单侧肺动脉异常起源于主动脉的影像学诊断
作者:梁秋香 黄小勇
单位:100029 北京,首都医科大学附属北京安贞医院放射科
关键词:心脏缺损,先天性;心血管造影术;诊断显像;对比研究
中华放射学杂志991106
【摘要】 目的 评价单侧肺动脉异常起源于主动脉的影像学诊断。方法 回顾性分析了9例单侧肺动脉异常起源于主动脉患者的临床表现、X线征象、诊断方法和手术治疗资料,所有病人均做了X线平片、彩色多普勒超声心动图及心血管造影检查。结果 9例X线平片均有肺血增多,心脏增大。多普勒超声心动图检查6例漏诊, 3例术前确诊。9例心血管造影均清楚显示该症的解剖畸形。结论 心血管造影是诊断单侧肺动脉异常起源于主动脉最可靠的手段。
Imaging diagnosis of unilateral anomalous origin of pulmonary artery from aorta
, http://www.100md.com
LIANG Qiuxiang,HUANG Xiaoyong.
Department of Radiology, Beijing Anzhen Hospital Affiliated to Capital Medical University, Beijing 100029
【Abstract】 Objective To evaluate the imaging diagnosis of unilateral anomalous origin of pulmonary artery from aorta. Methods 9 cases of unilateral anomalous origin of pulmonary artery from aorta were retrospectively analyzed, including clinical manifestations, X-ray features, diagnostic methods, and surgical management. All patients were studied with X-ray plain film, color Doppler echocardiography, and angiocardiography. Results All patients showed increased pulmonary circulation and cardiomegaly on X-ray plain film. 6 cases were missed and 3 correctly diagnosed preoperatively by color Doppler echocardiography. The anomaly of all 9 cases was clearly displayed by angiocardiography. Conclusion Angiocardiography is the most reliable method in the diagnosis of unilateral anomalous origin of pulmonary artery from aorta.
, 百拇医药
【Key words】 Heart defects,congenital Angiocardiography Diagnostic imaging Comparative study
单侧肺动脉异常起源于主动脉是一种少见的先天性心血管畸形,多并存其他心血管疾病,死亡率高,多早期夭折,应早期手术根治[1]。我院自1984年1月至1998年12月共收治9例病人,现总结如下。
材料与方法
本组9例中,男5例,女4例。年龄2~24岁,平均年龄7岁。肺动脉异常起源于右肺5例,左肺4例。9例中5例右肺动脉异常起源均并存动脉导管未闭,其中2例同时并存室间隔缺损,1例并存主-肺间隔缺损。4例左肺动脉异常起源中3例并存Fallot四联症,1例并存右室双出口(Fallot四联症型)。本组6例有不同程度的肺动脉高压,其中有2例为重度,已失去手术机会。所有病人均以心前区收缩期杂音就诊,杂音部位在胸骨左缘第2~3肋间。5例右肺动脉异常起源合并动脉导管未闭患者均未能闻及连续性杂音,这是由于并发肺动脉高压而无分流所致。9例病人均做了X线平片、彩色多普勒超声心动图及心血管造影检查,其中3例右心室造影,6例右心室+主动脉根部造影。
, http://www.100md.com
结果
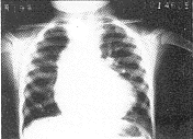
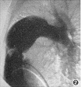
