反义核酸对大鼠在体血栓素A2合成和血栓形成的影响
作者:魏泽兰 王迪浔
单位:同济医科大学基础医学院病理生理学教研室, 武汉 430030
关键词:反义核酸;血栓素A2;血栓形成
同济医科大学学报000133 中图法分类号 Q524, Q592.1, R364.1
血栓素A2(TXA2)具有强效缩血管和促血小板聚集的功能,许多心血管疾病的发生发展与TXA2过量生成有关。TXA2由花生四烯酸经环氧酶、血栓素合酶(TXS)催化产生。反义寡核苷酸片段Ⅰ(ODNⅠ)是针对TXS cDNA设计的反义核酸,体外实验证明它能有效抑制TXS基因表达和TXA2的合成[1]。本实验旨在研究在体条件下ODNⅠ对TXA2生成和血栓形成的影响。
, http://www.100md.com
1 材料与方法
花生四烯酸(AA,Sigma)溶于1 mmol/L Na2CO3溶液中。实验组:SD雄性大鼠(体重 200g,同济医科大学实验动物学部提供),缓慢静脉注射AA 15 mg/kg;对照组:给予 同体积1 mmol/LNa2CO3;ODNⅠ+AA组:ODNⅠ30 μmol/L静脉注射, 6 h后给AA 15 mg/kg;错义ODN+AA组:错义ODN 30 μmol/L 静脉注射,6 h后给AA 15 mg/kg。各组给AA 0.5h后,按文献[2]的方法测定体外循环中丝线上血小板血栓湿重及血浆TXA2的稳定代谢产 物TXB2的含量(TXB2 放射免疫测定试剂盒,中国人民解放军总医院提供)。各组动物 2h内取肺组织固定,切片,HE染色,结果以
±s表示, 组间比较采用t 检验。
, 百拇医药
2 结果
血浆TXB2水平及血栓湿重见表1。组织切片见图1~4。
表1 ODNⅠ对AA刺激大鼠血浆TXB2水平和血栓形成的影响 (
±s) 组 别
n
TXB2(ng/L)
血栓湿重(mg)
对照组
5
600.2±154.8
, 百拇医药
10.3±2.5
AA组
5
6 008.2±527.9*
12.2±1.9
AA+ODNⅠ
5
3 755.6±931.5*△
11.2±2.4
AA+错义ODN
3
6287.3±316.7*
, 百拇医药
11.8±2.6
与对照组比较 * P<0.001; 与AA组比较 △P<0.0013 讨论
花生四烯酸可引起血小板聚集、TXA2合成释放, 导致一系列病理生理变化。有研究表明:AA静脉注射可引起家兔3 min内死亡[3]。组织学检查发现:肺微循环中有血小板血 栓 形成。可能的机制是:血浆TXA2水平增高,血小板大量聚集引起急性肺微循环阻塞,家兔因呼吸衰竭而死亡,Miki用TXS抑制剂可防止AA所致的家兔猝死[4]。 本实验注射AA 15min后,大鼠呼吸深大,喘气。组织切片发现:肺泡毛细血管出血,肺泡间质水肿,部分血管中有微血栓形成,支气管呈花瓣状收缩。ODNⅠ能抑制TXA2的生成, 用ODNⅠ预注射后,上述病理变化有所改善,血管中未见血栓形成。提示TXA2介导了肺部病变 ,而ODNⅠ可部分缓解其病变。由于AA刺激后肺内血小板聚集,血栓形成,外周血液中血小板一过性减少,所以经体外循环检测的丝线血小板血栓湿重与正常相比无明显增加。
, 百拇医药
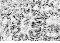
图1 正常大鼠肺组织显微照片。HE ×20 0
图2 经AA注射的大鼠肺组织可见肺泡毛细血管出血,肺泡间质水肿,部分血管有微血栓形成。HE
×200
图3 经AA注射的大鼠肺组织可见支气管收缩呈花瓣状。HE ×200
图4 注射AA 前6h,经ODNⅠ预处理的大鼠 肺组织肺泡毛细血管出血少见,未见微血栓结构。HE
×200
, 百拇医药
参 考 文 献
1,魏泽兰,胡清华,王迪浔.反义核酸抑制血栓素合酶的基因表达. 中国病理生 理杂志,1998,14(6):595
2,徐理纳. 血小板血栓实验法. 徐叔云主编. 药理实验方法学. 北 京:人民卫生出版社,1982.845~846
3,Silver M J, Hoch W, Kocsis J J. Arachidonic acid cause sudden death in rabbit.Science, 1974,183:1085
4,Miki I, Kishibayashi N, Takeda K. A novel pyridobenzazepinonederizatize with long lasting thromboxane synthase inhibition. Arzneimittelforschung, 1995,45:1066
