肺动静脉瘘的放射学诊断
http://www.100md.com
37c医学网
作者:黄连军 蒋世良 徐仲英 赵世华 戴汝平
单位:黄连军(100037 北京,中国医学科 学院中国协和医科大学心血管病研究所阜外心血管病医院放射科);蒋世良(100037 北京,中国医学科 学院中国协和医科大学心血管病研究所阜外心血管病医院放射科);徐仲英(100037 北京,中国医学科 学院中国协和医科大学心血管病研究所阜外心血管病医院放射科)
关键词:肺动静脉瘘;X线平片;肺动脉造影
临床放射学杂志000807 【摘要】 目的 评价X线平片和心血管造影在 肺动静脉瘘(PAVMs)诊断中的应用及价值。 材料与方法 回顾总结30例肺动静脉瘘病例,重点分析X 线平片和心血管造影特征表现。 结果 囊状肺动静脉瘘21例,弥漫型肺小动静脉瘘9例。 21例囊状肺动静脉瘘中19例具有典型X线平片征象,弥漫型肺小动静脉瘘均无典型X线平片征 象。肺动脉造影均清晰显示肺动静脉瘘部位、大小及范围。 结论 X线平片对囊状PAVMs诊断具有一定价值,弥漫型 肺小动静脉瘘诊断受限。肺动脉造影能详尽反应本病病理解剖及病理生理改变。
, 百拇医药
Radiological Diagnosis of Pulmonary Arteriovenous Malformations
HUANG Lianjun, JIANG Shiliang, XU Zhongying
(Department of Radiology, Fuwai Cardiovascular Hospital and Cardiovascular Institute, CAMS and PUMC, Beijing 100037, P.R.China)
【Abstract】 Objective To evaluate the plain X-ray film and angiocardiography in diagnosing pulmonary arteriovenous malformations (PAVM s). Materials and Methods Plain radiographic and angi ographic findings in 30 patients (18 male and 12 female, aged 2~60 with a mean of 22.4 years) with PAVMs, admitted to our institution during 1982~1999, were r etrospectively analyzed. Results Pulmonary angiography showed single saccu lar (n=16), multiple saccular (n=5) or diffuse capillary (n=9) pulmonary arteriovenous fistula . Of 21 saccular PAVMs, 19 carried typical signs on plain films, while no charac teristic findings could be seen in diffuse capillary PAVMs on plain film. Pulmon ary angiography could well demonstrate the size, location and extent of the lesi ons in all patients. Conclusion Plain film has certain value for the d iagnosis of saccular PAVMs. Pulmonary angiography can reveal pathologico-anatom ic and pathophysiologic changes in great detail, therefor, it is very helpful fo r the diagnosing of PAVMs.
, 百拇医药
【Key words】 Pulmonary arteriovenous malformati ons Plain radiograph Angiocardiography
肺动静脉瘘(PAVMs)是一种罕见的疾病,我院1982~1999年确诊30例,现报告如下。
1 材料与方法
