SOD1基因缺陷型小鼠耳蜗毛细胞和螺旋神经节及神经纤维的定量观察
作者:丁大连 蒋海燕 Sandra L.McFadden Richard J. Salvi 李 明
单位:丁大连 蒋海燕 Sandra L.McFadden Richard J. Salvi Center for Hearing and Deafness,State University of New York at Buffalo 李 明 佳木斯医学院附属医院
关键词:耳蜗;过氧化物歧化酶;毛细胞;神经纤维;螺旋神经节
山东医大基础医学院学报990101 内容提要 定量观察了出生后13个月的先天缺失SOD1基因小鼠的耳蜗毛细胞以及螺旋神经节和疆孔内的神经纤维,并与同龄野生型和出生后2个月的野生型小鼠进行了比较。发现毛细胞和螺旋神经节的缺损约为50%,神经纤维的减少则超过50%,提示由于与铜和锌相结合的过氧化物歧化酶的缺失导致了耳蜗神经与终器的严重退变。
, 百拇医药
QUANTITATIVE ANALYSIS OF HAIR CELLS,SPIRAL GANGLION NEURONS AND NERVE FIBERS
IN KNOCKOUT MICE LACKING SOD1 GENE
Ding Dalian Jiang Haiyan Sandra L.McFadden, et al
(Center for Hearing and Deafness,State University of New York at Buffalo)
Abstract The hair cells,spiral ganglions and nerve fibers in the cochlea were observed in 13-months-old knockout mice lacking SOD1 gene,which were compared with the same aged wild type mice and 2-months-old wild type mice.It was found that the hair cells and gaglion neurons were missing 50%,and the nerve fibers were missing more than 50%in lacking SOD1 gene mice.This suggests that the serious damage in both hair cells and nerve system in the cochlea were caused by lacking superoxide dismutase combined by copper and zinc.
, http://www.100md.com
Key words Free radicals;Superoxide dismutase;Hair cells;Nerve fiber;Spiral ganglion cell
正常细胞代谢过程所产生的氧自由基及其代谢产物对耳蜗的损害已经引起了学者们的高度重视[1,2]。过氧化物歧化酶(SOD)做为一种抗氧化物清除剂可以保护细胞。耳蜗中74%的SOD是细胞质中与铜和锌相结合的SOD异构酶(Cu/Zn-SOD),因此,耳蜗中的Cu/Zn-SOD对保护耳蜗免受过氧化物阴离子的损害具有重要的意义[3]。鉴于Cu/Zn-SOD是由SOD1在染色体21编码,因此,SOD1基因缺陷型小鼠先天丧失Cu/Zn-SOD[4]。本研究定量观察了出生后13个月的SOD1基因缺陷型小鼠的耳蜗毛细胞和螺旋神经节以及疆孔内的神经纤维,并与出生后2个月和出生后13个月的野生型小鼠进行了比较,以冀探讨Cu/Zn-SOD与耳蜗感受器及其神经系统自然退行性变的关系。
, http://www.100md.com
1 材料与方法
15只小鼠由美国Cephalon公司提供,其中出生13个月SOD1基因密码序列缺失的缺陷型小鼠以及出生2个月和出生13个月的野生型 小鼠各5只。
受试小鼠被牵引颈部致死,取出听泡浸入10%福尔马林磷酸盐缓冲液固定48h,然后用5%氯化氢溶液脱钙8h。左耳常规制备耳蜗基底膜铺片并用Harris苏木素染色。右耳经梯度酒精脱水后用Epon 812包埋,常规制备连续半薄切片,片厚3μm,并用1%甲苯胺蓝染色[5]。
从蜗尖向蜗底逐个视野计数内、外毛细胞并制备平均耳蜗图;从骨性螺旋板切片分别计数顶回和底回疆孔内的神经纤维数并取其均值进行差异显著性比较;从耳蜗中轴连续切片逐片计数螺旋神经节细胞并将其总数进行组间比较。
2 结 果
, 百拇医药
耳蜗铺片显示3组小鼠的毛细胞缺损程度明显不同,见图1。
图1 铺片示耳蜗底回毛细胞
