家兔PRK术后角膜的组织病理、免疫组化及超微结构的实验研究
作者:张华 胡海涛 任惠民 刘勇 郭绒霞 孙乃学
单位:张华 胡海涛 任惠民 刘勇(西安交通大学基础医学院,陕西 西安 710061);郭绒霞 孙乃学(西安交通大学第二附属医院眼科,陕西 西安 710061)
关键词:准分子激光角膜切削术;角膜;病理学;角膜;超微结构;伤口愈合;Ⅲ型胶原;纤维连接蛋白;兔
眼视光学杂志000211 [摘 要] 目的:评价实验性家兔不同屈光度PRK术后角膜创面愈合的过程及皮质类固醇对愈合的影响。 方法:应用SVS APEX PLUS型准分子激光治疗系统对6只家兔双眼进行PRK术,设定右眼-4.00D,左眼-8.00D。随机分为FLM点眼组和CM点眼组,每组3只家兔,FLM点眼组双眼滴皮质类固醇激素眼液(0.1% fluorometholone,FLM,美国);CM点眼组双眼滴0.25%氯霉素眼液。分别于术后3天、30天、100天两组随机选取1只家兔,猝死摘除双眼球,取其角膜。每只角膜分为两半,一半角膜电镜下观察其超微结构;另一半OCT包埋后冰冻切片,用于免疫组化研究,检测Ⅲ型胶原(Ⅲ-C)和连接蛋白(FN),免疫组化切片后剩余部分,石蜡包埋,行HE染色,光镜下组织学观察。 结果:术后100天,除1只家兔角膜haze为1级外,余家兔角膜haze为0级。术后100天,角膜上皮细胞基本恢复正常。上皮细胞界限分明,上皮明亮细胞较多,但微绒毛、微皱褶相对减少。CM组Ⅲ-C和FN的表达较FLM组明显;左眼(-8.00D)Ⅲ-C和FN的表达较右眼(-4.00D)明显。结论:PRK术后100天角膜组织结构基本正常,但仍有组织薄弱处和特殊性改变。角膜基质层切削深度可能是影响PRK术后haze发生的一个因素。PRK术后家兔角膜上皮微绒毛、微皱褶相对减少,可能是临床上PRK术后部分患者近期角膜干燥的原因之一。
, http://www.100md.com
[中图分类号] R779.63 [文献标识码] A [文章编号] 1008-1801(2000)02-0094-05
A histopathologic immunohistochemical and ultrastructural study of rabbit cornea after eximer laser photorefractive keratectomy
ZHANG Hua
(Xi'an Medical University, Xi'an 710061)
HU Hai-tao
(Xi'an Medical University, Xi'an 710061)
, 百拇医药 REN Hui-min
(Xi'an Medical University, Xi'an 710061)
Abstract: Objective:To evaluate the corneal healing of unequal dioptric response using histopathological, immunohistochemical and ultrastructural techniques after PRK with SVS APEX PLUS excimer laser. The effects of corticosteroid on healing were also studied.Methods:PRK was performed on both eyes of 6 white rabbits (12 eyes). PRK was performed on the right eye of the rabbit to attempt a correction of -4.00 diopters, and PRK was performed on the left eye of the rabbit to attempt a correction of -8.00 diopters. The subjects were randomly divided into two groups: the FLM group (3 rabbits, 6 eyes) and the CM group (3 rabbits, 6 eyes). Corticosteroid was given to the eyes of the FLM group, but not the CM group. The eyes were re-examined at 10 days, 30 days and 100 days. The eyes of one rabbit from each group were randomly selected and enucleated. Half of each cornea was prepared for electron microscope study (SEM and TEM); the other half was embedded in an OCT compound for immunohistochemical study to examine Ⅲ-C and FN.Results:All eyes reepithelialized within 3 days after PRK. Subepithelial corneal haze was observed at 15 days but was not dominant at 30 or 60 days. At 100 days post-operatively, 11 eyes with corneal haze had grade 0 or 0.5. Only one eye (the left eye from the CM group) showed a denser haze (grade 1) at 100 days. At 3 days post-operatively one or two layers of corneal epithelial cells covered the ablation zone. At 30 days after PRK, the epithelial cells showed hyperplastic changes. The cells were larger and increased to 7 or 8 layers of cells from the normal 5 or 6 layers. At 100 days after PRK, the epithelium was clear and brighter. Microplicae and microvilli were less evident than before. There was significantly more expression of Ⅲ-C and FN in the CM group than in the FLM group.Conclusion:We found that despite recovery of a continuous and smooth epithelial layer and near-normal corneal tissues 100 days after PRK, abnormalities of both epithelium and superficial stroma could be detected in the area of ablation. The ablation depth in the stroma can influence the appearance of corneal haze after PRK. The microplicae and microvilli of rabbit corneal epithelium was reduced after PRK, which may be one of the reasons for the sensation of dry eye in some patients.