本组30例,男18例,女12例。年龄2~60岁,平均22.4岁。1例有毛细血管扩张症,2例有风 心病二尖瓣狭窄,2例有肝硬化门脉高压,1例妊娠期发病。25例有气短、呼吸困难,2例有 大咳血。26例口唇明显紫绀,14例有杵状指(趾)。心电图除2例风心病二尖瓣狭窄为心房扩 大外,余者均正常。15例行超声心动图声学造影检查诊断PAVMs。
30例均摄有远达及侧/斜位片,5例有病灶断层片。30例均进行选择性肺动脉造影,25例同时 进行超选择性肺动脉造影(大片3例,电影10例,DSA17例)。
, 百拇医药
19例接受导管栓塞治疗,4例进行外科手术治疗,7例未进行治疗。
2 结果
囊状PAVMs 21例,弥漫型肺小动静脉瘘9例。在21例囊状PAVMs中,16例为单发囊状PAVMs, 发生在右下肺11例,右上肺2例,左下肺3例;5例为多发囊状PAVMs,均发生在两肺,2例为 3处病变,其中发生在右下肺4例,左下肺4例,右上肺及左上肺各2例。弥漫型肺小动静脉瘘 9例,两肺广泛受累4例,两下肺受累2例,右中上肺、左上肺及左下肺受累各1例。
X线平片表现: 21例囊状PAVMs中,16例为孤立的类圆形阴影,3例为多发的类圆形阴影。阴 影直径大小不等,密度均匀,边缘清晰,或有浅分叶。2例复杂型多支供血囊状肺动静脉瘘 ,平片表现为大片致密影。14例可见扩张增粗的供血动脉及引流静脉连于类圆形阴影,供血 动脉与肺门相连。9例弥漫型肺小动静脉瘘,7例X线平片表现为肺叶或肺段分布斑点状阴影 ,2例仅见肺纹理增多、增强及扭曲。
, http://www.100md.com
肺动脉造影所见: 21例囊状PAVMs,16例为单纯型囊状PAVMs,5例复杂型囊状PAVMs。单纯 型囊状PAVMs可见瘤囊随肺动脉的充盈显影,引流肺静脉显影早于正常肺静脉,供血动脉及 引流静脉迂曲扩张,仅见1支供血动脉及引流静脉连于瘤囊,较大的瘤囊可见对比剂排空延 迟。复杂型囊状PAVMs除上述征象外,瘤囊可见分隔,2支或多支供血动脉及引流静脉连于瘤 囊,瘤囊对比剂排空明显延迟。弥漫型肺小动静脉瘘均表现为多发“葡萄串”样小血池充盈 ,肺静脉提前显影。
经导管弹簧钢圈栓塞治疗19例,18例栓塞成功,1例栓塞失败。11例囊状PAVMs平均股动脉血 氧饱和度由术前88%上升为术后97%,7例多发弥漫型肺动静脉瘘平均股动脉血氧饱和度由术 前82%上升为术后93%。4例囊状PAVMs外科手术治疗者术后血氧饱和度亦恢复正常。
3 讨论
PAVMs又称肺动、静脉畸形,是一种罕见的肺部疾病。多为先天性,因胎生时内脏血管丛的 血管间隔形成发生障碍,使毛细血管发育不全,造成动静脉短路,并可因血管袢缺陷形成薄 壁血管瘤。好发于两下叶及中叶[1,2]。有人认为PAVMs与遗传性毛细血管扩张症( HHT)有关[2]。但本组30例,仅发现1例合并毛细血管扩张症,无1例有家族史。后 天性主要见于外伤、手术及肝硬化,妊娠及风湿性心脏瓣膜病均可加重PAVMs病情[3~ 5]。本组2例患有肝硬化,2例患有风湿性心脏瓣膜病,1例妊娠期发病。在临床上,由于 PAVMs的存在使肺动脉血液未经毛细血管氧合而直接进入肺静脉,导致体动脉血氧饱和度降 低,患者可出现心悸气短、头晕乏力,右向左分流量较大时可出现紫绀及杵状指(趾)。主 要并发症为脑栓塞、咳血、胸腔出血等[6]。
, 百拇医药
PAVMs在病理上分两型[1,2] ,即囊状PAVMs和弥漫型肺小动静脉瘘。前者又分为单纯和复杂两个亚型,单纯 型为1支供血肺动脉与1支引流肺静脉直接相沟通,瘤囊无分隔;复杂型为供血肺动脉与引流 肺静脉分别为2支以上,瘤囊常有分隔。囊状PAVMs可表现为单发或多发。
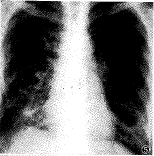
囊状PAVMs通常具有典型X线平片征象,表现为孤立或多发的类圆形阴影,阴影直径大小不等 ,密度均匀,边缘清晰,或有浅分叶;扩张增粗的供血动脉及引流静脉连于阴影,供血动脉 与肺门相连;该阴影一般不增大或仅缓慢增大。根据上述特点,结合临床资料多数囊状PAVM s可作出明确诊断(图1)。不典型者平片诊断有一定困难,例如本组2例复杂型多支供血囊状肺动静脉瘘,平片表现为大片致密影,很难根据X线平片作出正确诊断(图3)。弥漫型肺小动静脉瘘,多缺乏典型X线平片 征象,可表现为肺叶或肺段分布斑点状阴影(图5),也可表现为肺纹理增强、扭曲(图8),有 的病例平片无阳性所见。因此,弥漫型肺小动静脉瘘,X线平片诊断困难。

, http://www.100md.com
图1、2 X线平片示左肺舌叶类圆形阴影,造影证实为单发囊状肺动静脉瘘

图3、4 X线平片示右上肺大片状致密影,造影证实为复杂型囊状肺动静脉瘘
