补肾活血中药治疗血管性痴呆的实验研究
作者:陈松盛 王敬卿 李锐 郑清莲 王晋源
单位:陈松盛(西安医科大学第二附属医院老年病科,陕西 西安 710004);王敬卿(西安医科大学第二附属医院老年病科,陕西 西安 710004);李锐(西安医科大学第二附属医院老年病科,陕西 西安 710004);郑清莲(西安医科大学第二附属医院老年病科,陕西 西安 710004);王晋源(西安医科大学第二附属医院老年病科,陕西 西安 710004)
关键词:痴呆/血管性;中药;精氨酸;加压素;生长抑素
中国中医基础医学杂0001114 摘要:在MID动物模型上,以西药脑复康为对照,采用水迷宫和放免法观察了醒脑胶囊主要成份补肾活血药物对痴呆大鼠学习记忆能力及脑组织(海马、皮质)中神经肽AVP、SS含量的影响。结果:中药组和脑复康组大鼠游迷宫所需时间和错误次数均明显少于模型组(P<0.05或P<0.01),其中中药组大鼠游全程时间显著少于脑复康组(P<0.05或P<0.01),错误次数与脑复康组无显著性差异(P>0.05)。同时中药组与脑复康组大鼠血浆、脑组织(海马、皮质)中AVP、SS含量均显著高于模型组(P<0.01),且中药组AVP、SS含量又明显高于脑复康组(P<0.05或P<0.01)。提示补肾活血中药能明显改善VD大鼠学习记忆能力,疗效与脑复康相近。同时补肾活血中药能显著提高VD大鼠血浆、脑组织(海马、皮质)中神经肽AVP、SS含量,且优于脑复康。推测血浆及脑组织中神经肽AVP、SS含量的提高可能是中医补肾活血法治疗VD的神经生化基础之一。
, http://www.100md.com
中图分类号:R285.5 文献标识码:B
文章标号:1006-3250(2000)01-0070-04
An Experimental Study of Treating the Vascular Dementia with TCM
Preparation of Invigorating the kidney and Removing Blood Stasis
Cheng Songsheng Wang Jingqing Li Rui Zheng Qinglian Wang Jinyuan
Abstract:Based on the MID rats,contrasting with Piracetam,a learning and practising of distinguishing task by water maze test was performed to assess the rats' learning and memorizing abilities,and meanwhile,two neuropeptides,Arginine Vasopressin (AVP) and Somatostatin (SS) in plasma,hippocampus and cerebral cortex of the MID rats were measured by means of radioimmunoassay (RIA) to provide neurochemical evidences.Results:(1)TCM preparation improves the learning and memorizing dysfunction more effectively than Piracetam as indicated by accomplishing time and mistakes (P<0.05 or P<0.01);(2)AVP and SS concentrations in plasma,hippocampus and cortex in TCM preparation are significantly higher than those in Piracetam group (P<0.05 or P<0.01).It suggests that (1)TCM preparation of invigorating the kidney and removing blood stasis can effectively improre learning and memorizing impairments of MID rats,with similar efficacy to Piracetam;(2)this preparaton can elevate AVP and SS concentration in plasma,hippocampus and cortex of MID rats;(3)the elevation of AVP and SS concentrations in plasma and brain tissue may be one of the neurochemical bases on principle of invigorating the kidney and removing blood stasis.
