肝癌栓塞治疗中碘化油特点的应用研究
作者:杨立 夏东州 张铁汉 王力非 邢冲冲
单位:杨立(100853 北京,中国人民解放军总医院放射科);邢冲冲(100853 北京,中国人民解放军总医院放射科);夏东州(100853 北京,中国人民解放军总医院进修医师);张铁汉(100853 北京,中国人民解放军总医院进修医师);王力非(100853 北京,中国人民解放军总医院进修医师)
关键词:原发性肝癌;碘化油;化疗栓塞
临床放射学杂志000516 【摘要】目的 探讨不同碘化油肝动脉栓塞后在肝脏内的分布特点。 材料与方法 随机选择经影像学和细胞病理学证实的原发性肝癌患者36例,分别应用普通碘油、超液化碘油及2种碘油以1∶1的比例混合后行肝动脉栓塞治疗。应用平片和CT复查,了解碘油在肝癌病变区和病灶周围正常组织内的分布。按碘油全部积聚在病灶内、多数积聚在病灶内、病灶内外均有积聚统计结果。 结果 对36例原发性肝癌分别应用普通碘油行肝动脉栓塞(11例)、超液化碘油栓塞(13例)及两者混合后栓塞治疗(12例),经平片和CT复查发现,碘油完全积聚于病灶内者在普通碘油组为91.0%(10/11),超液化碘油组为7.7%(1/13),混合组为33.0%(4/12)。超液化碘油似乎更容易于病灶内消失。 结论 在肝癌应用碘油行栓塞治疗中,普通碘油主要积聚于病灶内,而超液化碘油可在病灶内、外广泛分布。
, http://www.100md.com
Clinical Research on the Characteristics of Lipiodol in Chemoembolization Therapy for Hepatic Cellular Carcinoma
YANG Li, XIA Dongzhou, ZHANG Tiehan,et al
(Department of Radiology, General Hospital of PLA, Beijing 100853, P.R.China)
【ABSTRACT】 Objective To investigate the intrahepatic distribution of Lipiodol in chemoembolization therapy for primary hepatic cellular carcinoma (HCC). Materials and Methods Thirty-six patients with HCC, proved by imaging and/or biopsy, were randomly divided into three groups and were treated with common Lipiodol (n=11), Ultra Fluide Lipiodol (n=13), or a mixture of the above two preparations with a ratio of 1∶1 (n=12), respectively. The distribution of Lipiodol in the liver demonstrated on plain films and CT scans was observed in 15~20 days after chemoembolization. The distribution was graded as follows. (1) Excellent: all Lipiodol was deposited in the lesions; (2) Good: most Lipiodol was deposited in the lesions, while small amount of Lipiodol stayed in normal hepatic parenchyma; (3) Poor: Lipiodol was deposited in both lesions and normal hepatic parenchyma about equally. Results The occurrences of Lipiodol deposit seen only inside the lesions in the common group, Ultra Fluide group and mixture group were 91% (10/11), 7.7% (1/13) and 33% (4/12), respectively. Follow-up CT scans showed that Ultra Fluide Lipiodol easily escaped from the lesions. Conclusion In chemoembolization therapy with Lipiodol for HCC, the common Lipiodol can almost always deposit in the lesions rather than in the normal parenchyma as seen in the case of using Ultra Fluide Lipiodol.
