超声对胆管癌分期诊断探讨—关于胰腺、十二指肠浸润诊断
作者:严 昆 陈敏华 张 晖 霍 苓 张 琳 廖盛日 吴 齐
单位:100036 北京医科大学临床肿瘤学院超声科
关键词:超声诊断;胆管癌;胰腺浸润;十二指肠浸润
中国超声医学杂志990832 摘 要 目的:为探讨体表超声判断胆管癌浸润胰腺、十二指肠的可能性、诊断标准及诊断率,并完善胆管癌超声分期研究。方法:观察肿瘤的发生部位,与胰、十二指肠的边界关系等,分析35例手术病理确诊的下段胆管癌(包括壶腹癌18例)对周围组织浸润的诊断结果。结果:确定了超声对胆管癌浸润胰腺的诊断标准,分为Pa1-Pa3三个程度。另确定了超声对胆管癌浸润十二指肠的诊断标准,分为Du(-)、Du(+)两个程度。对照手术及病理结果,超声对胰腺浸润诊断正确率达74%;对十二指肠浸润诊断正确率仅为35%。结论:超声对胆管癌胰腺浸润的诊断率较高,对十二指肠浸润诊断有一定局限性。
, 百拇医药
Ultrasonic Preoperative Staging to Cholangiocarcinoma:
Pancreas and Duodenum Infiltration
Yan Kun,Chen Minhua,Zhang Hui,et al
School of Oncology,Beijing Medical University Beijing 100036
ABSTRACT Objective:To study the ultrasonic possibility and incidence of cholangiocarcinoma infiltration onto the pancreas and duodenum.Methods:Thirty-five proved patients ultrasonograms were analysed.Results:The pancreas and duodenum infiltration rates were 74% and 35% respectively.Conclusion:Cholangiocarcinoma can infiltrate pancreas with rather higher rates,but there is limtation in diagnosing duodenum infiltration.
, 百拇医药
KEY WORDS Cholangiocarcinoma Pancreas and duodenum involvements
本文重点分析了超声对胆管癌浸润胰腺、十二指肠的声像图特征,设定了超声诊断标准,以完善胆管癌超声分期研究。
资料与方法
1985~1997年2月间超声图像清晰、有手术记录及明确病理诊断的胆管癌78例,其中下段癌35例(包括壶腹癌18例,浸润中段8例)为本文研究对象。男性17例,女性18例。年龄21~77岁,平均58.2岁。八位医师分两组,双盲法读片、记录,然后与手术、病理结果对照。
检查方法:使用美国ACUSON 128 XP/10及ALOKA SSD 2000、650型超声仪,探头频率5~3.5MHz。采用本室常规使用的显示胆管下段病变的多种方法〔1~3〕,首先确认肿瘤发生于胆管壁,继而观察胆管肿瘤与胰、十二指肠边界关系,摄片记录结果,以双盲法进行读片分析。
, http://www.100md.com
根据肿瘤局部胆管壁与胰腺分界关系,参考胆管癌侵及浆膜的诊断标准〔4〕,确定了超声对胆管癌浸润胰腺的诊断标准,分为Pal~Pa3三个程度;另根据胆管肿瘤与十二指肠关系,确定了超声对胆管癌浸润十二指肠的诊断标准,分为Du(-)、Du(+)两个程度(详见表1,2)。
