超声引导下微波介入治疗中晚期肝癌的临床研究
作者:何文 余锋 陈丹 郑永才 陈先祥 王宏
单位:何文 余锋 陈丹 郑永才 陈先祥(442000 湖北省十堰市人民医院超声科);王宏(郧阳医学院)
关键词:超声检查,介入性;肝肿瘤;微波;治疗应用
中华超声影像学杂志000602
【摘要】 目的 进一步探讨超声引导下微波介入治疗肝癌的可行性和疗效。方法 对43例中晚期肝癌患者进行超声引导下微波治疗。采用分次多点多部位由深到浅低功率长时间分段凝固,输出功率30~60 W,作用时间200~1 800 s。结果 所有病例治疗后肿块缩小,其中3例完全消失,肿块中央回声增强,周边呈低回声,境界清晰,肿瘤内血流消失或减少;12例CT检查示肿块缩小,无强化;23例超声引导下活检提示大片坏死。43例均健在。随访最长已10个月,治疗后全身情况好转,症状减轻或消失,患者饮食明显增加(33例),AFP和肝功能改善,生活质量提高,无严重并发症发生。结论 超声引导微波治疗中晚期肝癌有较好的疗效,适于各期肝癌的治疗。
, 百拇医药
Clinical research of US-guided microwave in the treatment of advanced liver cancer
HE Wen,YU Feng,CHEN Dan,et al.
(Department of Ultrasound ,People's Hospital of Shiyan,Shiyan 442000,China)
【Abstract】 Objective To study the feasibility and therapeutical effect of US-guided percutaneous microwave coagulation therapy for advanced liver cancer.Methods The ultrasound microwave therapy-I(UMC-I) equipment was utilized to treat 43 patients with advanced liver cancer,by multistage,multipoint,and long-time segmental coagulation from interior to superficies, with an output of 30~60W lasting 200~1 800 s.Results All patients remained alive in 3~10 months. After the treatment, all lessions (nodules) were decreased in size and the blood flow in nodules disappeared.Repeated biopsy in 23 patients showed complete tumor necrosis.There was no enhancement in the tumors by enhanced CT scans.All patients were in a goood condition. They showed relief or disappearance of the symptom,significant increase in diet,the improvment in AFP and liver function, without serious complication.Conclusions US-guided microwave treatment is a effctive,safe and practical method for the advanced liver cancer, and suits for the different phases of liver cancer.
, 百拇医药
【Key words】 Ultrasonography,interventional;Liver neoplasms;Microwaves/Therapeutic use