, 百拇医药
Key words:Vascular Dementia;Arginine Vasopressin;Somatostatin;Traditional Chinese Medicine
血管性痴呆(Vascular dementia,VD)是指由于脑血管病引起的认知功能障碍。近年来,随着人口老龄化和脑血管病发病率的增高,VD发病有上升趋势,在我国和日本VD约占全部痴呆患者的50%~70%,严重威胁着老年人的健康和生存质量。迄今为止尚未找到理想的改善智能的抗痴呆药物。
醒脑胶囊是王晋源教授根据多年临床经验研制而成的纯中药制剂,用于治疗VD取得了较好疗效,并进行了初步实验研究,通过拆方筛选得知其中补肾活血中药为治疗VD的主要成分。本研究采用水迷宫和放射免疫法观察补肾活血中药对MID大鼠学习记忆能力以及血浆和脑组织(海马、皮质)中神经肽AVP(Arginine Vasopressin)、SS(Somatostatin)含量的影响,旨在以智能改变和神经生化变化探讨补肾活血中药治疗VD的实验室机制。
, http://www.100md.com
材料与方法
1 材料
1.1 动物
选用10~12月龄,体重378g±32g雄性SD大鼠,由西安医科大学动物实验中心提供。
1.2 药物及制备
补肾活血中药由制首乌、银杏叶、益智仁、羊脑粉、丹参、生山楂等组成,药物购自西安市药材公司中药饮片部。制备前均经鉴定,由西安医科大学一附院药剂科提供浓缩煎剂,浓度为1.925 g生药/ml。对照用西药脑复康(Piracetar),由西安医科大学一附院药剂科生产,400mg/片,实验浓度为90mg/ml。
1.3 主要仪器及试剂
Y型水迷宫由西安医科大学实验设备修配厂制作提供。AVP、SS放免药盒由上海第二军医大学神经生物研究室提供。
, 百拇医药
2 方法
2.1 动物模型的建立与分组
采用陈俊抛改进方法[2]。
2.1.1 微血栓的制备
取同种、同性别、同月龄的SD大鼠颈动脉血,无菌条件下37℃恒温干燥,将干燥后的血凝块研碎后经200μm及100μm铜筛过筛后备用。应用时用生理盐水0.5ml加血凝块100mg制成混悬液,显微镜下测量其直径在100μm~200μm之间。
2.1.2 MID动物模型的复制
取12月龄(体重在378±32克的雄性)SD大鼠,饲养1周后,用20%乌拉坦麻醉(1.0g/kg体重,腹腔注射,常规无菌手术,分离,暴露左侧颈总动脉,仔细分离颈内、外动脉,用金属夹暂时夹闭左侧颈总动脉,于左颈外动脉逆行插管,缓慢注入微血栓——生理盐水混悬液(200mg/ml)1.5ml/kg体重后,立即结扎颈外动脉,同时放开颈总动脉夹,使血栓通过颈内动脉进入颅内,造成多发性脑梗塞。术后逐层缝合,肌注青霉素抗感染。
, http://www.100md.com
2.1.3 动物模型的筛选标准
每只经过手术的大鼠在术后3 d进行避暗试验训练,使之达到5min内留在明室而不进入暗室作为学会标准。24h后再次进行避暗试验,记录其潜伏期(从放入明室到进入暗室的时间。凡潜伏期大于3min者表明其记忆受损不明显,被剔除实验。潜伏期小于3min者被正式纳入本实验,结果有24只大鼠入选。
2.1.4 动物分组
将造模成功的MID大鼠24只随机分为3组:模型组、脑复康组及中药组,每组8只。模型组以等量生理盐水灌胃,中药组与脑复康组分别以补肾活血中药及脑复康水溶液灌胃,剂量为11.4ml/kg.次,每天2次,共20d。
2.2 观察指标及方法
2.2.1 学习记忆能力的测定
, 百拇医药
采用水迷宫法[1]。
2.2.2 血浆、脑组织中神经肽AVP、SS的测定
采用放射免疫法。
脑组织(海马、皮质)中神经肽的提取:大鼠称重后,在尽量安静的情况下,迅速断头,尽快取下全脑,在沸生理盐水中煮5min,以灭活酶类,保持神肽的稳定。分离出左侧海马、皮质并称重。将海马、皮质分别置于玻璃匀浆器内,加入1mol/L HCl 1ml,充分匀浆后倒入塑料指形管中,在室温中放置100min,使生物活性肽充分溶解在酸中。再加入1mol/L NaOH 1ml以中和酸。离心(4000rpm/min,10min)取上清,低温(-20℃以下)保存待测。
血浆的处理:采用血浆直接测定法。准确采集全血2ml,注入预冷的、加有(a)抗凝剂0.3mol/L EDTA-2Na溶液(每ml全血加入20μl)及(b)抑肽酶(每ml全血加入500单位)的塑料指形管中,混匀,迅速低温离心,取血浆低温(-20℃以下)保存待测。测定AVP不加抑肽酶。
, http://www.100md.com
神经肽AVP、SS检测采用平衡饱和加样程序。
3 统计学处理
实验数据均用x+s表示。用SASS统计软件包统计学处理方法。各组均数比较用q检验法,全部采用双侧检验。
结果
1 补肾活血中药对痴呆大鼠学习记忆能力的影响
1.1 对学习与记忆能力的影响
由表1、表2结果显示,中药组和脑复康组大鼠游迷宫所需时间和途中进入盲端的错误次数均明显少于模型组(P<0.05或P<0.01),但中药组和脑复康组在两项指标的测定中差异无显著性(P>0.05)。
