胰腺癌与慢性胰腺炎的CT诊断
http://www.100md.com
37c医学网
作者:吴爱兰 韩萍 冯敢生 史河水
单位:同济医科大学附属协和医院放射科,武汉 430022
关键词:胰腺肿瘤;胰腺炎;断层摄影术,X线计算机
同济医科大学学报000426 摘要 为提高对胰腺疾病的CT诊断水平,根据被证实的50例胰腺癌和40例慢性胰腺炎的CT资料,对 CT征象进行观测、统计及分析。结果发现二者诊断与鉴别诊断的主要征象是:①病变区胰腺 局限或弥漫肿大与密度异常;②有无扩张的胆总管突然性狭窄截断与胰周大血管被包埋,管 径增粗、癌栓、腹部淋巴结肿大、肝转移;③有无沿胰管走向分布的钙化与扩张的胰管,扩 张胰管贯通病变区的情况;④胰腺囊肿的发生频率、部位与胰腺轮廓的关系。结果显 示:根据前述要点,参考其他征象,密切结合临床,CT诊断正确率达90%以上。
中图法分类号 R735.4, R814.42
, http://www.100md.com
CT Diagnosis of Pancreatic Carcinoma and Chronic Pancreatitis
Wu Ailan Han Ping Feng Gansheng et al
(Department of Radiology, Xiehe Hospital. Tongji Medica l University, Wuhan 430022)
Abstract To improve the diagnosis accurary of pancreatic carcinoma and chronic pancreatitis, anthors analyzed the CT findings of 90 cases with pancreatic carc inoma, chronic pancreatitis proved clinically and pathologically. Slice thicknes s of 5mm and slice interval of 5mm were used and enhancement study were performe d in all cases. The result found that the main sign in diagnosis and differentia l diagnosis between pancreatic carcinoma and chronic pancreatitis included: ①fo cal or diffuse enlargment and density abnormality of pancreas; ②dilated common bile duct were suddenly obstructed, peripancreatic blood vessels were invaded an d cancerous thrombus was revealed, enlargment of abdominal lymph nodes and metas tasis in the liver were discovered; ③calcium depoist in the pancreatic duct are a and dilated pancreatic duct which passed through the lesion or not; ④presenc e and location of pancreatic cyst and its relationship to pancreatic contour. Th e result showed that: CT is the imaging modality of choice in the diagnosis of p ancreatic carcinoma and chronic pancreatitis at present. The diagnostic accurary of CT was over 90% in this series.
, 百拇医药
