伴有脊柱后突的不可复性食管裂孔疝胸部平片与CT、MRI对照观察
http://www.100md.com
37c医学网
作者:齐玲俊 周全 陈金城
单位:齐玲俊(广州暨南大学医学院第一附属医院医学影像中心;);周全(广州暨南大学医学院第一附属医院医学影像中心;);陈金城(广州暨南大学医学院第一附属医院医学影像中心;)
关键词:食管裂孔疝;脊柱后突;影像诊断
临床放射学杂志001006 【摘要】 目的 加深对伴有脊柱后突的不可复性食管裂孔疝影像表现的认识,并探讨此类食管裂孔疝形成的机制。 材料与方法对照分析8例经钡餐造影确诊的伴有脊柱后突的不可复性食管裂孔疝的胸片与CT、MR影像表现。 结果 8例均为老年人,以女性居多。胸片与CT、MR影像表现均见疝囊在心脏之后呈肿块状,内含气体或气-液面。并有食管裂孔增宽、膈肌后份变平、后肋膈角变浅、贲门位于膈上而食管不短;均见脊柱胸腰段后突,该水平胸廓前后径增大。胸片初诊半数误诊。 结论 脊柱后突的老年人发现心后肿块要警惕食管裂孔疝的可能。这类不可复性食管裂孔疝有可能是由脊柱后突牵拉所致。
, 百拇医药
Irreversible Esophageal Hiatal Hernia with Kyphosis: Chest Radiograph vs CT/MRI
QI Lingjun,ZHOU Quan,CHEN Jincheng.
(Department of Medical Imaging,No.1 Affiliated Hospital,Medical College of Ji' nan University,Guangzhou,Guangdong Province 510632,P.R.China)
【Abstract】 Objective To make a further understanding of irreversible esophageal hiatal hernia with kyphosis and to probe its possible formative mechanism. Materials and Methods Chest film and CT/MRI findings in 8 patients with barium-meal-proved esophageal hiatal hernia and kyphosis were analyzed.Results All 8 patients,mainly female,were senile. On chest film,CT and MRI,the lesion appeared as a mass,containing air or air-fluid level,behind the heart. Widened esophageal hiatus,flattened posterior diaphragm,shallow posterior costophrenic angle and cardia above diaphragm could be seen. Besides,all patients had thoracolumbar kyphosis with increased antero-posterior chest diameter at this level. The diagnosis was missed in 4 cases on initial chest films. Conclusion In a senile patient with kyphosis,a mass shadow behind the heart should alert one to the possibility of esophageal hiatal hernia. This kind of irreversible esophageal hiatal hernia may be due to the traction caused by kyphosis.
