rhBMP-2、胶原和珊瑚复合人工骨在不同种类动物体内异位诱导新骨形成的实验研究
作者:马 秦 毛天球 刘宝林 赵晋龙
单位:第四军医大学口腔医院颌面外科(710032)
关键词:诱导;骨形成蛋白;骨组织;动物
口腔颌面外科杂志990307 摘 要:目的:研究rhBAAP-2,胶原,珊瑚复合骨在于同种属动物体内诱导异位成骨的活性。材料与方法:本研究采用肌袋异位成骨的动物模型,通过大体、组织学观察、组织测量等手段,研究珊瑚、Ⅰ型胶原、rhBMP-2复合骨在大鼠、兔、狗体内异位诱导新骨形成的特点,珊瑚降解的过程。结果:rhBMP-2、珊瑚和胶原复合骨在大鼠、兔、狗体内均可异位诱导骨组织形成,在大鼠体内诱导成骨量大,骨组织成熟程度高,在兔、狗体内成骨量小,成熟程度低。结论:说明rhBMP-2、胶原、珊瑚复合骨在不同种属动物体内都具有异位诱导骨组织形成的活性。
中图分类号:R782.2
, http://www.100md.com
文献标识码:A
文章编号:1005-4979(1999)03-206-03
THE EXPERIMENTAL STUDY ON THE ACTIVITY OR rhBMP-2, CORAL AND COLLAGEN
COMPOSITES INDUCING INTRAMUSCLE BONE IN DIFFERENT KINDS OF ANIMALS
MA Qin, MAO Tian-qiu, LIU Bao-lin, et al
College of Stomatology, the Fourth Military Medical University, Xi'an 710032
, 百拇医药 Abstract: Objective:Studying the activity of the composites of rhBMP-2, coral and type I collagen inducing intramuscle bone in different kind animals. Materials and Method: In this study, the composites of rhBMP-2, coral and collagen were implanted in the muscle pouches of rats, rabbits and dogs. The ectopic osteoinductive activity was assessed with hsitology and histomorphomertry. The composities of rhBMP-2, coral and collagen induced more amounts of intramuscle bone in rats than in rabbits and dogs. Results: The control group of coral induced no intramuscle bone. Conclusion: The composites of rhBMP-2, coral and collagen induced intramuscle bone in different kinds of animals.
, 百拇医药
Key words: Induction; BMP; Bone; Animal
BMP在啮齿类动物体内非骨骼区,具有诱导新骨形成的活性,但在大体积的哺乳动物体内,其异位诱骨的活性,文献报道是无活性或不明确[1,2],rhBMP-2在大的哺乳动物体内的诱骨活性,未见文献报道。本研究将rhBMP-2、Ⅰ型胶原和珊瑚复合人工骨植入大鼠、兔、狗肌间隙内,通过对比,观察复合人工骨在不同动物内异位诱导新骨形成的活性和珊瑚降解的过程。
1 材料与方法
1.1 主要实验材料及制备
以海南产滨珊瑚为原料,制备成直径10mm,厚2mm的圆片,放入5%次氯酸钠溶液浸泡72h,流水冲洗24h,蒸馏水、无水乙醇超声清洗,置80°C干燥箱内24h,孔径为150~200μm,高压消毒备用。
, 百拇医药
1.2 rhBMP-2、Ⅰ型胶原、珊瑚复合人工骨的制备
实验组:每个圆片与1mg rhBMP-2、0.2ml Ⅰ型胶原凝胶复合,真空抽干;对照组为清洗后的珊瑚圆片。所有圆片于术前用环氧乙烷(EO)消毒。
1.3 动物分组及手术
SD大鼠6只,新西兰大白兔6只,杂种狗6只,由本校动物中心提供。复合骨植于每只动物左股内侧,对照珊瑚植于右侧。手术方法:大鼠麻醉采用1%戊巴比妥钠腹腔注射,400mg/kg;兔麻醉采用3%戊巴比妥钠耳缘静脉注射,1ml/kg;狗麻醉采用3%戊巴比妥钠肌组织注射,1ml/kg。手术部位脱毛,消毒,切开皮肤、皮下,沿肌组织间隙钝性分离,将材料植入间隙,缝合伤口。大鼠每笼3只饲养,兔、狗每笼1只饲养。