肺动脉造影是确诊PAVMs的可靠方法。肺动脉造影可明确病变部位、形态、累及的范围及 程度,为临床治疗方法的选择提供依据。造影方法分为选择性或超选择性肺动脉造影。一般 先进行选择性主肺动脉造影,正位投照。投照时要包括两肺整个肺野,以免遗漏病变。选择 性主肺动脉造影后,视情况决定超选择性肺动脉造影。笔者通常将导管置于供血动脉进行超 选择性造影,投照时选择适当的角度,如右肺病变选右前斜位(15°~20°)投照,左肺病变 选左前斜位(15°~20°)投照。造影主要表现:单纯型囊状PAVMs可见瘤囊随肺动脉的充盈 显影,引流肺静脉显影早于正常肺静脉,供血动脉及引流静脉均为1支,并见不同程度的迂曲扩张(图2)。较大的瘤囊可见对比剂排空 延迟。复杂型囊状PAVMs可见2支或多支供血动脉及引流静脉,瘤囊内可见分隔,对比剂排空 明显延迟(图4)。弥漫型肺动静脉瘘表现为多发“葡萄串”样小血池充盈,病变部位肺静脉 提前显影(图6、7、9)。


, http://www.100md.com
图5~7 X线平片示两下肺斑点状阴影,选择性左下肺动脉及右下肺动 脉造影,示两下肺弥漫型肺小动静脉瘘

图8、9 X线平片仅见肺纹理增 强,肺动脉造影示两肺弥漫型肺小动静脉瘘
超声心动图声学造影及肺灌注核素扫描能够对PAVMs作出正确诊断,但前者无法确定病变的 部位和范围,后者虽可确定病变的部位和范围,但无法观察具体解剖细节。近年来,磁共振 和螺旋CT用于PAVMs的诊断,有人认为螺旋CT及其三维重建对PAVMs的正确诊断及解剖显示优 于肺动脉造影。
PAVMs可采用外科手术方法或导管栓塞方法进行治疗。治疗目的是改善缺氧和乏力症状,预 防脑栓塞,预防或治疗致死并发症如咳血、胸腔出血等。外科手术是根治性治疗措施,囊状 PAVMs可行肺叶、肺段或局部切除,两肺弥漫型肺小动静脉瘘行肺移植,但手术操作复杂, 创伤大,并发症发生率高。导管栓塞操作简单,效果可靠,并发症少,可以最大限度的保留 正常肺组织及其功能。栓塞物可以使用弹簧钢圈及可脱落球囊等[2,6]。囊状PAVM s可达到完全栓塞。弥漫型肺小动静脉瘘,仅能够进行部分有效栓塞,达到姑息治疗目的。 导管栓塞治疗的缺点是部分病例可以再通或潜在的PAVMs开放,需行再次治疗[6]。
, http://www.100md.com
作者单位:赵世华(100037 北京,中国医学科 学院中国协和医科大学心血管病研究所阜外心血管病医院放射科)
戴汝平(100037 北京,中国医学科 学院中国协和医科大学心血管病研究所阜外心血管病医院放射科)
参考文献
1,Puskas JD, Allen MS, Moncure AC,et al. Pulmonary arteriov enous malformations therapeatic options. Ann Thorac Surg, 1993, 56:253
2,White R, Lynch A, Terry P,et al. Pulmonary arteriovenous malforma tions: Techniques and long-term outcome embolotherapy. Radiology, 1988, 169:633
, 百拇医药
3,Barbe T, Losay J, Grimon G,et al. Pulmonary arteriovenous shuntin g in children with liver disease. J Pediatr, 1995, 126:571
4,Ference B, Shannon T, White R,et al. Life-threatening pulmonary hemorrhage with pulmonary arteriovenous malformations and hereditary hemorrhag ic telangiectasia. Chest, 1994, 106:1387
5,Chow L, Chow W, Ma K. Pulmonary arteriovenous malformations progr essive enlargement with replacement of the entire right middle lobe in a patient with concomitant mitral stenosis. Med J Aust, 1993, 158:632
6,徐仲英,戴汝平,蒋世良.肺动静脉瘘的栓塞治疗.中华放射学杂志, 1994 , 28:303
