不同材料后巩膜加固术的研究
作者:肖林 赵光喜 刘晶 汪晓 张秀敏 刘利
单位:肖林 刘晶 汪晓 张秀敏 刘利(100038北京铁路总医院);赵光喜(北京医科大学第三临床医学院)
关键词:材料;后巩膜加固;近视治疗
眼科研究000213 摘要 目的为临床开展后巩膜加固术寻找更为理想的手术材料,选择用于心血管外科,烧伤外科等4种手术材料进行后巩膜加固手术的实验研究。方法日本大耳白兔分组用4种手术材料植入于后巩膜,术后10,20,30,60,90天取标本,行大体标本、光镜、透射电镜动态观察。结果显示异体硬脑膜材料终被自身结缔组织替代;人工心包补片逐渐形成植片纤维与自身结缔组织相互交织的组织形态;人工血管补片与自身巩膜表面形成潜在腔隙;脱细胞异体真皮被结缔组织替代的过程中细胞浸润与胶原组织交替出现。结论人工心包补片代替生物材料进行后巩膜加固术比较理想,脱细胞异体真皮是同种新型生物材料,效果将更为理想。
, 百拇医药
分类号 R 779.6
A study of scleral reinforcement materials
Xiao Lin,Zhao Guangxi,Liu Jing,et al.
Beijing Railway General Hospital,Beijing 100038
Abstract ObjectiveTo select an ideal scleral reinforcement materials,we tested four types that were used in other fields of clinical medicines (homologous dura mater,artificial pericardium,artificial vessel,acellular all-dermal matrix).MethodsForty Japanese white rabbits were divided into 4 groups.For each group,one type of material was surgically implanted at the back of the globe.The specimens were harvested at 10,20,30,60,90 d postoperatively and studied by gross examination and light and electron microscopy.ResultsThe homologous dura mater was replaced with connective tissue.The fibers of artificial pericardium were interwoven with connective tissue.There was a gap between artificial vessel and host scleral.Acellular dermis were alternately replaced with connective tissue.ConclusionThe artificial pericardium is an ideal artificial-material for post scleral reinforcement material.Acellular dermis will be more ideal as a biological material.
, http://www.100md.com
Key word smaterial scleral-reinforcement myopic treatment
后巩膜加固术被认为是治疗病理性近视的有效手术方法之一,目前手术材料有异体硬脑膜,异体巩膜,阔筋膜等等[1]。实践证明,使用这些材料均有一定的局限性。因此,寻找来源容易,价廉有效,安全的新材料十分重要。国外一些学者在这方面作了许多研究,包括不同合成物质的组织相容性,物理特性,免疫组化反应以及眼球表面环境和眼运动的影响[2~5]。我们的研究是直接利用非眼科临床学科应用的手术材料进行后巩膜加固术的动物实验研究,以期用于病理性近视的临床治疗。
1 材料与方法
1.1 实验动物:成年日本大耳白兔40只,雌雄不限,体重2~3 kg。