A:出生2个月野生型小鼠
B:出生13个月野生型小鼠
C:出生13个月SOD1基因缺陷型小鼠(下同)
平均耳蜗图显示出生2个月的野生型小鼠毛细胞基本无缺损;出生13个月的野生型小鼠近底回和顶回的外毛细胞有缺损,但内毛细胞基本健全,出生13个月的SOD1基因缺陷型小鼠约有50%的内毛细胞缺损,外毛细胞的损失更为严重,其病变范围从底回向顶回扩展。骨性螺旋板切片显示3组小鼠疆孔内的神经纤维数量明显不同,见图2。
, http://www.100md.com
图2 骨性螺旋板切片示疆孔内的神经纤维
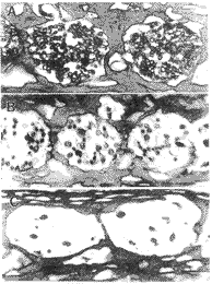
出生2个月组野生型小鼠顶回单个疆孔内的平均神经纤维数为61.84±2.33,底回单个疆孔内的平均神经纤维数为58.40±4.43;出生13个月的野生型小鼠顶回单个疆孔内的平均神经纤维数分别为50.38±2.90和31.40±2.51;出生13个月的SOD1基因缺陷型小鼠顶回和底回单个疆孔内的平均神经纤维数分别为11.14±0.42和5.58±0.97。各组动物之间的神经纤维数无论在顶回还是在底回差异均有显著性(P<0.05).出生2个月野生型小鼠的顶回和底回之间无差异(P>0.05),但出生13个月的野生型小鼠和SOD1基因缺陷型小鼠的顶回和底回之间差异有显著性(P<0.05)。耳蜗中轴切片显示出生13个月的野生型组小鼠耳蜗底回有部分螺旋神经节缺失,计数为21 059±3343.3,较出生2个月野生型小鼠的24 197±607.9有所减少,但差异无显著性(P>0.05)。出生13个月的SOD1基因缺陷型组小鼠的螺旋神经节为11 186±1914.6,与另外两组野生型小鼠相比减少约50%,见图3。
, 百拇医药
图3 中轴切片示螺旋神经节
3 讨 论
Cu/Zn-SOD基因缺失与神经原的退变关系密切,因此,SOD1基因缺陷型小鼠是研究神经及其终器退行性改变的理想动物模型[4]。通常SOD1基因缺陷型小鼠在出生后14个月保持正常,但耳蜗毛细胞的退行性变却发生较早,提示耳蜗对Cu/Zn-SOD的缺乏更为敏感[6,7]。本结果表明,出生13个月的SOD1基因缺陷型小鼠无论是毛细胞,还是疆孔内的神经纤维以及螺旋神经节的数量均比野生型小鼠明显减少,说明Cu/Zn-SOD基因的缺失不仅加重了耳蜗毛细胞的损坏,而且影响了与之相关的神经系统。这显然是因耳蜗中的Cu/Zn-SOD在耳蜗SOD中占有74%的优势地位[3]。一旦失去Cu/Zn-SOD,势必导致过氧化物阴离子加重对耳蜗神经及其终器的损害。耳蜗传入神经系统中约95%的神经元是直接与内毛细胞相联系的Ⅰ型神经元,每个内毛细胞由20多个Ⅰ型神经元支配;而占螺旋神经元总数5%的Ⅱ型神经元支配外毛细胞,每个Ⅱ型神经元支配10个以上外毛细胞[8]。耳蜗传出神经的细胞体位于上橄榄复合体内,其发出的神经纤维末梢在穿越疆孔时与传入神经纤维的比例约为1:6,由中间螺旋神经节束发出的内螺旋束终止于内毛细胞的传入树突,上隧道放射束则与外毛细胞形成突触[8]。由此可见,内毛细胞与95%左右的螺旋神经节有一定的对应关系,而外毛细胞的病变可能仅局限于影响其传出神经纤维和Ⅱ型螺旋神经节。本研究定量观察了全耳蜗毛细胞,穿越疆孔的神经纤维和蜗轴内的螺旋神经节,发现SOD1基因缺陷型小鼠内毛细胞缺损的百分比与螺旋神经节的损失程度相似,显然这是由于内毛细胞与占总数95%的Ⅰ型螺旋神经节有联系,从而在损失程度上一致。但疆孔内神经纤维的损失程度要比内毛细胞和螺旋神经节的缺损程度严重,虽然可以想象外毛细胞的大量坏死势必引起与其相联系的传出神经和Ⅱ型传入神经的退变,但即使排除占六分之一比例的传出神经纤维和5%的Ⅱ型传入纤维,仍然不能解释尚占总数50%的内毛细胞和螺旋神经节如何通过仅占总数20%的神经纤维相联系。如何解释神经纤维的退行性变比毛细胞和螺旋神经节更严重是有待进一步研究的课题。本研究还发现底回疆孔内的残存神经纤维数量比顶回少,这一现象与毛细胞缺损是从底回向顶回发展以及底回螺旋神经节的损失更为严重相一致。综上所述,SOD1基因的缺失引起的Cu/Zn-SOD缺失导致了耳蜗毛细胞和螺旋神经节及其神经纤维的退行性变更为严重。
, 百拇医药
参考文献
1 Clerici WJ,Yang LH. Direct effects of intraperilymphatic reactive oxygen species generation on cochlear function.Hear Res,1996;101:14