连续7d的水迷宫试验中,大鼠从第2d起的测试成绩,既是前一天的记忆成绩,又是当天的学习成绩。由表1、表2可以看出,在接下来6d的连续测试中,中药组和脑复康组大鼠游迷宫所需时间和错误数均明显少于模型组(P<0.05或P<0.01),其中中药组大鼠游全程时间显著少于脑复康组(P<0.05或P<0.01),错误次数与脑复康组相比差异无显著性(P>0.05)。
, http://www.100md.com
表1 药物对痴呆大鼠游迷宫所需时间的影响x±s(s) 组 别
例数
第1d
第2d
第3d
第4d
第5d
第6d
第7d
模型组
8
82.96±10.14
, 百拇医药 73.41±5.56
58.94±4.94
50.96±7.85
49.10±8.79
38.71±6.96
30.66±7.08
脑复康组
8
70.07±5.76*
66.95±4.75*
53.58±4.84*
, http://www.100md.com
39.42±2.56*
29.50±2.29**
21.48±3.07**
12.87±2.35**
中药A组
8
62.48±6.33**
51.36±5.61**Δ
41.94±3.71*Δ
32.38±4.02**
, 百拇医药
24.23±4.88**
15.04±3.81**Δ
72.24±2.29**ΔΔ
注:与模型组比较:*P<0.05,**P<0.01;与脑复康组比较:ΔP<0.05,ΔΔP<0.01。表2 药物对痴呆大鼠游迷宫错误次数的影响x±s(次) 组 别
例数
第1d
第2d
第3d
第4d
, 百拇医药
第5d
第6d
第7d
模型组
8
7.50±1.60
6.63±1.30
5.25±1.83
4.00±1.69
2.63±1.06
1.50±0.93
1.00±0.76
, 百拇医药
脑复康组
8
4.50±1.87*
4.33±1.63*
3.33±1.63*
1.50±1.05*
1.17±0.75*
0.67±0.52*
0.33±0.52*
中药A组
, 百拇医药
8
3.63±1.41**
2.50±0.93**Δ
1.75±0.89**
1.13±0.83**
1.00±0.76*
0.38±0.52*
0.25±0.46*
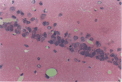
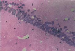
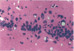
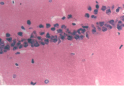
注:与模型组比较:*P<0.05,**P<0.01;与脑复康组比较:ΔP<0.05。 2 补肾活血中药对痴呆大鼠血浆和脑组织(海马、皮质)中神经肽AVP、SS含量的影响(见封三图)
, 百拇医药
图1 正常对照组海马 CA1区锥体细胞排列整齐而致密 HE×132
图2 假手术7天组海马CA1区锥体细胞数目和形态同正常组 HE×132
图3 VD模型7天组海马CA区锥体细胞排列紊乱,脱失严重,胞核浓染 HE×132
图4 中药防治7天组海马CA1神经元排列较规则,细胞较规则,细胞轻度脱失,部分胞染变深 HE×132
表3 药物对痴呆大鼠血浆中AVP、SS含量的影响x±s(pg/ml) 组 别
, http://www.100md.com
例数
AVP
SS
模型组
8
26.73±9.34
12.47±4.15
脑复康组
8
77.95±5.58**
39.78±8.79**
中药A组
, http://www.100md.com
8
87.83±8.40**Δ
51.96±5.78**Δ
注:与模型组比较:**P<0.01;与脑复康组比较:ΔP<0.05。 由表3、表4、表5可以看出,中药组与脑复康组大鼠血浆、脑组织(海马、皮质)中AVP、SS含量均明显高于模型组(P<0.01),且中药组以上含量又明显高于脑复康组(P<0.05或P<0.01)。
表4 药物对痴呆大鼠海马AVP、SS含量的影响x±s(pg/mg脑组织湿重) 组 别
例数
AVP
, 百拇医药 SS
模型组
8
10.56±4.10
44.86±6.60
脑复康组
8
41.55±8.83**
88.62±8.65**
中药A组
8
75.76±8.26**ΔΔ
, 百拇医药
106.47±9.51**Δ
注:与模型组比较:**P<0.01;与脑复康组比较:ΔP<0.05;ΔΔP<0.01。表5 药物对痴呆大鼠皮质AVP、SS含量的影响x±s(pg/mg脑组织湿重) 组 别
例数
AVP
SS
模型组
8
9.31±1.86
27.93±5.91
脑复康组
, 百拇医药
8
40.16±5.32**
64.66±28.71**
中药A组
8
59.94±6.63**Δ
88.04±4.44**Δ
