陈旧跟腱断裂的临床病理研究
作者:余家阔 于长隆 曲绵域 蒋青
单位:余家阔(北京医科大学第三医院运动医学研究所 100083);于长隆(北京医科大学第三医院运动医学研究所 100083);曲绵域(北京医科大学第三医院运动医学研究所 100083) 蒋青(北京医科大学第三医院运动医学研究所 100083)
关键词:跟腱;病理;超微结构;免疫组化;生长因子
中国运动医学杂志000104 摘 要:目的:了解陈旧跟腱断裂患者的跟腱断端及其周围腱组织和肌肉组织的病理改变情况。材料和方法:对30例陈旧跟腱断裂者的跟腱断端及其周围的腱组织和肌肉组织进行了术中的大体病理观察;对其中的12例患者的断端及附近的腱组织和肌肉组织还进行了光镜、电镜的形态学观察,并用ABC免疫组化法了解了这些部位的表皮生长因子(EGF)和成纤维细胞生长因子(FGF)的表达情况。结果:(1)陈旧跟腱断裂的断端有滑囊存在,滑囊的出现率是43.3%。(2)陈旧跟腱断裂所累及的不仅仅是跟腱本身,还可伴有小腿三头肌的变性、坏死改变。(3)跟腱陈旧断端的异常EGF的自分泌和旁分泌是导致跟腱断端大量毛细血管增生、血管内皮细胞增生和管腔狭窄、纤维结缔结组织增生的主要原因,FGF在其中所起的作用还有待进一步阐明。结论:陈旧跟腱断裂的病理改变所累及的不仅是跟腱本身,还累及其附近的肌肉组织。避免误诊、减少陈旧跟腱断裂的发生,不仅可以避免肌肉组织变性坏死等不必要的并发症,而且可以促进术后患者的早日康复并提高对跟腱断裂手术疗效。
, 百拇医药
Clinical Pathological Study on Old Ruptures of Achilles Tendons
Yu Jiakuo,Yu Changlong,Qu Mianyu,Jiang Qing
(Institute of Sports Medicine,3rd Hospital,Beijing Medical University,100083)
Abstract:The pathological changes of the disconnection sites and surrounding tissues in patients with old ruptures of Achilles tendons were investigated. Naked eye observations in all 30 patients,and among them,12 patients were also in vestigated by light and transmission electron microscope.ABC immunohistochemical method was used to discover the expression of epithelial growth factor(EGF) and fibroblast growth factor(FGF) in the ruptured sites and tissues around.The results showed:(1) Bursae in the old ruptured sites in 43.3% patients.(2)Old ruptures not only encroached the disconnection sites,but also lead to the degenerati on and necrosis changes of the triceps muscles of legs.(3)The capillary regener ation,vessel endothelial cells hyperplasia,canal narrowing,and the fibrous conne ctive tissue hyperplasia might be caused by the abnormal autocrine and paracrine of the EGF.The action of FGF was unclear.
, 百拇医药
The pathological changes encroached not only the disconnection sites but also the tendon and muscle tissues around it.Avoiding misdiagnosis,decreasing the inci dence of old ruptures could avoid the degeneration and necrosis complications of muscle tissues,promote patients' rehabilitation post operation,and improve the operative effects on ruptures of Achilles tendons.
Key words:Achilles tendon,pathology,ultrastructure,immunohis tochemistry,growth factor▲
, 百拇医药
有关跟腱断裂的报道从20世纪50年代以后才多起来[1]。尽管如此,绝大多数报道都是关于急性跟腱断裂的,对陈旧跟腱断裂的报道极少,报道的病例数也有限。有关陈旧跟腱断裂的临床病理报道至今仍很少见。本研究对30例运动员和非运动员的陈旧跟腱断裂的术中病理、光镜、电镜形态学改变和成纤维细胞生长因子(FGF)、内皮细胞生长因子(EGF)的表达情况进行了研究。
1 临床资料与研究方法
1.1 一般资料:本研究对观察的30例陈旧跟腱断裂患者中,运动员、演员、体育教师11人,机关干部10人,工人6人,学生2人,司机1人。男25例,女5例。年龄17-64岁,平均36.5岁。左跟腱陈旧断裂17例,右13例。
除4例锐器直接切割致跟腱断裂、4例摔倒时踝关节突然背伸牵拉致跟腱断裂以外,其余22例均在体育活动时受伤(占73.3%)。打篮球致伤者10人(人数最多,占33%),足球3人、排球2人、羽毛球2人、短跑2人,乒乓球1人,武术1人,跳远1人。