, 百拇医药
【Key words】Primary hepatic cellular carcinoma Lipiodol Chemoembolization
在肝癌的栓塞治疗(transartery embolization,TAE)中,碘化油(以下简称碘油)一直是临床首选的化疗栓塞剂。注入肝动脉的碘油绝大多数积聚于病变区,并可缓慢释放化疗药物,发挥局部化疗栓塞作用。近年来,一种超液化碘油在临床工作中广泛应用,因其具有低粘度、易于经较细导管注射的特点,而被介入放射医师所接受。但其栓塞和药物的缓释作用与既往常用的普通碘油有何不同以及在肿瘤内的积聚状况未引起特别的重视。本研究拟在肝癌的化疗栓塞治疗中,随机应用普通碘油和超液化碘油作为栓塞剂,观察不同碘油在肝内和病灶内的积聚和转归情况。探讨不同碘油的化疗栓塞作用,为临床应用提供借鉴。
1 材料与方法
选择既往未行任何治疗的原发性肝细胞癌患者36例,其中男31例,女5例,年龄31~80岁,平均52岁。在动脉化疗栓塞治疗中,以随机的原则,分别应用普通碘油(40%,淮海制药厂生产)、超液化碘油(38%,Laboratoire Guerbet,Aulnay-sous-Bois,France,97LU005A),以及两者以1∶1的比例混合后作为栓塞剂。所有患者在栓塞前经导管灌注不同剂量(依据患者肝功能而定)的化疗药物(表阿霉素、5-FU、丝裂霉素、吡柔吡星等其中的2或3种),并给予200万U的白介素-Ⅱ,经导管注入。然后以适量的碘油同化疗药物混合后经动脉导管注入,碘油用量根据病变的大小和肿瘤血管的丰富与否而定,一般为8~25ml。所用的化疗药物为表阿霉素或吡柔吡星,用量为10~20mg。



, 百拇医药
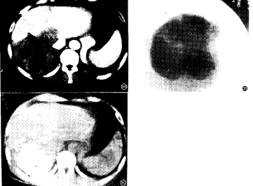
图1 患者 男,60岁。乙型肝炎病史11年。超声检查发现肝右叶占位病变,并经针吸活检证实为肝细胞癌。A.肝脏CT增强扫描见肝右叶一明显强化病灶,大小约2.0cm×2.5cm。其外侧见一3.0cm×3.5cm大小的囊性病变,影像学诊断为肝囊肿。B.经用超液化碘油行TAE治疗16天后CT平扫复查,见肝癌病灶内碘油积聚密实,但肝右叶正常肝实质内也见大量碘油沉积。C.同一检查见肝右叶后段非病变区也有大量碘油沉积 图2 患者 男,38岁。患乙型肝炎及肝硬化7年。影像学检查及活检证实为肝右叶小肝癌。A.应用超液化碘油栓塞后17天CT复查,见碘油积聚于病灶内,同时病灶周围组织内也见大量碘油积聚。B.肝右叶非病变区内亦见大量碘油积聚
肝动脉插管采用标准Seldinger技术,以右或左侧股动脉入路,在X线透视引导下,选插入肝癌的供血动脉,造影了解病变血供情况,同时结合其他影像诊断,如确定病变位于肝右叶,则选插入肝右动脉;如病变限于肝左叶,则选插入肝左动脉;如病变累及左右两叶,则将导管远端置于肝固有动脉。在化疗药物灌注和栓塞后,常规拍摄肝脏局部平片,初步判断碘油的积聚情况。
, 百拇医药
所有患者均在术后2周~20天之内应用CT平扫复查,精确了解碘油的积聚情况。根据CT复查结果,将碘油的积聚状态分为3种:全部积聚在病灶内、多数积聚在病灶内、病灶内外均有较多碘油积聚。对于重复治疗的患者,针对病灶内碘油的积聚情况,调整所用碘油的种类,并多次应用CT复查,观察碘油的积聚情况和转归。
2 结果
36例原发性肝癌患者,21例经临床、实验室和影像学检查确诊,15例得到细胞病理学检查证实。合并有乙型肝炎病史和/或肝硬化背景者34例(94.4%),术前实验室检查结果,肝功能为Child A级27例,B级6例,C级2例。全部患者截止到本文统计时为止共行TAE 55次。30天内无1例死亡。应用不同碘油作为栓塞剂治疗例数和次数及碘油分布结果见附表。表内数字分布提示,普通碘油以积聚于病灶内为主,超液化碘油病灶内外均有大量分布(图1、2),2种碘油混合后,同前两者相比,特点不突出(图3)。
, 百拇医药 此外,在13例超液化碘油栓塞的病例中,发现3例患者第1次栓塞的效果很好,20天左右复查见碘油在病灶内积聚充实;2个月左右CT复查时病灶缩小,但病灶内碘油大部分消失,仅在病灶边缘仍见部分碘油积聚(图4)。
附表 应用不同碘油栓塞治疗肝癌分组和碘油分布结果 (例,%) 例数、次数和碘油分布
