甲状腺乳头状腺癌中EGFR、nm23-H1和p53蛋白的表达
作者:魏启幼 范松青 张利群
单位:魏启幼 范松青 张利群(湖南医科大学附属第二医院病理科,长沙 410011)
关键词:甲状腺肿瘤;腺癌;乳头状;nm23-Η1蛋白;受体;表皮生长因子;蛋白质p53;免疫组织化学
临床与实验病理学杂志990408摘要 目的:探讨EGFR、nm23-H1及p53蛋白在甲状腺乳头状腺癌中的表达及其与淋巴结转移的关系。方法:应用免疫组化ABC法检测36例有颈淋巴结转移的甲状腺乳头状腺癌的原发灶与转移灶和40例无转移的甲状腺乳头状腺癌中EGFR、nm23-H1及p53蛋白的表达。结果:76例甲状腺乳头状腺癌的EGFR、nm23-H1及p53蛋白的阳性表达率分别为55.3%、60.5%和11.8%;但有转移的甲状腺乳头状腺癌的EGFR阳性表达率高于无转移者(P<0.05),且转移灶的EGFR阳性率明显高于其原发灶(P<0.05);有转移的甲状腺乳头状腺癌的nm23-H1阳性率低于无转移癌者(P<0.01);甲状腺乳头状腺癌中EGFR的阳性表达与nm23-H1的表达有负相关(P<0.01)。结论:甲状腺乳头状腺癌EGFR的过表达,nm23-H1的低表达,二者表达的失平衡是其易于淋巴结转移的原因之一,EGFR,nm23-H1联用可作为甲状腺乳头状腺癌淋巴结转移的评价指标。
, http://www.100md.com
分类号 R736.1; R394.2 文献标识码 A
文章编号 1001-7399(1999)04-0303-03
Expressions of EGFR, nm23-H1 and p53 protein in the papillary thyroid carcinoma
Wei Qiyou, Fan Songqing, Zhang Liqun
(Dept of Pathol, 2nd Affiliated Hospital of Hunan Medical University, Changsha 410011)
ABSTRACT Purpose To study the relation between the expression of EGFR, nm23-H1 and p53 protein and lymph node metastasis (LNM) in papillay thyroid carcinoma (PTC). Methods The expressions of EGFR, nm23-H1 and p53 protein in original and metastatic tumor of 36 cases of PTCs with LNM, and 40 cases of PTCs without LNM were examined using ABC immunohistochemical methods. Results The positive expression of EGFR, nm23-H1 and p53 protein was 55.3%, 60.5% and 11.8%, respectively. Expression of EGFR in the PTCs with LNM was significantly higher than that in PTCs without LNM (P<0.05), meanwhile, positive expression rate of EGFR in metastatic tumor of PTC was more frequent than in their original tumors (P<0.05). But expression of nm23-H1 in PTCs with LNM was significantly lower than that in PTCs without LNM (P<0.01). There was an evidently negative correlation between expression of EGFR and nm23-H1 in PTCs (P<0.01). Conclusion The results suggest that EGFR overexpression, nm23-H1 low expression and negative correlation of their expression may be one of the causes of PTCs biological feature of lymph node metastasis; serail tests of EGFR, nm23-H1 could be used as the markers to evaluate lymph node metastasis of PTC.
