成人肠套叠的CT诊断
作者:郑祥武 吴恩福 陈宗静 张启瑜
单位:郑祥武(325000 温州医学院附属第一医院影像科);吴恩福(325000 温州医学院附属第一医院影像科);陈宗静(325000 温州医学院附属第一医院腹部外科);张启瑜(325000 温州医学院附属第一医院腹部外科)
关键词:肠套叠;体层摄影术,X线计算机
中华放射学杂志000615 【摘要】 目的 探讨成人肠套叠的CT表现特点及病理基础,以提高对该病的认识。方法 报告24例28处成人肠套叠,其中21例22处为继发性,包括脂肪瘤7例,息肉3例(1例脂肪瘤合并息肉),淋巴瘤3例,腺癌2例,平滑肌瘤2例,憩室、慢性阑尾炎、转移癌、血管瘤、嗜酸性肉芽肿各1例。结果 24例28处成人肠套叠,CT发现分层状靶形肿块22处,慧星尾征和与其伴发的肾形肿块15处,继发肠梗阻4例,小肠内积气增多16例,CT诊断准确率达86%。21例继发性肠套叠,CT发现原发病变19例,其中7例脂肪瘤中6例CT表现特异而被确诊,其他良恶性病变CT上也有一定的特异性。结论 肠套叠的CT表现较有特征性,其原发病变CT检出率也较高,对脂肪瘤等尚可作出可靠的定性诊断。因此,CT检查是成人肠套叠较理想的影像诊断手段。
, 百拇医药
CT diagnosis of adult intussusception
ZHENG Xiangwu WU Enfu CHEN Zongjing
(Department of Radiology, The First Affiliated Hospital of Wenzhou Medical College, Wenzhou 325000, China)
【Abstract】 Objective To study CT features and pathological basis of intussusception in adult. MethodsTwenty-four cases with 28 foci of intussusception
were reported. Among them, 21 cases were secondary to primary pathology including
, 百拇医药
lipoma(7),polyp(3),lymphoma(3),adenocarcinoma(2),leiomyoma (2),angioma
(1),metastases(1),diverticulum(1),appendicitis(1), and eosinophilic granuloma (1).
Results CT detected 22 layering target masses and 15 “Comet-tail” signs
accompanied by kidney shape masses in all 24 cases with 28 foci, and the diagnostic
accuracy by CT was 86%. Of the 21 cases with primary lesions, 19 primary lesions
, 百拇医药
were detected by CT, demonstrating classic features in cases of lipoma. Conclusion There was a high sensitivity of CT to detect the underlying lesions of