, 百拇医药
Key words: excimer laser; photorefractive keratectomy (PRK); cornea/pathology; cornea/ultrastructure; wound healing; type Ⅲ collagen (Ⅲ-C); fibronectin (FN); rabbits 准分子激光角膜切削术(Excimer laser photorefractive keratectomy,PRK)的问世,开创了角膜屈光手术的新时代[1]。PRK是在去除角膜上皮后,用准分子激光对角膜中央的前弹力层和前基质层进行切削,使角膜中央的前表面相对变平,从而达到矫正近视的目的。由于它与传统的角膜屈光手术在原理和手术方法上都有许多不同之处[2~4],因此,有必要对PRK术后创面愈合过程及其控制作进一步的研究。本研究利用电镜、光镜及免疫组化技术,来研究家兔不同屈光度PRK术后角膜愈合过程中的组织病理学改变及术后用药对这一过程产生的影响。
1 材料和方法
, 百拇医药
1.1 实验动物 健康白色家兔6只,体重2.0~2.5kg,第四军医大学实验动物饲养中心提供,雌雄兼用。
1.2 主要仪器与试剂
1.2.1 主要仪器 准分子激光系统:SVS APEX PLUS型,美国森美公司。H-600透射式电子显微镜,日本。KyKy-2000扫描电子显微镜:中国科学院科学仪器厂。
1.2.2 主要试剂 包埋剂:D-6907,德国。一抗:鼠抗人Ⅲ-C单克隆抗体(上海生物制品有限公司产品),二抗:鼠抗人FN单克隆抗体(sigma 公司产品)。0.1%艾氟龙(fluorometholone):美国眼力健公司。
1.3 实验方法
1.3.1 手术方法 采用SVS APEX PLUS型准分子激光治疗系统对6只家兔双眼进行PRK术,设定右眼-4.00D,左眼-8.00D。按设定的屈光度切削,-4.00D采用单中心一次性切削,-8.00D采用多区切削(Stepped multi-zone PRK),切削方式同Zhang等[4]已报道的方法。术后3天、30天和100天进行复查,内容包括:角膜上皮的再生,角膜haze。术后3天内术眼滴0.5%四环素可的松眼膏,每日三次。随机分为FML点眼组和CM点眼组,每组3只家兔,FML点眼组双眼滴皮质类固醇激素眼液(0.1%FML);第一个月每日4次,第二个月每日3次,第三个月每日2次。CM点眼组双眼滴0.25%氯霉素眼液。分别于术后3天、30天、100天两组随机各选取1只家兔,猝死摘除双眼球,取其角膜。每只角膜分为两半,一半角膜电镜(透射电镜和扫描电镜)下观察其超微结构(1/4行SEM,1/4行TEM);另一半OCT包埋后冰冻切片,用于免疫组化研究,检测Ⅲ-C和FN,免疫组化切片后剩余部分,石蜡包埋,行HE染色,光镜下行组织学观察。
, 百拇医药
1.3.2 免疫组化冰冻切片制作 常规取材,包埋剂包埋、冰冻,切片厚6μm,放入pH7.6 TBS缓冲液中冲洗;加入10%正常羊血清30分钟,室温,取掉多余血清;加入1:50稀释一抗过夜,TBS冲洗三次;加入二抗30分种,温度37℃,TBS冲洗三次;加入0.1%H2O2,甲醇中室温保存30分钟,TBS冲洗三次;加入复合物30分种,温度37℃,TBS冲洗三次;DAB加入10ml TBS中,加入20mlH2O2显色,镜下控制;终止显色后,苏木素复染核;常规分化脱水透明,树胶封片。
1.3.3 电镜标本制作 2.5%戊二醛前固定2h(4℃)后,1%四氧化锇后固定1h,乙醇系列脱水,Epon812包埋,超薄切片机切片约50nm,铅、铀染色,透射电镜观察拍照。扫描电镜样品经2.5%戊二醛固定后,在液氮内垂直断裂,1%四氧化锇后固定,乙醇系列脱水,醋酸异戊酯置换,临界点干燥,喷金后用扫描电镜观察拍照。
, 百拇医药
1.4 角膜haze临床分级 参照Snibson等[5]制定的标准。
2 结果
2.1 裂隙灯观察 所有家兔角膜上皮均在PRK术后第3天愈合,术后15天开始出现不同程度的角膜haze,30~60天时最明显,术后100天,除1只家兔角膜haze为1级外,余家兔角膜haze为0级。
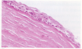
2.2 光镜观察 术后3天,角膜上皮细胞1层或2层覆盖切削区。术后30天,可见角膜上皮细胞增生,体积增大,细胞由正常的5层或6层增加到7层或8层。术后100天,角膜上皮细胞基本恢复正常。见图1~图4。
2.3 透射电镜观察 术后3天,角膜上皮细胞1层或2层覆盖切削区,角膜前基质胶原纤维排列紊乱,深层基质胶原纤维排列较整齐,后弹力层和内皮细胞结构未见明显改变。术后30天,可见角膜上皮细 胞增生,体积增大,细胞由正常的5层或6层增加到7层或8层;上皮细胞间可见桥粒连接,基底膜形成,但有不连续现象;上皮基底细胞与基底膜之间可见半桥粒。术后100天,角膜上皮细胞基本恢复正常。角膜前基质、深层基质胶原纤维排列已基本整齐,基底膜已基本连续。见图5、图6。
, http://www.100md.com
2.4 扫描电镜观察 PRK术后3天,切削区家兔角膜上皮肿胀,上皮细胞界限不明,切削区边沿形成堤坝样外观。术后30天,切削区边沿堤坝样外观消失,上皮细胞界限已分明,微绒毛、微皱褶相对减少。术后100天,上皮细胞界限分明,上皮明亮细胞较多,但微绒毛、微皱褶相对减少。见图7、图8。
2.5 免疫组织化学观察 CM组Ⅲ-C和FN的表达较FML组明显;左眼(-8.00D)Ⅲ-C和FN的表达较右眼(-4.00D)明显。见图9、图10。
图1 正常兔角膜上皮细胞,基底细胞排列呈现整齐的栅状,HE染色,×200
图2 PRK术后3天,单层兔角膜上皮细胞覆盖切削区,基底层见大量空泡,HE染以×400
, http://www.100md.com
图3 PRK术后30,兔角膜上皮细胞3-4层覆盖切削区,基底细胞排列不整齐,HE染色,×400
图4 PRK术后100天,兔角膜上能上能下细胞6-7层覆盖切削区,HE染色×200