, 百拇医药
【Key words】 Esophageal hiatal hernia Kyphosis Imaging diagnosis
腹腔脏器(通常是胃)通过膈肌食管裂孔进入胸腔称为食管裂孔疝。食管裂孔疝一般分为滑动型与不可复型[1],后者虽然有其胸部影像学特点,但在临床影像学初诊中却时有误诊。笔者分析了其胸片初诊误诊的原因及探讨其先有脊柱后突者的发病机制。
1 材料与方法
1.1 一般资料
本组8例,女7例,男1例。年龄67~85岁,平均79岁。7例女性均为经产妇,其中1例产9胎;8例均有驼背现象,驼背病史10~30年。其中仅1例是以返酸、嗳气等消化道症状就诊,其余7例是因为其他症状行胸部常规平片检查而发现病变。
本组病例中,前4例胸部平片初诊均误诊,其中误为肺癌1例,误为纵隔肿瘤1例,误为扭曲的胸主动脉2例;胸部平片首次确诊4例。
, 百拇医药
1.2 影像学检查
8例均经胸部正、侧位平片及钡餐造影检查,7例作了胸部CT,1例行胸、腹部MRI检查。胸部平片为立位高千伏(140kV)照片。胸部CT扫描用GE Hispeed螺旋CT机,3例从肺尖至两侧肋膈角螺旋扫描,另3例扫描范围下达上腹部,并作矢状位、冠状位二维或三维重建。其中2例加作增强扫描。1例胸腹部MRI检查使用GE Signa 1.5T MR机,行轴位、矢状位、冠状位及斜位扫描。钡餐造影检查为常规气钡双重造影。
2 结果
2.1 胸片所见
胸片显示脊柱胸腰段后凸8例,伴右凸侧弯2例。正位胸片显示为部分与心影重叠的肿块5例,侧位显示心影后肿块8例。肿块含气6例(含气较多4例,较少2例),有液气平面2例;病变直径约3~5cm,边缘清晰2例,不清6例。5例正、侧位胸片均清晰显示肿块者有不符合肺段分布的表现。胸片示膈下无胃泡影7例,有气泡影1例。膈肌变平、后肋膈角变浅8例(图1、2)。降主动脉显示清晰2例(位于病灶后方),显示不清6例,其中将病灶当作胸主动脉2例。
, 百拇医药
2.2 轴位CT、MRI所见
于膈顶层面测量其胸廓指数(胸廓最大内横径与正中前后径的比值)为1.58~1.68。8例于心影后方纵隔内均见肿块影,该肿块推压纵隔胸膜向两侧或一侧外移,8例病灶位于胸膜外,肿块边界清楚,其内密度不均,含有液体及气体,向下经食管裂孔至膈下,此乃疝入胸内的胃。7例其上份右侧或后侧有并行的食管影(图3)。膈肌食管裂孔5~8cm,降主动脉显影清晰8例,位于胸腔胃影后方4例,被病灶推移至右侧4例(致使胸片示两者左右重叠而误诊2例)。
图1 正位胸片显示疝囊表现为与心影重叠的肿块影,其内含气,膈下无胃泡影
图2 同一病例的侧位胸片示脊柱后突,后膈变平,后肋膈角变浅
, 百拇医药
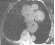
图3 同一病例轴位CT示疝囊位于心后纵隔内,边缘清,内含气体,其右旁有含气的食管影并行
2.3 矢状位CT、MRI所见
4例矢状位重建图像,均显示左膈后份变平直呈水平状,后肋膈角变浅,膈肌食管裂孔增宽(图4)。
图4 同一病例CT矢状位重组图像示食管裂孔增大,膈肌后份变平
2.4 消化道钡餐造影所见
8例均行胃肠钡餐检查,证实为食管裂孔疝。图像清晰显示食管、贲门、胃底及胃体。8例见食管裂孔增大及食管、贲门、胃底和部分胃体疝入膈上的疝囊,7例显示食管扭曲(图5),而无1例食管缩短。
, 百拇医药
图5 消化道钡餐造影示食管迂曲未变短,贲门、胃底及部分胃体于膈上,食管裂孔增大
3 讨论