近年来局部热疗尤其微波热凝固治疗肝癌引起了临床重视,为进一步探讨超声引导下微波介入治疗肝癌的可行性和疗效,我们对43例中晚期肝癌进行了研究,现报道如下。
资 料 和 方 法
一、临床资料
肝癌患者43例,其中男39例,女4例,年龄26~68岁,平均 48.4 岁。肝细胞性肝癌36例,转移性肝癌7例。其中术后复发15例,合并肝外转移(包括门脉癌栓)8例,插管化疗、栓塞治疗效果不佳9例。43例中单发结节者4例,多发性结节者39例(2个结节者6例,3个结节者10例,大于3个结节者23例)。小于 5.0 cm结节7例,5.0~10.0 cm结节29例,大于 10.0 cm结节7例。所有患者一般情况差,均是因各种原因不能手术或其他治疗效果不佳者。30例肝功能低下,合并肝硬化;5例出凝血时间、凝血酶原时间延长,血小板及白细胞计数明显低于正常;5例合并少至中量腹水,其中2例肝前进针点有少量腹水;2例合并心功能不全、大面积心肌梗死;2例肿瘤向外生长,进针直接穿入肿块。
, 百拇医药
二、仪器和方法
应用美国Diasonics 2D-Gateway-FX超声仪和Acuson 128XP电脑声像仪,探头频率 3.5~5.0 MHz。UMC-I超声引导微波治疗仪(航天部207所和解放军总医院联合研制)。微波频率2 450 MHz,最大输出功率100 W。穿刺引导装置,14G防粘穿刺针。
术前超声或CT检查了解情况,并行超声引导下活检明确病理学诊断。有腹水者先给予利尿,输白蛋白及中药治疗。查肝功能、AFP、出凝血时间、凝血酶原时间,对有出血倾向者,术前后用维生素K和立止血。术前 12 h禁食水。仅3例因心梗或极度紧张术前用镇静剂。
常规消毒铺巾,2%利多卡因局麻后,进针点切皮0.5 cm,超声引导下14G穿刺针穿入肿块内,抽出针芯导入微波天线。根据肿块大小和患者情况选择不同功率、作用时间和进针次数,同时观察回声变化。选用功率30~60 W,作用时间200~1 800 s,多点多部位分段凝固,力求达到多个椭球形坏死区叠加,使坏死范围加大。临近重要脏器的肿块用沸腾蒸镏水等治疗。治疗中进针处间断滴冰水。拨针后包扎,休息,注意血压、脉搏及腹部情况等。30例治疗后门诊观察 1 d,13例住院观察。治疗次数1~5次,平均2次,每周治疗1~2次。术后1周、2周、1个月、3个月复查,了解肿瘤变化,如有复发或增大继续治疗。术后中药保肝治疗。随访生存期。
, 百拇医药
结 果
所有病例治疗后肿块缩小,其中3例完全消失,肿块中心回声增强,周边呈低回声,境界清晰,其中可见钙化回声,肿瘤内血流消失或减少。12例CT检查示肿块缩小,无强化,23例超声引导下活检提示大片坏死。43例均健在。随访最长10个月,最短3个月。治疗后全身情况好转,症状减轻或消失,患者饮食明显增加(33例),AFP和肝功能改善,生活质量提高。
典型病例:
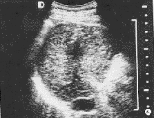
例1,男性,52岁,肝癌术后3个月,发现肝内 4.0 cm×5.0 cm和 2.0 cm×3.0 cm 2个肿块,全身情况较差,食欲下降。3次微波治疗后复查肿块明显缩小,其内血流消失,活检证实肿块全部坏死,5个月后超声检查仅见小钙化点,7~8个月后经多家医院CT、B超检查未见肿块,AFP正常,患者已恢复工作,无任何不适(图1,2)。
例2,男性,26岁,肝癌术后2个月,肝内发现 2.0 cm×3.0 cm和 1.0 cm×2.0 cm 2个肿块,AFP上升,经2次微波治疗后肿块消失,患者一般情况良好,AFP正常。
, 百拇医药
例3,男性,64岁,肝硬化,肝内发现 5.3 cm×4.0 cm和 2.0 cm×3.0 cm 2个肿块,全身情况极差,中量腹水,出凝血时间、凝血酶原时间延长,血小板明显降低,合并大面积心梗,经利尿、输白蛋白、中药治疗2 d后,微波治疗3次,肿块缩小为 1.0 cm×2.0 cm强回声钙化区,境界不清,另一小肿块未显示,AFP正常。患者精神,食欲明显好转,无腹水(图3,4)。