图5 PRK术后30天,TEM示兔负膜前基质排列紊乱的胶原纤维,溶层基质排列整齐的胶原纤维×25000
图6 PRK术后100天,TEM显示兔角膜前基质排列整齐的胶原纤维,基底膜形成,有不连续现象×5000
, 百拇医药
图6 PRK术后30天,SEM显示切削区兔角膜上皮细胞表面微绒毛,微皱褶(b),及细胞更新裂孔(a)×3000
图8 PRK术后100天,SSEM示切削区兔测区兔角上皮细胞表面表现为明亮(a),中等亮度(c)和(b),三种细腻×3000
图9 PRK术后30天,免疫组化显示,未滴皮质类固醇(-8.0D)的Ⅲ-C表达,×200
图10 PRK术后30天,免疫组化显示,滴皮质类固醇(-8.0D)的Ⅲ-C表达,×200
3 讨论
, http://www.100md.com
3.1 PRK术后角膜上皮的组织病理学改变 PRK术后可见切削区上皮缺损。术后3天,上皮基本愈合,此时上皮细胞仅1~2层,细胞体积较正常细胞体积大,形状扁平。术后1周至1个月,上皮增加到4~10层,厚度约45~70μm,细胞体积仍较正常大。Bowman氏膜缺损,在上皮与基质之间可见基底膜和半桥粒[6]。术后3个月时,上皮过度增生最为明显,由11~12层细胞组成,厚度达70~80μm[7],上皮层增厚由细胞层数增多及细胞体积增大两方面原因所致,角膜基底细胞与其下基质附着不甚紧密,并有空泡形成,可见半桥粒、锚状细丝和锚状斑[6,7]。但也有报道,紧密上皮在术后3周至12周已恢复正常厚度,未见持续上皮增生,术后4至6个月时,紧密上皮增生较前减缓,由6~10层细胞组成,厚度为35~50μm,细胞形态变为正常[6,7]。但电镜观察显示其超微结构仍未恢复正常,基底细胞内可见空泡,基膜不完整,可见半桥粒、锚状细丝和锚状斑[7,8],而这些都是PRK术后上皮与基质连接的重要结构,表明PRK术后角膜上皮的过度增殖在术后3个月时达到高峰,持续时间长达6~12个月,而某些超微结构的异常可持续1年以上。本实验组织病理光镜观察结果表明:术后3天,1层或2层角膜上皮细胞覆盖切削区。术后30天,可见角膜上皮细胞增生,体积增大,细胞由正常的5层或6层增加到7层或8层。术后100天,角膜上皮细胞基本恢复正常。透射电镜观察结果表明:术后3天,1层或2层角膜上皮细胞覆盖切削区。术后30天,可见角膜上皮细胞增生,体积增大,细胞由正常的5层或6层增加到7层或8层;上皮细胞间可见桥粒连接,基底膜形成,但有不连续现象;上皮基底细胞于基底膜之间可见半桥粒。术后100天,角膜上皮细胞基本恢复正常。
, 百拇医药
3.2 PRK术后角膜前基质的组织病理学改变 PRK术后角膜前基质成纤维细胞活化增殖,并产生胶原等细胞外基质,形成至少10~30μm的新生瘢痕组织[9]。这些组织的病理学改变在术后3个月时表现最为明显,持续时间长达9~13个月,甚至18个月[8],表明PRK术后角膜混浊及屈光回退的发生与前基质成纤维细胞的活化增殖、空泡形成、胶原合成及胶原排列紊乱有关[7]。后期角膜前基质成纤维细胞数量恢复正常,瘢痕组织重塑,从而角膜变为透明,厚度稳定。本实验透射电镜观察结果表明:术后3天,角膜前基质胶原纤维排列紊乱,深层基质胶原纤维排列较整齐。上皮基底细胞于基底膜之间可见半桥粒。术后100天,角膜前基质、深层基质胶原纤维排列已基本整齐,基底膜已基本连续。
3.3 PRK术后角膜后基质、后弹力层及内皮细胞的组织病理学改变 本实验结果表明,角膜后基质、后弹力层和内皮细胞结构未见明显改变。
3.4 扫描电镜观察结果 PRK术后3天,切削区家兔角膜上皮肿胀,上皮细胞界线不明,堤坝样外观。术后30天,切削区边沿形成堤坝样外观消失,上皮细胞界线已分明,微绒毛、微皱褶相对减少。术后100天,上皮细胞界线分明,上皮明亮细胞较多,但微绒毛、微皱褶相对减少。业已证明,微绒毛及微皱褶是表面上皮细胞正常结构的一部分,对角膜前泪膜的滞留起着重要作用。PRK术后家兔角膜上皮微绒毛、微皱褶相对减少,可能是临床上PRK术后部分患者角膜干燥的原因之一。
, 百拇医药
3.5 皮质类固醇对PRK术后角膜愈合的影响 本实验结果表明,CM组Ⅲ-C和FN的表达较FML组明显;左眼(-8.00D)Ⅲ-C和FN的表达较右眼(-4.00D)明显。尽管例数较少,但从结果提示,皮质类固醇对减轻角膜haze似有重要作用。目前临床上PRK术后一般用皮质类固醇,如艾氟龙,以减轻炎症反应、角膜混浊及屈光回退。但对于皮质类固醇是否真正具有上述作用,目前尚有争议,各家实验及观察结果不同,结论亦不同。Carones等[10]观察表明,PRK术后应用皮质类固醇防止屈光回退,停用后近视可增加2.00D,这在角膜地形图上也得到了证实,其原理认为是减少了角膜前基质胶原,Fitzsimmons等[11]在人眼的观察结果也表明,PRK术后局部应用皮质类固醇可以防止屈光回退。Carones[10]局部应用皮质类固醇可减轻PRK术后haze,但Gartry等[12]的报道却有截然不同的结果。因此,对于PRK术后应用皮质类固醇是否有效目前还未达成共识。在还未寻找到更有效的PRK术后用药之前,从事PRK手术的医生大多认为术后仍需用皮质类固醇[13],当然,尚需作进一步的观察研究,以明确皮质类固醇对PRK术后角膜愈合过程的作用及其机制。3.6 角膜基质层切削深度与角膜haze 几乎所有的作者均认为[13,14],在PRK手术中,拟矫正的屈光度数越大则角膜切削越深,这样术后产生的屈光回退越明显。当然,所矫正的屈光度不是完全依赖于切削的深度,还与切削区的数目、大小以及是否偏心有关[14]。本实验结果表明:CM组Ⅲ-C和FN的表达较FML组明显;左眼(-8.00D)Ⅲ-C和FN的表达较右眼(-4.00D)明显。角膜基质层切削深度可能是影响PRK术后haze发生的一个因素。
, 百拇医药
