灭活前后HIV-1生物学性状改变的研究
作者:樊卫平 陈向伟 李敬云 王红霞 吕富双
单位:樊卫平(山西医科大学 030001);陈向伟(山西医科大学 030001);李敬云(军事医学科学院微生物流行病研究所);王红霞(军事医学科学院微生物流行病研究所);吕富双(军事医学科学院微生物流行病研究所)
关键词:
山西医药杂志000519 S/D法及低pH法是常用的血制品灭活病毒的有效方法。在评价S/D法及 低pH法灭活HIV试验中,发现不病变样品经盲目传代可以传出病变,说明HIV在灭活因素作用 下发生变异。HIV具有高度的变异性,不同地区不同机体,同一机体不同病程,甚至同一机 体一次取样均可分离到不同基因型不同生物学性状的HIV株[1]。我们曾在MT4细胞 长期自然传代培养HIV,分析HIV包膜基因变异及生物学性状改变,获得体外传代HIV包膜基 因变异不显著;病毒感染毒力及病毒产量上升;亚型不变,生物学性状相对稳定的结论。为 了进一步了解灭活作用下HIV生物学性状的改变,我们取体外自然传代的第21代样品施以S/D 及低丙种球蛋白等灭活因素进行了下述研究。
, http://www.100md.com
1 材料和方法
1.1 病毒、细胞、培养基:病毒为HIV-1 B3亚型(引自美国)经实验室传至21代,感染毒力8.0 TCID50/mL;细 胞采用MT4细胞,系携HTLV的传代人T淋巴细胞(引自日本),细胞培养基为补加10%热灭活新 生牛血清的RPMI1640培养基(美国Gibco公司),含105 U/L青霉素,100 mg/L链霉素和5 mo l/L Hepes。
1.2 低pH法和S/D法灭活HIV,获取待检样品:低丙球(pH 4)和S/D试剂的配制及灭活试验见文献[2,3]。对低pH灭活2 h,S/D灭活30 mi n后不引起MT4细胞病变但经传代后引起MT4细胞病变的HIV样品,由细胞培养孔转种细胞培养 瓶扩大培养,同时培养灭活前对照HIV样品(第21代),于第4日大多数细胞出现病变时,取上 清及沉积细胞分别用于病毒感染毒力TCID50 测定和提取带毒MT4细胞核酸。
, http://www.100md.com
1.3 测定病毒感染毒力:稀释长势良好的MT4细胞为4×105/mL,0.1 mL/孔滴96孔细胞培养板;取1.2中上清液稀 释从10-1至10-10,0.1 mL/孔滴上述96孔细胞培养板,每个稀释度平行滴4 孔。37 ℃、5% CO2孵箱培养。于滴定后第3日末补加新鲜培养液50 μL/孔,逐日观察记 录细胞病变状况至第7日,计算TCID50。
1.4 PCR扩增HIV前DNA包膜基因:取沉积的细胞用酚-氯仿抽提法提取带毒MT4细胞核酸; 依据文献[4]合成外侧引物ED3-ED14及内侧引物ED33-ED31, 分别进行第一轮、 第二 轮PCR。 反应条件: 94 ℃ 1 min,55 ℃1 min,72 ℃1 min,3个循环;94 ℃15 s,55 ℃ 45 s,72 ℃1 min,32个循环;72 ℃延伸5 min。扩增出HIV前DNA包膜基因C2-C3区及其附 近的500 bp左右核酸片段。1.5%琼脂糖凝胶电泳确证扩增产物正确。
, http://www.100md.com
1.5 异源双链泳动分析法(HMA)亚型鉴定分析:在一个0.5 mL Eppendorf管中加5 μL PCR产物,5 μL对照质粒PCR产物或水对照。1.15 μL异源双链复性缓冲液混匀100 ℃水浴3 min,迅速冰浴10 min。上样于5%非变性丙烯酰 胺凝胶,垂直电泳,恒压250 V,2.5 h。电泳结束,将凝胶浸泡于0.5 mg/L的溴化乙啶水 溶液中1 h,紫外灯下观察结果。若某一样品与某一亚型对照质粒形成的异源双链泳动速度 最快,则可确定该样品为相应亚型。HIV标准亚型质粒由卫生部艾滋病预防与控制中心惠赠 。
2 结 果
2.1 病毒感染毒力TCID50的测定结果:灭活作用前样品(21代)及S/D法、低pH法灭活作用后样品病毒感染毒力测定结果分别为8.0 、8.4、8.2 TCID50/mL。
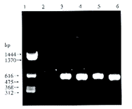
2.2 各样品C2-C3区PCR扩增结果:各样品PCR产物与DNA标准分子量的616 bp接近而低于6 16 bp,说明扩增结果正确。见图1。
, http://www.100md.com