6例X线平片表现为两侧肺血增多,肺门血管扩张,其中有2例肺门呈“残根状”,为右肺动脉受累并重度肺动脉高压。3例表现左侧肺血增多,右侧肺血减少,为左肺动脉受累合并Fallot四联症患者(图1)。5例心脏外形呈二尖瓣型,双侧心室增大,4例呈靴型,右心室增大,主动脉结均有增宽。9例病人心血管造影检查均明确诊断。右心室造影显示主肺动脉显影后仅见1支肺动脉(左或右)显影,患侧肺动脉呈盲端(图2),有6例表现健侧肺动脉明显扩张,主动脉充盈后见另侧肺动脉显影,9例患侧肺动脉均起自升主动脉后壁(图3,4)。
图1 心脏远达片:左肺动脉异常起源合并Fallot四联症,左侧肺血增多,右侧肺血减少
图2 右心室造影(侧位),示右肺动脉异常起源并动脉导管未闭,主肺动脉显影后仅见左侧肺动脉及其分支显影,右肺动脉起始部呈盲端,主肺动脉扩张

, 百拇医药
图3,4 胸主动脉造影(正、侧位),示右肺动脉异常起源并动脉导管未闭;升主动脉显影后,见右侧肺动脉发自其左、后侧壁,右肺动脉分支走行正常
讨论
1.发病率及并存畸形:单侧肺动脉异常起源于主动脉是罕见的先天性心血管畸形。笔者未见国内报道,国外资料亦少有报道[2]。本组9例占我院同期收治先天性心脏病的0.1%。3/4的病人合并其他畸形,最常见的是对侧的动脉导管未闭、主-肺动脉间隔缺损、室间隔缺损及Fallot四联症,后者多并存于左肺动脉受累者[2,3]。本组100%有并存畸形。
2.胚胎发生及命名:胚胎期右第6弓动脉左迁停滞或左第6弓动脉发育过程有缺陷,即可形成一侧肺动脉发自升主动脉的畸形[4] 。关于该症的命名,过去称为半干畸形[5],笔者认为这种罕见的畸形是单侧肺动脉直接发自升主动脉,而半月瓣发育正常,即存在主动脉、肺动脉两组半月瓣,故称其为单侧肺动脉异常起源于主动脉较为确切,前者应摒弃。
, 百拇医药
3.血液动力学改变:一侧肺动脉起源于主动脉时,主动脉不仅供血给体循环,还供给一侧肺动脉,一方面增加左心容量负荷导致左心衰竭,另一方面右心室排出的血全部注入健侧肺,该侧肺血流量明显增加,而患侧肺动脉直接接受来自主动脉的高压血流灌注,该侧的肺血流量及压力明显增加,所以常自新生儿期即有重度肺动脉高压改变,增加右心压力负荷引起右心衰竭。
4.影像学诊断及鉴别诊断:本畸形主要依靠影像学诊断,X线平片显示两侧肺血增多,并右肺动脉高压征象,左或(和)右心室增大,似有大量左向右分流畸形,常难以作出正确诊断。但左侧肺动脉受累合并Fallot四联症的病人,左肺接受主动脉高压血流灌注,而右肺由于肺动脉或(和)右室流出道狭窄,导致右心排血受阻,使右肺动脉血流减少,X线平片可出现左侧肺血增多,右侧肺血减少征象,此征象有助于该畸形的平片诊断,本组有3例。多普勒超声心动图检查对本症有一定限度,易漏诊[1]。本组6例漏诊。CT、MRI检查均有助于该症的诊断,但费用偏高。笔者认为心血管造影仍是目前诊断本症的最好方法,可以明确显示解剖及并存畸形,方法应选择右心室及升主动脉造影,正、侧位或加角度投照。
, http://www.100md.com
本症造影的鉴别诊断:一侧肺动脉缺如合并粗大动脉导管或体-肺侧支者,右心造影易与本症混淆,前者患侧肺动脉与无名动脉或与发自主动脉弓降部的侧支血管相连,血管交接部常有狭窄区,可资鉴别。另外,共同动脉干合并一侧肺动脉缺如,主动脉造影时其影像表现亦与本症相似,但本症不具备共同动脉干的重要特征,即一组半月瓣,健侧肺野无侧支血管充盈。
单侧肺动脉异常起源于主动脉的临床症状及预后取决于早期诊断、早期治疗,防止或改善肺动脉高压。本组6例进行手术治疗,均痊愈出院。
参考文献
1 Kim TK, Choe YH, Kim HS, et al. Anomalous origin of the right pulmonary artery from the ascending aorta : diagnosis by magnetic resonance imaging. Cardiovasc Intervent Radiol, 1995, 18: 118-121.
, http://www.100md.com
2 Rees S. Arterial connections of the lung: the inaugural Keith Jefferson lecture. Clin Radiol, 1981, 32:1-15.
3 Dodo H, Alejos JC, Perloff JK, et al. Anomalous origin of the left main pulmonary artery from the ascending aorta associated with DiGeorge syndrome. Am J Cardiol, 1995, 75: 1294-1295.
4 Endo M, Haneda K, Mohri H, et al. Tetralogy of Fallot with anomalous origin of left pulmonary artery. Tohoku J Exp Med, 1992, 167: 69-77.
5 张维君,姜腾勇,主编.心导管学. 北京:人民卫生出版社,1997. 237-238.
