层粘连蛋白对腺样囊性癌细胞侵袭和转移的影响
作者:史宏男 何荣根 周正炎
单位:史宏男 周正炎(200065 上海铁道大学附属甘泉医院口腔颌面外科);何荣根(上海第二医科大学口腔医学院)
关键词:层粘连蛋白;层粘连蛋白受体;肿瘤转移
中华口腔医学杂志990107 【摘要】 目的 研究层粘连蛋白(laminin,LN)与人涎腺腺样囊性癌(adenoid cystic carcinoma,Acc)转移的关系。方法 应用免疫组织化学染色,Boyden小室体外移动试验和体外粘附试验,对人涎腺腺样囊性癌细胞系Acc-2和从其克隆出的肺高转移细胞株Acc-M进行比较研究。结果 发现LN和层粘连蛋白受体(laminin receptor,LNR)在Acc-M表达明显高于Acc-2。在加入外源性LN后,Acc-2体外移动性、粘附率均明显提高,而Acc-M无明显变化。结论 层粘连蛋白在Acc转移和转移过程中起重要的调节作用。
, 百拇医药
Effects of laminin on the invasive and metastatic behaviors of
human salivary adenoid cystic carcinoma cell lines
SHI Hongnan*, HE Ronggen, ZHOU Zhengyan.
*Ganquan Hospital Shanghai Tiedao University, Shanghai 200065
【Abstract】 Objective To study the effect of laminin(LN) on invasive and metastastic behaviors of salivary adenoid cystic carcinoma(Acc) cell lines.Methods Immunohistochemistry, Boyden chamber in vitro motility, and adhesion test were used. LN and LNR(LN receptor) distributions in Acc-2 and Acc-M cells were studied with immunohistochemical staining.Results There were less LN and LNR found in Acc-2, but much more LN and LNR were present in the highy metastatic clone Acc-M. With the presence of exgenous LN, Acc-2 became activated showing a higher migration rate. The cell adhesion test showed that Acc-2 had stronger ability of adhesion than Acc-M with the presence of LN.Conclusion The result suggests LN and LNR may play a vitral role in the invasion and metastasis of Acc.
, http://www.100md.com
【Key words】 Laminin Receptor, laminin Neoplasm metastasis
恶性肿瘤的侵袭和转移是十分复杂的生物学过程,要完成癌细胞的脱落、浸润、生长等“转移阶梯反应”(metastatic cascade)[1]。其中,癌细胞至少要两次侵入、穿出基底膜,所以基底膜(basement membrance, BM)与肿瘤细胞转移的关系已越来越引起人们的关注。作为BM成分之一的层粘连蛋白(laminin, LN),已被确定与高转移潜能肿瘤细胞结合的较多,而与低度恶性肿瘤细胞结合较少[2],同时也证实层粘连蛋白受体(laminin receptor, LNR)特异性与LN结合,介导肿瘤细胞粘附于IV型胶原上[3]。我们利用人涎腺腺样囊性癌细胞系Acc-2[4]和其中克隆出的肺高转移细胞株Acc-M[5],检测LN、LNR在两株中的分布,以及LN对两株细胞株体外移动性和粘附性的影响,以证实LN和LNR对涎腺腺样囊性癌转移的影响。
, http://www.100md.com
材料与方法