例4,男性,36岁,肝内多发癌结节(>10个),直径 1.0~10.0 cm,一般情况较差。5次分别对6个病灶治疗,每次治疗1~2个肿块,治疗过的肿块有缩小,活检为大片坏死组织,患者食欲和精神状态明显好转。
副作用及并发症:治疗时均有轻微上腹痛,治疗后1周内消失;19例治疗后轻度发热;1例皮肤烫伤,1个月后脱痂,恢复正常。无其他并发症发生。
讨 论
, 百拇医药
对中晚期肝癌的治疗,目前尚无有效的方法,近几年来国内外许多学者探索热疗治疗肝癌的新方法。国内董宝玮等[1]应用微波热凝固治疗肝癌,使肿块凝固坏死范围扩大,呈椭球形坏死,提高机体免疫力,为肝癌治疗开拓了新途径。微波凝固治疗肝癌国内外主要研究小于 5.0 cm肝癌,而对中晚期肝癌研究较少。我们将该项技术应用于中晚期肝癌的治疗,结果显示肿块均有不同程度缩小,3例肿块消失,肿块内血流减少或消失,AFP下降,患者全身情况明显好转,疼痛减轻,食欲增加,可能与肿块坏死,肝功能恢复,机体免疫力增强有关。这有别于以往的微波治疗技术。以往微波用于术中热凝固治疗肝癌需剖腹且凝固坏死区小,呈长条型,不利于肝癌的有效治疗[2,3]。
对大于 5.0 cm肿瘤,主要针对肿瘤周边包围治疗,致使中心缺乏营养,影响其生长。由于微波仪和辐射天线设计的改进[1],克服了其他微波技术的不足,同时我们采用由深至浅分段热凝固,分次多点多部位、低功率长时间分段治疗,使多个椭球形坏死区叠加,设计方案考虑到在三维空间上达到有效灭活,从而使凝固坏死范围扩大,有利于治疗较大的肿瘤。
, 百拇医药
超声持续引导有利于观察肿块变化,避免损伤重要脏器。由于声像图上的改变可反映凝固坏死的范围[1],超声复查和活检可了解肿块坏死情况,对治疗不彻底者要追加治疗,对多发肿瘤,一次杀灭1~2个肿块,以减少肿块数量和体积,恢复免疫力,改善症状。由于微波的热凝固效应,可凝固止血。我们对1例多发性肝癌破裂出血患者术中微波治疗5个肿块(直径 5.0 cm~10.0 cm),功率40~60 W,时间600~800 s,术中可见肿瘤表面变黑,破裂出血停止,术后患者症状明显好转,治疗过的肿块缩小。说明微波对中晚期肝癌的治疗有较好疗效。
对治疗中或治疗后出现的上腹痛和低热,应密切观察,给予对症处理。1例皮肤烫伤是由于初期微波天线裸露小于 2.7 cm所致。在治疗中间断滴冰水以避免引导针处皮肤烫伤。射频、激光和高功率超声治疗肝癌均有一定疗效,但也存在不足,微波应是首选治疗方法。
该方法简便、安全、有效、实用,患者痛苦小,费用低,对中晚期肝癌缩小肿块、改善症状、延长寿命有较好效果,克服了其他介入治疗的不足,术中术后并发症较少,对肝功能、凝血机制要求相对不高,适用于各期肝癌,治疗时应根据患者情况选择不同功率、时间和治疗次数,同时加强保肝治疗。对大的肿瘤由深到浅,多点多部位分段治疗。为避免损伤邻近重要器官,可先用微波凝固远离重要器官的肿块,邻近重要器官的肿块用沸腾蒸馏水治疗,故与其他方法联合应用,对肝癌治疗将起到互补作用。本方法近期疗效较好,远期有待进一步随访,扩大病例研究。复查中若发现新的病灶或原病灶增大,可继续治疗。改进和提高微波技术,扩大凝固范围,有望一次可治疗更大的肿瘤。
, 百拇医药
图1 治疗前超声检查示肝右叶实性肿块;
图2 图1同一病例治疗后肝右叶肿块缩小,呈条索状强回声;
图3 治疗前肝右叶 5.3 cm×4.0 cm低回声肿块;
图4 图3同一病例治疗后肿块缩小呈强回声
参 考 文 献
1,董宝玮,粱萍,于小玲,等.超声引导下微波治疗肝癌的实验研究及临床初步应用.中华医学杂志,1996,2:87-91.
, 百拇医药
2,Tabuse K. A new operative procedure of hapatic surgery using a microwave tissue coagulator.Arch Jpn Chir,1997,48:160-167.
3,Seki T,Wakabayashi,Nakagawa T,et al.Ultrasonoically guided percutaneous microwave coagulation therapy for small hepatocellular carcinoma.Cancer,1994,74:817-825.
