超声显像对子宫肌瘤变性的诊断价值
作者:王绍文
单位:201900 上海市宝山中心医院
关键词:
中国超声医学杂志990123 1993年1月至1998年6月我院经超声诊断后进行手术治疗的子宫肌瘤163例,其中伴有子宫肌瘤变性18例,占11.0%,现将其声像图特征及其诊断价值探讨如下。
使用仪器为Aloka SSD 630,SSD 1200,RT FINO 5.0、RT 3600实时超声显像仪,探头频率均为3.5MHz,按常规方法扫描,阳性所见以SONY热敏黑白打印记录。
结 果
163例子宫肌瘤术后病理分类及变性类型详见附表。
表1 163例子宫肌瘤病理分类及变性类型 病理分类
, http://www.100md.com
例数
肌瘤变性类型
玻璃
样变
红色
变性
囊性变
钙化
浆膜下平滑肌瘤
肌壁间平滑肌瘤
粘膜下平滑肌瘤
阔韧带平滑肌瘤
肌壁间+浆膜下
, 百拇医药
肌壁间+粘膜下
肌壁间+浆膜下+粘膜下
浆膜下+肌腺症
肌壁间+肌腺症
粘膜下+肌腺症
14
84
11
3
23
5
5
1
, http://www.100md.com
14
3
1
1
1
2
1
1
1
1
1
1
2
2
, 百拇医药
1
1
1
合 计
163
3
5
7
3
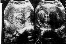
子宫肌瘤变性的声像图特点:(1)玻璃样变:病变切面失去旋涡状结构变为同质、其回声较为衰减(图1)。本组有3例占1.84%;(2)红色变性:为一种特殊型肌瘤坏死,常发生于较大的肌瘤中,妊娠期或产褥期易发生此种变性,切面呈肉红色、保持旋涡状外形,声像图上肿瘤明显衰减,界限不清(图2)。本组有5例占3.06%;(3)囊性变:当玻璃样变继续发展、液化形成许多大小不等的空腔,也可融合成一大囊腔,囊腔内壁光滑、囊内含液体多无色透明。前者有时很像葡萄胎,后者酷似卵巢囊肿,仔细观察瘤体的非囊区仍可见肌瘤的特点,回声较强,亦可以很弱或杂乱(图3,4)。本组有4例,占2.45%;(4)钙化:多发生于玻璃样变坏死后、由于肌瘤血液循环障碍、钙盐被组织成分及其他变性物质所吸收而沉积,超声图像显示为增强的回声团其后伴声影。本组有3例占1.84%。
, http://www.100md.com
图1 子宫肌壁间平滑肌瘤伴玻璃样变(手术病理证实)

UT:子宫,MYO:肌瘤 UT:子宫,MYO:肌瘤
图2 子宫肌瘤间平滑肌瘤 图3 子宫肌瘤(肌壁间)伴变
伴灶性红色变性(病理证实) 性(黄色粘冻样物)(病理证实)
UT:子宫,MYO:肌瘤 IUD:避孕器
图4 子宫平滑肌瘤伴囊性变(手术病理证实)
, http://www.100md.com
讨 论
1.子宫肌瘤及变性声像图形成的病理基础
子宫肌瘤由平滑肌细胞增生形成,其中有少量结缔组织纤维仅作为一种支撑结构存在,呈一种实质性球形肿块,外表有一层包膜,系由肌瘤周围纤维囊和结缔组织构成。子宫肌瘤内部回声的强弱主要取决于平滑肌细胞与结缔组织含量的大小,细胞的排列、形状、分布及有否变性。强回声团的诊断因其病理结构为肌细胞多、结缔组织较少呈编织状交替排列,使超声界面回声增多、增强,加之有假包膜形成,使图像边界清晰可辨。低回声团其病理结构为肌细胞较少,结缔组织较多、间质水肿。此时图像特征较强容易识别,有时因组织排列较紊乱,使衰减增加虽有假包膜、但因无明显对比,而致边界较难分辨。一般直径>4cm的肌瘤因供血障碍、营养缺乏、可以发生变性。肿瘤越大,变性越容易发生,也越广泛。常见的良性变性有萎缩,玻璃样变、红色变性、囊性变、脂肪性变、钙化等。恶性变性指肉瘤样变,发生率很低,国内报道约为0.5%,国外约为0.2~1%〔1〕。本组中各种子宫肌瘤变性共18例,占11.0%。