2.3 异源双链泳动分析法(HMA)法亚型鉴定结果:见图2。
1 NDA标准分子量(PBR322/TaqI)2 阴性(水)对照 3 标准质粒B3
4 灭活前(21代)样品 5 S/D灭活后样品 6 酸灭活后样品
图1 PCR扩增结果
1~8依次为S/D灭活后样品与对照质粒A1,B2,B3,C1,D3,E1,E2
及阴性对照(水)杂交结果 9~16依次为酸灭活后样品
与对照质粒A1,B2,B3,C1,D3,E1,E2及阴性对照(水)杂交结果,结果均为B3亚型(灭活前也为B3亚型)
, 百拇医药
图2 低pH及S/D灭活后样品扩增片段HMA亚型鉴定结果
3 讨 论
由结果可知经S/D及酸灭活作用并传代后HIV感染毒力不会下降,反而,均有上升趋势;基因 亚型不变,均为B3亚型(此后核苷酸序列测定证明确为B3亚型)。结果明显支持此前体外连续 传代培养HIV获得的结论。可以认为,不论是在MT4细胞自然传代,还是施加灭活因素传代 ,HIV感染毒力在一定范围内上升,基因型别不变,即体外传代HIV生物学性状相对稳定。此 结果提示通过体外传代获取减毒活疫苗的可能性不大。分析其感染毒力上升的原因,可能是 :①去除灭活因素作用并已适应体外培养环境后,在体外无免疫压力作用下,病毒本身固 有的高复制能力得以充分表现[5,6];②经灭活作用后适应性及毒力更强的变异株 得以繁殖成为优势株。
异源双链泳动分析法是世界卫生组织推荐的鉴定HIV基因亚型的方法[4],其主要原 理是不同来源的相同大小片段的双链DNA经过加热变性和低温复性,可形成同源双链二聚体 和异源双链二聚体。异源二聚体因两条单链的来源不同(样品和对照质粒)存在或多或少的错 配对或不配对碱基,形成链内凸起的环状结构。在分辨率高的丙烯酰胺凝胶电泳中,泳动速 度低于同源二聚体,链内错配对或不配对碱基越多,泳动越慢。如某样品与某对照质粒形成 的异源双链相对泳动最快,最接近于同源二聚体,则确定该样品为该对照质粒的相应亚型。 本实验再次证明异源双链泳动分析法是一种简单、快速、准确、廉价的HIV亚型鉴定分析方 法[4]。
, http://www.100md.com
本研究有待于对两灭活法作用后的变异株再施以同样的灭活因素,观察其是否确已对相应的 灭活因素产生耐受,并进一步分析其感染毒力等变化,后续工作尚在进行中。
(本文图1~2见插页图第2页)
作者简介:樊卫平,女,1967年4月生,讲师,山西医科大学,030001
参考文献
1.Chaix-Baudier ML,Chappey C,Burgard M,et al.First case of moth er-to-infant HIV type 1 group O transmission and evolution of C2V3 sequences i n the infected child.AIDS Res Hum Retroviruses,1998,14:15
, http://www.100md.com
2.周铁群,邱平,王剑锋,等.对血液制品S/D病毒灭活方法的验证.中 国生物制品学杂志,1995,8(3):107
3.周铁群,邱平,王剑锋,等.对10厂家低pH静脉注射用人丙种球蛋白病 毒灭活工艺的验证.中国生物制品学杂志,1999,12(2):106
4.Delwart EL.Genetic subtyping of human immunodeficiency vir us using a heteroduplex mobility assay.PCR Meth Appl,1995,4:s202
5.Kusumi KB,Conway S,Cunningham,et al.Human immunodefi-
ciency virus type 1 envelope gene structure and diversity in vivo and afte r cocultivation in vitro.J Virol,1992,68:875
6.Tersmette MRA,Gruters F,de Wolf RE,et al.Evidence for a role o f virulent HIV variants in the pathogenesis of acquired immunodeficiency syndrom e:studies on sequential HIV isolates.J Virol,1989,63:2118