注:与模型组比较:**P<0.01;与脑复康组比较:ΔP<0.05。讨论
1 补肾活血中药对VD大鼠学习记忆能力具有改善作用
, 百拇医药
VD与多次发作的脑缺血有关,其中以MID最多见。而认知功能包括学习、记忆和思维等内容,所以目前常把学习记忆能力的改善作为评价智能的主要指标。学习和记忆是大脑高级功能活动不可分割的两个方面,学习是记忆的基础,记忆是学习的巩固和再现。本实验结果显示,补肾活血中药能明显改善VD大鼠学习记忆能力,且疗效与目前国内外公认的“促智药物”脑复康相近。
2 补肾活血中药能提高VD大鼠血浆、脑组织(海马、皮质)中神经肽AVP、SS的含量
神经肽广泛分布于体内,具有神经递质的典型特征。神经肽AVP、SS属于神经内分泌激素,具有神经递质和激素的双重作用。近年来许多研究表明AVP、SS参与学习记忆过程,且在VD发病中起着不可忽视的作用。AVP除具有激素多方面的生理功能外,还是学习记忆的调节器,并能有理智的加工信息,巩固记忆和形成条件反射。SS系统与中枢胆碱能系统有密切关系。已有研究表明,SS阳性神经突起和胆碱乙酰转移酶(CHAT)阳性的大型神经元之间形成丰富的神经突触,推测SS系统接受胆碱能系统的传入,参与中枢胆碱系统对学习记忆的调节[3]。
, 百拇医药
AVP、SS在海马、皮质中含量很高,特别是海马环路与学习记忆密切相关。鼠脑皮质、海马、丘脑等都是对缺血损伤敏感的区域[4],并已发现痴呆患者的皮质、底节、边缘系统中SS含量下降[5、6]。
李小刚等报道缺血性认知障碍大鼠多个脑区(皮质、海马)丘脑和纹状体)中AVP、SS均下降[7]。并发现MID患者血浆中AVP、SS含量较健康人和无痴呆多发脑梗塞患者均降低,且随痴呆程度加重,其含量有递减趋势[8]。从本实验对VD大鼠血浆及脑组织(海马、皮质)中AVP、SS含量的测定可以看出,中药组和脑复康组均明显高于模型组(P<0.01),其中中药组又显著高于脑复康组(P<0.05或P<0.01),说明补肾活血中药及脑复康均能提高VD大鼠血浆及脑组织中AVP、SS含量,且中药优于脑复康。
VD属于中医学“文痴”、“善忘”、“郁证”等范畴,病位在脑,多属本虚标实、肾精亏虚、髓海不足为本,痰浊瘀血阻闭清窍为标。治法主要有补肾益脑,活血化瘀,涤痰开窍等。目前,临床治疗辨证灵活,处方用药规范不足,疗效很难统一。清代名医徐灵胎曾说:“一病必有一主方,一方必有一主药。”因此辨证论治应与专病专方专药相结合。基于此我们对醒脑胶囊进行拆方筛选,以期找到治疗VD的主要药物并探讨VD的中医主要病机。通过智能测试发现其中补肾活血中药改善MID大鼠学习记忆能力效果最优,提示肾精亏虚,瘀血阻滞脑络可能是VD的主要病机。本研究以脑复康为对照,通过对MID大鼠智能测试及血浆、脑组织中AVP、SS含量的变化可以看出,补肾活血中药能明显改善MID大鼠学习记忆能力,疗效与脑复康相近。且补肾活血中药能明显提高MID大鼠血浆、海马及皮质内AVP、SS含量,并优于脑复康。据此我们推测血浆及脑组织中神经肽AVP、SS水平增高,可能是补肾活血法治疗VD的神经生化基础之一。
, 百拇医药
参考文献
[1]李仪奎.中药药理实验方法学.上海:上海科技出版社,1991.173-175.
[2]陈俊抛,田时雨,于薇薇,等.多发性脑梗塞痴呆动物模型的研究.中华神经精神科杂志,1994,27:311.
[3]吴江,张淑琴,饶明俐,等.无名质区破坏的Wistar大鼠脑内胆碱乙酰转移酶和生长抑素活性的变化及相互关系.中风与神经疾病杂志,1995,12(3):130.
[4]Fujiyoshi K,Suga H,Okamoto K,et al.Reduction of arginine vasopressin in the cerebral cortex in Algheimer type senile dementia.J Neurol Neurosury Psychiatry,1987,50:929.
, 百拇医药
[5]Davies P,terry RD.Cortical somatostatin-like immunoreactivity in cases of Algheimer's disease and senile dementia of the Algheimer type.Neurobiol Aging,1981,2:9.
[6]Rossor MN,Iversen LL,Reynolds GP,et al.Neurochemical characteristics of early and late onset types of Algheimers's disease.Br Med J [Clin Res],1984,288:961.
[7]李小刚,黄克维,汤洪川.缺血性认知障碍大鼠多脑区内神经肽含量的变化.中华神经科杂志,1996,29(2):75.
[8]李小刚,汤洪川,黄克维,等.多发梗塞性痴呆患者血浆和脑脊液中若干神经肽含量的变化.中华神经精神科杂志,1995,28(2):70.
