超声对胆管癌分期诊断探讨:对血管浸润的诊断
作者:黄云洲 陈敏华 廖盛日 霍苓 严昆 张 晖 张琳 吴齐
单位:100036 北京医科大学临床肿瘤学院超声科
关键词:超声;胆管癌;血管浸润
中国超声医学杂志990516 摘 要 目的:探讨超声对胆管癌浸润血管的诊断价值,提高手术切除率。方法:回顾性分析了52例胆管癌资料,重点观察局部肿瘤与相邻血管关系,并设定了超声对血管浸润的诊断指标。结果:手术病理证实胆管癌37%(19/52)门脉受侵。超声评价胆管癌门脉受侵的敏感性、特异性及诊断正确率分别为56%(9/16)、89%(32/36)和79%(41/52);超声分级低于病理分级者占15%(8/52),高于病理分级者占6%(3/52);彩色超声亦有助于肝动脉分支的观察评价。结论:超声是一种较好的评价胆管癌周围血管受侵及其程度的方法,其无创伤及特异性高,有推广应用价值。
, http://www.100md.com Staging of Cholangiocarcinoma by Ultrasound:Evaluation of Vascular Infiltration
Huang Yunzhou,Chen Minhua,Liao Shengri,et al
The School of Oncology,Beijing Medical University 100036
ABSTRACT Objective:To evaluate the diagnostic value of ultrasound for vascular involvement in cholangiocarcinoma.Methods:Fifty-two patients with cholangiocarcinoma were studied retrospectively.Results:Portal vein infiltration was found by opeation and pathology in 37% of cases.The sensitivity,specificity and accuracy of ultrasound in evaluating vascular involvement were 79%,97% and 91%,respectively,of 52 cases,the degree of vascular infiltration as compared with operation and patologic findings was 79% correct,15% underestimated and 6% overestimated.Conclusion:Ultrasound appears to be useful modality in the assessment of vascular involvement of cholangiocarcinoma.
, 百拇医药
KEY WORDS Ultrasound Cholangiocarcinoma Vascular infiltration
超声对胆管癌壁浸润的观察研究已有报道〔1〕,对肝、胆囊侵润为一种较好的影像诊断方法〔2〕;肿瘤对血管浸润状况为术前分期及肿瘤能否切除的重要指标,以此为目的,我们回顾性总结了1982年9月~1997年9月在我院住院治疗的93例胆管癌患者的资料,现报告如下。
资料与方法
在93例胆管癌患者中,以血管有无受侵为目的,以超声及手术病理资料记录完整,以及图像可供分析的52例为本组研究对象。男性30例,女性22例,平均年龄55.7(21~77)岁。所有患者均接受根治或姑息性手术。肿瘤发生部位:上段33例,中段4例,下段12例(含胆管壶腹部8例),累及两段以上3例。
, http://www.100md.com 检查方法:同前〔1〕。
结 果
超声血管浸润分级方法:参考有关文献〔1,3〕并根据血管壁受侵的程度将其分为4级:(一):肿瘤部位胆管浆膜未受侵,与相邻血管壁分界清晰;(±):肿瘤部位胆管壁增厚,相邻血管壁内侧面平整清晰;(+):局部胆管壁全层受侵,浆膜面模糊,与血管壁界限不清或消失,血管壁不平整或变形;(++):肿瘤部位胆管壁、血管壁回声中断,肿瘤与之分界不清,范围较广;或血管被肿瘤包绕,或肿瘤突向血管腔或血管腔内出现癌栓。
