153钐柠檬酸羟基磷灰石滑膜切除术的实验研究
作者:范仰钢 孟济明 潘文舟
单位:范仰钢(武警上海总队医院内一科 201103);孟济明(第二军医大学附属长海医院风湿免疫科);潘文舟(第二军医大学附属长海医院同位素室)
关键词:153钐柠檬酸羟基磷灰 石;滑膜切除术,放射性;关节炎,抗原诱导性
中华风湿病学杂志000611 【摘 要】 目的 研究153钐柠檬酸羟基磷灰石(153Sm-citrate -HA)局部应用对抗原诱导性关节炎的影响,为临床应用提供依据。方法 新西兰兔皮下注射鸡卵蛋白,2周、4周后分别重复注射,6周后关节腔注射鸡卵蛋白形 成抗原诱导性对称关节炎。然后一侧关节分别注射153Sm-citrate-HA 1.85×10 7 Bq或3.7×107 Bq。关节炎以关节直径、关节表面皮肤温度、大体形态学和病理学来评 估。结果 诱导后关节直径、表面温度大幅上升(P<0.05),大 体形态学和病理学见典型滑膜炎。注射153Sm(1.85×107Bq)导致一过性炎症反应 ,7 d后肿胀和局部发热缓解,并持续36 d。153Sm(3.7×107Bq)同样有一过性炎 症反应,7 d后缓解,关节直径和皮肤温度较对侧关节有差异(P<0.05),并一直持续 至处死前未改变。而大体形态学和病理学可见滑膜炎减轻,其指标与对侧相比差异有显著性 (P<0.05)。结论 关节腔注射一定剂量的153Sm-citra te-HA对滑膜炎出现有利效果,可作为治疗慢性关节炎的一种方法,值得进一步研究。
, 百拇医药
Experimental study on radioisotope synovectomy with 153 Sm-citra te-HA
FAN Yanggang MENG Jiming PAN Wenzhou
(First Department of Medicine,Shanghai Hospital of Chinese People′s Armed Police,Shanghai 201103,China)
【Abstract】 Objective Effects of intra-artic ular injection of 153 Sm-citrate-HA on antigen induced arthritis were i nvestigated to provide the theoretical fundation for its clinical application.[ WTHZ〗Methods Rabbit arthritis was induced by subcutaneous injection of ovalbumin at weeks 2 and 4,and by intra-articular injection of it at week 6.Th e dosage of 1.85×107 Bq or 3.7×107 Bq of 153 Sm-citrate-HA was injected separately into a side of knee joint.The severity of arthritis was dete rmined by joint swelling,skin surface temperature,macroscopic and histologic cha nges in joints when the rabbits were killed at week 9 after establishment of mod el.Results Both dosages of 153 Sm have an initial pro-i nflammatory effects during one week after injection,and then resulted in reducti on of joint diameter and skin surface temperature.153Sm (3.7×107 Bq) s howed a more alleviation than 153 Sm (1.85×107 Bq) in respect of macr oscopic and histologic changes.Conclusion Synovectomy with 153 Sm-citrate-HA is effective for treatment of chronic arthritis with depe ndence on the doses and deserves further study.