, 百拇医药
患者从跟腱断裂到手术治疗的时间最短的40天,最长的3年。平均病程为245天。随访时间最短的7个月,最长的24.5年,平均5.28年。
1.2 手术前症状体征:所有患者术前均有跖屈和提踵无力主诉。体检时均有跟腱延长、俯卧患侧跟腱正常轮廓消失,跟腱断端有凹陷或疤痕隆起,患肢提踵无力、跖屈抗阻无力。Thompson实验(捏小腿三头肌试验)15例阳性,8例可疑,7例阴性(23.3%)。10例患者断端处可触及压痛,4例患者跟腱背侧皮肤可触及疤痕。5例患者跟腱处有轻度肿胀。跟腱凹陷在跟骨结节上2-10cm不等,以跟骨结节上3-5cm处(20例)为多。
1.3 大体病理观察方法:对30例患者的陈旧跟腱断裂处的大体病理观察均在术中进行。从切开皮下就开始观察皮下有无粘连,跟腱腱围情况,跖肌腱情况,跟腱断端有无滑囊,断端瘢痕形成情况,跟腱变性情况等。
1.4 取材方法:共对30例患者中的12例进行了术中取材。术中对跟腱陈旧断裂处的瘢痕组织、变性的跟腱组织、跟腱断端的滑囊和邻近断端的小腿腓肠肌组织进行取材。每一组织除少数用于电镜标本制作外,其余用于光镜标本的制作。用于制作光镜标本的组织取材后立即用10%福尔马林固定;用于制作电镜标本的组织,取材后立即用生理盐水清洗后切成大小为1mm×2mm的小块,用3%戊二醛立即固定。
, http://www.100md.com
1.5 按常规方法对病变腱组织进行光镜、电镜下的病理形态学观察:制作光镜标本均用国产常规器械和试剂。制作电镜标本所用的戊二醛、四氧化锇、Epon812和Epon815树脂、醋酸铀和硝酸铅等试剂均为日本和光纯药工业株式会社生产,所用电镜为日本电子生产的CX-100型透射电镜。超薄切片厚度为700埃。
1.6 用ABC免疫组化法和抗EGF、抗FGF单克隆抗体对12例患者跟腱陈旧断裂处及周围组织的标本进行免疫组化染色:所用试剂均为国产分析纯试剂,抗EGF单克隆抗体和抗FGF单克隆抗体购自美国CALBIOCHEM公司。按常规方法进行ABC免疫组化染色。
2 观察结果
2.1 大体病理观察结果:术中可见,30例患者的皮下组织、深筋膜和跟腱腱围之间均存在广泛粘连,均有腱围、腱和断端处的黄色脂肪样变性以及断端间的疤痕连接。术中见,断端与跟腱下止点间的距离不等,以距下止点3-5cm者为最多。8例病人的跖肌腱未断,其中2人的跖肌腱变粗。腱的缺损长度从1.5cm到7cm不等。值得注意的是,有13例跟腱陈旧断端见断端滑囊(43.3%),其中1例滑囊中有淡红色的血性滑囊液。
, 百拇医药
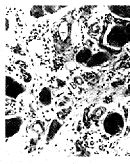
2.2 光镜观察结果:对12例陈旧跟腱断裂处的组织标本进行光镜观察发现,所有标本中均有腱组织和瘢痕组织中的大量毛细血管增生,在增生的血管中,总有一些血管的内皮细胞增生,导致管腔狭窄(图1),还可见到毛细血管的动脉化现象。所有12例标本中均见腱纤维结缔组织增生、玻璃样变、纤维截段变和局灶性坏死。11例标本中有腱纤维间脂肪变性(图2)和粘液变性,4例有腱纤维淀粉样变。所取的5例腓肠肌标本中都可见肌纤维间纤维结缔组织增生,肌纤维断面失去正常轮廓,肌细胞核排列紊乱,肌纤维发生局灶性变性、坏死改变(图3)以及肌纤维出现严重的脂肪变性(图4)等改变。

图1 跟腱陈旧断端的组织中有大量的血管存在,有 些血管的血管内皮细胞增生、管壁增厚、管腔狭窄(↑)(HE,20×)。
Fig. 1 Dense blood ve ssels in old reptured site, proliferation of vascular endothelium cells, vascula r wall thickened and catvity narrowed.(↑)(HE,20×)

, 百拇医药
图2 跟腱腱纤维间的脂肪变性(↑)(HE,20×)。
Fig. 2 Fatty degenera tion among the fibers of Achilles tendon(↑)(HE,20×)

图3 肌纤维断面不规则(A),局灶性变性、 坏死(B),肌纤维间有血管(C)和纤维结缔组织增生和炎细胞浸润(D)(HE,20×)
Fig. 3 Transverse sec tion of myofibers anomalistic(A), local degeneration and necrosis(B), vassels a mong myofibers(C), connective tissues proliferation and inflammatory cells infil tration(D),(HE,20×)

, 百拇医药
图4 肌纤维间的脂肪变性(↑)(HE,10×)
Fig. 4 Fatty degenera tion among myofibers(↑)(HE,10×)
2.3 电镜观察结果:电镜下可见,组成跟腱的部分Ⅰ型胶原纤维发生溶解,较多的胶原纤维发生弯折、扭曲,同一平面的胶原纤维有横向断面和纵向断面共同出现,胶原纤维束的排列完全紊乱(图5)。邻近断端的小腿腓肠肌的肌纤维中,肌原纤维普遍变细,同一平面中有肌原纤维的横断面和纵断面,肌原纤维排列紊乱。肌原纤维中的肌小节排列不规则,肌小节中的粗丝和细丝结构模糊、分布不均匀。肌原纤维之间以及肌原纤维内的肌小节之间普遍存在着一定的空隙(图6-7)。

图5 跟腱陈旧断裂处的胶原纤维排列紊乱,横断面 (A)和纵断面(B)共同存在,部分胶原纤维发生溶解(C),或弯折、卷曲(D)(透射电镜,10000 ×)。
, http://www.100md.com
Fig. 5 The collagen f ibers in old ruptured site inordinately arranged, transverse sections(A), lognit udinal sections(B)coexist, partial collagen fibers lysis(C), bended and wound(D )(TEM,10000×).