adult intussusception, and lipoma could often be diagnosed correctly, so CT is the
method of choice for diagnosis of adult intussusception.
【Key words】 Intussusception; Tomography, X-ray computed
成人肠套叠少见,一般常用钡灌肠或胃肠造影作为首选检查方法,但有时诊断较困难,CT 是较理想的补充检查手段,既可观察肠套叠状况,又可检出原发肠道病变,为临床治疗提供依据。现报告我院近10 年来CT发现,并经手术、病理证实的24 例成人肠套叠,着重讨论其CT表现及病理基础,旨在提高对本病的认识。
, 百拇医药
材料与方法
1.临床资料:搜集我院及部分协作医院1988~1999年7月经C T 发现的肠套叠24例,男18 例,女6 例,年龄23 ~81 岁,平均51.9 岁。病程:3 d内急性者5 例,5 d以上呈亚急性、慢性者19例,其中病史最长达1 年。症状:全部24例均有腹痛,急性者为持续性隐痛、阵发加剧,亚急性、慢性病史者腹痛有缓解期,腹痛发作时伴恶心12例,呕吐4 例,便秘或停止排气7 例,便血6例,腹部包块6例,发热2例。
24 例肠套叠,21例为继发性肠套叠,共有22处原发病变,分别是:肠黏膜下脂肪瘤7处,淋巴瘤3 处,肠道息肉3 处(1 例为肠道脂肪瘤合并息肉),肠癌2 处,平滑肌瘤2处,憩室、转移癌、血管瘤、嗜酸性肉芽肿和慢性阑尾炎各1 处。24例共有28处套叠,按部位可分:空-空肠型4 处,空-回肠型2 处,回-回肠型9处,回-结肠型3 处,回盲瓣型4 处,结-结肠型6处。其中1 例淋巴瘤肠套叠有2处回-回肠套叠伴回盲瓣套叠;胃癌术后肠壁、肠系膜转移1 例,有1处空-空肠套叠及2处回-回肠套叠。
, 百拇医药
2.CT扫描方法:使用西门子Somaton-CR型和Plus-4型CT机。17 例于CT扫描前给予口服2.5% 泛影葡胺600~1 200 ml,其余病例由于呕吐或急诊等原因未口服对比剂。14例在常规CT 平扫后,行CT 增强扫描。CT 扫描层厚10 mm, 层距10 mm 。
结果
本组24例28处成人肠套叠,CT表现与诊断情况见表1、2,图1~9。
从表1可见CT准确诊断肠套叠24(24/28)处。
从表2可见CT准确鉴别原发灶病变的良恶性18(18/19)处。
图1 肠套叠分层状靶形肿块,白箭示套鞘部,黑箭示套入部肠系膜血管,黑三角箭头为套入部肠管
, 百拇医药
图2 肠套叠慧星尾征及肾形肿块,白箭示套鞘部游离缘,黑箭为肠系膜血管,白三角箭头为套入部肠管
图3 淋巴瘤继发多处肠套叠,图中见2处回肠套叠,该例同时伴回盲瓣套叠
图4 脂肪瘤继发肠套叠,于套叠头部肠腔内见椭圆形均一脂肪密度肿块而被确诊
图5 结肠腺癌继发肠套叠,套叠头部肠壁局限性不规则肿块样增厚,符合肠癌特征
图6 嗜酸性肉芽肿继发肠套叠,于套叠头部肠腔内见椭圆形均一软组织密度肿块,边缘光滑,符合良性肿块的特征
, 百拇医药
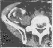
图7 慢性阑尾炎继发回结肠型肠套叠。可见靶征(白箭示肠壁炎变、增厚的阑尾,黑箭示套入的回肠)
图8 横结肠平滑肌瘤继发结肠型肠套叠。白箭示肾型肿块和彗星尾征,黑箭头示套头部边界光滑的平滑肌瘤
图9 血管瘤继发的降结肠套叠。黑箭示套鞘远端显著强化的环形增厚的肠壁,即为肠壁蔓状血管瘤
表1 24例28处成人肠套叠CT表现与诊断(处) 肠套叠类型
CT表现
CT诊断
靶形
, 百拇医药
肿块
慧星
尾征
非靶形
肿块
肠梗