表1 胆管癌胰腺浸润的超声诊断标准 浸润分级
超声所见
肿瘤部位
胆管壁形态
与胰腺分界
未浸润(Pa1)
浸达胰腺(Pa2)
重度浸润(Pa3)
, 百拇医药
局限于管壁内
达管壁
大,达壁外
平,完整
不平,增厚或中断
不清,中断
清
欠清
不清
表2 胆管癌十二指肠浸润的超声诊断标准 浸润分级
超声所见
肿瘤部位
, http://www.100md.com 十二指肠乳头形态
未浸润Du(-)
浸润Du(+)
局限于胆管壶腹内
凸入肠壁
肠壁规整、不厚,蠕动正常
增厚,与肿瘤相连,结构不清
结 果
胰和十二指肠浸润的超声结果与手术及病理结果比较(表3、4)可见,超声对胰腺浸润诊断总符合率74%,对十二指肠浸润诊断总符合率66%。表3 超声对35例下段胆管癌胰腺浸润诊断结果 超声诊断结果
手术病理结果
, 百拇医药
总计
n=35
Pa1
n=14
Pa2
n=18
Pa3
n=3
Pa1
Pa2
Pa3
10
4
, 百拇医药
0
3
14
1
0
1
2
13
19
3
诊断正确率
(%)
71
78
, http://www.100md.com
67
74
(26例/35例)
表4 超声对35例下段胆管癌十二指肠浸润诊断结果 超声诊断结果
手术病理结果
总计
n=35
Du(-)
n=18
Du(+)
n=17
Du(-)
, 百拇医药
Du(+)
17
1
11
6
28
7
诊断正确率
(%)
94
35
66
(23例/35例)
, http://www.100md.com
讨 论
手术切除是胆管癌根治的主要手段〔5〕,术前正确判断肿瘤对周围血管及组织、脏器的浸润程度,关系到手术切除率以及手术方式的选择。超声对胆管癌肝、胆囊及相邻血管的浸润已有报告〔6~9〕,本文讨论体表超声判断胰腺、十二指肠浸润的可行性及诊断率。现代高分辨率超声仪可清晰显示胆管下段肿瘤部位及局部管壁形态,故不仅有助下段胆管癌、壶腹癌、胰头癌的鉴别诊断,也为胆管癌侵及周围组织提供了依据。
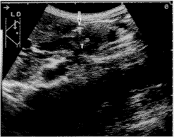
胆管癌对胰、十二指肠浸润的诊断率 当下段胆管肿瘤生长达壁层或壁外,浆膜面强回声增厚、模糊不清、中断,胆管肿瘤与胰腺分界不清,即为胰腺受侵的声像特征。观察判断浆膜是否受侵,对判断胰腺浸润状况意义重大。对照手术病理结果,超声对胰腺未受浸润(Pa1)14例的诊断正确率为71%。超声图像表现为浆膜清晰、规整、连续,肿瘤局限于管壁内(见图1)。病理镜下所见肿瘤未侵达浆膜。Pa1组4例超声表现胆管壁轻度均匀增厚,误判为Pa2。手术证实胰腺受侵(Pa2)18例超声诊断正确14例(见图2)。余4例Pa2中超声判为Pa1的有3例。即当肿瘤已突破部分浆膜,侵达胰腺组织时,超声图像仍可表现为浆膜增厚、未中断或完好。胰腺重度侵犯(Pa3)3例超声诊断正确率67%,余误为Pa2。根据诊断成绩,超声与手术病理分级完全一致26例,即胰腺浸润诊断正确率为74%。超声评判分级与病理不符或较病理分级低,可能与经腹超声的分辨率、周围胃肠气体影响有关。
, 百拇医药
图1 胆管下段低回声实性占位(T),肿瘤局限于管壁内。浆
膜(↓)规整,与胰腺(P)分界清。病理证实胰腺未浸润
图2 胆管下段实性占位(T),与胰腺(P)分界不清。
病理证实胆管腺癌浸润胰腺
有文献报道〔10〕,超声判断胆管癌浸润十二指肠的诊断正确率低于内镜超声、血管造影。其原因为胃肠气体干扰乳头部肿瘤及十二指肠内侧壁的良好显示。为此,本文对此区域的观察分为受侵及未受侵两个等级进行评判。超声判断十二指肠未受浸润18例的诊断正确率94%,表现为肠壁完整、光滑。浸润组共17例,6例术前发现十二指肠受侵(图3),诊断率仅达35%。余11例超声检查未见十二指肠异常,术中见肿物与十二指肠粘连或浸润。可见,超声对胆管癌十二指肠浸润的诊断率低。部分病例与乳头癌鉴别诊断困难。
