leukocytes. The mitochondrial DNA fragments were amplified by PCR, 1555G mutation was detected by Alw26 I restriction endonuclease digestion,allele-specific oligonucleotide hybridization and DNA sequencing. Results Seven individuals from pedigrees A and C carried homoplasmic 1555G mutation, six individuals from pedigree B did not have 1555G mutation. Conclusion 1555G mutation is not the only pathologic mitochondrial DNA mutation associated with aminoglycoside antibiotic induced deafness. This is the first finding of aminoglycoside antibiotic induced deafness pedigree without 1555G mutation.
, 百拇医药
【Key words】 Hearing disorders DNA,Mitochondrial Gene Genetics,biochemical
Antibiotics,aminoglycoside
氨基糖甙类抗生素(aminoglycoside antibiotics, AmAn)具有严重的耳毒性副作用,可使患者发生不可逆转的听力损失。近年来研究发现部分患者有母系遗传家族史[1],并与线粒体DNA(mitochondrial DNA, mt DNA) 12S rRNA基因第1555 位A→G均质性点突变有关[2]。 空间结构分析和细胞生物学研究进一步证实了1555G点突变在氨基糖甙类抗生素致聋(aminoglycoside antibiotic induced deafness,AAID)病因学上的重要作用[3]。1555G点突变的检出为临床医生预测AmAn个体敏感性提供了可能性,1555G点突变阳性个体本人及其母系亲属应避免接触AmAn[4]。但目前分子遗传学研究还不清楚1555G点突变是否为AmAn致聋患者发病的唯一机理, 1555G阴性者并不能排除对AmAn耳毒性高度敏感的可能性。本研究目的是考察1555G点突变与AmAn致聋的对应关系,并寻找与此种聋病相关的其它突变位点,为建立相应的基因诊断方法提供依据。
, 百拇医药
本研究收集3个AAID易感家系,对患者及其母系家族成员的线粒体DNA进行1555G点突变分析,报道1个1555G点突变阴性的母系遗传AAID家系。
材料与方法
一、临床资料
家系1(图1A) 先证者Ⅳ23,女,山东籍,半岁时因肺炎注射硫酸链霉素4天,5个多月后出现听力下降。该家系健在的3代54人中18人有AmAn应用史,其中女性后代有15人在用药15天至5个月后都出现了不同程度的听力下降,男性后代有3人(Ⅲ7、 Ⅲ8、Ⅲ9 ) 有AmAn应用史,听力正常。
家系2(图1B) 先证者Ⅲ4 ,女,湖南籍,7岁时因扁桃体炎注射庆大霉素约1周,1~2个月后听力开始下降。纯音测听双耳言语平均听阈为60~70 dB HL,高频听力损害严重。其母及3个同胞兄长均为耳聋患者,且有明确的AmAn应用史。2个姨表兄也发现有耳聋,用药史不详。
, 百拇医药
家系3(图1C) 先证者Ⅲ5,男,安徽籍,因感冒诱发左耳聋,高频听力下降明显,治疗10天后逐渐恢复。其兄在20岁时因注射了一次庆大霉素而出现听力下降,其妹1岁左右因患白喉注射了双氢链霉素,以后发展为双耳全聋。Ⅲ1为男性后代耳聋患者,耳聋原因不明,是否用过AmAn不详。
A 家系1 B 家系2 C 家系3
图1 3个家系遗传图谱
二、方法