收稿:1999-06-15
修回:1999-07-12, http://www.100md.com
单位:100029 北京,首都医科大学附属北京安贞医院放射科
关键词:心脏缺损,先天性;心血管造影术;诊断显像;对比研究
中华放射学杂志991106
【摘要】 目的 评价单侧肺动脉异常起源于主动脉的影像学诊断。方法 回顾性分析了9例单侧肺动脉异常起源于主动脉患者的临床表现、X线征象、诊断方法和手术治疗资料,所有病人均做了X线平片、彩色多普勒超声心动图及心血管造影检查。结果 9例X线平片均有肺血增多,心脏增大。多普勒超声心动图检查6例漏诊, 3例术前确诊。9例心血管造影均清楚显示该症的解剖畸形。结论 心血管造影是诊断单侧肺动脉异常起源于主动脉最可靠的手段。
Imaging diagnosis of unilateral anomalous origin of pulmonary artery from aorta
, http://www.100md.com
LIANG Qiuxiang,HUANG Xiaoyong.
Department of Radiology, Beijing Anzhen Hospital Affiliated to Capital Medical University, Beijing 100029
【Abstract】 Objective To evaluate the imaging diagnosis of unilateral anomalous origin of pulmonary artery from aorta. Methods 9 cases of unilateral anomalous origin of pulmonary artery from aorta were retrospectively analyzed, including clinical manifestations, X-ray features, diagnostic methods, and surgical management. All patients were studied with X-ray plain film, color Doppler echocardiography, and angiocardiography. Results All patients showed increased pulmonary circulation and cardiomegaly on X-ray plain film. 6 cases were missed and 3 correctly diagnosed preoperatively by color Doppler echocardiography. The anomaly of all 9 cases was clearly displayed by angiocardiography. Conclusion Angiocardiography is the most reliable method in the diagnosis of unilateral anomalous origin of pulmonary artery from aorta.
, 百拇医药
【Key words】 Heart defects,congenital Angiocardiography Diagnostic imaging Comparative study
单侧肺动脉异常起源于主动脉是一种少见的先天性心血管畸形,多并存其他心血管疾病,死亡率高,多早期夭折,应早期手术根治[1]。我院自1984年1月至1998年12月共收治9例病人,现总结如下。
材料与方法
本组9例中,男5例,女4例。年龄2~24岁,平均年龄7岁。肺动脉异常起源于右肺5例,左肺4例。9例中5例右肺动脉异常起源均并存动脉导管未闭,其中2例同时并存室间隔缺损,1例并存主-肺间隔缺损。4例左肺动脉异常起源中3例并存Fallot四联症,1例并存右室双出口(Fallot四联症型)。本组6例有不同程度的肺动脉高压,其中有2例为重度,已失去手术机会。所有病人均以心前区收缩期杂音就诊,杂音部位在胸骨左缘第2~3肋间。5例右肺动脉异常起源合并动脉导管未闭患者均未能闻及连续性杂音,这是由于并发肺动脉高压而无分流所致。9例病人均做了X线平片、彩色多普勒超声心动图及心血管造影检查,其中3例右心室造影,6例右心室+主动脉根部造影。
, http://www.100md.com
结果
6例X线平片表现为两侧肺血增多,肺门血管扩张,其中有2例肺门呈“残根状”,为右肺动脉受累并重度肺动脉高压。3例表现左侧肺血增多,右侧肺血减少,为左肺动脉受累合并Fallot四联症患者(图1)。5例心脏外形呈二尖瓣型,双侧心室增大,4例呈靴型,右心室增大,主动脉结均有增宽。9例病人心血管造影检查均明确诊断。右心室造影显示主肺动脉显影后仅见1支肺动脉(左或右)显影,患侧肺动脉呈盲端(图2),有6例表现健侧肺动脉明显扩张,主动脉充盈后见另侧肺动脉显影,9例患侧肺动脉均起自升主动脉后壁(图3,4)。
