鼻丘及其邻近结构CT观察及其在内窥镜鼻窦手术中的作用
作者:王娜亚 范为 张华 郭新华 李太峰 张小伯 王忠植
单位:100029 北京 中日友好医院耳鼻咽喉科(王娜亚、范为、张华、张小伯、王忠植); 山西霍州矿物局中心医院耳鼻咽喉科(郭新华);河南许昌市人民医院耳鼻咽喉科(李太峰)
关键词:鼻窦;;体层摄影术;X线计算机;;外科手术;;内窥镜检查
中华耳鼻咽喉科杂志/990109 【摘要】 目的 为了深入开展鼻内窥镜下额窦手术和鼻腔泪囊造口术等,观察鼻丘形态及其邻近结构的关系。方法 采用鼻窦连续冠状和矢状位扫描,观察100例患者(包括鼻中隔偏曲30例,慢性鼻炎40例,慢性鼻窦炎30例),其中成人80例,儿童20例。结果 ①绝大多数病例(99%)有鼻丘气房,儿童(9~16岁)鼻丘发育与成人相比无差异性;②鼻丘形态变化很大,但与中鼻甲前端、筛泡和鼻泪管的关系是恒定的;③鼻丘向上气化程度与额窦发育关系密切,鼻中隔偏曲对其发育无明显影响;④前组鼻窦的广泛炎症易波及鼻丘,并可出现鼻丘骨质增厚。结论 鼻丘为鼻内额窦手术和鼻腔泪囊造口术的进路,可借助鼻窦CT进行术前设计和预防并发症的发生。
, 百拇医药
The CT scan of the agger cell and its adjacent structure in endoscopic paranasal sinus surgery WANG Naya, FAN Wei, ZHANG Hua,et al. Department of Otorhinolaryngology, China-Japan Friendship Hospital,Beijing 100029
【Abstract】 Objective To promote the development of endoscopic frontal sinus surgery and naso-lacrimal anastomosis surgery by studying the agger cells and their adjacent structures.Methods One hundred patients were observed by the continuous coronal CT scan and sagittal CT scan of the paranasal sinuses. Among them, 30 had deviation of nasal septum; 40 had chronic nasosinusitis. There were 80 adult and 20 children.Results (1)The agger cells existed in 99% of the cases, the development of the agger cells in 9~16 years old children, and adult had no difference; (2) The morphology of agger cells differed widely, but its relationship to the anterior border of the middle nasal concha, bulla ethmoidalis and nasolacrimal canal was quite stable; (3) The upward pneumatization of the agger cells was not related to deviation of nasal septum, but closely related to the development of the frontal sinus; (4) The anterior nasosinusitis often influenced the agger cells and might result in hyperosteogeny. Conclusion The agger cells situated at the pathway of the intranasal frontal sinus during surgery and dacryocystorhinostomy, the nasal CT scan might be beneficial to the prevention of surgical complications.
