支气管颗粒细胞性肌母细胞瘤1例言
作者:朱应昌 刘文清 孔令
单位:朱应昌 刘文清 孔令言(广东省粤北人民医院:肿瘤科,广东韶关512026)
关键词:支气管肿瘤;颗粒细胞性肌母细胞瘤
癌症000543 中图分类号:R734.1文献标识码:D
文章编号:1000-467X(2000)05-0506-01
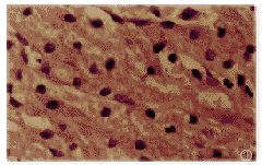
患者,男,22岁,因反复咳嗽、发热3月于1998年10月20日入院。(住院号:312504)。体检右下肺呼吸音减低,余未见明显异常。X片示:右下肺野见大片斑片状阴影,右中叶不张。入院前于9月4日行支气管纤维镜检查见:右中间支气管开口见一菜花样肿物,占据管腔3/4,越过该肿物见右中、下叶粘膜充血、水肿,有多量白色粘稠分泌物,吸净后见管腔通畅。病理活检:形态较符合颗粒细胞性肌母细胞瘤(病理号:84292)。于1998年10月27日在气管插管全麻下行右上肺袖状切除、中间支气管远端与右主支气管端端吻合术。标本解剖:中间支气管开口处肿瘤2cm×2cm×1.5cm,堵塞管腔大部,基底占1/3周径,已侵及支气管全层,并侵及上叶支气管开口。病理报告(病理号:85087):瘤细胞较大,胞浆丰富,含嗜伊红颗粒,胞核小,大小较一致,居中或偏位。支气管颗粒细胞性肌母细胞瘤(图1,2)。
图1肺颗粒细胞瘤:瘤细胞较大,胞浆丰富,含嗜伊红颗粒,胞核小,大小较一致,居中或偏位,HE×400。
图2肺颗粒细胞瘤:瘤组织表面覆盖支气管粘膜上皮,有轻度增生(位于左上角)瘤组织血管扩张充血,两者间有水肿的纤维结缔组织分隔,HE×400。
讨论颗粒细胞性肌母细胞瘤又称颗粒细胞瘤,临床较为罕见,可发生于任何年龄,多发生于皮肤和浅部软组织,光盘检索1983年到1998年国内文献,原发于支气管尚未见报道。自从Abrikossoff首次报道并命名以来,有关其组织发生曾有多种学说:如起源于Schwann细胞,神经周围纤维母细胞,原始的间充质细胞等。最近,通过电镜观察和免疫组化染色,其组织发生已被确定:起源于神经鞘的Schwann细胞[1,2]。
本病多数为良性,常单发,主要依靠手术治疗,预后好,有报道如手术切除彻底,则大部分不复发[3,4]。本例患者术后一月复查,病人自觉良好,无不适,X片示:双肺野清晰,右中叶复张。近期疗效满意,而远期疗效还有待进一步随诊观察。
[参考文献]
1,武汉医学院.中山医学院病理学教研室主编.外科病理学[M].上册.武汉:湖北人民出版社,1978:531~532.
2,施作霖,赵春利,林振石,等.颗粒细胞性肌母细胞瘤的组织发生探讨[J].中华肿瘤杂志,1990.12(6):481.
3,王德延主编.肿瘤病理诊断[M].第一版.天津:天津科学技术出版社,1987:258~259.
4,华积德主编.肿瘤外科学[M].第一版.北京:人民军医出版社,1995:1032~1033.
收稿日期:1999-08-03;修回日期:1999-08-17, 百拇医药
单位:朱应昌 刘文清 孔令言(广东省粤北人民医院:肿瘤科,广东韶关512026)
关键词:支气管肿瘤;颗粒细胞性肌母细胞瘤
癌症000543 中图分类号:R734.1文献标识码:D
文章编号:1000-467X(2000)05-0506-01
患者,男,22岁,因反复咳嗽、发热3月于1998年10月20日入院。(住院号:312504)。体检右下肺呼吸音减低,余未见明显异常。X片示:右下肺野见大片斑片状阴影,右中叶不张。入院前于9月4日行支气管纤维镜检查见:右中间支气管开口见一菜花样肿物,占据管腔3/4,越过该肿物见右中、下叶粘膜充血、水肿,有多量白色粘稠分泌物,吸净后见管腔通畅。病理活检:形态较符合颗粒细胞性肌母细胞瘤(病理号:84292)。于1998年10月27日在气管插管全麻下行右上肺袖状切除、中间支气管远端与右主支气管端端吻合术。标本解剖:中间支气管开口处肿瘤2cm×2cm×1.5cm,堵塞管腔大部,基底占1/3周径,已侵及支气管全层,并侵及上叶支气管开口。病理报告(病理号:85087):瘤细胞较大,胞浆丰富,含嗜伊红颗粒,胞核小,大小较一致,居中或偏位。支气管颗粒细胞性肌母细胞瘤(图1,2)。
图1肺颗粒细胞瘤:瘤细胞较大,胞浆丰富,含嗜伊红颗粒,胞核小,大小较一致,居中或偏位,HE×400。
图2肺颗粒细胞瘤:瘤组织表面覆盖支气管粘膜上皮,有轻度增生(位于左上角)瘤组织血管扩张充血,两者间有水肿的纤维结缔组织分隔,HE×400。
讨论颗粒细胞性肌母细胞瘤又称颗粒细胞瘤,临床较为罕见,可发生于任何年龄,多发生于皮肤和浅部软组织,光盘检索1983年到1998年国内文献,原发于支气管尚未见报道。自从Abrikossoff首次报道并命名以来,有关其组织发生曾有多种学说:如起源于Schwann细胞,神经周围纤维母细胞,原始的间充质细胞等。最近,通过电镜观察和免疫组化染色,其组织发生已被确定:起源于神经鞘的Schwann细胞[1,2]。
本病多数为良性,常单发,主要依靠手术治疗,预后好,有报道如手术切除彻底,则大部分不复发[3,4]。本例患者术后一月复查,病人自觉良好,无不适,X片示:双肺野清晰,右中叶复张。近期疗效满意,而远期疗效还有待进一步随诊观察。
[参考文献]
1,武汉医学院.中山医学院病理学教研室主编.外科病理学[M].上册.武汉:湖北人民出版社,1978:531~532.
2,施作霖,赵春利,林振石,等.颗粒细胞性肌母细胞瘤的组织发生探讨[J].中华肿瘤杂志,1990.12(6):481.
3,王德延主编.肿瘤病理诊断[M].第一版.天津:天津科学技术出版社,1987:258~259.
4,华积德主编.肿瘤外科学[M].第一版.北京:人民军医出版社,1995:1032~1033.
收稿日期:1999-08-03;修回日期:1999-08-17, 百拇医药