(收稿: 2000-04-17), http://www.100md.com
单位:黄连军(100037 北京,中国医学科 学院中国协和医科大学心血管病研究所阜外心血管病医院放射科);蒋世良(100037 北京,中国医学科 学院中国协和医科大学心血管病研究所阜外心血管病医院放射科);徐仲英(100037 北京,中国医学科 学院中国协和医科大学心血管病研究所阜外心血管病医院放射科)
关键词:肺动静脉瘘;X线平片;肺动脉造影
临床放射学杂志000807 【摘要】 目的 评价X线平片和心血管造影在 肺动静脉瘘(PAVMs)诊断中的应用及价值。 材料与方法 回顾总结30例肺动静脉瘘病例,重点分析X 线平片和心血管造影特征表现。 结果 囊状肺动静脉瘘21例,弥漫型肺小动静脉瘘9例。 21例囊状肺动静脉瘘中19例具有典型X线平片征象,弥漫型肺小动静脉瘘均无典型X线平片征 象。肺动脉造影均清晰显示肺动静脉瘘部位、大小及范围。 结论 X线平片对囊状PAVMs诊断具有一定价值,弥漫型 肺小动静脉瘘诊断受限。肺动脉造影能详尽反应本病病理解剖及病理生理改变。
, 百拇医药
Radiological Diagnosis of Pulmonary Arteriovenous Malformations
HUANG Lianjun, JIANG Shiliang, XU Zhongying
(Department of Radiology, Fuwai Cardiovascular Hospital and Cardiovascular Institute, CAMS and PUMC, Beijing 100037, P.R.China)
【Abstract】 Objective To evaluate the plain X-ray film and angiocardiography in diagnosing pulmonary arteriovenous malformations (PAVM s). Materials and Methods Plain radiographic and angi ographic findings in 30 patients (18 male and 12 female, aged 2~60 with a mean of 22.4 years) with PAVMs, admitted to our institution during 1982~1999, were r etrospectively analyzed. Results Pulmonary angiography showed single saccu lar (n=16), multiple saccular (n=5) or diffuse capillary (n=9) pulmonary arteriovenous fistula . Of 21 saccular PAVMs, 19 carried typical signs on plain films, while no charac teristic findings could be seen in diffuse capillary PAVMs on plain film. Pulmon ary angiography could well demonstrate the size, location and extent of the lesi ons in all patients. Conclusion Plain film has certain value for the d iagnosis of saccular PAVMs. Pulmonary angiography can reveal pathologico-anatom ic and pathophysiologic changes in great detail, therefor, it is very helpful fo r the diagnosing of PAVMs.
, 百拇医药
【Key words】 Pulmonary arteriovenous malformati ons Plain radiograph Angiocardiography
肺动静脉瘘(PAVMs)是一种罕见的疾病,我院1982~1999年确诊30例,现报告如下。
1 材料与方法