, 百拇医药
【Key words】 Paranasal sinuses Tomography,X-ray computed Surgery,operative Endoscopy
我们采用鼻窦连续冠状、矢状位扫描观察鼻丘的形态及其邻近组织的关系,以及鼻丘在慢性鼻窦炎中的改变,报道如下。
材料和方法
一、 观察对象
包括鼻中隔偏曲30例,慢性鼻炎40例,慢性鼻窦炎30例共计100例。其中男62例,女38例。成人80例,年龄19~61岁,平均年龄36.2岁;儿童20例,年龄9~16岁,平均年龄12.3岁。均无前期手术史。
二、研究方法
对以上患者行CT薄层冠状扫描,患者取仰卧位,CT扫描机与颏顶线成角22°~25°,冠状位扫描范围前起额窦,后至蝶窦,其中5例同时行矢状位扫描。层厚3 mm,层间隔1 mm,电压120 kV,电流130 mA。窗宽2 000,窗位190。CT机型为GE 4 000,在扫描成像过程中,利用轨迹球进行测量(显示矩阵为512×512)。
, http://www.100md.com
三、 观察方法
以中鼻甲最前端的层面及其相邻的前后层面,共3个层面作为重点,观察鼻丘的气房数、额窦发育、鼻中隔偏曲对鼻丘气房的影响、鼻丘和鼻泪管的关系、鼻丘和额窦的关系及鼻丘在慢性鼻窦炎中的改变,并在冠状位上作如下测量:
1.鼻丘横径的测量:在筛板水平以下, 测量鼻丘内侧壁到外侧壁(纸样板)的水平距离。将3个层面的测量值进行算术平均,作为鼻丘的横径值。
2.鼻丘气房的位置:以筛板为中心,测量鼻丘气房顶壁的高度。 鼻丘气房顶壁高于筛板2 mm者为高位,低于筛板2 mm者为低位。
四、 统计学处理
采用t检验及χ2检验。
结果
, http://www.100md.com
一、鼻丘气房的发育
鼻丘气房有单气房、 双气房及三气房等形态(图1)。以单气房为最多,为116侧(58%);双气房为62侧(31%);三气房为20侧(10%);无气房2侧(1%)。两侧鼻丘气房数比分别为:1∶1为38例(38%),1∶0为2例,1∶2为26例,1∶3为12例,2∶2为14例,2∶3为8例。100例中鼻丘发育者198侧(占99%),未发育者2侧(占1%)。
图1 左侧鼻丘为3气房,右侧鼻丘为2气房
二、鼻丘横径的测量
成人为4.0~12.0 mm,均值(8.33±1.91) mm(
±s,下同)。儿童为4.05~11.0 mm,均值(8.05±1.89) mm。经统计学处理,二组差异无显著意义(P>0.05)。额窦发育良好者55例,发育中等者26例,发育不良者19例。额窦的发育良好者与不良者的鼻丘气房的横径值经统计学处理,差异无显著性(P>0.05)。鼻中隔偏曲组中向右侧偏曲16例,鼻丘横径左侧均值为(7.97±2.21) mm;右侧为 (8.40±2.01) mm;向左侧偏曲为14例,鼻丘横径左侧均值为(7.76±1.52) mm;右侧为 (8.49±1.57) mm。经统计学处理,2组左右鼻丘横径均值差异无显著(P>0.05)。
, http://www.100md.com
三、鼻丘气房的位置
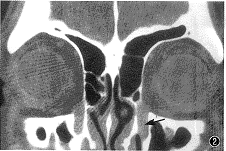
鼻丘气房位置分高、中、低3种,其2侧对称或不对称(图2)。高位鼻丘组双侧者10例,单侧为42例,共62侧(31%);中位鼻丘组双侧为24例,单侧为16例,合计64侧(32%);低位鼻丘组双侧为25例,单侧为24例,合计74侧(37%)。3种位置的出现率差异无显著性(P>0.05)。比较高位鼻丘气房与额窦发育的关系,额窦发育良好、中等和不良3组的例数分别为55、26、19例,3组中高位鼻丘分别为46、12、4侧,其出现率分别为41.8%、23.1%、10.5%,高位鼻丘的出现率与额窦发育呈正相关。此外,矢状位CT显示鼻丘位于筛泡的前上方,发育良好者可进入额窦(图3)。
图2 左右鼻丘气房不对称,右侧为中位,左侧为高位鼻丘。鼻丘的外下方为鼻泪管(
)
, 百拇医药
图3 矢状位CT。可见气化良好的鼻丘(
)顶壁进入额窦,鼻丘们于筛泡(
)的前上方
四、鼻丘与鼻泪管的关系
