鼻咽癌细胞间粘附分子-1升高的临床意义
作者:王连聪 束美宝 魏启春 项建杰
单位:浙江大学医学院附属二院肿瘤中心 杭州 310009
关键词:鼻咽肿瘤;胞间粘附分子1;预后;酶联免疫吸附测定
中华耳鼻咽喉科杂志000620 【摘要】 目的 探讨鼻咽癌血清细胞间粘附分子1(intercellular adhesion molecule-1, ICAM-1)和组织ICAM-1表达及其意义。方法 免疫组化和酶联免疫吸附测定(enzyme-linked immunosorbent assay , ELISA)方法检测54例鼻咽癌组织ICAM-1表达及血清可溶性ICAM-1(soluble ICAM-1, sICAM-1)水平。设对照组20例。结果 鼻咽癌组织 ICAM-1阳性表达(45/54)与血清sICAM-1质量浓度(2 044.48±640.05) μg/L明显高于对照组的2/20与(313.70±114.98) μg/L(P<0.01)。癌组织ICAM-1表达和血清sICAM-1质量浓度密切相关(P<0.05)。血清sICAM-1质量浓度与病期及淋巴结转移有关(P值均<0.05)。治疗后sICAM-1质量浓度(926.55±207.72) μg/L比治疗前(2 211.42±717.59) μg/L明显降低但仍比对照组高(P<0.01)。治疗后 6个月肿瘤全消者sICAM-1质量浓度仍呈低水平(821.42±216.52) μg/L,而肿瘤部分残留者复又上升至(1 268.45±228.32) μg/L (P<0.01)。结论 鼻咽癌存在与sICAM-1相关的抗肿瘤细胞免疫应答异常,血清sICAM-1检测可以反映肿瘤细胞逃逸机体免疫监视的能力,可作为判断鼻咽癌发展程度及疗效评价和随访监测病情变化的一项血清学指标。
, 百拇医药
Clinical significance of elevated serum sICAM-1 in patients with nasopharyngeal carcinoma
WANG Liancong, SHU Meibao, WEI Qichun, et al.
(Second Affiliated Hospital of Medical School, Zhejiang University, Hangzhou 310009,China)
【Abstract】 Objective To study the expression of serum sICAM-1(soluble intercellular adhesion molecule-1) and tissue ICAM-1 in nasopharyngeal carcinoma and its clinical significance. Methods Expression of ICAM-1 in frozen sections of 20 normal nasopharyngeal mucosa and 54 nasopharyngeal carcinoma samples were studied with immunohistochemical technique, and levels of serum sICAM-1 in 54 patients with nasopharyngeal carcinoma (NPC group) and 32 healthy adults (normal group) by ELISA. Results Positive expression (45/54) of tissue ICAM-1 and levels (2 044.48±640.05) μg/L of serum sICAM-1 in NPC group were significantly higher than that of 2/20 and (313.70±114.98) μg/L in normal group (P<0.01,respectively), and there was a positive relationship between the expression of tissue ICAM-1 and levels of serum sICAM-1 in nasopharyngeal carcinoma(P<0.05). The levels (2 177.31±642.13) μg/L of serum sICAM-1 in patients with III-IV stages were higher than those (1 847.25±308.15) μg/L in I-II stages (P<0.05), and those (1 678.89±685.01) μg/L in patients with no lymph node metastasis lower than that (2 134.34±609.60) μg/L in lymph node metastasis (P<0.05). The levels of serum sICAM-1 decreased significantly from (2 211.42±717.59) μg/L to (926.55±207.72) μg/L in disappearance of tumor and metastatic lymph node after radiotherapy (P<0.01). Conclusion sICAM-1 might be involved in the cellular immunopathogenesis of nasopharyngeal carcinoma, and the measurement of the serum sICAM-1 may reflect ability of neoplasm cell in freedom from host immunological surveillance. Dynamic measurement of serum sICAM-1 may be a useful objective index to evaluate NPC prognosis and curative effects .