1.4 取材
术后4周,处死大鼠和兔,狗麻醉后,切取植入物及周围组织,固定于10%福尔马林溶液中,缝合狗的切口,继续饲养。观测指标:标本大体观察;组织学观察,固定标本经脱钙液脱钙,脱水,石蜡包埋,切片作HE染色,光镜观察;组织学形态测量,采用数点法[3](point counting),用显微测微尺C5型网格,在40倍光镜下测定HE染色标本中骨或软骨组织、材料所占比例。每标本选2张切片,从边缘至中心逐段测量,数据作团体t检验分析。
, http://www.100md.com
2 结果
2.1 术后动物均存活,饮食正常,伤口无感染、裂开
2.2 标本肉眼观察
所有植入物都被纤维组织包裹,复合骨组植入物与纤维组织粘连明显,大鼠组标本中可见骨样组织及骨髓腔,兔、狗组可见骨样组织,半透明;大鼠组中的珊瑚在三种动物体内吸收较其他两组明显。对照组均未见骨或软骨组织形成。
2.3 组织学观察
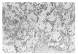
在大鼠组,骨组织分化成熟,可见大量板层骨,骨髓腔,部分珊瑚吸收,为骨组织替代;兔、狗组,组织学表现类似,可见新生编织骨,成骨细胞丰富,成骨量少于大鼠组,珊瑚明显吸收;对照组仅见纤维组织。(见图1,2,3)
, http://www.100md.com
图1 复合骨植于大鼠肌组织,可见成骨量多HE 4×
图2 复合骨植于兔肌组织,可见成骨量少HE 4×
图3 复合骨植于狗肌组织,可见成骨量少HE 4×
2.4 组织形态学测量结果见表1。
表1 各组(软)骨组织、软组织、材料所占比例
S组(大鼠)
T组(兔)
G组(狗)
, 百拇医药
C或B
60.8±0.9
38.3±1.8
35.4±1.2
S
15.6±1.4
59.7±1.5
55.3±1.1
M
23.6±2.1
13.0±0.9
10.3±1.0
, http://www.100md.com
C软骨,B骨,S软组织,M材料
3 讨论
从Urist首次提出BMP的概念以来[4],到目前为止,对BMP的提取、提纯、制备、应用及作用机制等方面的研究已取得很大进展。BMPs是一类特殊的骨生长因子,在一定的环境条件下,可诱导未分化间叶细胞、骨髓中的骨母细胞分化成为成软骨细胞和成骨细胞,进而诱导软骨和骨的形成。Sampath等[5]将rhBMP-7植于大鼠皮下,发现5~7天内可使未分化间充质细胞聚集、增殖,分化成软骨细胞,9~12天软骨细胞钙化、肥大,被新骨组织替代,14~21天新骨改建,形成有骨髓腔的成熟骨。我们在实验中,采用我国学者在大肠杆菌中表达所获高活性的rhBMP-2,以珊瑚和1型胶原作为载体,在小鼠肌间隙植入后,诱导软骨和骨组织形成,证明了rhBMP-2的异位诱导骨形成的特性。
有文献报道BMP在高等哺乳动物体内的非骨骼区诱导骨组织形成的活性不明确[1,2],有的是未诱导骨组织形成,有的是诱导成骨率很低。有关rhBMP-2在高等哺乳动物异位诱骨的研究目前尚无报道。在我们的研究中,rhBMP-2、Ⅰ型胶原和珊瑚复合人工骨在大鼠、兔、狗体内非骨骼区均表现出诱导骨组织形成的活性,这一结果表明rhBMP-2在不同种属的动物体内均可诱导骨组织形成,rhBMP-2、Ⅰ型胶原和珊瑚复合人工骨具有同样的活性,而珊瑚对照组则无诱导成骨的活性。rhBMP-2、Ⅰ型胶原和珊瑚复合人工骨在不同种属动物体内诱导成骨的有各自不同的特点,在同样的剂量和作用时间下,复合骨在狗、兔等大体积的动物体内诱导形成的骨组织少,骨组织的成熟程度低;而在大鼠体内,复合骨在肌间隙中诱导形成的骨组织多于在狗、兔体内,而且骨组织的成熟程度高。分析原因,可能与单位重量内所用rhBMP-2量有关。
, http://www.100md.com
因为珊瑚在体内是可降解的,rhBMP-2、Ⅰ型胶原和珊瑚复合人工骨是一种在体内可降解的骨代用品。在研究中发现,复合骨中同样大小的珊瑚在大动物体内的降解速度较在小动物体内快,表明大动物对珊瑚的吞噬、降解作用较小动物强。
关于BMP的应用研究,最终目的是使BMP用于临床,治疗骨组织的疾病。本研究对于rhBMP-2、Ⅰ型胶原和珊瑚复合人工骨在不同大小和种类的哺乳动物非骨骼区的诱导形成骨组织活性特点作了一定程度的探讨,这一结果为BMP的临床应用,提供了参考依据。
作者简介:马 秦(1966-),男,主治医师,博士
参考文献:
[1] Aspenberg P, Lohmander L S, Thorngren K G. Failur of bone induction by bone matrix in adult monkeys. J Bone Joint Surg (Br), 1988a, 70(4):625.
, 百拇医药