, 百拇医药
图3 胆管下段腺癌(T),浸润十二指肠,(↓)处可见十二指肠气体
提高浸润诊断率的要点 下段胆管病变、尤壶腹乳头部小占位病变,经腹超声检查时有困难。我室采用各种方法提高病变显示率,以期提高浸润判断。饮水法可充盈胃、十二指肠,扩大声窗,使下段胆管及胰头清晰显示。十二指肠腔内充盈,可显示壁层次结构,利于判断十二指肠受侵状况。脂餐法、利胆法可明显提高胆管下段、壶腹周围病变的显示率,更好地观察肿瘤对胰、十二指肠的浸润程度。加压扫查能减少胃肠气体干扰。纵、横旋转扫查法,尤利于壶腹乳头部病变观察。以上辅助方法的综合应用,可更清晰地显示肿瘤及其对周围脏器浸润状况,在一定程度上提高浸润判断的诊断率。
胆管癌浸润胰头,易与胰头癌混淆,文献报道两者的鉴别诊断率仅为64%〔11〕。两者手术切除率和五年生存率有明显差异,故鉴别诊断意义重大〔12〕。一般胰腺癌肿块较大,常呈分叶状,位于胰腺组织内,边界不清,边缘不规则。胆管癌胰浸润,肿块相对较小,主要位于胆管内,边界较清晰,一般不引起胰腺外形的改变。高度重视肿瘤及胆管壁的形态、肿瘤的主要部位,有助于提高胆管癌及胰头浸润的诊断率,本组结果达74%。
, http://www.100md.com
胆管癌浸润十二指肠的诊断较困难。重视末段胆管及乳头部显示,将提高超声对该部位病变的显示率,有利于鉴别诊断。
参考文献
1 陈敏华,董宝玮,李建国,等.实时超声观察轻度扩张的胆管脂餐前后变化的意义。中华物理医学杂志,1984,6:75~78
2 陈敏华,王 彬,朱 强,等。超声对提高胆管疾病诊断率的研究——注射Ceosunin及纵、横旋转扫查法的意义。中国医学影像学杂志,1993,1:28~32
3 陈敏华,董宝玮。对肝外胆管下段病变超声诊断方法的改进。中华物理医学杂志,1986,1:197~200
4 陈敏华,霍 苓,廖盛日,等。超声对胆管癌术前分期诊断探讨:关于壁浸润程度诊断。中国超声医学杂志,1997,13(9):27~29
, 百拇医药
5 曹绣虎。肝外胆管癌106例临床分析。实用外科杂志,1992,12:578~580
6 Yoshifumi Ogura,Koji Takahashi,masami Tabata,et al.Clinicopathological study on carcinoma of the extrahepatic bile duct with special focus on cancer invasion on the surgical margins.World J.Surgery,1994,18:778~784
7 S.J.Garber and W.R.Less.The characterization of pancreatic and bile duct tumors by Duplex Doppler.Clinical Radiolgoy,1992,45:181~184
8 王曙光,韩立本,蔡景修。胆管癌的浸润、转移及外科治疗中的问题。中国实用外科杂志,1997,17:116~117
, 百拇医药
9 廖盛日,陈敏华,张 晖,等。超声对胆管癌术前分期诊断探讨:肝脏及胆囊浸润的超声诊断。中国超声医学杂志,1998,14(8):43~46
10 掘口佑尔,大鹿正夫,北野澈,他。胆管癌における超音波检查の意义——特に浸润范围の诊断についこ。日本超音波医学杂志,1996,13(3):37~40
11 王 彬,李建国,陈敏华,等。壶腹周围癌的超声鉴别诊断。中华医学杂志,1985,65(11):677~679
12 王 彬,董宝玮,陈敏华,等。超声显像在胰腺疾病诊断中的价值。中华外科杂志,1985,23(12):712~714