图6 急性跟腱断裂的透射电镜下肌纤维表现(透射 电镜,10000×)。
Fig. 6 Myofibers of a cute rupture of Achilles tendon (TEM,10000×).

, 百拇医药
图7 陈旧跟腱断裂的透射电镜下肌纤维表现(透射 电镜,10000×)。
Fig. 7 Myofibers of o ld rupture of Achilles tendon(TEM,10000×).
2.4 跟腱陈旧断裂处的EGF和FGF表达情况:从对12例跟腱陈旧断端组织的免疫组化染色发现,9例组织中的血管内皮细胞(图8)和瘢痕组织中的成纤维细胞中(图9)有大量的EGF表达,6例腱组织的腱纤维细胞中有EGF表达,1例断端滑囊壁的成纤维细胞样细胞中也有大量的EGF表达。在1例已经发生跟腱断裂2年的跟腱陈旧断端中,跟腱组织的纤维细胞中仍有大量的EGF表达。FGF的表达不同于EGF的表达,在11例断端组织中,只有2例断端增生血管内皮细胞中见到少量的FGF表达。腱组织、瘢痕组织和肌肉组织中未见FGF的表达。
未见这两种生长因子的表达量与跟腱断裂时间的长短有固定联系。

, 百拇医药
图8 增生血管内皮细胞中的EGF表达(↑,2 0×)。
Fig. 8 EGF expression in the proliferated vascular endothelium cells(↑,20×).

图9 陈旧跟腱断裂的断端中瘢痕组织中的EGF表达( 深染处)(ABC免疫组化染色,20×)。
Fig. 9 EGF expression in scar of old ruptured sites of Achilles tendon deeply stained cells(ABC immun ohistochemical method.20×).
, 百拇医药
3 讨论
3.1 陈旧跟腱断裂的发生:目前,对于急性跟腱断裂后多长时间才称之为 陈旧跟腱断裂还不明确。Carden[2]等认为,手术治 疗 和非手术治疗1周以内的跟腱断裂,疗效均比1周的好,他们经过5年的随访发现,断后1周内 接受手术治疗的患者,平均跖屈力是健侧的91%,而断后1周的跖屈力只有健侧的74%。 所以,他们把1周作为分界线。
本研究所对时间已经超过2周的跟腱断裂,一般待伤后3个月再进行延期手术,因为,此时断 处已经形成牢固的纤维瘢痕愈合,可避免早期手术时因腱的断端和新鲜的瘢痕肉芽组织太脆 导致的缝合困难和缝合牢固程度下降。
从本组病历看,导致陈旧跟腱断裂的原因主要是首诊医生的误诊。国外文献报道的、由误诊 所致的陈旧跟腱断裂占跟腱断裂总数的20%-30%[3-6]。本文的30个病例中,20例为当地医生误诊所致,占总数的66.7%。
, 百拇医药
3.2 断端滑囊与陈旧跟腱断裂:还未见文献报道陈旧跟腱断 裂处有断端滑囊。本文30例手术中,见13例有断端滑囊存在(43.3%),最小的滑囊为1×1cm2大小,最大的2.5×5cm2。除一例滑囊中有血性滑 囊液外,其余均为淡黄色。另外,还有一个滑囊中有部分肌肉组织残留。从光镜下见滑囊内 壁有成纤维细胞样细胞。这些细胞来自何处还不清楚,但从这些细胞可以分泌大量的EGF这 一结果可以看出,这些细胞是一些功能已经发生改变的细胞。
3.3 陈旧跟腱断裂术后小腿三头肌萎缩和跖屈力量的 改变:本文30例病人术后,在平均随访时间5年多的情况下,仍有一些病人,按ArnerLindho lm疗效评定标准[7],疗效虽为优或良,但随访时仍有 较重的小腿三头肌萎缩。从光镜、电镜观察结果来看,跟腱断裂后,病理变化不仅仅局限于 跟腱处,还会累及到小腿三头肌的肌肉部分,肌肉部分也出现了局灶性变性、坏死和肌纤维 间大量纤维结缔组织增生等改变。因此,跟腱断裂后,小腿三头肌的变化不仅仅是废用性萎 缩这一适应性改变,而且还存在着变性、坏死的破坏性改变。这可能是小腿三头肌萎缩较难 恢复的原因,也与右跟腱术后跖屈力下降、耐力下降等有关。当然,对许多病人的随访结果 表明,虽然非常缓慢,但经过长期的术后康复,小腿三头肌的肌力和肌肉围度的最终恢复还 是可以达到的。但不能排除部分坏死肌纤维处的瘢痕化的不利影响。
, 百拇医药
肌肉的上述病理改变提示,减少对急性跟腱断裂的误诊,可以避免陈旧跟腱断裂患者的小腿 三头肌的严重病理改变,从而可以改善术后疗效,并缩短术后病人完全康复的时间。另外还 有两个需要考虑的临床问题,一是:跟腱断裂患者,如果就诊时间超过急性期,是随时发现 随时手术,还是待一定时期后才手术,两种手术时间所面临的小腿三头肌的病理变化程度当 然是不同的(采用保守治疗者另当别论)。二是:如果因种种原因不能立即接受保守治疗或手 术治疗,从一些病人的术中情况来看,急性期过后充分增加患肢小腿三头肌的活动可能可以 减轻小腿三头肌的病理改变。
关于陈旧跟腱断裂时可伴有小腿三头肌的病理变化,尚未见文献报道。
3.4 跟腱的病理改变与EGF和FGF的异常表达:目前可见的有 关跟腱病理改变的报道多是针对急性跟腱断裂的,所报道的病理改变有,腱围和腱的增厚、 钙化、玻璃样变和粘液样变[8],腱内血管增生、血 管 内皮细胞增生、管腔狭窄、脂肪样变性等[9]。Kannu s[9]和李梅君等[10]也对急 性跟腱断裂的病理进行了报道。但还未见对陈旧跟腱断裂的病理报道,也未见生长 因子在陈旧跟腱断裂的病理改变中所起作用的报道。从光镜观察结果可见,跟腱陈旧断端的 一个最显著的变化是大量毛细血管增生,而且有大量血管内皮细胞增生。从EGF的免疫组 化结果可知,这一变化可能与血管内皮细胞中EGF的异常自分泌和周围腱组织或瘢痕组织中 的大量EGF的旁分泌有关[11]。当然,EGF的异常表达还 可刺激瘢痕组织的生长[12] 。从FGF的免疫组化结果可 见,FGF的异常表达可能不是陈旧跟腱断裂的主要病理改变的原因所在,但是,这一观点还 有待于对抗FGF单克隆抗体的质量、实验方法及FGF的基因表达情况作进一步研究后才能明确 。