, http://www.100md.com
【Key words】 Nasopharyngeal Neoplasms; Intercellular adhesion molecule-1; Prognosis; Enzyme-linked immunosorbent assay
细胞间粘附分子1 ( intercellular adhesion molecule-1, ICAM-1 )既是淋巴细胞功能相关抗原-1(lymphocyte function antigen, LFA-1)的受体,又是参与介导细胞间粘附作用的主要活性分子[1],它在介导白细胞粘附、抗原诱导淋巴细胞增殖及免疫细胞识别肿瘤中起重要作用[2]。可溶性ICAM-1(soluble ICAM-1, sICAM-1)是细胞膜型ICAM-1经水解脱落形成,其抗原性与ICAM-1相同,sICAM-1在鼻咽癌细胞免疫中的作用文献报道不多。本研究用免疫组化和酶联免疫吸附测定(enzyme-linked immunosorbent assay, ELISA)法检测54例鼻咽癌组织ICAM-1与血清 sICAM-1表达水平,探讨其生物学作用及其临床意义。
, http://www.100md.com
资料与方法
一、研究对象
1998年7月~1999年11月住院的鼻咽癌54例,男42例,女12例,年龄30~72岁,平均年龄51.2岁;经鼻咽活检病理诊断为低分化鳞状细胞癌,病程1~ 24个月,平均5.9个月。按1992年UICC TNM分期: I、II、III、IV期病例分别为4例、17例、7例和26例;其中19例无淋巴结转移。全部病例入院前未接受过任何治疗。入院后均接受放射治疗(7周35次,共70~72 Gy)。对照组32例为健康献血员。
二、检测方法
1. 免疫组织化学染色(SP法):取54例石蜡包埋鼻咽癌组织标本连续切片2张,层厚5 μm,1份作HE染色核实诊断,1份作 ICAM-1组化染色观察。20例非肿瘤病例的鼻咽粘膜活检标本作为对照。鼠抗人ICAM-1单抗及 SP试剂盒购自美国ZYMED公司。所有标本均在同一条件下严格按试剂盒推荐方法(SP)染色、DAB显色,以 PBS代替一抗为阴性对照。ICAM-1表达参照Horiike等[3]方法分为“-”阴性,“+”弱阳性,“++”强阳性。
, http://www.100md.com
2. 血清sICAM-1 ELISA法:治疗前、治疗结束1周及治疗后6个月取静脉血4 ml,分离血清置-20℃度冰箱待测。严格按试剂盒(购自美国ZYMED公司)说明操作,TMB显色,以底物+终止液作空白对照调“0”点,用Sigma 960全自动酶标仪,测450 nm吸光度(A),绘制标准曲线,计算各孔浓度,sICAM-1质量浓度单位以μg/L 表示,批内和批间误差分别小于6.6%、9.8%。
三、统计学方法
全部资料均用 SPSS/PC统计软件分析处理,χ2检验、t检验和配对t检验。
结果
一、鼻咽癌组织ICAM-1表达
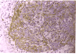
在细胞膜或胞浆处有棕黄色颗粒物沉淀者为阳性细胞(图1)。对照组20例仅2例鼻咽粘膜组织呈弱阳性表达、18例为阴性表达;54例鼻咽癌组织有45例呈阳性表达,其中38例为强阳性表达,9例为阴性表达,差异有显著性意义(χ2>7.88, P<0.01)。
, http://www.100md.com
二、鼻咽癌血清 sICAM-1表达
治疗前血清sICAM-1质量浓度(2 044.48±640.05) μg/L明显高于对照组(313.70±114.98) μg/L,差异有显著性意义( t=13.11, P<0.01)。
I、II期血清sICAM-1质量浓度(1 847.25±308.15) μg/L与III、IV期(2 177.31±642.13) μg/L比较,差异有显著性意义(t=2.267,P<0.05)。
血清sICAM-1浓度与癌组织ICAM-1表达、血清VCA-IgA抗体及颈淋巴结转移的关系见表1~3。
表1 癌组织ICAM-1与血清sICAM-1
质量浓度的关系(μg/L,
±s) ICAM-1
, http://www.100md.com
例
sICAM-1
强阳性
38
2116.85±624.45
阴性
9
1747.21±403.18