收稿日期:1999-04-18
修回日期:1999-08-12, 百拇医药
单位:陈松盛(西安医科大学第二附属医院老年病科,陕西 西安 710004);王敬卿(西安医科大学第二附属医院老年病科,陕西 西安 710004);李锐(西安医科大学第二附属医院老年病科,陕西 西安 710004);郑清莲(西安医科大学第二附属医院老年病科,陕西 西安 710004);王晋源(西安医科大学第二附属医院老年病科,陕西 西安 710004)
关键词:痴呆/血管性;中药;精氨酸;加压素;生长抑素
中国中医基础医学杂0001114 摘要:在MID动物模型上,以西药脑复康为对照,采用水迷宫和放免法观察了醒脑胶囊主要成份补肾活血药物对痴呆大鼠学习记忆能力及脑组织(海马、皮质)中神经肽AVP、SS含量的影响。结果:中药组和脑复康组大鼠游迷宫所需时间和错误次数均明显少于模型组(P<0.05或P<0.01),其中中药组大鼠游全程时间显著少于脑复康组(P<0.05或P<0.01),错误次数与脑复康组无显著性差异(P>0.05)。同时中药组与脑复康组大鼠血浆、脑组织(海马、皮质)中AVP、SS含量均显著高于模型组(P<0.01),且中药组AVP、SS含量又明显高于脑复康组(P<0.05或P<0.01)。提示补肾活血中药能明显改善VD大鼠学习记忆能力,疗效与脑复康相近。同时补肾活血中药能显著提高VD大鼠血浆、脑组织(海马、皮质)中神经肽AVP、SS含量,且优于脑复康。推测血浆及脑组织中神经肽AVP、SS含量的提高可能是中医补肾活血法治疗VD的神经生化基础之一。
, http://www.100md.com
中图分类号:R285.5 文献标识码:B
文章标号:1006-3250(2000)01-0070-04
An Experimental Study of Treating the Vascular Dementia with TCM
Preparation of Invigorating the kidney and Removing Blood Stasis
Cheng Songsheng Wang Jingqing Li Rui Zheng Qinglian Wang Jinyuan
Abstract:Based on the MID rats,contrasting with Piracetam,a learning and practising of distinguishing task by water maze test was performed to assess the rats' learning and memorizing abilities,and meanwhile,two neuropeptides,Arginine Vasopressin (AVP) and Somatostatin (SS) in plasma,hippocampus and cerebral cortex of the MID rats were measured by means of radioimmunoassay (RIA) to provide neurochemical evidences.Results:(1)TCM preparation improves the learning and memorizing dysfunction more effectively than Piracetam as indicated by accomplishing time and mistakes (P<0.05 or P<0.01);(2)AVP and SS concentrations in plasma,hippocampus and cortex in TCM preparation are significantly higher than those in Piracetam group (P<0.05 or P<0.01).It suggests that (1)TCM preparation of invigorating the kidney and removing blood stasis can effectively improre learning and memorizing impairments of MID rats,with similar efficacy to Piracetam;(2)this preparaton can elevate AVP and SS concentration in plasma,hippocampus and cortex of MID rats;(3)the elevation of AVP and SS concentrations in plasma and brain tissue may be one of the neurochemical bases on principle of invigorating the kidney and removing blood stasis.