无论冠状位还是矢状位,在设定的3个层面中,全部受检者均可清晰地显示鼻泪管于鼻丘外下方(图2)。
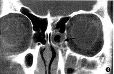
图4 左侧额窦、前组筛窦和上颌窦炎,炎症波及左鼻丘(
)
五、鼻丘炎症与慢性鼻窦炎的关系
, 百拇医药
本组30例慢性鼻窦炎53侧(7例为1侧发病)中均有不同程度的前组鼻窦炎。其中额窦、前组筛窦和上颌窦炎17侧,炎症波及鼻丘者10侧(图4);前组筛窦和上颌窦炎16侧,炎症波及鼻丘者12侧;额窦炎2侧,均伴有鼻丘炎症;前组筛窦炎5侧,鼻丘正常;上颌窦炎13侧,炎症波及鼻丘者1侧。炎症波及鼻丘者共25侧,占47. 2%(25/53)。此外,鼻丘骨质增厚者6例;单气房发病18侧,双气房以上发病7例。高、中、低位鼻丘的发病分别为8/64、7/64、10/74侧。
讨论
讨论
一、鼻丘的发育和形态
1. 鼻丘气房是最前端的筛窦气房,位于中鼻甲前端的外上方[1],以往的解剖学研究显示鼻丘变异很大,约10%~89%的人有鼻丘气房[2,3]。但近年来通过鼻窦冠状扫描发现98.5%的人,甚至所有的人都有鼻丘气房[4,5]。我们的观察结果,鼻丘发育者高达99%。这种报道上的差异是因为分析方法不同或对前筛气房解剖定义不同所致的[5]。
, http://www.100md.com
2. 鼻丘横径的数值,可作为鼻丘发育的参考指标之一。鼻丘气房的发育被认为是与前组筛窦发育同步[3]。 筛窦的发育在15~18岁时完成,本组儿童年龄9~16岁,本次所测量的鼻丘横径数值与成人相比,差异无显著性,提示在该年龄组儿童的鼻丘发育已接近成人或与成人相同。
3. CT冠状扫描结果显示绝大多数鼻丘含有1~3个气房。其中以单气房最多(58%),双气房次之(31%),三气房者最少。气房左右不完全对称,其组合无规律。在以中鼻甲前端为中心的3个层面中,所有的受验者在中鼻甲外上方均可辨认鼻丘的形态以及和周围的结构关系。CT矢状位扫描显示,鼻丘位于筛泡前上方,说明鼻丘气房与中鼻甲前端及筛泡的关系是恒定的。
4. 鼻丘顶壁是额窦的底,发育良好的鼻丘可向上突入额窦[6],这种现象在矢状位CT中尤为清晰地看到。我们的观察结果显示,鼻丘横径在额窦发育良好和发育不良组中无明显差异,但是高位鼻丘出现率与额窦发育成正相关。由此可以推测,鼻丘向上气化的程度与额窦的发育关系密切。鼻中隔偏曲组中,左右鼻丘的横径大小无显著差异,这说明鼻中隔偏曲对鼻丘发育无明显影响。
, 百拇医药
5. 无论冠状位还是矢状位连续扫描,在以中鼻甲最前端为中心的3个层面,均可以清楚地看到鼻泪管位于鼻丘的外下方,鼻丘横径的大小,鼻丘位置的高低以及鼻丘气房的组合变化等均未使二者之间的关系改变。
二、鼻丘形态及邻近结构在内窥镜鼻窦外科的应用
鼻丘在解剖学上与额窦和鼻泪管关系密切,它是鼻内额窦手术和鼻腔泪囊造口术的进路,了解鼻丘形态及邻近结构的关系对开展此2种手术是相当重要的。
1. 以下2种情况应慎重手术或在有经验医师指导下手术:①中鼻甲前端是确认鼻丘的重要标志,如果由于中鼻甲息肉样变或其它原因切除中鼻甲前端并破坏其根部的形态使鼻丘无法辨认者;②鼻丘未发育或发育不良者。
2. 鼻丘的顶为额窦的底,当鼻丘向上气化良好时,术中容易将鼻丘的顶壁误认为额隐窝,误以为已经开放了额窦。为此,术前可作冠状CT扫描分析鼻丘形态,术中利用探针等可避免这种现象发生。
, 百拇医药
3. 筛泡位于鼻丘后下方,是鼻内额窦手术的重要标志之一。开放鼻丘时,可先保留筛泡,避免损伤筛前动脉;亦可同时打开鼻丘和筛泡,看清筛前动脉和筛顶,再扩大鼻丘气房。
4. 9~16岁儿童的鼻丘横径已接近成人,但由于儿童鼻腔上半部较成人相对狭窄,鼻内额窦手术应慎重。
5. 因前组鼻窦有炎症已经行内窥镜手术治疗者,由于术后局部出现粘连或疤痕形成,有可能增加鼻腔泪囊造口术的难度,甚至导致手术失败。
三、鼻丘炎症与慢性鼻窦炎的关系
本组资料显示,鼻丘与前组鼻窦关系密切,前组鼻窦炎往往波及鼻丘(47.2%)。 并且鼻丘炎症多见于额窦、前组筛窦和上颌窦炎,以及前组筛窦炎和上颌窦炎等多发性前组鼻窦炎,单纯前组筛窦炎或上颌窦炎时则少见。鼻丘有慢性炎症时可导致其骨壁增厚,会给鼻内额窦开放术及鼻内鼻泪管手术造成一定困难。鼻丘气房位置的高低与炎症未见明显的相关性。