普通碘油
超液化碘油
混合碘油
例 数
11
13
12
次 数
, 百拇医药
21
15
19
全部在病灶内分布
10 (91.0)
1 ( 7.7)
4 (33.0)
多数在病灶内分布
1 ( 9.0)
2 (14.8)
5 (41.6)
病灶内外大量分布
, 百拇医药
0
10 (76.9)
3 (25.0)
注:*仅为首次栓塞治疗后CT复查的结果

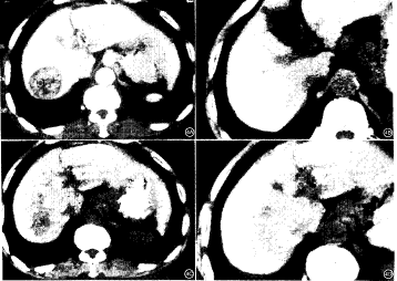
图3 患者 男,58岁。患乙型肝炎及肝硬化9年,经超声及活检证实为原发性肝癌。A.CT增强扫描见肝右叶不规则形态混合密度病变。B.应用超液化碘油和普通碘油以1∶1的比例混合后栓塞,即刻摄片见碘油大多数积聚于病灶内,但病灶周围也见很多碘油分布。C.栓塞后25天CT复查见病灶有缩小,病灶内外均见碘油沉积图4 患者 男,56岁。影像学及细胞学检查证实为肝右叶原发性肝癌。A.术前CT增强扫描见肝右叶不均匀强化病变。B.经用超液化碘油行TAE治疗后,21天复查,病灶内碘油积聚良好。C.45天时复查,病变有缩小,但病灶内大部分碘油已消失,仅原病灶边缘部仍有部分碘油沉积。D.第2次栓塞后碘油沉积于病灶内
, 百拇医药
3 讨论
应用碘油化疗药物混合剂行肝癌的栓塞治疗是介入放射工作的重要部分并已取得了良好的临床疗效[1],其原理主要基于以下2点:(1)大部分原发性肝癌属富血供类型,使得经导管注入的碘油主要积聚于病灶区,阻断或减少肿瘤的血供; (2)化疗药物从碘油内缓慢释出,使得病变局部的化疗药物浓度高、作用时间长,可有效地发挥化疗栓塞作用,达到控制肿瘤生长的目的。
肝动脉的插管技术已很成熟。目前,为了减少动脉插管对血管造成的损伤,使用的导管型号趋于更小。5F直径是最常用的导管,个别病例甚至应用3F的微细导管。超液化碘油的应用,适应了这一发展趋势,由于碘油呈超液化状态,有利于经内径细小的导管注入,减少了阻塞导管的机率,同时也大大减轻了术者推注粘稠碘油的疲劳。但在应用超液化碘油栓塞后,在CT复查时经常发现,碘油不但积聚于病灶内,同时也大量分布于非病灶区。因此非常有必要探讨其栓塞作用同既往常用的普通碘油是否一样,超液化碘油的药物缓释作用又如何,以及是否对肝脏功能有无不良影响。
, http://www.100md.com
从本研究的结果来看,在应用超液化碘油时,除病灶区外,碘油也在正常的肝组织内大量分布。这一结果提示,应用超液化碘油行肝癌的TAE治疗,碘油不能充分积聚于病变区,由此必将造成对肿瘤的栓塞作用不足,其所携带的化疗药物也不能有效地释放到病变区,而正常肝组织内的积聚反而导致这些组织将受到化疗栓塞的影响,而使肝功能进一步破坏。超液化碘油不能充分、全部积聚于病灶内,可能与其粘度低,注入时油滴分散,受富血供肝癌“虹吸作用”影响较小而进入正常肝脏微细的小血管内所造成。为了改善这一现象,笔者尝试将超液化碘油与普通碘油混合进行栓塞,但结果并不理想,仍有相当比例的碘油进入正常肝组织。在普通碘油组,碘油基本积聚于病灶内,这同既往所报道的TAE结果是一致的[1,2]。本组结果也进一步证实普通碘油由于其粘度大,在推注时可形成较大的油滴,受肝癌“虹吸作用”影响明显,而主要积聚于病灶内,其栓塞化疗作用也将集中于病变区,对病变的治疗作用是显而易见的。
本组未对栓塞前后肝脏功能的变化进行对照研究,主要基于以下因素:(1)尽管大部分患者肝功能在正常范围内,但其肝硬化程度不同,肝功能储备能力差异很大; (2)病变大小不一,因此碘油用量和栓塞的程度也难以一致,即很难使非栓塞因素组间一致化。尽管如此,超液化碘油在肝脏内的弥漫分布和所携带化疗药物的双重作用无疑会加重原本就较差的肝脏功能,使其在栓塞后的恢复需更长的时间,对肝功能的负面影响不容忽视。
, 百拇医药
对于一部分少至中等血供的肝癌,普通碘油由于其粘度大,注射时一是用量受到限制,二是碘油易于在血管内形成铸型,造成栓塞时患者的剧烈疼痛,同时碘油也难以进入病变区。当遇到这一情况时,酌情使用超液化碘油,或将超液化碘油与普通碘油以适当比例相混合,有望达到良好的化疗栓塞作用。但应充分注意到碘油的广泛分布对肝脏功能的影响,必要时应减少碘油的用量。