, 百拇医药
Key words:Vascular Dementia;Arginine Vasopressin;Somatostatin;Traditional Chinese Medicine
血管性痴呆(Vascular dementia,VD)是指由于脑血管病引起的认知功能障碍。近年来,随着人口老龄化和脑血管病发病率的增高,VD发病有上升趋势,在我国和日本VD约占全部痴呆患者的50%~70%,严重威胁着老年人的健康和生存质量。迄今为止尚未找到理想的改善智能的抗痴呆药物。
醒脑胶囊是王晋源教授根据多年临床经验研制而成的纯中药制剂,用于治疗VD取得了较好疗效,并进行了初步实验研究,通过拆方筛选得知其中补肾活血中药为治疗VD的主要成分。本研究采用水迷宫和放射免疫法观察补肾活血中药对MID大鼠学习记忆能力以及血浆和脑组织(海马、皮质)中神经肽AVP(Arginine Vasopressin)、SS(Somatostatin)含量的影响,旨在以智能改变和神经生化变化探讨补肾活血中药治疗VD的实验室机制。
, http://www.100md.com
材料与方法
1 材料
1.1 动物
选用10~12月龄,体重378g±32g雄性SD大鼠,由西安医科大学动物实验中心提供。
1.2 药物及制备
补肾活血中药由制首乌、银杏叶、益智仁、羊脑粉、丹参、生山楂等组成,药物购自西安市药材公司中药饮片部。制备前均经鉴定,由西安医科大学一附院药剂科提供浓缩煎剂,浓度为1.925 g生药/ml。对照用西药脑复康(Piracetar),由西安医科大学一附院药剂科生产,400mg/片,实验浓度为90mg/ml。
1.3 主要仪器及试剂
Y型水迷宫由西安医科大学实验设备修配厂制作提供。AVP、SS放免药盒由上海第二军医大学神经生物研究室提供。
, 百拇医药
2 方法
2.1 动物模型的建立与分组
采用陈俊抛改进方法[2]。
2.1.1 微血栓的制备
取同种、同性别、同月龄的SD大鼠颈动脉血,无菌条件下37℃恒温干燥,将干燥后的血凝块研碎后经200μm及100μm铜筛过筛后备用。应用时用生理盐水0.5ml加血凝块100mg制成混悬液,显微镜下测量其直径在100μm~200μm之间。
2.1.2 MID动物模型的复制
取12月龄(体重在378±32克的雄性)SD大鼠,饲养1周后,用20%乌拉坦麻醉(1.0g/kg体重,腹腔注射,常规无菌手术,分离,暴露左侧颈总动脉,仔细分离颈内、外动脉,用金属夹暂时夹闭左侧颈总动脉,于左颈外动脉逆行插管,缓慢注入微血栓——生理盐水混悬液(200mg/ml)1.5ml/kg体重后,立即结扎颈外动脉,同时放开颈总动脉夹,使血栓通过颈内动脉进入颅内,造成多发性脑梗塞。术后逐层缝合,肌注青霉素抗感染。
, http://www.100md.com
2.1.3 动物模型的筛选标准
每只经过手术的大鼠在术后3 d进行避暗试验训练,使之达到5min内留在明室而不进入暗室作为学会标准。24h后再次进行避暗试验,记录其潜伏期(从放入明室到进入暗室的时间。凡潜伏期大于3min者表明其记忆受损不明显,被剔除实验。潜伏期小于3min者被正式纳入本实验,结果有24只大鼠入选。
2.1.4 动物分组
将造模成功的MID大鼠24只随机分为3组:模型组、脑复康组及中药组,每组8只。模型组以等量生理盐水灌胃,中药组与脑复康组分别以补肾活血中药及脑复康水溶液灌胃,剂量为11.4ml/kg.次,每天2次,共20d。
2.2 观察指标及方法
2.2.1 学习记忆能力的测定
, 百拇医药
采用水迷宫法[1]。
2.2.2 血浆、脑组织中神经肽AVP、SS的测定
采用放射免疫法。
脑组织(海马、皮质)中神经肽的提取:大鼠称重后,在尽量安静的情况下,迅速断头,尽快取下全脑,在沸生理盐水中煮5min,以灭活酶类,保持神肽的稳定。分离出左侧海马、皮质并称重。将海马、皮质分别置于玻璃匀浆器内,加入1mol/L HCl 1ml,充分匀浆后倒入塑料指形管中,在室温中放置100min,使生物活性肽充分溶解在酸中。再加入1mol/L NaOH 1ml以中和酸。离心(4000rpm/min,10min)取上清,低温(-20℃以下)保存待测。
血浆的处理:采用血浆直接测定法。准确采集全血2ml,注入预冷的、加有(a)抗凝剂0.3mol/L EDTA-2Na溶液(每ml全血加入20μl)及(b)抑肽酶(每ml全血加入500单位)的塑料指形管中,混匀,迅速低温离心,取血浆低温(-20℃以下)保存待测。测定AVP不加抑肽酶。
, http://www.100md.com
神经肽AVP、SS检测采用平衡饱和加样程序。
3 统计学处理
实验数据均用x+s表示。用SASS统计软件包统计学处理方法。各组均数比较用q检验法,全部采用双侧检验。
结果
1 补肾活血中药对痴呆大鼠学习记忆能力的影响
1.1 对学习与记忆能力的影响