1.细胞学:人涎腺腺样囊性癌细胞系Acc-2(上海第二医科大学口腔医学院建株)[4]。肺高转移细胞株Acc-M通过体内、外方法从Acc-2克隆获得[5]。两株细胞由CO2培养箱、37℃连续培养,培养液RPMI1640+20%小牛血清+青、链霉素双抗。
2.动物实验:30只BALA/C(nu/nu)裸小鼠(中国科学院上海动物中心提供),4周龄,随机分成二组。将两株细胞制成5×109个/L细胞悬液,每只裸鼠经尾静脉注入0.2 ml细胞悬液。8周时处死,取肺叶制备石蜡切片,HE染色镜检。
3.免疫组化染色:试剂:抗LN单抗:Sigma(1∶1 000),抗LNR单抗:NIH(Dr.Hand赠)。ABC法。经制备培养细胞玻片、吹干、丙酮固定、一抗4℃12小时,常规二抗IgG,ABC试剂,DAB染色,光镜观察。阴性对照用PBS代替一抗。
, 百拇医药
4.细胞体外移动实验:LN(北京医科大学细胞生物学教研室提供)使用改良的Boyden小室,上下室由硝化纤维微孔滤膜(上海医工院提供),孔径8 μm,上室加癌细胞悬液0.2 ml,下室加常规培养液0.2 ml,实验组下室加LN10 μg,Boyden小室置37℃,5%CO2常规培养48小时,取出滤膜正丙醇固定、HE染色、正丙醇脱水透明、树胶封片,200倍镜下计数移入滤膜不同深度的肿瘤细胞数目,每10 μm为一层次,计5层,每个滤膜取5个视野,取平均值进行计数。
5.细胞体外粘附试验:制备浓度为5×109个/L的癌细胞悬液,取12孔细胞培养板(costar),每孔加悬液0.2 ml,实验组每孔加LN10 μg。培养30、60、90、120分钟后弃去未粘细胞,Hank's液轻洗2遍收集未粘附细胞计数。按公式:
。
结果
, http://www.100md.com
1.动物实验:经尾静脉接种Acc-M接种组:15只裸小鼠经镜检,13只出现肺转移,Acc-2接种组:15只裸小鼠只有1只肺转移。经统计学处理,两组具有极显著差异(P<0.01)。
光镜见肺内血管中大量肿瘤细胞组成癌栓,癌细胞同时分布在整个肺泡内,核明显异染,分裂相增多,呈典型的癌转移灶(图1)。
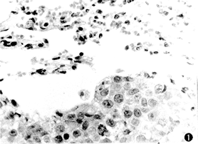
2.免疫组织化学染色:(表1,图2)。染色根据棕色着色强度分为:强表达(++),弱表达(+),无表达(-)。表1中Acc-M在胞膜、胞浆都有LN,LNR的大量表达,其比Acc-2的LN,LNR表达明显多。
表1 层粘连蛋白和层粘连蛋白受体
在Acc-2和Acc-M中的表达 细胞株
层粘连蛋白
, 百拇医药
层粘连蛋白受体
胞膜
胞浆
胞核
胞膜
胞浆
胞核
Acc-2
+
+
-
+
-
-
, 百拇医药
Acc-M
+++
++
-
++
+
-
注:Acc-2:涎腺腺样囊性癌细胞系-2;Acc-M:腺样囊性癌肺高转移细胞株
图1 裸鼠的人涎腺腺样囊性癌肺转移灶(HE×400)
图2 人涎腺腺样囊性癌肺高转移细胞株抗LN单抗免疫组化强阳性(×400)
, 百拇医药
3.体外移动试验(表2):经统计学处理,Acc-M加入LN后各层次移入的细胞数与Acc-M无显著性差异,而Acc-2加入LN后10 μm、20 μm、50 μm层有极显著性差异,30 μm、40 μm层也有显著变化。表明LN在Acc-2的移动性影响较大。
4.体外粘附试验(图3,4):如图所示Acc-M加入LN后粘附性未见明显改变,而Acc-2加入LN后其粘附曲线有明显变化,粘附率均有不同程度的提高,表明LN对Acc-2粘附率影响较大。表2 层粘连蛋白对Boyden小室中癌细胞移动性的影响 细胞株
每高倍镜视野下移动细胞滤纸深度(μm)
10
20
30
40
, http://www.100md.com
50
Acc-M
63.8±9.80
40.4±9.39
27.8±8.47
18.0±4.95
12.4±6.19
Acc-M+LN
60.6±11.88**
38.6±10.41*
24.2±5.81*
, http://www.100md.com
17.2±6.57*
10.8±5.07*
Acc-2
38.4±6.88
28.2±4.76
14.52±3.54
8.8±3.19
3.4±3.44
Acc-2+LN
59.4±7.70***
40.2±7.39***
, 百拇医药
22.4±7.50**
17.0±8.54**
12.6±4.39***
注:Acc为人涎腺腺样囊性癌 *P>0.05 **P<0.05 ***P<0.01
图3 Acc-M粘附试验
图4 Acc-2粘附试验