[2] Aspenberg P, Wang E, Thorngren K G. Bone morphogenetic protein induces bone in squirrel monkey, but bone matrix does not. Acta Orthop Scand, 1992, 63(6):619
[3] Eeden SP and Ripamonti U. Bone differentiation in porous hydroxyapatite in baboons is regulated by the geometry of the substratum: implications for reconstructive craniofacial surgery. Plast Reconstr Surg, 1994, 93:959.
[4] Urist MR. Bone: Formation by autoinduction. Science, 1965, 150:893.
[5] Sampath TK, Maliakal JC, Hauschka PV, et al. Recombinant human osteogenic protein-1 induces new bone formation in vivo with a specific activity comparable with natural bovine osteogenic protein and stimulates osteoblast proliferation ad diferentiation in vitro. J Biol Chem, 1992, 267(16):20352.
收稿日期:1998-10-30, 百拇医药
单位:第四军医大学口腔医院颌面外科(710032)
关键词:诱导;骨形成蛋白;骨组织;动物
口腔颌面外科杂志990307 摘 要:目的:研究rhBAAP-2,胶原,珊瑚复合骨在于同种属动物体内诱导异位成骨的活性。材料与方法:本研究采用肌袋异位成骨的动物模型,通过大体、组织学观察、组织测量等手段,研究珊瑚、Ⅰ型胶原、rhBMP-2复合骨在大鼠、兔、狗体内异位诱导新骨形成的特点,珊瑚降解的过程。结果:rhBMP-2、珊瑚和胶原复合骨在大鼠、兔、狗体内均可异位诱导骨组织形成,在大鼠体内诱导成骨量大,骨组织成熟程度高,在兔、狗体内成骨量小,成熟程度低。结论:说明rhBMP-2、胶原、珊瑚复合骨在不同种属动物体内都具有异位诱导骨组织形成的活性。
中图分类号:R782.2
, http://www.100md.com
文献标识码:A
文章编号:1005-4979(1999)03-206-03
THE EXPERIMENTAL STUDY ON THE ACTIVITY OR rhBMP-2, CORAL AND COLLAGEN
COMPOSITES INDUCING INTRAMUSCLE BONE IN DIFFERENT KINDS OF ANIMALS
MA Qin, MAO Tian-qiu, LIU Bao-lin, et al
College of Stomatology, the Fourth Military Medical University, Xi'an 710032
, 百拇医药 Abstract: Objective:Studying the activity of the composites of rhBMP-2, coral and type I collagen inducing intramuscle bone in different kind animals. Materials and Method: In this study, the composites of rhBMP-2, coral and collagen were implanted in the muscle pouches of rats, rabbits and dogs. The ectopic osteoinductive activity was assessed with hsitology and histomorphomertry. The composities of rhBMP-2, coral and collagen induced more amounts of intramuscle bone in rats than in rabbits and dogs. Results: The control group of coral induced no intramuscle bone. Conclusion: The composites of rhBMP-2, coral and collagen induced intramuscle bone in different kinds of animals.