图1 心脏远达片:左肺动脉异常起源合并Fallot四联症,左侧肺血增多,右侧肺血减少
图2 右心室造影(侧位),示右肺动脉异常起源并动脉导管未闭,主肺动脉显影后仅见左侧肺动脉及其分支显影,右肺动脉起始部呈盲端,主肺动脉扩张
, 百拇医药
图3,4 胸主动脉造影(正、侧位),示右肺动脉异常起源并动脉导管未闭;升主动脉显影后,见右侧肺动脉发自其左、后侧壁,右肺动脉分支走行正常
讨论
1.发病率及并存畸形:单侧肺动脉异常起源于主动脉是罕见的先天性心血管畸形。笔者未见国内报道,国外资料亦少有报道[2]。本组9例占我院同期收治先天性心脏病的0.1%。3/4的病人合并其他畸形,最常见的是对侧的动脉导管未闭、主-肺动脉间隔缺损、室间隔缺损及Fallot四联症,后者多并存于左肺动脉受累者[2,3]。本组100%有并存畸形。
2.胚胎发生及命名:胚胎期右第6弓动脉左迁停滞或左第6弓动脉发育过程有缺陷,即可形成一侧肺动脉发自升主动脉的畸形[4] 。关于该症的命名,过去称为半干畸形[5],笔者认为这种罕见的畸形是单侧肺动脉直接发自升主动脉,而半月瓣发育正常,即存在主动脉、肺动脉两组半月瓣,故称其为单侧肺动脉异常起源于主动脉较为确切,前者应摒弃。
, 百拇医药
3.血液动力学改变:一侧肺动脉起源于主动脉时,主动脉不仅供血给体循环,还供给一侧肺动脉,一方面增加左心容量负荷导致左心衰竭,另一方面右心室排出的血全部注入健侧肺,该侧肺血流量明显增加,而患侧肺动脉直接接受来自主动脉的高压血流灌注,该侧的肺血流量及压力明显增加,所以常自新生儿期即有重度肺动脉高压改变,增加右心压力负荷引起右心衰竭。
4.影像学诊断及鉴别诊断:本畸形主要依靠影像学诊断,X线平片显示两侧肺血增多,并右肺动脉高压征象,左或(和)右心室增大,似有大量左向右分流畸形,常难以作出正确诊断。但左侧肺动脉受累合并Fallot四联症的病人,左肺接受主动脉高压血流灌注,而右肺由于肺动脉或(和)右室流出道狭窄,导致右心排血受阻,使右肺动脉血流减少,X线平片可出现左侧肺血增多,右侧肺血减少征象,此征象有助于该畸形的平片诊断,本组有3例。多普勒超声心动图检查对本症有一定限度,易漏诊[1]。本组6例漏诊。CT、MRI检查均有助于该症的诊断,但费用偏高。笔者认为心血管造影仍是目前诊断本症的最好方法,可以明确显示解剖及并存畸形,方法应选择右心室及升主动脉造影,正、侧位或加角度投照。
, http://www.100md.com
本症造影的鉴别诊断:一侧肺动脉缺如合并粗大动脉导管或体-肺侧支者,右心造影易与本症混淆,前者患侧肺动脉与无名动脉或与发自主动脉弓降部的侧支血管相连,血管交接部常有狭窄区,可资鉴别。另外,共同动脉干合并一侧肺动脉缺如,主动脉造影时其影像表现亦与本症相似,但本症不具备共同动脉干的重要特征,即一组半月瓣,健侧肺野无侧支血管充盈。
单侧肺动脉异常起源于主动脉的临床症状及预后取决于早期诊断、早期治疗,防止或改善肺动脉高压。本组6例进行手术治疗,均痊愈出院。
参考文献
1 Kim TK, Choe YH, Kim HS, et al. Anomalous origin of the right pulmonary artery from the ascending aorta : diagnosis by magnetic resonance imaging. Cardiovasc Intervent Radiol, 1995, 18: 118-121.
, http://www.100md.com
2 Rees S. Arterial connections of the lung: the inaugural Keith Jefferson lecture. Clin Radiol, 1981, 32:1-15.
3 Dodo H, Alejos JC, Perloff JK, et al. Anomalous origin of the left main pulmonary artery from the ascending aorta associated with DiGeorge syndrome. Am J Cardiol, 1995, 75: 1294-1295.
4 Endo M, Haneda K, Mohri H, et al. Tetralogy of Fallot with anomalous origin of left pulmonary artery. Tohoku J Exp Med, 1992, 167: 69-77.
5 张维君,姜腾勇,主编.心导管学. 北京:人民卫生出版社,1997. 237-238.
收稿:1999-06-15
修回:1999-07-12, http://www.100md.com