经阴道彩色多普勒超声对妇科盆腔肿块的诊断价值
作者:叶新民 吴永华 王晓红 周明华
单位:浙江省庆元县人民医院超声科,浙江庆元323800
关键词:盆腔肿瘤;超声检查;多普勒;彩色
中国临床医学影像杂志000227
[中图分类号]R737.3;R445.1 [文献标识码]A [文章编号]1008-1062(2000)02-0145-02
Diagnostic value of transvaginal CDFI in gynaecological pelvic tumors
YE Xin-Min,WU Yong-Hua, WANG Xiao-hong,ZHOU Min-hua
, http://www.100md.com
Department of Ultrasound,Qingyuan Hospital ,Qingyuan Zhejiang 323800,China
经阴道彩色多普勒超声(TVCDI)是近几年发展起来的一种崭新的超声技术,已广泛用于妇科盆腔肿块的检查和诊断,使妇科盆腔肿块的术前定位和定性正确率大大超过了以往经腹超声(TAUS),其准确率和优越性可与CT媲美。本文就我院1994年1月~1998年12月通过TVCDI检查及手术病理证实的109例妇科盆腔肿块和CT检查进行对照评估,目的在于探讨TVCDI在妇科盆腔肿块的诊断价值。
1资料和方法
1.1病例选择
109例均为住院病例,其中进行TVCDI检查的69例,接受TAUS+CT检查的40例。年龄19~63岁,平均年龄为37.8岁。临床症状大多表现为腰疼,月经不规则,经期延长,下腹沉坠感,部分病例自扪及下腹块。109例中,子宫肌瘤33例,畸胎瘤22例,附件囊肿扭转18例,盆腔炎性包块3例,盆腔脓肿4例,输卵管积液10例,卵巢肿瘤6例,陈旧性宫外孕包块13例。
, 百拇医药
1.2使用仪器
美国百胜4000-Au彩色多普勒实时超声诊断仪,阴道探头频率6.5MHz。
1.3检查方法
取膀胱截石位,用一次性避孕套罩住阴道探头(遇阴道流血者用消毒套),套内外均涂以消毒耦合剂,为了顺应骨盆的倾斜度与子宫的各种位置,操作时将探头柄倾斜,以使顶端换能器发射的声束能向任何方位移动;推拉探头柄以使深部或较近的肿块进入聚焦区,旋转探头柄观察全部盆腔结构。
1.4观察内容
以盆腔纵切、横切和靶器官定位扫描三种扫描方式,观察子宫位置、形态、双侧附件,重点探测盆腔肿块的位置、大小、形态、声学特征和周边组织的关系。然后以彩色多普勒血流显像(CDFI)观察肿块的血供情况,寻找可疑肿块有无营养动脉。必要时测定子宫动脉或卵巢动脉的收缩期峰值流速(PSV)和阻力指数(RI)等。
, http://www.100md.com
2结果
109例中,69例TVCDI检出盆腔各类肿块76个,术后发现肿块78个;40例经TAUS检查后接受CT检查的检出肿块45个,术后发现肿块47个。二种技术检出率比较接近,其关系综合X2计算无显著差别(P>0.05)。
69例接受TVCDI检查术前定位准确者65例,定性正确者61例;40例接受TAUS+CT检查术前定位37例,定性36例。
3讨论
3.1TVCDI的价值
盆腔肿块的内部结构可分为囊性、实性和囊实性三种[1,3]。TVCDI检查盆腔肿块的特点[2,5,6]是其探头频率高,使子宫、宫颈、双附件及肿块等均在近区范围内显示,容易发现较小病灶。CDFI可清晰地显示肿块内部及周边的血供情况,可借此分析肿块是良性还是恶性。韩卫红等[3]报道51例盆腔肿块,TAUS检测各类肿块61个,阴道超声(TVUS)检出89个,二种技术检出率有显著性差异(P>0.01)。本文统计的TVCDI69例盆腔肿块,手术符合率达97.43%,也证实了TVCDI诊断盆腔肿块的可靠性和其实用价值。
, 百拇医药
表1TVCDI与CT检查结果对照
组别
例数
检出包块个数
手术证实数
病种及例数
子宫肌瘤
畸胎瘤
卵巢囊肿
炎性包块
盆腔腔肿
输卵管积液
卵巢肿瘤
, http://www.100md.com
陈旧性宫外孕