2 Ikeda K,Takasaka T.Effects of free radicals on the intracellular calcium concentration in the isolated outer hair cell of the guinea pig cochlea.Acta Otolaryngol (Stockh),1993;113:137
3 Pierson MG,Gray BH.Superoxide dismutase activity in the cochlea.Hear Res,1982;6:141
, 百拇医药
4 Reaume AG, Elliott JL,Hoffman EK,et al.Motor neurons in Cu/Zn superoxide dismutase-deficient mice develop normally but exhibit enhanced cell death after axonal injury.Nature Genetics Volume,1996;13(5):43
5 丁大连,王坚,郑向阳,等.耳蜗毛细胞和螺旋神经节及其神经纤维的联合定量观察.中国耳鼻咽喉科颅底外科杂志(排印中).
6 Salvi RJ,Ding DL,Burkard RE,et al. Knockout mice lacking the Cu-Zn-superoxide dismutase gene exhibit greater age-related sensory cell loss.Florida ARO meeting, 1998:520
7 McFadden SL,Burkard RF,Ding DL,et al.Auditory brainstem responses and cochlear hair cell loss in mice with targeted deletions of the SOD1 gene.Florida ARO meeting,1998:519
8 Spoendlin H.Innervation densities of the cochlea.Acta Otolaryngol,1972;73:235
收稿日期 1998-10-05, http://www.100md.com
单位:丁大连 蒋海燕 Sandra L.McFadden Richard J. Salvi Center for Hearing and Deafness,State University of New York at Buffalo 李 明 佳木斯医学院附属医院
关键词:耳蜗;过氧化物歧化酶;毛细胞;神经纤维;螺旋神经节
山东医大基础医学院学报990101 内容提要 定量观察了出生后13个月的先天缺失SOD1基因小鼠的耳蜗毛细胞以及螺旋神经节和疆孔内的神经纤维,并与同龄野生型和出生后2个月的野生型小鼠进行了比较。发现毛细胞和螺旋神经节的缺损约为50%,神经纤维的减少则超过50%,提示由于与铜和锌相结合的过氧化物歧化酶的缺失导致了耳蜗神经与终器的严重退变。
, 百拇医药
QUANTITATIVE ANALYSIS OF HAIR CELLS,SPIRAL GANGLION NEURONS AND NERVE FIBERS
IN KNOCKOUT MICE LACKING SOD1 GENE
Ding Dalian Jiang Haiyan Sandra L.McFadden, et al
(Center for Hearing and Deafness,State University of New York at Buffalo)
Abstract The hair cells,spiral ganglions and nerve fibers in the cochlea were observed in 13-months-old knockout mice lacking SOD1 gene,which were compared with the same aged wild type mice and 2-months-old wild type mice.It was found that the hair cells and gaglion neurons were missing 50%,and the nerve fibers were missing more than 50%in lacking SOD1 gene mice.This suggests that the serious damage in both hair cells and nerve system in the cochlea were caused by lacking superoxide dismutase combined by copper and zinc.