Key words pancreatic neoplasms; pancreatitis tomography; X- ray computed
为提高胰腺疾病的诊断水平,根据我院1993年8月至1999年2月经手术、病理和临床证 实的50例胰腺癌及40例慢性胰腺炎的CT资料,对多个CT征象进行分析,现报道如下。
1 材料与方法
1.1 一般情况
胰腺癌:男40例,女10例,发病年龄30~70岁,就诊前病程3~365 d,主要症状与体征:上腹 部不适,疼痛,乏力,恶心,呕吐,其中胰头癌患者除前述症状外,常有无痛性黄疸进行性 加重。
慢性胰腺炎:男28例,女12例,发病年龄16~70岁,就诊前病程50 d~10年,主要症状与体征 :间断性上腹疼痛,消瘦,脂肪泻,急性发作时可突然出现剧烈腹痛,常伴恶心,厌油。
, http://www.100md.com
1.2 检查方法
采用GE Prospeed全身CT扫描机及Somaton Plus4螺旋式CT扫描机。全部病例均进行了平扫与 团注增强扫描,层厚5 mm,间距5 mm,床移速度5 mm/s。
2 结果
2.1 胰腺癌(以下称癌组)异常CT表现
2.1.1 胰腺内异常CT表现:见表1。①病变区胰腺肿大,形成肿块(图1),表现为病变区前后径增大与局限性超出邻近正常胰腺3mm以上的隆起,癌组具有此类表现者49例,癌肿多发生于胰头区(39/49,69.39%)。②病变区密度异常:平扫病变区表现等密度、低密度、低与等混杂密度和更低密度的液化坏死灶。增强扫描绝大多数病灶(49/50,98%)显示为不均匀强化,呈低、等与等混杂和液化坏死的低密度灶(图2)。③胰管扩张:本癌组中胰管扩张率为80%,扩张的胰管均位于肿块的胰尾侧。
, 百拇医药
2.1.2 胰腺外异常CT表现:见表2。①胰周脂肪层模糊:30例。② 胰周大血管模糊:3 0例,肠 系膜上动脉癌栓形成2例。③ 肝内、外胆管扩张,胆囊增大:本组中胰头肿大伴肝内胆管扩 张30例,肝外胆管扩张32例,胆囊增大32例,胆总管扩张,绝大多数呈突然性狭窄截断。④ 转移性病变:胰周与大血管旁淋巴结肿大10例(图3),肝转移5例,腹水2例。
图1 胰头癌。平扫示胰头增大,圆隆,其内密度不均,前后径约3.4 cm
图2 胰腺囊腺癌,增强CT示胰体局限性增大,呈低、等混杂密度,中间 有多个液化坏死灶
, http://www.100md.com 图3 胰体乳头状腺癌并腹膜后淋巴结转移。CT增强扫描示胰体部 轮廓明显增大,呈等、低混杂密度,腹腔动脉干左侧可见肿大的淋巴结
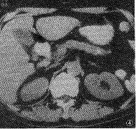
图4 慢性胰腺炎。CT平扫示胰尾部沿胰管走行分布的钙化灶,胰腺体积 缩小
表1 胰腺癌与慢性胰腺炎胰内异常CT表现及卡方检验 胰腺内异常CT表现
胰腺癌
慢性胰腺炎
χ2值
P值
例数/基数
百分率(%)
, http://www.100md.com
例数/基数
百分率(%)
病变区胰腺肿大
49/50
98.00
20/40
50.00
28.62
<0.01
病变区显示钙化灶
0/50
0.00
10/40
, 百拇医药
25.00
14.06
<0.01
沿胰管走向分布钙化灶
0/50
0.00
10/40
25.00
14.06
<0.01
增强扫描病变显示低、等低与等混杂、液化坏死灶
49/50
, 百拇医药
98.00
22/40
55.00
24.67
<0.01
扩张胰管贯通病变区
0/40
0.00
12/15
80.00
15.30
<0.01
扩张胰管胰头显示肿块
, 百拇医药
34/40
85.00
2/15
13.00
24.78
<0.01
胰腺囊肿
1/50
0.00
6/40
15.00
8.03
<0.01
, 百拇医药
表2 胰腺癌与慢性胰腺炎胰外异常CT表现及卡方检验
胰腺内异常CT表现
胰腺癌
慢性胰腺炎
χ2值
P值
例数/基数
百分率(%)
例数/基数
百分率(%)
胰周脂肪层模糊
30/50
, 百拇医药
60.00
15/40
37.50
4.50
<0.05
胰周大血管模糊
30/50
60.00
15/40
37.50
4.50
<0.05
肝内胆管扩张伴胰头肿大
, 百拇医药
30/34
88.24
6/10
60.00
4.14
<0.05