(收稿日期:1999-08-09), http://www.100md.com
单位:何文 余锋 陈丹 郑永才 陈先祥(442000 湖北省十堰市人民医院超声科);王宏(郧阳医学院)
关键词:超声检查,介入性;肝肿瘤;微波;治疗应用
中华超声影像学杂志000602
【摘要】 目的 进一步探讨超声引导下微波介入治疗肝癌的可行性和疗效。方法 对43例中晚期肝癌患者进行超声引导下微波治疗。采用分次多点多部位由深到浅低功率长时间分段凝固,输出功率30~60 W,作用时间200~1 800 s。结果 所有病例治疗后肿块缩小,其中3例完全消失,肿块中央回声增强,周边呈低回声,境界清晰,肿瘤内血流消失或减少;12例CT检查示肿块缩小,无强化;23例超声引导下活检提示大片坏死。43例均健在。随访最长已10个月,治疗后全身情况好转,症状减轻或消失,患者饮食明显增加(33例),AFP和肝功能改善,生活质量提高,无严重并发症发生。结论 超声引导微波治疗中晚期肝癌有较好的疗效,适于各期肝癌的治疗。
, 百拇医药
Clinical research of US-guided microwave in the treatment of advanced liver cancer
HE Wen,YU Feng,CHEN Dan,et al.
(Department of Ultrasound ,People's Hospital of Shiyan,Shiyan 442000,China)
【Abstract】 Objective To study the feasibility and therapeutical effect of US-guided percutaneous microwave coagulation therapy for advanced liver cancer.Methods The ultrasound microwave therapy-I(UMC-I) equipment was utilized to treat 43 patients with advanced liver cancer,by multistage,multipoint,and long-time segmental coagulation from interior to superficies, with an output of 30~60W lasting 200~1 800 s.Results All patients remained alive in 3~10 months. After the treatment, all lessions (nodules) were decreased in size and the blood flow in nodules disappeared.Repeated biopsy in 23 patients showed complete tumor necrosis.There was no enhancement in the tumors by enhanced CT scans.All patients were in a goood condition. They showed relief or disappearance of the symptom,significant increase in diet,the improvment in AFP and liver function, without serious complication.Conclusions US-guided microwave treatment is a effctive,safe and practical method for the advanced liver cancer, and suits for the different phases of liver cancer.
, 百拇医药
【Key words】 Ultrasonography,interventional;Liver neoplasms;Microwaves/Therapeutic use