1.2 材料准备:实验动物分成4组,使用不同材料。第1组供体硬脑膜:处死健康家兔,24 h内取出硬脑膜,洗净血污,95%酒精浸泡3天,然后置于75%酒精中备用;使用时将备用硬脑膜于生理盐水中复苏。第2组心包补片(国产涤纶片,用于心脏瓣膜及房室间隔缺损修复等心脏外科手术)使用前高压蒸气消毒。第3组血管补片(G-PTFE四氯聚氟膨体人造血管补片,用于替代或修补血管)使用前10%甲醛熏蒸12~24 h。第4组脱细胞异体真皮(首先应用在烧伤整形外科的一种烧伤创面覆盖物)打开无菌密封包装直接使用。
, http://www.100md.com
1.3 手术方法:同期手术,各组术眼为左眼。静脉麻醉。术前各组材料用庆大霉素生理盐水冲洗。手术:沿鼻上方角膜缘打开结膜,在巩膜表面用巩膜分离器钝性分离至后部成隧道状,将条状材料放入“隧道”内,向后铺展,结膜伤口缝合1针,结膜囊内涂抗生素眼膏,医用簿膜胶带覆盖术眼1~2天。
1.4 标本制备:各组分术后10,20,30,60,90天取标本。摘除眼球,洗净血污,切取植入片包括其附着的巩膜。分别以10%福尔马林液固定,石蜡包埋,切片,行HE及网织纤维染色,光镜观察;术后第10天,第90天加做3%戊二醛固定,按常规方法制作电镜标本,超薄切片,醋酸钠、柠檬酸铅双重染色,透射电镜下观察。
2 结果
2.1 大体标本观察
术后第90天第1组肉眼不能分辨植入物形态。第2组植入的心包补片植入片与巩膜严密附着不能分离和移动,肉眼能分辨。第3组血管补片平复整齐不变形,色泽与巩膜相近,表面形成包裹但与巩膜不粘连,第4组脱细胞异体真皮术后表面形成包裹,位置较固定;贴附平整不易移动和分离,肉眼可辨。
, 百拇医药
2.2 光镜动态观察
第1组术后10天在植入片纤维间有炎性细胞和成纤维细胞浸润;以后可见到异物巨细胞和新生毛细血管;第30天硬脑膜植片纤维中成纤维细胞及胶原纤维组织增多,原组织结构不清;第90天已全部被自身结缔组织替代。
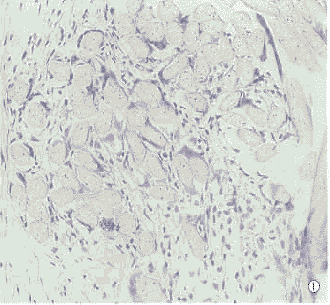
第2组第10天即可见到植入物纤维之间新生血管、纤维细胞分隔深入,炎性细胞少,可见异物巨细胞。随着时间延长,成纤维细胞及结缔组织伸入到植入片各纤维之间,第90天全部形成了植入片纤维与自身结缔组织互相交织的形态结构(图1)。
第3组植入片与巩膜之间以及植片结构间隙有较多的炎性细胞,随着时间延长,炎性细胞成分减少,植入片与巩膜之间可见潜在腔隙。植入物结构与巩膜的区别明显(图2)。

, http://www.100md.com
图1 术后第90天,植入的心包补片纤维与结缔组织相互交织(HE×20) 图2 术后第90天,血管补片与宿主巩膜仍不粘连,二者之间存在腔隙(HE×20) Fig.1 On d 90 after implanted surgically,the fibers of artificial pericardium are interwoven with connective tissue(HE×20) Fig.2 On d 90 after implanted sturgically,there was a gap between artificial vessel band and host scleral(HE×20)
第4组在第10天可见节段性均质植入片结构之间伸入“钉突状”胶原结缔组织,成纤维细胞为主,植片周围有少量炎性细胞。第20天以后植片结构逐渐松散,近宿主巩膜部分被自身结缔组织代替;而在远离部分可见植片边缘部分有簇集的炎性细胞;第90天仍然可以见到这种现象。
, 百拇医药
2.3 透射电镜观察
第1组第10天巨噬细胞胞体增大,胞质内有丰富的线粒体,游离核糖体,粗面内质网扩张,可见吞噬的异体胶原纤维;第90天近梭形的成纤维细胞周围出现束状排列及粗细不均的胶原纤维。
第2组第10天植入物周围包绕多核细胞,核不整齐,胞浆内大量粗面内质网,吞噬小体;第90天植入物被分隔包绕,贴附植入物的细胞膜表面可见微绒毛,大量的游离核糖体分布细胞膜内侧胞质。
第3组第10天富含粗面内质网的浆细胞,不规则核,核质不均的细胞,可见似单层扁平细胞;第90天植入物被覆单层扁平细胞,植入物的缝隙亦有两层膜结构及胞质填充。
第4组的改变与第1组相似。
3 讨论
近几年矫正近视的屈光手术是发展最快,变化最多的手术之一,这些技术手段的多样性说明现有方法的不足,更进一步地说,目前流行的屈光手术只矫正视力,但不能阻止近视的发生和发展。能够造成危害视力甚至失明的近视病变主要是病理性近视,近视治疗的主要对象应当是病理性近视(或进行性近视)。手术治疗一直是治疗病理性近视很有希望的,值得不断探索的方法。
, 百拇医药