肝外胆管扩张伴胰头肿大
32/34
94.12
4/10
40.00
15.21
<0.01
, http://www.100md.com
总胆管下段扩张逐渐变细中断
2/32
6.25
4/5
80.00
17.31
<0.01
胆总管下段(或壶腹)扩张,突然狭窄截断
30/32
93.75
0/5
0.00
, 百拇医药
4.36
<0.05
腹部淋巴结肿大
10/50
20.00
0/40
0.00
9.00
<0.01
2.2 慢性胰腺炎(以下称炎组)异常CT表现(见表2)
2.2.1 慢性胰腺炎的胰内异常CT表现:①病变区体积:慢性胰腺炎病变区体积增大20例,其中弥漫性增大10例,局限性增大10例,正常大小9例,萎缩11例。②病变区的密度:平扫时,病变可呈等、低、低与等混杂和高密度的钙化灶,炎组中显示钙化灶者10例,占炎组总例数的25%(10/40)(图4),特别是弥漫、分散、沿胰管走向分布的钙化具有特征性,是慢性胰腺炎的重要诊断依据。③胰管扩张与胰腺囊肿:炎组显示胰管扩张15例(15/40,37.50%),其中可见扩张胰管贯通病变者12例;显示胰腺假性囊肿6例。
, http://www.100md.com
2.2.2 慢性胰腺炎的胰外异常CT表现: ①胰周脂肪层模糊15例。②肝内、外胆管扩张:肝内胆管扩张6例,肝外胆管扩张4例,扩张的胆总管逐渐变细中断4例。
3 讨论
3.1 胰腺癌与慢性胰腺炎异常CT表现对照分析
3.1.1 胰腺内异常CT表现对照:①病变区体积:癌组病变区体积增大,形成肿块[1 ],肿块 形态近似圆形、椭圆形或不规则形,边缘多不光整,与正常胰腺分界不清,此为恶性肿瘤不 规则生长,向周围浸润的结果,而炎组体积可以增大、正常或缩小,取决于胰腺结缔组织增 生、纤维化、水肿或腺泡萎缩程度。癌、炎两组相比,病变区增大,癌组明显高于炎组( P < 0.05)。②病变区密度:炎组钙化灶占25%,特别是弥漫、沿胰管走向的钙化是慢性胰腺 炎 的重要诊断依据,比较炎、癌两组增强后CT扫描所见,病变区显示低、等、低与等混杂和液 化坏死灶密度(尤其是液化坏死)的频率,炎组则非常明显低于癌组(P<0.01)。③ 胰管扩 张与胰腺囊肿:癌组扩张的胰管与病变区阻塞而炎组扩张的胰管贯通病变,癌、炎两组对照 ,癌组假性囊肿的发生率明显低于炎组。
, http://www.100md.com
3.1.2 癌组与炎组胰外CT表现对照分析: ①胰周脂肪层模糊或胰周大血管模糊,癌组 明显高 于炎组。②肝内外胆管扩张与扩张的胆总管突然狭窄截断,癌组中90%均有此表现,而炎组 中扩张的胆总管逐渐变细中断,无突然截断征象,此征象为胰头癌的特征表现,具有诊断价 值。③转移性病变,只有癌组出现此征象,如腹膜后淋巴结肿大,肝转移,腹水等,有无并 存腹膜后淋巴肿大具有重要鉴别价值(P<0.01)。
3.2 诊断与鉴别诊断
胰腺癌与慢性胰腺炎是胰腺疾病中最多见的二种疾病,它们的CT表现比较复杂,但只要 抓住炎、癌两组对照中所述的征象,密切结合临床,进行诊断与鉴别诊断,正确率可达90% 以上(笔者回顾性诊断正确率为92%),少数疑难病例(直径小于2cm的病灶)需配合腹部 超声、内镜等进行多种影像综合诊断[2,3],个别病例需细针穿刺活检证实。
吴爱兰,女,1966年生,主治医师
, http://www.100md.com
参 考 文 献
1,李果珍主编.临床CT诊断学.北京:中国科学技术出版社, 1994.461~462[ ZK)
2,Schutte S J, Baron R L, Freeny P C et al. Root of the superior m esenteric artery in pancreatic carcinoma: evaluation with CT. Radiology, 1991,18 0:659
3,Megibow A J, Zhou X H, Rotterdam H et al. Pancreatic adenocarc inoma: CT versus MR imaging in the evaluation of resectability-report of the ra diology diagnost ic oncology group. Radiology, 1995, 195: 327