1. DNA提取:分别取家系1的 Ⅱ4 、 Ⅲ4 、 Ⅲ13、 Ⅳ6、Ⅳ23、Ⅳ24、家系2的 Ⅱ1 、 Ⅲ1 、 Ⅲ2 、 Ⅲ3 、 Ⅲ4 、Ⅳ3 (家系1的Ⅲ13、Ⅳ24和家系2的Ⅳ3为听力正常者,无AmAn应用史)及家系3的Ⅲ5共13份外周静脉血各2~3 ml ( 冰浴保存,24小时内抽提DNA),自然分层后在血浆与血球交界处吸取200 μl富含白细胞的血球,加20倍体积的三蒸水,置冰浴10分钟后8 000 r/min离心5分钟,弃上清液,细胞沉淀用400 μl 三蒸水重悬,100℃煮沸15分钟使细胞破裂,12 000 r/min离心10分钟,上清液即可作为聚合酶链反应的模板[5]。
, 百拇医药
2. mtDNA 小片段的聚合酶链反应扩增:以mtDNA寡核苷酸 (nt)1428~1448及(nt)1890~1871为引物,以患者外周血白细胞粗提DNA为模板扩增mtDNA (nt)1428~1890基因片段。聚合酶链反应条件:94℃1分钟,50℃1分钟,72℃40秒,共30个循环。以1%琼脂糖水平凝胶电泳观察聚合酶链反应结果。
3. Alw26 I 酶切:取聚合酶链反应产物10~20μl,以Alw26 I 37℃酶切1小时,1%琼脂糖水平凝胶电泳观察酶切结果。
4. 寡核苷酸探针的合成及标记:设计并合成一对长度为15 bp的寡核苷酸探针,与mtDNA (nt) 1548~1562序列一致,A探针序列为AGA GGA GAC AAG TCG,与野生型mtDNA序列一致,G探针序列为AGA GGA GGC AAG TCG,与1555G突变型mtDNA序列一致。合成探针时直接将生物素标记于探针的3′端。
, 百拇医药
5. 斑点杂交:取2 μg 聚合酶链反应扩增产物用负压抽滤式斑点杂交点样器将样品点于硝酸纤维素膜上,相同的样品点两张膜。加入预杂交液 [5×氯化钠-柠檬酸钠溶液(5×SSC),1×FPG(50×FPG: 1%聚蔗糖,1%聚乙烯吡咯烷酮,1%甘氨酸,过滤除菌),25 mmol/L磷酸缓冲液pH7.0,0.2%十二烷基磺酸钠,5%聚乙二醇(分子量6 000),100 μg/ml 变性鲑精DNA],37℃水浴预杂交4小时。室温下杂交36小时(杂交液为预杂交液中加入终浓度为10 ng / ml的寡核苷酸探针A或G)。洗膜后用3%牛血清白蛋白37℃封闭膜2小时,以亲和素-碱性磷酸酶显色系统(军事医学科学院放射医学研究所,方法见试剂盒说明) 显色。
6. mtDNA序列分析: 将mtDNA 聚合酶链反应扩增产物用低熔点琼脂糖凝胶纯化后与pUC19载体连接,转化E. coli JM109菌株,EcoR I / Hind III双酶切鉴定阳性重组子, 送赛百盛公司进行自动测序。
, http://www.100md.com
结果
1. mtDNA (nt) 1428~1890基因片段的聚合酶链反应扩增:依据聚合酶链反应引物设计的若干原则设计合成了一对引物,P1:GCA GTA AAC TAA GAG TAG AGT;P2:GGC TCT CCT TGC AAA GTT AT。分别与mtDNA 12S rRNA基因 (nt) 1428~1448及 (nt) 1890~1871完全配对,解链温度(Tm)值均为58℃,计算机检索无发夹结构及引物二聚体形成。
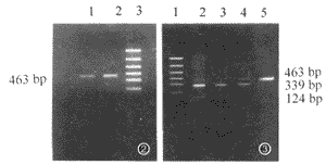
聚合酶链反应结束后经电泳鉴定,在515 bp和377 bp之间有一条清晰DNA条带,即463bp目的DNA片段,未见非特异性扩增的DNA杂带(图2)。
2. Alw26 I限制性内切酶分析:1555G点突变使原来存在的Alw26 I酶切位点消失,聚合酶链反应扩增的目的片段如含有1555G突变,用Alw26 I内切酶切割时仍为463bp一条带,而无此突变的扩增片段则被切割成339bp和124bp两条带。
, http://www.100md.com
家系2所有样品均出现463bp、339bp和124bp 3条带(图3),1555G突变阴性。家系1及3的样品酶切后仅见4636bp 1条带,1555G突变阳性, 作为阴性对照的健康人样品为463bp、339bp和124bp 3条带(图4)。