巩膜代谢紊乱是病理性近视主要的致病因素之一,后巩膜加固术是治疗病理性近视一种有效的手术方法。尽管有人对此种手术提出异议,但是大多数相关资料表明,这种手术抑制病理性近视眼球轴性增长的作用是肯定的,即用保护材料置于后巩膜表面支撑增强眼球壁,阻止眼球轴性增长。被融合加固的后极部巩膜因有新生血管增生及组织增厚使血液供应增强而保护已损坏的视网膜和脉络膜,以达到防止近视度数进一步增加及视功能进一步恶化的目的。加固材料的选择、制作和使用对手术效果及预后的影响很大。国内外使用的材料有异体巩膜,硬脑膜,阔筋膜,肋软骨及耳软骨等,存在来源困难、不易保存、易产生排斥及感染等不足。现今高科技非生物合成材料的发展十分迅速,有的已广泛应用于临床。其他临床学科应用的新型材料的排斥及感染,组织相融性问题已被解决。使用这些非生物材料能够克服上述后巩膜加固材料的不足,并具有合成材料可制作成任意的长度、能维持其稳定的物理特性等优点[2]。因此我们试图从中筛选出适于眼球组织,加固巩膜,有可能抑制眼球异常增长的材料,为临床应用寻找来源广泛、价格低、疗效满意的供源。根据后巩膜加固术的手术原理[6],在研究中我们评判加固材料的标准是术后炎性反应、纤维结缔组织生长、植入片与宿主巩膜附着融合的程度和加固效果。
, 百拇医药
心包补片在最初的心脏外科手术中用于心脏瓣膜和房间隔缺损的修补。在我们研究中观察到这种材料的纤维成分与宿主纤维结缔组织相互交织,其纤维成为支架,植片周围亦包裹着纤维组织,不易移动和分离。光镜下所见异物巨细胞和透射电镜观察细胞胞质内粗面内质网和核糖体增多,表明这种材料刺激宿主细胞代谢活动增强,组织增生活跃,但其成分并不被吸收,能够与巩膜形成牢固的关系。这种材料作为后巩膜加固术疗效稳定,使用方便。
血管补片色泽、机械强度与巩膜相近,用于后巩膜加固,不易与宿主巩膜形成牢固的附着关系,电镜观察到这种材料表面被覆单层扁平细胞,可能影响与宿主巩膜的粘连。
脱细胞异体真皮[7]近几年才用于国内烧伤整形外科。取异体全厚皮制作这种材料,通过一系列酶制剂和其他化学药品处理,去除真皮内可引发宿主细胞识别反应的细胞成分,完整保留细胞外基质的形态结构和成分,用特制的制网机制成细网,置2~8℃条件下保存待用,这样制作的异体真皮半透明网状,伸展性好,用作后巩膜加固不易脱出,早期在网状结构的网眼中纤维结缔组织已成“钉状”长入,以后逐渐被增厚的自身结缔组织代替,观察到第90天这种过程还在继续。本实验材料是直接用于烧伤创面修复的,因此比较柔软,术中不易铺平。如果用于后巩膜加固,制网时稍加改变,将是更理想的材料。
, http://www.100md.com
硬脑膜是一种致密的结缔组织,由两层胶原纤维组成,内衬一层扁平上皮细胞。胶原纤维不仅向各个方向走行,且每层胶原纤维相互交叉成直角,这种排列方式决定它具有较高的机械强度。酒精保存或真空干燥或γ射线消毒的硬脑膜细胞成分减少,仍然具有组织薄,机械强度高,柔韧性好,抗感染力强等特点[8]。但是来源不易,价格昂贵。在研究中观察到硬脑膜易被宿主自身结缔组织替代,在临床应用中也有部分吸收的报告。是否可能影响远期手术效果,有待进一步观察。
脱细胞异体真皮和异体硬脑膜为生物材料,植入后作为非代谢支持物,刺激宿主成纤维细胞移入,胶原纤维形成,同时异体成分逐渐被吸收,最终被结缔组织替代。
研究结果肯定上述几种材料均未引起明显的排斥反应,证明用这种方法寻找开展后巩膜加固治疗病理性近视手术的材料是可行的。心包补片作为非生物材料,用于后巩膜加固术较其他材料更理想;脱细胞异体真皮是新的生物材料,还需在临床实践中观察。
, http://www.100md.com
1,汪芳润.近视眼.第1版.上海:上海医科大学出版社,1996.28
2,Jacob JT,Assouline M,Byrd T,et al.Synthetic scleral reinforcement materials:Ⅰ.Development and in vivo tissue biocompatibility response.J Biomed Mater Res,1994,28∶699
3,Jacob JT,Gebhardt BM,Lewando J.Synthetic scleral reinforcement materials:Ⅱ.Collagen types in the fibrous capsule.J Biomed Mater Res,1996,32∶181