, 百拇医药
KEY WORDS thyroid neoplasms; adenocarcinoma,papillary; receptors, epidermal growth factor; nm23-H1 protein; protein p53; immunohistochemistry
甲状腺乳头状腺癌是甲状腺癌的常见类型,其颈淋巴结转移率高达75%,且局部淋巴结转移对其预后无明显影响〔1〕,有关这一生物学行为的机制尚未阐明。研究表明肿瘤转移基因与转移抑制基因之间的表达失平衡是一些肿瘤发生转移的主要原因。表皮生长因子受体(EGFR)能促进肿瘤生长,浸润和转移〔2〕。nm23-H1是一种起转移抑制作用的癌基因〔3〕。抑癌基因p53发生突变后导致肿瘤的发生和发展〔4〕。本实验采用免疫组化研究EGFR、nm23-H1和p53蛋白在甲状腺乳头状腺癌中的表达,探讨他们与甲状腺乳头状腺癌淋巴结转移的关系。
, http://www.100md.com
1 材料和方法
1.1 标本 收集本院1986~1998手术切除的甲状腺乳头状腺癌标本76例。其中36例有颈淋巴结转移,无转移者40例,其中转移病例均包括原发肿瘤和转移至淋巴结内的转移性肿瘤标本。所有标本经10%中性福尔马林固定。石蜡包埋切片,厚4 μm。
1.2 试剂 羊抗兔多克隆抗体EGFR,鼠抗人单克隆抗体nm23-H1、p53;ABC试剂盒为Santa Cruz公司产品。AEC显色试剂盒、多聚-L-赖氨酸购自福州迈新生物技术公司。
1.3 方法 (1)实验分为3组,有颈淋巴结转移的甲状腺乳头状腺癌原发灶组,淋巴结内转移灶组和无转移甲状腺乳头状腺癌组。(2)采用免疫组化ABC法,AEC显色,载玻片用多聚-L-赖氨酸防脱片处理,血清封闭前切片用家用型高压锅在柠檬酸-枸椽酸钠缓冲液中进行高温高压抗原修复处理〔5〕。(3)每组染色同时作阳性对照和阴性对照。
, 百拇医药
1.4 结果判断 红色为阳性反应,根据阳性组织所占全部肿瘤细胞的百分比将其分为:无阳性细胞(-),阳性细胞<25%为(+),25%~50%的阳性细胞为(
),阳性细胞>75%为(
)。统计学处理采用χ2检验。
2 结果
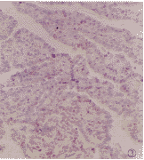
2.1 各组中EGFR、nm23-H1和p53蛋白的表达 76例甲状腺乳头状腺癌的EGFR、nm23-H1和p53蛋白的阳性率分别为55.3%、60.5%、11.8%,EGFR、nm23-H1呈细胞浆阳性(图1,2),p53呈细胞核阳性(图3)。如表1所示,有转移的甲状腺乳头状腺癌的EGFR阳性率高于无转移癌者(P<0.05)。且转移灶中肿瘤细胞的EGFR阳性率明显高于其原发灶(P<0.05)。但是转移的甲状腺乳头状腺癌的nm23-H1阳性率低于无转移癌者(P<0.01)。p53蛋白的阳性表达在3组之间差异无显著性(P>0.05)。
, http://www.100md.com
图1 甲状腺乳头状腺癌Ⅱ级,EGFR呈胞浆阳性.ABC法、AEC显色×400
图2 甲状腺乳头状腺癌Ⅱ级,nm23-H1呈胞浆阳性.ABC法、AEC显色×400
图3 甲状腺乳头状腺癌Ⅱ级,p53呈胞浆阳性.ABC法、AEC显色×200
表1 甲状腺乳头状腺癌各组中EGFR、nm23-H1和p53蛋白的表达 组别
n
EGFR
nm23-H1
, http://www.100md.com
p53
-
+

阳性率(%)
-
+

阳性率(%)
-
+

, 百拇医药
阳性率(%)
原发灶组
36
11
10
9
6
69.4
21
11
4
0
41.7
, 百拇医药 31
4
1
0
13.9
转移灶组
36
4
9
12
11
88.9
20
, 百拇医药 9
6
1
44.4
29
5
2
0
19.4
无转移癌组
40
23
8
7
, 百拇医药
2
42.5
9
12
13
6
77.5
36
4
0
0
10.0
与原发灶组比较,*P<0.05,**P<0.012.2 甲状腺乳头状腺癌中EGFR,nm23-H1、p53蛋白表达的相互关系 结果见表2。34例EGFR阴性甲状腺乳头状腺癌中,有28例nm23-H1阳性表达,而42例EGFR阳性甲状腺乳头状腺癌却有24例nm23-H1阴性,EGFR,nm23-H1在甲状腺乳头状腺癌中的表达存在负相关(P<0.01)。甲状腺乳头状腺癌中EGFR与p53蛋白的表达无关(P>0.05)。
, http://www.100md.com
表2 甲状腺乳头状腺癌EGFR与nm23-H1、p53表达的相互关系 EGFR
n
nm23-H1
p53
-
+

阳性率(%)
-
+

, 百拇医药
阳性率(%)
-
34
6
13
11
4
77.8
33
2
0
0
5.9
+
, 百拇医药
18
12
4
1
1
33.3
16
2
0
0
11.1
16
7
, 百拇医药
5
3
1
56.2
14
2
0
0
12.5
8
5
1
2
, 百拇医药
0
37.5
5
2
1
0
37.5
2.3 单用或联用EGFR和nm23-H1作为判断甲状腺乳头状腺癌淋巴结转移有关指标的比较 结果见表3。联用EGFR阳性、nm23-H1阴性作为标准判断甲状腺乳头状腺癌淋巴结转移的准确度,阳性预测值和特异度均明显提高。
表3 用EGFR阳性,nm23-H1阴性来判断
, 百拇医药 甲状腺乳头状腺癌淋巴结转移有关指标比较 判断指标
EGFR阳性
(%)
nm23-H1阴性
(%)
EGFR阳性、nm23-H1阴性
(%)
灵敏度
69.4
58.3