3.7 临床意义 尽管兔眼和人眼的结构不尽相同,但角膜结构却相似或相近,通过对兔眼PRK的实验研究,可对PRK在临床应用方面提供理论依据的参考。本实验结果可能有以下临床意义:①兔眼PRK术后100天显示,角膜组织结构基本正常,可支持PRK临床应用中的安全性。②PRK术后家兔角膜上皮微绒毛、微皱褶相对减少,可能是临床上PRK术后部分患者近期角膜干燥的原因之一。③角膜基质层切削深度可能是影响PRK术后haze发生的一个因素。④皮质类固醇激素可减少家兔PRK术后角膜切削区Ⅲ-C和FN的表达,从而对减少haze的形成有一定的作用,也支持临床上PRK术后应用皮质类固醇激素。
作者简介:张华(1965-),男,山东省济宁市人,西安交通大学博士研究生,现在山东省济宁市第一人民医院眼科(272011)。研究方向:近视眼防治及激光治疗;α受体在眼部的分布以及受体与眼压的关系。
参考文献
[1] Trokel SL, Srinivasan R ,Braren B. Excimer Laser surgery of the cornea[J]. Am J Ophthalmol, 1983,96:710-722.
, 百拇医药
[2] 王铮,李绍珍,陈家祺,等.准分子激光角膜切削术后角膜创面的愈合及皮质类固醇对愈合的影响[J].中华眼科杂志,1996,32(4):172-175.
[3] 张华,宋宏文,郭绒霞,等.PRK的并发症及处理方法的研究进展[J].眼科研究,1999;17(2): 157-160.
[4] Zhang Hua, Guo Rongxia, Sun Naixue,et al. Clinical analysis of excimer laser photorefractive keratectomy for treatment of myopia and myopic astigmatism[J]. J Xi'an Med Univ (Engl. Ed), 1999, 11(1): 52-59.
[5] Snibson DR,Carson CA,Aldred GF,et al.One-year evaluation of excimer laser photorefractive keratectomy for myopia and myopic astigmatism[J]. Arch Ophthalmol,1995,113:994-1000.
, 百拇医药
[6] Fantes FE,Hanna KD,Waring GO,et al.Wound healing after excimer laser keratomileusis(photorefractive keratectomy) in monkeys[J].Arch Ophthalmol,1990,108:665-675.
[7] Hanna KD,Pouliquen YM,Waring GO,et al.Corneal wound healing after in monkey repeated excimer laser photorefractive keratectomy[J].Arch Ophthalmol,1992,110:1286-1291.
[8] Fountain TR,Cruz Z,Green R.Reassembly of corneal epithelial adhesion structures after excimer laser keratectomy in humans[J].Arch Ophthalmol, 1994,112:967-972.
, 百拇医药
[9] Wu WCS,Stark WJ,Green WR.Corneal wound healing after 193-nm excimer laser keratectomy[J].Arch Ophthalmol,1991,109:1426-1432.
[10] Carones F,Brancato R,Venturi E,et al.Effect of corticoste-
roids in reversing after myopic photorefractive keratectomy[J].J Refract Corneal Surg,1992,9(Suppl):52-56.
[11] Fitzsimmons TD,Fagerholm P,Tengroth B.Steroid treatme-
, 百拇医药 nt of myopic regression:acute refractive and topographic changes in excimer photorefractive keratectomy patients[J].Cornea,1993,12:358-361.
[12] Gartry DS,Muir MGK,Lohmann CP,et al.The effect of topical corticosteroids on refractive outcome and corneal haze after myopic photorefractive keratectomy:a prospective,randomized,double-blind trial[J].Arch Ophthalmol,1992,110:944-952.
[13] Vajpayee RB,McCarty CA,Taylor HR,et al. Overcorrection after excimer later treatment of myopia and myopic astigmatism[J].Arch Ophthalmol, 1996,114:252-256.
[14] O′Brart DPS,Corbett MC,Lohmann CP,et al.The effects of ablation diameter on the outcome of excimer laser photorefractive keratectomy:a prospective,randomized,double-blind study[J].Arch Ophthalmol,1995,113:438-443.