, 百拇医药
《参考文献》
[1] Ritter RN.The paranasal sinuses: anatomy and surgical technique.3rd ed. St.Louis:Mosby,1973.17-33.
[2] Messerklinger W.On the drainage of the normal frontal sinus of man. Acta Otolaryngol, 1967 63:176-181.
[3] Van Alyea OE. Ethimoid labyrinth: anatomy study, with consideration of the clinical significance of its structural characteristics. Arch Otolaryngol, 1939,29: 881-901.
, http://www.100md.com
[4] Knnedy DW,Zinreich SJ. Functional endoscopic approach to inflammatory sinus disease: current perspective and technique modifications. Am J Rhinol, 1988,2:89-96.
[5] Bolger WE, Butzin CA, Parsons DS. Paranasal sinus bony anatomic variations and mucosal abnormalities: CT analysis for endoscopic sinus surgery. Laryngoscope, 1991,101:56-64.
[6] Kuhn FA, Bolger WE, Tisdal RG. The agger nasi cell in frontal recess obstruction: an anatomic radiologic and clinical correlation. Opera Techni Otolaryngol Head Neck Surg, 1991,2:226-231.
(收稿:1998-04-08 修回:1998-10-29), 百拇医药
单位:100029 北京 中日友好医院耳鼻咽喉科(王娜亚、范为、张华、张小伯、王忠植); 山西霍州矿物局中心医院耳鼻咽喉科(郭新华);河南许昌市人民医院耳鼻咽喉科(李太峰)
关键词:鼻窦;;体层摄影术;X线计算机;;外科手术;;内窥镜检查
中华耳鼻咽喉科杂志/990109 【摘要】 目的 为了深入开展鼻内窥镜下额窦手术和鼻腔泪囊造口术等,观察鼻丘形态及其邻近结构的关系。方法 采用鼻窦连续冠状和矢状位扫描,观察100例患者(包括鼻中隔偏曲30例,慢性鼻炎40例,慢性鼻窦炎30例),其中成人80例,儿童20例。结果 ①绝大多数病例(99%)有鼻丘气房,儿童(9~16岁)鼻丘发育与成人相比无差异性;②鼻丘形态变化很大,但与中鼻甲前端、筛泡和鼻泪管的关系是恒定的;③鼻丘向上气化程度与额窦发育关系密切,鼻中隔偏曲对其发育无明显影响;④前组鼻窦的广泛炎症易波及鼻丘,并可出现鼻丘骨质增厚。结论 鼻丘为鼻内额窦手术和鼻腔泪囊造口术的进路,可借助鼻窦CT进行术前设计和预防并发症的发生。
, 百拇医药
The CT scan of the agger cell and its adjacent structure in endoscopic paranasal sinus surgery WANG Naya, FAN Wei, ZHANG Hua,et al. Department of Otorhinolaryngology, China-Japan Friendship Hospital,Beijing 100029