门脉浸润超声结果与手术病理比较见表1。6例有手术及超声详细记录肝动脉受侵状况,术中发现3例肝动脉受侵,其中2例超声诊断正确,另1例超声漏诊,为假阴性;超声诊断3例肝动脉受侵,1例术中发现未受侵,为假阳性。
表1 超声对52例胆管癌门脉浸润诊断结果 超声诊断
, 百拇医药
手术 病理 诊断
PV(-)
PV(±)*
PV(+)
PV()
PV(-)n=35
PV(±)n=4
PV(+)n=6
PV()n=7
诊断率 n=52
(%)
31
, http://www.100md.com
1
1
0
31/33
(94)
1
1
0
1
1/3
(33)
2
1
3
, 百拇医药
0
3/6
(50)
1
1
2
6
6/10
(60
注:*含手术探查为轻度粘连病例讨 论
文献报道超声是评价胆道梗阻并确定其梗阻部位最有价值的影像学方法,其检出率高达95~100%,已成为阻塞性黄疸患者首选检查方法〔3~5〕。手术切除目前仍然是胆管癌根治的主要手段〔6〕。胆管癌能否被切除主要与下列因素有关:①周围组织尤其门静脉等血管是否受累及其程度;②肝内胆管受累程度;③远处是否有转移〔4〕。而最重要、术前最难确定的乃是血管受累情况,且胆管癌患者周围血管受侵可高达35.6%~77.6%〔7〕。故临床术前迫切需要了解周围血管受侵状况,以评价胆管肿瘤切除可能性,对于诊疗方案的制定有重要意义。
, http://www.100md.com
从本文可见,超声评价胆管癌门脉受侵的敏感性和特异性分别达56%(9/16)和89%(32/36),正确率79%(41/52)。超声对门脉未受侵PV(-)诊断率最高达94%,而门脉明显受侵PV(
)诊断率较低,为60%,手术证实的10例门脉明显受侵中,3例血管浸润程度低估,超声判断为可疑受侵1例、受侵2例,而术中发现门脉被包裹,与肿瘤粘连紧密,不能分离,为PV(
);1例假阴性术中发现亦如此。已知当胆管癌浸润周围脂肪结缔组织、神经组织时,超声对其侵及范围、程度判断较为困难〔1〕;从本文假阴性及浸润程度低估的病例也可见,术中发现胆管癌沿十二指肠韧带浸润生长,门脉被埋在浸润的组织中或与之粘连已不能分离,而声像图显示门脉管腔无明显狭窄,壁亦无明显异常改变,相邻部位未见低回声肿瘤包裹(图1~2),以上为假阴性及浸润程度低估的主要原因,故重视门脉旁不规则强回声区及相邻胆管壁浸润,有助于正确评价血管浸润。
, http://www.100md.com
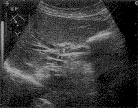
肿瘤部位胆管壁局部增厚,相邻血管内侧面平整(↑),超声判断为PV(±),手术发现肿瘤与门脉粘连明显,不能分离为PV(
)
图1 肝门部胆管癌(T)
肿瘤部位胆管壁全层受侵,浆膜面欠清,门脉(PV)管壁受压变形(↑),超声诊断为PV(+),手术发现门脉被周围浸润组织包裹,无法切除。
图2 肝门部胆管癌(T)
超声对血管侵润程度高估1例,声像图可见门脉受压明显变窄,考虑受侵PV(
),术中发现仅轻度粘连PV(±),肿块可完整切除。假阳性2例,声像图可见胆管壁全层增厚、血管内侧面欠平整(图3),超声诊断为PV(+),术中发现血管未见侵及,文献报道肿瘤可致相邻血管管壁炎症、纤维化改变,而超声对此类改变与血管壁轻度受侵鉴别困难〔8〕,可能为其原因。
, 百拇医药
肿瘤部位局部胆管壁增厚,浆膜欠清,相邻门脉壁欠平整(↑),超声诊断为PV(+),术中发现门脉未受侵PV(-)图3 胆管上段癌(T)
了解易被侵犯的血管有助于判断血管是否受侵。胆管癌常侵犯PV,由于PV最易受累及〔3〕,由于前方肝脏为良好的超声窗,故很容易被显示。门脉尤其主干受侵状况与手术关系密切,因此,在判断胆管癌浸润周围血管时,首先应观察门脉形态结构及受侵情况,本组门脉受侵率达37%。肿瘤部位不同;可能受侵的血管亦不同。通常上段胆管癌易侵及相邻的PV和肝右动脉,中段胆管癌易侵及门脉及肝固有动脉,而下段胆管癌易侵及HA汇合处或胃十二指肠动脉;本组19例门脉受侵中18例肿块位于胆管中上段,仅1例肿块位于胆管下段,因肿瘤较大,包绕门脉;HA等其他周围血管亦可受累〔3〕,本组6例有肝动脉受侵状况的超声记录,与手术结果对照,假阴性及假阳性各1例。分析原因,一方面由于HA等血管较细、受胃肠气体干扰,用超声全面评价这些血管有时有一定困难;另一方面与扫查角度有关,血管壁显示随超声切面不同而有所不同,故应多切面扫查,尤对较细的血管,浸润评价更为客观。彩色多普勒超声有助于识别HA等血管及其分支的走行及血流状况;当二维超声显示较细的血管不满意或判断血管梗阻有困难时,有助于判断。