阳性与阴性比较,t=2.204,P<0.05表2 血清VCA-IgA与血清sICAM-1
质量浓度的关系(μg/L,
±s) VCA-IgA
, 百拇医药
例
sICAM-1
阳性
46
2016.92±712.23
阴性
8
1255.87±281.72
阳性与阴性比较,t=5.258,P<0.01表3 淋巴结转移与血清sICAM-1
质量浓度的关系(μg/L,
±s) 淋巴结转移
, 百拇医药
例
sICAM-1
阳性
35
2134.34±609.60
阴性
19
1678.89±685.01
阳性与阴性比较,t=2.424,P<0.05
三、鼻咽癌血清 sICAM-1动态观察
31例放射治疗前后配对研究结果显示:治疗后血清sICAM-1质量浓度从治疗前(2 211.42±717.59) μg/L降至(926.55±207.72) μg/L, 差异有显著性意义(t=9.34, P<0.01)。治疗后6个月复查:43例肿瘤全消者血清sICAM-1质量浓度继续下降至(821.42±216.52) μg/L ,8例肿瘤部分残留者血清sICAM-1质量浓度出现轻度回升(1 268.45±228.32) μg/L,差异有显著性意义(t=5.13, P< 0.01)。讨论
, 百拇医药
细胞抗原表达改变是肿瘤细胞逃逸免疫活性细胞攻击的主要原因,已证实EB病毒阳性Burkitt淋巴瘤逃逸免疫活性细胞攻击的主要原因是由于ICAM-1及CD58表达缺乏。鼻咽癌与EB病毒感染有关,其癌细胞包含EB病毒基因而至少表达2种病毒蛋白 EBNA-1和LMP-1。免疫组化研究[4]显示鼻咽癌组织内有大量免疫活性细胞浸润,T细胞与巨噬细胞是鼻咽癌组织局部免疫的主要效应细胞。几乎所有的鼻咽癌细胞都存在ICAM-1分子高表达及明显的淋巴细胞浸润,这些淋巴细胞均呈内源性LFA-1阳性;认为肿瘤细胞表达ICAM-1有利于肿瘤招募淋巴细胞浸润[1,5]。
本研究表明鼻咽癌组织多呈 ICAM-1阳性表达,其中74%为强阳性表达,同时伴随血清sICAM-1浓度明显升高,其上升幅度与肿瘤临床病理分期和VCA-IgA抗体阳性与否密切相关。推测过度表达的sICAM-1分子可能参与鼻咽癌细胞的免疫“逃逸”过程,原因在于 sICAM-1是 ICAM-1的可溶性成分,其抗原性与 ICAM-1相同,可以竞争性结合 LFA-1,从而抑制免疫效应细胞与肿瘤细胞的粘附功能。Becker等[6]证实 sICAM-1抑制自然杀伤细胞、淋巴因子激活的杀伤细胞及MHC限制性T细胞与肿瘤细胞的相互作用,促进肿瘤细胞的免疫“逃逸”。
, 百拇医药
正常状态下单核细胞是循环血中sICAM-1的唯一来源,肿瘤发生时肿瘤细胞表达ICAM-1增加并经特异性蛋白酶水解释放sICAM-1进入血循环[7]。 鼻咽癌组织除肿瘤细胞ICAM-1表达增加外、在肿瘤 RNA提取液中检测到与ICAM-1相关的mRNA[1]。本研究显示鼻咽癌组织ICAM-1高表达伴随血清sICAM-1浓度升高,两者存在相关性。Liu等[8]认为鼻咽癌血清 sICAM-1、sVCAM-1及 E-选择素浓度增高与病期早晚无关,浓度升高仅提示肿瘤形成。本研究结果与Liu等报道相反,血清 sICAM-1浓度升高与鼻咽癌进展及其严重程度一致,放射治疗后肿瘤全消者血清 sICAM-1分子浓度比初诊时显著下降;肿瘤残留复发时血清 sICAM-1浓度再度上升;表明随着鼻咽癌病程进展肿瘤负荷增加,具ICAM-1高表达的肿瘤组织能释放更多的sICAM-1分子进入血循环,可加剧已经存在的与 sICAM-1相关之抗肿瘤细胞免疫应答异常的病理过程。
结果提示:血清sICAM-1动态检测一定程度上可以反映肿瘤细胞逃逸机体免疫监视的能力,可作为判断鼻咽癌进展程度及疗效评价和随访监测病情变化的一项血清学指标。
, 百拇医药
图1 ICAM-1分子表达的细胞膜呈棕黄色。SP染色×400
参考文献
1,Ruco LP, Stoppacciaro A, Uccini S, et al. Expression of intercellular adhesion molecul-1 and vascular cell adhesion molecule in unidifferentiated nasopharyngeal carcinoma and in malignant epithelial tumor. Hum Pathol, 1994,25:924-928.