阻
小肠
积气
正确
漏诊
误诊
小肠型(15)
12
, http://www.100md.com
14
2
3
11
14
0
1
结肠型(6)①
5
1
0
1
2
, 百拇医药 5
0
0
回盲瓣型(4)
2
0
2
0
1
2
2
0
回-结肠型(3)
3
, 百拇医药
0
0
0
2
3
0
0
注:①1处CT未做出明确诊断讨论
1.病因及发病情况:成人肠套叠少见,约占肠梗阻的1%,肠套叠的5%,在所有住院病人中约占0.003%~0.020%[1] 。它与常见的儿童原发性肠套叠不同,成人肠套叠多由器质性病变引起。Begos等[2]总结文献报道1 048例成人肠套叠后发现:肠套叠64%发生在小肠,其中良性63%、恶性14%、特发性23%;36%发生在结肠,其中恶性58%、良性29%、特发性13%。本组24例共28处肠套叠,小肠型最常见,占11例共15处(46%,11/24),其中良性8例(73%,8/11)、恶性3例(27%,3/11);次为结肠型6例(25%,6/24),其中良、恶性各3例;回盲瓣型和回结肠型相对较少,与文献报告相似[2],说明成人肠套叠以小肠多见,常由良性病变伴发;相对而言,结肠型肠套叠则更多由恶性病变继发。
, 百拇医药
表2 21例继发性成人肠套叠22处原发病变
CT诊断结果(处) 病因
CT检查结果
发现病变
明确良、恶性
确诊
脂肪瘤(7)
7
7
6
淋巴瘤(3)
3
2
, 百拇医药
0
息肉(3)
0
0
0
腺癌(2)
2
2
2
阑尾炎(1)
1
1
1
转移癌(1)
, http://www.100md.com
1
1
1
其他良性肿块(5)
5
5
0
继发性成人肠套叠病因众多,良性病变有:脂肪瘤、平滑肌瘤、血管瘤、神经纤维瘤、腺瘤样息肉、感染性病变、美克尔憩室、术后粘连及肠动力性病变等;恶性病变有:转移癌、腺癌、类癌、淋巴瘤、平滑肌肉瘤等[2]。本组21例继发性肠套叠病因中良性以脂肪瘤最常见,次为息肉;恶性以淋巴瘤最常见,次为腺癌。它们最突出的共同表现是:肠腔内边界光整的肿块,脂肪瘤7例,息肉2例,淋巴瘤2例,平滑肌瘤2例,嗜酸性肉芽肿1例,共14例,占67%;病理上均为肠黏膜下突入肠腔内的病变,它们可能是成人肠套叠最常见的病因。此外,本组4例回盲瓣型肠套叠中3例为原发性,其发病原因显然与其他类型成人肠套叠有所不同,可能与回盲瓣游离及小肠大肠运动方式不同,易引起回盲瓣套叠有关。
, 百拇医药
2.肠套叠的CT诊断:肠套叠临床诊断困难,近年来,随着CT的应用,其诊断准确性明显提高。Azar等[1]报道58例肠套叠,比较5种不同的影像学检查方法:平片、上胃肠道钡餐造影、腹部CT检查、钡灌肠造影和腹部B超检查,其诊断正确性分别是0%、21%、78%、54%和0%。文献上对肠套叠CT表现描述最多的是“靶征”[1-5],它反映了套叠的各层肠壁、肠腔及肠系膜间的解剖关系,是肠套叠最常见的特征性CT征象(图1)。靶块多呈圆形或类圆形,但由于套叠长轴与CT扫描层面角度的不同,也可呈肾形、香蕉形或弹簧状肿块。本组24例28处肠套叠,靶征检出率最高,达78.6%(22/28)。最近,有作者提出肠套叠另一种有价值的CT征像:“慧星尾征”,即套叠近端肠系膜血管牵拉聚拢的征象[3]。从本组资料观察,慧星尾征均与肾型肿块相伴出现(图2)。该肾形肿块,为套鞘部游离缘与套入部近端肠管及肠系膜的CT斜切面图像,其中游离的套鞘呈弧形围绕套入部,状若肾轮廓外形,而套入部近端肠管、肠系膜状若肾蒂;此时,所谓慧星尾的组成还应包括套入近端肠管。