本组30例,男18例,女12例。年龄2~60岁,平均22.4岁。1例有毛细血管扩张症,2例有风 心病二尖瓣狭窄,2例有肝硬化门脉高压,1例妊娠期发病。25例有气短、呼吸困难,2例有 大咳血。26例口唇明显紫绀,14例有杵状指(趾)。心电图除2例风心病二尖瓣狭窄为心房扩 大外,余者均正常。15例行超声心动图声学造影检查诊断PAVMs。
30例均摄有远达及侧/斜位片,5例有病灶断层片。30例均进行选择性肺动脉造影,25例同时 进行超选择性肺动脉造影(大片3例,电影10例,DSA17例)。
, 百拇医药
19例接受导管栓塞治疗,4例进行外科手术治疗,7例未进行治疗。
2 结果
囊状PAVMs 21例,弥漫型肺小动静脉瘘9例。在21例囊状PAVMs中,16例为单发囊状PAVMs, 发生在右下肺11例,右上肺2例,左下肺3例;5例为多发囊状PAVMs,均发生在两肺,2例为 3处病变,其中发生在右下肺4例,左下肺4例,右上肺及左上肺各2例。弥漫型肺小动静脉瘘 9例,两肺广泛受累4例,两下肺受累2例,右中上肺、左上肺及左下肺受累各1例。
X线平片表现: 21例囊状PAVMs中,16例为孤立的类圆形阴影,3例为多发的类圆形阴影。阴 影直径大小不等,密度均匀,边缘清晰,或有浅分叶。2例复杂型多支供血囊状肺动静脉瘘 ,平片表现为大片致密影。14例可见扩张增粗的供血动脉及引流静脉连于类圆形阴影,供血 动脉与肺门相连。9例弥漫型肺小动静脉瘘,7例X线平片表现为肺叶或肺段分布斑点状阴影 ,2例仅见肺纹理增多、增强及扭曲。
, http://www.100md.com
肺动脉造影所见: 21例囊状PAVMs,16例为单纯型囊状PAVMs,5例复杂型囊状PAVMs。单纯 型囊状PAVMs可见瘤囊随肺动脉的充盈显影,引流肺静脉显影早于正常肺静脉,供血动脉及 引流静脉迂曲扩张,仅见1支供血动脉及引流静脉连于瘤囊,较大的瘤囊可见对比剂排空延 迟。复杂型囊状PAVMs除上述征象外,瘤囊可见分隔,2支或多支供血动脉及引流静脉连于瘤 囊,瘤囊对比剂排空明显延迟。弥漫型肺小动静脉瘘均表现为多发“葡萄串”样小血池充盈 ,肺静脉提前显影。
经导管弹簧钢圈栓塞治疗19例,18例栓塞成功,1例栓塞失败。11例囊状PAVMs平均股动脉血 氧饱和度由术前88%上升为术后97%,7例多发弥漫型肺动静脉瘘平均股动脉血氧饱和度由术 前82%上升为术后93%。4例囊状PAVMs外科手术治疗者术后血氧饱和度亦恢复正常。
3 讨论
PAVMs又称肺动、静脉畸形,是一种罕见的肺部疾病。多为先天性,因胎生时内脏血管丛的 血管间隔形成发生障碍,使毛细血管发育不全,造成动静脉短路,并可因血管袢缺陷形成薄 壁血管瘤。好发于两下叶及中叶[1,2]。有人认为PAVMs与遗传性毛细血管扩张症( HHT)有关[2]。但本组30例,仅发现1例合并毛细血管扩张症,无1例有家族史。后 天性主要见于外伤、手术及肝硬化,妊娠及风湿性心脏瓣膜病均可加重PAVMs病情[3~ 5]。本组2例患有肝硬化,2例患有风湿性心脏瓣膜病,1例妊娠期发病。在临床上,由于 PAVMs的存在使肺动脉血液未经毛细血管氧合而直接进入肺静脉,导致体动脉血氧饱和度降 低,患者可出现心悸气短、头晕乏力,右向左分流量较大时可出现紫绀及杵状指(趾)。主 要并发症为脑栓塞、咳血、胸腔出血等[6]。
, 百拇医药
PAVMs在病理上分两型[1,2] ,即囊状PAVMs和弥漫型肺小动静脉瘘。前者又分为单纯和复杂两个亚型,单纯 型为1支供血肺动脉与1支引流肺静脉直接相沟通,瘤囊无分隔;复杂型为供血肺动脉与引流 肺静脉分别为2支以上,瘤囊常有分隔。囊状PAVMs可表现为单发或多发。
囊状PAVMs通常具有典型X线平片征象,表现为孤立或多发的类圆形阴影,阴影直径大小不等 ,密度均匀,边缘清晰,或有浅分叶;扩张增粗的供血动脉及引流静脉连于阴影,供血动脉 与肺门相连;该阴影一般不增大或仅缓慢增大。根据上述特点,结合临床资料多数囊状PAVM s可作出明确诊断(图1)。不典型者平片诊断有一定困难,例如本组2例复杂型多支供血囊状肺动静脉瘘,平片表现为大片致密影,很难根据X线平片作出正确诊断(图3)。弥漫型肺小动静脉瘘,多缺乏典型X线平片 征象,可表现为肺叶或肺段分布斑点状阴影(图5),也可表现为肺纹理增强、扭曲(图8),有 的病例平片无阳性所见。因此,弥漫型肺小动静脉瘘,X线平片诊断困难。
, http://www.100md.com
图1、2 X线平片示左肺舌叶类圆形阴影,造影证实为单发囊状肺动静脉瘘
图3、4 X线平片示右上肺大片状致密影,造影证实为复杂型囊状肺动静脉瘘