3. 斑点杂交:以A探针杂交者,家系2的4名成员及1名作为对照的健康人为阳性,家系1的2名成员及家系3的1名成员为阴性。以G探针杂交者,家系2的4名成员及1例作为对照的健康人为阴性,家系1的2名成员及家系3的1名成员为阳性。与Alw26 I酶切分析结果吻合。斑点杂交未发现胞质异质性现象(图5)。
4. mtDNA序列分析: 测序结果提示家系2的1555位为A,无1555G点突变,家系3的1555位为G,1555G点突变阳性(图6),与Alw26I酶切分析及斑点杂交结果相符。


, 百拇医药
图2 mtDNA PCR扩增产物.1 正常人血样品,2 正常人血样品,3 核酸分子量标准物(1543bp、994bp、695bp、515bp、377bp、237bp) 图3 家系2酶切电泳图。1 核酸分子量标准物(1543bp、994bp、695bp、515bp、377bp、237bp),2Ⅱ酶切后,3Ⅲ4酶切后,4Ⅳ3酶切后,5Ⅲ酶切前 图4 家系1和3酶切电泳图.1 核酸分子量标准物(1543bp、994bp、695bp、515bp、377bp、237bp),2家系1Ⅲ4酶切后,3家系1Ⅳ4酶切后,4家系3Ⅲ5酶切后,5正常人样品酶切后 图5 3个家系样品斑点杂交.A1~A4家系2样品,B1B2家系1样品,B3家系3样品,B4正常人样品 图6 家系2和家系3 mtDNA1555位点序列分析
讨论
本研究以国内外AAID分子遗传学最新研究成果为基础,收集了3个比较典型的AAID家系,从病例资料看有以下几个主要特征:①家系1、2为严格的母系遗传方式,家系3从遗传图谱上看虽然不是典型的母系遗传方式,但基因突变检测结果提示是母系遗传方式(线粒体基因突变);②耳聋患者大都有明确的AmAn应用史;③AmAn用药剂量均在正常范围内;④AAID可发生于任何年龄阶段,患者高频听力损害严重。应用聚合酶链反应、限制性内切酶分析、DNA斑点杂交等分子生物学技术对3个家系13份的新鲜外周血标本进行了mtDNA 1555G点突变分析,检测结果表明,家系1和3的全部血标本为1555G点突变阳性,家系2的全部血标本为1555G点突变阴性,为得到更为直接的证据,对家系2和3还进行了mtDNA 1555位点的DNA序列分析,并得到测序结果的确认。本研究结果表明,mtDNA 1555G点突变不是AAID遗传易感性唯一的分子基础。 因此对AAID遗传易感性的预测单独进行1555G点突变的检测是不够的,还须与mtDNA其它突变位点的检测结合起来。
, http://www.100md.com
AAID在西方国家较为罕见,除了与AmAn的应用受到严格控制有关外,还与不同人种的遗传背景有关。根据mtDNA D-loop区nt16223、nt16311和nt16362的3个位点核苷酸的序列多态性可将mtDNA分为Ⅰ和Ⅱ两种亚型[6],Hutchin等[7]检测了8例1555G点突变阳性者的mtDNA亚型,7例为Ⅱ型mtDNA,只有1例为Ⅰ型mtDNA。研究表明Ⅱ型mtDNA在亚洲人中较常见,而在白色人种中较少见。从人种的遗传背景考虑,在我国开展AAID预防和治疗相关基础研究,降低AAID的发病率,以提高国人的生存质量是十分必要的。
本研究报道了一个1555G点突变阴性的AAID家系,该家系可能存在着mtDNA其它改变。因为AmAn与mtDNA的结合位点在12S和16S rRNA基因上,目前正在对家系2重点进行mt DNA 12S和16S rRNA基因全序列分析,如能发现新突变位点,将是对AAID病因学研究的重要贡献,也是未来AAID基因诊断、基因治疗和预防的重要理论依据。
, 百拇医药
志谢 在临床病例收集及外出采集血液标本过程中得到中国聋儿康复中心的高成华主任、陈振声主任、梁巍助理,解放军长沙163医院孙正良主任、江文医师和山东省聊城地区复退军人医院傅德兴院长的大力支持
参考文献
1 Hu DN, Qiu WQ, Wu BT, et al. Genetic aspects of antibiotic induced deafness: mitochondrial inheritance. J Med Genet, 1991, 28 : 79-83.