4,Jacob JT,Lin JJ,Mikal SP.Synthetic scleral reinforcement materials:Ⅲ.Changes in surface and bulk physical properties,J Biomed Mater Res,1997,37∶525
, 百拇医药
5,Avetisov ES,Tarutta EP,Iomdina EN,et al.Nonsurgical and surgical methods of sclera reinforcement in progressive myopia.Acta Ophthalmol Scand,1997,75∶618
6,李绍珍,主编.眼科手术学.第2版.北京:人民卫生出版社,1997.346
7,孙永华,李迟,王春元,等.脱细胞异体真皮与自体簿皮片移植的研究与应用.中华整形烧伤外科杂志,1998,14∶370
8,赵光喜,周洁.异体硬脑膜眼部修复的实验研究及临床应用.中华眼科杂志,1996,32∶190
(收稿:1999-05-11 修回:1999-11-06), 百拇医药
单位:肖林 刘晶 汪晓 张秀敏 刘利(100038北京铁路总医院);赵光喜(北京医科大学第三临床医学院)
关键词:材料;后巩膜加固;近视治疗
眼科研究000213 摘要 目的为临床开展后巩膜加固术寻找更为理想的手术材料,选择用于心血管外科,烧伤外科等4种手术材料进行后巩膜加固手术的实验研究。方法日本大耳白兔分组用4种手术材料植入于后巩膜,术后10,20,30,60,90天取标本,行大体标本、光镜、透射电镜动态观察。结果显示异体硬脑膜材料终被自身结缔组织替代;人工心包补片逐渐形成植片纤维与自身结缔组织相互交织的组织形态;人工血管补片与自身巩膜表面形成潜在腔隙;脱细胞异体真皮被结缔组织替代的过程中细胞浸润与胶原组织交替出现。结论人工心包补片代替生物材料进行后巩膜加固术比较理想,脱细胞异体真皮是同种新型生物材料,效果将更为理想。
, 百拇医药
分类号 R 779.6
A study of scleral reinforcement materials
Xiao Lin,Zhao Guangxi,Liu Jing,et al.
Beijing Railway General Hospital,Beijing 100038
Abstract ObjectiveTo select an ideal scleral reinforcement materials,we tested four types that were used in other fields of clinical medicines (homologous dura mater,artificial pericardium,artificial vessel,acellular all-dermal matrix).MethodsForty Japanese white rabbits were divided into 4 groups.For each group,one type of material was surgically implanted at the back of the globe.The specimens were harvested at 10,20,30,60,90 d postoperatively and studied by gross examination and light and electron microscopy.ResultsThe homologous dura mater was replaced with connective tissue.The fibers of artificial pericardium were interwoven with connective tissue.There was a gap between artificial vessel and host scleral.Acellular dermis were alternately replaced with connective tissue.ConclusionThe artificial pericardium is an ideal artificial-material for post scleral reinforcement material.Acellular dermis will be more ideal as a biological material.