, 百拇医药
2.超声显像对子宫肌瘤变性的诊断价值
子宫肌瘤变性时用其他方法不易明确变性的存在、范围和性质,超声显像可以显示子宫肌瘤变性。本组子宫肌瘤163例中变性18例,其中玻璃样变3例,红色变性5例,囊性变7例,钙化3例,超声诊断与手术病理符合率为72.2%(13/18),假阳性3例占16.7%,假阴性2例占11.1%。
子宫肌瘤变性初为透明性变,进而发展到液化甚至囊性变。红色变性为一种特殊的肌瘤坏死,多发生于妊娠期和产褥期,其形成主要是在已有脂肪变性的单个肌瘤内血流突然增加。由于变性的原因类脂质物质的作用而引起不同程度的溶血现象,故红色变性又有渐进性坏死之称,多发生于单个较大的肌壁间肌瘤中,可引起紧急临床症状,高热、剧烈呕吐及腹膜刺激征,此时应与卵巢囊肿扭转鉴别,后者在子宫外与子宫有明显的分界线。肌瘤变性与妊娠有关、为一种无菌性组织分解,细胞间隙液体渗出形成囊腔。超声图像虽与肌瘤液化相类似,但从病史资料可资区别。钙化分为二种类型即边缘型和弥漫型,前者为呈层沉积形成多层易碎的包膜,后者即钙化斑弥漫分布于瘤体内。声像图均有典型表现诊断不难。
, 百拇医药
但当有大面积囊性变、红色变性、坏死等,超声征象有特征性表现、易误为卵巢囊肿,而玻璃样变、粘液性变、脂肪变性,在声像上不易显示其特性〔2〕。在某些变性如囊性变性时其内部回声出现无特征性,并呈现多种多样化,此时获得正确诊断较为困难。
参考文献
[1]吴钟瑜.实用妇产科超声诊断学.天津科技翻译出版公司,1995年第一版,350~351
[2]闻 恽、张莲华,徐水利。子宫肌瘤的超声图像诊断.中华物理医学杂志,1983,5(4):196~197
(1998-07-16收稿), 百拇医药
单位:201900 上海市宝山中心医院
关键词:
中国超声医学杂志990123 1993年1月至1998年6月我院经超声诊断后进行手术治疗的子宫肌瘤163例,其中伴有子宫肌瘤变性18例,占11.0%,现将其声像图特征及其诊断价值探讨如下。
使用仪器为Aloka SSD 630,SSD 1200,RT FINO 5.0、RT 3600实时超声显像仪,探头频率均为3.5MHz,按常规方法扫描,阳性所见以SONY热敏黑白打印记录。
结 果
163例子宫肌瘤术后病理分类及变性类型详见附表。
表1 163例子宫肌瘤病理分类及变性类型 病理分类
, http://www.100md.com
例数
肌瘤变性类型
玻璃
样变
红色
变性
囊性变
钙化
浆膜下平滑肌瘤
肌壁间平滑肌瘤
粘膜下平滑肌瘤
阔韧带平滑肌瘤
肌壁间+浆膜下
, 百拇医药
肌壁间+粘膜下
肌壁间+浆膜下+粘膜下
浆膜下+肌腺症
肌壁间+肌腺症
粘膜下+肌腺症
14
84
11
3
23
5
5
1
, http://www.100md.com
14
3
1
1
1
2
1
1
1
1
1
1
2
2
, 百拇医药
1
1
1
合 计
163
3
5
7
3
子宫肌瘤变性的声像图特点:(1)玻璃样变:病变切面失去旋涡状结构变为同质、其回声较为衰减(图1)。本组有3例占1.84%;(2)红色变性:为一种特殊型肌瘤坏死,常发生于较大的肌瘤中,妊娠期或产褥期易发生此种变性,切面呈肉红色、保持旋涡状外形,声像图上肿瘤明显衰减,界限不清(图2)。本组有5例占3.06%;(3)囊性变:当玻璃样变继续发展、液化形成许多大小不等的空腔,也可融合成一大囊腔,囊腔内壁光滑、囊内含液体多无色透明。前者有时很像葡萄胎,后者酷似卵巢囊肿,仔细观察瘤体的非囊区仍可见肌瘤的特点,回声较强,亦可以很弱或杂乱(图3,4)。本组有4例,占2.45%;(4)钙化:多发生于玻璃样变坏死后、由于肌瘤血液循环障碍、钙盐被组织成分及其他变性物质所吸收而沉积,超声图像显示为增强的回声团其后伴声影。本组有3例占1.84%。