2 Hutchin T, Haworth I, Higashi K, et al. A molecular basis for human hypersensitivity to aminoglycoside antibiotics. Nucleic Acids Res , 1993, 21 : 4174-4179.
, 百拇医药
3 Inoue K, Takai D, Soejima A, et al. Mutant mtDNA at 1555 A to G in 12S rRNA gene and hypersusceptibility of mitochondrial translation to streptomycin can be co-transferred to rho 0 HeLa cells. Biochem Biophys Res Commun, 1996, 223 : 496-501.
4 Fischel GN, Prezant TR, Chaltraw WE, et al. Mitochondrial gene mutation is a significant predisposing factor in aminoglycoside ototoxicity. Am J Otolaryngol, 1997, 18 : 173-178.
5 卢圣栋,主编. 现代分子生物学实验技术. 北京:高等教育出版社,1993. 415.
, 百拇医药
6 Horai S, Matsunaga E. Mitochondrial DNA polymorphism in Japanese.Ⅱ.Analysis with restriction enzymes of four or five base pair recognition. Hum Genet , 1986, 72 : 105-117.
7 Hutchin T, Cortopassi G. Mitochondrial DNA haplotype predicts deafness risk. Am J Med Genet , 1995, 60 : 592.
(收稿:1997-09-08 修回:1997-12-26), 百拇医药
单位:100853 北京 解放军总医院耳鼻咽喉科
关键词:听力障碍;DNA;线粒体;基因;遗传学;生物化学;抗生素类;氨基糖苷
中华耳鼻咽喉科杂志980201 【摘要】 目的 考察1555G点突变与氨基糖甙类抗生素致聋的对应关系,建立相应的基因诊断方法提供依据。方法 收集了3个有明确氨基糖甙类抗生素应用史的母系遗传耳聋家系13人(包括聋人和听力正常者)的外周静脉血标本,聚合酶链反应扩增线粒体DNA,Alw26 I限制性内切酶分析、DNA斑点杂交和DNA序列分析检测1555G点突变。结果 家系1和3的7份样品均为1555G点突变阳性,家系2的6份样品为 1555G点突变阴性。结论 发现1个1555G点突变阴性的氨基糖甙类抗生素致聋家系,说明线粒体DNA 1555G点突变不是氨基糖甙类抗生素遗传易感性唯一的分子基础。
, http://www.100md.com
Screening for the 1555G mutation in mitochondrial DNA in pedigrees
with aminoglycoside antibiotic induced deafness
Yuan Huijun , Jiang Sichang , Yang Weiyan , et al. PLA General Hospital , Beijing 100853
【Abstract】 Objective To identify the relationship between the 1555G mutation in mitochondrial DNA and aminoglycoside antibiotic induced deafness and provide theoretical evidence for establishing diagnostic method. Methods Blood samples were obtained from three pedigrees with aminoglycoside antibiotic induced deafness. DNA was extracted from the isolated leukocytes. The mitochondrial DNA fragments were amplified by PCR, 1555G mutation was detected by Alw26 I restriction endonuclease digestion,allele-specific oligonucleotide hybridization and DNA sequencing. Results Seven individuals from pedigrees A and C carried homoplasmic 1555G mutation, six individuals from pedigree B did not have 1555G mutation. Conclusion 1555G mutation is not the only pathologic mitochondrial DNA mutation associated with aminoglycoside antibiotic induced deafness. This is the first finding of aminoglycoside antibiotic induced deafness pedigree without 1555G mutation.
