CT对支气管肺癌临床分期的价值
作者:陈双庆 孙立中
单位:陈双庆(江苏省海安县人民医院CT室,江苏 海安 226600);孙立中(河南省商丘市中心医院放射科)
关键词:支气管肺癌;断层摄影术,X线计算机
实用放射学杂志000707 [摘要] 目的:探讨CT对支气管肺癌术前分期的价值。方法:经手术和病理证实的支气管肺癌(非小细胞型)共63例,对其CT-病理对照分析。结果:CT分期和术后病理符合率为Ⅰ期72%,Ⅱ期62%,ⅢA期77%,ⅢB期80%,Ⅳ期100%,总体符合率75%。CT诊断淋巴结转移的敏感性63%,特异性60%,准确率62%。结论:CT对显示肺癌原发灶(T)和远处转移(M)较准确,对淋巴结转移(N)有一定限度。
[中图分类号]R734.2 [文献标识码] A
, http://www.100md.com
[文章编号] 1002-1671(2000)07-0408-03
The Value of Clinical Staging of Bronchopulmonary Carcinoma by CT
CHEN Shuang-qing,SUN Li-zhong
(Department of Radiology,Haian Pelople′s Hospital,Haian 226600,Jiangsu Province)
[ABSTRACT] Objective:To explore the value of CT staging of bronchogenic carcinoma.Methods:The CT-pathologic correlative analysis of bronchegenic carcinoma(NSBC)confirmed by operation and pathologic histology was performed in 63 patients.Results:The results showed that the correspondent rates of CT-pathology were 72% in stage Ⅰ,62% in stage Ⅱ,77% in stage ⅢA,80% in stage ⅢB and 100% in stage Ⅳ.The overall rate of correspodance was 75%.In detecting metastatic lymph nodes by CT the sensitivity was 63%,the specificity was 60% and the diagnostic accuracy rate was 60%.Conclusion:CT is an effective method in diagnosis of tumor(T) and distant metastasis(M),but CT scan is limited in detecting the metastatic lymph nodes.
, 百拇医药
[Key Words]bronchopulmonary carcinoma ;tomography,X-ray computed
根据CT的影像表现对肺癌进行临床分期目前应用较广,笔者对63例支气管肺癌(非小细胞型)进行CT-病理对照分析,探讨CT对支气管肺癌临床分期的价值。
1 材料和方法
搜集肺癌病人63例,其中男37例,女26例,年龄37~78岁。全部病例均经手术及病理证实,包括鳞癌39例、腺癌22例、腺鳞癌2例。使用GE-Hispeed Advantage扫描机,层厚、层距10 mm,部分病灶加薄层5 mm层厚扫描。全部病例均行静脉团注增强。
观察手术切除的肺癌肿块的大小、部位及与胸膜、心包、大血管等结构的关系,对疑有侵犯者在肿块与其关系最密切部取材作病理切片。对手术清除的各区肿大淋巴结亦作病理切片。手术医师据之作出TNM临床分期。
, http://www.100md.com
采用VICC制定的TNM分期法:Ⅰ期:T1-2N0M0;Ⅱ期:T1-2N1M0;ⅢA期:T1-2N2M0或T3N0-2M0;ⅢB期:TN3M0或T4NM0;Ⅳ期:TNM1。盲法根据CT征象分期,将结果与临床分期对照分析。
2 结果
2.1 CT与术后病理分期的比较见表1。
表1 CT与术后病理对肺癌分期的比较 分期
, 百拇医药
敏感性(%)
特异性(%)
准确率(%)
Ⅰ
Ⅱ
ⅢA
ⅢB
Ⅳ
合计
72(13/18)
62(8/13)
77(10/13)