手术符合率%
TVCDI
69
76
78
19
12
12
3
2
8
3
, http://www.100md.com 10
97.43
CT
40
45
47
14
10
6
0
2
2
3
3
, http://www.100md.com
95.74
P值
>0.05
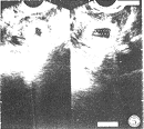
图1多发性子宫肌瘤,肿瘤大小为6.5cm×5.5cm×5.4cm,RI0.56。
图2左卵巢囊腺瘤,肿块大小为5.2cm×4.0cm×3.8cm。
图3右卵巢畸胎瘤,肿块大小为5.0cm×3.7cm×3.3cm。
, http://www.100md.com
图4陈旧性宫外孕,肿块大小为4.8cm×3.9cm×3.4cm。
3.2TVCDI与CT对妇科盆腔肿块检查比较
由于超声无离子辐射和易取得纵轴和横轴的扫描图,能准确地分辨肿块囊性和实质性病变(见图3,4)。CDFI能观察和测定肿块周边、内部及分隔的血流状况,并以此测定多普勒频谱数值(见图1),已成为检测妇科盆腔肿块的主要手段之一[2,5]。本组69例术前TVCDI其检出大小肿块76个,手术发现78个,TVCDI敏感性为97.45%(76/78),假阴性率为2.55%。手术病理证实69例病人中,术前诊断定位和定性符合率分别为94.2%(65/69)和88.4%(61/69)。其中3例卵巢肿瘤定性准确率为100%(1例为囊腺瘤,2例为浆液性囊腺癌)。TVCDI表现在恶性肿瘤内部及周边有较丰富的血管网状结构(见图2),1例在肿瘤分隔检出了新生血管,RI<0.5。40例TAUS+CT检查共检出肿块45个(其中3个为腹膜后肿大的淋巴结),手术发现47个,CT敏感性为95.74%(45/47),稍低于TVCDI检查。假阴性率为4.26%,略高于TVCDI检查。术前CT定位和定性率分别为92.5%(37/40)和90%(36/40),总定性率略高于TVCDI检查。
, 百拇医药
TVCDI对盆腔肿块的检出率较高,且定位准确,恶性肿瘤可用多普勒信息辅诊,可提高确诊率[5,6]。CT有较高的密度分辨率和空间分辨率,对盆腔的定位和定性的精确度具有它的独到之处[4]。它较超声能检出直径<1.0cm的小肿块,特别是盆腔恶性肿瘤,临床分期不清时,CT能较准确地与以分期,寻找淋巴结腹腔转移和其他器官转移的证据,从而指导临床治疗。为此,对于盆腔晚期癌肿及不宜行TVCDI检查的盆腔肿块患者,CT检查是最有帮助和最有价值的。
综上所述,对于妇科盆腔肿块的诊断,由于TVCDI不需充盈膀胱,检查便捷价廉,准确率高,病人乐于接受,可作为首选和常规检查。CT主要用于进一步明确肿块的性质,恶性肿瘤的分期及评价治疗效果。为此,在经济不发达,医疗条件还比较落后的贫困山区,TVCDI的开展对妇科疾病的诊断更具有实际的临床意义。但对专业超声工作者来说,却必须要熟悉哪一种疾病更适合于哪一种相应的检查方法,这样,才能给病人作出更有效更准确的诊断。
, http://www.100md.com
叶新民:浙江省庆元县人民医院超声科主治医师
〔参考文献〕
〔1〕张玉,等经阴道超声探测在妇产科的应用中国超声医学杂志,1991,7(1):33~34
〔2〕Kurjak A,Zalud INormal Pelvicblood flow.in Kurjak A.Transvaginalcolor.New Jersey.the Parthemon publishing GroupInc.1991:438~440
〔3〕韩卫红,等经阴道超声扫描对妇科盆腔肿块的诊断价值中国超声医学杂志,1994,10(5):68~69
〔4〕征锦,等CT在妇科盆腔肿块中的应用价值临床医学影像杂志,1995,6(4):209~211
〔5〕程红,等彩色多普勒能量图在卵巢肿瘤诊断中的应用中华超声影像学杂志,1999,8(1):38~39
〔6〕俞雯经阴道彩色多普勒超声在妇产科应用中国超声医学杂志,1999,15(2):144~147