, http://www.100md.com
另外,目前还不知道完全健康的跟腱组织中EGF和FGF的表达情况。由于多数学者认为,新鲜 跟腱断裂的断端100%都有病理改变[8-10],所以新鲜跟 腱断裂断端中EGF和FGF的表达情况也不适合用于对陈旧跟腱断裂的比较,要取完全健康的跟 腱作比较研究一时还比较困难,今后有希望用动物试验方法来解决这一问题。
4 结论
4.1 陈旧跟腱断裂的断端有滑囊存在,滑囊的存在率 是43.3%。
4.2 陈旧跟腱断裂所累及的不仅仅是跟腱本身,还可伴有小 腿三 头肌的变性坏死改变。
4.3 导致陈旧跟腱断裂的主要原因是首诊医生的误诊,本文3 0例病人中被误诊的占66.7%。
4.4 跟腱陈旧断端的异常EGF表达可能与跟腱断端大量血管内 皮细胞增生,毛细血管增生,纤维结缔组织增生有关。FGF在其中所起的作用尚有待于进一 步阐明。■
, http://www.100md.com
参考文献:
[1]Barfred T. Achilles tendon rupture. An etiology and pathoge nesis of subcutaneous rupture assessed on the basis of the literature and rupture experiments on rats. Acta Orthop Scand, 1973, (Suppl. 152):1-124.
[2]Carden DG, Noble J, Chalmers J, et al. Rupture of the calcaneal tendon:The early and late management. J Bone Joint Surg(Br), 1987, 69:416-420.
[3]Arner O, Orell SR, Lindholm A, et al. Subcutaneous rupture of the Ach illes tendon:A study of 92cases. Acta Chir Scand, 1959, Suppl:239-244.
, http://www.100md.com
[4]Lawrence GH, Cave EF, O'Connor HO. Injury to the Achilles tenden. Ex prience at the Massachusetts General Hospital 1900-1954. Am J Surg, 1995, 89:79 5-802.
[5]Palston IL, Schmidt ER. Jr. Repair of the ruptured Achilles tendon. J Traum, 1971, 11:15-21.
[6]Boyden EM. Kitaoka HB, Cahalan TD, et al. Late versus early repair of Achilles tendon rupture, clinical and biomechanical evaluation. Clin Orthop, 1995, 317:150-158.
, 百拇医药
[7]Fox JM, Blazina M, Jobe F, et al. Degeneration and rupture of the Achilles tendon. Clin Orthop, 1975, 107:221-224.
[8]Arner O, Lindholm A, Orell SR. Histologic changes in subcutaneous rup ture of the Achilles tendon: A study of 74 cases. Acta Chir Scand, 1958, 116:484-90.
[9]Kannus P, Jozsa L, Hungary B. Histopathological changes preceding spontaneous rupture of a tendon. J Bone Joint Surg(AM), 1991,73: 1507-1525.
, http://www.100md.com
[10]李梅君,于长隆.运动员及演员跟腱断裂后的手术治疗与康复问题.中国运动 医学杂志,1983,2:1-5
[11]Latte M. The effect of epidermal growth factor on granulation tissue formation in the rat. Acta Chir Scand, 1988, 546(Suppl):1-44
[12]Brown G1. Enhancement of wound healing by topical treatment withepi dermal growth factor. N Eng1 J Med,1989,321:76-79.