(收稿日期:2000-03-30), 百拇医药
单位:樊卫平(山西医科大学 030001);陈向伟(山西医科大学 030001);李敬云(军事医学科学院微生物流行病研究所);王红霞(军事医学科学院微生物流行病研究所);吕富双(军事医学科学院微生物流行病研究所)
关键词:
山西医药杂志000519 S/D法及低pH法是常用的血制品灭活病毒的有效方法。在评价S/D法及 低pH法灭活HIV试验中,发现不病变样品经盲目传代可以传出病变,说明HIV在灭活因素作用 下发生变异。HIV具有高度的变异性,不同地区不同机体,同一机体不同病程,甚至同一机 体一次取样均可分离到不同基因型不同生物学性状的HIV株[1]。我们曾在MT4细胞 长期自然传代培养HIV,分析HIV包膜基因变异及生物学性状改变,获得体外传代HIV包膜基 因变异不显著;病毒感染毒力及病毒产量上升;亚型不变,生物学性状相对稳定的结论。为 了进一步了解灭活作用下HIV生物学性状的改变,我们取体外自然传代的第21代样品施以S/D 及低丙种球蛋白等灭活因素进行了下述研究。
, http://www.100md.com
1 材料和方法
1.1 病毒、细胞、培养基:病毒为HIV-1 B3亚型(引自美国)经实验室传至21代,感染毒力8.0 TCID50/mL;细 胞采用MT4细胞,系携HTLV的传代人T淋巴细胞(引自日本),细胞培养基为补加10%热灭活新 生牛血清的RPMI1640培养基(美国Gibco公司),含105 U/L青霉素,100 mg/L链霉素和5 mo l/L Hepes。
1.2 低pH法和S/D法灭活HIV,获取待检样品:低丙球(pH 4)和S/D试剂的配制及灭活试验见文献[2,3]。对低pH灭活2 h,S/D灭活30 mi n后不引起MT4细胞病变但经传代后引起MT4细胞病变的HIV样品,由细胞培养孔转种细胞培养 瓶扩大培养,同时培养灭活前对照HIV样品(第21代),于第4日大多数细胞出现病变时,取上 清及沉积细胞分别用于病毒感染毒力TCID50 测定和提取带毒MT4细胞核酸。
, http://www.100md.com
1.3 测定病毒感染毒力:稀释长势良好的MT4细胞为4×105/mL,0.1 mL/孔滴96孔细胞培养板;取1.2中上清液稀 释从10-1至10-10,0.1 mL/孔滴上述96孔细胞培养板,每个稀释度平行滴4 孔。37 ℃、5% CO2孵箱培养。于滴定后第3日末补加新鲜培养液50 μL/孔,逐日观察记 录细胞病变状况至第7日,计算TCID50。
1.4 PCR扩增HIV前DNA包膜基因:取沉积的细胞用酚-氯仿抽提法提取带毒MT4细胞核酸; 依据文献[4]合成外侧引物ED3-ED14及内侧引物ED33-ED31, 分别进行第一轮、 第二 轮PCR。 反应条件: 94 ℃ 1 min,55 ℃1 min,72 ℃1 min,3个循环;94 ℃15 s,55 ℃ 45 s,72 ℃1 min,32个循环;72 ℃延伸5 min。扩增出HIV前DNA包膜基因C2-C3区及其附 近的500 bp左右核酸片段。1.5%琼脂糖凝胶电泳确证扩增产物正确。
, http://www.100md.com
1.5 异源双链泳动分析法(HMA)亚型鉴定分析:在一个0.5 mL Eppendorf管中加5 μL PCR产物,5 μL对照质粒PCR产物或水对照。1.15 μL异源双链复性缓冲液混匀100 ℃水浴3 min,迅速冰浴10 min。上样于5%非变性丙烯酰 胺凝胶,垂直电泳,恒压250 V,2.5 h。电泳结束,将凝胶浸泡于0.5 mg/L的溴化乙啶水 溶液中1 h,紫外灯下观察结果。若某一样品与某一亚型对照质粒形成的异源双链泳动速度 最快,则可确定该样品为相应亚型。HIV标准亚型质粒由卫生部艾滋病预防与控制中心惠赠 。
2 结 果
2.1 病毒感染毒力TCID50的测定结果:灭活作用前样品(21代)及S/D法、低pH法灭活作用后样品病毒感染毒力测定结果分别为8.0 、8.4、8.2 TCID50/mL。
2.2 各样品C2-C3区PCR扩增结果:各样品PCR产物与DNA标准分子量的616 bp接近而低于6 16 bp,说明扩增结果正确。见图1。
, http://www.100md.com
2.3 异源双链泳动分析法(HMA)法亚型鉴定结果:见图2。