, http://www.100md.com
Key word smaterial scleral-reinforcement myopic treatment
后巩膜加固术被认为是治疗病理性近视的有效手术方法之一,目前手术材料有异体硬脑膜,异体巩膜,阔筋膜等等[1]。实践证明,使用这些材料均有一定的局限性。因此,寻找来源容易,价廉有效,安全的新材料十分重要。国外一些学者在这方面作了许多研究,包括不同合成物质的组织相容性,物理特性,免疫组化反应以及眼球表面环境和眼运动的影响[2~5]。我们的研究是直接利用非眼科临床学科应用的手术材料进行后巩膜加固术的动物实验研究,以期用于病理性近视的临床治疗。
1 材料与方法
1.1 实验动物:成年日本大耳白兔40只,雌雄不限,体重2~3 kg。
1.2 材料准备:实验动物分成4组,使用不同材料。第1组供体硬脑膜:处死健康家兔,24 h内取出硬脑膜,洗净血污,95%酒精浸泡3天,然后置于75%酒精中备用;使用时将备用硬脑膜于生理盐水中复苏。第2组心包补片(国产涤纶片,用于心脏瓣膜及房室间隔缺损修复等心脏外科手术)使用前高压蒸气消毒。第3组血管补片(G-PTFE四氯聚氟膨体人造血管补片,用于替代或修补血管)使用前10%甲醛熏蒸12~24 h。第4组脱细胞异体真皮(首先应用在烧伤整形外科的一种烧伤创面覆盖物)打开无菌密封包装直接使用。
, http://www.100md.com
1.3 手术方法:同期手术,各组术眼为左眼。静脉麻醉。术前各组材料用庆大霉素生理盐水冲洗。手术:沿鼻上方角膜缘打开结膜,在巩膜表面用巩膜分离器钝性分离至后部成隧道状,将条状材料放入“隧道”内,向后铺展,结膜伤口缝合1针,结膜囊内涂抗生素眼膏,医用簿膜胶带覆盖术眼1~2天。
1.4 标本制备:各组分术后10,20,30,60,90天取标本。摘除眼球,洗净血污,切取植入片包括其附着的巩膜。分别以10%福尔马林液固定,石蜡包埋,切片,行HE及网织纤维染色,光镜观察;术后第10天,第90天加做3%戊二醛固定,按常规方法制作电镜标本,超薄切片,醋酸钠、柠檬酸铅双重染色,透射电镜下观察。
2 结果
2.1 大体标本观察
术后第90天第1组肉眼不能分辨植入物形态。第2组植入的心包补片植入片与巩膜严密附着不能分离和移动,肉眼能分辨。第3组血管补片平复整齐不变形,色泽与巩膜相近,表面形成包裹但与巩膜不粘连,第4组脱细胞异体真皮术后表面形成包裹,位置较固定;贴附平整不易移动和分离,肉眼可辨。
, 百拇医药
2.2 光镜动态观察
第1组术后10天在植入片纤维间有炎性细胞和成纤维细胞浸润;以后可见到异物巨细胞和新生毛细血管;第30天硬脑膜植片纤维中成纤维细胞及胶原纤维组织增多,原组织结构不清;第90天已全部被自身结缔组织替代。
第2组第10天即可见到植入物纤维之间新生血管、纤维细胞分隔深入,炎性细胞少,可见异物巨细胞。随着时间延长,成纤维细胞及结缔组织伸入到植入片各纤维之间,第90天全部形成了植入片纤维与自身结缔组织互相交织的形态结构(图1)。
第3组植入片与巩膜之间以及植片结构间隙有较多的炎性细胞,随着时间延长,炎性细胞成分减少,植入片与巩膜之间可见潜在腔隙。植入物结构与巩膜的区别明显(图2)。
, http://www.100md.com
图1 术后第90天,植入的心包补片纤维与结缔组织相互交织(HE×20) 图2 术后第90天,血管补片与宿主巩膜仍不粘连,二者之间存在腔隙(HE×20) Fig.1 On d 90 after implanted surgically,the fibers of artificial pericardium are interwoven with connective tissue(HE×20) Fig.2 On d 90 after implanted sturgically,there was a gap between artificial vessel band and host scleral(HE×20)