由表1、表2结果显示,中药组和脑复康组大鼠游迷宫所需时间和途中进入盲端的错误次数均明显少于模型组(P<0.05或P<0.01),但中药组和脑复康组在两项指标的测定中差异无显著性(P>0.05)。
连续7d的水迷宫试验中,大鼠从第2d起的测试成绩,既是前一天的记忆成绩,又是当天的学习成绩。由表1、表2可以看出,在接下来6d的连续测试中,中药组和脑复康组大鼠游迷宫所需时间和错误数均明显少于模型组(P<0.05或P<0.01),其中中药组大鼠游全程时间显著少于脑复康组(P<0.05或P<0.01),错误次数与脑复康组相比差异无显著性(P>0.05)。
, http://www.100md.com
表1 药物对痴呆大鼠游迷宫所需时间的影响x±s(s) 组 别
例数
第1d
第2d
第3d
第4d
第5d
第6d
第7d
模型组
8
82.96±10.14
, 百拇医药 73.41±5.56
58.94±4.94
50.96±7.85
49.10±8.79
38.71±6.96
30.66±7.08
脑复康组
8
70.07±5.76*
66.95±4.75*
53.58±4.84*
, http://www.100md.com
39.42±2.56*
29.50±2.29**
21.48±3.07**
12.87±2.35**
中药A组
8
62.48±6.33**
51.36±5.61**Δ
41.94±3.71*Δ
32.38±4.02**
, 百拇医药
24.23±4.88**
15.04±3.81**Δ
72.24±2.29**ΔΔ
注:与模型组比较:*P<0.05,**P<0.01;与脑复康组比较:ΔP<0.05,ΔΔP<0.01。表2 药物对痴呆大鼠游迷宫错误次数的影响x±s(次) 组 别
例数
第1d
第2d
第3d
第4d
, 百拇医药
第5d
第6d
第7d
模型组
8
7.50±1.60
6.63±1.30
5.25±1.83
4.00±1.69
2.63±1.06
1.50±0.93
1.00±0.76
, 百拇医药
脑复康组
8
4.50±1.87*
4.33±1.63*
3.33±1.63*
1.50±1.05*
1.17±0.75*
0.67±0.52*
0.33±0.52*
中药A组
, 百拇医药
8
3.63±1.41**
2.50±0.93**Δ
1.75±0.89**
1.13±0.83**
1.00±0.76*
0.38±0.52*
0.25±0.46*
注:与模型组比较:*P<0.05,**P<0.01;与脑复康组比较:ΔP<0.05。 2 补肾活血中药对痴呆大鼠血浆和脑组织(海马、皮质)中神经肽AVP、SS含量的影响(见封三图)
, 百拇医药
图1 正常对照组海马 CA1区锥体细胞排列整齐而致密 HE×132
图2 假手术7天组海马CA1区锥体细胞数目和形态同正常组 HE×132
图3 VD模型7天组海马CA区锥体细胞排列紊乱,脱失严重,胞核浓染 HE×132
图4 中药防治7天组海马CA1神经元排列较规则,细胞较规则,细胞轻度脱失,部分胞染变深 HE×132
表3 药物对痴呆大鼠血浆中AVP、SS含量的影响x±s(pg/ml) 组 别
, http://www.100md.com
例数
AVP
SS
模型组
8
26.73±9.34
12.47±4.15
脑复康组
8
77.95±5.58**
39.78±8.79**
中药A组
, http://www.100md.com
8
87.83±8.40**Δ
51.96±5.78**Δ
注:与模型组比较:**P<0.01;与脑复康组比较:ΔP<0.05。 由表3、表4、表5可以看出,中药组与脑复康组大鼠血浆、脑组织(海马、皮质)中AVP、SS含量均明显高于模型组(P<0.01),且中药组以上含量又明显高于脑复康组(P<0.05或P<0.01)。
表4 药物对痴呆大鼠海马AVP、SS含量的影响x±s(pg/mg脑组织湿重) 组 别
例数
AVP
, 百拇医药 SS
模型组
8
10.56±4.10
44.86±6.60
脑复康组
8
41.55±8.83**
88.62±8.65**
中药A组
8
75.76±8.26**ΔΔ
, 百拇医药
106.47±9.51**Δ
注:与模型组比较:**P<0.01;与脑复康组比较:ΔP<0.05;ΔΔP<0.01。表5 药物对痴呆大鼠皮质AVP、SS含量的影响x±s(pg/mg脑组织湿重) 组 别
例数
AVP
SS
模型组
8
9.31±1.86
27.93±5.91
脑复康组
, 百拇医药
8
40.16±5.32**
64.66±28.71**
中药A组
8
59.94±6.63**Δ
88.04±4.44**Δ
注:与模型组比较:**P<0.01;与脑复康组比较:ΔP<0.05。讨论
1 补肾活血中药对VD大鼠学习记忆能力具有改善作用
, 百拇医药