近年来局部热疗尤其微波热凝固治疗肝癌引起了临床重视,为进一步探讨超声引导下微波介入治疗肝癌的可行性和疗效,我们对43例中晚期肝癌进行了研究,现报道如下。
资 料 和 方 法
一、临床资料
肝癌患者43例,其中男39例,女4例,年龄26~68岁,平均 48.4 岁。肝细胞性肝癌36例,转移性肝癌7例。其中术后复发15例,合并肝外转移(包括门脉癌栓)8例,插管化疗、栓塞治疗效果不佳9例。43例中单发结节者4例,多发性结节者39例(2个结节者6例,3个结节者10例,大于3个结节者23例)。小于 5.0 cm结节7例,5.0~10.0 cm结节29例,大于 10.0 cm结节7例。所有患者一般情况差,均是因各种原因不能手术或其他治疗效果不佳者。30例肝功能低下,合并肝硬化;5例出凝血时间、凝血酶原时间延长,血小板及白细胞计数明显低于正常;5例合并少至中量腹水,其中2例肝前进针点有少量腹水;2例合并心功能不全、大面积心肌梗死;2例肿瘤向外生长,进针直接穿入肿块。
, 百拇医药
二、仪器和方法
应用美国Diasonics 2D-Gateway-FX超声仪和Acuson 128XP电脑声像仪,探头频率 3.5~5.0 MHz。UMC-I超声引导微波治疗仪(航天部207所和解放军总医院联合研制)。微波频率2 450 MHz,最大输出功率100 W。穿刺引导装置,14G防粘穿刺针。
术前超声或CT检查了解情况,并行超声引导下活检明确病理学诊断。有腹水者先给予利尿,输白蛋白及中药治疗。查肝功能、AFP、出凝血时间、凝血酶原时间,对有出血倾向者,术前后用维生素K和立止血。术前 12 h禁食水。仅3例因心梗或极度紧张术前用镇静剂。
常规消毒铺巾,2%利多卡因局麻后,进针点切皮0.5 cm,超声引导下14G穿刺针穿入肿块内,抽出针芯导入微波天线。根据肿块大小和患者情况选择不同功率、作用时间和进针次数,同时观察回声变化。选用功率30~60 W,作用时间200~1 800 s,多点多部位分段凝固,力求达到多个椭球形坏死区叠加,使坏死范围加大。临近重要脏器的肿块用沸腾蒸镏水等治疗。治疗中进针处间断滴冰水。拨针后包扎,休息,注意血压、脉搏及腹部情况等。30例治疗后门诊观察 1 d,13例住院观察。治疗次数1~5次,平均2次,每周治疗1~2次。术后1周、2周、1个月、3个月复查,了解肿瘤变化,如有复发或增大继续治疗。术后中药保肝治疗。随访生存期。
, 百拇医药
结 果
所有病例治疗后肿块缩小,其中3例完全消失,肿块中心回声增强,周边呈低回声,境界清晰,其中可见钙化回声,肿瘤内血流消失或减少。12例CT检查示肿块缩小,无强化,23例超声引导下活检提示大片坏死。43例均健在。随访最长10个月,最短3个月。治疗后全身情况好转,症状减轻或消失,患者饮食明显增加(33例),AFP和肝功能改善,生活质量提高。
典型病例:
例1,男性,52岁,肝癌术后3个月,发现肝内 4.0 cm×5.0 cm和 2.0 cm×3.0 cm 2个肿块,全身情况较差,食欲下降。3次微波治疗后复查肿块明显缩小,其内血流消失,活检证实肿块全部坏死,5个月后超声检查仅见小钙化点,7~8个月后经多家医院CT、B超检查未见肿块,AFP正常,患者已恢复工作,无任何不适(图1,2)。
例2,男性,26岁,肝癌术后2个月,肝内发现 2.0 cm×3.0 cm和 1.0 cm×2.0 cm 2个肿块,AFP上升,经2次微波治疗后肿块消失,患者一般情况良好,AFP正常。
, 百拇医药
例3,男性,64岁,肝硬化,肝内发现 5.3 cm×4.0 cm和 2.0 cm×3.0 cm 2个肿块,全身情况极差,中量腹水,出凝血时间、凝血酶原时间延长,血小板明显降低,合并大面积心梗,经利尿、输白蛋白、中药治疗2 d后,微波治疗3次,肿块缩小为 1.0 cm×2.0 cm强回声钙化区,境界不清,另一小肿块未显示,AFP正常。患者精神,食欲明显好转,无腹水(图3,4)。
例4,男性,36岁,肝内多发癌结节(>10个),直径 1.0~10.0 cm,一般情况较差。5次分别对6个病灶治疗,每次治疗1~2个肿块,治疗过的肿块有缩小,活检为大片坏死组织,患者食欲和精神状态明显好转。