, http://www.100md.com
迄今,在临床上,影像学技术对胆管癌诊断的主要贡献是确认肿瘤并有助于术前分期以确定其治疗方案〔8〕。血管浸润在胆管癌的术前分期和确定其被切除的可能性时是非常重要的决定因素之一。在八十年代早期以前,CT、胆管造影及血管造影等影像学技术一直被认为是诊断胆管癌的金标准〔9〕。但这些影像学技术在评价PV、HA等血管受侵时,都有各自的局限性。随着技术的进步,超声设备已日臻完善。现代超声技术不仅可确定胆管癌周围血管是否受侵,而且还可评价血管被侵及的范围〔3〕。本组超声对门脉受侵状况诊断灵敏性79%,特异性97%;超声分级79%与手术病理分级一致,15%低于病理分级,6%高于病理分级。可见超声是一种比较理想的评价胆管癌周围血管受侵程度的方法。但体表超声扫查胆管所使用的频率为3.5MHz,对胆管癌对周围组织浸润状况超声有时显示不满意,可能为假阴性及浸润程度低估的原因之一。作者们近期内改用5.0MHz探头、可变聚焦超声仪,扫查时局部放大图像,并重视采用彩色超声及能量多普勒观察血流状况,使肿瘤邻近的血管显示得到较好的改善,亦为今后前瞻性研究提供了条件。目前国外应用的胆管内镜超声由于使用的频率高达10~30MHz,图像分辨率显著增加,可进一步克服体表超声之不足,提高诊断率〔10〕。
, 百拇医药
本文的不足之处为早期资料不全无法进行血管是否受侵的分析,或手术病理描述不详,致使遗失病例较多。其次,本组病例未能与CT、MRI、胆管造影及血管造影等其它影像学方法进行比较,为回顾性分析的不足,有待今后进行前瞻性研究时补充。
参考文献
[1]陈敏华,霍 苓,廖盛日,等.超声对胆管癌术前分期诊断探讨:关于壁浸润程度诊断.中国超声医学杂志,1997,13(9):27~30
[2]廖盛日,陈敏华,霍 苓,等.超声对胆管癌术前分期诊断探讨:肝胆囊浸润程度的超声诊断.中国超声医学杂志,1998,14(8):43~46
[3]Neumaier CE,Bertolotto M,Perrone R,et al.Staging of hilar cholangiocarcinoma with ultrasound.J Clin Ultrasound 1995,23:173~177
, 百拇医药
[4]Gibson RN,Yeung E,Thompson JN,et al.Bile duct obstruction:Radiologic evaluation of level,cause,and tumor resectability.Radiology,1986,160:43~48
[5]Laing FC,Jeffrey Jr,RB,Wing VW,et al.Biliary dilatation:Defining the level and cause by real time US.Radiology,1986,160:39~42
[6]王曙光,韩本立,蔡景修.胆管癌的浸润、转移及外科治疗中的问题.中国实用外科杂志,1997,17:116~117
[7]王曙光,韩立本,陈意生,等.胆管癌转移途径的病理学研究.中华外科杂志,1996,34:352~354
, 百拇医药
[8]Adam A,Benjamin IS.The staging of cholangiocarcinoma.Clin Radiol,1992,46:299~302
[9]Gibons CP,Griffiths GJ,Cormack A.The role of percutaneous transhepatic cholangiography and grayscale ultrasound in the investigation and treatment of bile duct obstruction.Br J Surg,1983,70:404~408