, 百拇医药
【Key words】 153Sm-citrate-hydroxyaptite; Syno vectomy,radioisotope; Arthritis,antigen-induced
放射性核素滑漠切除术是关节腔内注射含β射线的同位素以抑制滑膜炎症增生,从而保护关 节的一种治疗方法。此种方法简便易行,疗效确切,副作用少。自60年代以来,国外先后选 用不同种类核素,结合于不同载体,使疗效不断提高。新近制作的153钐柠 檬酸羟基磷灰石(153Sm-citrate-HA)制剂,颗粒大小均匀,直径在5~10 μm左右 ,从动物实验中证实其泄漏率低,具有较好的使用前景[1,2]。本实验 观察了局部应用153Sm-citrate-HA对卵蛋白抗 原诱导性实验兔关节炎的影响,以其为临床应用提供依据。
1 材料与方法
, 百拇医药
1.1 药物、试剂、器材及动物
153 Sm-citrate-HA(中国原子能科学院同位素工程技术中心),弗氏不完全佐剂(S igma公司),卡介苗(Sigma公司),鸡卵蛋白(Sigma公司),电子体温计(上海医用仪表厂), 游标卡尺(苏州衡量器厂),新西兰兔,周龄12~13周,体重1.5~2.1 kg(上海第二军医大 学动物中心)。
1.2 诱导关节炎方法
1.2.1 首先制作抗原混合乳剂:将鸡卵蛋白溶液(20 mg/ml)、卡介苗和弗氏不完全佐剂( 三者比例:1 ml∶2 mg∶1 ml)混合在1 500 r/min匀浆器下制成混合乳剂。将上述混合乳剂 1 ml在兔肩胛间区分5个部位皮下注射,第2周及第4周分别加强免疫1次,第6周用双向对流 免疫法检测血清抗体效价,结果均≥1∶8(其中4例为1∶32)。然后双膝关节腔内各注射5 mg 卵蛋白。
, http://www.100md.com
1.2.2 分组及处理方法:共分四组:A组(4例):空白对照组,未作任何处理。B组(6例) :诱导性关节炎,即关节炎阳性对照组。C组(8例):诱导关节炎1周后,左膝关节腔内注射 153Sm-citrate-HA(1.85×107 Bq),右膝关节腔内注射等量生理盐水,即自体 对照1组。D组(7例):诱导关节炎1周后,左膝关节腔内注射153Sm-citrate-HA(3. 7×107 Bq),右膝关节腔内注射等量生理盐水,即自体对照2组。
1.3 关节炎指标测量及结果
1.3.1 关节直径:使用游标卡尺测量关节直径,其方法是关节屈曲时测量3次,取平均数 记录其关节直径值。
1.3.2 关节表面皮肤温度:使用电子体温计测量关节表面皮肤温度,用电风扇吹凉关节2 min后在髌上韧带上方进行测量,测量时室温在20 ℃左右。致敏前B组、C组和D组所有兔双 膝关节周径和皮肤温度平均值分别为(19.2±0.3) cm和(34.7±0.2) ℃,关节腔注射卵 蛋白1周后,未注射153Sm颗粒前其关节直径和皮肤温度平均值分别为(23.4±0.6) cm和(37.8±0.3) ℃,前后对比差异均有显著性(P<0.05)。
, 百拇医药
1.3.3 大体形态学观察:诱导63 d后将兔处死,打开关节腔进行大体形态学观察,并将 滑液、滑膜以及软骨和骨等三项指标分为1~4级[3]。
1.3.4 病理学观察:将关节软组织固定于甲醛液后2周,石蜡包埋,切成5 μm,钙化组 织只浸入含甲酸的甲醛液(Gooding and Stewaed液)中进行脱钙。根据Clayden方法评估是否 完全脱钙。从冠状面切成5 μm切片,HE染色。部分行alcian蓝复染以显示软骨黏多糖。组 织切片用双盲法评估,并将滑膜炎分为5级[3]。
2 结 果
2.1 A组:所有兔关节直径和表面温度值均较稳定。此组兔关节大体观察:滑膜、软骨和 骨评分均为0(见表1),镜下观察可见一层较薄滑膜细胞,仅见个别散在白细胞,少量出 血灶,软骨组织排列成行,用alcian蓝复染色,软骨成蓝色,整齐排列。
, 百拇医药
2.2 B组:经抗原诱导成关节炎,诱导后第1天关节直径和关节表面温度均大幅度上升,以 后逐步下降,至14~21 d达到平台期。另外,两膝关节肿胀与表面温度比较无差异(见表1) 。关节形态学观察,可见滑液产生,滑膜增厚,镜下可见滑膜细胞增生,排列紊乱并有白细 胞浸润,纤维组织增生,部分软骨缺损。
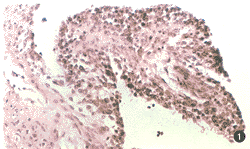