, http://www.100md.com
80(12/15)
100(4/4)
84(38/45)
96(48/50)
94(45/48)
96(46/48)
100(49/49)
72(13/18)
62(8/13)
77(10/13)
80(12/15)
100(4/4)
, http://www.100md.com
75(47/63)
2.2 本组病例中CT诊断原发肿瘤(T)的准确率为T1 100%(9/9),T2 91%(30/33),T3 78%(7/9),T4 75%(9/12),总体准确率86%(54/63);诊断淋巴结转移(N)的敏感性63%(24/38),特异性60%(15/25),准确率62%(39/63);远处转移(M)的准确率100%。
3 讨论
支气管肺癌临床常见,为了制定合理的治疗方案,对其进行临床分期具有重要的意义。笔者根据TNM分期法从以下方面探讨CT在肺癌临床分期中的价值。
3.1 原发肿瘤(T)
CT系采用横断扫描技术,对肿瘤的大小、部位、范围可作出正确的判断,特别是对于肺尖、心后缘、脊柱旁(图1)、奇食窝等隐匿部位的病灶的显示较传统X线检查具有无可比拟的优越性。本组病例中,对于长径<3 cm的T1期肿瘤CT诊断准确率为100%,T2期的诊断率也达91%,仅3例术前疑有胸膜侵犯诊为T3期。
, http://www.100md.com
关于肺癌对胸壁、心包、纵隔胸膜侵犯的诊断标准,说法不一。有学者认为CT的一些征象包括心包增厚、胸膜外脂肪密度增加或伴胸膜增厚等均不是肿瘤侵犯的可靠表现,对其估计需慎重[1]。Scott[2]发现ⅢA期肺癌中CT诊断心包受侵犯仅1/3病例是正确的,心包增厚不一定为肿瘤侵犯。笔者认为仅仅依靠某一征象判断是否有胸壁等侵犯是不可靠的,应根据几种征象综合分析(图2),方能提高其诊断正确率。本组9例T3期肺癌应用综合分析法,大大提高了诊断正确率。
CT诊断纵隔受侵的标准包括肿瘤与纵隔相连、侵及血管或瘤体与纵隔结构间脂肪层消失等[3]。但有时从CT影像上不能区别炎性粘连和癌性浸润,对周围脂肪的早期浸润也有一定限度。动态增强扫描的应用可提高准确性,特别是当见到肿瘤包绕血管(图3)或明显浸润纵隔脂肪时,CT诊断相当可靠。文献报道CT诊断肿瘤侵犯纵隔、心脏及大血管的准确率为70%[3],本组资料为75%,与之相符。
, http://www.100md.com
3.2 淋巴结转移(N)
CT对显示肺癌肺门及纵隔淋巴结转移的研究报道很多,大都认为有一定的价值,文献统计其敏感性69%,特异性78%,准确性75%[4]。因为转移性淋巴结在形态学上缺乏特征性的改变,目前诊断其是否发生转移的唯一标准是根据淋巴结的大小。国内外学者大都采用淋巴结短径>1.0 cm作为异常的指标进行评价(图4)。本组病例用此标准诊断淋巴结转移的敏感性63%,特异性60%,准确率62%,与文献报道相比稍偏低。笔者认为淋巴结大小作为判断是否发生转移的标准具有局限性,因为小的淋巴结可能为隐匿性转移,而大的淋巴结可能为反应性增生或肉芽肿性疾病,只有见到相互融合成团的淋巴结,才具有肯定的价值(图5)。有文献报道直径<1.0 cm的淋巴结转移约占7%[5]。本组有9例CT诊断阴性,经病理证实已有6例发生淋巴结转移,因此CT对肺癌淋巴结转移的判断存在一定的限度,但目前仍为显示淋巴结增大及增大程度的理想方法,并可指明肿大淋巴结的部位,以帮助选择最合适的组织学检查方法。




, 百拇医药
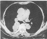
图1 Ⅱ期(T2N1M0)肺癌,肿块位于脊柱旁
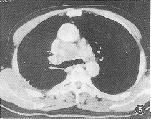
图2 ⅢA期(T3N2M0)肺癌,胸壁受侵,肿块与胸膜交界长度>3 cm,局部胸膜增厚,胸膜外脂肪层消失
图3 ⅢB(T4N1M0)肺癌,肿瘤包绕右肺动脉,上腔静脉受压变形 图4 ⅢA(T2N2M0)肺癌,气管分叉前一肿大淋巴结,短径1.5 cm,病理证实为肺癌淋巴结转移 图5 纵隔内淋巴结肿大融合成团
3.3 远处转移(M)
肺癌易发生远处转移的脏器包括肝、肾上腺、脑、骨等,CT对其敏感性很高。因此肺癌病人作胸部扫描时最好包括腹部脏器及颅脑,以确定有无远处转移,进行正确的分期和选择相应的治疗方案。
, http://www.100md.com
总之,CT在肺癌临床分期上有很大的作用,可直接显示肿瘤的大小、形态及对邻近组织的侵犯,显示淋巴结的肿大,确定远处脏器的转移,是目前肺癌TNM放射学分期的首选方法。