40.5
准确度
, 百拇医药
63.2
68.4
82.3
特异度
57.5
22.5
67.1
阳性预测值
59.5
40.4
75.9
3 讨论
EGFR为c-erbB-2癌基因产物的同源物,是一种跨膜糖蛋白,EGFR与其配体EGF和TGT-α结合,形成一种自分泌环路,在细胞信号传递系统中起桥梁作用,刺激细胞的增生、浸润和转移。Haugen等人发现甲状腺肿瘤中也存在TGF-α-EGF-EGFR自分泌环路〔2,6〕。本实验发现EGFR的阳性表达与甲状腺乳头状腺癌的淋巴结转移有显著的正相关。EGFR的阳性表达与乳腺癌、胃癌的淋巴结转移关系也有相同报道〔7,8〕。提示EGFR的过表达促进甲状腺乳头状腺癌淋巴结转移。实验结果也显示淋巴结内甲状腺乳头状腺癌转移灶的EGFR阳性表达显著高于其原发肿瘤,Castellani等〔9〕认为其原因可能是原发肿瘤中未能检测到EGFR表达的肿瘤细胞亚群发生转移,达到淋巴结内这一特定的环境中,受其他基因产物的影响,EGFR表达量增高,刺激细胞分裂增殖,有效地形成转移性肿瘤。这进一步表明EGFR具有促甲状腺乳头状腺癌淋巴结转移的作用。
, 百拇医药
nm23编码与二磷酸核苷酸激酶(NDPK)高度同源的蛋白产物,本身也具有NDPK活性,NDPK参与微管蛋白的聚合和解体,并与G蛋白介导的信号传递有关,NDPK直接影响细胞的构形、运动、粘附及有丝分裂和纺锤体形成;NDPK的减少或功能失活,会发生纺锤体形成障碍,出现整倍体细胞,引起细胞异常运动,导致肿瘤转移〔3,10〕。nm23有nm23-H1、nm23-H2两种类型,研究证实只有nm23-H1具有抑制肿瘤转移的功能〔3〕。本实验结果显示nm23-H1在无转移甲状腺乳头状腺癌中高表达,nm23-H1的阳性表达与甲状腺乳头状腺癌淋巴结转移呈负相关。提示nm23-H1具有抑制甲状腺乳头状腺癌淋巴结转移的功能。
抑癌基因p53突变后,导致肿瘤的发生、发展,突变型p53基因产物半衰期明显延长,免疫组化易于检测出其表达〔4〕。本实验结果显示甲状腺乳头状腺癌中p53蛋白阳性表达率低(11.8%),且其阳性表达与淋巴结转移无关。提示甲状腺乳头状腺癌恶性程度低的生物学行为可能与其抑癌基因p53的低突变率有关。
, 百拇医药
本组结果显示甲状腺乳头状腺癌中EGFR、nm23-H1的表达存在显著负相关,提示转移基因与转移抑制基因之间的表达失平衡是甲状腺乳头状腺癌易于发生淋巴结转移的原因之一。分析比较EGFR和nm23-H1作为判断甲状腺乳头状腺癌淋巴结转移的有关指标〔11〕,证明联用EGFR、nm23-H1能更加准确、有效地预测淋巴结转移,这表明EGFR、nm23-H1联用可作为甲状腺乳头状腺癌淋巴结转移的较好评估指标。
作者简介:魏启幼,女,47岁,副教授,硕士生导师。研究方向:内分泌肿瘤免疫病理
参考文献
1,汤钊猷主编.现代肿瘤学.上海:上海医科大学出版社,1993:823
2,Akslen LA, Varhaug JE. Oncoprotein and tumor progression in papillary thyroid carcinoma. Cancer, 1995;76(9):1643~1654
, 百拇医药
3,Arai T, Yamshita T, Urano T et al. Preferential reduction of nm23-H1 gene product in metastatic tissue from papillary and follicular carcinoma of thyroid. Mod Pathol, 1995;8(3):252~256
4,Soares P, Cameselle TJ, Sobrinho SM. Immunohistochemical detection of p53 in differentiation, poorly differentiated and undifferentiated carcinomas of the thyroid. Histopathology, 1994;24(3):205~240
5,Miller K, Auld J, Jessup E et al. New technique: antigen unmasking in formalin-fixed rountinely processed paraffin waxembeded sections by pressure cooking. Advance in Anatomic Pathol, 1995;2(1):60~64
, http://www.100md.com
6,Haugen DR. Demonstration of TGF-α-EGF-receptor autocrine loop and cmyc protein overexpression in papillary thyroid carcinomas. Int J Cancer, 1993;55(1):37~43
7,张智慧,滕茂芳,刘树范.ER,EGFR,p53在乳腺癌的免疫组化研究.诊断病理学杂志,1998;5(1):25~27
8,栾复新,王孟薇,尤纬缔等.转化生长因子-α,表皮生长因子受体与胃癌发生的关系及其与增殖细胞核抗原的相关性分析.中华病理学杂志,1997;26(1):31~33
9,Castellani R, Visscher DW, Wykes S et al. Interaction of transforming growth factor-alpha and epidermal growth factor receptor in breast cancer. Cancer, 1994;73(2):344~349