[10]Tamada K,Ido k,Ueno N,et al.Preoperative staging of extrahepatic bile duct cancer with intraductal ultrasonography.AJR,1995,90(2):239~246
(1998-11-09收稿,1999-01-18修回), 百拇医药
单位:100036 北京医科大学临床肿瘤学院超声科
关键词:超声;胆管癌;血管浸润
中国超声医学杂志990516 摘 要 目的:探讨超声对胆管癌浸润血管的诊断价值,提高手术切除率。方法:回顾性分析了52例胆管癌资料,重点观察局部肿瘤与相邻血管关系,并设定了超声对血管浸润的诊断指标。结果:手术病理证实胆管癌37%(19/52)门脉受侵。超声评价胆管癌门脉受侵的敏感性、特异性及诊断正确率分别为56%(9/16)、89%(32/36)和79%(41/52);超声分级低于病理分级者占15%(8/52),高于病理分级者占6%(3/52);彩色超声亦有助于肝动脉分支的观察评价。结论:超声是一种较好的评价胆管癌周围血管受侵及其程度的方法,其无创伤及特异性高,有推广应用价值。
, http://www.100md.com Staging of Cholangiocarcinoma by Ultrasound:Evaluation of Vascular Infiltration
Huang Yunzhou,Chen Minhua,Liao Shengri,et al
The School of Oncology,Beijing Medical University 100036
ABSTRACT Objective:To evaluate the diagnostic value of ultrasound for vascular involvement in cholangiocarcinoma.Methods:Fifty-two patients with cholangiocarcinoma were studied retrospectively.Results:Portal vein infiltration was found by opeation and pathology in 37% of cases.The sensitivity,specificity and accuracy of ultrasound in evaluating vascular involvement were 79%,97% and 91%,respectively,of 52 cases,the degree of vascular infiltration as compared with operation and patologic findings was 79% correct,15% underestimated and 6% overestimated.Conclusion:Ultrasound appears to be useful modality in the assessment of vascular involvement of cholangiocarcinoma.
, 百拇医药
KEY WORDS Ultrasound Cholangiocarcinoma Vascular infiltration
超声对胆管癌壁浸润的观察研究已有报道〔1〕,对肝、胆囊侵润为一种较好的影像诊断方法〔2〕;肿瘤对血管浸润状况为术前分期及肿瘤能否切除的重要指标,以此为目的,我们回顾性总结了1982年9月~1997年9月在我院住院治疗的93例胆管癌患者的资料,现报告如下。
资料与方法
在93例胆管癌患者中,以血管有无受侵为目的,以超声及手术病理资料记录完整,以及图像可供分析的52例为本组研究对象。男性30例,女性22例,平均年龄55.7(21~77)岁。所有患者均接受根治或姑息性手术。肿瘤发生部位:上段33例,中段4例,下段12例(含胆管壶腹部8例),累及两段以上3例。