, http://www.100md.com
Key words Free radicals;Superoxide dismutase;Hair cells;Nerve fiber;Spiral ganglion cell
正常细胞代谢过程所产生的氧自由基及其代谢产物对耳蜗的损害已经引起了学者们的高度重视[1,2]。过氧化物歧化酶(SOD)做为一种抗氧化物清除剂可以保护细胞。耳蜗中74%的SOD是细胞质中与铜和锌相结合的SOD异构酶(Cu/Zn-SOD),因此,耳蜗中的Cu/Zn-SOD对保护耳蜗免受过氧化物阴离子的损害具有重要的意义[3]。鉴于Cu/Zn-SOD是由SOD1在染色体21编码,因此,SOD1基因缺陷型小鼠先天丧失Cu/Zn-SOD[4]。本研究定量观察了出生后13个月的SOD1基因缺陷型小鼠的耳蜗毛细胞和螺旋神经节以及疆孔内的神经纤维,并与出生后2个月和出生后13个月的野生型小鼠进行了比较,以冀探讨Cu/Zn-SOD与耳蜗感受器及其神经系统自然退行性变的关系。
, http://www.100md.com
1 材料与方法
15只小鼠由美国Cephalon公司提供,其中出生13个月SOD1基因密码序列缺失的缺陷型小鼠以及出生2个月和出生13个月的野生型 小鼠各5只。
受试小鼠被牵引颈部致死,取出听泡浸入10%福尔马林磷酸盐缓冲液固定48h,然后用5%氯化氢溶液脱钙8h。左耳常规制备耳蜗基底膜铺片并用Harris苏木素染色。右耳经梯度酒精脱水后用Epon 812包埋,常规制备连续半薄切片,片厚3μm,并用1%甲苯胺蓝染色[5]。
从蜗尖向蜗底逐个视野计数内、外毛细胞并制备平均耳蜗图;从骨性螺旋板切片分别计数顶回和底回疆孔内的神经纤维数并取其均值进行差异显著性比较;从耳蜗中轴连续切片逐片计数螺旋神经节细胞并将其总数进行组间比较。
2 结 果
, 百拇医药
耳蜗铺片显示3组小鼠的毛细胞缺损程度明显不同,见图1。
图1 铺片示耳蜗底回毛细胞
A:出生2个月野生型小鼠
B:出生13个月野生型小鼠
C:出生13个月SOD1基因缺陷型小鼠(下同)
平均耳蜗图显示出生2个月的野生型小鼠毛细胞基本无缺损;出生13个月的野生型小鼠近底回和顶回的外毛细胞有缺损,但内毛细胞基本健全,出生13个月的SOD1基因缺陷型小鼠约有50%的内毛细胞缺损,外毛细胞的损失更为严重,其病变范围从底回向顶回扩展。骨性螺旋板切片显示3组小鼠疆孔内的神经纤维数量明显不同,见图2。
, http://www.100md.com
图2 骨性螺旋板切片示疆孔内的神经纤维
出生2个月组野生型小鼠顶回单个疆孔内的平均神经纤维数为61.84±2.33,底回单个疆孔内的平均神经纤维数为58.40±4.43;出生13个月的野生型小鼠顶回单个疆孔内的平均神经纤维数分别为50.38±2.90和31.40±2.51;出生13个月的SOD1基因缺陷型小鼠顶回和底回单个疆孔内的平均神经纤维数分别为11.14±0.42和5.58±0.97。各组动物之间的神经纤维数无论在顶回还是在底回差异均有显著性(P<0.05).出生2个月野生型小鼠的顶回和底回之间无差异(P>0.05),但出生13个月的野生型小鼠和SOD1基因缺陷型小鼠的顶回和底回之间差异有显著性(P<0.05)。耳蜗中轴切片显示出生13个月的野生型组小鼠耳蜗底回有部分螺旋神经节缺失,计数为21 059±3343.3,较出生2个月野生型小鼠的24 197±607.9有所减少,但差异无显著性(P>0.05)。出生13个月的SOD1基因缺陷型组小鼠的螺旋神经节为11 186±1914.6,与另外两组野生型小鼠相比减少约50%,见图3。
, 百拇医药
图3 中轴切片示螺旋神经节
3 讨 论
Cu/Zn-SOD基因缺失与神经原的退变关系密切,因此,SOD1基因缺陷型小鼠是研究神经及其终器退行性改变的理想动物模型[4]。通常SOD1基因缺陷型小鼠在出生后14个月保持正常,但耳蜗毛细胞的退行性变却发生较早,提示耳蜗对Cu/Zn-SOD的缺乏更为敏感[6,7]。本结果表明,出生13个月的SOD1基因缺陷型小鼠无论是毛细胞,还是疆孔内的神经纤维以及螺旋神经节的数量均比野生型小鼠明显减少,说明Cu/Zn-SOD基因的缺失不仅加重了耳蜗毛细胞的损坏,而且影响了与之相关的神经系统。这显然是因耳蜗中的Cu/Zn-SOD在耳蜗SOD中占有74%的优势地位[3]。