2,刘永忠,张玲,余永胜,等. 细胞因子调节人肝癌细胞sICAM-1分子表达及其对CD3AK杀伤能力的影响. 上海免疫学杂志, 1997,17:74-76.
3,Horiike N, Onji M, Kumon I,et al. Intercellular adhesion molecule-1 expression on the hepatocyte membrance of patients with chronic hepatitis B and C. Liver, 1993,13:10-14.
, 百拇医药
4,何常,庄恒国,张维元. III期鼻咽癌免疫细胞反应与生物学行为及预后的关系. 中华病理学杂志,1999,28:115-118.
5,Busson P, Zhang Q, Guillon JM ,et al. Elevated expression of ICAM-1 and CD58 in Epstein Virus positive nasopharygeal carcinoma cells. Int J Cancer, 1992, 50:863-867.
6,Becker J, Jermeer G, Schmidt R ,et al. soluble intercellular adhesion molecular-1 inhabits MHC-restricted special T cell /tumor interaction. J Immunol , 1993,151:7224-7229.
, http://www.100md.com
7,Velikova G, Bank RE, Gearing A,et al. Circulating soluble adhesion molecules E-cadhesion, E-selection, ICAM-1 and VCAM-1 in patients with gastric cancer. Br J Cancer , 1997,76:1398-1404.
8,Liu CM, Sheen TS, Ko JY,et al. Circulating intercellular molecule-1 in head and neck cancer. Br J Cancer, 1999, 79:360-362.
(收稿日期:2000-04-10), http://www.100md.com
单位:浙江大学医学院附属二院肿瘤中心 杭州 310009
关键词:鼻咽肿瘤;胞间粘附分子1;预后;酶联免疫吸附测定
中华耳鼻咽喉科杂志000620 【摘要】 目的 探讨鼻咽癌血清细胞间粘附分子1(intercellular adhesion molecule-1, ICAM-1)和组织ICAM-1表达及其意义。方法 免疫组化和酶联免疫吸附测定(enzyme-linked immunosorbent assay , ELISA)方法检测54例鼻咽癌组织ICAM-1表达及血清可溶性ICAM-1(soluble ICAM-1, sICAM-1)水平。设对照组20例。结果 鼻咽癌组织 ICAM-1阳性表达(45/54)与血清sICAM-1质量浓度(2 044.48±640.05) μg/L明显高于对照组的2/20与(313.70±114.98) μg/L(P<0.01)。癌组织ICAM-1表达和血清sICAM-1质量浓度密切相关(P<0.05)。血清sICAM-1质量浓度与病期及淋巴结转移有关(P值均<0.05)。治疗后sICAM-1质量浓度(926.55±207.72) μg/L比治疗前(2 211.42±717.59) μg/L明显降低但仍比对照组高(P<0.01)。治疗后 6个月肿瘤全消者sICAM-1质量浓度仍呈低水平(821.42±216.52) μg/L,而肿瘤部分残留者复又上升至(1 268.45±228.32) μg/L (P<0.01)。结论 鼻咽癌存在与sICAM-1相关的抗肿瘤细胞免疫应答异常,血清sICAM-1检测可以反映肿瘤细胞逃逸机体免疫监视的能力,可作为判断鼻咽癌发展程度及疗效评价和随访监测病情变化的一项血清学指标。
, 百拇医药
Clinical significance of elevated serum sICAM-1 in patients with nasopharyngeal carcinoma
WANG Liancong, SHU Meibao, WEI Qichun, et al.
