慢性梗阻性胆囊炎胆囊管瘢痕粘连误诊为胆囊管结石1例
http://www.100md.com
37c医学网
作者:王莉霞
单位:625000 四川省雅安卫校附院B超室
关键词:
中国超声医学杂志/990934 患者女,26岁,反复右上腹疼痛一月,以夜间为甚,并向右肩背部放射。查体,皮肤巩膜无黄染,右上腹压痛,莫非氏征阳性。化验:血常规RB C4.2×1012/L,WBC 7.1×109/L,N 0.80,L 0.20,Hb 128g/L,尿常规;PH5.5,PRO+2 2g/L,B BIO+2 2mg/L,X线检查:心肺未见异常。
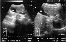
B超检查:肝形态大小正常,回声均匀,肝内血管显示清晰。胆囊26cm×57cm,壁厚4.2mm,毛糙,暗区透声性尚可。胆囊管内径13mm,长32mm(图1左),胆囊管与胆总管汇合处见12mm的强光带反射伴声影(图1右),胆总管内径6.8mm,肝内外胆管未见扩张。提示:1.慢性胆囊炎;2.胆囊管结石可能性大。
手术所见:胆囊壁增厚4~5mm,囊内无胆汁,无结石,内有约20ml白色粘稠脓液。胆囊管增粗,管径约15mm,管壁增厚约4mm,胆囊管与胆总管汇合处瘢痕增生、闭锁。胆总管粗约8mm,未扪及结石。病理诊断:慢性胆囊炎。
讨论:慢性梗阻性胆囊炎系胆囊管被结石、蛔虫、瘢痕粘连阻塞,胆汁滞留于胆囊而发生成分及浓度的改变,刺激胆壁,引起慢性炎症,由于胆囊管完全堵塞,胆汁不能进入胆囊,胆色素被吸收,而囊壁仍不断分泌粘液,致胆囊积液;如合并感染,则可致胆囊积脓。本例胆囊管炎性增厚,纤维组织增生闭锁引起的强回声带伴声影,酷似结石回声,仅从声像图上不能予以鉴别,应结合病史或其他临床征象考虑。
图1 胆囊管瘢痕粘连
(1999-03-08收稿), 百拇医药
单位:625000 四川省雅安卫校附院B超室
关键词:
中国超声医学杂志/990934 患者女,26岁,反复右上腹疼痛一月,以夜间为甚,并向右肩背部放射。查体,皮肤巩膜无黄染,右上腹压痛,莫非氏征阳性。化验:血常规RB C4.2×1012/L,WBC 7.1×109/L,N 0.80,L 0.20,Hb 128g/L,尿常规;PH5.5,PRO+2 2g/L,B BIO+2 2mg/L,X线检查:心肺未见异常。
B超检查:肝形态大小正常,回声均匀,肝内血管显示清晰。胆囊26cm×57cm,壁厚4.2mm,毛糙,暗区透声性尚可。胆囊管内径13mm,长32mm(图1左),胆囊管与胆总管汇合处见12mm的强光带反射伴声影(图1右),胆总管内径6.8mm,肝内外胆管未见扩张。提示:1.慢性胆囊炎;2.胆囊管结石可能性大。
手术所见:胆囊壁增厚4~5mm,囊内无胆汁,无结石,内有约20ml白色粘稠脓液。胆囊管增粗,管径约15mm,管壁增厚约4mm,胆囊管与胆总管汇合处瘢痕增生、闭锁。胆总管粗约8mm,未扪及结石。病理诊断:慢性胆囊炎。
讨论:慢性梗阻性胆囊炎系胆囊管被结石、蛔虫、瘢痕粘连阻塞,胆汁滞留于胆囊而发生成分及浓度的改变,刺激胆壁,引起慢性炎症,由于胆囊管完全堵塞,胆汁不能进入胆囊,胆色素被吸收,而囊壁仍不断分泌粘液,致胆囊积液;如合并感染,则可致胆囊积脓。本例胆囊管炎性增厚,纤维组织增生闭锁引起的强回声带伴声影,酷似结石回声,仅从声像图上不能予以鉴别,应结合病史或其他临床征象考虑。
图1 胆囊管瘢痕粘连
(1999-03-08收稿), 百拇医药