2.3 C组:形成关节炎1周后,左膝注射153Sm颗粒1.85×107 Bq,3 d后出现明 显炎性反应,关节肿胀加剧,表面温度明显升高。至注射后7 d,肿胀和局部发热明显缓解 。至14 d,治疗关节直径和表面温度显著小于对照关节(P<0.05),并持续至第35天。 此后左右膝直径和温度差异无显著性。关节形态学和组织学指标比较,治疗关节均小于对照 关节,但仅滑液一项差异有显著性(见表1)。镜下观察可见治疗关节较对照关节细胞浸润减 少(见图1、2)。
表1 各组关节炎症反应情况(
±s) 组别
, 百拇医药
部位
评估 指标
滑液
滑膜
骨破坏
组织学
A组
左膝
0
0
0
0
右膝
0
, 百拇医药
0
0
0
B组
左膝
3.5±0.3
3.4±0.2
3.4±0.2
4.6 ±0.2
右膝
3.4±0.3
3.5±0.3
3.4±0.3
, 百拇医药
4.4±0 .2
C组
左膝
2.6±0.2*
3.2±0.3
3.2±0.2
4.2 ±0.2
右膝
3.2±0.2
3.5±0.3
3.3±0.2
4.4±0 .2
, 百拇医药
D组
左膝
2.8±0.2*
3.0±0.2*
3.0±0.2*
4.0 ±0.1*
右膝
3.4±0.2
3.4±0.3
3.3±0.2
4.4±0 .2
, http://www.100md.com
注:*左与右膝比较P<0.052.4 D组:在形成关节炎后1周左膝关节注射153Sm颗粒3.7×107 Bq,注射后第3天,同样出现关节肿胀加剧和皮肤温度增高。注射后第7天,肿胀和发热缓解 。至28 d,表面温度和直径显著小于对照关节(P<0.05),并一直保持至处死前。而滑 液、滑膜、软骨和骨破坏各形态学指标及组织学指标与对照关节均存在差异(P<0.05) (见表1)。镜下观察,对照侧滑膜上皮明显增生,大量白细胞浸润及明显血管增生,而治疗 侧仅见滑膜上皮轻度增生,滑膜内少许白细胞浸润(见图3、4)。
3 讨 论
鸡卵蛋白诱导性兔关节炎是类风湿关节炎较好的实验模型之一。在致敏兔关节腔内注射一定 剂量抗原,从而产生免疫复合物沉积在关节滑膜上,注射后数小时,滑膜上大量多形核细胞 浸润。然后诱导细胞介导免疫反应,大量单核细胞浸润,从而形成慢性滑膜炎,滑膜增生。 淋巴细胞生发中心形成针对免疫抗原的独特型抗体[4]。随后,关节软骨上生成血 管翳,侵蚀软骨和骨,其病理过程类似类风湿关节炎。而且,这种动物模型对抗风湿和抗炎 药物的反应性也类似类风湿关节炎[5,6]。
, http://www.100md.com
不论是手术滑膜切除,还是通过注射细胞毒药物或同位素滑膜切除,这一关节局部治疗方法 均已进行研究。虽然关节镜下或开放性滑膜切除均已取得一定经验,但放射性滑膜切除术仍 有其显著的优势,它仅需关节腔注射,操作简便,住院及康复时间短,而且长期预后较手术 为佳,文献[7]报道约60%~80%治疗关节可见明显改善。在有些国家此项技术已成为难治 性关节炎的常用方法。且其技术一直在不断改进和发展。改进的重点在于元素的选择和载体 的制作。理想的制剂具有以下特点:①只含纯β射线,能量适中,射程与滑膜厚度相近。② 载体颗粒大小适中,过大分布不均匀,滑膜切除不完全,过小易泄漏。从各元素来看, 198Au能量,射程适中,但有一定比例γ-射线[8]。90Y为纯β-射线, 但射程长,易损伤软骨[9]。32P是近年来使用较多的元素,但半衰期长达14 d,治疗后炎性反应时间长,康复慢[10]。153Sm元素尚未见临床使用的报 道,153Sm能量、射程适中,153Sm通过柠檬酸(citrate)转换络合在大颗粒羟 基磷灰石(HA)上,颗粒大小适中均匀,泄漏率低[1,2],从本实验来看,因其半衰 期短,其产生的炎性反应时间较短,注射153Sm颗粒的关节,不论是炎症反应如关节 肿胀、发热,还是组织形态学观察均得到有利结果。本实验结果提示,予1.85×107 Bq 剂量时产生近期疗效,可维持数月,而3.7×107 Bq剂量其疗效更长,一直维持至处死前 未改变,滑膜炎症控制较完全,且关节软骨完好,显示有较好效果。
, 百拇医药
图1 C且兔对照关节滑膜组织HE×40
图2 C且兔治疗关节滑膜组织HE×40
图3 D且兔对照关节滑膜组织HE×100
图4 D且兔对照关节滑膜组织HE×100
参 考 文 献
1,金小明,刘跃民,杜进,等.用于放射性滑膜切除术的153Sm- citrate-HA的制备.同位素,1994,7:92-97.