副作用及并发症:治疗时均有轻微上腹痛,治疗后1周内消失;19例治疗后轻度发热;1例皮肤烫伤,1个月后脱痂,恢复正常。无其他并发症发生。
讨 论
, 百拇医药
对中晚期肝癌的治疗,目前尚无有效的方法,近几年来国内外许多学者探索热疗治疗肝癌的新方法。国内董宝玮等[1]应用微波热凝固治疗肝癌,使肿块凝固坏死范围扩大,呈椭球形坏死,提高机体免疫力,为肝癌治疗开拓了新途径。微波凝固治疗肝癌国内外主要研究小于 5.0 cm肝癌,而对中晚期肝癌研究较少。我们将该项技术应用于中晚期肝癌的治疗,结果显示肿块均有不同程度缩小,3例肿块消失,肿块内血流减少或消失,AFP下降,患者全身情况明显好转,疼痛减轻,食欲增加,可能与肿块坏死,肝功能恢复,机体免疫力增强有关。这有别于以往的微波治疗技术。以往微波用于术中热凝固治疗肝癌需剖腹且凝固坏死区小,呈长条型,不利于肝癌的有效治疗[2,3]。
对大于 5.0 cm肿瘤,主要针对肿瘤周边包围治疗,致使中心缺乏营养,影响其生长。由于微波仪和辐射天线设计的改进[1],克服了其他微波技术的不足,同时我们采用由深至浅分段热凝固,分次多点多部位、低功率长时间分段治疗,使多个椭球形坏死区叠加,设计方案考虑到在三维空间上达到有效灭活,从而使凝固坏死范围扩大,有利于治疗较大的肿瘤。
, 百拇医药
超声持续引导有利于观察肿块变化,避免损伤重要脏器。由于声像图上的改变可反映凝固坏死的范围[1],超声复查和活检可了解肿块坏死情况,对治疗不彻底者要追加治疗,对多发肿瘤,一次杀灭1~2个肿块,以减少肿块数量和体积,恢复免疫力,改善症状。由于微波的热凝固效应,可凝固止血。我们对1例多发性肝癌破裂出血患者术中微波治疗5个肿块(直径 5.0 cm~10.0 cm),功率40~60 W,时间600~800 s,术中可见肿瘤表面变黑,破裂出血停止,术后患者症状明显好转,治疗过的肿块缩小。说明微波对中晚期肝癌的治疗有较好疗效。
对治疗中或治疗后出现的上腹痛和低热,应密切观察,给予对症处理。1例皮肤烫伤是由于初期微波天线裸露小于 2.7 cm所致。在治疗中间断滴冰水以避免引导针处皮肤烫伤。射频、激光和高功率超声治疗肝癌均有一定疗效,但也存在不足,微波应是首选治疗方法。
该方法简便、安全、有效、实用,患者痛苦小,费用低,对中晚期肝癌缩小肿块、改善症状、延长寿命有较好效果,克服了其他介入治疗的不足,术中术后并发症较少,对肝功能、凝血机制要求相对不高,适用于各期肝癌,治疗时应根据患者情况选择不同功率、时间和治疗次数,同时加强保肝治疗。对大的肿瘤由深到浅,多点多部位分段治疗。为避免损伤邻近重要器官,可先用微波凝固远离重要器官的肿块,邻近重要器官的肿块用沸腾蒸馏水治疗,故与其他方法联合应用,对肝癌治疗将起到互补作用。本方法近期疗效较好,远期有待进一步随访,扩大病例研究。复查中若发现新的病灶或原病灶增大,可继续治疗。改进和提高微波技术,扩大凝固范围,有望一次可治疗更大的肿瘤。
, 百拇医药
图1 治疗前超声检查示肝右叶实性肿块;
图2 图1同一病例治疗后肝右叶肿块缩小,呈条索状强回声;
图3 治疗前肝右叶 5.3 cm×4.0 cm低回声肿块;
图4 图3同一病例治疗后肿块缩小呈强回声
参 考 文 献
1,董宝玮,粱萍,于小玲,等.超声引导下微波治疗肝癌的实验研究及临床初步应用.中华医学杂志,1996,2:87-91.
, 百拇医药
2,Tabuse K. A new operative procedure of hapatic surgery using a microwave tissue coagulator.Arch Jpn Chir,1997,48:160-167.
3,Seki T,Wakabayashi,Nakagawa T,et al.Ultrasonoically guided percutaneous microwave coagulation therapy for small hepatocellular carcinoma.Cancer,1994,74:817-825.
(收稿日期:1999-08-09), http://www.100md.com