10,Steeg PS. Bevilacqua G, Kopper L et al. Evidence for a novelgene associated with low tumor metastatic potential. J Natl Cancer Inst, 1988;80(3):200~216
11,傅荫宇主编.实用临床科研方法学:设计、衡量、评价.北京:北京医科大学、中国协和医科大学联合出版社,1990:42~69
收稿日期:1998-09-02, 百拇医药
单位:魏启幼 范松青 张利群(湖南医科大学附属第二医院病理科,长沙 410011)
关键词:甲状腺肿瘤;腺癌;乳头状;nm23-Η1蛋白;受体;表皮生长因子;蛋白质p53;免疫组织化学
临床与实验病理学杂志990408摘要 目的:探讨EGFR、nm23-H1及p53蛋白在甲状腺乳头状腺癌中的表达及其与淋巴结转移的关系。方法:应用免疫组化ABC法检测36例有颈淋巴结转移的甲状腺乳头状腺癌的原发灶与转移灶和40例无转移的甲状腺乳头状腺癌中EGFR、nm23-H1及p53蛋白的表达。结果:76例甲状腺乳头状腺癌的EGFR、nm23-H1及p53蛋白的阳性表达率分别为55.3%、60.5%和11.8%;但有转移的甲状腺乳头状腺癌的EGFR阳性表达率高于无转移者(P<0.05),且转移灶的EGFR阳性率明显高于其原发灶(P<0.05);有转移的甲状腺乳头状腺癌的nm23-H1阳性率低于无转移癌者(P<0.01);甲状腺乳头状腺癌中EGFR的阳性表达与nm23-H1的表达有负相关(P<0.01)。结论:甲状腺乳头状腺癌EGFR的过表达,nm23-H1的低表达,二者表达的失平衡是其易于淋巴结转移的原因之一,EGFR,nm23-H1联用可作为甲状腺乳头状腺癌淋巴结转移的评价指标。
, http://www.100md.com
分类号 R736.1; R394.2 文献标识码 A
文章编号 1001-7399(1999)04-0303-03
Expressions of EGFR, nm23-H1 and p53 protein in the papillary thyroid carcinoma
Wei Qiyou, Fan Songqing, Zhang Liqun
(Dept of Pathol, 2nd Affiliated Hospital of Hunan Medical University, Changsha 410011)
ABSTRACT Purpose To study the relation between the expression of EGFR, nm23-H1 and p53 protein and lymph node metastasis (LNM) in papillay thyroid carcinoma (PTC). Methods The expressions of EGFR, nm23-H1 and p53 protein in original and metastatic tumor of 36 cases of PTCs with LNM, and 40 cases of PTCs without LNM were examined using ABC immunohistochemical methods. Results The positive expression of EGFR, nm23-H1 and p53 protein was 55.3%, 60.5% and 11.8%, respectively. Expression of EGFR in the PTCs with LNM was significantly higher than that in PTCs without LNM (P<0.05), meanwhile, positive expression rate of EGFR in metastatic tumor of PTC was more frequent than in their original tumors (P<0.05). But expression of nm23-H1 in PTCs with LNM was significantly lower than that in PTCs without LNM (P<0.01). There was an evidently negative correlation between expression of EGFR and nm23-H1 in PTCs (P<0.01). Conclusion The results suggest that EGFR overexpression, nm23-H1 low expression and negative correlation of their expression may be one of the causes of PTCs biological feature of lymph node metastasis; serail tests of EGFR, nm23-H1 could be used as the markers to evaluate lymph node metastasis of PTC.