(1999-07-08收稿), http://www.100md.com
单位:浙江省庆元县人民医院超声科,浙江庆元323800
关键词:盆腔肿瘤;超声检查;多普勒;彩色
中国临床医学影像杂志000227
[中图分类号]R737.3;R445.1 [文献标识码]A [文章编号]1008-1062(2000)02-0145-02
Diagnostic value of transvaginal CDFI in gynaecological pelvic tumors
YE Xin-Min,WU Yong-Hua, WANG Xiao-hong,ZHOU Min-hua
, http://www.100md.com
Department of Ultrasound,Qingyuan Hospital ,Qingyuan Zhejiang 323800,China
经阴道彩色多普勒超声(TVCDI)是近几年发展起来的一种崭新的超声技术,已广泛用于妇科盆腔肿块的检查和诊断,使妇科盆腔肿块的术前定位和定性正确率大大超过了以往经腹超声(TAUS),其准确率和优越性可与CT媲美。本文就我院1994年1月~1998年12月通过TVCDI检查及手术病理证实的109例妇科盆腔肿块和CT检查进行对照评估,目的在于探讨TVCDI在妇科盆腔肿块的诊断价值。
1资料和方法
1.1病例选择
109例均为住院病例,其中进行TVCDI检查的69例,接受TAUS+CT检查的40例。年龄19~63岁,平均年龄为37.8岁。临床症状大多表现为腰疼,月经不规则,经期延长,下腹沉坠感,部分病例自扪及下腹块。109例中,子宫肌瘤33例,畸胎瘤22例,附件囊肿扭转18例,盆腔炎性包块3例,盆腔脓肿4例,输卵管积液10例,卵巢肿瘤6例,陈旧性宫外孕包块13例。
, 百拇医药
1.2使用仪器
美国百胜4000-Au彩色多普勒实时超声诊断仪,阴道探头频率6.5MHz。
1.3检查方法
取膀胱截石位,用一次性避孕套罩住阴道探头(遇阴道流血者用消毒套),套内外均涂以消毒耦合剂,为了顺应骨盆的倾斜度与子宫的各种位置,操作时将探头柄倾斜,以使顶端换能器发射的声束能向任何方位移动;推拉探头柄以使深部或较近的肿块进入聚焦区,旋转探头柄观察全部盆腔结构。
1.4观察内容
以盆腔纵切、横切和靶器官定位扫描三种扫描方式,观察子宫位置、形态、双侧附件,重点探测盆腔肿块的位置、大小、形态、声学特征和周边组织的关系。然后以彩色多普勒血流显像(CDFI)观察肿块的血供情况,寻找可疑肿块有无营养动脉。必要时测定子宫动脉或卵巢动脉的收缩期峰值流速(PSV)和阻力指数(RI)等。
, http://www.100md.com
2结果
109例中,69例TVCDI检出盆腔各类肿块76个,术后发现肿块78个;40例经TAUS检查后接受CT检查的检出肿块45个,术后发现肿块47个。二种技术检出率比较接近,其关系综合X2计算无显著差别(P>0.05)。
69例接受TVCDI检查术前定位准确者65例,定性正确者61例;40例接受TAUS+CT检查术前定位37例,定性36例。
3讨论
3.1TVCDI的价值
盆腔肿块的内部结构可分为囊性、实性和囊实性三种[1,3]。TVCDI检查盆腔肿块的特点[2,5,6]是其探头频率高,使子宫、宫颈、双附件及肿块等均在近区范围内显示,容易发现较小病灶。CDFI可清晰地显示肿块内部及周边的血供情况,可借此分析肿块是良性还是恶性。韩卫红等[3]报道51例盆腔肿块,TAUS检测各类肿块61个,阴道超声(TVUS)检出89个,二种技术检出率有显著性差异(P>0.01)。本文统计的TVCDI69例盆腔肿块,手术符合率达97.43%,也证实了TVCDI诊断盆腔肿块的可靠性和其实用价值。
, 百拇医药
表1TVCDI与CT检查结果对照
组别
例数
检出包块个数
手术证实数
病种及例数
子宫肌瘤
畸胎瘤
卵巢囊肿
炎性包块
盆腔腔肿
输卵管积液
卵巢肿瘤
, http://www.100md.com
陈旧性宫外孕