(Second Affiliated Hospital of Medical School, Zhejiang University, Hangzhou 310009,China)
【Abstract】 Objective To study the expression of serum sICAM-1(soluble intercellular adhesion molecule-1) and tissue ICAM-1 in nasopharyngeal carcinoma and its clinical significance. Methods Expression of ICAM-1 in frozen sections of 20 normal nasopharyngeal mucosa and 54 nasopharyngeal carcinoma samples were studied with immunohistochemical technique, and levels of serum sICAM-1 in 54 patients with nasopharyngeal carcinoma (NPC group) and 32 healthy adults (normal group) by ELISA. Results Positive expression (45/54) of tissue ICAM-1 and levels (2 044.48±640.05) μg/L of serum sICAM-1 in NPC group were significantly higher than that of 2/20 and (313.70±114.98) μg/L in normal group (P<0.01,respectively), and there was a positive relationship between the expression of tissue ICAM-1 and levels of serum sICAM-1 in nasopharyngeal carcinoma(P<0.05). The levels (2 177.31±642.13) μg/L of serum sICAM-1 in patients with III-IV stages were higher than those (1 847.25±308.15) μg/L in I-II stages (P<0.05), and those (1 678.89±685.01) μg/L in patients with no lymph node metastasis lower than that (2 134.34±609.60) μg/L in lymph node metastasis (P<0.05). The levels of serum sICAM-1 decreased significantly from (2 211.42±717.59) μg/L to (926.55±207.72) μg/L in disappearance of tumor and metastatic lymph node after radiotherapy (P<0.01). Conclusion sICAM-1 might be involved in the cellular immunopathogenesis of nasopharyngeal carcinoma, and the measurement of the serum sICAM-1 may reflect ability of neoplasm cell in freedom from host immunological surveillance. Dynamic measurement of serum sICAM-1 may be a useful objective index to evaluate NPC prognosis and curative effects .
, http://www.100md.com
【Key words】 Nasopharyngeal Neoplasms; Intercellular adhesion molecule-1; Prognosis; Enzyme-linked immunosorbent assay
细胞间粘附分子1 ( intercellular adhesion molecule-1, ICAM-1 )既是淋巴细胞功能相关抗原-1(lymphocyte function antigen, LFA-1)的受体,又是参与介导细胞间粘附作用的主要活性分子[1],它在介导白细胞粘附、抗原诱导淋巴细胞增殖及免疫细胞识别肿瘤中起重要作用[2]。可溶性ICAM-1(soluble ICAM-1, sICAM-1)是细胞膜型ICAM-1经水解脱落形成,其抗原性与ICAM-1相同,sICAM-1在鼻咽癌细胞免疫中的作用文献报道不多。本研究用免疫组化和酶联免疫吸附测定(enzyme-linked immunosorbent assay, ELISA)法检测54例鼻咽癌组织ICAM-1与血清 sICAM-1表达水平,探讨其生物学作用及其临床意义。