, 百拇医药
KEY WORDS thyroid neoplasms; adenocarcinoma,papillary; receptors, epidermal growth factor; nm23-H1 protein; protein p53; immunohistochemistry
甲状腺乳头状腺癌是甲状腺癌的常见类型,其颈淋巴结转移率高达75%,且局部淋巴结转移对其预后无明显影响〔1〕,有关这一生物学行为的机制尚未阐明。研究表明肿瘤转移基因与转移抑制基因之间的表达失平衡是一些肿瘤发生转移的主要原因。表皮生长因子受体(EGFR)能促进肿瘤生长,浸润和转移〔2〕。nm23-H1是一种起转移抑制作用的癌基因〔3〕。抑癌基因p53发生突变后导致肿瘤的发生和发展〔4〕。本实验采用免疫组化研究EGFR、nm23-H1和p53蛋白在甲状腺乳头状腺癌中的表达,探讨他们与甲状腺乳头状腺癌淋巴结转移的关系。
, http://www.100md.com
1 材料和方法
1.1 标本 收集本院1986~1998手术切除的甲状腺乳头状腺癌标本76例。其中36例有颈淋巴结转移,无转移者40例,其中转移病例均包括原发肿瘤和转移至淋巴结内的转移性肿瘤标本。所有标本经10%中性福尔马林固定。石蜡包埋切片,厚4 μm。
1.2 试剂 羊抗兔多克隆抗体EGFR,鼠抗人单克隆抗体nm23-H1、p53;ABC试剂盒为Santa Cruz公司产品。AEC显色试剂盒、多聚-L-赖氨酸购自福州迈新生物技术公司。
1.3 方法 (1)实验分为3组,有颈淋巴结转移的甲状腺乳头状腺癌原发灶组,淋巴结内转移灶组和无转移甲状腺乳头状腺癌组。(2)采用免疫组化ABC法,AEC显色,载玻片用多聚-L-赖氨酸防脱片处理,血清封闭前切片用家用型高压锅在柠檬酸-枸椽酸钠缓冲液中进行高温高压抗原修复处理〔5〕。(3)每组染色同时作阳性对照和阴性对照。
, 百拇医药
1.4 结果判断 红色为阳性反应,根据阳性组织所占全部肿瘤细胞的百分比将其分为:无阳性细胞(-),阳性细胞<25%为(+),25%~50%的阳性细胞为(
2 结果
2.1 各组中EGFR、nm23-H1和p53蛋白的表达 76例甲状腺乳头状腺癌的EGFR、nm23-H1和p53蛋白的阳性率分别为55.3%、60.5%、11.8%,EGFR、nm23-H1呈细胞浆阳性(图1,2),p53呈细胞核阳性(图3)。如表1所示,有转移的甲状腺乳头状腺癌的EGFR阳性率高于无转移癌者(P<0.05)。且转移灶中肿瘤细胞的EGFR阳性率明显高于其原发灶(P<0.05)。但是转移的甲状腺乳头状腺癌的nm23-H1阳性率低于无转移癌者(P<0.01)。p53蛋白的阳性表达在3组之间差异无显著性(P>0.05)。
, http://www.100md.com
图1 甲状腺乳头状腺癌Ⅱ级,EGFR呈胞浆阳性.ABC法、AEC显色×400
图2 甲状腺乳头状腺癌Ⅱ级,nm23-H1呈胞浆阳性.ABC法、AEC显色×400
图3 甲状腺乳头状腺癌Ⅱ级,p53呈胞浆阳性.ABC法、AEC显色×200
表1 甲状腺乳头状腺癌各组中EGFR、nm23-H1和p53蛋白的表达 组别
n
EGFR
nm23-H1
, http://www.100md.com
p53
-
+
阳性率(%)
-
+
阳性率(%)
-
+
, 百拇医药
阳性率(%)
原发灶组
36
11
10
9
6
69.4
21
11
4
0
41.7
, 百拇医药 31
4
1
0
13.9
转移灶组
36
4
9
12
11
88.9
20
, 百拇医药 9
6
1
44.4
29
5
2
0
19.4
无转移癌组
40
23
8
7
, 百拇医药
2
42.5
9
12
13
6
77.5
36
4
0
0
10.0