该征象本组见15处(54%,15/28),且其中3处仅见肾形肿块和慧星尾征而未见靶征,可见这一征象是肠套叠除靶征外的又一较常见的特征性CT征象,应引起重视。此外,我们发现靶征见于各型肠套叠,而肾形肿块和慧星尾征主要见于小肠型肠套叠。本组1例淋巴瘤与1例转移癌由于病灶多发,出现多处肠套叠(图3)。本组28处肠套叠24处CT表现为靶征和(或)慧星尾征而被确诊;3例误漏诊,2例为回盲瓣型肠套叠,因局部肠内无对比剂充盈而漏诊,另1例为肠息肉继发的回-回肠套叠,CT表现为局部肿块而误诊原发肿瘤,术中见套叠部肠壁显著水肿坏死,此时,肠套叠CT诊断较困难。
, 百拇医药
3.原发病变的CT诊断:由于成人型肠套叠多为继发性,因此仅仅诊断肠套叠是不够的,尚须寻找隐匿的原发病灶。CT病因诊断时首先应重点观察套叠头部,本组24例肠套叠于套叠头部发现原发病灶17处,其中7处脂肪瘤中6处表现为圆形或椭圆形均一脂肪密度肿块,不同于肠套叠靶征内弧形的肠系膜脂肪而确诊(图4),另1处脂肪瘤呈不均匀的软组织密度,术后病理显示脂肪瘤变性坏死;其次应注意鉴别良、恶病变,从肠套叠病因分析中可知,结肠套叠多见于恶性病变,而小肠套叠以良性病变常见。同时,由于某些肠道肿瘤具有其本身的特点,肠套叠CT病因诊断中应注意这些有价值的CT征象[6,7]。本组6处恶性肿瘤,2处淋巴瘤表现为多发肿块,1处转移瘤呈网膜、系膜污垢征均具有特征性;而另1处淋巴瘤和2处结肠癌表现为肠壁上突入肠腔内分叶状肿块伴相邻肠壁增厚,具有恶性肿瘤的共性(图5)。5处其他良性肿块中4处表现为肠腔内边界较光整的肿块,也具有良性病变的共性(图6)。
尽管如此,肠套叠原发病变的CT定性诊断仍有一定的难度,尤其是良性肿瘤的定性更困难,且单纯表现为肠腔内息肉型的淋巴瘤也很难与良性肿瘤鉴别。鉴于此,本组CT发现原发病变着重于良恶性鉴别,若CT考虑良性肿瘤除脂肪瘤外一般不予进一步定性诊断;CT考虑恶性肿瘤,则鉴别是否为腺癌或淋巴瘤,肠系膜或后腹膜如有较大的淋巴结将有助于诊断淋巴瘤。从本组结果显示CT准确鉴别原发灶病变的良恶性18(18/19)处,仅1处肠腔内息肉型的淋巴瘤误诊为良性肿瘤。通过对5处其他良性肿块回顾读片分析,我们发现1处乙状结肠蔓状血管瘤CT增强后扫描套叠远端肠管显著环形强化,明显不同于其他病变,可被回顾性诊断。此外,本组3处淋巴瘤术前CT无一例确诊,这和我们诊断经验的不足有很大的关系,相信今后随着诊断经验的不断总结与深入,成人肠套叠原发病变的CT定性诊断能力将有进一步的提高。 参考文献
, http://www.100md.com
1,Azar T, Berger DL. Adult Intussusception. Ann Surg,1997,226:134-138.
2,Begos DG, Sandor A, Modlin IM. The diagnosis and management of adult intussusception. Am J Surg, 1997,173:88-94.
3,顾晋,路阳,冷希圣,等.电子计算机体层摄影在急性肠梗阻病因诊断中的意义.中华外科杂志,1998,13:26-28.
4,李宝山,刘连祥,吴育锦.成人肠套叠的CT诊断(附五例报告).实用放射学杂志,1996,12:89-92.
5,白人驹,张云亭,汤小莉,等.成人肠套叠的CT诊断(附三例报告).中华放射学杂志,1994,28:497-498.
6,郑祥武,吴恩福,张建青,等.小肠结肠原发恶性肿瘤的CT定位、定性及分期诊断价值.临床医学影像学杂志,1997,8:254-256.
7,郑祥武,吴恩福.原发性小肠肿瘤的CT诊断(综述).国外医学临床放射学分册,1992,79-82.