讨论 LN是一种大分子糖蛋白,是细胞外基质(ECM)的主要成分之一,参与调节细胞粘附和运动等一系列重要的生物学活动,尤以与恶性肿瘤的侵袭和转移密切相关而引人注意。研究表明[6],具有高转移性的鼠纤维肉癌细胞系表面LN为阳性,而低转移为阴性。本实验用免疫组化方法也获得类似结果。在高转移克隆株Acc-M细胞表面LN为强阳性,Acc-2细胞表面为弱阳性。表明Acc-M表面具有更多的LN分子,更易于侵袭和转移。
, 百拇医药
LN的生物学效应是由细胞表面的LNR介导的。LNR介导肿瘤细胞特异性地粘附在LN上,从而完成对ECM的侵袭。一般认为LNR在肿瘤细胞中含量比正常细胞高得多,而且用于转录的LNR mRNA水平与各种人癌细胞株细胞表面的LN的数量相一致,即LN多,LNR亦多[7]。本实验中高转移细胞株Acc-M有较多的LNR,而Acc-2则有较少的LNR。LNR在高低转移细胞中不同分布说明LNR可能是转移能力差异的原因之一。
肿瘤细胞的运动性是决定肿瘤细胞侵袭性的关键性因素之一[8]。Boyden小室方法已成为检测细胞体外运动性的经典方法。Acc-2和Acc-M两个细胞株加入LN后细胞穿透数目表明,Acc-2在外源性LN作用下数月有明显的增加,而Acc-M则无明显变化,说明外源性LN对低转移的细胞株具有更大的影响力。这是因为Acc-M表面已具有大量的内源LN,外源性LN对其移动不起作用。而Acc-2表面只有少量的内源性LN,外源性LN能够促进其运动,从而证实LN在转移中的重要作用。
, 百拇医药
细胞粘附实验学者看法不同,可能由于实验体系不同、肿瘤细胞的特异性所决定[9]。本实验结果表明在外源性LN的作用下,Acc-2的粘附性极大地提高,而Acc-M则没有明显的变化。说明LN对低转移的Acc-2影响较大,既从另一个角度证实了LN对Acc侵袭转移的影响。
国家自然科学基金资助课题(39470755)
参考文献
[1] 史宏男,何荣根.肿瘤嗜器官转移的分子基础.口腔颌面外科杂志,1995,5:210-212.
[2] Terranova VP, Liotta LA, Russo RG, et al. Role of laminin in the attachment and metastasis of murine tumor cells. Cancer Res, 1982,42:2265-2269.
, 百拇医药
[3] Liotta LA. Tumor invasion and metastases-role of the extracellular matrix: rhoads memorial award lecture. Cancer Res, 1986,46:1-7.
[4] 何荣根,张晓珊,周晓健,等.Acc-2和Acc-3细胞学的建立及其形态学观察.华西口腔医学杂志,1986,6:1-3.
[5] 关晓峰,邱蔚六,何荣根,等.肺高转移性涎腺腺样囊性癌细胞株的筛选.中华口腔医学杂志,1996,31:74-77.
[6] Varani J, Lovett EJ 3d, McCoy JP Jr, et al. Different expression of a lamininlike substance by high-and low-metastic tumor cells. Am J Pathol, 1983,111:27-34.
, http://www.100md.com
[7] Hand PH, Thor A, Schlom J, et al. Expression of laminin receptor in normal and carcinomatous human tissues as difined by a monoclonal antibody. Cancer Res, 1985,45:2713-2719
[8] Pattaramalai S, Skubitz AP. Promotion of human oral squamous cell carcinoma adhesion in vitro by the carboxy-terminal globular domain of laminin. Arch Oral Biol, 1994,39:925-933.
[9] Takenaga K, Makamura Y, Endoit, et al. Involvement of S100-related calcium-binding protein pEL 98(or mts1) in cell motility and tumor cell invasion. Jpn J Cancer Res. 1994,85:831-839.