, http://www.100md.com
图1 子宫肌壁间平滑肌瘤伴玻璃样变(手术病理证实)
UT:子宫,MYO:肌瘤 UT:子宫,MYO:肌瘤
图2 子宫肌瘤间平滑肌瘤 图3 子宫肌瘤(肌壁间)伴变
伴灶性红色变性(病理证实) 性(黄色粘冻样物)(病理证实)
UT:子宫,MYO:肌瘤 IUD:避孕器
图4 子宫平滑肌瘤伴囊性变(手术病理证实)
, http://www.100md.com
讨 论
1.子宫肌瘤及变性声像图形成的病理基础
子宫肌瘤由平滑肌细胞增生形成,其中有少量结缔组织纤维仅作为一种支撑结构存在,呈一种实质性球形肿块,外表有一层包膜,系由肌瘤周围纤维囊和结缔组织构成。子宫肌瘤内部回声的强弱主要取决于平滑肌细胞与结缔组织含量的大小,细胞的排列、形状、分布及有否变性。强回声团的诊断因其病理结构为肌细胞多、结缔组织较少呈编织状交替排列,使超声界面回声增多、增强,加之有假包膜形成,使图像边界清晰可辨。低回声团其病理结构为肌细胞较少,结缔组织较多、间质水肿。此时图像特征较强容易识别,有时因组织排列较紊乱,使衰减增加虽有假包膜、但因无明显对比,而致边界较难分辨。一般直径>4cm的肌瘤因供血障碍、营养缺乏、可以发生变性。肿瘤越大,变性越容易发生,也越广泛。常见的良性变性有萎缩,玻璃样变、红色变性、囊性变、脂肪性变、钙化等。恶性变性指肉瘤样变,发生率很低,国内报道约为0.5%,国外约为0.2~1%〔1〕。本组中各种子宫肌瘤变性共18例,占11.0%。
, 百拇医药
2.超声显像对子宫肌瘤变性的诊断价值
子宫肌瘤变性时用其他方法不易明确变性的存在、范围和性质,超声显像可以显示子宫肌瘤变性。本组子宫肌瘤163例中变性18例,其中玻璃样变3例,红色变性5例,囊性变7例,钙化3例,超声诊断与手术病理符合率为72.2%(13/18),假阳性3例占16.7%,假阴性2例占11.1%。
子宫肌瘤变性初为透明性变,进而发展到液化甚至囊性变。红色变性为一种特殊的肌瘤坏死,多发生于妊娠期和产褥期,其形成主要是在已有脂肪变性的单个肌瘤内血流突然增加。由于变性的原因类脂质物质的作用而引起不同程度的溶血现象,故红色变性又有渐进性坏死之称,多发生于单个较大的肌壁间肌瘤中,可引起紧急临床症状,高热、剧烈呕吐及腹膜刺激征,此时应与卵巢囊肿扭转鉴别,后者在子宫外与子宫有明显的分界线。肌瘤变性与妊娠有关、为一种无菌性组织分解,细胞间隙液体渗出形成囊腔。超声图像虽与肌瘤液化相类似,但从病史资料可资区别。钙化分为二种类型即边缘型和弥漫型,前者为呈层沉积形成多层易碎的包膜,后者即钙化斑弥漫分布于瘤体内。声像图均有典型表现诊断不难。
, 百拇医药
但当有大面积囊性变、红色变性、坏死等,超声征象有特征性表现、易误为卵巢囊肿,而玻璃样变、粘液性变、脂肪变性,在声像上不易显示其特性〔2〕。在某些变性如囊性变性时其内部回声出现无特征性,并呈现多种多样化,此时获得正确诊断较为困难。
参考文献
[1]吴钟瑜.实用妇产科超声诊断学.天津科技翻译出版公司,1995年第一版,350~351
[2]闻 恽、张莲华,徐水利。子宫肌瘤的超声图像诊断.中华物理医学杂志,1983,5(4):196~197
(1998-07-16收稿), 百拇医药