(1999-04-12 收稿), 百拇医药
单位:同济医科大学附属协和医院放射科,武汉 430022
关键词:胰腺肿瘤;胰腺炎;断层摄影术,X线计算机
同济医科大学学报000426 摘要 为提高对胰腺疾病的CT诊断水平,根据被证实的50例胰腺癌和40例慢性胰腺炎的CT资料,对 CT征象进行观测、统计及分析。结果发现二者诊断与鉴别诊断的主要征象是:①病变区胰腺 局限或弥漫肿大与密度异常;②有无扩张的胆总管突然性狭窄截断与胰周大血管被包埋,管 径增粗、癌栓、腹部淋巴结肿大、肝转移;③有无沿胰管走向分布的钙化与扩张的胰管,扩 张胰管贯通病变区的情况;④胰腺囊肿的发生频率、部位与胰腺轮廓的关系。结果显 示:根据前述要点,参考其他征象,密切结合临床,CT诊断正确率达90%以上。
中图法分类号 R735.4, R814.42
, http://www.100md.com
CT Diagnosis of Pancreatic Carcinoma and Chronic Pancreatitis
Wu Ailan Han Ping Feng Gansheng et al
(Department of Radiology, Xiehe Hospital. Tongji Medica l University, Wuhan 430022)
Abstract To improve the diagnosis accurary of pancreatic carcinoma and chronic pancreatitis, anthors analyzed the CT findings of 90 cases with pancreatic carc inoma, chronic pancreatitis proved clinically and pathologically. Slice thicknes s of 5mm and slice interval of 5mm were used and enhancement study were performe d in all cases. The result found that the main sign in diagnosis and differentia l diagnosis between pancreatic carcinoma and chronic pancreatitis included: ①fo cal or diffuse enlargment and density abnormality of pancreas; ②dilated common bile duct were suddenly obstructed, peripancreatic blood vessels were invaded an d cancerous thrombus was revealed, enlargment of abdominal lymph nodes and metas tasis in the liver were discovered; ③calcium depoist in the pancreatic duct are a and dilated pancreatic duct which passed through the lesion or not; ④presenc e and location of pancreatic cyst and its relationship to pancreatic contour. Th e result showed that: CT is the imaging modality of choice in the diagnosis of p ancreatic carcinoma and chronic pancreatitis at present. The diagnostic accurary of CT was over 90% in this series.
, 百拇医药
Key words pancreatic neoplasms; pancreatitis tomography; X- ray computed