, 百拇医药
Key words: Induction; BMP; Bone; Animal
BMP在啮齿类动物体内非骨骼区,具有诱导新骨形成的活性,但在大体积的哺乳动物体内,其异位诱骨的活性,文献报道是无活性或不明确[1,2],rhBMP-2在大的哺乳动物体内的诱骨活性,未见文献报道。本研究将rhBMP-2、Ⅰ型胶原和珊瑚复合人工骨植入大鼠、兔、狗肌间隙内,通过对比,观察复合人工骨在不同动物内异位诱导新骨形成的活性和珊瑚降解的过程。
1 材料与方法
1.1 主要实验材料及制备
以海南产滨珊瑚为原料,制备成直径10mm,厚2mm的圆片,放入5%次氯酸钠溶液浸泡72h,流水冲洗24h,蒸馏水、无水乙醇超声清洗,置80°C干燥箱内24h,孔径为150~200μm,高压消毒备用。
, 百拇医药
1.2 rhBMP-2、Ⅰ型胶原、珊瑚复合人工骨的制备
实验组:每个圆片与1mg rhBMP-2、0.2ml Ⅰ型胶原凝胶复合,真空抽干;对照组为清洗后的珊瑚圆片。所有圆片于术前用环氧乙烷(EO)消毒。
1.3 动物分组及手术
SD大鼠6只,新西兰大白兔6只,杂种狗6只,由本校动物中心提供。复合骨植于每只动物左股内侧,对照珊瑚植于右侧。手术方法:大鼠麻醉采用1%戊巴比妥钠腹腔注射,400mg/kg;兔麻醉采用3%戊巴比妥钠耳缘静脉注射,1ml/kg;狗麻醉采用3%戊巴比妥钠肌组织注射,1ml/kg。手术部位脱毛,消毒,切开皮肤、皮下,沿肌组织间隙钝性分离,将材料植入间隙,缝合伤口。大鼠每笼3只饲养,兔、狗每笼1只饲养。
1.4 取材
术后4周,处死大鼠和兔,狗麻醉后,切取植入物及周围组织,固定于10%福尔马林溶液中,缝合狗的切口,继续饲养。观测指标:标本大体观察;组织学观察,固定标本经脱钙液脱钙,脱水,石蜡包埋,切片作HE染色,光镜观察;组织学形态测量,采用数点法[3](point counting),用显微测微尺C5型网格,在40倍光镜下测定HE染色标本中骨或软骨组织、材料所占比例。每标本选2张切片,从边缘至中心逐段测量,数据作团体t检验分析。
, http://www.100md.com
2 结果
2.1 术后动物均存活,饮食正常,伤口无感染、裂开
2.2 标本肉眼观察
所有植入物都被纤维组织包裹,复合骨组植入物与纤维组织粘连明显,大鼠组标本中可见骨样组织及骨髓腔,兔、狗组可见骨样组织,半透明;大鼠组中的珊瑚在三种动物体内吸收较其他两组明显。对照组均未见骨或软骨组织形成。
2.3 组织学观察
在大鼠组,骨组织分化成熟,可见大量板层骨,骨髓腔,部分珊瑚吸收,为骨组织替代;兔、狗组,组织学表现类似,可见新生编织骨,成骨细胞丰富,成骨量少于大鼠组,珊瑚明显吸收;对照组仅见纤维组织。(见图1,2,3)
, http://www.100md.com
图1 复合骨植于大鼠肌组织,可见成骨量多HE 4×
图2 复合骨植于兔肌组织,可见成骨量少HE 4×
图3 复合骨植于狗肌组织,可见成骨量少HE 4×
2.4 组织形态学测量结果见表1。
表1 各组(软)骨组织、软组织、材料所占比例
S组(大鼠)
T组(兔)
G组(狗)
, 百拇医药
C或B
60.8±0.9
38.3±1.8
35.4±1.2
S
15.6±1.4
59.7±1.5
55.3±1.1
M
23.6±2.1
13.0±0.9
10.3±1.0
, http://www.100md.com
C软骨,B骨,S软组织,M材料
3 讨论
从Urist首次提出BMP的概念以来[4],到目前为止,对BMP的提取、提纯、制备、应用及作用机制等方面的研究已取得很大进展。BMPs是一类特殊的骨生长因子,在一定的环境条件下,可诱导未分化间叶细胞、骨髓中的骨母细胞分化成为成软骨细胞和成骨细胞,进而诱导软骨和骨的形成。Sampath等[5]将rhBMP-7植于大鼠皮下,发现5~7天内可使未分化间充质细胞聚集、增殖,分化成软骨细胞,9~12天软骨细胞钙化、肥大,被新骨组织替代,14~21天新骨改建,形成有骨髓腔的成熟骨。我们在实验中,采用我国学者在大肠杆菌中表达所获高活性的rhBMP-2,以珊瑚和1型胶原作为载体,在小鼠肌间隙植入后,诱导软骨和骨组织形成,证明了rhBMP-2的异位诱导骨形成的特性。