一旦失去Cu/Zn-SOD,势必导致过氧化物阴离子加重对耳蜗神经及其终器的损害。耳蜗传入神经系统中约95%的神经元是直接与内毛细胞相联系的Ⅰ型神经元,每个内毛细胞由20多个Ⅰ型神经元支配;而占螺旋神经元总数5%的Ⅱ型神经元支配外毛细胞,每个Ⅱ型神经元支配10个以上外毛细胞[8]。耳蜗传出神经的细胞体位于上橄榄复合体内,其发出的神经纤维末梢在穿越疆孔时与传入神经纤维的比例约为1:6,由中间螺旋神经节束发出的内螺旋束终止于内毛细胞的传入树突,上隧道放射束则与外毛细胞形成突触[8]。由此可见,内毛细胞与95%左右的螺旋神经节有一定的对应关系,而外毛细胞的病变可能仅局限于影响其传出神经纤维和Ⅱ型螺旋神经节。本研究定量观察了全耳蜗毛细胞,穿越疆孔的神经纤维和蜗轴内的螺旋神经节,发现SOD1基因缺陷型小鼠内毛细胞缺损的百分比与螺旋神经节的损失程度相似,显然这是由于内毛细胞与占总数95%的Ⅰ型螺旋神经节有联系,从而在损失程度上一致。但疆孔内神经纤维的损失程度要比内毛细胞和螺旋神经节的缺损程度严重,虽然可以想象外毛细胞的大量坏死势必引起与其相联系的传出神经和Ⅱ型传入神经的退变,但即使排除占六分之一比例的传出神经纤维和5%的Ⅱ型传入纤维,仍然不能解释尚占总数50%的内毛细胞和螺旋神经节如何通过仅占总数20%的神经纤维相联系。如何解释神经纤维的退行性变比毛细胞和螺旋神经节更严重是有待进一步研究的课题。本研究还发现底回疆孔内的残存神经纤维数量比顶回少,这一现象与毛细胞缺损是从底回向顶回发展以及底回螺旋神经节的损失更为严重相一致。综上所述,SOD1基因的缺失引起的Cu/Zn-SOD缺失导致了耳蜗毛细胞和螺旋神经节及其神经纤维的退行性变更为严重。
, 百拇医药
参考文献
1 Clerici WJ,Yang LH. Direct effects of intraperilymphatic reactive oxygen species generation on cochlear function.Hear Res,1996;101:14
2 Ikeda K,Takasaka T.Effects of free radicals on the intracellular calcium concentration in the isolated outer hair cell of the guinea pig cochlea.Acta Otolaryngol (Stockh),1993;113:137
3 Pierson MG,Gray BH.Superoxide dismutase activity in the cochlea.Hear Res,1982;6:141
, 百拇医药
4 Reaume AG, Elliott JL,Hoffman EK,et al.Motor neurons in Cu/Zn superoxide dismutase-deficient mice develop normally but exhibit enhanced cell death after axonal injury.Nature Genetics Volume,1996;13(5):43
5 丁大连,王坚,郑向阳,等.耳蜗毛细胞和螺旋神经节及其神经纤维的联合定量观察.中国耳鼻咽喉科颅底外科杂志(排印中).
6 Salvi RJ,Ding DL,Burkard RE,et al. Knockout mice lacking the Cu-Zn-superoxide dismutase gene exhibit greater age-related sensory cell loss.Florida ARO meeting, 1998:520
7 McFadden SL,Burkard RF,Ding DL,et al.Auditory brainstem responses and cochlear hair cell loss in mice with targeted deletions of the SOD1 gene.Florida ARO meeting,1998:519
8 Spoendlin H.Innervation densities of the cochlea.Acta Otolaryngol,1972;73:235
收稿日期 1998-10-05, http://www.100md.com