(1999-02-13收稿), 百拇医药
单位:100036 北京医科大学临床肿瘤学院超声科
关键词:超声诊断;胆管癌;胰腺浸润;十二指肠浸润
中国超声医学杂志990832 摘 要 目的:为探讨体表超声判断胆管癌浸润胰腺、十二指肠的可能性、诊断标准及诊断率,并完善胆管癌超声分期研究。方法:观察肿瘤的发生部位,与胰、十二指肠的边界关系等,分析35例手术病理确诊的下段胆管癌(包括壶腹癌18例)对周围组织浸润的诊断结果。结果:确定了超声对胆管癌浸润胰腺的诊断标准,分为Pa1-Pa3三个程度。另确定了超声对胆管癌浸润十二指肠的诊断标准,分为Du(-)、Du(+)两个程度。对照手术及病理结果,超声对胰腺浸润诊断正确率达74%;对十二指肠浸润诊断正确率仅为35%。结论:超声对胆管癌胰腺浸润的诊断率较高,对十二指肠浸润诊断有一定局限性。
, 百拇医药
Ultrasonic Preoperative Staging to Cholangiocarcinoma:
Pancreas and Duodenum Infiltration
Yan Kun,Chen Minhua,Zhang Hui,et al
School of Oncology,Beijing Medical University Beijing 100036
ABSTRACT Objective:To study the ultrasonic possibility and incidence of cholangiocarcinoma infiltration onto the pancreas and duodenum.Methods:Thirty-five proved patients ultrasonograms were analysed.Results:The pancreas and duodenum infiltration rates were 74% and 35% respectively.Conclusion:Cholangiocarcinoma can infiltrate pancreas with rather higher rates,but there is limtation in diagnosing duodenum infiltration.
, 百拇医药
KEY WORDS Cholangiocarcinoma Pancreas and duodenum involvements
本文重点分析了超声对胆管癌浸润胰腺、十二指肠的声像图特征,设定了超声诊断标准,以完善胆管癌超声分期研究。
资料与方法
1985~1997年2月间超声图像清晰、有手术记录及明确病理诊断的胆管癌78例,其中下段癌35例(包括壶腹癌18例,浸润中段8例)为本文研究对象。男性17例,女性18例。年龄21~77岁,平均58.2岁。八位医师分两组,双盲法读片、记录,然后与手术、病理结果对照。
检查方法:使用美国ACUSON 128 XP/10及ALOKA SSD 2000、650型超声仪,探头频率5~3.5MHz。采用本室常规使用的显示胆管下段病变的多种方法〔1~3〕,首先确认肿瘤发生于胆管壁,继而观察胆管肿瘤与胰、十二指肠边界关系,摄片记录结果,以双盲法进行读片分析。
, http://www.100md.com
根据肿瘤局部胆管壁与胰腺分界关系,参考胆管癌侵及浆膜的诊断标准〔4〕,确定了超声对胆管癌浸润胰腺的诊断标准,分为Pal~Pa3三个程度;另根据胆管肿瘤与十二指肠关系,确定了超声对胆管癌浸润十二指肠的诊断标准,分为Du(-)、Du(+)两个程度(详见表1,2)。
表1 胆管癌胰腺浸润的超声诊断标准 浸润分级