不可复性食管裂孔疝在胸部平片上表现为心影后球形阴影或含气-液囊腔,易与肺内疾病混淆,故具有较大的临床意义。有人认为不可复性食管裂孔疝少见[2],但在本组8例中,有7例是近半年内在门诊患者中搜集到的,这表明此病在老年人(尤其女性)中并不少见。不可复性食管裂孔疝的症状多轻微,不具特异性,如对其胸部影像表现警惕性不高,可以发生误、漏诊。本组搜集的8例中,前4例胸片初诊时即有1例误诊为肺癌,1例误诊为纵隔肿瘤,2例误诊为扭曲的降主动脉影。产生误、漏诊的原因是由于肺与纵隔病变定位错误和对本病的典型表现认识不足。本病典型的胸片表现为肿块位于心影后方纵隔内,正、侧位胸片对照观察病变不符合肺段分布,肿块内多含气,且其形状与大小可有变化,有时还可见液面,肿块下缘抵膈而不能窥见,膈下多无胃泡影。由于这类患者常伴有脊柱后凸,如按常规投照条件,往往在正位胸片上病变区条件偏低而影响观察,这是导致胸片上漏、误诊的重要因素,在日常工作中应引起注意。减少误诊的关键在于提高对本病的警惕及认识。本组8例中,后发现的4例因提高了警惕,在阅胸片时即拟诊此病。虽然胸部CT或MR检查能确诊此病,并能清晰显示病变的位置、形态、大小、密度,膈肌裂孔情况,病变与邻近结构的关系,易与其他胸部肿瘤进行鉴别[3],但当胸片上疑有此病时加作钡餐造影即可确诊,不必行CT或MRI检查。钡餐造影是此病简便易行的确诊手段。
, 百拇医药
食管裂孔疝有先天性和后天性两种,以后者多见。常见的分型方法按其形态分为滑动性(可回复性)食管裂孔疝、短食管型裂孔疝(均有食管变短,贲门和胃底均在膈上,食管往往位于疝囊的中央尖部)、食管旁型裂孔疝(食管裂孔左前缘变薄,甚至缺损,胃底从食管的左前方疝入胸腔,而贲门仍在膈下)、混合型食管裂孔疝(短食管型与食管旁型混合存在,贲门位于膈上),后三者属不可回复性食管裂孔疝[1]。本组8例均为不可复性食管裂孔疝,均见食管裂孔扩大,食管、贲门、胃底及部分胃体构成膈上疝囊,贲门位于膈上但食管不短。按此方法分型,本组患者的不可复型食管裂孔疝不能归属于上述传统分型的任何一种类型。
应引起重视的是本组8例均有胸腰段脊柱后突和/或侧弯,有人统计脊柱后突者裂孔疝发生率较一般人高[2],但未见对其发病关系进行探讨。本组8例胸廓膈肌水平胸廓指数均明显变小,达1.58~1.68(笔者曾测得100例正常胸廓膈顶层面的胸廓指数为2.61±0.36)[4],说明该处前后径明显增大;在已作CT或MR矢状层面观察的4例中均明确显示食管裂孔后方的膈肌变平,后肋膈角变浅而未见胸膜增厚。另一方面,从临床表现分析,8例患者均为老年人,7例为多产妇,1例有消化道症状的男性为先有驼背病史10余年后才出现消化道症状。故可推论,本组患者可能由于渐进性胸腰段脊柱后突致使后肋膈角变浅,膈肌后份变平,进而牵拉食管裂孔扩大,加上高龄及多次妊娠生产等因素致使膈食管膜、食管周围韧带松弛,较高的腹压将胃的贲门、胃底及部分胃体推入胸内,食管在胸内乃呈相应的迂曲状态,由于此为一慢性持续性的过程,故成为不可复疝,从病因学的角度看,可考虑称之为脊柱后突牵拉性食管裂孔疝。虽然,这种推论尚须大宗病例严格系统观察确认,但本组资料已表明,本类型不可复型食管裂孔疝的贲门部均位于膈上方,但又不属短食管型,看来有必要进行更深入的研究,探讨建立一种兼顾发病机制与形态表现的新的食管裂孔疝分型法。
, http://www.100md.com
本文由国务院侨办重点学科科研基金(939515)资助
参考文献
[1]荣独山,主编.X线诊断学.腹部.上海:上海科学技术出版社,1988,31
[2]全昌斌,贾树林,安东利,等.不可复食管裂孔疝-老年人心影后值得警惕的一种疾病.中国医学影像技术,1999,15:192
[3]Mc Donnel CH,Baker ME,Cohan RH,et al. CT of fundoplication. J Comput Assist Tomogr. 1991,15:757
[4]周全,陈金城.胸主动脉位置的CT测量及其在纵隔肿瘤诊断中的意义.暨南大学学报(医学版),1999,20:117