VD与多次发作的脑缺血有关,其中以MID最多见。而认知功能包括学习、记忆和思维等内容,所以目前常把学习记忆能力的改善作为评价智能的主要指标。学习和记忆是大脑高级功能活动不可分割的两个方面,学习是记忆的基础,记忆是学习的巩固和再现。本实验结果显示,补肾活血中药能明显改善VD大鼠学习记忆能力,且疗效与目前国内外公认的“促智药物”脑复康相近。
2 补肾活血中药能提高VD大鼠血浆、脑组织(海马、皮质)中神经肽AVP、SS的含量
神经肽广泛分布于体内,具有神经递质的典型特征。神经肽AVP、SS属于神经内分泌激素,具有神经递质和激素的双重作用。近年来许多研究表明AVP、SS参与学习记忆过程,且在VD发病中起着不可忽视的作用。AVP除具有激素多方面的生理功能外,还是学习记忆的调节器,并能有理智的加工信息,巩固记忆和形成条件反射。SS系统与中枢胆碱能系统有密切关系。已有研究表明,SS阳性神经突起和胆碱乙酰转移酶(CHAT)阳性的大型神经元之间形成丰富的神经突触,推测SS系统接受胆碱能系统的传入,参与中枢胆碱系统对学习记忆的调节[3]。
, 百拇医药
AVP、SS在海马、皮质中含量很高,特别是海马环路与学习记忆密切相关。鼠脑皮质、海马、丘脑等都是对缺血损伤敏感的区域[4],并已发现痴呆患者的皮质、底节、边缘系统中SS含量下降[5、6]。
李小刚等报道缺血性认知障碍大鼠多个脑区(皮质、海马)丘脑和纹状体)中AVP、SS均下降[7]。并发现MID患者血浆中AVP、SS含量较健康人和无痴呆多发脑梗塞患者均降低,且随痴呆程度加重,其含量有递减趋势[8]。从本实验对VD大鼠血浆及脑组织(海马、皮质)中AVP、SS含量的测定可以看出,中药组和脑复康组均明显高于模型组(P<0.01),其中中药组又显著高于脑复康组(P<0.05或P<0.01),说明补肾活血中药及脑复康均能提高VD大鼠血浆及脑组织中AVP、SS含量,且中药优于脑复康。
VD属于中医学“文痴”、“善忘”、“郁证”等范畴,病位在脑,多属本虚标实、肾精亏虚、髓海不足为本,痰浊瘀血阻闭清窍为标。治法主要有补肾益脑,活血化瘀,涤痰开窍等。目前,临床治疗辨证灵活,处方用药规范不足,疗效很难统一。清代名医徐灵胎曾说:“一病必有一主方,一方必有一主药。”因此辨证论治应与专病专方专药相结合。基于此我们对醒脑胶囊进行拆方筛选,以期找到治疗VD的主要药物并探讨VD的中医主要病机。通过智能测试发现其中补肾活血中药改善MID大鼠学习记忆能力效果最优,提示肾精亏虚,瘀血阻滞脑络可能是VD的主要病机。本研究以脑复康为对照,通过对MID大鼠智能测试及血浆、脑组织中AVP、SS含量的变化可以看出,补肾活血中药能明显改善MID大鼠学习记忆能力,疗效与脑复康相近。且补肾活血中药能明显提高MID大鼠血浆、海马及皮质内AVP、SS含量,并优于脑复康。据此我们推测血浆及脑组织中神经肽AVP、SS水平增高,可能是补肾活血法治疗VD的神经生化基础之一。
, 百拇医药
参考文献
[1]李仪奎.中药药理实验方法学.上海:上海科技出版社,1991.173-175.
[2]陈俊抛,田时雨,于薇薇,等.多发性脑梗塞痴呆动物模型的研究.中华神经精神科杂志,1994,27:311.
[3]吴江,张淑琴,饶明俐,等.无名质区破坏的Wistar大鼠脑内胆碱乙酰转移酶和生长抑素活性的变化及相互关系.中风与神经疾病杂志,1995,12(3):130.
[4]Fujiyoshi K,Suga H,Okamoto K,et al.Reduction of arginine vasopressin in the cerebral cortex in Algheimer type senile dementia.J Neurol Neurosury Psychiatry,1987,50:929.
, 百拇医药
[5]Davies P,terry RD.Cortical somatostatin-like immunoreactivity in cases of Algheimer's disease and senile dementia of the Algheimer type.Neurobiol Aging,1981,2:9.
[6]Rossor MN,Iversen LL,Reynolds GP,et al.Neurochemical characteristics of early and late onset types of Algheimers's disease.Br Med J [Clin Res],1984,288:961.
[7]李小刚,黄克维,汤洪川.缺血性认知障碍大鼠多脑区内神经肽含量的变化.中华神经科杂志,1996,29(2):75.
[8]李小刚,汤洪川,黄克维,等.多发梗塞性痴呆患者血浆和脑脊液中若干神经肽含量的变化.中华神经精神科杂志,1995,28(2):70.
收稿日期:1999-04-18
修回日期:1999-08-12, 百拇医药