成人纵隔淋巴结结核一例
作者:宋振龙 王红 王博江 张芳 张晓
单位:宋振龙(山东省滨州地区人民医院放射科 256610); 王红(山东省滨州地区人民医院放射科 256610); 王博江(山东省滨州地区人民医院放射科 256610); 张芳(山东省滨州地区人民医院放射科 256610); 张晓(山东省滨州地区人民医院放射科 256610)
关键词:
临床放射学杂志000334 患者 男,35岁。左侧胸部隐痛不适近2年,有时咳嗽,无痰,近1个月夜间咳嗽来院就诊。体检:神志清,全身表浅淋巴结不大,气管居中。听诊:左肺呼吸音较右侧略低,但无干湿性罗音,心率80次/分。
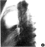
X线检查: 正位胸片示左侧胸腔一12.0cm×7.0cm长椭圆形块影,边缘光滑,密度均匀,基底部与纵隔左缘相连;侧位见块影居纵隔前上方,略呈分叶状,其上缘见条状钙化影(图1、2)。
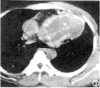
CT扫描: 左上纵隔明显宽,其内见一约10.5cm×7.5cm×8.4cm大小之密度增高块影,其内大部分呈液性密度,部分呈软组织密度,边缘处见斑片状钙化影。气管及主支气管尚通畅。纵隔内未见肿大之淋巴结(图3、4)。



手术病理所见: 探查见左侧纵隔有一12.0cm×10.0cm×5.0cm大小肿块,肿块与前胸壁及降主动脉粘连明显,但包膜完整,周围未见肿大之淋巴结,切除肿块送病检。病理诊断:(纵隔)淋巴结结核。
讨论 纵隔淋巴结结核是一常见病,多见于儿童和青少年。淋巴结结核胸部X线片和CT扫描可见纵隔旁有多个大小不等的肿大淋巴结,往往合并有肺结核。成年人纵隔内单发、巨大、突向肺野内酷似畸胎瘤样的淋巴结结核实属罕见,而且同侧肺组织无特殊改变,术前极易考虑为纵隔畸胎瘤,尤其是团块生长在前纵隔,肿块边缘处有钙化,这在病变定性方面就极其困难。
本例病变主要与之鉴别的疾病为纵隔畸胎瘤、胸腺瘤及纤维瘤。在胸部X线片上只能见到病变的轮廓改变,但对肿块内部细节不能很好地显示,通过CT扫描检查则能更好地了解肿块的生长部位、范围及内部结构情况,如见到钙化、牙齿及骨骼影等可考虑为畸胎瘤;胸腺瘤一般体积小,右侧纵隔常见,但临床上约75%的胸腺瘤患者有重症肌无力;神经纤维瘤前纵隔少见,大部分位于后纵隔,肿块边缘无钙化影可鉴别。
总之,有些疾病的诊断单纯依靠影像学手段,尚难以解决。如本例术前应采取CT扫描或超声导向下行胸腔穿刺活检,病理组织学可明确诊断。因此,对于这类病例诊断,必须全面分析,思路开阔,同时必须结合临床,利用有效的检查手段,才能得出正确的诊断。■
收稿日期:1999-06-29, http://www.100md.com
单位:宋振龙(山东省滨州地区人民医院放射科 256610); 王红(山东省滨州地区人民医院放射科 256610); 王博江(山东省滨州地区人民医院放射科 256610); 张芳(山东省滨州地区人民医院放射科 256610); 张晓(山东省滨州地区人民医院放射科 256610)
关键词:
临床放射学杂志000334 患者 男,35岁。左侧胸部隐痛不适近2年,有时咳嗽,无痰,近1个月夜间咳嗽来院就诊。体检:神志清,全身表浅淋巴结不大,气管居中。听诊:左肺呼吸音较右侧略低,但无干湿性罗音,心率80次/分。
X线检查: 正位胸片示左侧胸腔一12.0cm×7.0cm长椭圆形块影,边缘光滑,密度均匀,基底部与纵隔左缘相连;侧位见块影居纵隔前上方,略呈分叶状,其上缘见条状钙化影(图1、2)。
CT扫描: 左上纵隔明显宽,其内见一约10.5cm×7.5cm×8.4cm大小之密度增高块影,其内大部分呈液性密度,部分呈软组织密度,边缘处见斑片状钙化影。气管及主支气管尚通畅。纵隔内未见肿大之淋巴结(图3、4)。
手术病理所见: 探查见左侧纵隔有一12.0cm×10.0cm×5.0cm大小肿块,肿块与前胸壁及降主动脉粘连明显,但包膜完整,周围未见肿大之淋巴结,切除肿块送病检。病理诊断:(纵隔)淋巴结结核。
讨论 纵隔淋巴结结核是一常见病,多见于儿童和青少年。淋巴结结核胸部X线片和CT扫描可见纵隔旁有多个大小不等的肿大淋巴结,往往合并有肺结核。成年人纵隔内单发、巨大、突向肺野内酷似畸胎瘤样的淋巴结结核实属罕见,而且同侧肺组织无特殊改变,术前极易考虑为纵隔畸胎瘤,尤其是团块生长在前纵隔,肿块边缘处有钙化,这在病变定性方面就极其困难。
本例病变主要与之鉴别的疾病为纵隔畸胎瘤、胸腺瘤及纤维瘤。在胸部X线片上只能见到病变的轮廓改变,但对肿块内部细节不能很好地显示,通过CT扫描检查则能更好地了解肿块的生长部位、范围及内部结构情况,如见到钙化、牙齿及骨骼影等可考虑为畸胎瘤;胸腺瘤一般体积小,右侧纵隔常见,但临床上约75%的胸腺瘤患者有重症肌无力;神经纤维瘤前纵隔少见,大部分位于后纵隔,肿块边缘无钙化影可鉴别。
总之,有些疾病的诊断单纯依靠影像学手段,尚难以解决。如本例术前应采取CT扫描或超声导向下行胸腔穿刺活检,病理组织学可明确诊断。因此,对于这类病例诊断,必须全面分析,思路开阔,同时必须结合临床,利用有效的检查手段,才能得出正确的诊断。■
收稿日期:1999-06-29, http://www.100md.com