一般来说,原有碘油积聚的地方,如果碘油减少或消失,常提示病变有新的进展,就应及时进行栓塞治疗[3,4]。本组有3例在应用超液化碘油行TAE后的CT随访中发现,20天左右病灶内碘油积聚良好,但2个月再次复查时发现尽管病变得到有效控制,病变周围和内部未见新的病变出现,但碘油却大量减少,是否提示超液化碘油易于被代谢,而其对肿瘤的抑制作用将减低,对此有待更多的病例加以证实。
相当多接受TAE治疗的是肝转移癌患者,如结肠癌肝转移,且其血管类型多为少血供型,超液化碘油对这一类病变的栓塞作用如何,有待进一步探讨,而不能笼统照搬原发性肝癌的化疗栓塞方案。
, 百拇医药
此外,笔者的另一项实验结果已证实,超液化碘油同化疗药物混合后的缓释作用也大大低于普通碘油。
目前超液化碘油均为进口制剂,同等量的费用是国产普通碘油的十几倍,对于需反复多次栓塞治疗的患者造成很大的经济负担。综合以上因素,笔者认为应在常规肝癌的TAE治疗中尽量应用国产普通碘油,对超液化碘油的应用应限于特殊情况,有选择地使用。
参考文献
1,郭俊渊,黄志程,刘鹏程.肝动脉灌注化疗和栓塞治疗原发性肝癌.中华放射学杂志, 1988, 22:261
2,Yamada R, Sato M, Kawadata M,et al. Hepatic artery embolization in 120 patients with unresectable hepatoma. Radiology, 1983, 148:397
3,涂蓉,郭俊渊,王承缘,等.肝癌碘油栓塞后的碘油沉积与肿瘤坏死.中华放射学杂志, 1992, 26:302
4,全显跃,许达生.肝癌肝动脉碘油抗癌药乳剂栓塞后的CT研究.中华放射学杂志, 1992, 26:668
收稿:1999-08-30, http://www.100md.com
单位:杨立(100853 北京,中国人民解放军总医院放射科);邢冲冲(100853 北京,中国人民解放军总医院放射科);夏东州(100853 北京,中国人民解放军总医院进修医师);张铁汉(100853 北京,中国人民解放军总医院进修医师);王力非(100853 北京,中国人民解放军总医院进修医师)
关键词:原发性肝癌;碘化油;化疗栓塞
临床放射学杂志000516 【摘要】目的 探讨不同碘化油肝动脉栓塞后在肝脏内的分布特点。 材料与方法 随机选择经影像学和细胞病理学证实的原发性肝癌患者36例,分别应用普通碘油、超液化碘油及2种碘油以1∶1的比例混合后行肝动脉栓塞治疗。应用平片和CT复查,了解碘油在肝癌病变区和病灶周围正常组织内的分布。按碘油全部积聚在病灶内、多数积聚在病灶内、病灶内外均有积聚统计结果。 结果 对36例原发性肝癌分别应用普通碘油行肝动脉栓塞(11例)、超液化碘油栓塞(13例)及两者混合后栓塞治疗(12例),经平片和CT复查发现,碘油完全积聚于病灶内者在普通碘油组为91.0%(10/11),超液化碘油组为7.7%(1/13),混合组为33.0%(4/12)。超液化碘油似乎更容易于病灶内消失。 结论 在肝癌应用碘油行栓塞治疗中,普通碘油主要积聚于病灶内,而超液化碘油可在病灶内、外广泛分布。
, http://www.100md.com
Clinical Research on the Characteristics of Lipiodol in Chemoembolization Therapy for Hepatic Cellular Carcinoma
YANG Li, XIA Dongzhou, ZHANG Tiehan,et al
(Department of Radiology, General Hospital of PLA, Beijing 100853, P.R.China)