第4组在第10天可见节段性均质植入片结构之间伸入“钉突状”胶原结缔组织,成纤维细胞为主,植片周围有少量炎性细胞。第20天以后植片结构逐渐松散,近宿主巩膜部分被自身结缔组织代替;而在远离部分可见植片边缘部分有簇集的炎性细胞;第90天仍然可以见到这种现象。
, 百拇医药
2.3 透射电镜观察
第1组第10天巨噬细胞胞体增大,胞质内有丰富的线粒体,游离核糖体,粗面内质网扩张,可见吞噬的异体胶原纤维;第90天近梭形的成纤维细胞周围出现束状排列及粗细不均的胶原纤维。
第2组第10天植入物周围包绕多核细胞,核不整齐,胞浆内大量粗面内质网,吞噬小体;第90天植入物被分隔包绕,贴附植入物的细胞膜表面可见微绒毛,大量的游离核糖体分布细胞膜内侧胞质。
第3组第10天富含粗面内质网的浆细胞,不规则核,核质不均的细胞,可见似单层扁平细胞;第90天植入物被覆单层扁平细胞,植入物的缝隙亦有两层膜结构及胞质填充。
第4组的改变与第1组相似。
3 讨论
近几年矫正近视的屈光手术是发展最快,变化最多的手术之一,这些技术手段的多样性说明现有方法的不足,更进一步地说,目前流行的屈光手术只矫正视力,但不能阻止近视的发生和发展。能够造成危害视力甚至失明的近视病变主要是病理性近视,近视治疗的主要对象应当是病理性近视(或进行性近视)。手术治疗一直是治疗病理性近视很有希望的,值得不断探索的方法。
, 百拇医药
巩膜代谢紊乱是病理性近视主要的致病因素之一,后巩膜加固术是治疗病理性近视一种有效的手术方法。尽管有人对此种手术提出异议,但是大多数相关资料表明,这种手术抑制病理性近视眼球轴性增长的作用是肯定的,即用保护材料置于后巩膜表面支撑增强眼球壁,阻止眼球轴性增长。被融合加固的后极部巩膜因有新生血管增生及组织增厚使血液供应增强而保护已损坏的视网膜和脉络膜,以达到防止近视度数进一步增加及视功能进一步恶化的目的。加固材料的选择、制作和使用对手术效果及预后的影响很大。国内外使用的材料有异体巩膜,硬脑膜,阔筋膜,肋软骨及耳软骨等,存在来源困难、不易保存、易产生排斥及感染等不足。现今高科技非生物合成材料的发展十分迅速,有的已广泛应用于临床。其他临床学科应用的新型材料的排斥及感染,组织相融性问题已被解决。使用这些非生物材料能够克服上述后巩膜加固材料的不足,并具有合成材料可制作成任意的长度、能维持其稳定的物理特性等优点[2]。因此我们试图从中筛选出适于眼球组织,加固巩膜,有可能抑制眼球异常增长的材料,为临床应用寻找来源广泛、价格低、疗效满意的供源。根据后巩膜加固术的手术原理[6],在研究中我们评判加固材料的标准是术后炎性反应、纤维结缔组织生长、植入片与宿主巩膜附着融合的程度和加固效果。
, 百拇医药
心包补片在最初的心脏外科手术中用于心脏瓣膜和房间隔缺损的修补。在我们研究中观察到这种材料的纤维成分与宿主纤维结缔组织相互交织,其纤维成为支架,植片周围亦包裹着纤维组织,不易移动和分离。光镜下所见异物巨细胞和透射电镜观察细胞胞质内粗面内质网和核糖体增多,表明这种材料刺激宿主细胞代谢活动增强,组织增生活跃,但其成分并不被吸收,能够与巩膜形成牢固的关系。这种材料作为后巩膜加固术疗效稳定,使用方便。
血管补片色泽、机械强度与巩膜相近,用于后巩膜加固,不易与宿主巩膜形成牢固的附着关系,电镜观察到这种材料表面被覆单层扁平细胞,可能影响与宿主巩膜的粘连。