, 百拇医药
【Key words】 Hearing disorders DNA,Mitochondrial Gene Genetics,biochemical
Antibiotics,aminoglycoside
氨基糖甙类抗生素(aminoglycoside antibiotics, AmAn)具有严重的耳毒性副作用,可使患者发生不可逆转的听力损失。近年来研究发现部分患者有母系遗传家族史[1],并与线粒体DNA(mitochondrial DNA, mt DNA) 12S rRNA基因第1555 位A→G均质性点突变有关[2]。 空间结构分析和细胞生物学研究进一步证实了1555G点突变在氨基糖甙类抗生素致聋(aminoglycoside antibiotic induced deafness,AAID)病因学上的重要作用[3]。1555G点突变的检出为临床医生预测AmAn个体敏感性提供了可能性,1555G点突变阳性个体本人及其母系亲属应避免接触AmAn[4]。但目前分子遗传学研究还不清楚1555G点突变是否为AmAn致聋患者发病的唯一机理, 1555G阴性者并不能排除对AmAn耳毒性高度敏感的可能性。本研究目的是考察1555G点突变与AmAn致聋的对应关系,并寻找与此种聋病相关的其它突变位点,为建立相应的基因诊断方法提供依据。
, 百拇医药
本研究收集3个AAID易感家系,对患者及其母系家族成员的线粒体DNA进行1555G点突变分析,报道1个1555G点突变阴性的母系遗传AAID家系。
材料与方法
一、临床资料
家系1(图1A) 先证者Ⅳ23,女,山东籍,半岁时因肺炎注射硫酸链霉素4天,5个多月后出现听力下降。该家系健在的3代54人中18人有AmAn应用史,其中女性后代有15人在用药15天至5个月后都出现了不同程度的听力下降,男性后代有3人(Ⅲ7、 Ⅲ8、Ⅲ9 ) 有AmAn应用史,听力正常。
家系2(图1B) 先证者Ⅲ4 ,女,湖南籍,7岁时因扁桃体炎注射庆大霉素约1周,1~2个月后听力开始下降。纯音测听双耳言语平均听阈为60~70 dB HL,高频听力损害严重。其母及3个同胞兄长均为耳聋患者,且有明确的AmAn应用史。2个姨表兄也发现有耳聋,用药史不详。
, 百拇医药
家系3(图1C) 先证者Ⅲ5,男,安徽籍,因感冒诱发左耳聋,高频听力下降明显,治疗10天后逐渐恢复。其兄在20岁时因注射了一次庆大霉素而出现听力下降,其妹1岁左右因患白喉注射了双氢链霉素,以后发展为双耳全聋。Ⅲ1为男性后代耳聋患者,耳聋原因不明,是否用过AmAn不详。
A 家系1 B 家系2 C 家系3
图1 3个家系遗传图谱
二、方法
1. DNA提取:分别取家系1的 Ⅱ4 、 Ⅲ4 、 Ⅲ13、 Ⅳ6、Ⅳ23、Ⅳ24、家系2的 Ⅱ1 、 Ⅲ1 、 Ⅲ2 、 Ⅲ3 、 Ⅲ4 、Ⅳ3 (家系1的Ⅲ13、Ⅳ24和家系2的Ⅳ3为听力正常者,无AmAn应用史)及家系3的Ⅲ5共13份外周静脉血各2~3 ml ( 冰浴保存,24小时内抽提DNA),自然分层后在血浆与血球交界处吸取200 μl富含白细胞的血球,加20倍体积的三蒸水,置冰浴10分钟后8 000 r/min离心5分钟,弃上清液,细胞沉淀用400 μl 三蒸水重悬,100℃煮沸15分钟使细胞破裂,12 000 r/min离心10分钟,上清液即可作为聚合酶链反应的模板[5]。
, 百拇医药
2. mtDNA 小片段的聚合酶链反应扩增:以mtDNA寡核苷酸 (nt)1428~1448及(nt)1890~1871为引物,以患者外周血白细胞粗提DNA为模板扩增mtDNA (nt)1428~1890基因片段。聚合酶链反应条件:94℃1分钟,50℃1分钟,72℃40秒,共30个循环。以1%琼脂糖水平凝胶电泳观察聚合酶链反应结果。
3. Alw26 I 酶切:取聚合酶链反应产物10~20μl,以Alw26 I 37℃酶切1小时,1%琼脂糖水平凝胶电泳观察酶切结果。
4. 寡核苷酸探针的合成及标记:设计并合成一对长度为15 bp的寡核苷酸探针,与mtDNA (nt) 1548~1562序列一致,A探针序列为AGA GGA GAC AAG TCG,与野生型mtDNA序列一致,G探针序列为AGA GGA GGC AAG TCG,与1555G突变型mtDNA序列一致。合成探针时直接将生物素标记于探针的3′端。
, 百拇医药