, http://www.100md.com 检查方法:同前〔1〕。
结 果
超声血管浸润分级方法:参考有关文献〔1,3〕并根据血管壁受侵的程度将其分为4级:(一):肿瘤部位胆管浆膜未受侵,与相邻血管壁分界清晰;(±):肿瘤部位胆管壁增厚,相邻血管壁内侧面平整清晰;(+):局部胆管壁全层受侵,浆膜面模糊,与血管壁界限不清或消失,血管壁不平整或变形;(++):肿瘤部位胆管壁、血管壁回声中断,肿瘤与之分界不清,范围较广;或血管被肿瘤包绕,或肿瘤突向血管腔或血管腔内出现癌栓。
门脉浸润超声结果与手术病理比较见表1。6例有手术及超声详细记录肝动脉受侵状况,术中发现3例肝动脉受侵,其中2例超声诊断正确,另1例超声漏诊,为假阴性;超声诊断3例肝动脉受侵,1例术中发现未受侵,为假阳性。
表1 超声对52例胆管癌门脉浸润诊断结果 超声诊断
, 百拇医药
手术 病理 诊断
PV(-)
PV(±)*
PV(+)
PV()
PV(-)n=35
PV(±)n=4
PV(+)n=6
PV()n=7
诊断率 n=52
(%)
31
, http://www.100md.com
1
1
0
31/33
(94)
1
1
0
1
1/3
(33)
2
1
3
, 百拇医药
0
3/6
(50)
1
1
2
6
6/10
(60
注:*含手术探查为轻度粘连病例讨 论
文献报道超声是评价胆道梗阻并确定其梗阻部位最有价值的影像学方法,其检出率高达95~100%,已成为阻塞性黄疸患者首选检查方法〔3~5〕。手术切除目前仍然是胆管癌根治的主要手段〔6〕。胆管癌能否被切除主要与下列因素有关:①周围组织尤其门静脉等血管是否受累及其程度;②肝内胆管受累程度;③远处是否有转移〔4〕。而最重要、术前最难确定的乃是血管受累情况,且胆管癌患者周围血管受侵可高达35.6%~77.6%〔7〕。故临床术前迫切需要了解周围血管受侵状况,以评价胆管肿瘤切除可能性,对于诊疗方案的制定有重要意义。
, http://www.100md.com
从本文可见,超声评价胆管癌门脉受侵的敏感性和特异性分别达56%(9/16)和89%(32/36),正确率79%(41/52)。超声对门脉未受侵PV(-)诊断率最高达94%,而门脉明显受侵PV(
, http://www.100md.com
肿瘤部位胆管壁局部增厚,相邻血管内侧面平整(↑),超声判断为PV(±),手术发现肿瘤与门脉粘连明显,不能分离为PV(
图1 肝门部胆管癌(T)
肿瘤部位胆管壁全层受侵,浆膜面欠清,门脉(PV)管壁受压变形(↑),超声诊断为PV(+),手术发现门脉被周围浸润组织包裹,无法切除。
图2 肝门部胆管癌(T)
超声对血管侵润程度高估1例,声像图可见门脉受压明显变窄,考虑受侵PV(
, 百拇医药
肿瘤部位局部胆管壁增厚,浆膜欠清,相邻门脉壁欠平整(↑),超声诊断为PV(+),术中发现门脉未受侵PV(-)图3 胆管上段癌(T)
了解易被侵犯的血管有助于判断血管是否受侵。胆管癌常侵犯PV,由于PV最易受累及〔3〕,由于前方肝脏为良好的超声窗,故很容易被显示。门脉尤其主干受侵状况与手术关系密切,因此,在判断胆管癌浸润周围血管时,首先应观察门脉形态结构及受侵情况,本组门脉受侵率达37%。肿瘤部位不同;可能受侵的血管亦不同。通常上段胆管癌易侵及相邻的PV和肝右动脉,中段胆管癌易侵及门脉及肝固有动脉,而下段胆管癌易侵及HA汇合处或胃十二指肠动脉;本组19例门脉受侵中18例肿块位于胆管中上段,仅1例肿块位于胆管下段,因肿瘤较大,包绕门脉;HA等其他周围血管亦可受累〔3〕,本组6例有肝动脉受侵状况的超声记录,与手术结果对照,假阴性及假阳性各1例。分析原因,一方面由于HA等血管较细、受胃肠气体干扰,用超声全面评价这些血管有时有一定困难;另一方面与扫查角度有关,血管壁显示随超声切面不同而有所不同,故应多切面扫查,尤对较细的血管,浸润评价更为客观。彩色多普勒超声有助于识别HA等血管及其分支的走行及血流状况;当二维超声显示较细的血管不满意或判断血管梗阻有困难时,有助于判断。
, http://www.100md.com