收稿日期:1998-10-23, 百拇医药
单位:余家阔(北京医科大学第三医院运动医学研究所 100083);于长隆(北京医科大学第三医院运动医学研究所 100083);曲绵域(北京医科大学第三医院运动医学研究所 100083) 蒋青(北京医科大学第三医院运动医学研究所 100083)
关键词:跟腱;病理;超微结构;免疫组化;生长因子
中国运动医学杂志000104 摘 要:目的:了解陈旧跟腱断裂患者的跟腱断端及其周围腱组织和肌肉组织的病理改变情况。材料和方法:对30例陈旧跟腱断裂者的跟腱断端及其周围的腱组织和肌肉组织进行了术中的大体病理观察;对其中的12例患者的断端及附近的腱组织和肌肉组织还进行了光镜、电镜的形态学观察,并用ABC免疫组化法了解了这些部位的表皮生长因子(EGF)和成纤维细胞生长因子(FGF)的表达情况。结果:(1)陈旧跟腱断裂的断端有滑囊存在,滑囊的出现率是43.3%。(2)陈旧跟腱断裂所累及的不仅仅是跟腱本身,还可伴有小腿三头肌的变性、坏死改变。(3)跟腱陈旧断端的异常EGF的自分泌和旁分泌是导致跟腱断端大量毛细血管增生、血管内皮细胞增生和管腔狭窄、纤维结缔结组织增生的主要原因,FGF在其中所起的作用还有待进一步阐明。结论:陈旧跟腱断裂的病理改变所累及的不仅是跟腱本身,还累及其附近的肌肉组织。避免误诊、减少陈旧跟腱断裂的发生,不仅可以避免肌肉组织变性坏死等不必要的并发症,而且可以促进术后患者的早日康复并提高对跟腱断裂手术疗效。
, 百拇医药
Clinical Pathological Study on Old Ruptures of Achilles Tendons
Yu Jiakuo,Yu Changlong,Qu Mianyu,Jiang Qing
(Institute of Sports Medicine,3rd Hospital,Beijing Medical University,100083)
Abstract:The pathological changes of the disconnection sites and surrounding tissues in patients with old ruptures of Achilles tendons were investigated. Naked eye observations in all 30 patients,and among them,12 patients were also in vestigated by light and transmission electron microscope.ABC immunohistochemical method was used to discover the expression of epithelial growth factor(EGF) and fibroblast growth factor(FGF) in the ruptured sites and tissues around.The results showed:(1) Bursae in the old ruptured sites in 43.3% patients.(2)Old ruptures not only encroached the disconnection sites,but also lead to the degenerati on and necrosis changes of the triceps muscles of legs.(3)The capillary regener ation,vessel endothelial cells hyperplasia,canal narrowing,and the fibrous conne ctive tissue hyperplasia might be caused by the abnormal autocrine and paracrine of the EGF.The action of FGF was unclear.
, 百拇医药
The pathological changes encroached not only the disconnection sites but also the tendon and muscle tissues around it.Avoiding misdiagnosis,decreasing the inci dence of old ruptures could avoid the degeneration and necrosis complications of muscle tissues,promote patients' rehabilitation post operation,and improve the operative effects on ruptures of Achilles tendons.
Key words:Achilles tendon,pathology,ultrastructure,immunohis tochemistry,growth factor▲
, 百拇医药
有关跟腱断裂的报道从20世纪50年代以后才多起来[1]。尽管如此,绝大多数报道都是关于急性跟腱断裂的,对陈旧跟腱断裂的报道极少,报道的病例数也有限。有关陈旧跟腱断裂的临床病理报道至今仍很少见。本研究对30例运动员和非运动员的陈旧跟腱断裂的术中病理、光镜、电镜形态学改变和成纤维细胞生长因子(FGF)、内皮细胞生长因子(EGF)的表达情况进行了研究。
1 临床资料与研究方法
1.1 一般资料:本研究对观察的30例陈旧跟腱断裂患者中,运动员、演员、体育教师11人,机关干部10人,工人6人,学生2人,司机1人。男25例,女5例。年龄17-64岁,平均36.5岁。左跟腱陈旧断裂17例,右13例。
除4例锐器直接切割致跟腱断裂、4例摔倒时踝关节突然背伸牵拉致跟腱断裂以外,其余22例均在体育活动时受伤(占73.3%)。打篮球致伤者10人(人数最多,占33%),足球3人、排球2人、羽毛球2人、短跑2人,乒乓球1人,武术1人,跳远1人。