5. 斑点杂交:取2 μg 聚合酶链反应扩增产物用负压抽滤式斑点杂交点样器将样品点于硝酸纤维素膜上,相同的样品点两张膜。加入预杂交液 [5×氯化钠-柠檬酸钠溶液(5×SSC),1×FPG(50×FPG: 1%聚蔗糖,1%聚乙烯吡咯烷酮,1%甘氨酸,过滤除菌),25 mmol/L磷酸缓冲液pH7.0,0.2%十二烷基磺酸钠,5%聚乙二醇(分子量6 000),100 μg/ml 变性鲑精DNA],37℃水浴预杂交4小时。室温下杂交36小时(杂交液为预杂交液中加入终浓度为10 ng / ml的寡核苷酸探针A或G)。洗膜后用3%牛血清白蛋白37℃封闭膜2小时,以亲和素-碱性磷酸酶显色系统(军事医学科学院放射医学研究所,方法见试剂盒说明) 显色。
6. mtDNA序列分析: 将mtDNA 聚合酶链反应扩增产物用低熔点琼脂糖凝胶纯化后与pUC19载体连接,转化E. coli JM109菌株,EcoR I / Hind III双酶切鉴定阳性重组子, 送赛百盛公司进行自动测序。
, http://www.100md.com
结果
1. mtDNA (nt) 1428~1890基因片段的聚合酶链反应扩增:依据聚合酶链反应引物设计的若干原则设计合成了一对引物,P1:GCA GTA AAC TAA GAG TAG AGT;P2:GGC TCT CCT TGC AAA GTT AT。分别与mtDNA 12S rRNA基因 (nt) 1428~1448及 (nt) 1890~1871完全配对,解链温度(Tm)值均为58℃,计算机检索无发夹结构及引物二聚体形成。
聚合酶链反应结束后经电泳鉴定,在515 bp和377 bp之间有一条清晰DNA条带,即463bp目的DNA片段,未见非特异性扩增的DNA杂带(图2)。
2. Alw26 I限制性内切酶分析:1555G点突变使原来存在的Alw26 I酶切位点消失,聚合酶链反应扩增的目的片段如含有1555G突变,用Alw26 I内切酶切割时仍为463bp一条带,而无此突变的扩增片段则被切割成339bp和124bp两条带。
, http://www.100md.com
家系2所有样品均出现463bp、339bp和124bp 3条带(图3),1555G突变阴性。家系1及3的样品酶切后仅见4636bp 1条带,1555G突变阳性, 作为阴性对照的健康人样品为463bp、339bp和124bp 3条带(图4)。
3. 斑点杂交:以A探针杂交者,家系2的4名成员及1名作为对照的健康人为阳性,家系1的2名成员及家系3的1名成员为阴性。以G探针杂交者,家系2的4名成员及1例作为对照的健康人为阴性,家系1的2名成员及家系3的1名成员为阳性。与Alw26 I酶切分析结果吻合。斑点杂交未发现胞质异质性现象(图5)。
4. mtDNA序列分析: 测序结果提示家系2的1555位为A,无1555G点突变,家系3的1555位为G,1555G点突变阳性(图6),与Alw26I酶切分析及斑点杂交结果相符。
, 百拇医药
图2 mtDNA PCR扩增产物.1 正常人血样品,2 正常人血样品,3 核酸分子量标准物(1543bp、994bp、695bp、515bp、377bp、237bp) 图3 家系2酶切电泳图。1 核酸分子量标准物(1543bp、994bp、695bp、515bp、377bp、237bp),2Ⅱ酶切后,3Ⅲ4酶切后,4Ⅳ3酶切后,5Ⅲ酶切前 图4 家系1和3酶切电泳图.1 核酸分子量标准物(1543bp、994bp、695bp、515bp、377bp、237bp),2家系1Ⅲ4酶切后,3家系1Ⅳ4酶切后,4家系3Ⅲ5酶切后,5正常人样品酶切后 图5 3个家系样品斑点杂交.A1~A4家系2样品,B1B2家系1样品,B3家系3样品,B4正常人样品 图6 家系2和家系3 mtDNA1555位点序列分析
讨论
本研究以国内外AAID分子遗传学最新研究成果为基础,收集了3个比较典型的AAID家系,从病例资料看有以下几个主要特征:①家系1、2为严格的母系遗传方式,家系3从遗传图谱上看虽然不是典型的母系遗传方式,但基因突变检测结果提示是母系遗传方式(线粒体基因突变);②耳聋患者大都有明确的AmAn应用史;③AmAn用药剂量均在正常范围内;④AAID可发生于任何年龄阶段,患者高频听力损害严重。应用聚合酶链反应、限制性内切酶分析、DNA斑点杂交等分子生物学技术对3个家系13份的新鲜外周血标本进行了mtDNA 1555G点突变分析,检测结果表明,家系1和3的全部血标本为1555G点突变阳性,家系2的全部血标本为1555G点突变阴性,为得到更为直接的证据,对家系2和3还进行了mtDNA 1555位点的DNA序列分析,并得到测序结果的确认。本研究结果表明,mtDNA 1555G点突变不是AAID遗传易感性唯一的分子基础。 因此对AAID遗传易感性的预测单独进行1555G点突变的检测是不够的,还须与mtDNA其它突变位点的检测结合起来。