(收稿:2000-03-14 修回:2000-05-22), 百拇医药
单位:齐玲俊(广州暨南大学医学院第一附属医院医学影像中心;);周全(广州暨南大学医学院第一附属医院医学影像中心;);陈金城(广州暨南大学医学院第一附属医院医学影像中心;)
关键词:食管裂孔疝;脊柱后突;影像诊断
临床放射学杂志001006 【摘要】 目的 加深对伴有脊柱后突的不可复性食管裂孔疝影像表现的认识,并探讨此类食管裂孔疝形成的机制。 材料与方法对照分析8例经钡餐造影确诊的伴有脊柱后突的不可复性食管裂孔疝的胸片与CT、MR影像表现。 结果 8例均为老年人,以女性居多。胸片与CT、MR影像表现均见疝囊在心脏之后呈肿块状,内含气体或气-液面。并有食管裂孔增宽、膈肌后份变平、后肋膈角变浅、贲门位于膈上而食管不短;均见脊柱胸腰段后突,该水平胸廓前后径增大。胸片初诊半数误诊。 结论 脊柱后突的老年人发现心后肿块要警惕食管裂孔疝的可能。这类不可复性食管裂孔疝有可能是由脊柱后突牵拉所致。
, 百拇医药
Irreversible Esophageal Hiatal Hernia with Kyphosis: Chest Radiograph vs CT/MRI
QI Lingjun,ZHOU Quan,CHEN Jincheng.
(Department of Medical Imaging,No.1 Affiliated Hospital,Medical College of Ji' nan University,Guangzhou,Guangdong Province 510632,P.R.China)
【Abstract】 Objective To make a further understanding of irreversible esophageal hiatal hernia with kyphosis and to probe its possible formative mechanism. Materials and Methods Chest film and CT/MRI findings in 8 patients with barium-meal-proved esophageal hiatal hernia and kyphosis were analyzed.Results All 8 patients,mainly female,were senile. On chest film,CT and MRI,the lesion appeared as a mass,containing air or air-fluid level,behind the heart. Widened esophageal hiatus,flattened posterior diaphragm,shallow posterior costophrenic angle and cardia above diaphragm could be seen. Besides,all patients had thoracolumbar kyphosis with increased antero-posterior chest diameter at this level. The diagnosis was missed in 4 cases on initial chest films. Conclusion In a senile patient with kyphosis,a mass shadow behind the heart should alert one to the possibility of esophageal hiatal hernia. This kind of irreversible esophageal hiatal hernia may be due to the traction caused by kyphosis.