【ABSTRACT】 Objective To investigate the intrahepatic distribution of Lipiodol in chemoembolization therapy for primary hepatic cellular carcinoma (HCC). Materials and Methods Thirty-six patients with HCC, proved by imaging and/or biopsy, were randomly divided into three groups and were treated with common Lipiodol (n=11), Ultra Fluide Lipiodol (n=13), or a mixture of the above two preparations with a ratio of 1∶1 (n=12), respectively. The distribution of Lipiodol in the liver demonstrated on plain films and CT scans was observed in 15~20 days after chemoembolization. The distribution was graded as follows. (1) Excellent: all Lipiodol was deposited in the lesions; (2) Good: most Lipiodol was deposited in the lesions, while small amount of Lipiodol stayed in normal hepatic parenchyma; (3) Poor: Lipiodol was deposited in both lesions and normal hepatic parenchyma about equally. Results The occurrences of Lipiodol deposit seen only inside the lesions in the common group, Ultra Fluide group and mixture group were 91% (10/11), 7.7% (1/13) and 33% (4/12), respectively. Follow-up CT scans showed that Ultra Fluide Lipiodol easily escaped from the lesions. Conclusion In chemoembolization therapy with Lipiodol for HCC, the common Lipiodol can almost always deposit in the lesions rather than in the normal parenchyma as seen in the case of using Ultra Fluide Lipiodol.
, 百拇医药
【Key words】Primary hepatic cellular carcinoma Lipiodol Chemoembolization
在肝癌的栓塞治疗(transartery embolization,TAE)中,碘化油(以下简称碘油)一直是临床首选的化疗栓塞剂。注入肝动脉的碘油绝大多数积聚于病变区,并可缓慢释放化疗药物,发挥局部化疗栓塞作用。近年来,一种超液化碘油在临床工作中广泛应用,因其具有低粘度、易于经较细导管注射的特点,而被介入放射医师所接受。但其栓塞和药物的缓释作用与既往常用的普通碘油有何不同以及在肿瘤内的积聚状况未引起特别的重视。本研究拟在肝癌的化疗栓塞治疗中,随机应用普通碘油和超液化碘油作为栓塞剂,观察不同碘油在肝内和病灶内的积聚和转归情况。探讨不同碘油的化疗栓塞作用,为临床应用提供借鉴。
1 材料与方法
选择既往未行任何治疗的原发性肝细胞癌患者36例,其中男31例,女5例,年龄31~80岁,平均52岁。在动脉化疗栓塞治疗中,以随机的原则,分别应用普通碘油(40%,淮海制药厂生产)、超液化碘油(38%,Laboratoire Guerbet,Aulnay-sous-Bois,France,97LU005A),以及两者以1∶1的比例混合后作为栓塞剂。所有患者在栓塞前经导管灌注不同剂量(依据患者肝功能而定)的化疗药物(表阿霉素、5-FU、丝裂霉素、吡柔吡星等其中的2或3种),并给予200万U的白介素-Ⅱ,经导管注入。然后以适量的碘油同化疗药物混合后经动脉导管注入,碘油用量根据病变的大小和肿瘤血管的丰富与否而定,一般为8~25ml。所用的化疗药物为表阿霉素或吡柔吡星,用量为10~20mg。