为提高胰腺疾病的诊断水平,根据我院1993年8月至1999年2月经手术、病理和临床证 实的50例胰腺癌及40例慢性胰腺炎的CT资料,对多个CT征象进行分析,现报道如下。
1 材料与方法
1.1 一般情况
胰腺癌:男40例,女10例,发病年龄30~70岁,就诊前病程3~365 d,主要症状与体征:上腹 部不适,疼痛,乏力,恶心,呕吐,其中胰头癌患者除前述症状外,常有无痛性黄疸进行性 加重。
慢性胰腺炎:男28例,女12例,发病年龄16~70岁,就诊前病程50 d~10年,主要症状与体征 :间断性上腹疼痛,消瘦,脂肪泻,急性发作时可突然出现剧烈腹痛,常伴恶心,厌油。
, http://www.100md.com
1.2 检查方法
采用GE Prospeed全身CT扫描机及Somaton Plus4螺旋式CT扫描机。全部病例均进行了平扫与 团注增强扫描,层厚5 mm,间距5 mm,床移速度5 mm/s。
2 结果
2.1 胰腺癌(以下称癌组)异常CT表现
2.1.1 胰腺内异常CT表现:见表1。①病变区胰腺肿大,形成肿块(图1),表现为病变区前后径增大与局限性超出邻近正常胰腺3mm以上的隆起,癌组具有此类表现者49例,癌肿多发生于胰头区(39/49,69.39%)。②病变区密度异常:平扫病变区表现等密度、低密度、低与等混杂密度和更低密度的液化坏死灶。增强扫描绝大多数病灶(49/50,98%)显示为不均匀强化,呈低、等与等混杂和液化坏死的低密度灶(图2)。③胰管扩张:本癌组中胰管扩张率为80%,扩张的胰管均位于肿块的胰尾侧。
, 百拇医药
2.1.2 胰腺外异常CT表现:见表2。①胰周脂肪层模糊:30例。② 胰周大血管模糊:3 0例,肠 系膜上动脉癌栓形成2例。③ 肝内、外胆管扩张,胆囊增大:本组中胰头肿大伴肝内胆管扩 张30例,肝外胆管扩张32例,胆囊增大32例,胆总管扩张,绝大多数呈突然性狭窄截断。④ 转移性病变:胰周与大血管旁淋巴结肿大10例(图3),肝转移5例,腹水2例。
图1 胰头癌。平扫示胰头增大,圆隆,其内密度不均,前后径约3.4 cm
图2 胰腺囊腺癌,增强CT示胰体局限性增大,呈低、等混杂密度,中间 有多个液化坏死灶
, http://www.100md.com 图3 胰体乳头状腺癌并腹膜后淋巴结转移。CT增强扫描示胰体部 轮廓明显增大,呈等、低混杂密度,腹腔动脉干左侧可见肿大的淋巴结
图4 慢性胰腺炎。CT平扫示胰尾部沿胰管走行分布的钙化灶,胰腺体积 缩小
表1 胰腺癌与慢性胰腺炎胰内异常CT表现及卡方检验 胰腺内异常CT表现
胰腺癌
慢性胰腺炎
χ2值
P值
例数/基数
百分率(%)
, http://www.100md.com
例数/基数
百分率(%)
病变区胰腺肿大
49/50
98.00
20/40
50.00
28.62
<0.01
病变区显示钙化灶
0/50
0.00
10/40
, 百拇医药
25.00
14.06
<0.01
沿胰管走向分布钙化灶
0/50
0.00
10/40
25.00
14.06
<0.01
增强扫描病变显示低、等低与等混杂、液化坏死灶
49/50
, 百拇医药
98.00
22/40
55.00
24.67
<0.01
扩张胰管贯通病变区
0/40
0.00
12/15
80.00
15.30
<0.01
扩张胰管胰头显示肿块
, 百拇医药
34/40
85.00
2/15
13.00
24.78
<0.01
胰腺囊肿
1/50
0.00
6/40
15.00
8.03
<0.01
, 百拇医药
表2 胰腺癌与慢性胰腺炎胰外异常CT表现及卡方检验
胰腺内异常CT表现
胰腺癌
慢性胰腺炎
χ2值
P值
例数/基数
百分率(%)
例数/基数
百分率(%)
胰周脂肪层模糊
30/50
, 百拇医药
60.00
15/40
37.50
4.50
<0.05
胰周大血管模糊
30/50
60.00
15/40
37.50
4.50
<0.05
肝内胆管扩张伴胰头肿大
, 百拇医药
30/34
88.24
6/10
60.00
4.14
<0.05
肝外胆管扩张伴胰头肿大
32/34
94.12
4/10
40.00
15.21
<0.01