作者简介:陈双庆(1969- ),男,江苏海安县人,苏州医学院医学系毕业,住院医师,研究方向胸部疾病CT诊断。
参考文献
[1] Pearlberg JL,Sandler MA,Beute GH,et al.Limitation of CT in evaluation of neoplasms involving cheat wall.J Comput Assist Tomogr,1987,11:290.
[2] Scott IR,Muller NL,Miller RR,et al.Resectable stage Ⅲ lung cancer:CT surgical and pathologic correlation.Radiology,1988,166:75.
, http://www.100md.com
[3] Mclond C(吴春营).支气管肺癌的CT诊断:有待明确的纵隔内侵犯.国外医学(临床放射学分册),1990,13:342.
[4] 铃木正行(白振明).原发性肺癌纵隔淋巴结转移的CT诊断基础及临床应用.国外医学(临床放射学分册),1989,12:172.
[5] Gross BH,Glazer GM,Orringer MB,et al.Bronchogenic carcinoma metastatic to mormal-sized lymph nodes:frequency and significance.Radiology,1988,166:71.
收稿日期:1998-05-11 修回日期:1998-07-06, 百拇医药
单位:陈双庆(江苏省海安县人民医院CT室,江苏 海安 226600);孙立中(河南省商丘市中心医院放射科)
关键词:支气管肺癌;断层摄影术,X线计算机
实用放射学杂志000707 [摘要] 目的:探讨CT对支气管肺癌术前分期的价值。方法:经手术和病理证实的支气管肺癌(非小细胞型)共63例,对其CT-病理对照分析。结果:CT分期和术后病理符合率为Ⅰ期72%,Ⅱ期62%,ⅢA期77%,ⅢB期80%,Ⅳ期100%,总体符合率75%。CT诊断淋巴结转移的敏感性63%,特异性60%,准确率62%。结论:CT对显示肺癌原发灶(T)和远处转移(M)较准确,对淋巴结转移(N)有一定限度。
[中图分类号]R734.2 [文献标识码] A
, http://www.100md.com
[文章编号] 1002-1671(2000)07-0408-03
The Value of Clinical Staging of Bronchopulmonary Carcinoma by CT
CHEN Shuang-qing,SUN Li-zhong
(Department of Radiology,Haian Pelople′s Hospital,Haian 226600,Jiangsu Province)
[ABSTRACT] Objective:To explore the value of CT staging of bronchogenic carcinoma.Methods:The CT-pathologic correlative analysis of bronchegenic carcinoma(NSBC)confirmed by operation and pathologic histology was performed in 63 patients.Results:The results showed that the correspondent rates of CT-pathology were 72% in stage Ⅰ,62% in stage Ⅱ,77% in stage ⅢA,80% in stage ⅢB and 100% in stage Ⅳ.The overall rate of correspodance was 75%.In detecting metastatic lymph nodes by CT the sensitivity was 63%,the specificity was 60% and the diagnostic accuracy rate was 60%.Conclusion:CT is an effective method in diagnosis of tumor(T) and distant metastasis(M),but CT scan is limited in detecting the metastatic lymph nodes.