脱细胞异体真皮[7]近几年才用于国内烧伤整形外科。取异体全厚皮制作这种材料,通过一系列酶制剂和其他化学药品处理,去除真皮内可引发宿主细胞识别反应的细胞成分,完整保留细胞外基质的形态结构和成分,用特制的制网机制成细网,置2~8℃条件下保存待用,这样制作的异体真皮半透明网状,伸展性好,用作后巩膜加固不易脱出,早期在网状结构的网眼中纤维结缔组织已成“钉状”长入,以后逐渐被增厚的自身结缔组织代替,观察到第90天这种过程还在继续。本实验材料是直接用于烧伤创面修复的,因此比较柔软,术中不易铺平。如果用于后巩膜加固,制网时稍加改变,将是更理想的材料。
, http://www.100md.com
硬脑膜是一种致密的结缔组织,由两层胶原纤维组成,内衬一层扁平上皮细胞。胶原纤维不仅向各个方向走行,且每层胶原纤维相互交叉成直角,这种排列方式决定它具有较高的机械强度。酒精保存或真空干燥或γ射线消毒的硬脑膜细胞成分减少,仍然具有组织薄,机械强度高,柔韧性好,抗感染力强等特点[8]。但是来源不易,价格昂贵。在研究中观察到硬脑膜易被宿主自身结缔组织替代,在临床应用中也有部分吸收的报告。是否可能影响远期手术效果,有待进一步观察。
脱细胞异体真皮和异体硬脑膜为生物材料,植入后作为非代谢支持物,刺激宿主成纤维细胞移入,胶原纤维形成,同时异体成分逐渐被吸收,最终被结缔组织替代。
研究结果肯定上述几种材料均未引起明显的排斥反应,证明用这种方法寻找开展后巩膜加固治疗病理性近视手术的材料是可行的。心包补片作为非生物材料,用于后巩膜加固术较其他材料更理想;脱细胞异体真皮是新的生物材料,还需在临床实践中观察。
, http://www.100md.com
1,汪芳润.近视眼.第1版.上海:上海医科大学出版社,1996.28
2,Jacob JT,Assouline M,Byrd T,et al.Synthetic scleral reinforcement materials:Ⅰ.Development and in vivo tissue biocompatibility response.J Biomed Mater Res,1994,28∶699
3,Jacob JT,Gebhardt BM,Lewando J.Synthetic scleral reinforcement materials:Ⅱ.Collagen types in the fibrous capsule.J Biomed Mater Res,1996,32∶181
4,Jacob JT,Lin JJ,Mikal SP.Synthetic scleral reinforcement materials:Ⅲ.Changes in surface and bulk physical properties,J Biomed Mater Res,1997,37∶525
, 百拇医药
5,Avetisov ES,Tarutta EP,Iomdina EN,et al.Nonsurgical and surgical methods of sclera reinforcement in progressive myopia.Acta Ophthalmol Scand,1997,75∶618
6,李绍珍,主编.眼科手术学.第2版.北京:人民卫生出版社,1997.346
7,孙永华,李迟,王春元,等.脱细胞异体真皮与自体簿皮片移植的研究与应用.中华整形烧伤外科杂志,1998,14∶370
8,赵光喜,周洁.异体硬脑膜眼部修复的实验研究及临床应用.中华眼科杂志,1996,32∶190
(收稿:1999-05-11 修回:1999-11-06), 百拇医药