手术符合率%
TVCDI
69
76
78
19
12
12
3
2
8
3
, http://www.100md.com 10
97.43
CT
40
45
47
14
10
6
0
2
2
3
3
, http://www.100md.com
95.74
P值
>0.05
图1多发性子宫肌瘤,肿瘤大小为6.5cm×5.5cm×5.4cm,RI0.56。
图2左卵巢囊腺瘤,肿块大小为5.2cm×4.0cm×3.8cm。
图3右卵巢畸胎瘤,肿块大小为5.0cm×3.7cm×3.3cm。
, http://www.100md.com
图4陈旧性宫外孕,肿块大小为4.8cm×3.9cm×3.4cm。
3.2TVCDI与CT对妇科盆腔肿块检查比较
由于超声无离子辐射和易取得纵轴和横轴的扫描图,能准确地分辨肿块囊性和实质性病变(见图3,4)。CDFI能观察和测定肿块周边、内部及分隔的血流状况,并以此测定多普勒频谱数值(见图1),已成为检测妇科盆腔肿块的主要手段之一[2,5]。本组69例术前TVCDI其检出大小肿块76个,手术发现78个,TVCDI敏感性为97.45%(76/78),假阴性率为2.55%。手术病理证实69例病人中,术前诊断定位和定性符合率分别为94.2%(65/69)和88.4%(61/69)。其中3例卵巢肿瘤定性准确率为100%(1例为囊腺瘤,2例为浆液性囊腺癌)。TVCDI表现在恶性肿瘤内部及周边有较丰富的血管网状结构(见图2),1例在肿瘤分隔检出了新生血管,RI<0.5。40例TAUS+CT检查共检出肿块45个(其中3个为腹膜后肿大的淋巴结),手术发现47个,CT敏感性为95.74%(45/47),稍低于TVCDI检查。假阴性率为4.26%,略高于TVCDI检查。术前CT定位和定性率分别为92.5%(37/40)和90%(36/40),总定性率略高于TVCDI检查。
, 百拇医药
TVCDI对盆腔肿块的检出率较高,且定位准确,恶性肿瘤可用多普勒信息辅诊,可提高确诊率[5,6]。CT有较高的密度分辨率和空间分辨率,对盆腔的定位和定性的精确度具有它的独到之处[4]。它较超声能检出直径<1.0cm的小肿块,特别是盆腔恶性肿瘤,临床分期不清时,CT能较准确地与以分期,寻找淋巴结腹腔转移和其他器官转移的证据,从而指导临床治疗。为此,对于盆腔晚期癌肿及不宜行TVCDI检查的盆腔肿块患者,CT检查是最有帮助和最有价值的。
综上所述,对于妇科盆腔肿块的诊断,由于TVCDI不需充盈膀胱,检查便捷价廉,准确率高,病人乐于接受,可作为首选和常规检查。CT主要用于进一步明确肿块的性质,恶性肿瘤的分期及评价治疗效果。为此,在经济不发达,医疗条件还比较落后的贫困山区,TVCDI的开展对妇科疾病的诊断更具有实际的临床意义。但对专业超声工作者来说,却必须要熟悉哪一种疾病更适合于哪一种相应的检查方法,这样,才能给病人作出更有效更准确的诊断。
, http://www.100md.com
叶新民:浙江省庆元县人民医院超声科主治医师
〔参考文献〕
〔1〕张玉,等经阴道超声探测在妇产科的应用中国超声医学杂志,1991,7(1):33~34
〔2〕Kurjak A,Zalud INormal Pelvicblood flow.in Kurjak A.Transvaginalcolor.New Jersey.the Parthemon publishing GroupInc.1991:438~440
〔3〕韩卫红,等经阴道超声扫描对妇科盆腔肿块的诊断价值中国超声医学杂志,1994,10(5):68~69
〔4〕征锦,等CT在妇科盆腔肿块中的应用价值临床医学影像杂志,1995,6(4):209~211
〔5〕程红,等彩色多普勒能量图在卵巢肿瘤诊断中的应用中华超声影像学杂志,1999,8(1):38~39
〔6〕俞雯经阴道彩色多普勒超声在妇产科应用中国超声医学杂志,1999,15(2):144~147
(1999-07-08收稿), http://www.100md.com