, 百拇医药
图1 患者 男,60岁。乙型肝炎病史11年。超声检查发现肝右叶占位病变,并经针吸活检证实为肝细胞癌。A.肝脏CT增强扫描见肝右叶一明显强化病灶,大小约2.0cm×2.5cm。其外侧见一3.0cm×3.5cm大小的囊性病变,影像学诊断为肝囊肿。B.经用超液化碘油行TAE治疗16天后CT平扫复查,见肝癌病灶内碘油积聚密实,但肝右叶正常肝实质内也见大量碘油沉积。C.同一检查见肝右叶后段非病变区也有大量碘油沉积 图2 患者 男,38岁。患乙型肝炎及肝硬化7年。影像学检查及活检证实为肝右叶小肝癌。A.应用超液化碘油栓塞后17天CT复查,见碘油积聚于病灶内,同时病灶周围组织内也见大量碘油积聚。B.肝右叶非病变区内亦见大量碘油积聚
肝动脉插管采用标准Seldinger技术,以右或左侧股动脉入路,在X线透视引导下,选插入肝癌的供血动脉,造影了解病变血供情况,同时结合其他影像诊断,如确定病变位于肝右叶,则选插入肝右动脉;如病变限于肝左叶,则选插入肝左动脉;如病变累及左右两叶,则将导管远端置于肝固有动脉。在化疗药物灌注和栓塞后,常规拍摄肝脏局部平片,初步判断碘油的积聚情况。
, 百拇医药
所有患者均在术后2周~20天之内应用CT平扫复查,精确了解碘油的积聚情况。根据CT复查结果,将碘油的积聚状态分为3种:全部积聚在病灶内、多数积聚在病灶内、病灶内外均有较多碘油积聚。对于重复治疗的患者,针对病灶内碘油的积聚情况,调整所用碘油的种类,并多次应用CT复查,观察碘油的积聚情况和转归。
2 结果
36例原发性肝癌患者,21例经临床、实验室和影像学检查确诊,15例得到细胞病理学检查证实。合并有乙型肝炎病史和/或肝硬化背景者34例(94.4%),术前实验室检查结果,肝功能为Child A级27例,B级6例,C级2例。全部患者截止到本文统计时为止共行TAE 55次。30天内无1例死亡。应用不同碘油作为栓塞剂治疗例数和次数及碘油分布结果见附表。表内数字分布提示,普通碘油以积聚于病灶内为主,超液化碘油病灶内外均有大量分布(图1、2),2种碘油混合后,同前两者相比,特点不突出(图3)。
, 百拇医药 此外,在13例超液化碘油栓塞的病例中,发现3例患者第1次栓塞的效果很好,20天左右复查见碘油在病灶内积聚充实;2个月左右CT复查时病灶缩小,但病灶内碘油大部分消失,仅在病灶边缘仍见部分碘油积聚(图4)。
附表 应用不同碘油栓塞治疗肝癌分组和碘油分布结果 (例,%) 例数、次数和碘油分布
普通碘油
超液化碘油
混合碘油
例 数
11
13
12
次 数
, 百拇医药
21
15
19
全部在病灶内分布
10 (91.0)
1 ( 7.7)
4 (33.0)
多数在病灶内分布
1 ( 9.0)
2 (14.8)
5 (41.6)
病灶内外大量分布
, 百拇医药
0
10 (76.9)
3 (25.0)
注:*仅为首次栓塞治疗后CT复查的结果
图3 患者 男,58岁。患乙型肝炎及肝硬化9年,经超声及活检证实为原发性肝癌。A.CT增强扫描见肝右叶不规则形态混合密度病变。B.应用超液化碘油和普通碘油以1∶1的比例混合后栓塞,即刻摄片见碘油大多数积聚于病灶内,但病灶周围也见很多碘油分布。C.栓塞后25天CT复查见病灶有缩小,病灶内外均见碘油沉积图4 患者 男,56岁。影像学及细胞学检查证实为肝右叶原发性肝癌。A.术前CT增强扫描见肝右叶不均匀强化病变。B.经用超液化碘油行TAE治疗后,21天复查,病灶内碘油积聚良好。C.45天时复查,病变有缩小,但病灶内大部分碘油已消失,仅原病灶边缘部仍有部分碘油沉积。D.第2次栓塞后碘油沉积于病灶内
, 百拇医药
3 讨论
应用碘油化疗药物混合剂行肝癌的栓塞治疗是介入放射工作的重要部分并已取得了良好的临床疗效[1],其原理主要基于以下2点:(1)大部分原发性肝癌属富血供类型,使得经导管注入的碘油主要积聚于病灶区,阻断或减少肿瘤的血供; (2)化疗药物从碘油内缓慢释出,使得病变局部的化疗药物浓度高、作用时间长,可有效地发挥化疗栓塞作用,达到控制肿瘤生长的目的。