【Abstract】 Objective To promote the development of endoscopic frontal sinus surgery and naso-lacrimal anastomosis surgery by studying the agger cells and their adjacent structures.Methods One hundred patients were observed by the continuous coronal CT scan and sagittal CT scan of the paranasal sinuses. Among them, 30 had deviation of nasal septum; 40 had chronic nasosinusitis. There were 80 adult and 20 children.Results (1)The agger cells existed in 99% of the cases, the development of the agger cells in 9~16 years old children, and adult had no difference; (2) The morphology of agger cells differed widely, but its relationship to the anterior border of the middle nasal concha, bulla ethmoidalis and nasolacrimal canal was quite stable; (3) The upward pneumatization of the agger cells was not related to deviation of nasal septum, but closely related to the development of the frontal sinus; (4) The anterior nasosinusitis often influenced the agger cells and might result in hyperosteogeny. Conclusion The agger cells situated at the pathway of the intranasal frontal sinus during surgery and dacryocystorhinostomy, the nasal CT scan might be beneficial to the prevention of surgical complications.
, 百拇医药
【Key words】 Paranasal sinuses Tomography,X-ray computed Surgery,operative Endoscopy
我们采用鼻窦连续冠状、矢状位扫描观察鼻丘的形态及其邻近组织的关系,以及鼻丘在慢性鼻窦炎中的改变,报道如下。
材料和方法
一、 观察对象
包括鼻中隔偏曲30例,慢性鼻炎40例,慢性鼻窦炎30例共计100例。其中男62例,女38例。成人80例,年龄19~61岁,平均年龄36.2岁;儿童20例,年龄9~16岁,平均年龄12.3岁。均无前期手术史。
二、研究方法
对以上患者行CT薄层冠状扫描,患者取仰卧位,CT扫描机与颏顶线成角22°~25°,冠状位扫描范围前起额窦,后至蝶窦,其中5例同时行矢状位扫描。层厚3 mm,层间隔1 mm,电压120 kV,电流130 mA。窗宽2 000,窗位190。CT机型为GE 4 000,在扫描成像过程中,利用轨迹球进行测量(显示矩阵为512×512)。
, http://www.100md.com
三、 观察方法
以中鼻甲最前端的层面及其相邻的前后层面,共3个层面作为重点,观察鼻丘的气房数、额窦发育、鼻中隔偏曲对鼻丘气房的影响、鼻丘和鼻泪管的关系、鼻丘和额窦的关系及鼻丘在慢性鼻窦炎中的改变,并在冠状位上作如下测量:
1.鼻丘横径的测量:在筛板水平以下, 测量鼻丘内侧壁到外侧壁(纸样板)的水平距离。将3个层面的测量值进行算术平均,作为鼻丘的横径值。