肺动脉造影是确诊PAVMs的可靠方法。肺动脉造影可明确病变部位、形态、累及的范围及 程度,为临床治疗方法的选择提供依据。造影方法分为选择性或超选择性肺动脉造影。一般 先进行选择性主肺动脉造影,正位投照。投照时要包括两肺整个肺野,以免遗漏病变。选择 性主肺动脉造影后,视情况决定超选择性肺动脉造影。笔者通常将导管置于供血动脉进行超 选择性造影,投照时选择适当的角度,如右肺病变选右前斜位(15°~20°)投照,左肺病变 选左前斜位(15°~20°)投照。造影主要表现:单纯型囊状PAVMs可见瘤囊随肺动脉的充盈 显影,引流肺静脉显影早于正常肺静脉,供血动脉及引流静脉均为1支,并见不同程度的迂曲扩张(图2)。较大的瘤囊可见对比剂排空 延迟。复杂型囊状PAVMs可见2支或多支供血动脉及引流静脉,瘤囊内可见分隔,对比剂排空 明显延迟(图4)。弥漫型肺动静脉瘘表现为多发“葡萄串”样小血池充盈,病变部位肺静脉 提前显影(图6、7、9)。
, http://www.100md.com
图5~7 X线平片示两下肺斑点状阴影,选择性左下肺动脉及右下肺动 脉造影,示两下肺弥漫型肺小动静脉瘘
图8、9 X线平片仅见肺纹理增 强,肺动脉造影示两肺弥漫型肺小动静脉瘘
超声心动图声学造影及肺灌注核素扫描能够对PAVMs作出正确诊断,但前者无法确定病变的 部位和范围,后者虽可确定病变的部位和范围,但无法观察具体解剖细节。近年来,磁共振 和螺旋CT用于PAVMs的诊断,有人认为螺旋CT及其三维重建对PAVMs的正确诊断及解剖显示优 于肺动脉造影。
PAVMs可采用外科手术方法或导管栓塞方法进行治疗。治疗目的是改善缺氧和乏力症状,预 防脑栓塞,预防或治疗致死并发症如咳血、胸腔出血等。外科手术是根治性治疗措施,囊状 PAVMs可行肺叶、肺段或局部切除,两肺弥漫型肺小动静脉瘘行肺移植,但手术操作复杂, 创伤大,并发症发生率高。导管栓塞操作简单,效果可靠,并发症少,可以最大限度的保留 正常肺组织及其功能。栓塞物可以使用弹簧钢圈及可脱落球囊等[2,6]。囊状PAVM s可达到完全栓塞。弥漫型肺小动静脉瘘,仅能够进行部分有效栓塞,达到姑息治疗目的。 导管栓塞治疗的缺点是部分病例可以再通或潜在的PAVMs开放,需行再次治疗[6]。
, http://www.100md.com
作者单位:赵世华(100037 北京,中国医学科 学院中国协和医科大学心血管病研究所阜外心血管病医院放射科)
戴汝平(100037 北京,中国医学科 学院中国协和医科大学心血管病研究所阜外心血管病医院放射科)
参考文献
1,Puskas JD, Allen MS, Moncure AC,et al. Pulmonary arteriov enous malformations therapeatic options. Ann Thorac Surg, 1993, 56:253
2,White R, Lynch A, Terry P,et al. Pulmonary arteriovenous malforma tions: Techniques and long-term outcome embolotherapy. Radiology, 1988, 169:633
, 百拇医药
3,Barbe T, Losay J, Grimon G,et al. Pulmonary arteriovenous shuntin g in children with liver disease. J Pediatr, 1995, 126:571
4,Ference B, Shannon T, White R,et al. Life-threatening pulmonary hemorrhage with pulmonary arteriovenous malformations and hereditary hemorrhag ic telangiectasia. Chest, 1994, 106:1387
5,Chow L, Chow W, Ma K. Pulmonary arteriovenous malformations progr essive enlargement with replacement of the entire right middle lobe in a patient with concomitant mitral stenosis. Med J Aust, 1993, 158:632
6,徐仲英,戴汝平,蒋世良.肺动静脉瘘的栓塞治疗.中华放射学杂志, 1994 , 28:303
(收稿: 2000-04-17), http://www.100md.com