与原发灶组比较,*P<0.05,**P<0.012.2 甲状腺乳头状腺癌中EGFR,nm23-H1、p53蛋白表达的相互关系 结果见表2。34例EGFR阴性甲状腺乳头状腺癌中,有28例nm23-H1阳性表达,而42例EGFR阳性甲状腺乳头状腺癌却有24例nm23-H1阴性,EGFR,nm23-H1在甲状腺乳头状腺癌中的表达存在负相关(P<0.01)。甲状腺乳头状腺癌中EGFR与p53蛋白的表达无关(P>0.05)。
, http://www.100md.com
表2 甲状腺乳头状腺癌EGFR与nm23-H1、p53表达的相互关系 EGFR
n
nm23-H1
p53
-
+
阳性率(%)
-
+
, 百拇医药
阳性率(%)
-
34
6
13
11
4
77.8
33
2
0
0
5.9
+
, 百拇医药
18
12
4
1
1
33.3
16
2
0
0
11.1
16
7
, 百拇医药
5
3
1
56.2
14
2
0
0
12.5
8
5
1
2
, 百拇医药
0
37.5
5
2
1
0
37.5
2.3 单用或联用EGFR和nm23-H1作为判断甲状腺乳头状腺癌淋巴结转移有关指标的比较 结果见表3。联用EGFR阳性、nm23-H1阴性作为标准判断甲状腺乳头状腺癌淋巴结转移的准确度,阳性预测值和特异度均明显提高。
表3 用EGFR阳性,nm23-H1阴性来判断
, 百拇医药 甲状腺乳头状腺癌淋巴结转移有关指标比较 判断指标
EGFR阳性
(%)
nm23-H1阴性
(%)
EGFR阳性、nm23-H1阴性
(%)
灵敏度
69.4
58.3
40.5
准确度
, 百拇医药
63.2
68.4
82.3
特异度
57.5
22.5
67.1
阳性预测值
59.5
40.4
75.9
3 讨论
EGFR为c-erbB-2癌基因产物的同源物,是一种跨膜糖蛋白,EGFR与其配体EGF和TGT-α结合,形成一种自分泌环路,在细胞信号传递系统中起桥梁作用,刺激细胞的增生、浸润和转移。Haugen等人发现甲状腺肿瘤中也存在TGF-α-EGF-EGFR自分泌环路〔2,6〕。本实验发现EGFR的阳性表达与甲状腺乳头状腺癌的淋巴结转移有显著的正相关。EGFR的阳性表达与乳腺癌、胃癌的淋巴结转移关系也有相同报道〔7,8〕。提示EGFR的过表达促进甲状腺乳头状腺癌淋巴结转移。实验结果也显示淋巴结内甲状腺乳头状腺癌转移灶的EGFR阳性表达显著高于其原发肿瘤,Castellani等〔9〕认为其原因可能是原发肿瘤中未能检测到EGFR表达的肿瘤细胞亚群发生转移,达到淋巴结内这一特定的环境中,受其他基因产物的影响,EGFR表达量增高,刺激细胞分裂增殖,有效地形成转移性肿瘤。这进一步表明EGFR具有促甲状腺乳头状腺癌淋巴结转移的作用。
, 百拇医药
nm23编码与二磷酸核苷酸激酶(NDPK)高度同源的蛋白产物,本身也具有NDPK活性,NDPK参与微管蛋白的聚合和解体,并与G蛋白介导的信号传递有关,NDPK直接影响细胞的构形、运动、粘附及有丝分裂和纺锤体形成;NDPK的减少或功能失活,会发生纺锤体形成障碍,出现整倍体细胞,引起细胞异常运动,导致肿瘤转移〔3,10〕。nm23有nm23-H1、nm23-H2两种类型,研究证实只有nm23-H1具有抑制肿瘤转移的功能〔3〕。本实验结果显示nm23-H1在无转移甲状腺乳头状腺癌中高表达,nm23-H1的阳性表达与甲状腺乳头状腺癌淋巴结转移呈负相关。提示nm23-H1具有抑制甲状腺乳头状腺癌淋巴结转移的功能。
抑癌基因p53突变后,导致肿瘤的发生、发展,突变型p53基因产物半衰期明显延长,免疫组化易于检测出其表达〔4〕。本实验结果显示甲状腺乳头状腺癌中p53蛋白阳性表达率低(11.8%),且其阳性表达与淋巴结转移无关。提示甲状腺乳头状腺癌恶性程度低的生物学行为可能与其抑癌基因p53的低突变率有关。
, 百拇医药