(收稿:1998-03-20), http://www.100md.com
单位:史宏男 周正炎(200065 上海铁道大学附属甘泉医院口腔颌面外科);何荣根(上海第二医科大学口腔医学院)
关键词:层粘连蛋白;层粘连蛋白受体;肿瘤转移
中华口腔医学杂志990107 【摘要】 目的 研究层粘连蛋白(laminin,LN)与人涎腺腺样囊性癌(adenoid cystic carcinoma,Acc)转移的关系。方法 应用免疫组织化学染色,Boyden小室体外移动试验和体外粘附试验,对人涎腺腺样囊性癌细胞系Acc-2和从其克隆出的肺高转移细胞株Acc-M进行比较研究。结果 发现LN和层粘连蛋白受体(laminin receptor,LNR)在Acc-M表达明显高于Acc-2。在加入外源性LN后,Acc-2体外移动性、粘附率均明显提高,而Acc-M无明显变化。结论 层粘连蛋白在Acc转移和转移过程中起重要的调节作用。
, 百拇医药
Effects of laminin on the invasive and metastatic behaviors of
human salivary adenoid cystic carcinoma cell lines
SHI Hongnan*, HE Ronggen, ZHOU Zhengyan.
*Ganquan Hospital Shanghai Tiedao University, Shanghai 200065
【Abstract】 Objective To study the effect of laminin(LN) on invasive and metastastic behaviors of salivary adenoid cystic carcinoma(Acc) cell lines.Methods Immunohistochemistry, Boyden chamber in vitro motility, and adhesion test were used. LN and LNR(LN receptor) distributions in Acc-2 and Acc-M cells were studied with immunohistochemical staining.Results There were less LN and LNR found in Acc-2, but much more LN and LNR were present in the highy metastatic clone Acc-M. With the presence of exgenous LN, Acc-2 became activated showing a higher migration rate. The cell adhesion test showed that Acc-2 had stronger ability of adhesion than Acc-M with the presence of LN.Conclusion The result suggests LN and LNR may play a vitral role in the invasion and metastasis of Acc.
, http://www.100md.com
【Key words】 Laminin Receptor, laminin Neoplasm metastasis
恶性肿瘤的侵袭和转移是十分复杂的生物学过程,要完成癌细胞的脱落、浸润、生长等“转移阶梯反应”(metastatic cascade)[1]。其中,癌细胞至少要两次侵入、穿出基底膜,所以基底膜(basement membrance, BM)与肿瘤细胞转移的关系已越来越引起人们的关注。作为BM成分之一的层粘连蛋白(laminin, LN),已被确定与高转移潜能肿瘤细胞结合的较多,而与低度恶性肿瘤细胞结合较少[2],同时也证实层粘连蛋白受体(laminin receptor, LNR)特异性与LN结合,介导肿瘤细胞粘附于IV型胶原上[3]。我们利用人涎腺腺样囊性癌细胞系Acc-2[4]和其中克隆出的肺高转移细胞株Acc-M[5],检测LN、LNR在两株中的分布,以及LN对两株细胞株体外移动性和粘附性的影响,以证实LN和LNR对涎腺腺样囊性癌转移的影响。
, http://www.100md.com
材料与方法