(1998-09-23 收稿)
, http://www.100md.com
单位:同济医科大学基础医学院病理生理学教研室, 武汉 430030
关键词:反义核酸;血栓素A2;血栓形成
同济医科大学学报000133 中图法分类号 Q524, Q592.1, R364.1
血栓素A2(TXA2)具有强效缩血管和促血小板聚集的功能,许多心血管疾病的发生发展与TXA2过量生成有关。TXA2由花生四烯酸经环氧酶、血栓素合酶(TXS)催化产生。反义寡核苷酸片段Ⅰ(ODNⅠ)是针对TXS cDNA设计的反义核酸,体外实验证明它能有效抑制TXS基因表达和TXA2的合成[1]。本实验旨在研究在体条件下ODNⅠ对TXA2生成和血栓形成的影响。
, http://www.100md.com
1 材料与方法
花生四烯酸(AA,Sigma)溶于1 mmol/L Na2CO3溶液中。实验组:SD雄性大鼠(体重 200g,同济医科大学实验动物学部提供),缓慢静脉注射AA 15 mg/kg;对照组:给予 同体积1 mmol/LNa2CO3;ODNⅠ+AA组:ODNⅠ30 μmol/L静脉注射, 6 h后给AA 15 mg/kg;错义ODN+AA组:错义ODN 30 μmol/L 静脉注射,6 h后给AA 15 mg/kg。各组给AA 0.5h后,按文献[2]的方法测定体外循环中丝线上血小板血栓湿重及血浆TXA2的稳定代谢产 物TXB2的含量(TXB2 放射免疫测定试剂盒,中国人民解放军总医院提供)。各组动物 2h内取肺组织固定,切片,HE染色,结果以
, 百拇医药
2 结果
血浆TXB2水平及血栓湿重见表1。组织切片见图1~4。
表1 ODNⅠ对AA刺激大鼠血浆TXB2水平和血栓形成的影响 (
n
TXB2(ng/L)
血栓湿重(mg)
对照组
5
600.2±154.8
, 百拇医药
10.3±2.5
AA组
5
6 008.2±527.9*
12.2±1.9
AA+ODNⅠ
5
3 755.6±931.5*△
11.2±2.4
AA+错义ODN
3
6287.3±316.7*
, 百拇医药
11.8±2.6
与对照组比较 * P<0.001; 与AA组比较 △P<0.0013 讨论
花生四烯酸可引起血小板聚集、TXA2合成释放, 导致一系列病理生理变化。有研究表明:AA静脉注射可引起家兔3 min内死亡[3]。组织学检查发现:肺微循环中有血小板血 栓 形成。可能的机制是:血浆TXA2水平增高,血小板大量聚集引起急性肺微循环阻塞,家兔因呼吸衰竭而死亡,Miki用TXS抑制剂可防止AA所致的家兔猝死[4]。 本实验注射AA 15min后,大鼠呼吸深大,喘气。组织切片发现:肺泡毛细血管出血,肺泡间质水肿,部分血管中有微血栓形成,支气管呈花瓣状收缩。ODNⅠ能抑制TXA2的生成, 用ODNⅠ预注射后,上述病理变化有所改善,血管中未见血栓形成。提示TXA2介导了肺部病变 ,而ODNⅠ可部分缓解其病变。由于AA刺激后肺内血小板聚集,血栓形成,外周血液中血小板一过性减少,所以经体外循环检测的丝线血小板血栓湿重与正常相比无明显增加。
, 百拇医药
图1 正常大鼠肺组织显微照片。HE ×20 0
图2 经AA注射的大鼠肺组织可见肺泡毛细血管出血,肺泡间质水肿,部分血管有微血栓形成。HE
×200
图3 经AA注射的大鼠肺组织可见支气管收缩呈花瓣状。HE ×200
图4 注射AA 前6h,经ODNⅠ预处理的大鼠 肺组织肺泡毛细血管出血少见,未见微血栓结构。HE
×200
, 百拇医药
参 考 文 献
1,魏泽兰,胡清华,王迪浔.反义核酸抑制血栓素合酶的基因表达. 中国病理生 理杂志,1998,14(6):595
2,徐理纳. 血小板血栓实验法. 徐叔云主编. 药理实验方法学. 北 京:人民卫生出版社,1982.845~846
3,Silver M J, Hoch W, Kocsis J J. Arachidonic acid cause sudden death in rabbit.Science, 1974,183:1085
4,Miki I, Kishibayashi N, Takeda K. A novel pyridobenzazepinonederizatize with long lasting thromboxane synthase inhibition. Arzneimittelforschung, 1995,45:1066
(1998-09-23 收稿)
, http://www.100md.com