超声所见
肿瘤部位
胆管壁形态
与胰腺分界
未浸润(Pa1)
浸达胰腺(Pa2)
重度浸润(Pa3)
, 百拇医药
局限于管壁内
达管壁
大,达壁外
平,完整
不平,增厚或中断
不清,中断
清
欠清
不清
表2 胆管癌十二指肠浸润的超声诊断标准 浸润分级
超声所见
肿瘤部位
, http://www.100md.com 十二指肠乳头形态
未浸润Du(-)
浸润Du(+)
局限于胆管壶腹内
凸入肠壁
肠壁规整、不厚,蠕动正常
增厚,与肿瘤相连,结构不清
结 果
胰和十二指肠浸润的超声结果与手术及病理结果比较(表3、4)可见,超声对胰腺浸润诊断总符合率74%,对十二指肠浸润诊断总符合率66%。表3 超声对35例下段胆管癌胰腺浸润诊断结果 超声诊断结果
手术病理结果
, 百拇医药
总计
n=35
Pa1
n=14
Pa2
n=18
Pa3
n=3
Pa1
Pa2
Pa3
10
4
, 百拇医药
0
3
14
1
0
1
2
13
19
3
诊断正确率
(%)
71
78
, http://www.100md.com
67
74
(26例/35例)
表4 超声对35例下段胆管癌十二指肠浸润诊断结果 超声诊断结果
手术病理结果
总计
n=35
Du(-)
n=18
Du(+)
n=17
Du(-)
, 百拇医药
Du(+)
17
1
11
6
28
7
诊断正确率
(%)
94
35
66
(23例/35例)
, http://www.100md.com
讨 论
手术切除是胆管癌根治的主要手段〔5〕,术前正确判断肿瘤对周围血管及组织、脏器的浸润程度,关系到手术切除率以及手术方式的选择。超声对胆管癌肝、胆囊及相邻血管的浸润已有报告〔6~9〕,本文讨论体表超声判断胰腺、十二指肠浸润的可行性及诊断率。现代高分辨率超声仪可清晰显示胆管下段肿瘤部位及局部管壁形态,故不仅有助下段胆管癌、壶腹癌、胰头癌的鉴别诊断,也为胆管癌侵及周围组织提供了依据。
胆管癌对胰、十二指肠浸润的诊断率 当下段胆管肿瘤生长达壁层或壁外,浆膜面强回声增厚、模糊不清、中断,胆管肿瘤与胰腺分界不清,即为胰腺受侵的声像特征。观察判断浆膜是否受侵,对判断胰腺浸润状况意义重大。对照手术病理结果,超声对胰腺未受浸润(Pa1)14例的诊断正确率为71%。超声图像表现为浆膜清晰、规整、连续,肿瘤局限于管壁内(见图1)。病理镜下所见肿瘤未侵达浆膜。Pa1组4例超声表现胆管壁轻度均匀增厚,误判为Pa2。手术证实胰腺受侵(Pa2)18例超声诊断正确14例(见图2)。余4例Pa2中超声判为Pa1的有3例。即当肿瘤已突破部分浆膜,侵达胰腺组织时,超声图像仍可表现为浆膜增厚、未中断或完好。胰腺重度侵犯(Pa3)3例超声诊断正确率67%,余误为Pa2。根据诊断成绩,超声与手术病理分级完全一致26例,即胰腺浸润诊断正确率为74%。超声评判分级与病理不符或较病理分级低,可能与经腹超声的分辨率、周围胃肠气体影响有关。
, 百拇医药
图1 胆管下段低回声实性占位(T),肿瘤局限于管壁内。浆
膜(↓)规整,与胰腺(P)分界清。病理证实胰腺未浸润
图2 胆管下段实性占位(T),与胰腺(P)分界不清。
病理证实胆管腺癌浸润胰腺
有文献报道〔10〕,超声判断胆管癌浸润十二指肠的诊断正确率低于内镜超声、血管造影。其原因为胃肠气体干扰乳头部肿瘤及十二指肠内侧壁的良好显示。为此,本文对此区域的观察分为受侵及未受侵两个等级进行评判。超声判断十二指肠未受浸润18例的诊断正确率94%,表现为肠壁完整、光滑。浸润组共17例,6例术前发现十二指肠受侵(图3),诊断率仅达35%。余11例超声检查未见十二指肠异常,术中见肿物与十二指肠粘连或浸润。可见,超声对胆管癌十二指肠浸润的诊断率低。部分病例与乳头癌鉴别诊断困难。