(收稿日期:1999-10-16), 百拇医药
单位:郑祥武(325000 温州医学院附属第一医院影像科);吴恩福(325000 温州医学院附属第一医院影像科);陈宗静(325000 温州医学院附属第一医院腹部外科);张启瑜(325000 温州医学院附属第一医院腹部外科)
关键词:肠套叠;体层摄影术,X线计算机
中华放射学杂志000615 【摘要】 目的 探讨成人肠套叠的CT表现特点及病理基础,以提高对该病的认识。方法 报告24例28处成人肠套叠,其中21例22处为继发性,包括脂肪瘤7例,息肉3例(1例脂肪瘤合并息肉),淋巴瘤3例,腺癌2例,平滑肌瘤2例,憩室、慢性阑尾炎、转移癌、血管瘤、嗜酸性肉芽肿各1例。结果 24例28处成人肠套叠,CT发现分层状靶形肿块22处,慧星尾征和与其伴发的肾形肿块15处,继发肠梗阻4例,小肠内积气增多16例,CT诊断准确率达86%。21例继发性肠套叠,CT发现原发病变19例,其中7例脂肪瘤中6例CT表现特异而被确诊,其他良恶性病变CT上也有一定的特异性。结论 肠套叠的CT表现较有特征性,其原发病变CT检出率也较高,对脂肪瘤等尚可作出可靠的定性诊断。因此,CT检查是成人肠套叠较理想的影像诊断手段。
, 百拇医药
CT diagnosis of adult intussusception
ZHENG Xiangwu WU Enfu CHEN Zongjing
(Department of Radiology, The First Affiliated Hospital of Wenzhou Medical College, Wenzhou 325000, China)
【Abstract】 Objective To study CT features and pathological basis of intussusception in adult. MethodsTwenty-four cases with 28 foci of intussusception
were reported. Among them, 21 cases were secondary to primary pathology including
, 百拇医药
lipoma(7),polyp(3),lymphoma(3),adenocarcinoma(2),leiomyoma (2),angioma
(1),metastases(1),diverticulum(1),appendicitis(1), and eosinophilic granuloma (1).
Results CT detected 22 layering target masses and 15 “Comet-tail” signs
accompanied by kidney shape masses in all 24 cases with 28 foci, and the diagnostic
accuracy by CT was 86%. Of the 21 cases with primary lesions, 19 primary lesions
, 百拇医药
were detected by CT, demonstrating classic features in cases of lipoma. Conclusion There was a high sensitivity of CT to detect the underlying lesions of
adult intussusception, and lipoma could often be diagnosed correctly, so CT is the