, 百拇医药
2,Chinol M,Vallabhajosula S,Goldsmith SJ,et al.Chemistry and bi ological behavior of Smmarium-153 and Rhenium-186-Labeled hydroxyapatite part icles:potential radiopharma-ceuticals for radiation synovectomy.J Nucl Med,1993 ,34:1536-1542.
3,Foong WC,Green KL.Treatment of antigen-induced arthritis in rabbits with liposome enthapped methothexate injected intra-articularly.J Pharm Pharmacol,1993,54:204-209.
4,Glynn LE.The chronicity of inflammation and its significance in rheumatoid arthritis.Ann Rheum Dis,1968,27:105-121.
, 百拇医药
5,Hunneyball IM.Use of experimental arthritis in the rabbit for the development of anti-arthritic drugs. In:Otterness I,Cape R,Wong S,eds.Adv ance in inflammation research.New York:Raven Press,1984.249-262.
6,Crossley MJ,Spowage M,Hunneyball IM.Studies on the effects of pharmacological agents on antigen-induced arthritis in BALB/c mice.Drug Exptl Clin Res,1987,13:273-277.
7,Lee P.The efficacy and safety of radiosynovectomy.J Rheumatol ,1982,9:2-4.
, 百拇医药
8,Ansell BM,Crook A,Mallard JR,et al.Evaluation of intra-artic ular colloidal gold Au 198 in the treatment of persistent knee effusions.Ann Rhe um Dis,1963,22:435-439.
9,Aguilera S,Dissi T,Donosal I.Radiation synovectomy with Yttr -ium-90 and Rhenium-186 in rheumatoid arthritis, long-term follow-up and ef fects on synovial membrane.Rev Med Chil,1994,122:1283-1288.
10,Onetti CM,Gutierrez E,Hliba E,et al.Synoviorthesis with 32 P-colloidal chromic phosphate in rheumatoid arthritis-clinical,histopa tho-logic and arthrographic changes.J Rheumatol,1982,9:229-238.
收稿日期:1999-12-23, 百拇医药
单位:范仰钢(武警上海总队医院内一科 201103);孟济明(第二军医大学附属长海医院风湿免疫科);潘文舟(第二军医大学附属长海医院同位素室)
关键词:153钐柠檬酸羟基磷灰 石;滑膜切除术,放射性;关节炎,抗原诱导性
中华风湿病学杂志000611 【摘 要】 目的 研究153钐柠檬酸羟基磷灰石(153Sm-citrate -HA)局部应用对抗原诱导性关节炎的影响,为临床应用提供依据。方法 新西兰兔皮下注射鸡卵蛋白,2周、4周后分别重复注射,6周后关节腔注射鸡卵蛋白形 成抗原诱导性对称关节炎。然后一侧关节分别注射153Sm-citrate-HA 1.85×10 7 Bq或3.7×107 Bq。关节炎以关节直径、关节表面皮肤温度、大体形态学和病理学来评 估。结果 诱导后关节直径、表面温度大幅上升(P<0.05),大 体形态学和病理学见典型滑膜炎。注射153Sm(1.85×107Bq)导致一过性炎症反应 ,7 d后肿胀和局部发热缓解,并持续36 d。153Sm(3.7×107Bq)同样有一过性炎 症反应,7 d后缓解,关节直径和皮肤温度较对侧关节有差异(P<0.05),并一直持续 至处死前未改变。而大体形态学和病理学可见滑膜炎减轻,其指标与对侧相比差异有显著性 (P<0.05)。结论 关节腔注射一定剂量的153Sm-citra te-HA对滑膜炎出现有利效果,可作为治疗慢性关节炎的一种方法,值得进一步研究。
, 百拇医药
Experimental study on radioisotope synovectomy with 153 Sm-citra te-HA
FAN Yanggang MENG Jiming PAN Wenzhou
(First Department of Medicine,Shanghai Hospital of Chinese People′s Armed Police,Shanghai 201103,China)
【Abstract】 Objective Effects of intra-artic ular injection of 153 Sm-citrate-HA on antigen induced arthritis were i nvestigated to provide the theoretical fundation for its clinical application.[ WTHZ〗Methods Rabbit arthritis was induced by subcutaneous injection of ovalbumin at weeks 2 and 4,and by intra-articular injection of it at week 6.Th e dosage of 1.85×107 Bq or 3.7×107 Bq of 153 Sm-citrate-HA was injected separately into a side of knee joint.The severity of arthritis was dete rmined by joint swelling,skin surface temperature,macroscopic and histologic cha nges in joints when the rabbits were killed at week 9 after establishment of mod el.Results Both dosages of 153 Sm have an initial pro-i nflammatory effects during one week after injection,and then resulted in reducti on of joint diameter and skin surface temperature.153Sm (3.7×107 Bq) s howed a more alleviation than 153 Sm (1.85×107 Bq) in respect of macr oscopic and histologic changes.Conclusion Synovectomy with 153 Sm-citrate-HA is effective for treatment of chronic arthritis with depe ndence on the doses and deserves further study.