肝动脉的插管技术已很成熟。目前,为了减少动脉插管对血管造成的损伤,使用的导管型号趋于更小。5F直径是最常用的导管,个别病例甚至应用3F的微细导管。超液化碘油的应用,适应了这一发展趋势,由于碘油呈超液化状态,有利于经内径细小的导管注入,减少了阻塞导管的机率,同时也大大减轻了术者推注粘稠碘油的疲劳。但在应用超液化碘油栓塞后,在CT复查时经常发现,碘油不但积聚于病灶内,同时也大量分布于非病灶区。因此非常有必要探讨其栓塞作用同既往常用的普通碘油是否一样,超液化碘油的药物缓释作用又如何,以及是否对肝脏功能有无不良影响。
, http://www.100md.com
从本研究的结果来看,在应用超液化碘油时,除病灶区外,碘油也在正常的肝组织内大量分布。这一结果提示,应用超液化碘油行肝癌的TAE治疗,碘油不能充分积聚于病变区,由此必将造成对肿瘤的栓塞作用不足,其所携带的化疗药物也不能有效地释放到病变区,而正常肝组织内的积聚反而导致这些组织将受到化疗栓塞的影响,而使肝功能进一步破坏。超液化碘油不能充分、全部积聚于病灶内,可能与其粘度低,注入时油滴分散,受富血供肝癌“虹吸作用”影响较小而进入正常肝脏微细的小血管内所造成。为了改善这一现象,笔者尝试将超液化碘油与普通碘油混合进行栓塞,但结果并不理想,仍有相当比例的碘油进入正常肝组织。在普通碘油组,碘油基本积聚于病灶内,这同既往所报道的TAE结果是一致的[1,2]。本组结果也进一步证实普通碘油由于其粘度大,在推注时可形成较大的油滴,受肝癌“虹吸作用”影响明显,而主要积聚于病灶内,其栓塞化疗作用也将集中于病变区,对病变的治疗作用是显而易见的。
本组未对栓塞前后肝脏功能的变化进行对照研究,主要基于以下因素:(1)尽管大部分患者肝功能在正常范围内,但其肝硬化程度不同,肝功能储备能力差异很大; (2)病变大小不一,因此碘油用量和栓塞的程度也难以一致,即很难使非栓塞因素组间一致化。尽管如此,超液化碘油在肝脏内的弥漫分布和所携带化疗药物的双重作用无疑会加重原本就较差的肝脏功能,使其在栓塞后的恢复需更长的时间,对肝功能的负面影响不容忽视。
, 百拇医药
对于一部分少至中等血供的肝癌,普通碘油由于其粘度大,注射时一是用量受到限制,二是碘油易于在血管内形成铸型,造成栓塞时患者的剧烈疼痛,同时碘油也难以进入病变区。当遇到这一情况时,酌情使用超液化碘油,或将超液化碘油与普通碘油以适当比例相混合,有望达到良好的化疗栓塞作用。但应充分注意到碘油的广泛分布对肝脏功能的影响,必要时应减少碘油的用量。
一般来说,原有碘油积聚的地方,如果碘油减少或消失,常提示病变有新的进展,就应及时进行栓塞治疗[3,4]。本组有3例在应用超液化碘油行TAE后的CT随访中发现,20天左右病灶内碘油积聚良好,但2个月再次复查时发现尽管病变得到有效控制,病变周围和内部未见新的病变出现,但碘油却大量减少,是否提示超液化碘油易于被代谢,而其对肿瘤的抑制作用将减低,对此有待更多的病例加以证实。
相当多接受TAE治疗的是肝转移癌患者,如结肠癌肝转移,且其血管类型多为少血供型,超液化碘油对这一类病变的栓塞作用如何,有待进一步探讨,而不能笼统照搬原发性肝癌的化疗栓塞方案。
, 百拇医药
此外,笔者的另一项实验结果已证实,超液化碘油同化疗药物混合后的缓释作用也大大低于普通碘油。
目前超液化碘油均为进口制剂,同等量的费用是国产普通碘油的十几倍,对于需反复多次栓塞治疗的患者造成很大的经济负担。综合以上因素,笔者认为应在常规肝癌的TAE治疗中尽量应用国产普通碘油,对超液化碘油的应用应限于特殊情况,有选择地使用。
参考文献
1,郭俊渊,黄志程,刘鹏程.肝动脉灌注化疗和栓塞治疗原发性肝癌.中华放射学杂志, 1988, 22:261
2,Yamada R, Sato M, Kawadata M,et al. Hepatic artery embolization in 120 patients with unresectable hepatoma. Radiology, 1983, 148:397
3,涂蓉,郭俊渊,王承缘,等.肝癌碘油栓塞后的碘油沉积与肿瘤坏死.中华放射学杂志, 1992, 26:302
4,全显跃,许达生.肝癌肝动脉碘油抗癌药乳剂栓塞后的CT研究.中华放射学杂志, 1992, 26:668
收稿:1999-08-30, http://www.100md.com