, 百拇医药
【Key words】 Esophageal hiatal hernia Kyphosis Imaging diagnosis
腹腔脏器(通常是胃)通过膈肌食管裂孔进入胸腔称为食管裂孔疝。食管裂孔疝一般分为滑动型与不可复型[1],后者虽然有其胸部影像学特点,但在临床影像学初诊中却时有误诊。笔者分析了其胸片初诊误诊的原因及探讨其先有脊柱后突者的发病机制。
1 材料与方法
1.1 一般资料
本组8例,女7例,男1例。年龄67~85岁,平均79岁。7例女性均为经产妇,其中1例产9胎;8例均有驼背现象,驼背病史10~30年。其中仅1例是以返酸、嗳气等消化道症状就诊,其余7例是因为其他症状行胸部常规平片检查而发现病变。
本组病例中,前4例胸部平片初诊均误诊,其中误为肺癌1例,误为纵隔肿瘤1例,误为扭曲的胸主动脉2例;胸部平片首次确诊4例。
, 百拇医药
1.2 影像学检查
8例均经胸部正、侧位平片及钡餐造影检查,7例作了胸部CT,1例行胸、腹部MRI检查。胸部平片为立位高千伏(140kV)照片。胸部CT扫描用GE Hispeed螺旋CT机,3例从肺尖至两侧肋膈角螺旋扫描,另3例扫描范围下达上腹部,并作矢状位、冠状位二维或三维重建。其中2例加作增强扫描。1例胸腹部MRI检查使用GE Signa 1.5T MR机,行轴位、矢状位、冠状位及斜位扫描。钡餐造影检查为常规气钡双重造影。
2 结果
2.1 胸片所见
胸片显示脊柱胸腰段后凸8例,伴右凸侧弯2例。正位胸片显示为部分与心影重叠的肿块5例,侧位显示心影后肿块8例。肿块含气6例(含气较多4例,较少2例),有液气平面2例;病变直径约3~5cm,边缘清晰2例,不清6例。5例正、侧位胸片均清晰显示肿块者有不符合肺段分布的表现。胸片示膈下无胃泡影7例,有气泡影1例。膈肌变平、后肋膈角变浅8例(图1、2)。降主动脉显示清晰2例(位于病灶后方),显示不清6例,其中将病灶当作胸主动脉2例。
, 百拇医药
2.2 轴位CT、MRI所见
于膈顶层面测量其胸廓指数(胸廓最大内横径与正中前后径的比值)为1.58~1.68。8例于心影后方纵隔内均见肿块影,该肿块推压纵隔胸膜向两侧或一侧外移,8例病灶位于胸膜外,肿块边界清楚,其内密度不均,含有液体及气体,向下经食管裂孔至膈下,此乃疝入胸内的胃。7例其上份右侧或后侧有并行的食管影(图3)。膈肌食管裂孔5~8cm,降主动脉显影清晰8例,位于胸腔胃影后方4例,被病灶推移至右侧4例(致使胸片示两者左右重叠而误诊2例)。
图1 正位胸片显示疝囊表现为与心影重叠的肿块影,其内含气,膈下无胃泡影
图2 同一病例的侧位胸片示脊柱后突,后膈变平,后肋膈角变浅
, 百拇医药
图3 同一病例轴位CT示疝囊位于心后纵隔内,边缘清,内含气体,其右旁有含气的食管影并行
2.3 矢状位CT、MRI所见
4例矢状位重建图像,均显示左膈后份变平直呈水平状,后肋膈角变浅,膈肌食管裂孔增宽(图4)。
图4 同一病例CT矢状位重组图像示食管裂孔增大,膈肌后份变平
2.4 消化道钡餐造影所见
8例均行胃肠钡餐检查,证实为食管裂孔疝。图像清晰显示食管、贲门、胃底及胃体。8例见食管裂孔增大及食管、贲门、胃底和部分胃体疝入膈上的疝囊,7例显示食管扭曲(图5),而无1例食管缩短。
, 百拇医药
图5 消化道钡餐造影示食管迂曲未变短,贲门、胃底及部分胃体于膈上,食管裂孔增大
3 讨论