, 百拇医药
患者从跟腱断裂到手术治疗的时间最短的40天,最长的3年。平均病程为245天。随访时间最短的7个月,最长的24.5年,平均5.28年。
1.2 手术前症状体征:所有患者术前均有跖屈和提踵无力主诉。体检时均有跟腱延长、俯卧患侧跟腱正常轮廓消失,跟腱断端有凹陷或疤痕隆起,患肢提踵无力、跖屈抗阻无力。Thompson实验(捏小腿三头肌试验)15例阳性,8例可疑,7例阴性(23.3%)。10例患者断端处可触及压痛,4例患者跟腱背侧皮肤可触及疤痕。5例患者跟腱处有轻度肿胀。跟腱凹陷在跟骨结节上2-10cm不等,以跟骨结节上3-5cm处(20例)为多。
1.3 大体病理观察方法:对30例患者的陈旧跟腱断裂处的大体病理观察均在术中进行。从切开皮下就开始观察皮下有无粘连,跟腱腱围情况,跖肌腱情况,跟腱断端有无滑囊,断端瘢痕形成情况,跟腱变性情况等。
1.4 取材方法:共对30例患者中的12例进行了术中取材。术中对跟腱陈旧断裂处的瘢痕组织、变性的跟腱组织、跟腱断端的滑囊和邻近断端的小腿腓肠肌组织进行取材。每一组织除少数用于电镜标本制作外,其余用于光镜标本的制作。用于制作光镜标本的组织取材后立即用10%福尔马林固定;用于制作电镜标本的组织,取材后立即用生理盐水清洗后切成大小为1mm×2mm的小块,用3%戊二醛立即固定。
, http://www.100md.com
1.5 按常规方法对病变腱组织进行光镜、电镜下的病理形态学观察:制作光镜标本均用国产常规器械和试剂。制作电镜标本所用的戊二醛、四氧化锇、Epon812和Epon815树脂、醋酸铀和硝酸铅等试剂均为日本和光纯药工业株式会社生产,所用电镜为日本电子生产的CX-100型透射电镜。超薄切片厚度为700埃。
1.6 用ABC免疫组化法和抗EGF、抗FGF单克隆抗体对12例患者跟腱陈旧断裂处及周围组织的标本进行免疫组化染色:所用试剂均为国产分析纯试剂,抗EGF单克隆抗体和抗FGF单克隆抗体购自美国CALBIOCHEM公司。按常规方法进行ABC免疫组化染色。
2 观察结果
2.1 大体病理观察结果:术中可见,30例患者的皮下组织、深筋膜和跟腱腱围之间均存在广泛粘连,均有腱围、腱和断端处的黄色脂肪样变性以及断端间的疤痕连接。术中见,断端与跟腱下止点间的距离不等,以距下止点3-5cm者为最多。8例病人的跖肌腱未断,其中2人的跖肌腱变粗。腱的缺损长度从1.5cm到7cm不等。值得注意的是,有13例跟腱陈旧断端见断端滑囊(43.3%),其中1例滑囊中有淡红色的血性滑囊液。
, 百拇医药
2.2 光镜观察结果:对12例陈旧跟腱断裂处的组织标本进行光镜观察发现,所有标本中均有腱组织和瘢痕组织中的大量毛细血管增生,在增生的血管中,总有一些血管的内皮细胞增生,导致管腔狭窄(图1),还可见到毛细血管的动脉化现象。所有12例标本中均见腱纤维结缔组织增生、玻璃样变、纤维截段变和局灶性坏死。11例标本中有腱纤维间脂肪变性(图2)和粘液变性,4例有腱纤维淀粉样变。所取的5例腓肠肌标本中都可见肌纤维间纤维结缔组织增生,肌纤维断面失去正常轮廓,肌细胞核排列紊乱,肌纤维发生局灶性变性、坏死改变(图3)以及肌纤维出现严重的脂肪变性(图4)等改变。
图1 跟腱陈旧断端的组织中有大量的血管存在,有 些血管的血管内皮细胞增生、管壁增厚、管腔狭窄(↑)(HE,20×)。
Fig. 1 Dense blood ve ssels in old reptured site, proliferation of vascular endothelium cells, vascula r wall thickened and catvity narrowed.(↑)(HE,20×)
, 百拇医药
图2 跟腱腱纤维间的脂肪变性(↑)(HE,20×)。
Fig. 2 Fatty degenera tion among the fibers of Achilles tendon(↑)(HE,20×)
图3 肌纤维断面不规则(A),局灶性变性、 坏死(B),肌纤维间有血管(C)和纤维结缔组织增生和炎细胞浸润(D)(HE,20×)
Fig. 3 Transverse sec tion of myofibers anomalistic(A), local degeneration and necrosis(B), vassels a mong myofibers(C), connective tissues proliferation and inflammatory cells infil tration(D),(HE,20×)
, 百拇医药
图4 肌纤维间的脂肪变性(↑)(HE,10×)
Fig. 4 Fatty degenera tion among myofibers(↑)(HE,10×)
2.3 电镜观察结果:电镜下可见,组成跟腱的部分Ⅰ型胶原纤维发生溶解,较多的胶原纤维发生弯折、扭曲,同一平面的胶原纤维有横向断面和纵向断面共同出现,胶原纤维束的排列完全紊乱(图5)。邻近断端的小腿腓肠肌的肌纤维中,肌原纤维普遍变细,同一平面中有肌原纤维的横断面和纵断面,肌原纤维排列紊乱。肌原纤维中的肌小节排列不规则,肌小节中的粗丝和细丝结构模糊、分布不均匀。肌原纤维之间以及肌原纤维内的肌小节之间普遍存在着一定的空隙(图6-7)。
图5 跟腱陈旧断裂处的胶原纤维排列紊乱,横断面 (A)和纵断面(B)共同存在,部分胶原纤维发生溶解(C),或弯折、卷曲(D)(透射电镜,10000 ×)。
, http://www.100md.com
Fig. 5 The collagen f ibers in old ruptured site inordinately arranged, transverse sections(A), lognit udinal sections(B)coexist, partial collagen fibers lysis(C), bended and wound(D )(TEM,10000×).