, 百拇医药
[Key Words]bronchopulmonary carcinoma ;tomography,X-ray computed
根据CT的影像表现对肺癌进行临床分期目前应用较广,笔者对63例支气管肺癌(非小细胞型)进行CT-病理对照分析,探讨CT对支气管肺癌临床分期的价值。
1 材料和方法
搜集肺癌病人63例,其中男37例,女26例,年龄37~78岁。全部病例均经手术及病理证实,包括鳞癌39例、腺癌22例、腺鳞癌2例。使用GE-Hispeed Advantage扫描机,层厚、层距10 mm,部分病灶加薄层5 mm层厚扫描。全部病例均行静脉团注增强。
观察手术切除的肺癌肿块的大小、部位及与胸膜、心包、大血管等结构的关系,对疑有侵犯者在肿块与其关系最密切部取材作病理切片。对手术清除的各区肿大淋巴结亦作病理切片。手术医师据之作出TNM临床分期。
, http://www.100md.com
采用VICC制定的TNM分期法:Ⅰ期:T1-2N0M0;Ⅱ期:T1-2N1M0;ⅢA期:T1-2N2M0或T3N0-2M0;ⅢB期:TN3M0或T4NM0;Ⅳ期:TNM1。盲法根据CT征象分期,将结果与临床分期对照分析。
2 结果
2.1 CT与术后病理分期的比较见表1。
表1 CT与术后病理对肺癌分期的比较 分期
, 百拇医药
敏感性(%)
特异性(%)
准确率(%)
Ⅰ
Ⅱ
ⅢA
ⅢB
Ⅳ
合计
72(13/18)
62(8/13)
77(10/13)
, http://www.100md.com
80(12/15)
100(4/4)
84(38/45)
96(48/50)
94(45/48)
96(46/48)
100(49/49)
72(13/18)
62(8/13)
77(10/13)
80(12/15)
100(4/4)
, http://www.100md.com
75(47/63)
2.2 本组病例中CT诊断原发肿瘤(T)的准确率为T1 100%(9/9),T2 91%(30/33),T3 78%(7/9),T4 75%(9/12),总体准确率86%(54/63);诊断淋巴结转移(N)的敏感性63%(24/38),特异性60%(15/25),准确率62%(39/63);远处转移(M)的准确率100%。
3 讨论
支气管肺癌临床常见,为了制定合理的治疗方案,对其进行临床分期具有重要的意义。笔者根据TNM分期法从以下方面探讨CT在肺癌临床分期中的价值。
3.1 原发肿瘤(T)
CT系采用横断扫描技术,对肿瘤的大小、部位、范围可作出正确的判断,特别是对于肺尖、心后缘、脊柱旁(图1)、奇食窝等隐匿部位的病灶的显示较传统X线检查具有无可比拟的优越性。本组病例中,对于长径<3 cm的T1期肿瘤CT诊断准确率为100%,T2期的诊断率也达91%,仅3例术前疑有胸膜侵犯诊为T3期。
, http://www.100md.com
关于肺癌对胸壁、心包、纵隔胸膜侵犯的诊断标准,说法不一。有学者认为CT的一些征象包括心包增厚、胸膜外脂肪密度增加或伴胸膜增厚等均不是肿瘤侵犯的可靠表现,对其估计需慎重[1]。Scott[2]发现ⅢA期肺癌中CT诊断心包受侵犯仅1/3病例是正确的,心包增厚不一定为肿瘤侵犯。笔者认为仅仅依靠某一征象判断是否有胸壁等侵犯是不可靠的,应根据几种征象综合分析(图2),方能提高其诊断正确率。本组9例T3期肺癌应用综合分析法,大大提高了诊断正确率。
CT诊断纵隔受侵的标准包括肿瘤与纵隔相连、侵及血管或瘤体与纵隔结构间脂肪层消失等[3]。但有时从CT影像上不能区别炎性粘连和癌性浸润,对周围脂肪的早期浸润也有一定限度。动态增强扫描的应用可提高准确性,特别是当见到肿瘤包绕血管(图3)或明显浸润纵隔脂肪时,CT诊断相当可靠。文献报道CT诊断肿瘤侵犯纵隔、心脏及大血管的准确率为70%[3],本组资料为75%,与之相符。