2.鼻丘气房的位置:以筛板为中心,测量鼻丘气房顶壁的高度。 鼻丘气房顶壁高于筛板2 mm者为高位,低于筛板2 mm者为低位。
四、 统计学处理
采用t检验及χ2检验。
结果
, http://www.100md.com
一、鼻丘气房的发育
鼻丘气房有单气房、 双气房及三气房等形态(图1)。以单气房为最多,为116侧(58%);双气房为62侧(31%);三气房为20侧(10%);无气房2侧(1%)。两侧鼻丘气房数比分别为:1∶1为38例(38%),1∶0为2例,1∶2为26例,1∶3为12例,2∶2为14例,2∶3为8例。100例中鼻丘发育者198侧(占99%),未发育者2侧(占1%)。
图1 左侧鼻丘为3气房,右侧鼻丘为2气房
二、鼻丘横径的测量
成人为4.0~12.0 mm,均值(8.33±1.91) mm(
, http://www.100md.com
三、鼻丘气房的位置
鼻丘气房位置分高、中、低3种,其2侧对称或不对称(图2)。高位鼻丘组双侧者10例,单侧为42例,共62侧(31%);中位鼻丘组双侧为24例,单侧为16例,合计64侧(32%);低位鼻丘组双侧为25例,单侧为24例,合计74侧(37%)。3种位置的出现率差异无显著性(P>0.05)。比较高位鼻丘气房与额窦发育的关系,额窦发育良好、中等和不良3组的例数分别为55、26、19例,3组中高位鼻丘分别为46、12、4侧,其出现率分别为41.8%、23.1%、10.5%,高位鼻丘的出现率与额窦发育呈正相关。此外,矢状位CT显示鼻丘位于筛泡的前上方,发育良好者可进入额窦(图3)。
图2 左右鼻丘气房不对称,右侧为中位,左侧为高位鼻丘。鼻丘的外下方为鼻泪管(
, 百拇医药
图3 矢状位CT。可见气化良好的鼻丘(
四、鼻丘与鼻泪管的关系
无论冠状位还是矢状位,在设定的3个层面中,全部受检者均可清晰地显示鼻泪管于鼻丘外下方(图2)。
图4 左侧额窦、前组筛窦和上颌窦炎,炎症波及左鼻丘(
五、鼻丘炎症与慢性鼻窦炎的关系
, 百拇医药
本组30例慢性鼻窦炎53侧(7例为1侧发病)中均有不同程度的前组鼻窦炎。其中额窦、前组筛窦和上颌窦炎17侧,炎症波及鼻丘者10侧(图4);前组筛窦和上颌窦炎16侧,炎症波及鼻丘者12侧;额窦炎2侧,均伴有鼻丘炎症;前组筛窦炎5侧,鼻丘正常;上颌窦炎13侧,炎症波及鼻丘者1侧。炎症波及鼻丘者共25侧,占47. 2%(25/53)。此外,鼻丘骨质增厚者6例;单气房发病18侧,双气房以上发病7例。高、中、低位鼻丘的发病分别为8/64、7/64、10/74侧。
讨论
讨论
一、鼻丘的发育和形态
1. 鼻丘气房是最前端的筛窦气房,位于中鼻甲前端的外上方[1],以往的解剖学研究显示鼻丘变异很大,约10%~89%的人有鼻丘气房[2,3]。但近年来通过鼻窦冠状扫描发现98.5%的人,甚至所有的人都有鼻丘气房[4,5]。我们的观察结果,鼻丘发育者高达99%。这种报道上的差异是因为分析方法不同或对前筛气房解剖定义不同所致的[5]。
, http://www.100md.com
2. 鼻丘横径的数值,可作为鼻丘发育的参考指标之一。鼻丘气房的发育被认为是与前组筛窦发育同步[3]。 筛窦的发育在15~18岁时完成,本组儿童年龄9~16岁,本次所测量的鼻丘横径数值与成人相比,差异无显著性,提示在该年龄组儿童的鼻丘发育已接近成人或与成人相同。
3. CT冠状扫描结果显示绝大多数鼻丘含有1~3个气房。其中以单气房最多(58%),双气房次之(31%),三气房者最少。气房左右不完全对称,其组合无规律。在以中鼻甲前端为中心的3个层面中,所有的受验者在中鼻甲外上方均可辨认鼻丘的形态以及和周围的结构关系。CT矢状位扫描显示,鼻丘位于筛泡前上方,说明鼻丘气房与中鼻甲前端及筛泡的关系是恒定的。
4. 鼻丘顶壁是额窦的底,发育良好的鼻丘可向上突入额窦[6],这种现象在矢状位CT中尤为清晰地看到。我们的观察结果显示,鼻丘横径在额窦发育良好和发育不良组中无明显差异,但是高位鼻丘出现率与额窦发育成正相关。由此可以推测,鼻丘向上气化的程度与额窦的发育关系密切。鼻中隔偏曲组中,左右鼻丘的横径大小无显著差异,这说明鼻中隔偏曲对鼻丘发育无明显影响。