图6 急性跟腱断裂的透射电镜下肌纤维表现(透射 电镜,10000×)。
Fig. 6 Myofibers of a cute rupture of Achilles tendon (TEM,10000×).
, 百拇医药
图7 陈旧跟腱断裂的透射电镜下肌纤维表现(透射 电镜,10000×)。
Fig. 7 Myofibers of o ld rupture of Achilles tendon(TEM,10000×).
2.4 跟腱陈旧断裂处的EGF和FGF表达情况:从对12例跟腱陈旧断端组织的免疫组化染色发现,9例组织中的血管内皮细胞(图8)和瘢痕组织中的成纤维细胞中(图9)有大量的EGF表达,6例腱组织的腱纤维细胞中有EGF表达,1例断端滑囊壁的成纤维细胞样细胞中也有大量的EGF表达。在1例已经发生跟腱断裂2年的跟腱陈旧断端中,跟腱组织的纤维细胞中仍有大量的EGF表达。FGF的表达不同于EGF的表达,在11例断端组织中,只有2例断端增生血管内皮细胞中见到少量的FGF表达。腱组织、瘢痕组织和肌肉组织中未见FGF的表达。
未见这两种生长因子的表达量与跟腱断裂时间的长短有固定联系。
, 百拇医药
图8 增生血管内皮细胞中的EGF表达(↑,2 0×)。
Fig. 8 EGF expression in the proliferated vascular endothelium cells(↑,20×).
图9 陈旧跟腱断裂的断端中瘢痕组织中的EGF表达( 深染处)(ABC免疫组化染色,20×)。
Fig. 9 EGF expression in scar of old ruptured sites of Achilles tendon deeply stained cells(ABC immun ohistochemical method.20×).
, 百拇医药
3 讨论
3.1 陈旧跟腱断裂的发生:目前,对于急性跟腱断裂后多长时间才称之为 陈旧跟腱断裂还不明确。Carden[2]等认为,手术治 疗 和非手术治疗1周以内的跟腱断裂,疗效均比1周的好,他们经过5年的随访发现,断后1周内 接受手术治疗的患者,平均跖屈力是健侧的91%,而断后1周的跖屈力只有健侧的74%。 所以,他们把1周作为分界线。
本研究所对时间已经超过2周的跟腱断裂,一般待伤后3个月再进行延期手术,因为,此时断 处已经形成牢固的纤维瘢痕愈合,可避免早期手术时因腱的断端和新鲜的瘢痕肉芽组织太脆 导致的缝合困难和缝合牢固程度下降。
从本组病历看,导致陈旧跟腱断裂的原因主要是首诊医生的误诊。国外文献报道的、由误诊 所致的陈旧跟腱断裂占跟腱断裂总数的20%-30%[3-6]。本文的30个病例中,20例为当地医生误诊所致,占总数的66.7%。
, 百拇医药
3.2 断端滑囊与陈旧跟腱断裂:还未见文献报道陈旧跟腱断 裂处有断端滑囊。本文30例手术中,见13例有断端滑囊存在(43.3%),最小的滑囊为1×1cm2大小,最大的2.5×5cm2。除一例滑囊中有血性滑 囊液外,其余均为淡黄色。另外,还有一个滑囊中有部分肌肉组织残留。从光镜下见滑囊内 壁有成纤维细胞样细胞。这些细胞来自何处还不清楚,但从这些细胞可以分泌大量的EGF这 一结果可以看出,这些细胞是一些功能已经发生改变的细胞。
3.3 陈旧跟腱断裂术后小腿三头肌萎缩和跖屈力量的 改变:本文30例病人术后,在平均随访时间5年多的情况下,仍有一些病人,按ArnerLindho lm疗效评定标准[7],疗效虽为优或良,但随访时仍有 较重的小腿三头肌萎缩。从光镜、电镜观察结果来看,跟腱断裂后,病理变化不仅仅局限于 跟腱处,还会累及到小腿三头肌的肌肉部分,肌肉部分也出现了局灶性变性、坏死和肌纤维 间大量纤维结缔组织增生等改变。因此,跟腱断裂后,小腿三头肌的变化不仅仅是废用性萎 缩这一适应性改变,而且还存在着变性、坏死的破坏性改变。这可能是小腿三头肌萎缩较难 恢复的原因,也与右跟腱术后跖屈力下降、耐力下降等有关。当然,对许多病人的随访结果 表明,虽然非常缓慢,但经过长期的术后康复,小腿三头肌的肌力和肌肉围度的最终恢复还 是可以达到的。但不能排除部分坏死肌纤维处的瘢痕化的不利影响。
, 百拇医药
肌肉的上述病理改变提示,减少对急性跟腱断裂的误诊,可以避免陈旧跟腱断裂患者的小腿 三头肌的严重病理改变,从而可以改善术后疗效,并缩短术后病人完全康复的时间。另外还 有两个需要考虑的临床问题,一是:跟腱断裂患者,如果就诊时间超过急性期,是随时发现 随时手术,还是待一定时期后才手术,两种手术时间所面临的小腿三头肌的病理变化程度当 然是不同的(采用保守治疗者另当别论)。二是:如果因种种原因不能立即接受保守治疗或手 术治疗,从一些病人的术中情况来看,急性期过后充分增加患肢小腿三头肌的活动可能可以 减轻小腿三头肌的病理改变。
关于陈旧跟腱断裂时可伴有小腿三头肌的病理变化,尚未见文献报道。
3.4 跟腱的病理改变与EGF和FGF的异常表达:目前可见的有 关跟腱病理改变的报道多是针对急性跟腱断裂的,所报道的病理改变有,腱围和腱的增厚、 钙化、玻璃样变和粘液样变[8],腱内血管增生、血 管 内皮细胞增生、管腔狭窄、脂肪样变性等[9]。Kannu s[9]和李梅君等[10]也对急 性跟腱断裂的病理进行了报道。但还未见对陈旧跟腱断裂的病理报道,也未见生长 因子在陈旧跟腱断裂的病理改变中所起作用的报道。从光镜观察结果可见,跟腱陈旧断端的 一个最显著的变化是大量毛细血管增生,而且有大量血管内皮细胞增生。从EGF的免疫组 化结果可知,这一变化可能与血管内皮细胞中EGF的异常自分泌和周围腱组织或瘢痕组织中 的大量EGF的旁分泌有关[11]。当然,EGF的异常表达还 可刺激瘢痕组织的生长[12] 。从FGF的免疫组化结果可 见,FGF的异常表达可能不是陈旧跟腱断裂的主要病理改变的原因所在,但是,这一观点还 有待于对抗FGF单克隆抗体的质量、实验方法及FGF的基因表达情况作进一步研究后才能明确 。