, http://www.100md.com
资料与方法
一、研究对象
1998年7月~1999年11月住院的鼻咽癌54例,男42例,女12例,年龄30~72岁,平均年龄51.2岁;经鼻咽活检病理诊断为低分化鳞状细胞癌,病程1~ 24个月,平均5.9个月。按1992年UICC TNM分期: I、II、III、IV期病例分别为4例、17例、7例和26例;其中19例无淋巴结转移。全部病例入院前未接受过任何治疗。入院后均接受放射治疗(7周35次,共70~72 Gy)。对照组32例为健康献血员。
二、检测方法
1. 免疫组织化学染色(SP法):取54例石蜡包埋鼻咽癌组织标本连续切片2张,层厚5 μm,1份作HE染色核实诊断,1份作 ICAM-1组化染色观察。20例非肿瘤病例的鼻咽粘膜活检标本作为对照。鼠抗人ICAM-1单抗及 SP试剂盒购自美国ZYMED公司。所有标本均在同一条件下严格按试剂盒推荐方法(SP)染色、DAB显色,以 PBS代替一抗为阴性对照。ICAM-1表达参照Horiike等[3]方法分为“-”阴性,“+”弱阳性,“++”强阳性。
, http://www.100md.com
2. 血清sICAM-1 ELISA法:治疗前、治疗结束1周及治疗后6个月取静脉血4 ml,分离血清置-20℃度冰箱待测。严格按试剂盒(购自美国ZYMED公司)说明操作,TMB显色,以底物+终止液作空白对照调“0”点,用Sigma 960全自动酶标仪,测450 nm吸光度(A),绘制标准曲线,计算各孔浓度,sICAM-1质量浓度单位以μg/L 表示,批内和批间误差分别小于6.6%、9.8%。
三、统计学方法
全部资料均用 SPSS/PC统计软件分析处理,χ2检验、t检验和配对t检验。
结果
一、鼻咽癌组织ICAM-1表达
在细胞膜或胞浆处有棕黄色颗粒物沉淀者为阳性细胞(图1)。对照组20例仅2例鼻咽粘膜组织呈弱阳性表达、18例为阴性表达;54例鼻咽癌组织有45例呈阳性表达,其中38例为强阳性表达,9例为阴性表达,差异有显著性意义(χ2>7.88, P<0.01)。
, http://www.100md.com
二、鼻咽癌血清 sICAM-1表达
治疗前血清sICAM-1质量浓度(2 044.48±640.05) μg/L明显高于对照组(313.70±114.98) μg/L,差异有显著性意义( t=13.11, P<0.01)。
I、II期血清sICAM-1质量浓度(1 847.25±308.15) μg/L与III、IV期(2 177.31±642.13) μg/L比较,差异有显著性意义(t=2.267,P<0.05)。
血清sICAM-1浓度与癌组织ICAM-1表达、血清VCA-IgA抗体及颈淋巴结转移的关系见表1~3。
表1 癌组织ICAM-1与血清sICAM-1
质量浓度的关系(μg/L,
, http://www.100md.com
例
sICAM-1
强阳性
38
2116.85±624.45
阴性
9
1747.21±403.18
阳性与阴性比较,t=2.204,P<0.05表2 血清VCA-IgA与血清sICAM-1
质量浓度的关系(μg/L,
, 百拇医药
例
sICAM-1
阳性
46
2016.92±712.23
阴性
8
1255.87±281.72
阳性与阴性比较,t=5.258,P<0.01表3 淋巴结转移与血清sICAM-1
质量浓度的关系(μg/L,
, 百拇医药
例
sICAM-1
阳性
35
2134.34±609.60
阴性
19
1678.89±685.01
阳性与阴性比较,t=2.424,P<0.05
三、鼻咽癌血清 sICAM-1动态观察
31例放射治疗前后配对研究结果显示:治疗后血清sICAM-1质量浓度从治疗前(2 211.42±717.59) μg/L降至(926.55±207.72) μg/L, 差异有显著性意义(t=9.34, P<0.01)。治疗后6个月复查:43例肿瘤全消者血清sICAM-1质量浓度继续下降至(821.42±216.52) μg/L ,8例肿瘤部分残留者血清sICAM-1质量浓度出现轻度回升(1 268.45±228.32) μg/L,差异有显著性意义(t=5.13, P< 0.01)。讨论
, 百拇医药
细胞抗原表达改变是肿瘤细胞逃逸免疫活性细胞攻击的主要原因,已证实EB病毒阳性Burkitt淋巴瘤逃逸免疫活性细胞攻击的主要原因是由于ICAM-1及CD58表达缺乏。鼻咽癌与EB病毒感染有关,其癌细胞包含EB病毒基因而至少表达2种病毒蛋白 EBNA-1和LMP-1。免疫组化研究[4]显示鼻咽癌组织内有大量免疫活性细胞浸润,T细胞与巨噬细胞是鼻咽癌组织局部免疫的主要效应细胞。几乎所有的鼻咽癌细胞都存在ICAM-1分子高表达及明显的淋巴细胞浸润,这些淋巴细胞均呈内源性LFA-1阳性;认为肿瘤细胞表达ICAM-1有利于肿瘤招募淋巴细胞浸润[1,5]。