收稿日期:1999-10-22;修回日期:1999-12-27, 百拇医药
单位:张华 胡海涛 任惠民 刘勇(西安交通大学基础医学院,陕西 西安 710061);郭绒霞 孙乃学(西安交通大学第二附属医院眼科,陕西 西安 710061)
关键词:准分子激光角膜切削术;角膜;病理学;角膜;超微结构;伤口愈合;Ⅲ型胶原;纤维连接蛋白;兔
眼视光学杂志000211 [摘 要] 目的:评价实验性家兔不同屈光度PRK术后角膜创面愈合的过程及皮质类固醇对愈合的影响。 方法:应用SVS APEX PLUS型准分子激光治疗系统对6只家兔双眼进行PRK术,设定右眼-4.00D,左眼-8.00D。随机分为FLM点眼组和CM点眼组,每组3只家兔,FLM点眼组双眼滴皮质类固醇激素眼液(0.1% fluorometholone,FLM,美国);CM点眼组双眼滴0.25%氯霉素眼液。分别于术后3天、30天、100天两组随机选取1只家兔,猝死摘除双眼球,取其角膜。每只角膜分为两半,一半角膜电镜下观察其超微结构;另一半OCT包埋后冰冻切片,用于免疫组化研究,检测Ⅲ型胶原(Ⅲ-C)和连接蛋白(FN),免疫组化切片后剩余部分,石蜡包埋,行HE染色,光镜下组织学观察。 结果:术后100天,除1只家兔角膜haze为1级外,余家兔角膜haze为0级。术后100天,角膜上皮细胞基本恢复正常。上皮细胞界限分明,上皮明亮细胞较多,但微绒毛、微皱褶相对减少。CM组Ⅲ-C和FN的表达较FLM组明显;左眼(-8.00D)Ⅲ-C和FN的表达较右眼(-4.00D)明显。结论:PRK术后100天角膜组织结构基本正常,但仍有组织薄弱处和特殊性改变。角膜基质层切削深度可能是影响PRK术后haze发生的一个因素。PRK术后家兔角膜上皮微绒毛、微皱褶相对减少,可能是临床上PRK术后部分患者近期角膜干燥的原因之一。
, http://www.100md.com
[中图分类号] R779.63 [文献标识码] A [文章编号] 1008-1801(2000)02-0094-05
A histopathologic immunohistochemical and ultrastructural study of rabbit cornea after eximer laser photorefractive keratectomy
ZHANG Hua
(Xi'an Medical University, Xi'an 710061)
HU Hai-tao
(Xi'an Medical University, Xi'an 710061)
, 百拇医药 REN Hui-min
(Xi'an Medical University, Xi'an 710061)
Abstract: Objective:To evaluate the corneal healing of unequal dioptric response using histopathological, immunohistochemical and ultrastructural techniques after PRK with SVS APEX PLUS excimer laser. The effects of corticosteroid on healing were also studied.Methods:PRK was performed on both eyes of 6 white rabbits (12 eyes). PRK was performed on the right eye of the rabbit to attempt a correction of -4.00 diopters, and PRK was performed on the left eye of the rabbit to attempt a correction of -8.00 diopters. The subjects were randomly divided into two groups: the FLM group (3 rabbits, 6 eyes) and the CM group (3 rabbits, 6 eyes). Corticosteroid was given to the eyes of the FLM group, but not the CM group. The eyes were re-examined at 10 days, 30 days and 100 days. The eyes of one rabbit from each group were randomly selected and enucleated. Half of each cornea was prepared for electron microscope study (SEM and TEM); the other half was embedded in an OCT compound for immunohistochemical study to examine Ⅲ-C and FN.Results:All eyes reepithelialized within 3 days after PRK. Subepithelial corneal haze was observed at 15 days but was not dominant at 30 or 60 days. At 100 days post-operatively, 11 eyes with corneal haze had grade 0 or 0.5. Only one eye (the left eye from the CM group) showed a denser haze (grade 1) at 100 days. At 3 days post-operatively one or two layers of corneal epithelial cells covered the ablation zone. At 30 days after PRK, the epithelial cells showed hyperplastic changes. The cells were larger and increased to 7 or 8 layers of cells from the normal 5 or 6 layers. At 100 days after PRK, the epithelium was clear and brighter. Microplicae and microvilli were less evident than before. There was significantly more expression of Ⅲ-C and FN in the CM group than in the FLM group.Conclusion:We found that despite recovery of a continuous and smooth epithelial layer and near-normal corneal tissues 100 days after PRK, abnormalities of both epithelium and superficial stroma could be detected in the area of ablation. The ablation depth in the stroma can influence the appearance of corneal haze after PRK. The microplicae and microvilli of rabbit corneal epithelium was reduced after PRK, which may be one of the reasons for the sensation of dry eye in some patients.