迄今,在临床上,影像学技术对胆管癌诊断的主要贡献是确认肿瘤并有助于术前分期以确定其治疗方案〔8〕。血管浸润在胆管癌的术前分期和确定其被切除的可能性时是非常重要的决定因素之一。在八十年代早期以前,CT、胆管造影及血管造影等影像学技术一直被认为是诊断胆管癌的金标准〔9〕。但这些影像学技术在评价PV、HA等血管受侵时,都有各自的局限性。随着技术的进步,超声设备已日臻完善。现代超声技术不仅可确定胆管癌周围血管是否受侵,而且还可评价血管被侵及的范围〔3〕。本组超声对门脉受侵状况诊断灵敏性79%,特异性97%;超声分级79%与手术病理分级一致,15%低于病理分级,6%高于病理分级。可见超声是一种比较理想的评价胆管癌周围血管受侵程度的方法。但体表超声扫查胆管所使用的频率为3.5MHz,对胆管癌对周围组织浸润状况超声有时显示不满意,可能为假阴性及浸润程度低估的原因之一。作者们近期内改用5.0MHz探头、可变聚焦超声仪,扫查时局部放大图像,并重视采用彩色超声及能量多普勒观察血流状况,使肿瘤邻近的血管显示得到较好的改善,亦为今后前瞻性研究提供了条件。目前国外应用的胆管内镜超声由于使用的频率高达10~30MHz,图像分辨率显著增加,可进一步克服体表超声之不足,提高诊断率〔10〕。
, 百拇医药
本文的不足之处为早期资料不全无法进行血管是否受侵的分析,或手术病理描述不详,致使遗失病例较多。其次,本组病例未能与CT、MRI、胆管造影及血管造影等其它影像学方法进行比较,为回顾性分析的不足,有待今后进行前瞻性研究时补充。
参考文献
[1]陈敏华,霍 苓,廖盛日,等.超声对胆管癌术前分期诊断探讨:关于壁浸润程度诊断.中国超声医学杂志,1997,13(9):27~30
[2]廖盛日,陈敏华,霍 苓,等.超声对胆管癌术前分期诊断探讨:肝胆囊浸润程度的超声诊断.中国超声医学杂志,1998,14(8):43~46
[3]Neumaier CE,Bertolotto M,Perrone R,et al.Staging of hilar cholangiocarcinoma with ultrasound.J Clin Ultrasound 1995,23:173~177
, 百拇医药
[4]Gibson RN,Yeung E,Thompson JN,et al.Bile duct obstruction:Radiologic evaluation of level,cause,and tumor resectability.Radiology,1986,160:43~48
[5]Laing FC,Jeffrey Jr,RB,Wing VW,et al.Biliary dilatation:Defining the level and cause by real time US.Radiology,1986,160:39~42
[6]王曙光,韩本立,蔡景修.胆管癌的浸润、转移及外科治疗中的问题.中国实用外科杂志,1997,17:116~117
[7]王曙光,韩立本,陈意生,等.胆管癌转移途径的病理学研究.中华外科杂志,1996,34:352~354
, 百拇医药
[8]Adam A,Benjamin IS.The staging of cholangiocarcinoma.Clin Radiol,1992,46:299~302
[9]Gibons CP,Griffiths GJ,Cormack A.The role of percutaneous transhepatic cholangiography and grayscale ultrasound in the investigation and treatment of bile duct obstruction.Br J Surg,1983,70:404~408
[10]Tamada K,Ido k,Ueno N,et al.Preoperative staging of extrahepatic bile duct cancer with intraductal ultrasonography.AJR,1995,90(2):239~246
(1998-11-09收稿,1999-01-18修回), 百拇医药
参见:首页 > 医疗版 > 疾病专题 > 消化内科 > 肝胆疾病 > 肝胆肿瘤 > 胆管癌