, 百拇医药
【Key words】 153Sm-citrate-hydroxyaptite; Syno vectomy,radioisotope; Arthritis,antigen-induced
放射性核素滑漠切除术是关节腔内注射含β射线的同位素以抑制滑膜炎症增生,从而保护关 节的一种治疗方法。此种方法简便易行,疗效确切,副作用少。自60年代以来,国外先后选 用不同种类核素,结合于不同载体,使疗效不断提高。新近制作的153钐柠 檬酸羟基磷灰石(153Sm-citrate-HA)制剂,颗粒大小均匀,直径在5~10 μm左右 ,从动物实验中证实其泄漏率低,具有较好的使用前景[1,2]。本实验 观察了局部应用153Sm-citrate-HA对卵蛋白抗 原诱导性实验兔关节炎的影响,以其为临床应用提供依据。
1 材料与方法
, 百拇医药
1.1 药物、试剂、器材及动物
153 Sm-citrate-HA(中国原子能科学院同位素工程技术中心),弗氏不完全佐剂(S igma公司),卡介苗(Sigma公司),鸡卵蛋白(Sigma公司),电子体温计(上海医用仪表厂), 游标卡尺(苏州衡量器厂),新西兰兔,周龄12~13周,体重1.5~2.1 kg(上海第二军医大 学动物中心)。
1.2 诱导关节炎方法
1.2.1 首先制作抗原混合乳剂:将鸡卵蛋白溶液(20 mg/ml)、卡介苗和弗氏不完全佐剂( 三者比例:1 ml∶2 mg∶1 ml)混合在1 500 r/min匀浆器下制成混合乳剂。将上述混合乳剂 1 ml在兔肩胛间区分5个部位皮下注射,第2周及第4周分别加强免疫1次,第6周用双向对流 免疫法检测血清抗体效价,结果均≥1∶8(其中4例为1∶32)。然后双膝关节腔内各注射5 mg 卵蛋白。
, http://www.100md.com
1.2.2 分组及处理方法:共分四组:A组(4例):空白对照组,未作任何处理。B组(6例) :诱导性关节炎,即关节炎阳性对照组。C组(8例):诱导关节炎1周后,左膝关节腔内注射 153Sm-citrate-HA(1.85×107 Bq),右膝关节腔内注射等量生理盐水,即自体 对照1组。D组(7例):诱导关节炎1周后,左膝关节腔内注射153Sm-citrate-HA(3. 7×107 Bq),右膝关节腔内注射等量生理盐水,即自体对照2组。
1.3 关节炎指标测量及结果
1.3.1 关节直径:使用游标卡尺测量关节直径,其方法是关节屈曲时测量3次,取平均数 记录其关节直径值。
1.3.2 关节表面皮肤温度:使用电子体温计测量关节表面皮肤温度,用电风扇吹凉关节2 min后在髌上韧带上方进行测量,测量时室温在20 ℃左右。致敏前B组、C组和D组所有兔双 膝关节周径和皮肤温度平均值分别为(19.2±0.3) cm和(34.7±0.2) ℃,关节腔注射卵 蛋白1周后,未注射153Sm颗粒前其关节直径和皮肤温度平均值分别为(23.4±0.6) cm和(37.8±0.3) ℃,前后对比差异均有显著性(P<0.05)。
, 百拇医药
1.3.3 大体形态学观察:诱导63 d后将兔处死,打开关节腔进行大体形态学观察,并将 滑液、滑膜以及软骨和骨等三项指标分为1~4级[3]。
1.3.4 病理学观察:将关节软组织固定于甲醛液后2周,石蜡包埋,切成5 μm,钙化组 织只浸入含甲酸的甲醛液(Gooding and Stewaed液)中进行脱钙。根据Clayden方法评估是否 完全脱钙。从冠状面切成5 μm切片,HE染色。部分行alcian蓝复染以显示软骨黏多糖。组 织切片用双盲法评估,并将滑膜炎分为5级[3]。
2 结 果
2.1 A组:所有兔关节直径和表面温度值均较稳定。此组兔关节大体观察:滑膜、软骨和 骨评分均为0(见表1),镜下观察可见一层较薄滑膜细胞,仅见个别散在白细胞,少量出 血灶,软骨组织排列成行,用alcian蓝复染色,软骨成蓝色,整齐排列。
, 百拇医药
2.2 B组:经抗原诱导成关节炎,诱导后第1天关节直径和关节表面温度均大幅度上升,以 后逐步下降,至14~21 d达到平台期。另外,两膝关节肿胀与表面温度比较无差异(见表1) 。关节形态学观察,可见滑液产生,滑膜增厚,镜下可见滑膜细胞增生,排列紊乱并有白细 胞浸润,纤维组织增生,部分软骨缺损。