1.细胞学:人涎腺腺样囊性癌细胞系Acc-2(上海第二医科大学口腔医学院建株)[4]。肺高转移细胞株Acc-M通过体内、外方法从Acc-2克隆获得[5]。两株细胞由CO2培养箱、37℃连续培养,培养液RPMI1640+20%小牛血清+青、链霉素双抗。
2.动物实验:30只BALA/C(nu/nu)裸小鼠(中国科学院上海动物中心提供),4周龄,随机分成二组。将两株细胞制成5×109个/L细胞悬液,每只裸鼠经尾静脉注入0.2 ml细胞悬液。8周时处死,取肺叶制备石蜡切片,HE染色镜检。
3.免疫组化染色:试剂:抗LN单抗:Sigma(1∶1 000),抗LNR单抗:NIH(Dr.Hand赠)。ABC法。经制备培养细胞玻片、吹干、丙酮固定、一抗4℃12小时,常规二抗IgG,ABC试剂,DAB染色,光镜观察。阴性对照用PBS代替一抗。
, 百拇医药
4.细胞体外移动实验:LN(北京医科大学细胞生物学教研室提供)使用改良的Boyden小室,上下室由硝化纤维微孔滤膜(上海医工院提供),孔径8 μm,上室加癌细胞悬液0.2 ml,下室加常规培养液0.2 ml,实验组下室加LN10 μg,Boyden小室置37℃,5%CO2常规培养48小时,取出滤膜正丙醇固定、HE染色、正丙醇脱水透明、树胶封片,200倍镜下计数移入滤膜不同深度的肿瘤细胞数目,每10 μm为一层次,计5层,每个滤膜取5个视野,取平均值进行计数。
5.细胞体外粘附试验:制备浓度为5×109个/L的癌细胞悬液,取12孔细胞培养板(costar),每孔加悬液0.2 ml,实验组每孔加LN10 μg。培养30、60、90、120分钟后弃去未粘细胞,Hank's液轻洗2遍收集未粘附细胞计数。按公式:
结果
, http://www.100md.com
1.动物实验:经尾静脉接种Acc-M接种组:15只裸小鼠经镜检,13只出现肺转移,Acc-2接种组:15只裸小鼠只有1只肺转移。经统计学处理,两组具有极显著差异(P<0.01)。
光镜见肺内血管中大量肿瘤细胞组成癌栓,癌细胞同时分布在整个肺泡内,核明显异染,分裂相增多,呈典型的癌转移灶(图1)。
2.免疫组织化学染色:(表1,图2)。染色根据棕色着色强度分为:强表达(++),弱表达(+),无表达(-)。表1中Acc-M在胞膜、胞浆都有LN,LNR的大量表达,其比Acc-2的LN,LNR表达明显多。
表1 层粘连蛋白和层粘连蛋白受体
在Acc-2和Acc-M中的表达 细胞株
层粘连蛋白
, 百拇医药
层粘连蛋白受体
胞膜
胞浆
胞核
胞膜
胞浆
胞核
Acc-2
+
+
-
+
-
-
, 百拇医药
Acc-M
+++
++
-
++
+
-
注:Acc-2:涎腺腺样囊性癌细胞系-2;Acc-M:腺样囊性癌肺高转移细胞株
图1 裸鼠的人涎腺腺样囊性癌肺转移灶(HE×400)
图2 人涎腺腺样囊性癌肺高转移细胞株抗LN单抗免疫组化强阳性(×400)
, 百拇医药
3.体外移动试验(表2):经统计学处理,Acc-M加入LN后各层次移入的细胞数与Acc-M无显著性差异,而Acc-2加入LN后10 μm、20 μm、50 μm层有极显著性差异,30 μm、40 μm层也有显著变化。表明LN在Acc-2的移动性影响较大。
4.体外粘附试验(图3,4):如图所示Acc-M加入LN后粘附性未见明显改变,而Acc-2加入LN后其粘附曲线有明显变化,粘附率均有不同程度的提高,表明LN对Acc-2粘附率影响较大。表2 层粘连蛋白对Boyden小室中癌细胞移动性的影响 细胞株
每高倍镜视野下移动细胞滤纸深度(μm)
10
20
30
40
, http://www.100md.com
50
Acc-M
63.8±9.80
40.4±9.39
27.8±8.47
18.0±4.95
12.4±6.19
Acc-M+LN
60.6±11.88**
38.6±10.41*
24.2±5.81*
, http://www.100md.com
17.2±6.57*
10.8±5.07*
Acc-2
38.4±6.88
28.2±4.76
14.52±3.54
8.8±3.19
3.4±3.44
Acc-2+LN
59.4±7.70***
40.2±7.39***
, 百拇医药
22.4±7.50**
17.0±8.54**
12.6±4.39***
注:Acc为人涎腺腺样囊性癌 *P>0.05 **P<0.05 ***P<0.01
图3 Acc-M粘附试验
图4 Acc-2粘附试验