, http://www.100md.com
AAID在西方国家较为罕见,除了与AmAn的应用受到严格控制有关外,还与不同人种的遗传背景有关。根据mtDNA D-loop区nt16223、nt16311和nt16362的3个位点核苷酸的序列多态性可将mtDNA分为Ⅰ和Ⅱ两种亚型[6],Hutchin等[7]检测了8例1555G点突变阳性者的mtDNA亚型,7例为Ⅱ型mtDNA,只有1例为Ⅰ型mtDNA。研究表明Ⅱ型mtDNA在亚洲人中较常见,而在白色人种中较少见。从人种的遗传背景考虑,在我国开展AAID预防和治疗相关基础研究,降低AAID的发病率,以提高国人的生存质量是十分必要的。
本研究报道了一个1555G点突变阴性的AAID家系,该家系可能存在着mtDNA其它改变。因为AmAn与mtDNA的结合位点在12S和16S rRNA基因上,目前正在对家系2重点进行mt DNA 12S和16S rRNA基因全序列分析,如能发现新突变位点,将是对AAID病因学研究的重要贡献,也是未来AAID基因诊断、基因治疗和预防的重要理论依据。
, 百拇医药
志谢 在临床病例收集及外出采集血液标本过程中得到中国聋儿康复中心的高成华主任、陈振声主任、梁巍助理,解放军长沙163医院孙正良主任、江文医师和山东省聊城地区复退军人医院傅德兴院长的大力支持
参考文献
1 Hu DN, Qiu WQ, Wu BT, et al. Genetic aspects of antibiotic induced deafness: mitochondrial inheritance. J Med Genet, 1991, 28 : 79-83.
2 Hutchin T, Haworth I, Higashi K, et al. A molecular basis for human hypersensitivity to aminoglycoside antibiotics. Nucleic Acids Res , 1993, 21 : 4174-4179.
, 百拇医药
3 Inoue K, Takai D, Soejima A, et al. Mutant mtDNA at 1555 A to G in 12S rRNA gene and hypersusceptibility of mitochondrial translation to streptomycin can be co-transferred to rho 0 HeLa cells. Biochem Biophys Res Commun, 1996, 223 : 496-501.
4 Fischel GN, Prezant TR, Chaltraw WE, et al. Mitochondrial gene mutation is a significant predisposing factor in aminoglycoside ototoxicity. Am J Otolaryngol, 1997, 18 : 173-178.
5 卢圣栋,主编. 现代分子生物学实验技术. 北京:高等教育出版社,1993. 415.
, 百拇医药
6 Horai S, Matsunaga E. Mitochondrial DNA polymorphism in Japanese.Ⅱ.Analysis with restriction enzymes of four or five base pair recognition. Hum Genet , 1986, 72 : 105-117.
7 Hutchin T, Cortopassi G. Mitochondrial DNA haplotype predicts deafness risk. Am J Med Genet , 1995, 60 : 592.
(收稿:1997-09-08 修回:1997-12-26), 百拇医药