, 百拇医药
Key words: excimer laser; photorefractive keratectomy (PRK); cornea/pathology; cornea/ultrastructure; wound healing; type Ⅲ collagen (Ⅲ-C); fibronectin (FN); rabbits 准分子激光角膜切削术(Excimer laser photorefractive keratectomy,PRK)的问世,开创了角膜屈光手术的新时代[1]。PRK是在去除角膜上皮后,用准分子激光对角膜中央的前弹力层和前基质层进行切削,使角膜中央的前表面相对变平,从而达到矫正近视的目的。由于它与传统的角膜屈光手术在原理和手术方法上都有许多不同之处[2~4],因此,有必要对PRK术后创面愈合过程及其控制作进一步的研究。本研究利用电镜、光镜及免疫组化技术,来研究家兔不同屈光度PRK术后角膜愈合过程中的组织病理学改变及术后用药对这一过程产生的影响。
1 材料和方法
, 百拇医药
1.1 实验动物 健康白色家兔6只,体重2.0~2.5kg,第四军医大学实验动物饲养中心提供,雌雄兼用。
1.2 主要仪器与试剂
1.2.1 主要仪器 准分子激光系统:SVS APEX PLUS型,美国森美公司。H-600透射式电子显微镜,日本。KyKy-2000扫描电子显微镜:中国科学院科学仪器厂。
1.2.2 主要试剂 包埋剂:D-6907,德国。一抗:鼠抗人Ⅲ-C单克隆抗体(上海生物制品有限公司产品),二抗:鼠抗人FN单克隆抗体(sigma 公司产品)。0.1%艾氟龙(fluorometholone):美国眼力健公司。
1.3 实验方法
1.3.1 手术方法 采用SVS APEX PLUS型准分子激光治疗系统对6只家兔双眼进行PRK术,设定右眼-4.00D,左眼-8.00D。按设定的屈光度切削,-4.00D采用单中心一次性切削,-8.00D采用多区切削(Stepped multi-zone PRK),切削方式同Zhang等[4]已报道的方法。术后3天、30天和100天进行复查,内容包括:角膜上皮的再生,角膜haze。术后3天内术眼滴0.5%四环素可的松眼膏,每日三次。随机分为FML点眼组和CM点眼组,每组3只家兔,FML点眼组双眼滴皮质类固醇激素眼液(0.1%FML);第一个月每日4次,第二个月每日3次,第三个月每日2次。CM点眼组双眼滴0.25%氯霉素眼液。分别于术后3天、30天、100天两组随机各选取1只家兔,猝死摘除双眼球,取其角膜。每只角膜分为两半,一半角膜电镜(透射电镜和扫描电镜)下观察其超微结构(1/4行SEM,1/4行TEM);另一半OCT包埋后冰冻切片,用于免疫组化研究,检测Ⅲ-C和FN,免疫组化切片后剩余部分,石蜡包埋,行HE染色,光镜下行组织学观察。
, 百拇医药
1.3.2 免疫组化冰冻切片制作 常规取材,包埋剂包埋、冰冻,切片厚6μm,放入pH7.6 TBS缓冲液中冲洗;加入10%正常羊血清30分钟,室温,取掉多余血清;加入1:50稀释一抗过夜,TBS冲洗三次;加入二抗30分种,温度37℃,TBS冲洗三次;加入0.1%H2O2,甲醇中室温保存30分钟,TBS冲洗三次;加入复合物30分种,温度37℃,TBS冲洗三次;DAB加入10ml TBS中,加入20mlH2O2显色,镜下控制;终止显色后,苏木素复染核;常规分化脱水透明,树胶封片。
1.3.3 电镜标本制作 2.5%戊二醛前固定2h(4℃)后,1%四氧化锇后固定1h,乙醇系列脱水,Epon812包埋,超薄切片机切片约50nm,铅、铀染色,透射电镜观察拍照。扫描电镜样品经2.5%戊二醛固定后,在液氮内垂直断裂,1%四氧化锇后固定,乙醇系列脱水,醋酸异戊酯置换,临界点干燥,喷金后用扫描电镜观察拍照。
, 百拇医药
1.4 角膜haze临床分级 参照Snibson等[5]制定的标准。
2 结果
2.1 裂隙灯观察 所有家兔角膜上皮均在PRK术后第3天愈合,术后15天开始出现不同程度的角膜haze,30~60天时最明显,术后100天,除1只家兔角膜haze为1级外,余家兔角膜haze为0级。
2.2 光镜观察 术后3天,角膜上皮细胞1层或2层覆盖切削区。术后30天,可见角膜上皮细胞增生,体积增大,细胞由正常的5层或6层增加到7层或8层。术后100天,角膜上皮细胞基本恢复正常。见图1~图4。
2.3 透射电镜观察 术后3天,角膜上皮细胞1层或2层覆盖切削区,角膜前基质胶原纤维排列紊乱,深层基质胶原纤维排列较整齐,后弹力层和内皮细胞结构未见明显改变。术后30天,可见角膜上皮细 胞增生,体积增大,细胞由正常的5层或6层增加到7层或8层;上皮细胞间可见桥粒连接,基底膜形成,但有不连续现象;上皮基底细胞与基底膜之间可见半桥粒。术后100天,角膜上皮细胞基本恢复正常。角膜前基质、深层基质胶原纤维排列已基本整齐,基底膜已基本连续。见图5、图6。
, http://www.100md.com
2.4 扫描电镜观察 PRK术后3天,切削区家兔角膜上皮肿胀,上皮细胞界限不明,切削区边沿形成堤坝样外观。术后30天,切削区边沿堤坝样外观消失,上皮细胞界限已分明,微绒毛、微皱褶相对减少。术后100天,上皮细胞界限分明,上皮明亮细胞较多,但微绒毛、微皱褶相对减少。见图7、图8。
2.5 免疫组织化学观察 CM组Ⅲ-C和FN的表达较FML组明显;左眼(-8.00D)Ⅲ-C和FN的表达较右眼(-4.00D)明显。见图9、图10。
图1 正常兔角膜上皮细胞,基底细胞排列呈现整齐的栅状,HE染色,×200
图2 PRK术后3天,单层兔角膜上皮细胞覆盖切削区,基底层见大量空泡,HE染以×400
, http://www.100md.com
图3 PRK术后30,兔角膜上皮细胞3-4层覆盖切削区,基底细胞排列不整齐,HE染色,×400
图4 PRK术后100天,兔角膜上能上能下细胞6-7层覆盖切削区,HE染色×200
图5 PRK术后30天,TEM示兔负膜前基质排列紊乱的胶原纤维,溶层基质排列整齐的胶原纤维×25000