1 NDA标准分子量(PBR322/TaqI)2 阴性(水)对照 3 标准质粒B3
4 灭活前(21代)样品 5 S/D灭活后样品 6 酸灭活后样品
图1 PCR扩增结果
1~8依次为S/D灭活后样品与对照质粒A1,B2,B3,C1,D3,E1,E2
及阴性对照(水)杂交结果 9~16依次为酸灭活后样品
与对照质粒A1,B2,B3,C1,D3,E1,E2及阴性对照(水)杂交结果,结果均为B3亚型(灭活前也为B3亚型)
, 百拇医药
图2 低pH及S/D灭活后样品扩增片段HMA亚型鉴定结果
3 讨 论
由结果可知经S/D及酸灭活作用并传代后HIV感染毒力不会下降,反而,均有上升趋势;基因 亚型不变,均为B3亚型(此后核苷酸序列测定证明确为B3亚型)。结果明显支持此前体外连续 传代培养HIV获得的结论。可以认为,不论是在MT4细胞自然传代,还是施加灭活因素传代 ,HIV感染毒力在一定范围内上升,基因型别不变,即体外传代HIV生物学性状相对稳定。此 结果提示通过体外传代获取减毒活疫苗的可能性不大。分析其感染毒力上升的原因,可能是 :①去除灭活因素作用并已适应体外培养环境后,在体外无免疫压力作用下,病毒本身固 有的高复制能力得以充分表现[5,6];②经灭活作用后适应性及毒力更强的变异株 得以繁殖成为优势株。
异源双链泳动分析法是世界卫生组织推荐的鉴定HIV基因亚型的方法[4],其主要原 理是不同来源的相同大小片段的双链DNA经过加热变性和低温复性,可形成同源双链二聚体 和异源双链二聚体。异源二聚体因两条单链的来源不同(样品和对照质粒)存在或多或少的错 配对或不配对碱基,形成链内凸起的环状结构。在分辨率高的丙烯酰胺凝胶电泳中,泳动速 度低于同源二聚体,链内错配对或不配对碱基越多,泳动越慢。如某样品与某对照质粒形成 的异源双链相对泳动最快,最接近于同源二聚体,则确定该样品为该对照质粒的相应亚型。 本实验再次证明异源双链泳动分析法是一种简单、快速、准确、廉价的HIV亚型鉴定分析方 法[4]。
, http://www.100md.com
本研究有待于对两灭活法作用后的变异株再施以同样的灭活因素,观察其是否确已对相应的 灭活因素产生耐受,并进一步分析其感染毒力等变化,后续工作尚在进行中。
(本文图1~2见插页图第2页)
作者简介:樊卫平,女,1967年4月生,讲师,山西医科大学,030001
参考文献
1.Chaix-Baudier ML,Chappey C,Burgard M,et al.First case of moth er-to-infant HIV type 1 group O transmission and evolution of C2V3 sequences i n the infected child.AIDS Res Hum Retroviruses,1998,14:15
, http://www.100md.com
2.周铁群,邱平,王剑锋,等.对血液制品S/D病毒灭活方法的验证.中 国生物制品学杂志,1995,8(3):107
3.周铁群,邱平,王剑锋,等.对10厂家低pH静脉注射用人丙种球蛋白病 毒灭活工艺的验证.中国生物制品学杂志,1999,12(2):106
4.Delwart EL.Genetic subtyping of human immunodeficiency vir us using a heteroduplex mobility assay.PCR Meth Appl,1995,4:s202
5.Kusumi KB,Conway S,Cunningham,et al.Human immunodefi-
ciency virus type 1 envelope gene structure and diversity in vivo and afte r cocultivation in vitro.J Virol,1992,68:875
6.Tersmette MRA,Gruters F,de Wolf RE,et al.Evidence for a role o f virulent HIV variants in the pathogenesis of acquired immunodeficiency syndrom e:studies on sequential HIV isolates.J Virol,1989,63:2118
(收稿日期:2000-03-30), 百拇医药