有文献报道BMP在高等哺乳动物体内的非骨骼区诱导骨组织形成的活性不明确[1,2],有的是未诱导骨组织形成,有的是诱导成骨率很低。有关rhBMP-2在高等哺乳动物异位诱骨的研究目前尚无报道。在我们的研究中,rhBMP-2、Ⅰ型胶原和珊瑚复合人工骨在大鼠、兔、狗体内非骨骼区均表现出诱导骨组织形成的活性,这一结果表明rhBMP-2在不同种属的动物体内均可诱导骨组织形成,rhBMP-2、Ⅰ型胶原和珊瑚复合人工骨具有同样的活性,而珊瑚对照组则无诱导成骨的活性。rhBMP-2、Ⅰ型胶原和珊瑚复合人工骨在不同种属动物体内诱导成骨的有各自不同的特点,在同样的剂量和作用时间下,复合骨在狗、兔等大体积的动物体内诱导形成的骨组织少,骨组织的成熟程度低;而在大鼠体内,复合骨在肌间隙中诱导形成的骨组织多于在狗、兔体内,而且骨组织的成熟程度高。分析原因,可能与单位重量内所用rhBMP-2量有关。
, http://www.100md.com
因为珊瑚在体内是可降解的,rhBMP-2、Ⅰ型胶原和珊瑚复合人工骨是一种在体内可降解的骨代用品。在研究中发现,复合骨中同样大小的珊瑚在大动物体内的降解速度较在小动物体内快,表明大动物对珊瑚的吞噬、降解作用较小动物强。
关于BMP的应用研究,最终目的是使BMP用于临床,治疗骨组织的疾病。本研究对于rhBMP-2、Ⅰ型胶原和珊瑚复合人工骨在不同大小和种类的哺乳动物非骨骼区的诱导形成骨组织活性特点作了一定程度的探讨,这一结果为BMP的临床应用,提供了参考依据。
作者简介:马 秦(1966-),男,主治医师,博士
参考文献:
[1] Aspenberg P, Lohmander L S, Thorngren K G. Failur of bone induction by bone matrix in adult monkeys. J Bone Joint Surg (Br), 1988a, 70(4):625.
, 百拇医药
[2] Aspenberg P, Wang E, Thorngren K G. Bone morphogenetic protein induces bone in squirrel monkey, but bone matrix does not. Acta Orthop Scand, 1992, 63(6):619
[3] Eeden SP and Ripamonti U. Bone differentiation in porous hydroxyapatite in baboons is regulated by the geometry of the substratum: implications for reconstructive craniofacial surgery. Plast Reconstr Surg, 1994, 93:959.
[4] Urist MR. Bone: Formation by autoinduction. Science, 1965, 150:893.
[5] Sampath TK, Maliakal JC, Hauschka PV, et al. Recombinant human osteogenic protein-1 induces new bone formation in vivo with a specific activity comparable with natural bovine osteogenic protein and stimulates osteoblast proliferation ad diferentiation in vitro. J Biol Chem, 1992, 267(16):20352.
收稿日期:1998-10-30, 百拇医药