2.3 C组:形成关节炎1周后,左膝注射153Sm颗粒1.85×107 Bq,3 d后出现明 显炎性反应,关节肿胀加剧,表面温度明显升高。至注射后7 d,肿胀和局部发热明显缓解 。至14 d,治疗关节直径和表面温度显著小于对照关节(P<0.05),并持续至第35天。 此后左右膝直径和温度差异无显著性。关节形态学和组织学指标比较,治疗关节均小于对照 关节,但仅滑液一项差异有显著性(见表1)。镜下观察可见治疗关节较对照关节细胞浸润减 少(见图1、2)。
表1 各组关节炎症反应情况(
, 百拇医药
部位
评估 指标
滑液
滑膜
骨破坏
组织学
A组
左膝
0
0
0
0
右膝
0
, 百拇医药
0
0
0
B组
左膝
3.5±0.3
3.4±0.2
3.4±0.2
4.6 ±0.2
右膝
3.4±0.3
3.5±0.3
3.4±0.3
, 百拇医药
4.4±0 .2
C组
左膝
2.6±0.2*
3.2±0.3
3.2±0.2
4.2 ±0.2
右膝
3.2±0.2
3.5±0.3
3.3±0.2
4.4±0 .2
, 百拇医药
D组
左膝
2.8±0.2*
3.0±0.2*
3.0±0.2*
4.0 ±0.1*
右膝
3.4±0.2
3.4±0.3
3.3±0.2
4.4±0 .2
, http://www.100md.com
注:*左与右膝比较P<0.052.4 D组:在形成关节炎后1周左膝关节注射153Sm颗粒3.7×107 Bq,注射后第3天,同样出现关节肿胀加剧和皮肤温度增高。注射后第7天,肿胀和发热缓解 。至28 d,表面温度和直径显著小于对照关节(P<0.05),并一直保持至处死前。而滑 液、滑膜、软骨和骨破坏各形态学指标及组织学指标与对照关节均存在差异(P<0.05) (见表1)。镜下观察,对照侧滑膜上皮明显增生,大量白细胞浸润及明显血管增生,而治疗 侧仅见滑膜上皮轻度增生,滑膜内少许白细胞浸润(见图3、4)。
3 讨 论
鸡卵蛋白诱导性兔关节炎是类风湿关节炎较好的实验模型之一。在致敏兔关节腔内注射一定 剂量抗原,从而产生免疫复合物沉积在关节滑膜上,注射后数小时,滑膜上大量多形核细胞 浸润。然后诱导细胞介导免疫反应,大量单核细胞浸润,从而形成慢性滑膜炎,滑膜增生。 淋巴细胞生发中心形成针对免疫抗原的独特型抗体[4]。随后,关节软骨上生成血 管翳,侵蚀软骨和骨,其病理过程类似类风湿关节炎。而且,这种动物模型对抗风湿和抗炎 药物的反应性也类似类风湿关节炎[5,6]。
, http://www.100md.com
不论是手术滑膜切除,还是通过注射细胞毒药物或同位素滑膜切除,这一关节局部治疗方法 均已进行研究。虽然关节镜下或开放性滑膜切除均已取得一定经验,但放射性滑膜切除术仍 有其显著的优势,它仅需关节腔注射,操作简便,住院及康复时间短,而且长期预后较手术 为佳,文献[7]报道约60%~80%治疗关节可见明显改善。在有些国家此项技术已成为难治 性关节炎的常用方法。且其技术一直在不断改进和发展。改进的重点在于元素的选择和载体 的制作。理想的制剂具有以下特点:①只含纯β射线,能量适中,射程与滑膜厚度相近。② 载体颗粒大小适中,过大分布不均匀,滑膜切除不完全,过小易泄漏。从各元素来看, 198Au能量,射程适中,但有一定比例γ-射线[8]。90Y为纯β-射线, 但射程长,易损伤软骨[9]。32P是近年来使用较多的元素,但半衰期长达14 d,治疗后炎性反应时间长,康复慢[10]。153Sm元素尚未见临床使用的报 道,153Sm能量、射程适中,153Sm通过柠檬酸(citrate)转换络合在大颗粒羟 基磷灰石(HA)上,颗粒大小适中均匀,泄漏率低[1,2],从本实验来看,因其半衰 期短,其产生的炎性反应时间较短,注射153Sm颗粒的关节,不论是炎症反应如关节 肿胀、发热,还是组织形态学观察均得到有利结果。本实验结果提示,予1.85×107 Bq 剂量时产生近期疗效,可维持数月,而3.7×107 Bq剂量其疗效更长,一直维持至处死前 未改变,滑膜炎症控制较完全,且关节软骨完好,显示有较好效果。