本研究表明鼻咽癌组织多呈 ICAM-1阳性表达,其中74%为强阳性表达,同时伴随血清sICAM-1浓度明显升高,其上升幅度与肿瘤临床病理分期和VCA-IgA抗体阳性与否密切相关。推测过度表达的sICAM-1分子可能参与鼻咽癌细胞的免疫“逃逸”过程,原因在于 sICAM-1是 ICAM-1的可溶性成分,其抗原性与 ICAM-1相同,可以竞争性结合 LFA-1,从而抑制免疫效应细胞与肿瘤细胞的粘附功能。Becker等[6]证实 sICAM-1抑制自然杀伤细胞、淋巴因子激活的杀伤细胞及MHC限制性T细胞与肿瘤细胞的相互作用,促进肿瘤细胞的免疫“逃逸”。
, 百拇医药
正常状态下单核细胞是循环血中sICAM-1的唯一来源,肿瘤发生时肿瘤细胞表达ICAM-1增加并经特异性蛋白酶水解释放sICAM-1进入血循环[7]。 鼻咽癌组织除肿瘤细胞ICAM-1表达增加外、在肿瘤 RNA提取液中检测到与ICAM-1相关的mRNA[1]。本研究显示鼻咽癌组织ICAM-1高表达伴随血清sICAM-1浓度升高,两者存在相关性。Liu等[8]认为鼻咽癌血清 sICAM-1、sVCAM-1及 E-选择素浓度增高与病期早晚无关,浓度升高仅提示肿瘤形成。本研究结果与Liu等报道相反,血清 sICAM-1浓度升高与鼻咽癌进展及其严重程度一致,放射治疗后肿瘤全消者血清 sICAM-1分子浓度比初诊时显著下降;肿瘤残留复发时血清 sICAM-1浓度再度上升;表明随着鼻咽癌病程进展肿瘤负荷增加,具ICAM-1高表达的肿瘤组织能释放更多的sICAM-1分子进入血循环,可加剧已经存在的与 sICAM-1相关之抗肿瘤细胞免疫应答异常的病理过程。
结果提示:血清sICAM-1动态检测一定程度上可以反映肿瘤细胞逃逸机体免疫监视的能力,可作为判断鼻咽癌进展程度及疗效评价和随访监测病情变化的一项血清学指标。
, 百拇医药
图1 ICAM-1分子表达的细胞膜呈棕黄色。SP染色×400
参考文献
1,Ruco LP, Stoppacciaro A, Uccini S, et al. Expression of intercellular adhesion molecul-1 and vascular cell adhesion molecule in unidifferentiated nasopharyngeal carcinoma and in malignant epithelial tumor. Hum Pathol, 1994,25:924-928.
2,刘永忠,张玲,余永胜,等. 细胞因子调节人肝癌细胞sICAM-1分子表达及其对CD3AK杀伤能力的影响. 上海免疫学杂志, 1997,17:74-76.
3,Horiike N, Onji M, Kumon I,et al. Intercellular adhesion molecule-1 expression on the hepatocyte membrance of patients with chronic hepatitis B and C. Liver, 1993,13:10-14.
, 百拇医药
4,何常,庄恒国,张维元. III期鼻咽癌免疫细胞反应与生物学行为及预后的关系. 中华病理学杂志,1999,28:115-118.
5,Busson P, Zhang Q, Guillon JM ,et al. Elevated expression of ICAM-1 and CD58 in Epstein Virus positive nasopharygeal carcinoma cells. Int J Cancer, 1992, 50:863-867.
6,Becker J, Jermeer G, Schmidt R ,et al. soluble intercellular adhesion molecular-1 inhabits MHC-restricted special T cell /tumor interaction. J Immunol , 1993,151:7224-7229.
, http://www.100md.com
7,Velikova G, Bank RE, Gearing A,et al. Circulating soluble adhesion molecules E-cadhesion, E-selection, ICAM-1 and VCAM-1 in patients with gastric cancer. Br J Cancer , 1997,76:1398-1404.
8,Liu CM, Sheen TS, Ko JY,et al. Circulating intercellular molecule-1 in head and neck cancer. Br J Cancer, 1999, 79:360-362.
(收稿日期:2000-04-10), http://www.100md.com