, 百拇医药
5. 无论冠状位还是矢状位连续扫描,在以中鼻甲最前端为中心的3个层面,均可以清楚地看到鼻泪管位于鼻丘的外下方,鼻丘横径的大小,鼻丘位置的高低以及鼻丘气房的组合变化等均未使二者之间的关系改变。
二、鼻丘形态及邻近结构在内窥镜鼻窦外科的应用
鼻丘在解剖学上与额窦和鼻泪管关系密切,它是鼻内额窦手术和鼻腔泪囊造口术的进路,了解鼻丘形态及邻近结构的关系对开展此2种手术是相当重要的。
1. 以下2种情况应慎重手术或在有经验医师指导下手术:①中鼻甲前端是确认鼻丘的重要标志,如果由于中鼻甲息肉样变或其它原因切除中鼻甲前端并破坏其根部的形态使鼻丘无法辨认者;②鼻丘未发育或发育不良者。
2. 鼻丘的顶为额窦的底,当鼻丘向上气化良好时,术中容易将鼻丘的顶壁误认为额隐窝,误以为已经开放了额窦。为此,术前可作冠状CT扫描分析鼻丘形态,术中利用探针等可避免这种现象发生。
, 百拇医药
3. 筛泡位于鼻丘后下方,是鼻内额窦手术的重要标志之一。开放鼻丘时,可先保留筛泡,避免损伤筛前动脉;亦可同时打开鼻丘和筛泡,看清筛前动脉和筛顶,再扩大鼻丘气房。
4. 9~16岁儿童的鼻丘横径已接近成人,但由于儿童鼻腔上半部较成人相对狭窄,鼻内额窦手术应慎重。
5. 因前组鼻窦有炎症已经行内窥镜手术治疗者,由于术后局部出现粘连或疤痕形成,有可能增加鼻腔泪囊造口术的难度,甚至导致手术失败。
三、鼻丘炎症与慢性鼻窦炎的关系
本组资料显示,鼻丘与前组鼻窦关系密切,前组鼻窦炎往往波及鼻丘(47.2%)。 并且鼻丘炎症多见于额窦、前组筛窦和上颌窦炎,以及前组筛窦炎和上颌窦炎等多发性前组鼻窦炎,单纯前组筛窦炎或上颌窦炎时则少见。鼻丘有慢性炎症时可导致其骨壁增厚,会给鼻内额窦开放术及鼻内鼻泪管手术造成一定困难。鼻丘气房位置的高低与炎症未见明显的相关性。
, 百拇医药
《参考文献》
[1] Ritter RN.The paranasal sinuses: anatomy and surgical technique.3rd ed. St.Louis:Mosby,1973.17-33.
[2] Messerklinger W.On the drainage of the normal frontal sinus of man. Acta Otolaryngol, 1967 63:176-181.
[3] Van Alyea OE. Ethimoid labyrinth: anatomy study, with consideration of the clinical significance of its structural characteristics. Arch Otolaryngol, 1939,29: 881-901.
, http://www.100md.com
[4] Knnedy DW,Zinreich SJ. Functional endoscopic approach to inflammatory sinus disease: current perspective and technique modifications. Am J Rhinol, 1988,2:89-96.
[5] Bolger WE, Butzin CA, Parsons DS. Paranasal sinus bony anatomic variations and mucosal abnormalities: CT analysis for endoscopic sinus surgery. Laryngoscope, 1991,101:56-64.
[6] Kuhn FA, Bolger WE, Tisdal RG. The agger nasi cell in frontal recess obstruction: an anatomic radiologic and clinical correlation. Opera Techni Otolaryngol Head Neck Surg, 1991,2:226-231.
(收稿:1998-04-08 修回:1998-10-29), 百拇医药