, 百拇医药
图1 C且兔对照关节滑膜组织HE×40
图2 C且兔治疗关节滑膜组织HE×40
图3 D且兔对照关节滑膜组织HE×100
图4 D且兔对照关节滑膜组织HE×100
参 考 文 献
1,金小明,刘跃民,杜进,等.用于放射性滑膜切除术的153Sm- citrate-HA的制备.同位素,1994,7:92-97.
, 百拇医药
2,Chinol M,Vallabhajosula S,Goldsmith SJ,et al.Chemistry and bi ological behavior of Smmarium-153 and Rhenium-186-Labeled hydroxyapatite part icles:potential radiopharma-ceuticals for radiation synovectomy.J Nucl Med,1993 ,34:1536-1542.
3,Foong WC,Green KL.Treatment of antigen-induced arthritis in rabbits with liposome enthapped methothexate injected intra-articularly.J Pharm Pharmacol,1993,54:204-209.
4,Glynn LE.The chronicity of inflammation and its significance in rheumatoid arthritis.Ann Rheum Dis,1968,27:105-121.
, 百拇医药
5,Hunneyball IM.Use of experimental arthritis in the rabbit for the development of anti-arthritic drugs. In:Otterness I,Cape R,Wong S,eds.Adv ance in inflammation research.New York:Raven Press,1984.249-262.
6,Crossley MJ,Spowage M,Hunneyball IM.Studies on the effects of pharmacological agents on antigen-induced arthritis in BALB/c mice.Drug Exptl Clin Res,1987,13:273-277.
7,Lee P.The efficacy and safety of radiosynovectomy.J Rheumatol ,1982,9:2-4.
, 百拇医药
8,Ansell BM,Crook A,Mallard JR,et al.Evaluation of intra-artic ular colloidal gold Au 198 in the treatment of persistent knee effusions.Ann Rhe um Dis,1963,22:435-439.
9,Aguilera S,Dissi T,Donosal I.Radiation synovectomy with Yttr -ium-90 and Rhenium-186 in rheumatoid arthritis, long-term follow-up and ef fects on synovial membrane.Rev Med Chil,1994,122:1283-1288.
10,Onetti CM,Gutierrez E,Hliba E,et al.Synoviorthesis with 32 P-colloidal chromic phosphate in rheumatoid arthritis-clinical,histopa tho-logic and arthrographic changes.J Rheumatol,1982,9:229-238.
收稿日期:1999-12-23, 百拇医药