method of choice for diagnosis of adult intussusception.
【Key words】 Intussusception; Tomography, X-ray computed
成人肠套叠少见,一般常用钡灌肠或胃肠造影作为首选检查方法,但有时诊断较困难,CT 是较理想的补充检查手段,既可观察肠套叠状况,又可检出原发肠道病变,为临床治疗提供依据。现报告我院近10 年来CT发现,并经手术、病理证实的24 例成人肠套叠,着重讨论其CT表现及病理基础,旨在提高对本病的认识。
, 百拇医药
材料与方法
1.临床资料:搜集我院及部分协作医院1988~1999年7月经C T 发现的肠套叠24例,男18 例,女6 例,年龄23 ~81 岁,平均51.9 岁。病程:3 d内急性者5 例,5 d以上呈亚急性、慢性者19例,其中病史最长达1 年。症状:全部24例均有腹痛,急性者为持续性隐痛、阵发加剧,亚急性、慢性病史者腹痛有缓解期,腹痛发作时伴恶心12例,呕吐4 例,便秘或停止排气7 例,便血6例,腹部包块6例,发热2例。
24 例肠套叠,21例为继发性肠套叠,共有22处原发病变,分别是:肠黏膜下脂肪瘤7处,淋巴瘤3 处,肠道息肉3 处(1 例为肠道脂肪瘤合并息肉),肠癌2 处,平滑肌瘤2处,憩室、转移癌、血管瘤、嗜酸性肉芽肿和慢性阑尾炎各1 处。24例共有28处套叠,按部位可分:空-空肠型4 处,空-回肠型2 处,回-回肠型9处,回-结肠型3 处,回盲瓣型4 处,结-结肠型6处。其中1 例淋巴瘤肠套叠有2处回-回肠套叠伴回盲瓣套叠;胃癌术后肠壁、肠系膜转移1 例,有1处空-空肠套叠及2处回-回肠套叠。
, 百拇医药
2.CT扫描方法:使用西门子Somaton-CR型和Plus-4型CT机。17 例于CT扫描前给予口服2.5% 泛影葡胺600~1 200 ml,其余病例由于呕吐或急诊等原因未口服对比剂。14例在常规CT 平扫后,行CT 增强扫描。CT 扫描层厚10 mm, 层距10 mm 。
结果
本组24例28处成人肠套叠,CT表现与诊断情况见表1、2,图1~9。
从表1可见CT准确诊断肠套叠24(24/28)处。
从表2可见CT准确鉴别原发灶病变的良恶性18(18/19)处。
图1 肠套叠分层状靶形肿块,白箭示套鞘部,黑箭示套入部肠系膜血管,黑三角箭头为套入部肠管
, 百拇医药
图2 肠套叠慧星尾征及肾形肿块,白箭示套鞘部游离缘,黑箭为肠系膜血管,白三角箭头为套入部肠管
图3 淋巴瘤继发多处肠套叠,图中见2处回肠套叠,该例同时伴回盲瓣套叠
图4 脂肪瘤继发肠套叠,于套叠头部肠腔内见椭圆形均一脂肪密度肿块而被确诊
图5 结肠腺癌继发肠套叠,套叠头部肠壁局限性不规则肿块样增厚,符合肠癌特征
图6 嗜酸性肉芽肿继发肠套叠,于套叠头部肠腔内见椭圆形均一软组织密度肿块,边缘光滑,符合良性肿块的特征
, 百拇医药
图7 慢性阑尾炎继发回结肠型肠套叠。可见靶征(白箭示肠壁炎变、增厚的阑尾,黑箭示套入的回肠)
图8 横结肠平滑肌瘤继发结肠型肠套叠。白箭示肾型肿块和彗星尾征,黑箭头示套头部边界光滑的平滑肌瘤
图9 血管瘤继发的降结肠套叠。黑箭示套鞘远端显著强化的环形增厚的肠壁,即为肠壁蔓状血管瘤
表1 24例28处成人肠套叠CT表现与诊断(处) 肠套叠类型
CT表现
CT诊断
靶形
, 百拇医药
肿块
慧星
尾征
非靶形
肿块
肠梗
阻
小肠
积气
正确
漏诊
误诊
小肠型(15)
12
, http://www.100md.com
14
2