, http://www.100md.com
另外,目前还不知道完全健康的跟腱组织中EGF和FGF的表达情况。由于多数学者认为,新鲜 跟腱断裂的断端100%都有病理改变[8-10],所以新鲜跟 腱断裂断端中EGF和FGF的表达情况也不适合用于对陈旧跟腱断裂的比较,要取完全健康的跟 腱作比较研究一时还比较困难,今后有希望用动物试验方法来解决这一问题。
4 结论
4.1 陈旧跟腱断裂的断端有滑囊存在,滑囊的存在率 是43.3%。
4.2 陈旧跟腱断裂所累及的不仅仅是跟腱本身,还可伴有小 腿三 头肌的变性坏死改变。
4.3 导致陈旧跟腱断裂的主要原因是首诊医生的误诊,本文3 0例病人中被误诊的占66.7%。
4.4 跟腱陈旧断端的异常EGF表达可能与跟腱断端大量血管内 皮细胞增生,毛细血管增生,纤维结缔组织增生有关。FGF在其中所起的作用尚有待于进一 步阐明。■
, http://www.100md.com
参考文献:
[1]Barfred T. Achilles tendon rupture. An etiology and pathoge nesis of subcutaneous rupture assessed on the basis of the literature and rupture experiments on rats. Acta Orthop Scand, 1973, (Suppl. 152):1-124.
[2]Carden DG, Noble J, Chalmers J, et al. Rupture of the calcaneal tendon:The early and late management. J Bone Joint Surg(Br), 1987, 69:416-420.
[3]Arner O, Orell SR, Lindholm A, et al. Subcutaneous rupture of the Ach illes tendon:A study of 92cases. Acta Chir Scand, 1959, Suppl:239-244.
, http://www.100md.com
[4]Lawrence GH, Cave EF, O'Connor HO. Injury to the Achilles tenden. Ex prience at the Massachusetts General Hospital 1900-1954. Am J Surg, 1995, 89:79 5-802.
[5]Palston IL, Schmidt ER. Jr. Repair of the ruptured Achilles tendon. J Traum, 1971, 11:15-21.
[6]Boyden EM. Kitaoka HB, Cahalan TD, et al. Late versus early repair of Achilles tendon rupture, clinical and biomechanical evaluation. Clin Orthop, 1995, 317:150-158.
, 百拇医药
[7]Fox JM, Blazina M, Jobe F, et al. Degeneration and rupture of the Achilles tendon. Clin Orthop, 1975, 107:221-224.
[8]Arner O, Lindholm A, Orell SR. Histologic changes in subcutaneous rup ture of the Achilles tendon: A study of 74 cases. Acta Chir Scand, 1958, 116:484-90.
[9]Kannus P, Jozsa L, Hungary B. Histopathological changes preceding spontaneous rupture of a tendon. J Bone Joint Surg(AM), 1991,73: 1507-1525.
, http://www.100md.com
[10]李梅君,于长隆.运动员及演员跟腱断裂后的手术治疗与康复问题.中国运动 医学杂志,1983,2:1-5
[11]Latte M. The effect of epidermal growth factor on granulation tissue formation in the rat. Acta Chir Scand, 1988, 546(Suppl):1-44
[12]Brown G1. Enhancement of wound healing by topical treatment withepi dermal growth factor. N Eng1 J Med,1989,321:76-79.
收稿日期:1998-10-23, 百拇医药