, 百拇医药
图3 胆管下段腺癌(T),浸润十二指肠,(↓)处可见十二指肠气体
提高浸润诊断率的要点 下段胆管病变、尤壶腹乳头部小占位病变,经腹超声检查时有困难。我室采用各种方法提高病变显示率,以期提高浸润判断。饮水法可充盈胃、十二指肠,扩大声窗,使下段胆管及胰头清晰显示。十二指肠腔内充盈,可显示壁层次结构,利于判断十二指肠受侵状况。脂餐法、利胆法可明显提高胆管下段、壶腹周围病变的显示率,更好地观察肿瘤对胰、十二指肠的浸润程度。加压扫查能减少胃肠气体干扰。纵、横旋转扫查法,尤利于壶腹乳头部病变观察。以上辅助方法的综合应用,可更清晰地显示肿瘤及其对周围脏器浸润状况,在一定程度上提高浸润判断的诊断率。
胆管癌浸润胰头,易与胰头癌混淆,文献报道两者的鉴别诊断率仅为64%〔11〕。两者手术切除率和五年生存率有明显差异,故鉴别诊断意义重大〔12〕。一般胰腺癌肿块较大,常呈分叶状,位于胰腺组织内,边界不清,边缘不规则。胆管癌胰浸润,肿块相对较小,主要位于胆管内,边界较清晰,一般不引起胰腺外形的改变。高度重视肿瘤及胆管壁的形态、肿瘤的主要部位,有助于提高胆管癌及胰头浸润的诊断率,本组结果达74%。
, http://www.100md.com
胆管癌浸润十二指肠的诊断较困难。重视末段胆管及乳头部显示,将提高超声对该部位病变的显示率,有利于鉴别诊断。
参考文献
1 陈敏华,董宝玮,李建国,等.实时超声观察轻度扩张的胆管脂餐前后变化的意义。中华物理医学杂志,1984,6:75~78
2 陈敏华,王 彬,朱 强,等。超声对提高胆管疾病诊断率的研究——注射Ceosunin及纵、横旋转扫查法的意义。中国医学影像学杂志,1993,1:28~32
3 陈敏华,董宝玮。对肝外胆管下段病变超声诊断方法的改进。中华物理医学杂志,1986,1:197~200
4 陈敏华,霍 苓,廖盛日,等。超声对胆管癌术前分期诊断探讨:关于壁浸润程度诊断。中国超声医学杂志,1997,13(9):27~29
, 百拇医药
5 曹绣虎。肝外胆管癌106例临床分析。实用外科杂志,1992,12:578~580
6 Yoshifumi Ogura,Koji Takahashi,masami Tabata,et al.Clinicopathological study on carcinoma of the extrahepatic bile duct with special focus on cancer invasion on the surgical margins.World J.Surgery,1994,18:778~784
7 S.J.Garber and W.R.Less.The characterization of pancreatic and bile duct tumors by Duplex Doppler.Clinical Radiolgoy,1992,45:181~184
8 王曙光,韩立本,蔡景修。胆管癌的浸润、转移及外科治疗中的问题。中国实用外科杂志,1997,17:116~117
, 百拇医药
9 廖盛日,陈敏华,张 晖,等。超声对胆管癌术前分期诊断探讨:肝脏及胆囊浸润的超声诊断。中国超声医学杂志,1998,14(8):43~46
10 掘口佑尔,大鹿正夫,北野澈,他。胆管癌における超音波检查の意义——特に浸润范围の诊断についこ。日本超音波医学杂志,1996,13(3):37~40
11 王 彬,李建国,陈敏华,等。壶腹周围癌的超声鉴别诊断。中华医学杂志,1985,65(11):677~679
12 王 彬,董宝玮,陈敏华,等。超声显像在胰腺疾病诊断中的价值。中华外科杂志,1985,23(12):712~714
(1999-02-13收稿), 百拇医药