, http://www.100md.com
3.2 淋巴结转移(N)
CT对显示肺癌肺门及纵隔淋巴结转移的研究报道很多,大都认为有一定的价值,文献统计其敏感性69%,特异性78%,准确性75%[4]。因为转移性淋巴结在形态学上缺乏特征性的改变,目前诊断其是否发生转移的唯一标准是根据淋巴结的大小。国内外学者大都采用淋巴结短径>1.0 cm作为异常的指标进行评价(图4)。本组病例用此标准诊断淋巴结转移的敏感性63%,特异性60%,准确率62%,与文献报道相比稍偏低。笔者认为淋巴结大小作为判断是否发生转移的标准具有局限性,因为小的淋巴结可能为隐匿性转移,而大的淋巴结可能为反应性增生或肉芽肿性疾病,只有见到相互融合成团的淋巴结,才具有肯定的价值(图5)。有文献报道直径<1.0 cm的淋巴结转移约占7%[5]。本组有9例CT诊断阴性,经病理证实已有6例发生淋巴结转移,因此CT对肺癌淋巴结转移的判断存在一定的限度,但目前仍为显示淋巴结增大及增大程度的理想方法,并可指明肿大淋巴结的部位,以帮助选择最合适的组织学检查方法。
, 百拇医药
图1 Ⅱ期(T2N1M0)肺癌,肿块位于脊柱旁
图2 ⅢA期(T3N2M0)肺癌,胸壁受侵,肿块与胸膜交界长度>3 cm,局部胸膜增厚,胸膜外脂肪层消失
图3 ⅢB(T4N1M0)肺癌,肿瘤包绕右肺动脉,上腔静脉受压变形 图4 ⅢA(T2N2M0)肺癌,气管分叉前一肿大淋巴结,短径1.5 cm,病理证实为肺癌淋巴结转移 图5 纵隔内淋巴结肿大融合成团
3.3 远处转移(M)
肺癌易发生远处转移的脏器包括肝、肾上腺、脑、骨等,CT对其敏感性很高。因此肺癌病人作胸部扫描时最好包括腹部脏器及颅脑,以确定有无远处转移,进行正确的分期和选择相应的治疗方案。
, http://www.100md.com
总之,CT在肺癌临床分期上有很大的作用,可直接显示肿瘤的大小、形态及对邻近组织的侵犯,显示淋巴结的肿大,确定远处脏器的转移,是目前肺癌TNM放射学分期的首选方法。
作者简介:陈双庆(1969- ),男,江苏海安县人,苏州医学院医学系毕业,住院医师,研究方向胸部疾病CT诊断。
参考文献
[1] Pearlberg JL,Sandler MA,Beute GH,et al.Limitation of CT in evaluation of neoplasms involving cheat wall.J Comput Assist Tomogr,1987,11:290.
[2] Scott IR,Muller NL,Miller RR,et al.Resectable stage Ⅲ lung cancer:CT surgical and pathologic correlation.Radiology,1988,166:75.
, http://www.100md.com
[3] Mclond C(吴春营).支气管肺癌的CT诊断:有待明确的纵隔内侵犯.国外医学(临床放射学分册),1990,13:342.
[4] 铃木正行(白振明).原发性肺癌纵隔淋巴结转移的CT诊断基础及临床应用.国外医学(临床放射学分册),1989,12:172.
[5] Gross BH,Glazer GM,Orringer MB,et al.Bronchogenic carcinoma metastatic to mormal-sized lymph nodes:frequency and significance.Radiology,1988,166:71.
收稿日期:1998-05-11 修回日期:1998-07-06, 百拇医药