本组结果显示甲状腺乳头状腺癌中EGFR、nm23-H1的表达存在显著负相关,提示转移基因与转移抑制基因之间的表达失平衡是甲状腺乳头状腺癌易于发生淋巴结转移的原因之一。分析比较EGFR和nm23-H1作为判断甲状腺乳头状腺癌淋巴结转移的有关指标〔11〕,证明联用EGFR、nm23-H1能更加准确、有效地预测淋巴结转移,这表明EGFR、nm23-H1联用可作为甲状腺乳头状腺癌淋巴结转移的较好评估指标。
作者简介:魏启幼,女,47岁,副教授,硕士生导师。研究方向:内分泌肿瘤免疫病理
参考文献
1,汤钊猷主编.现代肿瘤学.上海:上海医科大学出版社,1993:823
2,Akslen LA, Varhaug JE. Oncoprotein and tumor progression in papillary thyroid carcinoma. Cancer, 1995;76(9):1643~1654
, 百拇医药
3,Arai T, Yamshita T, Urano T et al. Preferential reduction of nm23-H1 gene product in metastatic tissue from papillary and follicular carcinoma of thyroid. Mod Pathol, 1995;8(3):252~256
4,Soares P, Cameselle TJ, Sobrinho SM. Immunohistochemical detection of p53 in differentiation, poorly differentiated and undifferentiated carcinomas of the thyroid. Histopathology, 1994;24(3):205~240
5,Miller K, Auld J, Jessup E et al. New technique: antigen unmasking in formalin-fixed rountinely processed paraffin waxembeded sections by pressure cooking. Advance in Anatomic Pathol, 1995;2(1):60~64
, http://www.100md.com
6,Haugen DR. Demonstration of TGF-α-EGF-receptor autocrine loop and cmyc protein overexpression in papillary thyroid carcinomas. Int J Cancer, 1993;55(1):37~43
7,张智慧,滕茂芳,刘树范.ER,EGFR,p53在乳腺癌的免疫组化研究.诊断病理学杂志,1998;5(1):25~27
8,栾复新,王孟薇,尤纬缔等.转化生长因子-α,表皮生长因子受体与胃癌发生的关系及其与增殖细胞核抗原的相关性分析.中华病理学杂志,1997;26(1):31~33
9,Castellani R, Visscher DW, Wykes S et al. Interaction of transforming growth factor-alpha and epidermal growth factor receptor in breast cancer. Cancer, 1994;73(2):344~349
10,Steeg PS. Bevilacqua G, Kopper L et al. Evidence for a novelgene associated with low tumor metastatic potential. J Natl Cancer Inst, 1988;80(3):200~216
11,傅荫宇主编.实用临床科研方法学:设计、衡量、评价.北京:北京医科大学、中国协和医科大学联合出版社,1990:42~69
收稿日期:1998-09-02, 百拇医药