图6 PRK术后100天,TEM显示兔角膜前基质排列整齐的胶原纤维,基底膜形成,有不连续现象×5000
, 百拇医药
图6 PRK术后30天,SEM显示切削区兔角膜上皮细胞表面微绒毛,微皱褶(b),及细胞更新裂孔(a)×3000
图8 PRK术后100天,SSEM示切削区兔测区兔角上皮细胞表面表现为明亮(a),中等亮度(c)和(b),三种细腻×3000
图9 PRK术后30天,免疫组化显示,未滴皮质类固醇(-8.0D)的Ⅲ-C表达,×200
图10 PRK术后30天,免疫组化显示,滴皮质类固醇(-8.0D)的Ⅲ-C表达,×200
3 讨论
, http://www.100md.com
3.1 PRK术后角膜上皮的组织病理学改变 PRK术后可见切削区上皮缺损。术后3天,上皮基本愈合,此时上皮细胞仅1~2层,细胞体积较正常细胞体积大,形状扁平。术后1周至1个月,上皮增加到4~10层,厚度约45~70μm,细胞体积仍较正常大。Bowman氏膜缺损,在上皮与基质之间可见基底膜和半桥粒[6]。术后3个月时,上皮过度增生最为明显,由11~12层细胞组成,厚度达70~80μm[7],上皮层增厚由细胞层数增多及细胞体积增大两方面原因所致,角膜基底细胞与其下基质附着不甚紧密,并有空泡形成,可见半桥粒、锚状细丝和锚状斑[6,7]。但也有报道,紧密上皮在术后3周至12周已恢复正常厚度,未见持续上皮增生,术后4至6个月时,紧密上皮增生较前减缓,由6~10层细胞组成,厚度为35~50μm,细胞形态变为正常[6,7]。但电镜观察显示其超微结构仍未恢复正常,基底细胞内可见空泡,基膜不完整,可见半桥粒、锚状细丝和锚状斑[7,8],而这些都是PRK术后上皮与基质连接的重要结构,表明PRK术后角膜上皮的过度增殖在术后3个月时达到高峰,持续时间长达6~12个月,而某些超微结构的异常可持续1年以上。本实验组织病理光镜观察结果表明:术后3天,1层或2层角膜上皮细胞覆盖切削区。术后30天,可见角膜上皮细胞增生,体积增大,细胞由正常的5层或6层增加到7层或8层。术后100天,角膜上皮细胞基本恢复正常。透射电镜观察结果表明:术后3天,1层或2层角膜上皮细胞覆盖切削区。术后30天,可见角膜上皮细胞增生,体积增大,细胞由正常的5层或6层增加到7层或8层;上皮细胞间可见桥粒连接,基底膜形成,但有不连续现象;上皮基底细胞于基底膜之间可见半桥粒。术后100天,角膜上皮细胞基本恢复正常。
, 百拇医药
3.2 PRK术后角膜前基质的组织病理学改变 PRK术后角膜前基质成纤维细胞活化增殖,并产生胶原等细胞外基质,形成至少10~30μm的新生瘢痕组织[9]。这些组织的病理学改变在术后3个月时表现最为明显,持续时间长达9~13个月,甚至18个月[8],表明PRK术后角膜混浊及屈光回退的发生与前基质成纤维细胞的活化增殖、空泡形成、胶原合成及胶原排列紊乱有关[7]。后期角膜前基质成纤维细胞数量恢复正常,瘢痕组织重塑,从而角膜变为透明,厚度稳定。本实验透射电镜观察结果表明:术后3天,角膜前基质胶原纤维排列紊乱,深层基质胶原纤维排列较整齐。上皮基底细胞于基底膜之间可见半桥粒。术后100天,角膜前基质、深层基质胶原纤维排列已基本整齐,基底膜已基本连续。
3.3 PRK术后角膜后基质、后弹力层及内皮细胞的组织病理学改变 本实验结果表明,角膜后基质、后弹力层和内皮细胞结构未见明显改变。
3.4 扫描电镜观察结果 PRK术后3天,切削区家兔角膜上皮肿胀,上皮细胞界线不明,堤坝样外观。术后30天,切削区边沿形成堤坝样外观消失,上皮细胞界线已分明,微绒毛、微皱褶相对减少。术后100天,上皮细胞界线分明,上皮明亮细胞较多,但微绒毛、微皱褶相对减少。业已证明,微绒毛及微皱褶是表面上皮细胞正常结构的一部分,对角膜前泪膜的滞留起着重要作用。PRK术后家兔角膜上皮微绒毛、微皱褶相对减少,可能是临床上PRK术后部分患者角膜干燥的原因之一。
, 百拇医药
3.5 皮质类固醇对PRK术后角膜愈合的影响 本实验结果表明,CM组Ⅲ-C和FN的表达较FML组明显;左眼(-8.00D)Ⅲ-C和FN的表达较右眼(-4.00D)明显。尽管例数较少,但从结果提示,皮质类固醇对减轻角膜haze似有重要作用。目前临床上PRK术后一般用皮质类固醇,如艾氟龙,以减轻炎症反应、角膜混浊及屈光回退。但对于皮质类固醇是否真正具有上述作用,目前尚有争议,各家实验及观察结果不同,结论亦不同。Carones等[10]观察表明,PRK术后应用皮质类固醇防止屈光回退,停用后近视可增加2.00D,这在角膜地形图上也得到了证实,其原理认为是减少了角膜前基质胶原,Fitzsimmons等[11]在人眼的观察结果也表明,PRK术后局部应用皮质类固醇可以防止屈光回退。Carones[10]局部应用皮质类固醇可减轻PRK术后haze,但Gartry等[12]的报道却有截然不同的结果。因此,对于PRK术后应用皮质类固醇是否有效目前还未达成共识。在还未寻找到更有效的PRK术后用药之前,从事PRK手术的医生大多认为术后仍需用皮质类固醇[13],当然,尚需作进一步的观察研究,以明确皮质类固醇对PRK术后角膜愈合过程的作用及其机制。3.6 角膜基质层切削深度与角膜haze 几乎所有的作者均认为[13,14],在PRK手术中,拟矫正的屈光度数越大则角膜切削越深,这样术后产生的屈光回退越明显。当然,所矫正的屈光度不是完全依赖于切削的深度,还与切削区的数目、大小以及是否偏心有关[14]。本实验结果表明:CM组Ⅲ-C和FN的表达较FML组明显;左眼(-8.00D)Ⅲ-C和FN的表达较右眼(-4.00D)明显。角膜基质层切削深度可能是影响PRK术后haze发生的一个因素。
, 百拇医药
3.7 临床意义 尽管兔眼和人眼的结构不尽相同,但角膜结构却相似或相近,通过对兔眼PRK的实验研究,可对PRK在临床应用方面提供理论依据的参考。本实验结果可能有以下临床意义:①兔眼PRK术后100天显示,角膜组织结构基本正常,可支持PRK临床应用中的安全性。②PRK术后家兔角膜上皮微绒毛、微皱褶相对减少,可能是临床上PRK术后部分患者近期角膜干燥的原因之一。③角膜基质层切削深度可能是影响PRK术后haze发生的一个因素。④皮质类固醇激素可减少家兔PRK术后角膜切削区Ⅲ-C和FN的表达,从而对减少haze的形成有一定的作用,也支持临床上PRK术后应用皮质类固醇激素。