3
11
14
0
1
结肠型(6)①
5
1
0
1
2
, 百拇医药 5
0
0
回盲瓣型(4)
2
0
2
0
1
2
2
0
回-结肠型(3)
3
, 百拇医药
0
0
0
2
3
0
0
注:①1处CT未做出明确诊断讨论
1.病因及发病情况:成人肠套叠少见,约占肠梗阻的1%,肠套叠的5%,在所有住院病人中约占0.003%~0.020%[1] 。它与常见的儿童原发性肠套叠不同,成人肠套叠多由器质性病变引起。Begos等[2]总结文献报道1 048例成人肠套叠后发现:肠套叠64%发生在小肠,其中良性63%、恶性14%、特发性23%;36%发生在结肠,其中恶性58%、良性29%、特发性13%。本组24例共28处肠套叠,小肠型最常见,占11例共15处(46%,11/24),其中良性8例(73%,8/11)、恶性3例(27%,3/11);次为结肠型6例(25%,6/24),其中良、恶性各3例;回盲瓣型和回结肠型相对较少,与文献报告相似[2],说明成人肠套叠以小肠多见,常由良性病变伴发;相对而言,结肠型肠套叠则更多由恶性病变继发。
, 百拇医药
表2 21例继发性成人肠套叠22处原发病变
CT诊断结果(处) 病因
CT检查结果
发现病变
明确良、恶性
确诊
脂肪瘤(7)
7
7
6
淋巴瘤(3)
3
2
, 百拇医药
0
息肉(3)
0
0
0
腺癌(2)
2
2
2
阑尾炎(1)
1
1
1
转移癌(1)
, http://www.100md.com
1
1
1
其他良性肿块(5)
5
5
0
继发性成人肠套叠病因众多,良性病变有:脂肪瘤、平滑肌瘤、血管瘤、神经纤维瘤、腺瘤样息肉、感染性病变、美克尔憩室、术后粘连及肠动力性病变等;恶性病变有:转移癌、腺癌、类癌、淋巴瘤、平滑肌肉瘤等[2]。本组21例继发性肠套叠病因中良性以脂肪瘤最常见,次为息肉;恶性以淋巴瘤最常见,次为腺癌。它们最突出的共同表现是:肠腔内边界光整的肿块,脂肪瘤7例,息肉2例,淋巴瘤2例,平滑肌瘤2例,嗜酸性肉芽肿1例,共14例,占67%;病理上均为肠黏膜下突入肠腔内的病变,它们可能是成人肠套叠最常见的病因。此外,本组4例回盲瓣型肠套叠中3例为原发性,其发病原因显然与其他类型成人肠套叠有所不同,可能与回盲瓣游离及小肠大肠运动方式不同,易引起回盲瓣套叠有关。
, 百拇医药
2.肠套叠的CT诊断:肠套叠临床诊断困难,近年来,随着CT的应用,其诊断准确性明显提高。Azar等[1]报道58例肠套叠,比较5种不同的影像学检查方法:平片、上胃肠道钡餐造影、腹部CT检查、钡灌肠造影和腹部B超检查,其诊断正确性分别是0%、21%、78%、54%和0%。文献上对肠套叠CT表现描述最多的是“靶征”[1-5],它反映了套叠的各层肠壁、肠腔及肠系膜间的解剖关系,是肠套叠最常见的特征性CT征象(图1)。靶块多呈圆形或类圆形,但由于套叠长轴与CT扫描层面角度的不同,也可呈肾形、香蕉形或弹簧状肿块。本组24例28处肠套叠,靶征检出率最高,达78.6%(22/28)。最近,有作者提出肠套叠另一种有价值的CT征像:“慧星尾征”,即套叠近端肠系膜血管牵拉聚拢的征象[3]。从本组资料观察,慧星尾征均与肾型肿块相伴出现(图2)。该肾形肿块,为套鞘部游离缘与套入部近端肠管及肠系膜的CT斜切面图像,其中游离的套鞘呈弧形围绕套入部,状若肾轮廓外形,而套入部近端肠管、肠系膜状若肾蒂;此时,所谓慧星尾的组成还应包括套入近端肠管。该征象本组见15处(54%,15/28),且其中3处仅见肾形肿块和慧星尾征而未见靶征,可见这一征象是肠套叠除靶征外的又一较常见的特征性CT征象,应引起重视。此外,我们发现靶征见于各型肠套叠,而肾形肿块和慧星尾征主要见于小肠型肠套叠。本组1例淋巴瘤与1例转移癌由于病灶多发,出现多处肠套叠(图3)。本组28处肠套叠24处CT表现为靶征和(或)慧星尾征而被确诊;3例误漏诊,2例为回盲瓣型肠套叠,因局部肠内无对比剂充盈而漏诊,另1例为肠息肉继发的回-回肠套叠,CT表现为局部肿块而误诊原发肿瘤,术中见套叠部肠壁显著水肿坏死,此时,肠套叠CT诊断较困难。