, http://www.100md.com
总胆管下段扩张逐渐变细中断
2/32
6.25
4/5
80.00
17.31
<0.01
胆总管下段(或壶腹)扩张,突然狭窄截断
30/32
93.75
0/5
0.00
, 百拇医药
4.36
<0.05
腹部淋巴结肿大
10/50
20.00
0/40
0.00
9.00
<0.01
2.2 慢性胰腺炎(以下称炎组)异常CT表现(见表2)
2.2.1 慢性胰腺炎的胰内异常CT表现:①病变区体积:慢性胰腺炎病变区体积增大20例,其中弥漫性增大10例,局限性增大10例,正常大小9例,萎缩11例。②病变区的密度:平扫时,病变可呈等、低、低与等混杂和高密度的钙化灶,炎组中显示钙化灶者10例,占炎组总例数的25%(10/40)(图4),特别是弥漫、分散、沿胰管走向分布的钙化具有特征性,是慢性胰腺炎的重要诊断依据。③胰管扩张与胰腺囊肿:炎组显示胰管扩张15例(15/40,37.50%),其中可见扩张胰管贯通病变者12例;显示胰腺假性囊肿6例。
, http://www.100md.com
2.2.2 慢性胰腺炎的胰外异常CT表现: ①胰周脂肪层模糊15例。②肝内、外胆管扩张:肝内胆管扩张6例,肝外胆管扩张4例,扩张的胆总管逐渐变细中断4例。
3 讨论
3.1 胰腺癌与慢性胰腺炎异常CT表现对照分析
3.1.1 胰腺内异常CT表现对照:①病变区体积:癌组病变区体积增大,形成肿块[1 ],肿块 形态近似圆形、椭圆形或不规则形,边缘多不光整,与正常胰腺分界不清,此为恶性肿瘤不 规则生长,向周围浸润的结果,而炎组体积可以增大、正常或缩小,取决于胰腺结缔组织增 生、纤维化、水肿或腺泡萎缩程度。癌、炎两组相比,病变区增大,癌组明显高于炎组( P < 0.05)。②病变区密度:炎组钙化灶占25%,特别是弥漫、沿胰管走向的钙化是慢性胰腺 炎 的重要诊断依据,比较炎、癌两组增强后CT扫描所见,病变区显示低、等、低与等混杂和液 化坏死灶密度(尤其是液化坏死)的频率,炎组则非常明显低于癌组(P<0.01)。③ 胰管扩 张与胰腺囊肿:癌组扩张的胰管与病变区阻塞而炎组扩张的胰管贯通病变,癌、炎两组对照 ,癌组假性囊肿的发生率明显低于炎组。
, http://www.100md.com
3.1.2 癌组与炎组胰外CT表现对照分析: ①胰周脂肪层模糊或胰周大血管模糊,癌组 明显高 于炎组。②肝内外胆管扩张与扩张的胆总管突然狭窄截断,癌组中90%均有此表现,而炎组 中扩张的胆总管逐渐变细中断,无突然截断征象,此征象为胰头癌的特征表现,具有诊断价 值。③转移性病变,只有癌组出现此征象,如腹膜后淋巴结肿大,肝转移,腹水等,有无并 存腹膜后淋巴肿大具有重要鉴别价值(P<0.01)。
3.2 诊断与鉴别诊断
胰腺癌与慢性胰腺炎是胰腺疾病中最多见的二种疾病,它们的CT表现比较复杂,但只要 抓住炎、癌两组对照中所述的征象,密切结合临床,进行诊断与鉴别诊断,正确率可达90% 以上(笔者回顾性诊断正确率为92%),少数疑难病例(直径小于2cm的病灶)需配合腹部 超声、内镜等进行多种影像综合诊断[2,3],个别病例需细针穿刺活检证实。
吴爱兰,女,1966年生,主治医师
, http://www.100md.com
参 考 文 献
1,李果珍主编.临床CT诊断学.北京:中国科学技术出版社, 1994.461~462[ ZK)
2,Schutte S J, Baron R L, Freeny P C et al. Root of the superior m esenteric artery in pancreatic carcinoma: evaluation with CT. Radiology, 1991,18 0:659
3,Megibow A J, Zhou X H, Rotterdam H et al. Pancreatic adenocarc inoma: CT versus MR imaging in the evaluation of resectability-report of the ra diology diagnost ic oncology group. Radiology, 1995, 195: 327
(1999-04-12 收稿), 百拇医药