作者简介:张华(1965-),男,山东省济宁市人,西安交通大学博士研究生,现在山东省济宁市第一人民医院眼科(272011)。研究方向:近视眼防治及激光治疗;α受体在眼部的分布以及受体与眼压的关系。
参考文献
[1] Trokel SL, Srinivasan R ,Braren B. Excimer Laser surgery of the cornea[J]. Am J Ophthalmol, 1983,96:710-722.
, 百拇医药
[2] 王铮,李绍珍,陈家祺,等.准分子激光角膜切削术后角膜创面的愈合及皮质类固醇对愈合的影响[J].中华眼科杂志,1996,32(4):172-175.
[3] 张华,宋宏文,郭绒霞,等.PRK的并发症及处理方法的研究进展[J].眼科研究,1999;17(2): 157-160.
[4] Zhang Hua, Guo Rongxia, Sun Naixue,et al. Clinical analysis of excimer laser photorefractive keratectomy for treatment of myopia and myopic astigmatism[J]. J Xi'an Med Univ (Engl. Ed), 1999, 11(1): 52-59.
[5] Snibson DR,Carson CA,Aldred GF,et al.One-year evaluation of excimer laser photorefractive keratectomy for myopia and myopic astigmatism[J]. Arch Ophthalmol,1995,113:994-1000.
, 百拇医药
[6] Fantes FE,Hanna KD,Waring GO,et al.Wound healing after excimer laser keratomileusis(photorefractive keratectomy) in monkeys[J].Arch Ophthalmol,1990,108:665-675.
[7] Hanna KD,Pouliquen YM,Waring GO,et al.Corneal wound healing after in monkey repeated excimer laser photorefractive keratectomy[J].Arch Ophthalmol,1992,110:1286-1291.
[8] Fountain TR,Cruz Z,Green R.Reassembly of corneal epithelial adhesion structures after excimer laser keratectomy in humans[J].Arch Ophthalmol, 1994,112:967-972.
, 百拇医药
[9] Wu WCS,Stark WJ,Green WR.Corneal wound healing after 193-nm excimer laser keratectomy[J].Arch Ophthalmol,1991,109:1426-1432.
[10] Carones F,Brancato R,Venturi E,et al.Effect of corticoste-
roids in reversing after myopic photorefractive keratectomy[J].J Refract Corneal Surg,1992,9(Suppl):52-56.
[11] Fitzsimmons TD,Fagerholm P,Tengroth B.Steroid treatme-
, 百拇医药 nt of myopic regression:acute refractive and topographic changes in excimer photorefractive keratectomy patients[J].Cornea,1993,12:358-361.
[12] Gartry DS,Muir MGK,Lohmann CP,et al.The effect of topical corticosteroids on refractive outcome and corneal haze after myopic photorefractive keratectomy:a prospective,randomized,double-blind trial[J].Arch Ophthalmol,1992,110:944-952.
[13] Vajpayee RB,McCarty CA,Taylor HR,et al. Overcorrection after excimer later treatment of myopia and myopic astigmatism[J].Arch Ophthalmol, 1996,114:252-256.
[14] O′Brart DPS,Corbett MC,Lohmann CP,et al.The effects of ablation diameter on the outcome of excimer laser photorefractive keratectomy:a prospective,randomized,double-blind study[J].Arch Ophthalmol,1995,113:438-443.
收稿日期:1999-10-22;修回日期:1999-12-27, 百拇医药