不可复性食管裂孔疝在胸部平片上表现为心影后球形阴影或含气-液囊腔,易与肺内疾病混淆,故具有较大的临床意义。有人认为不可复性食管裂孔疝少见[2],但在本组8例中,有7例是近半年内在门诊患者中搜集到的,这表明此病在老年人(尤其女性)中并不少见。不可复性食管裂孔疝的症状多轻微,不具特异性,如对其胸部影像表现警惕性不高,可以发生误、漏诊。本组搜集的8例中,前4例胸片初诊时即有1例误诊为肺癌,1例误诊为纵隔肿瘤,2例误诊为扭曲的降主动脉影。产生误、漏诊的原因是由于肺与纵隔病变定位错误和对本病的典型表现认识不足。本病典型的胸片表现为肿块位于心影后方纵隔内,正、侧位胸片对照观察病变不符合肺段分布,肿块内多含气,且其形状与大小可有变化,有时还可见液面,肿块下缘抵膈而不能窥见,膈下多无胃泡影。由于这类患者常伴有脊柱后凸,如按常规投照条件,往往在正位胸片上病变区条件偏低而影响观察,这是导致胸片上漏、误诊的重要因素,在日常工作中应引起注意。减少误诊的关键在于提高对本病的警惕及认识。本组8例中,后发现的4例因提高了警惕,在阅胸片时即拟诊此病。虽然胸部CT或MR检查能确诊此病,并能清晰显示病变的位置、形态、大小、密度,膈肌裂孔情况,病变与邻近结构的关系,易与其他胸部肿瘤进行鉴别[3],但当胸片上疑有此病时加作钡餐造影即可确诊,不必行CT或MRI检查。钡餐造影是此病简便易行的确诊手段。
, 百拇医药
食管裂孔疝有先天性和后天性两种,以后者多见。常见的分型方法按其形态分为滑动性(可回复性)食管裂孔疝、短食管型裂孔疝(均有食管变短,贲门和胃底均在膈上,食管往往位于疝囊的中央尖部)、食管旁型裂孔疝(食管裂孔左前缘变薄,甚至缺损,胃底从食管的左前方疝入胸腔,而贲门仍在膈下)、混合型食管裂孔疝(短食管型与食管旁型混合存在,贲门位于膈上),后三者属不可回复性食管裂孔疝[1]。本组8例均为不可复性食管裂孔疝,均见食管裂孔扩大,食管、贲门、胃底及部分胃体构成膈上疝囊,贲门位于膈上但食管不短。按此方法分型,本组患者的不可复型食管裂孔疝不能归属于上述传统分型的任何一种类型。
应引起重视的是本组8例均有胸腰段脊柱后突和/或侧弯,有人统计脊柱后突者裂孔疝发生率较一般人高[2],但未见对其发病关系进行探讨。本组8例胸廓膈肌水平胸廓指数均明显变小,达1.58~1.68(笔者曾测得100例正常胸廓膈顶层面的胸廓指数为2.61±0.36)[4],说明该处前后径明显增大;在已作CT或MR矢状层面观察的4例中均明确显示食管裂孔后方的膈肌变平,后肋膈角变浅而未见胸膜增厚。另一方面,从临床表现分析,8例患者均为老年人,7例为多产妇,1例有消化道症状的男性为先有驼背病史10余年后才出现消化道症状。故可推论,本组患者可能由于渐进性胸腰段脊柱后突致使后肋膈角变浅,膈肌后份变平,进而牵拉食管裂孔扩大,加上高龄及多次妊娠生产等因素致使膈食管膜、食管周围韧带松弛,较高的腹压将胃的贲门、胃底及部分胃体推入胸内,食管在胸内乃呈相应的迂曲状态,由于此为一慢性持续性的过程,故成为不可复疝,从病因学的角度看,可考虑称之为脊柱后突牵拉性食管裂孔疝。虽然,这种推论尚须大宗病例严格系统观察确认,但本组资料已表明,本类型不可复型食管裂孔疝的贲门部均位于膈上方,但又不属短食管型,看来有必要进行更深入的研究,探讨建立一种兼顾发病机制与形态表现的新的食管裂孔疝分型法。
, http://www.100md.com
本文由国务院侨办重点学科科研基金(939515)资助
参考文献
[1]荣独山,主编.X线诊断学.腹部.上海:上海科学技术出版社,1988,31
[2]全昌斌,贾树林,安东利,等.不可复食管裂孔疝-老年人心影后值得警惕的一种疾病.中国医学影像技术,1999,15:192
[3]Mc Donnel CH,Baker ME,Cohan RH,et al. CT of fundoplication. J Comput Assist Tomogr. 1991,15:757
[4]周全,陈金城.胸主动脉位置的CT测量及其在纵隔肿瘤诊断中的意义.暨南大学学报(医学版),1999,20:117
(收稿:2000-03-14 修回:2000-05-22), 百拇医药
参见:首页 > 医疗版 > 疾病专题 > 消化内科 > 食管疾病 > 食管裂孔疝