, 百拇医药
3.原发病变的CT诊断:由于成人型肠套叠多为继发性,因此仅仅诊断肠套叠是不够的,尚须寻找隐匿的原发病灶。CT病因诊断时首先应重点观察套叠头部,本组24例肠套叠于套叠头部发现原发病灶17处,其中7处脂肪瘤中6处表现为圆形或椭圆形均一脂肪密度肿块,不同于肠套叠靶征内弧形的肠系膜脂肪而确诊(图4),另1处脂肪瘤呈不均匀的软组织密度,术后病理显示脂肪瘤变性坏死;其次应注意鉴别良、恶病变,从肠套叠病因分析中可知,结肠套叠多见于恶性病变,而小肠套叠以良性病变常见。同时,由于某些肠道肿瘤具有其本身的特点,肠套叠CT病因诊断中应注意这些有价值的CT征象[6,7]。本组6处恶性肿瘤,2处淋巴瘤表现为多发肿块,1处转移瘤呈网膜、系膜污垢征均具有特征性;而另1处淋巴瘤和2处结肠癌表现为肠壁上突入肠腔内分叶状肿块伴相邻肠壁增厚,具有恶性肿瘤的共性(图5)。5处其他良性肿块中4处表现为肠腔内边界较光整的肿块,也具有良性病变的共性(图6)。
尽管如此,肠套叠原发病变的CT定性诊断仍有一定的难度,尤其是良性肿瘤的定性更困难,且单纯表现为肠腔内息肉型的淋巴瘤也很难与良性肿瘤鉴别。鉴于此,本组CT发现原发病变着重于良恶性鉴别,若CT考虑良性肿瘤除脂肪瘤外一般不予进一步定性诊断;CT考虑恶性肿瘤,则鉴别是否为腺癌或淋巴瘤,肠系膜或后腹膜如有较大的淋巴结将有助于诊断淋巴瘤。从本组结果显示CT准确鉴别原发灶病变的良恶性18(18/19)处,仅1处肠腔内息肉型的淋巴瘤误诊为良性肿瘤。通过对5处其他良性肿块回顾读片分析,我们发现1处乙状结肠蔓状血管瘤CT增强后扫描套叠远端肠管显著环形强化,明显不同于其他病变,可被回顾性诊断。此外,本组3处淋巴瘤术前CT无一例确诊,这和我们诊断经验的不足有很大的关系,相信今后随着诊断经验的不断总结与深入,成人肠套叠原发病变的CT定性诊断能力将有进一步的提高。 参考文献
, http://www.100md.com
1,Azar T, Berger DL. Adult Intussusception. Ann Surg,1997,226:134-138.
2,Begos DG, Sandor A, Modlin IM. The diagnosis and management of adult intussusception. Am J Surg, 1997,173:88-94.
3,顾晋,路阳,冷希圣,等.电子计算机体层摄影在急性肠梗阻病因诊断中的意义.中华外科杂志,1998,13:26-28.
4,李宝山,刘连祥,吴育锦.成人肠套叠的CT诊断(附五例报告).实用放射学杂志,1996,12:89-92.
5,白人驹,张云亭,汤小莉,等.成人肠套叠的CT诊断(附三例报告).中华放射学杂志,1994,28:497-498.
6,郑祥武,吴恩福,张建青,等.小肠结肠原发恶性肿瘤的CT定位、定性及分期诊断价值.临床医学影像学杂志,1997,8:254-256.
7,郑祥武,吴恩福.原发性小肠肿瘤的CT诊断(综述).国外医学临床放射学分册,1992,79-82.
(收稿日期:1999-10-16), 百拇医药
参见:首页 > 医疗版 > 疾病专题 > 胃肠外科 > 小肠、结肠疾病 > 肠套叠