讨论 LN是一种大分子糖蛋白,是细胞外基质(ECM)的主要成分之一,参与调节细胞粘附和运动等一系列重要的生物学活动,尤以与恶性肿瘤的侵袭和转移密切相关而引人注意。研究表明[6],具有高转移性的鼠纤维肉癌细胞系表面LN为阳性,而低转移为阴性。本实验用免疫组化方法也获得类似结果。在高转移克隆株Acc-M细胞表面LN为强阳性,Acc-2细胞表面为弱阳性。表明Acc-M表面具有更多的LN分子,更易于侵袭和转移。
, 百拇医药
LN的生物学效应是由细胞表面的LNR介导的。LNR介导肿瘤细胞特异性地粘附在LN上,从而完成对ECM的侵袭。一般认为LNR在肿瘤细胞中含量比正常细胞高得多,而且用于转录的LNR mRNA水平与各种人癌细胞株细胞表面的LN的数量相一致,即LN多,LNR亦多[7]。本实验中高转移细胞株Acc-M有较多的LNR,而Acc-2则有较少的LNR。LNR在高低转移细胞中不同分布说明LNR可能是转移能力差异的原因之一。
肿瘤细胞的运动性是决定肿瘤细胞侵袭性的关键性因素之一[8]。Boyden小室方法已成为检测细胞体外运动性的经典方法。Acc-2和Acc-M两个细胞株加入LN后细胞穿透数目表明,Acc-2在外源性LN作用下数月有明显的增加,而Acc-M则无明显变化,说明外源性LN对低转移的细胞株具有更大的影响力。这是因为Acc-M表面已具有大量的内源LN,外源性LN对其移动不起作用。而Acc-2表面只有少量的内源性LN,外源性LN能够促进其运动,从而证实LN在转移中的重要作用。
, 百拇医药
细胞粘附实验学者看法不同,可能由于实验体系不同、肿瘤细胞的特异性所决定[9]。本实验结果表明在外源性LN的作用下,Acc-2的粘附性极大地提高,而Acc-M则没有明显的变化。说明LN对低转移的Acc-2影响较大,既从另一个角度证实了LN对Acc侵袭转移的影响。
国家自然科学基金资助课题(39470755)
参考文献
[1] 史宏男,何荣根.肿瘤嗜器官转移的分子基础.口腔颌面外科杂志,1995,5:210-212.
[2] Terranova VP, Liotta LA, Russo RG, et al. Role of laminin in the attachment and metastasis of murine tumor cells. Cancer Res, 1982,42:2265-2269.
, 百拇医药
[3] Liotta LA. Tumor invasion and metastases-role of the extracellular matrix: rhoads memorial award lecture. Cancer Res, 1986,46:1-7.
[4] 何荣根,张晓珊,周晓健,等.Acc-2和Acc-3细胞学的建立及其形态学观察.华西口腔医学杂志,1986,6:1-3.
[5] 关晓峰,邱蔚六,何荣根,等.肺高转移性涎腺腺样囊性癌细胞株的筛选.中华口腔医学杂志,1996,31:74-77.
[6] Varani J, Lovett EJ 3d, McCoy JP Jr, et al. Different expression of a lamininlike substance by high-and low-metastic tumor cells. Am J Pathol, 1983,111:27-34.
, http://www.100md.com
[7] Hand PH, Thor A, Schlom J, et al. Expression of laminin receptor in normal and carcinomatous human tissues as difined by a monoclonal antibody. Cancer Res, 1985,45:2713-2719
[8] Pattaramalai S, Skubitz AP. Promotion of human oral squamous cell carcinoma adhesion in vitro by the carboxy-terminal globular domain of laminin. Arch Oral Biol, 1994,39:925-933.
[9] Takenaga K, Makamura Y, Endoit, et al. Involvement of S100-related calcium-binding protein pEL 98(or mts1) in cell motility and tumor cell invasion. Jpn J Cancer Res. 1994,85:831-839.
(收稿:1998-03-20), http://www.100md.com